HYPOXIC ISCHEMIC
ENCEPHALOPATHY:
DIAGNOSIS AND MANAGEMENT
- DR. YASH DALAL
DIAGNOSIS
• Recognition of neonatal HIE depends mainly on information gained from a
careful history (antenatal, perinatal) and a thorough neurological
examination
• This along with blood investigations s/o metabolic derangements helps to
reach the diagnosis
• Determination of the site and extent of injury is made by history,
neurological examination, EEG, neuroimaging studies (cranial
ultrasonography, MRI)
HISTORY
• Awareness of pre-existing maternal and fetal problems that may predispose to
perinatal asphyxia and of changing placental and fetal conditions ascertained
by USG, BPP, NST helps in assessment of the risk to the fetus
• Factors that increase the risk of perinatal asphyxia:
- Impairment of maternal oxygenation
- Decreased blood flow from mother to placenta
- Decreased blood flow from placenta to fetus
- Impaired gas exchange across placenta or at fetal tissue level
- Increased fetal oxygen requirement
- Prolonged labor: 1st stage more than 18 hrs, 2nd stage more than 2 hrs
• Etiologies of hypoxia-ischemia:
- Maternal factors: hyper/hypotension, infection, DM, maternal vascular
disease, hypoxia
- Placental factors: Abruptio placenta, placenta previa
- Uterine rupture
- Umbilical cord accidents: cord prolapse
- Abnormalities of umbilical vessels
- Fetal factors: anemia, infection, hydrops
- Neonatal factors: CCHD, PPHN, cardiomyopathy, respiratory failure, MAS
• Low APGAR scores and need for resuscitation in the delivery room
NEUROLOGICAL EXAMINATION
• Recognition of neurological signs provides critical information regarding the
presence, site, extent of hypoxic-ischemic injury in the newborn
• 1st systematic neurological examination in the 1st 6 hours helps in
recognition of presence and severity of neonatal HIE, also allows for
initiation of neuroprotective strategies
• Subsequent examinations over the 1st week of life: carries important
information for establishing the prognosis
SARNAT AND SARNAT SCORING SYSTEM
NICHD GRADING SYSTEM
LEVENE GRADING SYSTEM
LABORATORY EVALUATION
• Umbilical cord blood gas/ 1st hour blood gas:
Severe acidosis: pH≤7, BD≥16
• Hypoglycemia, hyperammonemia, hypocalcemia, hyponatremia, hypoxemia,
acidosis are commonly seen
• Cardiac markers:
- Elevated serum creatine kinase myocardial bound (CK-MB) > 5-10% indicates
myocardial injury
- Cardiac Troponin I, Troponin T are also markers of myocardial damage,
elevated levels asphyxia, but not used currently
• Neurologic markers:
- Serum CK-BB may be increased within 12 hours but does not correlate with
long term neurodevelopmental outcome
- Protein S-100, NSE, Glial fibrillary acidic protein, Ubiquitin carboxyl terminal
hydrolase L1 (UCH-L1), total tau protein hold promise as early biomarkers of
brain injury
• Renal evaluation:
- BUN, sr creat may be elevated 2-4 days after the insult
- Urine levels of beta 2 microglubulin have been used as an indicator of
proximal tubular dysfunction
• Liver:
- Elevated liver enzymes, deranged coagulation profile
• Early clinical detection of blood/CSF biomarkers might allow an earlier
diagnosis compared to neuroimaging modalities
• This allows earlier initiation of intervention measures to improve
neonatal survival and reduce the degree of brain injury
• Lumbar puncture:
- Performed in any infant with HIE in whom diagnosis is not clear
- Helps to rule out potentially treatable intracranial disorders like early
onset meningitis and other conditions that mimic HIE
EEG
• Provides information regarding the severity of injury
• Initially, voltage suppression and decrease in frequency into delta and low theta
ranges
• Within 1 day, excessively discontinuous pattern, characterized by periods of
greater voltage suppression interspersed with bursts, asynchronous, with sharp
and slow waves
• After a day, excessively discontinuous pattern becomes more prominent with
more severe voltage suppression and fewer bursts, with spikes and slow waves
(burst-suppression pattern)
• In the severely affected infant, this evolves into isoelectric tracing: poor prognosis
• Those asphyxiated infants whose EEG tracings revert to normal within
approximately 1 week, have favorable outcomes
• aEEG: commonly applied method for continuous monitoring of
electrical activity in the newborn
• Low voltage, flat, burst-suppression pattern  severe
encephalopathy unfavorable outcomes
• Rapid recovery (within 24 hours) a/w favorable outcomes
• Continuous monitoring of conventional EEG: useful in identifying seizure activity
• Guidelines on continuous EEG monitoring in the newborn (American Clinical
Neurophysiology Society, 2011)
- Electrodes be placed using the International 10 to 20 system with additional
electrocardiogram, respiratory, eye, electromyography leads
- At least 1 hour of recording be assessed to adequately assess cycling through
wakefulness and sleep
- High risk newborns be monitored for atleast 24 hrs to screen the presence of
electrographic seizures
- In newborns with seizures, monitoring should occur during seizure management
and for an additional 24 hrs after the last electrographic seizure
• AAP recommendation: centres performing TH have either aEEG or conventional EEG
for seizure identification
• The type of EEG abnormality may indicate specific pathological variety of
hypoxic-ischemic brain injury along with the prognosis
The time of onset of sleep-wake cycling also has a prognostic value, if SWC returns before 36
hours of age, a/w good prognosis.
