Clinical overview of Leptospirosis
• A 49-year-old male farm worker presented to the hospital with a 4-day history of dizziness
• fatigue
• chest tightness,
• cough, chills, fever, conjunctival congestion
• myalgia.
• He also had a history of haemoptysis, which resulted in emergency admission. He had no
significant medical history.
• Upon admission to our hospital, the patient was conscious with a body temperature of
38.7°C,
• pulse rate of 106 beats/minute,
• respiration rate of 32 breaths/minute,
• and blood pressure of 96/62 mmHg.
• He also had shortness of breath and tachycardia.
Clinical Case
• Haemoglobin level of 10.7 g/L
• thrombocytopenia platelet count of 62,000
• inflammation as indicated by a C-reactive protein level of 138.2 mg/L
• and liver dysfunction as shown by an aspartate aminotransferase
level of 62 U/L
• alanine aminotransferase level of 70 U/L
• Urinalysis revealed haematuria, mild proteinuria, and leukocytes in
the urine.
• During the night of admission, the patient’s condition deteriorated
and he developed massive haemoptysis, dyspnoea, and cold
extremities.
A computed tomography scan revealed bilateral pulmonary infiltrations.
The patient was then transferred to the intensive care unit.
• In the intensive care unit, he was placed on mechanical ventilation and treated with
several doses of a fluid bolus (normal saline),
• broad-spectrum antibiotics
• haemostatics
• blood transfusion (red blood cell suspension and platelets) for 3 days. However, this
treatment was ineffective.
• On the third day of admission, he started desaturating due to continuous massive
pulmonary haemorrhage despite the mechanical ventilation.
• He developed multiple organ dysfunction syndrome, including liver failure, renal failure,
and myocardial depression.
• His aspartate aminotransferase, creatinine, CK-MB, and PaO2/FiO2 ratio were 4660 U/L,
247 µmol/L, 356 IU/L, and 70, respectively. Veno-venous extracorporeal membrane
oxygenation and continuous renal replacement therapy were initiated
• . Under extracorporeal life support (ECLS), his blood pressure was 130–100/50–30 mmHg
(with administration of norepinephrine at 2 µg/kg/minute)
• His arterial oxygen saturation was 88% to 96%. Meanwhile, his microcirculation was
suboptimal as indicated by anuria
• hyperlactic acidaemia
• His finger pulse oxygenation readings could not be obtained.
• On the fourth day of admission, fibreoptic bronchoscopy revealed diffuse haemorrhage in the mucosa of
the bronchi and bronchioles.
• We sequenced the specimens collected from the airway and alveolar lavage fluid using next-generation
gene sequencing (NGS).
• The next day, the DNA of Leptospira interrogans was detected in the bronchoalveolar lavage fluid by NGS
(shotgun sequencing).
• With the patient’s possible history of contact with contaminated water and the DNA sequence
of Leptospira detected in his bronchoalveolar lavage fluid, pulmonary haemorrhagic leptospirosis was
considered, and the patient was treated with intravenous injection of penicillin every 6 hours.
• Unfortunately, despite aggressive treatment to control the pulmonary haemorrhage, the massive
haemoptysis persisted.
• On the fifth day of admission, the patient’s haemoglobin level dropped from 107 to 65 g/L, his platelet
count dropped from 62 to 43 × 109
/L
• his fibrinogen level dropped from 7.70 to 0.76 mg/dL because of the massive haemoptysis, regardless of
the blood products that had been administered during the previous 3 days (46.5 U red blood cell
suspension, 40 U platelets
• 3980 mL fresh frozen plasma, and 20 U cryoprecipitate. On day 6 of admission, the patient died of
haemorrhagic shock caused by refractory pulmonary haemorrhage and irreversible multiple organ failure.
