Case Scenario
 Young adult
 painless swelling in armpit , neck
 unexplained profound weight loss, high
fevers, and drenching night sweats.
HODGKIN LYMPHOMA
PA19.4
Specific Learning Objectives
 Define Hodgkins Lymphoma
 Pathogenesis of Hodgkins Lymphoma
 Pathology: Gross
: Microscopy
 Clinical Features
 Difference between Hodgkins & Non
Hodgkins Lymphoma
Characteristics of HL
 Usually arise in LNs, cervical
 Manifest clinically in young adults
 Scattered large mononucleated &
multinucleated tumor cells called
Hodgkin & Reed-Sternberg cells in an
abundant heterogenous admixture of
non neoplastic infl cells (L,P,E,H)
WHO Classification
1. CLASSICAL HODGKIN LYMPHOMA
 NODULAR SCLEROSIS
 MIXED CELLULARITY
 LYMPHOCYTE – RICH
 LYMPHOCYTE – DEPLETION
2. NODULAR LYMPHOCYTE
PREDOMINANT (NLPHL)
HODGKIN LYMPHOMA - Definition
Hodgkin’s Disease encompasses a group of
lymphoid neoplasms that differ from NHL
by :
 Presentation similar to infection
 No leukemic state
 Arise in a single node / chain of nodes &
spreads characteristically to contiguous
lymph nodes
 Reid - Sternberg cells
(distinctive neoplastic giant cell derived
from germinal center B - cells),
HD - Epidemiology
 0.7% of all new cancers (USA),
 50 % of Malignant Lymphomas
 Incidence is bimodal – young adults (32
yrs)
 Now it is curable;
ETIOPATHOGENESIS: HL
 CONTROVERSIAL!!!
 Cell of origin:
 ? Germinal centre/post GC B cell.
 (rare) transformed T cells.
 Role of EBV ??
 LMP-1 of virus—transcription factor
activation—avoid apoptosis.
 ? Inappropriate activation of NF-κB
 RS cells are aneuploid, diverse clonal
aberrations+
HD - Macroscopy
 Enlargement of cervical nodes most
frequent
 Individual nodes discrete
 C/S greyish tan or pale tan
RS CELL
CLASSICAL
REED-STERNBERG CELL
 15 - 45µm in
diameter
 Binucleate / bilobed
mirror image nuclei
 Large inclusion-like
owl eyed nucleolus,
size of a small
lymphocyte (5-7µm)
 Abundant cytoplasm
RS CELL VARIANTS
 Mononuclear Hodgkin cell-mixed
cellularity & lymphocyte rich
 Mummified cell- classical HL
 Lacunar cell – Nodular sclerosis
 Popcorn cell(L&H) – lymphocyte
predominant HL
LACUNAR CELL
 Delicate folded or
multilobate nuclei
 Abundant pale cytoplasm
that is disrupted during
cutting - lacunae
 Seen in
Nodular Sclerosis HL
MUMMIFIED CELL
 Cell shrinks &
becomes pyknotic
 Form of cell death
 Seen in:
Classical forms
of HL
MONONUCLEAR VARIANT
 Single round oblong
nucleus
 Large inclusion like
nucleolus
 Seen in :
Mixed cellularity &
Lymphocyte-rich
IMMUNOPHENOTYPE OF
RS CELL in Classical HL
 CD 15 +
 CD 30 +
 CD 20 -
 CD 45 -
L & H VARIANT
 L & H cells
 Polypoid nuclei
 Resemble popcorn
kernels (popcorn cells)
 Inconspicuous nucleoli
 Moderate amount of
cytoplasm
 Specific to
Lymphocyte
predominant HL
 CD 15, CD 30 :
negative
 RS like cells also seen in
 Infectious mononucleosus
 Solid tissue cancers
 NHL
CLASSICAL HODGKIN LYMPHOMA
 NODULAR SCLEROSIS
 MIXED CELLULARITY
 LYMPHOCYTE – RICH
 LYMPHOCYTE – DEPLETION
 LYMPHOCYTE PREDOMINANCE
CLASSICAL HODGKIN LYMPHOMA
 Cervical LNs – 75%, mediastinal,
axillary & para aortic LNs
 55% of patients have localised
disease
 Associated with EBV infection
 RS cells are CD 15 & CD 30 positive
LYMPH NODE GROSS
 Homogenous white
cut surface
 Fish flesh
appearance
NODULAR SCLEROSIS
 Most common form, 65-75% of HL
 Stage 1 or 2 disease common
 MICROSCOPY:
1. Presence of a variant of RS cell – LACUNAR
CELL. Classical RS cell : Less frequent.