NEUROIMAGING
• Used to identify key neuropathologies
- Selective neuronal necrosis:
1) Diffuse injury
2) Cerebral cortex-deep nuclear injury
3) Deep nuclear- brain stem injury
- Parasagittal cerebral injury
- Periventricular leukomalacia
- Focal ischemic necrosis and stroke
CRANIAL ULTRASONOGRAPHY
• Most commonly used neuroimaging modality in NICU
• Only modality available if the neonate is unfit for transfer
• Sensitive for parenchymal hemorrhage, ventricular size, gross brain
malformations, cystic changes in the brain, deep nuclear gray matter injury
• Resistivity index (normal: 0.65-0.90), less than 0.5 and more than 0.9 abnormal
• The changes are usually not detectable in 1st 24-48 hours
CT SCAN
• Not used frequently because of increased radiation exposure and less
sensitive as compared to MRI
• Maybe used to detect cerebral edema, hemorrhage, bone
abnormalities
• Only advantage: shorter examination time, wider availability
MRI
• Best modality for determining the severity and extent of irreversible
hypoxic ischemic brain injury
• Conventional sequences best for detection of brain injury in the 1st 7
days, and a scan as late as 14 days or beyond may be needed to show
the full extent of injury
• Diffusion-weighted imaging (DWI) can show abnormalities within
hours of an early HI insult that may be useful in the diagnosis of
neonatal HIE and an early indicator of possible brain injury
• DWI can underestimate and overestimate the severity of brain injury depending on
the timing of the study
• Early DWI scans: restricted diffusion in the affected brain regions
• 7-10 days of age: pseudonormalization of diffusion, so DWI can be normal despite
the presence of HI injury
• After 7-10 days, diffusion increased in the regions of injury
• Susceptibility-weighted imaging: detection of hemorrhage, including those within
areas of ischemic injury
• MR angiography/venography: when there is suspicion of vascular anomalies,
thrombo embolic diseases
• Proton magnetic resonance spectroscopy: Elevated lactate, decreased N
acetylaspartate and alterations of the ratios of these 2 metabolites in relation to
choline and creatine can indicate HIE and help determine prognosis
• Certain distributional patterns of brain injury which may be typical of
HI injury are:
- Injury to deep gray nuclei especially the posterior putamen and
anterolateral thalami
- Parasaggital injury of cerebral cortex and subcortical white matter in
the arterial watershed distribution
• Early brain MRI (1-5 days) is useful for:
- Detection of early restricted diffusion that indicates early HI injury
- To assess if injury is already well established (antenatal vs perinatal)
- To establish any potential etiology of encephalopathy besides HI
- To begin to assess the presence/severity of Hi injury
• Late MRI scans useful to detect the severity and location of the injured
areas, best determined by conventional T1 and T2 weighted imaging
sequences at 10-14 days or beyond
DWI sequences will show increased diffusion in affected areas
Prognosis based on MRI
• Abnormal signal in the posterior limb of the internal capsule appreciated
on a brain MRI obtained in 1st 2 weeks of life a/w adverse neurological
outcome
• Lesions associated affecting b/l basal ganglia and thalami that are detected
by MRI in the first weeks of life have been associated with poor neurologic
outcomes and death
• Brainstem lesions on MRI a/w increased risk of death
• Watershed pattern of brain injury may be associated with long term
cognitive, language and motor deficits
MANAGEMENT
• Apart from neurological involvement, infants with HIE also have
disturbances of pulmonary, cardiovascular, hepatic and renal functions
too.
• The goals of management include:
i) Prevention of peripartum hypoxic-ischemic insult
ii) Recognition of peripartum hypoxic-ischemic insult
iii) Stabilization of systemic physiology
iv) Control of seizures
v) Commencement of neuroprotective therapy
Prevention of peripartum hypoxic-ischemic injury
• Recognition of high risk pregnancies is essential as in most of these cases, the insult
occurs in-utero.