Laboratory parameters (reference range) On
admission
Day 3 Day 4 Day 5
Haemoglobin (130–175 g/L) 107 50 80 65
Leukocyte count (3.5–9.5 × 109
/L) 5.69 23.12 20.53 7.93
Platelets (125–350 × 109
/L) 62 40 21 43
PT (10–14 s) 11.8 43.5 44.9 35.7
APTT (25–32 s) 45.5 45.9 46.8 49
Fibrinogen (2–4 g/L) 7.7 2.36 0.54 0.76
Creatinine (44–115 µmol/L) 101 247 285 285
Albumin (40–55 g/L) 31.4 23.9 32.0 26.3
Bilirubin total (3.4–20.5 µmol/L) 25.1 47.2 146.3 133.9
Aspartate aminotransferase (10–37 U/L) 62 4660 7608 2763
Alanine aminotransferase (10–40 U/L) 70 11699 38354 15075
CRP (0–8 mg/L) 138.2 / / /
CK (24–195 IU/L) 291 688 / /
CK-MB (0–25 IU/L) 17 356 / /
Potassium (3.5–5.3 mmol/L) 3.0 5.8 4.74 4.86
Lactate (0.5–1.7 mmol/L) 1.3 18.03 23.76 26.45
pH (7.35–7.45) 7.47 6.65 7.08 7.14
SaO2 (95%–98%) 98 70 93.6 86.6
PaO2 (80–100 mmol/L) 88 78 92.8 63.8
PaCO2 (35–45 mmHg) 30.1 44 30.0 52.6
Differential diagnosis for Diffuse Alveolar Haemorrhage
•Zoonotic disease
•Caused by spirochete Leptospira.
•Historically known as Weil’s disease.
•Described in 1885 by Adolf weil with clinical hall marks of
Splenomegaly
Jaundice
Nephritis
INTRODUCTION
One of the emerging infectious disease
since the late 1990
Recent large out breaks in several Asian ,
Central and South American countries
Becoming an important public health
problem , yet it continues to be under
recognized
Genus Leptospira , order Spirochetales ,
family Leptospiraceae.
Can live both in animals and free in the
environment (both pathogenic and
saprophytic).
Around 250 serovars from 20 species cause
disease in humans and animals.
Organism
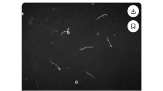
All species are morphologically identical
Tightly and regularly coiled with hooked
ends.
Highly motile along the longitudinal axis.
Gram Negative and Aerobic
Morphology
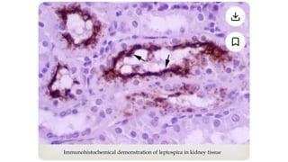
Not seen by direct light microscopy
Dark field or phase contrast microscopy must be used
In tissues
 Silver impregnation(Warthin starry staining)
 Immunohistochemistry or
 Immunoflourescene microscopy
Isolation difficult
Zoonotic disease
No human to human transmission
Most important sources are rats , dogs , cattle and pigs.
The most common culture medium for leptospira is Ellinghausen
McCullough – johnson – Harris(EMJH)medium
Noble agar
Fletchers medium
Epidemiology
Domestic animals : Temporary carrier
Rodents : Permanent carrier
Rodents are therefore considered as the
major reservoir of infection.
RAT(Rattus norvegicus and Rattus rattus )
Associated L.interrogans serovars
Icterohaemorrhagic and copenhageni are
mostly associated with Weil’s disease.
Transmitted through contact with infected animal urine and other
excreta (Eg Placenta).
Contact may be
 Direct or
 Indirect through surface water or moist soil.
•Patterns of transmission can be
Epidemic
Endemic
Sporadic
• Seasonal rains and flooding are the most important factors causing
epidemics
Endemic disease is facilitated by
 Tropical humid environment
 Poor sanitation
 Rodent and dog population
 Sporadic disease is associated with
Occupation : Veterinary , sewer and slaughter house workers.
Poor hygiene areas e.g. Slums
Adventure travel
Military training
No precise estimates of the global burden of human leptospirosis
Estimated annual incidence(WHO)- 0.1 to 1 per 100 000 per year in
temperate climates – 10 or more per 100 000 per year in the humid
tropics.
Estimated case-fatality rates in different parts of the world have been
reported to range from < 5% - 30%
Considered a rare zoonotic disease in India with only sporadic cases
being recorded
Since 1980’s the disease has been reported from various states during
monsoon months in mini epidemic proportions.
Indian perspective
The disease is endemic in
Kerala
Tamil Nadu
Gujarat
Andamans
Karnataka
Maharashtra
It has also been reported from Andhra pradesh , Orissa , West
Bengal , Uttar Pradesh , Delhi & puducherry
Leptospirosis has been under – reported and under – diagnosed from
India due to
Lack of awareness of the disease and
Lack of appropriate laboratory diagnostic facilities in most parts of
the country .