2. Collagenous bands dividing the lymphoid
tissue into circumscribed nodules
3. Polymorphous background of small T
lymphocytes, eosinophils, plasma cells &
macrophages
NODULAR SCLEROSIS
NODULAR SCLEROSIS
NODULAR SCLEROSIS
 M=F, Young adults
 Involve lower cervical, supraclavicular &
mediastinal nodes
 Involvement of spleen, liver, bone
marrow in due course of disease
 RS cells less frequent
 Tumor cells are
CD 15 and CD 30 +ve
(CD 45, CD 20 –ve)
 EBV -/+
 Excellent prognosis
MIXED CELLULARITY
 Accounts for 20-25% of HL
MICROSCOPY
 Diffuse effacement of nodal architecture
 Heterogenous cellular infiltrate composed of small
lymphocytes, eosinophils, plasma cells &
macrophages
 Admixed with plentiful neoplastic cells – Classical
Reed-Sternberg cells & Mononuclear variants
 RS cells are CD 15 & CD 30 positive
 70% EBV positive
MIXED CELLULARITY
MIXED CELLULARITY
 More common in males
 Biphasic incidence – young adults &
>55yr
 Systemic symptoms – Night sweats &
weight loss
 Advanced tumor stage - 50% Stage 3
or 4
 Good prognosis
Mixed cellularity, CD15+ RS cells
LYMPHOCYTE DEPLETION
 Least common :< 5%
 Microscopy :
Paucity of lymphocytes
Abundant RS cells and pleomorphic cells.
 Older patients, HIV + patients
 Often EBV asssociated
 Advanced stage and systemic symptoms
common.
 Overall outcome : less favourable
Lymphocyte depleted
 Has few lymphocytes
 Plenty of classic RS cells
 Poor prognosis
 RS cells are CD15+’CD30+,MostEBV+
LYMPHOCYTE DEPLETED
LYMPHOCYTE-RICH
 Uncommon form of HL
 M>F, Older age
 Vast majority of cellular infiltrate
is composed of reactive lymphocytes
 Frequent Mononuclear & RS cells
 CD15+ve; CD30+ve (CD20 & 45 –ve)
 40% EBV +ve
 Good to Excellent prognosis
LYMPHOCYTE-RICH
LYMPHOCYTE PREDOMINANCE
HL
Uncommon variant; 5% of HL
MICROSCOPY
 Nodular pattern
 Popcorn cells (L&H cells)
 Nodular infiltrate of small lymphocytes
admixed with variable benign histiocytes
 Typical RS cells difficult to find
 Lymphohistiocytic variant(popcorn cell) ++
 Scant neutrophils, eosinophils & plasma cells
 No necrosis or fibrosis
LYMPHOCYTE PREDOMINANCE
 Common in males < 35 years
 Cervical or axillary lymphadenopathy
 Mediastinal & bone marrow involvement is
rare
 CD 15 -, CD 30 -,
 CD 20+, Bcl 6 +ve
 EBV -ve
 May recur
 Excellent prognosis
LYMPHOCYTE PREDOMINANCE
Lymphocyte predominance – paucity of RS cells
SPREAD
 Node  Spleen Liver Bone Marrow
 Extranodal
ANN ARBOR
CLASSIFCATION
HD - Clinical features
 Younger patients - more favorable
histologic types , clinical stage I OR II ,
no systemic symptoms
 Disseminated disease - stage III or IV ,
MC or LD , systemic symptoms
 Prognosis:: LP > NS > MC > LD
Differences
HODGKIN’S LYMPHOMA NHL
single axial group multiple peripheral nodes
spread by contiguity non-contiguos spread
mesenteric & Waldeyers not
involved
mesenteric &Waldeyers
involved
extranodal uncommon extranodal common
Question & Answer
 Define Hodgkin's Lymphoma
 RS cell
 Variants of RS Cell
 Difference between Hodgkins & Non
Hodgkins Lymphoma

HODGKIN LYMPHOMA - DEFINITION, PATHOGENESIS & PATHOLOGY

  • 1.
    Case Scenario  Youngadult  painless swelling in armpit , neck  unexplained profound weight loss, high fevers, and drenching night sweats.