• First goal is identification of the fetus being subjected to or likely to experience
hypoxic-ischemic insults with labor and delivery
• Thus, antepartum assessment plays an important role to assess the fetal well being
• If required, fetal blood sampling to determine pH and blood gas values can also be
carried out
• Caesarean section: Critical intervention to prevent the degree of asphyxia that leads
to brain injury
Recognition of peripartum hypoxic-ischemic injury
• Antenatal history and events following delivery
• Need for resuscitation (FiO2: 21-30%)
• Evaluation for metabolic acidosis and hypoxemia with cord blood gas
measurement and infant blood gas measurements within 60 minutes
of birth
INTACT CORD RESUSCITATION
Nepcord III trial:
- Higher SpO2 at 1, 5, 10 mins after
birth
- Higher APGAR score at 1,5,10 mins
- Started to breathe and establish
regular breathing earlier
Stabilization of Systemic Physiology
• Maintenance of adequate ventilation:
- Adequate ventilation, along with maintenance of temperature, perfusion
and metabolic status are the cornerstones of supportive care
- Postnatal disturbances in ventilation and perfusion: play an important role
in determining the severity of neurologic injury
- Maintain pO2 between 60-90 mm Hg and pCO2 between 35-45 mm Hg
• Hypoxemia:
- Causes disturbance of cerebrovascular autoregulation
- Makes the neonate vulnerable to superimposed ischemic cerebral injury
with only moderate decrease in arterial pressure
- Results in neuronal and white matter injury
- Rx: supplement oxygen, ventilation if required
• Hyperoxia:
- Leads to cerebral vasoconstriction and increased free radical induced
oxidative stress: which leads to neuronal and white matter injury
- Decreased cerebral blood flow
- Increased mortality
• Hypercarbia:
- Increased tissue PCO2 leads to worsening intracellular acidosis in brain 
impaired cerebrovascular autoregulation
- Vasodilatation: increased cerebral blood flow increased risk of
hemorrhage in the vulnerable areas
- Also causes increased blood flow to uninjured areas, relative ischemia to
damaged areas: STEAL phenomenon
• Hypocarbia:
- Decreasd cerebral blood flowischemic injury
• Temperature:
- Avoid hyperthermia
- Maintain normal temperature
- Therapeutic hypothermia
• Perfusion:
- Maintenance of normal perfusion to prevent additional ischemic injury
- Hypoxemia, hypercarbia complicate the management as they lead to
disturbances in autoregulation
- BP monitoring and maintaining it in normal range is essential to avoid
cerebral ischemia as well as over-perfusion
- MAP: above 45 mm Hg
- SBP: should not exceed 75 mm Hg
• Systemic hypotension:
- Leads to cerebral hypoperfusion
- Vulnerable areas in brain: neuronal rich areas (cerebral cortex, basal ganglia,
thalamus) and regions with vascular border zones and end zones (parasaggital
area in terms, periventricular area in preterms) may be damaged
• Systemic hypertension:
- Abrupt increase in systemic BP rupture of vulnerable capillaries
hemorrhagic complications
- Handling, fluid overload, seizures, closure of PDA: lead to increased BP
- Vulnerable period: during rewarming after TH
- Vulnerable capillaries: margins of cerebral infarcts, residual germinal matrix
hemorrhagic infarcts, IVH
• Glucose:
- Intrapartum hypoxia-ischemia disturbs normal metabolic transition,
increases likelihood of low blood glucose levels due to:
• Prolonged duration of anaerobic glycolysis (resulting in depleted glycogen
stores),
• Increased peripheral utilization
• Impaired counter regulatory hormone and enzyme responses
- Hypoglycemia: increases CBF, exacerbates energy deficit, preciptates
seizures
- Hyperglycemia: increased brain lactate, damage to cellular integrity,
cerebral edema, disturbance in vascular autoregulation
- Glucose may be a marker of timing and severity of brain injury:
Hypoglycemia: marker of more severe and prolonged hypoxic-ischemic
insult,
Hyperglycemia: acute insult
- GOAL: maintain blood glucose levels between 50-100 mg/dl
• Calcium:
- Hypocalcemia commonly seen in asphyxiated neonates
- Important to maintain normal calcium levels: to maintain cardiac
contractility and prevent seizures
• Fluids:
- Judicious management, both overload as well as inadequate circulating
volume avoided
- ATN: due to diving reflex: can lead to oliguria f/b polyuria
- SIADH: seen 3-4 days after HI event hyponatremia, hypo osmolarity, low
urine output, inappropriately concentrated urine
- Fluid restriction: may decrease cerebral edema but long term outcome not
known
• CVS:
- Correct hypoxemia, acidosis, hypocalcemia, hypoglycemia
- Avoid volume depletion/ overload
- Monitor arterial BP, urine output
- Ionotropes may be required to maintain BP and perfusion
- Maintain CVP: 5-8 mm Hg
• Renal:
- Measure urine output, electrolytes, paired serum/urine osmolarity,
urine specific gravity
- Oliguria/ anuria: avoid fluid overload, restrict fluids (60 ml/kg/day),
may require low dose dopamine
- Volume status should be evaluated: in case of decreased volume,
fluid challenge test with diuretic may be given
- To avoid fluid overload and hypoglycemia, concentrated glucose
infusions through central line preferred
• GI:
- Minimal enteral nutrition can be started if the neonate is not on ionotropes
• Hematologic:
- Monitor coagulation profile with partial thromboplastin time (PTT),
prothrombin time (PT), fibrinogen, platelets
- FFP, Platelet transfusions may be required
• Liver:
- Measure liver enzymes: AST, ALT, clotting functions, albumin, bilirubin,
ammonia
- Drug levels of those drugs metabolized by liver should be monitored
• Control of seizures:
- Accompany majority of the cases of severe HIE, may cause further injury to
the brain
- Treatment begins with careful serial observation to detect clinical seizure
activity
- Greater the frequency and severity of seizures and earlier the onset, greater
the degree of brain injury and poorer neurodevelopmental outcome
- A/w markedly increased cerebral metabolic rate in asphyxiated infants
rapid fall in blood glucose levels, increase in lactate, decrease in high energy
phosphate compounds
- Increased synaptic release of glutamate (excitatory AA) cellular injury
- Hypoventilation, apnea hypoxemia, hypercarbia
- Abrupt increase in BP hemorrhage
• Acute:
1) Phenobarbital:
- Initial drug of choice
- Loading: 20 mg/kg f/b maintenance: 3-5 mg/kg/day
- Monitor for respiratory depression
- Therapeutic levels: 15-40 mg/dl
- Monitor levels in hepatic and renal dysfunction
- Causes decreased cerebral metabolic rate, cerebral vasoconstriction,
reduction of cerebral edema, removal of harmful free radicals
2) Phenytoin:
- Used when seizures not controlled by phenobarbitone
- Loading dose 15-20 mg/kg f/b maintenance 4-8 mg/kg/day
- Fosphenytoin can also be used: less risk of hypotension and extravasation
- Therapeutic serum levels: 15-20 mg/dl
3) Benzodiazepines:
- Third line drugs
- Lorazepam: 0.05 to 0.1 mg/kg/dose IV
- Midazolam boluses and infusion
4) Levetiracetam:
- Relatively safe and efficacious
- Loading dose: 20 mg/kg f/b 20 mg/kg/day, can be increased to 60 mg/kg/day
• Long term:
- Weaning should be started when clinical examination and EEG show
that newborn is not having seizures
- If more than 1 anti convulsant ongoing, weaning started in the
reverse order of initiation
- Those with large areas of brain injury and persistent epileptiform
activity in EEG, anticonvulsants should be continued after discharge.