Clinical expression can be
Sub clinical infection 90 %
Undifferentiated febrile ill ness
Weil’s disease 10%
Severe pulmonary haemorrhagic syndrome
Incubation period 2-30 days (Average 5-14 days).
Clinical Features
Classically described as Biphasic
Acute phase :
 3- 10 days
Leptospiraemia : blood culture may be positive
This phase responds to antibiotics
Immune phase:
This phase less responds to antibiotics
Isolation from Urine
This phase is mediated by antibodies and immunocomplexes which
damages the tissues.(cytokine storm)
Conjuctival suffusion
Pharyngeal erythema with out exudate
Rashes
Muscular tenderness
Rales in lungs
Meningismus
Hyporeflexia or areflexia
Physical Examination
Conjunctival suffusion
It occurs in 10% of leptospira cases.
The most severe form of Leptospirosis
Monophasic and fluminant
Variable combinations of jaundice , Acute kidney injury , Hypotension
and Haemorrhage.
Pulmonary haemorrhage(50% - 70% mortality)
Multisystem involvement occurs
Weil’s Disease
Presents with jaundice
It causes acute hepatitis
LFT-TB ,SGOT,SGPT are markedly elevated .
Liver can be enlarged and tender
Splenomegaly in minority of patients
In severe cases may progress to acute liver failure.
MARS (molecular adsorbent recirculating system).
( Liver dialysis)
Liver involvement
Can manifest after several days of illness
Can be oliguric /Non oliguric
Dyselectrolytemia is common : hypokalemia , hyponatremia and
hypomagnesemia is non –oliguric disease
Hypotension may cause tubular necrosis and oliguria
In the first week acute tubular necrosis occur in acute phase.
Acute interstitial nephritis occur in the immune phase of illness.
Patient may require haemodialysis or CRRT.
Kidney involvement
s
• Leptospirosis in pregnancy is a severe zoonotic disease that can lead to severe
complications for both mother and the foetus including miscarriage , still birth
and fetal death.
• It crosses placenta
• Maternal adverse outcomes
Subclinical,undifferentiated fever ,weil’s disease, severe pulmonary
haemorrhagic syndrome, ARDS ,MODS and maternal death
 Foetus ------It causes abortion, stillbirth , IUDR, small for gestational age ,foetal
death.
 The complications are more in second trimester than third trimester
Leptospirosis in Pregnancy
Manifest with cough(most common)
Chest pain and haemoptysis
Severe pulmonary Haemorrhage
Presents as acute respiratory distress
Syndrome(ARDS).(50-70%mortality).
Alveolar infiltrates are visible on CXR
Pulmonary involvement
Cardiac
Myocarditis
Neurological
Aseptic meningitis
Hypo or areflexia
Eyes:
Uveitis
Skeletal muscles:
Severe myalgia of calves and abdominal muscles , rhabdomyolysis
Cholecystitis
Pancreatitis (can cause hypo / hyperglycemia)
Other manifestations
High index of suspicion is critical in a setting of
An appropriate exposure history
Infection’s protean manifestations
Biochemical , Hematological and urinalysis may suggest but are not
specific for diagnosis.
Diagnosis
The disease is usually diagnosed by –
Detecting antibodies using various serological tests
Culturing the bacteria from blood , CSF ,urine and tissues
Demonstrating the presence of leptospires in tissues using antibodies labelled
with fluorescent markers
Polymerase chain reaction
Immuno staining
Culture take many weeks and can not guide clinical care
Dark field microscopy of blood /urine not recommended
Microscopic agglutination test (MAT) is the gold standard : sensitivity
92% Specificity 95%
MAT has a very limited availability
Serological tests
When patients have a high pretest probability : a single antibody titer
>1:200 is considered strong evidence infection
In regions where leptospirosis transmission and subclinical disease are
common , higher titres are generally required
MAT is generally negative in the first 7-10days after the onset of infection
Paired acute – and convalescent – phase serum samples are preferred to
document sero conversion or a four fold rise in titer
Genus specific or rapid test include
ELISA
Macroscopic slide agglutination test (MSAT)
Latex agglutination test
Dipstick Tests (Lepto dipstick , Lepto tek lateral flow)
Lepto Tek Dri –Dor test
Indirect hemagglutination
Leptospires can be cultured from blood and csf during first 7-10 days
URINE CULTURE USEFUL BEGINNING IN THE 2ND
WEEK
May take 2 -4 weeks to be positive
Urine cultures can remain positive for many months / years despite
therapy
Isolation
Malaria
Enteric fever
Dengue / chicken guniya
Hanta virus infection
Viral hepatitis
Influenza
Rickettisal diseases
Differential diagnosis
Prompt initiating of antibiotic therapy shortens the course and
prevents progression
Mild Leptospirosis resolves with out any tretment
Treatment
Renal involvement may require haemodialysis
Hypotension can be managed by fluids and vasopressors
Severe disease should be treated empirically with broad spectrum
antibiotics before confirmation
Severe pulmonary haemorrhagic syndrome should be immediately
incubated and mechanically ventilated.
