Download free for 30 days
Sign in
Upload
Language (EN)
Support
Business
Mobile
Social Media
Marketing
Technology
Art & Photos
Career
Design
Education
Presentations & Public Speaking
Government & Nonprofit
Healthcare
Internet
Law
Leadership & Management
Automotive
Engineering
Software
Recruiting & HR
Retail
Sales
Services
Science
Small Business & Entrepreneurship
Food
Environment
Economy & Finance
Data & Analytics
Investor Relations
Sports
Spiritual
News & Politics
Travel
Self Improvement
Real Estate
Entertainment & Humor
Health & Medicine
Devices & Hardware
Lifestyle
Change Language
Language
English
Español
Português
Français
Deutsche
Cancel
Save
EN
Uploaded by
StarSmileFramingham
PPTX, PDF
208 views
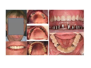
Implants
How to dental implants work at framingham 01702
Health & Medicine
◦
Related topics:
Cosmetic Dentistry
•
Dental Implant
•
Read more
0
Save
Share
Embed
Embed presentation
Download
Download to read offline
1
/ 4
2
/ 4
3
/ 4
4
/ 4
More Related Content
PPTX
Regulations
by
envifisheries
PPT
Os direct зип-прекращение_конкуренции
by
nikovalnk
PPTX
Where We End
by
Dr Nahin Mamun
PDF
How_To_Make_Your_Number_in_2016
by
christina_dieckmeyer
PPTX
Chapter 1
by
Cel Koh
PDF
โครงงานคอมพิวเตอร์
by
princess Thirteenpai
POTX
Counseling Technology PP
by
lora_reed
PDF
How video views are counted on Facebook, Snapchat and other Social Networks
by
Pressboard
Regulations
by
envifisheries
Os direct зип-прекращение_конкуренции
by
nikovalnk
Where We End
by
Dr Nahin Mamun
How_To_Make_Your_Number_in_2016
by
christina_dieckmeyer
Chapter 1
by
Cel Koh
โครงงานคอมพิวเตอร์
by
princess Thirteenpai
Counseling Technology PP
by
lora_reed
How video views are counted on Facebook, Snapchat and other Social Networks
by
Pressboard
Viewers also liked
PPTX
THE SPRINGHILL GROUP COUNSELLING
by
springhillgroup
PDF
โครงงานคอมพิวเตอร์
by
princess Thirteenpai
PDF
Webvisions ny
by
RafaSoto_herraizsoto
PPSX
What is Risk? - lightning talk for software testers (2011)
by
Neil Thompson
PDF
คำนาม คือ อะไร
by
ohm25251101
PDF
Mec sue ii
by
civilucho
PDF
Taller alcohol
by
ICS Catalunya Central
PPSX
Memes & Fitness Landscapes - analogies of testing with sci evol (2011)
by
Neil Thompson
RTF
Bio dat21
by
elmo1960
PPT
Tooth coloring 2
by
StarSmileFramingham
PDF
More About InnoSeal Systems- Tamper Evident Bag Sealer
by
Christy_innoseal
PPS
Wh questions
by
annalouie1
PDF
33d Infantry Brigade Crosswire Issue 5
by
33rdibctpao
PPT
Bab v
by
supri Yono
THE SPRINGHILL GROUP COUNSELLING
by
springhillgroup
โครงงานคอมพิวเตอร์
by
princess Thirteenpai
Webvisions ny
by
RafaSoto_herraizsoto
What is Risk? - lightning talk for software testers (2011)
by
Neil Thompson
คำนาม คือ อะไร
by
ohm25251101
Mec sue ii
by
civilucho
Taller alcohol
by
ICS Catalunya Central
Memes & Fitness Landscapes - analogies of testing with sci evol (2011)
by
Neil Thompson
Bio dat21
by
elmo1960
Tooth coloring 2
by
StarSmileFramingham
More About InnoSeal Systems- Tamper Evident Bag Sealer
by
Christy_innoseal
Wh questions
by
annalouie1
33d Infantry Brigade Crosswire Issue 5
by
33rdibctpao
Bab v
by
supri Yono
More from StarSmileFramingham
PPTX
Lumineers
by
StarSmileFramingham
PPTX
Esthetic Bonding
by
StarSmileFramingham
PPTX
Crowns bridges2
by
StarSmileFramingham
PPTX
Inlays onlays2
by
StarSmileFramingham
PPTX
Inlays onlays
by
StarSmileFramingham
PPTX
Crowns & Bridges
by
StarSmileFramingham
PPT
Periodontics gum lift
by
StarSmileFramingham
PPT
Implants presentation1
by
StarSmileFramingham
Lumineers
by
StarSmileFramingham
Esthetic Bonding
by
StarSmileFramingham
Crowns bridges2
by
StarSmileFramingham
Inlays onlays2
by
StarSmileFramingham
Inlays onlays
by
StarSmileFramingham
Crowns & Bridges
by
StarSmileFramingham
Periodontics gum lift
by
StarSmileFramingham
Implants presentation1
by
StarSmileFramingham
Recently uploaded
DOCX
Pharmacotherapeutics - II Practical Record with Clinical Examination (20 cases)
by
Sreenivasa Reddy Thalla
PPTX
The Autonomic Nervous System and Visceral Reflexes
by
cotomato21
PPTX
Sympathetic Nervous System in Pain Medicine | Anatomy, CRPS & Sympathetic Blo...