  • 2.
  • 3.
    Specific Learning Objectives Define Hodgkins Lymphoma  Pathogenesis of Hodgkins Lymphoma  Pathology: Gross : Microscopy  Clinical Features  Difference between Hodgkins & Non Hodgkins Lymphoma
  • 6.
    Characteristics of HL Usually arise in LNs, cervical  Manifest clinically in young adults  Scattered large mononucleated & multinucleated tumor cells called Hodgkin & Reed-Sternberg cells in an abundant heterogenous admixture of non neoplastic infl cells (L,P,E,H)
  • 7.
    WHO Classification 1. CLASSICALHODGKIN LYMPHOMA  NODULAR SCLEROSIS  MIXED CELLULARITY  LYMPHOCYTE – RICH  LYMPHOCYTE – DEPLETION 2. NODULAR LYMPHOCYTE PREDOMINANT (NLPHL)
  • 8.
    HODGKIN LYMPHOMA -Definition Hodgkin’s Disease encompasses a group of lymphoid neoplasms that differ from NHL by :  Presentation similar to infection  No leukemic state  Arise in a single node / chain of nodes & spreads characteristically to contiguous lymph nodes  Reid - Sternberg cells (distinctive neoplastic giant cell derived from germinal center B - cells),
  • 9.
    HD - Epidemiology 0.7% of all new cancers (USA),  50 % of Malignant Lymphomas  Incidence is bimodal – young adults (32 yrs)  Now it is curable;
  • 10.
    ETIOPATHOGENESIS: HL  CONTROVERSIAL!!! Cell of origin:  ? Germinal centre/post GC B cell.  (rare) transformed T cells.  Role of EBV ??  LMP-1 of virus—transcription factor activation—avoid apoptosis.  ? Inappropriate activation of NF-κB  RS cells are aneuploid, diverse clonal aberrations+
  • 12.
    HD - Macroscopy Enlargement of cervical nodes most frequent  Individual nodes discrete  C/S greyish tan or pale tan
  • 13.
  • 15.
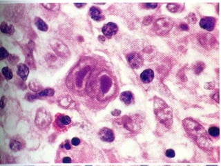
    CLASSICAL REED-STERNBERG CELL  15- 45µm in diameter  Binucleate / bilobed mirror image nuclei  Large inclusion-like owl eyed nucleolus, size of a small lymphocyte (5-7µm)  Abundant cytoplasm
  • 16.
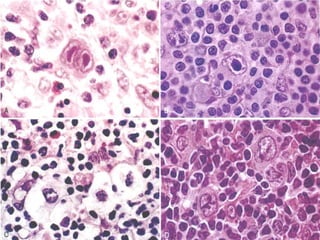
    RS CELL VARIANTS Mononuclear Hodgkin cell-mixed cellularity & lymphocyte rich  Mummified cell- classical HL  Lacunar cell – Nodular sclerosis  Popcorn cell(L&H) – lymphocyte predominant HL
  • 17.
    LACUNAR CELL  Delicatefolded or multilobate nuclei  Abundant pale cytoplasm that is disrupted during cutting - lacunae  Seen in Nodular Sclerosis HL
  • 18.
    MUMMIFIED CELL  Cellshrinks & becomes pyknotic  Form of cell death  Seen in: Classical forms of HL
  • 19.
    MONONUCLEAR VARIANT  Singleround oblong nucleus  Large inclusion like nucleolus  Seen in : Mixed cellularity & Lymphocyte-rich
  • 20.
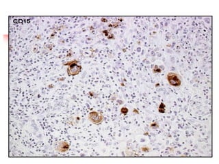
    IMMUNOPHENOTYPE OF RS CELLin Classical HL  CD 15 +  CD 30 +  CD 20 -  CD 45 -
  • 22.
    L & HVARIANT  L & H cells  Polypoid nuclei  Resemble popcorn kernels (popcorn cells)  Inconspicuous nucleoli  Moderate amount of cytoplasm  Specific to Lymphocyte predominant HL  CD 15, CD 30 : negative
  • 23.
     RS likecells also seen in  Infectious mononucleosus  Solid tissue cancers  NHL
  • 25.
    CLASSICAL HODGKIN LYMPHOMA NODULAR SCLEROSIS  MIXED CELLULARITY  LYMPHOCYTE – RICH  LYMPHOCYTE – DEPLETION  LYMPHOCYTE PREDOMINANCE
  • 26.