In severe cases VV-ECMO ,plasmapheresis ,iv methylprednisolone can be
used.
Advanced age , pulmonary involvement , elevated creatinine ,
oliguria and thrombocytopenia indicate poor prognosis
Severe liver dysfunction is associated with poor prognosis.
In many cases no permanent sequelae or progressive organ
dysfunction after resolution
Prognosis
No vaccine available currently for humans.
Short term antibiotic prophylaxis can be used for well – defined
exposures
Doxycycline 100mg or Azithromycin 250 mg once a week may be used
Avoid contaminated water
Wear protective gear
Control Rodents
Wash skin immediately
Drink safe water
Vaccinate pets
Prevention
• Caused by Leptospira bacteria, often found in water contaminated with urine from
infected animals.
• Common in tropical and subtropical regions, especially after floods.Symptoms range
from mild flu-like illness to severe complications (e.g., kidney/liver failure, Weil’s
disease).
• Wear protective clothing and avoid swimming or wading in potentially contaminated
water.
• Antibiotics are effective, especially if started early.
Summary
 Adequate history of exposure is most important in diagnosis
 Possibility of leptospirosis to be kept in d/d of all icteric illness
 Prompt treatment can prevent life threatening complications
 Health education and awareness for prevention
Leptospirosis should be considered in the differential diagnosis of
diffuse alveolar haemorrhage
Take home message
Karimnagar TS apicon.pptx Cardiomyopathy

Karimnagar TS apicon.pptx Cardiomyopathy

  • 2.
    Clinical overview ofLeptospirosis
  • 3.
    • A 49-year-oldmale farm worker presented to the hospital with a 4-day history of dizziness • fatigue • chest tightness, • cough, chills, fever, conjunctival congestion • myalgia. • He also had a history of haemoptysis, which resulted in emergency admission. He had no significant medical history. • Upon admission to our hospital, the patient was conscious with a body temperature of 38.7°C, • pulse rate of 106 beats/minute, • respiration rate of 32 breaths/minute, • and blood pressure of 96/62 mmHg. • He also had shortness of breath and tachycardia. Clinical Case
  • 4.
    • Haemoglobin levelof 10.7 g/L • thrombocytopenia platelet count of 62,000 • inflammation as indicated by a C-reactive protein level of 138.2 mg/L • and liver dysfunction as shown by an aspartate aminotransferase level of 62 U/L • alanine aminotransferase level of 70 U/L • Urinalysis revealed haematuria, mild proteinuria, and leukocytes in the urine. • During the night of admission, the patient’s condition deteriorated and he developed massive haemoptysis, dyspnoea, and cold extremities.
  • 5.
    A computed tomographyscan revealed bilateral pulmonary infiltrations. The patient was then transferred to the intensive care unit.
  • 6.
    • In theintensive care unit, he was placed on mechanical ventilation and treated with several doses of a fluid bolus (normal saline), • broad-spectrum antibiotics • haemostatics • blood transfusion (red blood cell suspension and platelets) for 3 days. However, this treatment was ineffective. • On the third day of admission, he started desaturating due to continuous massive pulmonary haemorrhage despite the mechanical ventilation. • He developed multiple organ dysfunction syndrome, including liver failure, renal failure, and myocardial depression. • His aspartate aminotransferase, creatinine, CK-MB, and PaO2/FiO2 ratio were 4660 U/L, 247 µmol/L, 356 IU/L, and 70, respectively. Veno-venous extracorporeal membrane oxygenation and continuous renal replacement therapy were initiated • . Under extracorporeal life support (ECLS), his blood pressure was 130–100/50–30 mmHg (with administration of norepinephrine at 2 µg/kg/minute) • His arterial oxygen saturation was 88% to 96%. Meanwhile, his microcirculation was suboptimal as indicated by anuria
  • 7.