NEUROPROTECTIVE AGENTS
1) Anticonvulsant drugs such as phenobarbitone, topiramate have
neuroprotective action along with anticonvulsant action
[Silverstein FS, Barks JD. Combining hypothermia with other therapies for neonatal neuroprotection. In: Edwards AD, Azzopardi DV,
Gunn AJ, eds. Neonatal Neural Rescue: A Clinical Guide. New York: Cambridge University Press; 2013:208-218]
2) Xenon:
- Potent anesthetic, crosses BBB, leads to rapid induction of anesthesia
- Neuroprotective effects in combination with TH
- Studies show administration of Xenon unlikely to enhance neuroprotective effect
of cooling after birth asphyxia
[Hobbs C, Thoresen M, Tucker A, et al. Xenon and hypothermia combine additively, offering long-term functional and histopathologic
neuroprotection after neonatal hypoxia/ischemia. Stroke. 2008;39:1307-1313
Azzopardi D, Robertson NJ, Bainbridge A, et al. Moderate hypothermia within 6 h of birth plus inhaled xenon versus moderate
hypothermia alone after birth asphyxia (TOBY-Xe): a proof-of-concept, open-label, randomised controlled trial. Lancet Neurol.
2016;15:145-153]
3) Antioxidants:
- Protect against oxidative stress which causes neonatal hypoxic-ischemic
injury
• N-Acetylcysteine:
- Crosses BBB, beneficial effect in combination with TH
[Jatana M, Singh I, Singh AK, et al. Combination of systemic hypothermia and N-acetylcysteine attenuates hypoxic–ischemic brain injury
in neonatal rats. Pediatr Res. 2006;59:684-689]
• Allopurinol:
- Xanthine oxidase inhibitor, free radical scavenger, has neuroprotective
properties
- Beneficial effect on free radical formation, cerebral hemodynamics and
electrical brain activity
[van Bel F, Shadid M, Moison RMW, et al. Effect of allopurinol on postasphyxial free radical formation, cerebral hemodynamics,
and electrical brain activity. Pediatrics. 1998;101:184-193
Chaudhari T, McGuire W. Allopurinol for preventing mortality and morbidity in newborn infants with suspected hypoxic-
ischaemic encephalopathy. Cochrane Database Syst Rev. 2008;(2):CD006817]
4) Melatonin:
- Endogenous indolamine  promising effect in treatment of HIE
- Antioxidant, anti-inflammatory, anti-apoptotic properties
- Freely crosses BBB
- In combination with TH: decreases oxidative stress, improved survival
with favorable neurodevelopmental outcome
- Optimal dose, route, duration of administration: under study
[Alonso-Alconada D, Alvarez A, Arteaga O, et al. Neuroprotective effect of melatonin: a novel therapy against perinatal
hypoxiaischemia. Int J Mol Sci. 2013;14:9379-9395
Robertson NJ, Faulkner S, Fleiss B, et al. Melatonin augments hypothermic neuroprotection in a perinatal asphyxia model.
Brain. 2013;136:90-105]
5) Erythropoietin:
- Neuroprotective action in terms, preterms
- Glycoprotein, involved in adaptive response to perinatal hypoxia-ischemia
- Principal sequence:
Hypoxia induces hypoxia-inducible factor increased expression of EPO and its
receptors in neurons, astrocytes, oligodendroglia, microglia, endothelial cells
- Principal neuroprotective mechanisms:
Anti-excitotoxic, anti-oxidant, anti-inflammatory , anti-apoptotic
- Decreases risk of brain injury after HI
- Synergistic neuroprotective effect with TH
- Prolonged EPO therapy: maybe effective in reparative and restorative mechanisms
- Promotes neurogenesis, oligodendroglial development, angiogenesis
[Xiong T, Qu Y, Mu D, et al. Erythropoietin for neonatal brain injury: opportunity and challenge. Int J Dev Neurosci. 2011;29:583-591
Zhu C, Kang W, Xu F, et al. Erythropoietin improved neurologic outcomes in newborns with hypoxic–ischemic encephalopathy. Pediatrics.
2009;124:e218-e226]
6) Magnesium sulphate:
- Tocolytic for preterm labor, treatment for pre eclampsia
- Has shown neuroprotective effect in some studies
- But no reliable data to suggest antenatal MgSO4 prevents preterm brain
injury
[Galinsky R, Bennet L, Groenendaal F, et al. Magnesium is not consistently neuroprotective for perinatal hypoxia-ischemia in
term-equivalent models in preclinical studies: a systematic review. Dev Neurosci. 2014;36:73-82.