    CLASSICAL HODGKIN LYMPHOMA Cervical LNs – 75%, mediastinal, axillary & para aortic LNs  55% of patients have localised disease  Associated with EBV infection  RS cells are CD 15 & CD 30 positive
  • 27.
    LYMPH NODE GROSS Homogenous white cut surface  Fish flesh appearance
  • 28.
    NODULAR SCLEROSIS  Mostcommon form, 65-75% of HL  Stage 1 or 2 disease common  MICROSCOPY: 1. Presence of a variant of RS cell – LACUNAR CELL. Classical RS cell : Less frequent. 2. Collagenous bands dividing the lymphoid tissue into circumscribed nodules 3. Polymorphous background of small T lymphocytes, eosinophils, plasma cells & macrophages
  • 29.
  • 30.
  • 31.
    NODULAR SCLEROSIS  M=F,Young adults  Involve lower cervical, supraclavicular & mediastinal nodes  Involvement of spleen, liver, bone marrow in due course of disease  RS cells less frequent  Tumor cells are CD 15 and CD 30 +ve (CD 45, CD 20 –ve)  EBV -/+  Excellent prognosis
  • 32.
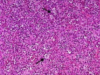
    MIXED CELLULARITY  Accountsfor 20-25% of HL MICROSCOPY  Diffuse effacement of nodal architecture  Heterogenous cellular infiltrate composed of small lymphocytes, eosinophils, plasma cells & macrophages  Admixed with plentiful neoplastic cells – Classical Reed-Sternberg cells & Mononuclear variants  RS cells are CD 15 & CD 30 positive  70% EBV positive
  • 33.
  • 34.
    MIXED CELLULARITY  Morecommon in males  Biphasic incidence – young adults & >55yr  Systemic symptoms – Night sweats & weight loss  Advanced tumor stage - 50% Stage 3 or 4  Good prognosis
  • 36.
  • 37.
    LYMPHOCYTE DEPLETION  Leastcommon :< 5%  Microscopy : Paucity of lymphocytes Abundant RS cells and pleomorphic cells.  Older patients, HIV + patients  Often EBV asssociated  Advanced stage and systemic symptoms common.  Overall outcome : less favourable
  • 38.
    Lymphocyte depleted  Hasfew lymphocytes  Plenty of classic RS cells  Poor prognosis
  • 39.
     RS cellsare CD15+’CD30+,MostEBV+
  • 40.
  • 41.
    LYMPHOCYTE-RICH  Uncommon formof HL  M>F, Older age  Vast majority of cellular infiltrate is composed of reactive lymphocytes  Frequent Mononuclear & RS cells  CD15+ve; CD30+ve (CD20 & 45 –ve)  40% EBV +ve  Good to Excellent prognosis
  • 42.
  • 43.
    LYMPHOCYTE PREDOMINANCE HL Uncommon variant;5% of HL MICROSCOPY  Nodular pattern  Popcorn cells (L&H cells)  Nodular infiltrate of small lymphocytes admixed with variable benign histiocytes  Typical RS cells difficult to find  Lymphohistiocytic variant(popcorn cell) ++  Scant neutrophils, eosinophils & plasma cells  No necrosis or fibrosis
  • 44.
    LYMPHOCYTE PREDOMINANCE  Commonin males < 35 years  Cervical or axillary lymphadenopathy  Mediastinal & bone marrow involvement is rare  CD 15 -, CD 30 -,  CD 20+, Bcl 6 +ve  EBV -ve  May recur  Excellent prognosis
  • 45.
  • 46.
    Lymphocyte predominance –paucity of RS cells
  • 47.
    SPREAD  Node Spleen Liver Bone Marrow  Extranodal
  • 48.
  • 50.
    HD - Clinicalfeatures  Younger patients - more favorable histologic types , clinical stage I OR II , no systemic symptoms  Disseminated disease - stage III or IV , MC or LD , systemic symptoms  Prognosis:: LP > NS > MC > LD
  • 51.
    Differences HODGKIN’S LYMPHOMA NHL singleaxial group multiple peripheral nodes spread by contiguity non-contiguos spread mesenteric & Waldeyers not involved mesenteric &Waldeyers involved extranodal uncommon extranodal common
  • 52.
    Question & Answer Define Hodgkin's Lymphoma  RS cell  Variants of RS Cell  Difference between Hodgkins & Non Hodgkins Lymphoma