    • hyperlactic acidaemia •His finger pulse oxygenation readings could not be obtained. • On the fourth day of admission, fibreoptic bronchoscopy revealed diffuse haemorrhage in the mucosa of the bronchi and bronchioles. • We sequenced the specimens collected from the airway and alveolar lavage fluid using next-generation gene sequencing (NGS). • The next day, the DNA of Leptospira interrogans was detected in the bronchoalveolar lavage fluid by NGS (shotgun sequencing). • With the patient’s possible history of contact with contaminated water and the DNA sequence of Leptospira detected in his bronchoalveolar lavage fluid, pulmonary haemorrhagic leptospirosis was considered, and the patient was treated with intravenous injection of penicillin every 6 hours. • Unfortunately, despite aggressive treatment to control the pulmonary haemorrhage, the massive haemoptysis persisted. • On the fifth day of admission, the patient’s haemoglobin level dropped from 107 to 65 g/L, his platelet count dropped from 62 to 43 × 109 /L • his fibrinogen level dropped from 7.70 to 0.76 mg/dL because of the massive haemoptysis, regardless of the blood products that had been administered during the previous 3 days (46.5 U red blood cell suspension, 40 U platelets • 3980 mL fresh frozen plasma, and 20 U cryoprecipitate. On day 6 of admission, the patient died of haemorrhagic shock caused by refractory pulmonary haemorrhage and irreversible multiple organ failure.
  • 8.
    Laboratory parameters (referencerange) On admission Day 3 Day 4 Day 5 Haemoglobin (130–175 g/L) 107 50 80 65 Leukocyte count (3.5–9.5 × 109 /L) 5.69 23.12 20.53 7.93 Platelets (125–350 × 109 /L) 62 40 21 43 PT (10–14 s) 11.8 43.5 44.9 35.7 APTT (25–32 s) 45.5 45.9 46.8 49 Fibrinogen (2–4 g/L) 7.7 2.36 0.54 0.76 Creatinine (44–115 µmol/L) 101 247 285 285 Albumin (40–55 g/L) 31.4 23.9 32.0 26.3 Bilirubin total (3.4–20.5 µmol/L) 25.1 47.2 146.3 133.9 Aspartate aminotransferase (10–37 U/L) 62 4660 7608 2763 Alanine aminotransferase (10–40 U/L) 70 11699 38354 15075 CRP (0–8 mg/L) 138.2 / / / CK (24–195 IU/L) 291 688 / / CK-MB (0–25 IU/L) 17 356 / / Potassium (3.5–5.3 mmol/L) 3.0 5.8 4.74 4.86 Lactate (0.5–1.7 mmol/L) 1.3 18.03 23.76 26.45 pH (7.35–7.45) 7.47 6.65 7.08 7.14 SaO2 (95%–98%) 98 70 93.6 86.6 PaO2 (80–100 mmol/L) 88 78 92.8 63.8 PaCO2 (35–45 mmHg) 30.1 44 30.0 52.6
  • 9.
    Differential diagnosis forDiffuse Alveolar Haemorrhage
  • 10.
    •Zoonotic disease •Caused byspirochete Leptospira. •Historically known as Weil’s disease. •Described in 1885 by Adolf weil with clinical hall marks of Splenomegaly Jaundice Nephritis INTRODUCTION
  • 11.
    One of theemerging infectious disease since the late 1990 Recent large out breaks in several Asian , Central and South American countries Becoming an important public health problem , yet it continues to be under recognized
  • 12.
    Genus Leptospira ,order Spirochetales , family Leptospiraceae. Can live both in animals and free in the environment (both pathogenic and saprophytic). Around 250 serovars from 20 species cause disease in humans and animals. Organism
  • 13.
    All species aremorphologically identical Tightly and regularly coiled with hooked ends. Highly motile along the longitudinal axis. Gram Negative and Aerobic Morphology
  • 15.
    Not seen bydirect light microscopy Dark field or phase contrast microscopy must be used In tissues  Silver impregnation(Warthin starry staining)  Immunohistochemistry or  Immunoflourescene microscopy Isolation difficult
  • 16.