Tagin M, Shah PS, Lee KS. Magnesium for newborns with hypoxic–ischemic encephalopathy: a systematic review and meta-
analysis. J Perinatol. 2013;33:663-669]
7) Calcium channel blockers:
- Increased Ca influx Increase cytosolic Ca Neuronal death
- Thus, CCB may be beneficial in preventing this cascade, but not yet proved
[Levene MI, Gibson NA, Fenton AC, et al. The use of a calciumchannel blocker, nicardipine, for severely asphyxiated newborn
infants. Dev Med Child Neurol. 1990;32:567-574]
8) Stem cell therapy:
- Role in neuroprotection, neurorestoration
- Human cord blood, multipotent stem cells, progenitor cells, neural stem
cells can be used
- Anti-apoptotic, anti-inflammatory effects
- Autologous, volume and RBC-reduced human cord blood has been used:
safe and feasible
[Liao Y, Cotten M, Tan S, et al. Rescuing the neonatal brain from hypoxic injury with autologous cord blood. Bone Marrow Transplant.
2013;48:890-900
Cotten CM, Murtha AP, Goldberg RN, et al. Feasibility of autologous cord blood cells for infants with hypoxic–ischemic encephalopathy.
J Pediatr. 2014;164:973-979.e971]
9) Others:
- Caspase inhibitors - Cannabinoids
- IGF-1 - Osteopontin
TAKE HOME MESSAGE
THANK YOU

HIE.pptx

  • 1.
  • 2.
    DIAGNOSIS • Recognition ofneonatal HIE depends mainly on information gained from a careful history (antenatal, perinatal) and a thorough neurological examination • This along with blood investigations s/o metabolic derangements helps to reach the diagnosis • Determination of the site and extent of injury is made by history, neurological examination, EEG, neuroimaging studies (cranial ultrasonography, MRI)
  • 3.
    HISTORY • Awareness ofpre-existing maternal and fetal problems that may predispose to perinatal asphyxia and of changing placental and fetal conditions ascertained by USG, BPP, NST helps in assessment of the risk to the fetus • Factors that increase the risk of perinatal asphyxia: - Impairment of maternal oxygenation - Decreased blood flow from mother to placenta - Decreased blood flow from placenta to fetus - Impaired gas exchange across placenta or at fetal tissue level - Increased fetal oxygen requirement - Prolonged labor: 1st stage more than 18 hrs, 2nd stage more than 2 hrs
  • 4.
    • Etiologies ofhypoxia-ischemia: - Maternal factors: hyper/hypotension, infection, DM, maternal vascular disease, hypoxia - Placental factors: Abruptio placenta, placenta previa - Uterine rupture - Umbilical cord accidents: cord prolapse - Abnormalities of umbilical vessels - Fetal factors: anemia, infection, hydrops - Neonatal factors: CCHD, PPHN, cardiomyopathy, respiratory failure, MAS
  • 5.
    • Low APGARscores and need for resuscitation in the delivery room
  • 6.
    NEUROLOGICAL EXAMINATION • Recognitionof neurological signs provides critical information regarding the presence, site, extent of hypoxic-ischemic injury in the newborn • 1st systematic neurological examination in the 1st 6 hours helps in recognition of presence and severity of neonatal HIE, also allows for initiation of neuroprotective strategies • Subsequent examinations over the 1st week of life: carries important information for establishing the prognosis
  • 8.
    SARNAT AND SARNATSCORING SYSTEM
  • 9.
  • 11.
  • 12.
    LABORATORY EVALUATION • Umbilicalcord blood gas/ 1st hour blood gas: Severe acidosis: pH≤7, BD≥16 • Hypoglycemia, hyperammonemia, hypocalcemia, hyponatremia, hypoxemia, acidosis are commonly seen • Cardiac markers: - Elevated serum creatine kinase myocardial bound (CK-MB) > 5-10% indicates myocardial injury - Cardiac Troponin I, Troponin T are also markers of myocardial damage, elevated levels asphyxia, but not used currently
  • 13.
    • Neurologic markers: -Serum CK-BB may be increased within 12 hours but does not correlate with long term neurodevelopmental outcome - Protein S-100, NSE, Glial fibrillary acidic protein, Ubiquitin carboxyl terminal hydrolase L1 (UCH-L1), total tau protein hold promise as early biomarkers of brain injury • Renal evaluation: - BUN, sr creat may be elevated 2-4 days after the insult - Urine levels of beta 2 microglubulin have been used as an indicator of proximal tubular dysfunction • Liver: - Elevated liver enzymes, deranged coagulation profile
  • 15.
    • Early clinicaldetection of blood/CSF biomarkers might allow an earlier diagnosis compared to neuroimaging modalities • This allows earlier initiation of intervention measures to improve neonatal survival and reduce the degree of brain injury
  • 16.
    • Lumbar puncture: -Performed in any infant with HIE in whom diagnosis is not clear - Helps to rule out potentially treatable intracranial disorders like early onset meningitis and other conditions that mimic HIE
  • 17.
    EEG • Provides informationregarding the severity of injury
  • 18.
    • Initially, voltagesuppression and decrease in frequency into delta and low theta ranges • Within 1 day, excessively discontinuous pattern, characterized by periods of greater voltage suppression interspersed with bursts, asynchronous, with sharp and slow waves • After a day, excessively discontinuous pattern becomes more prominent with more severe voltage suppression and fewer bursts, with spikes and slow waves (burst-suppression pattern) • In the severely affected infant, this evolves into isoelectric tracing: poor prognosis • Those asphyxiated infants whose EEG tracings revert to normal within approximately 1 week, have favorable outcomes
  • 19.