by
Daradia: The Pain Clinic
PPTX
FEBRUARY 2026 ONCOLOGY CARTOONS BY DR KANHU CHARAN PATRO
by
Kanhu Charan
PPTX
History and Evolution of Microbiology.pptx
by
VijayaRengan4
PPTX
Venous cutdown for Surgery Viva, MBBS Students
by
CBME SURGERY
PPTX
Circulatory System by Dr. Rabia Inam Gandapore.pptx
by
Dr. Rabia Inam Gandapore
PPTX
Introduction to Geriatric Nursing,Theory
by
nabina paneru
PPTX
LOW DOSE RADIATHERAPY (LDRT) IN OSTEOARTHRITIS
by
Kanhu Charan
PPTX
ONFH[AVN HIP] -TRIPLE REGIME -A NOVAL SURGICAL CONCEPT .pptx
by
drashraf369
PDF
COLLOIDAL DISPERSION PPTx. S.Y B-PHARM .
by
Akshata Jain
PDF
Seminario Biología Molecular - UNVEILING THE THERAPEUTIC POTENTIAL OF SUYIN ...
by
trabajosupbmdg
PPTX
THE STUDY OF MIND content intro and basics.pptx
by
LakshmiPrasanthi11
PPTX
sinusitis.....................................pptx
by
62cjjqfcvg
PDF
Seminario biología molecula - EBV-miR-BART5-3p
by
salvarez1862004
PPTX
Cardiovascular Disease ppt. S.Y D-Pharm.
by
Akshata Jain
PPTX
WHEN NOT TO DO TENDOACHILLES TENOTOMY.pptx
by
UmeshPrasadChoudhary
PPTX
Fresh Empanelment of Private Hospitals under CGHS 22 Dec 25 Presentation
by
billingkohakadehospi
PPTX
LEVELS OF THINKING. SHILPA HOTAKAR Applied Psychology pptx
by
SHILPA HOTAKAR
PPTX
ANATOMY AND PHYSIOLOGY OF THYROID GLAND / TRIANGLEs RELATED TO THYROID GLAND/...
by
Dr Sushil Gyawali
Pharmacotherapeutics - II Practical Record with Clinical Examination (20 cases)
by
Sreenivasa Reddy Thalla
The Autonomic Nervous System and Visceral Reflexes
by
cotomato21
Sympathetic Nervous System in Pain Medicine | Anatomy, CRPS & Sympathetic Blo...
by
Daradia: The Pain Clinic
FEBRUARY 2026 ONCOLOGY CARTOONS BY DR KANHU CHARAN PATRO
by
Kanhu Charan
History and Evolution of Microbiology.pptx
by
VijayaRengan4
Venous cutdown for Surgery Viva, MBBS Students
by
CBME SURGERY
Circulatory System by Dr. Rabia Inam Gandapore.pptx
by
Dr. Rabia Inam Gandapore
Introduction to Geriatric Nursing,Theory
by
nabina paneru
LOW DOSE RADIATHERAPY (LDRT) IN OSTEOARTHRITIS
by
Kanhu Charan
ONFH[AVN HIP] -TRIPLE REGIME -A NOVAL SURGICAL CONCEPT .pptx
by
drashraf369
COLLOIDAL DISPERSION PPTx. S.Y B-PHARM .
by
Akshata Jain
Seminario Biología Molecular - UNVEILING THE THERAPEUTIC POTENTIAL OF SUYIN ...
by
trabajosupbmdg
THE STUDY OF MIND content intro and basics.pptx
by
LakshmiPrasanthi11
sinusitis.....................................pptx
by
62cjjqfcvg
Seminario biología molecula - EBV-miR-BART5-3p
by
salvarez1862004
Cardiovascular Disease ppt. S.Y D-Pharm.
by
Akshata Jain
WHEN NOT TO DO TENDOACHILLES TENOTOMY.pptx
by
UmeshPrasadChoudhary
Fresh Empanelment of Private Hospitals under CGHS 22 Dec 25 Presentation
by
billingkohakadehospi
LEVELS OF THINKING. SHILPA HOTAKAR Applied Psychology pptx
by
SHILPA HOTAKAR
ANATOMY AND PHYSIOLOGY OF THYROID GLAND / TRIANGLEs RELATED TO THYROID GLAND/...
by
Dr Sushil Gyawali
Download