    Zoonotic disease No humanto human transmission Most important sources are rats , dogs , cattle and pigs. The most common culture medium for leptospira is Ellinghausen McCullough – johnson – Harris(EMJH)medium Noble agar Fletchers medium Epidemiology
  • 17.
    Domestic animals :Temporary carrier Rodents : Permanent carrier Rodents are therefore considered as the major reservoir of infection. RAT(Rattus norvegicus and Rattus rattus ) Associated L.interrogans serovars Icterohaemorrhagic and copenhageni are mostly associated with Weil’s disease.
  • 18.
    Transmitted through contactwith infected animal urine and other excreta (Eg Placenta). Contact may be  Direct or  Indirect through surface water or moist soil.
  • 20.
    •Patterns of transmissioncan be Epidemic Endemic Sporadic
  • 21.
    • Seasonal rainsand flooding are the most important factors causing epidemics Endemic disease is facilitated by  Tropical humid environment  Poor sanitation  Rodent and dog population
  • 22.
     Sporadic diseaseis associated with Occupation : Veterinary , sewer and slaughter house workers. Poor hygiene areas e.g. Slums Adventure travel Military training
  • 24.
    No precise estimatesof the global burden of human leptospirosis Estimated annual incidence(WHO)- 0.1 to 1 per 100 000 per year in temperate climates – 10 or more per 100 000 per year in the humid tropics. Estimated case-fatality rates in different parts of the world have been reported to range from < 5% - 30%
  • 25.
    Considered a rarezoonotic disease in India with only sporadic cases being recorded Since 1980’s the disease has been reported from various states during monsoon months in mini epidemic proportions. Indian perspective
  • 26.
    The disease isendemic in Kerala Tamil Nadu Gujarat Andamans Karnataka Maharashtra It has also been reported from Andhra pradesh , Orissa , West Bengal , Uttar Pradesh , Delhi & puducherry
  • 27.
    Leptospirosis has beenunder – reported and under – diagnosed from India due to Lack of awareness of the disease and Lack of appropriate laboratory diagnostic facilities in most parts of the country .
  • 31.
    Clinical expression canbe Sub clinical infection 90 % Undifferentiated febrile ill ness Weil’s disease 10% Severe pulmonary haemorrhagic syndrome Incubation period 2-30 days (Average 5-14 days). Clinical Features
  • 32.
    Classically described asBiphasic Acute phase :  3- 10 days Leptospiraemia : blood culture may be positive This phase responds to antibiotics Immune phase: This phase less responds to antibiotics Isolation from Urine This phase is mediated by antibodies and immunocomplexes which damages the tissues.(cytokine storm)
  • 34.
    Conjuctival suffusion Pharyngeal erythemawith out exudate Rashes Muscular tenderness Rales in lungs Meningismus Hyporeflexia or areflexia Physical Examination
  • 35.
  • 37.
    It occurs in10% of leptospira cases. The most severe form of Leptospirosis Monophasic and fluminant Variable combinations of jaundice , Acute kidney injury , Hypotension and Haemorrhage. Pulmonary haemorrhage(50% - 70% mortality) Multisystem involvement occurs Weil’s Disease
  • 38.
    Presents with jaundice Itcauses acute hepatitis LFT-TB ,SGOT,SGPT are markedly elevated . Liver can be enlarged and tender Splenomegaly in minority of patients In severe cases may progress to acute liver failure. MARS (molecular adsorbent recirculating system). ( Liver dialysis) Liver involvement
  • 39.
    Can manifest afterseveral days of illness Can be oliguric /Non oliguric Dyselectrolytemia is common : hypokalemia , hyponatremia and hypomagnesemia is non –oliguric disease Hypotension may cause tubular necrosis and oliguria In the first week acute tubular necrosis occur in acute phase. Acute interstitial nephritis occur in the immune phase of illness. Patient may require haemodialysis or CRRT. Kidney involvement
  • 40.
    s • Leptospirosis inpregnancy is a severe zoonotic disease that can lead to severe complications for both mother and the foetus including miscarriage , still birth and fetal death. • It crosses placenta • Maternal adverse outcomes Subclinical,undifferentiated fever ,weil’s disease, severe pulmonary haemorrhagic syndrome, ARDS ,MODS and maternal death  Foetus ------It causes abortion, stillbirth , IUDR, small for gestational age ,foetal death.  The complications are more in second trimester than third trimester Leptospirosis in Pregnancy
  • 41.