    • aEEG: commonlyapplied method for continuous monitoring of electrical activity in the newborn • Low voltage, flat, burst-suppression pattern  severe encephalopathy unfavorable outcomes • Rapid recovery (within 24 hours) a/w favorable outcomes
  • 21.
    • Continuous monitoringof conventional EEG: useful in identifying seizure activity • Guidelines on continuous EEG monitoring in the newborn (American Clinical Neurophysiology Society, 2011) - Electrodes be placed using the International 10 to 20 system with additional electrocardiogram, respiratory, eye, electromyography leads - At least 1 hour of recording be assessed to adequately assess cycling through wakefulness and sleep - High risk newborns be monitored for atleast 24 hrs to screen the presence of electrographic seizures - In newborns with seizures, monitoring should occur during seizure management and for an additional 24 hrs after the last electrographic seizure • AAP recommendation: centres performing TH have either aEEG or conventional EEG for seizure identification
  • 22.
    • The typeof EEG abnormality may indicate specific pathological variety of hypoxic-ischemic brain injury along with the prognosis The time of onset of sleep-wake cycling also has a prognostic value, if SWC returns before 36 hours of age, a/w good prognosis.
  • 23.
    NEUROIMAGING • Used toidentify key neuropathologies - Selective neuronal necrosis: 1) Diffuse injury 2) Cerebral cortex-deep nuclear injury 3) Deep nuclear- brain stem injury - Parasagittal cerebral injury - Periventricular leukomalacia - Focal ischemic necrosis and stroke
  • 24.
    CRANIAL ULTRASONOGRAPHY • Mostcommonly used neuroimaging modality in NICU • Only modality available if the neonate is unfit for transfer • Sensitive for parenchymal hemorrhage, ventricular size, gross brain malformations, cystic changes in the brain, deep nuclear gray matter injury • Resistivity index (normal: 0.65-0.90), less than 0.5 and more than 0.9 abnormal • The changes are usually not detectable in 1st 24-48 hours
  • 27.
    CT SCAN • Notused frequently because of increased radiation exposure and less sensitive as compared to MRI • Maybe used to detect cerebral edema, hemorrhage, bone abnormalities • Only advantage: shorter examination time, wider availability
  • 28.
    MRI • Best modalityfor determining the severity and extent of irreversible hypoxic ischemic brain injury • Conventional sequences best for detection of brain injury in the 1st 7 days, and a scan as late as 14 days or beyond may be needed to show the full extent of injury • Diffusion-weighted imaging (DWI) can show abnormalities within hours of an early HI insult that may be useful in the diagnosis of neonatal HIE and an early indicator of possible brain injury
  • 29.
    • DWI canunderestimate and overestimate the severity of brain injury depending on the timing of the study • Early DWI scans: restricted diffusion in the affected brain regions • 7-10 days of age: pseudonormalization of diffusion, so DWI can be normal despite the presence of HI injury • After 7-10 days, diffusion increased in the regions of injury • Susceptibility-weighted imaging: detection of hemorrhage, including those within areas of ischemic injury • MR angiography/venography: when there is suspicion of vascular anomalies, thrombo embolic diseases • Proton magnetic resonance spectroscopy: Elevated lactate, decreased N acetylaspartate and alterations of the ratios of these 2 metabolites in relation to choline and creatine can indicate HIE and help determine prognosis
  • 30.
    • Certain distributionalpatterns of brain injury which may be typical of HI injury are: - Injury to deep gray nuclei especially the posterior putamen and anterolateral thalami - Parasaggital injury of cerebral cortex and subcortical white matter in the arterial watershed distribution
  • 31.
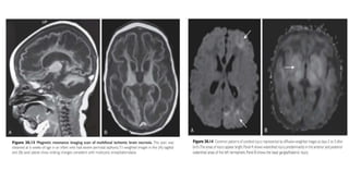
    • Early brainMRI (1-5 days) is useful for: - Detection of early restricted diffusion that indicates early HI injury - To assess if injury is already well established (antenatal vs perinatal) - To establish any potential etiology of encephalopathy besides HI - To begin to assess the presence/severity of Hi injury • Late MRI scans useful to detect the severity and location of the injured areas, best determined by conventional T1 and T2 weighted imaging sequences at 10-14 days or beyond DWI sequences will show increased diffusion in affected areas
  • 42.
    Prognosis based onMRI • Abnormal signal in the posterior limb of the internal capsule appreciated on a brain MRI obtained in 1st 2 weeks of life a/w adverse neurological outcome • Lesions associated affecting b/l basal ganglia and thalami that are detected by MRI in the first weeks of life have been associated with poor neurologic outcomes and death • Brainstem lesions on MRI a/w increased risk of death • Watershed pattern of brain injury may be associated with long term cognitive, language and motor deficits
  • 45.
  • 46.
    • Apart fromneurological involvement, infants with HIE also have disturbances of pulmonary, cardiovascular, hepatic and renal functions too. • The goals of management include: i) Prevention of peripartum hypoxic-ischemic insult ii) Recognition of peripartum hypoxic-ischemic insult iii) Stabilization of systemic physiology iv) Control of seizures v) Commencement of neuroprotective therapy
  • 47.
    Prevention of peripartumhypoxic-ischemic injury • Recognition of high risk pregnancies is essential as in most of these cases, the insult occurs in-utero. • First goal is identification of the fetus being subjected to or likely to experience hypoxic-ischemic insults with labor and delivery • Thus, antepartum assessment plays an important role to assess the fetal well being • If required, fetal blood sampling to determine pH and blood gas values can also be carried out • Caesarean section: Critical intervention to prevent the degree of asphyxia that leads to brain injury
  • 48.