    Manifest with cough(mostcommon) Chest pain and haemoptysis Severe pulmonary Haemorrhage Presents as acute respiratory distress Syndrome(ARDS).(50-70%mortality). Alveolar infiltrates are visible on CXR Pulmonary involvement
  • 42.
    Cardiac Myocarditis Neurological Aseptic meningitis Hypo orareflexia Eyes: Uveitis Skeletal muscles: Severe myalgia of calves and abdominal muscles , rhabdomyolysis Cholecystitis Pancreatitis (can cause hypo / hyperglycemia) Other manifestations
  • 43.
    High index ofsuspicion is critical in a setting of An appropriate exposure history Infection’s protean manifestations Biochemical , Hematological and urinalysis may suggest but are not specific for diagnosis. Diagnosis
  • 44.
    The disease isusually diagnosed by – Detecting antibodies using various serological tests Culturing the bacteria from blood , CSF ,urine and tissues Demonstrating the presence of leptospires in tissues using antibodies labelled with fluorescent markers Polymerase chain reaction Immuno staining Culture take many weeks and can not guide clinical care Dark field microscopy of blood /urine not recommended
  • 47.
    Microscopic agglutination test(MAT) is the gold standard : sensitivity 92% Specificity 95% MAT has a very limited availability Serological tests
  • 48.
    When patients havea high pretest probability : a single antibody titer >1:200 is considered strong evidence infection In regions where leptospirosis transmission and subclinical disease are common , higher titres are generally required MAT is generally negative in the first 7-10days after the onset of infection Paired acute – and convalescent – phase serum samples are preferred to document sero conversion or a four fold rise in titer
  • 50.
    Genus specific orrapid test include ELISA Macroscopic slide agglutination test (MSAT) Latex agglutination test Dipstick Tests (Lepto dipstick , Lepto tek lateral flow) Lepto Tek Dri –Dor test Indirect hemagglutination
  • 51.
    Leptospires can becultured from blood and csf during first 7-10 days URINE CULTURE USEFUL BEGINNING IN THE 2ND WEEK May take 2 -4 weeks to be positive Urine cultures can remain positive for many months / years despite therapy Isolation
  • 54.
    Malaria Enteric fever Dengue /chicken guniya Hanta virus infection Viral hepatitis Influenza Rickettisal diseases Differential diagnosis
  • 55.
    Prompt initiating ofantibiotic therapy shortens the course and prevents progression Mild Leptospirosis resolves with out any tretment Treatment
  • 57.
    Renal involvement mayrequire haemodialysis Hypotension can be managed by fluids and vasopressors Severe disease should be treated empirically with broad spectrum antibiotics before confirmation Severe pulmonary haemorrhagic syndrome should be immediately incubated and mechanically ventilated. In severe cases VV-ECMO ,plasmapheresis ,iv methylprednisolone can be used.
  • 58.
    Advanced age ,pulmonary involvement , elevated creatinine , oliguria and thrombocytopenia indicate poor prognosis Severe liver dysfunction is associated with poor prognosis. In many cases no permanent sequelae or progressive organ dysfunction after resolution Prognosis
  • 59.
    No vaccine availablecurrently for humans. Short term antibiotic prophylaxis can be used for well – defined exposures Doxycycline 100mg or Azithromycin 250 mg once a week may be used Avoid contaminated water Wear protective gear Control Rodents Wash skin immediately Drink safe water Vaccinate pets Prevention
  • 61.
    • Caused byLeptospira bacteria, often found in water contaminated with urine from infected animals. • Common in tropical and subtropical regions, especially after floods.Symptoms range from mild flu-like illness to severe complications (e.g., kidney/liver failure, Weil’s disease). • Wear protective clothing and avoid swimming or wading in potentially contaminated water. • Antibiotics are effective, especially if started early. Summary
  • 62.
     Adequate historyof exposure is most important in diagnosis  Possibility of leptospirosis to be kept in d/d of all icteric illness  Prompt treatment can prevent life threatening complications  Health education and awareness for prevention Leptospirosis should be considered in the differential diagnosis of diffuse alveolar haemorrhage Take home message