    Recognition of peripartumhypoxic-ischemic injury • Antenatal history and events following delivery • Need for resuscitation (FiO2: 21-30%) • Evaluation for metabolic acidosis and hypoxemia with cord blood gas measurement and infant blood gas measurements within 60 minutes of birth
  • 50.
    INTACT CORD RESUSCITATION NepcordIII trial: - Higher SpO2 at 1, 5, 10 mins after birth - Higher APGAR score at 1,5,10 mins - Started to breathe and establish regular breathing earlier
  • 52.
    Stabilization of SystemicPhysiology • Maintenance of adequate ventilation: - Adequate ventilation, along with maintenance of temperature, perfusion and metabolic status are the cornerstones of supportive care - Postnatal disturbances in ventilation and perfusion: play an important role in determining the severity of neurologic injury - Maintain pO2 between 60-90 mm Hg and pCO2 between 35-45 mm Hg
  • 53.
    • Hypoxemia: - Causesdisturbance of cerebrovascular autoregulation - Makes the neonate vulnerable to superimposed ischemic cerebral injury with only moderate decrease in arterial pressure - Results in neuronal and white matter injury - Rx: supplement oxygen, ventilation if required • Hyperoxia: - Leads to cerebral vasoconstriction and increased free radical induced oxidative stress: which leads to neuronal and white matter injury - Decreased cerebral blood flow - Increased mortality
  • 54.
    • Hypercarbia: - Increasedtissue PCO2 leads to worsening intracellular acidosis in brain  impaired cerebrovascular autoregulation - Vasodilatation: increased cerebral blood flow increased risk of hemorrhage in the vulnerable areas - Also causes increased blood flow to uninjured areas, relative ischemia to damaged areas: STEAL phenomenon • Hypocarbia: - Decreasd cerebral blood flowischemic injury
  • 55.
    • Temperature: - Avoidhyperthermia - Maintain normal temperature - Therapeutic hypothermia
  • 56.
    • Perfusion: - Maintenanceof normal perfusion to prevent additional ischemic injury - Hypoxemia, hypercarbia complicate the management as they lead to disturbances in autoregulation - BP monitoring and maintaining it in normal range is essential to avoid cerebral ischemia as well as over-perfusion - MAP: above 45 mm Hg - SBP: should not exceed 75 mm Hg
  • 57.
    • Systemic hypotension: -Leads to cerebral hypoperfusion - Vulnerable areas in brain: neuronal rich areas (cerebral cortex, basal ganglia, thalamus) and regions with vascular border zones and end zones (parasaggital area in terms, periventricular area in preterms) may be damaged • Systemic hypertension: - Abrupt increase in systemic BP rupture of vulnerable capillaries hemorrhagic complications - Handling, fluid overload, seizures, closure of PDA: lead to increased BP - Vulnerable period: during rewarming after TH - Vulnerable capillaries: margins of cerebral infarcts, residual germinal matrix hemorrhagic infarcts, IVH
  • 58.
    • Glucose: - Intrapartumhypoxia-ischemia disturbs normal metabolic transition, increases likelihood of low blood glucose levels due to: • Prolonged duration of anaerobic glycolysis (resulting in depleted glycogen stores), • Increased peripheral utilization • Impaired counter regulatory hormone and enzyme responses - Hypoglycemia: increases CBF, exacerbates energy deficit, preciptates seizures - Hyperglycemia: increased brain lactate, damage to cellular integrity, cerebral edema, disturbance in vascular autoregulation
  • 59.
    - Glucose maybe a marker of timing and severity of brain injury: Hypoglycemia: marker of more severe and prolonged hypoxic-ischemic insult, Hyperglycemia: acute insult - GOAL: maintain blood glucose levels between 50-100 mg/dl
  • 60.
    • Calcium: - Hypocalcemiacommonly seen in asphyxiated neonates - Important to maintain normal calcium levels: to maintain cardiac contractility and prevent seizures
  • 61.
    • Fluids: - Judiciousmanagement, both overload as well as inadequate circulating volume avoided - ATN: due to diving reflex: can lead to oliguria f/b polyuria - SIADH: seen 3-4 days after HI event hyponatremia, hypo osmolarity, low urine output, inappropriately concentrated urine - Fluid restriction: may decrease cerebral edema but long term outcome not known
  • 62.
    • CVS: - Correcthypoxemia, acidosis, hypocalcemia, hypoglycemia - Avoid volume depletion/ overload - Monitor arterial BP, urine output - Ionotropes may be required to maintain BP and perfusion - Maintain CVP: 5-8 mm Hg
  • 63.
    • Renal: - Measureurine output, electrolytes, paired serum/urine osmolarity, urine specific gravity - Oliguria/ anuria: avoid fluid overload, restrict fluids (60 ml/kg/day), may require low dose dopamine - Volume status should be evaluated: in case of decreased volume, fluid challenge test with diuretic may be given - To avoid fluid overload and hypoglycemia, concentrated glucose infusions through central line preferred
  • 64.
    • GI: - Minimalenteral nutrition can be started if the neonate is not on ionotropes • Hematologic: - Monitor coagulation profile with partial thromboplastin time (PTT), prothrombin time (PT), fibrinogen, platelets - FFP, Platelet transfusions may be required • Liver: - Measure liver enzymes: AST, ALT, clotting functions, albumin, bilirubin, ammonia - Drug levels of those drugs metabolized by liver should be monitored
  • 65.
    • Control ofseizures: - Accompany majority of the cases of severe HIE, may cause further injury to the brain - Treatment begins with careful serial observation to detect clinical seizure activity - Greater the frequency and severity of seizures and earlier the onset, greater the degree of brain injury and poorer neurodevelopmental outcome - A/w markedly increased cerebral metabolic rate in asphyxiated infants rapid fall in blood glucose levels, increase in lactate, decrease in high energy phosphate compounds - Increased synaptic release of glutamate (excitatory AA) cellular injury - Hypoventilation, apnea hypoxemia, hypercarbia - Abrupt increase in BP hemorrhage
  • 66.
    • Acute: 1) Phenobarbital: -Initial drug of choice - Loading: 20 mg/kg f/b maintenance: 3-5 mg/kg/day - Monitor for respiratory depression - Therapeutic levels: 15-40 mg/dl - Monitor levels in hepatic and renal dysfunction - Causes decreased cerebral metabolic rate, cerebral vasoconstriction, reduction of cerebral edema, removal of harmful free radicals
  • 67.
    2) Phenytoin: - Usedwhen seizures not controlled by phenobarbitone - Loading dose 15-20 mg/kg f/b maintenance 4-8 mg/kg/day - Fosphenytoin can also be used: less risk of hypotension and extravasation - Therapeutic serum levels: 15-20 mg/dl 3) Benzodiazepines: - Third line drugs - Lorazepam: 0.05 to 0.1 mg/kg/dose IV - Midazolam boluses and infusion 4) Levetiracetam: - Relatively safe and efficacious - Loading dose: 20 mg/kg f/b 20 mg/kg/day, can be increased to 60 mg/kg/day
  • 68.
    • Long term: -Weaning should be started when clinical examination and EEG show that newborn is not having seizures - If more than 1 anti convulsant ongoing, weaning started in the reverse order of initiation - Those with large areas of brain injury and persistent epileptiform activity in EEG, anticonvulsants should be continued after discharge.
  • 69.
    NEUROPROTECTIVE AGENTS 1) Anticonvulsantdrugs such as phenobarbitone, topiramate have neuroprotective action along with anticonvulsant action [Silverstein FS, Barks JD. Combining hypothermia with other therapies for neonatal neuroprotection. In: Edwards AD, Azzopardi DV, Gunn AJ, eds. Neonatal Neural Rescue: A Clinical Guide. New York: Cambridge University Press; 2013:208-218] 2) Xenon: - Potent anesthetic, crosses BBB, leads to rapid induction of anesthesia - Neuroprotective effects in combination with TH - Studies show administration of Xenon unlikely to enhance neuroprotective effect of cooling after birth asphyxia [Hobbs C, Thoresen M, Tucker A, et al. Xenon and hypothermia combine additively, offering long-term functional and histopathologic neuroprotection after neonatal hypoxia/ischemia. Stroke. 2008;39:1307-1313 Azzopardi D, Robertson NJ, Bainbridge A, et al. Moderate hypothermia within 6 h of birth plus inhaled xenon versus moderate hypothermia alone after birth asphyxia (TOBY-Xe): a proof-of-concept, open-label, randomised controlled trial. Lancet Neurol. 2016;15:145-153]
  • 70.
    3) Antioxidants: - Protectagainst oxidative stress which causes neonatal hypoxic-ischemic injury • N-Acetylcysteine: - Crosses BBB, beneficial effect in combination with TH [Jatana M, Singh I, Singh AK, et al. Combination of systemic hypothermia and N-acetylcysteine attenuates hypoxic–ischemic brain injury in neonatal rats. Pediatr Res. 2006;59:684-689] • Allopurinol: - Xanthine oxidase inhibitor, free radical scavenger, has neuroprotective properties - Beneficial effect on free radical formation, cerebral hemodynamics and electrical brain activity [van Bel F, Shadid M, Moison RMW, et al. Effect of allopurinol on postasphyxial free radical formation, cerebral hemodynamics, and electrical brain activity. Pediatrics. 1998;101:184-193 Chaudhari T, McGuire W. Allopurinol for preventing mortality and morbidity in newborn infants with suspected hypoxic- ischaemic encephalopathy. Cochrane Database Syst Rev. 2008;(2):CD006817]
  • 71.
    4) Melatonin: - Endogenousindolamine  promising effect in treatment of HIE - Antioxidant, anti-inflammatory, anti-apoptotic properties - Freely crosses BBB - In combination with TH: decreases oxidative stress, improved survival with favorable neurodevelopmental outcome - Optimal dose, route, duration of administration: under study [Alonso-Alconada D, Alvarez A, Arteaga O, et al. Neuroprotective effect of melatonin: a novel therapy against perinatal hypoxiaischemia. Int J Mol Sci. 2013;14:9379-9395 Robertson NJ, Faulkner S, Fleiss B, et al. Melatonin augments hypothermic neuroprotection in a perinatal asphyxia model. Brain. 2013;136:90-105]
  • 72.
    5) Erythropoietin: - Neuroprotectiveaction in terms, preterms - Glycoprotein, involved in adaptive response to perinatal hypoxia-ischemia - Principal sequence: Hypoxia induces hypoxia-inducible factor increased expression of EPO and its receptors in neurons, astrocytes, oligodendroglia, microglia, endothelial cells - Principal neuroprotective mechanisms: Anti-excitotoxic, anti-oxidant, anti-inflammatory , anti-apoptotic - Decreases risk of brain injury after HI - Synergistic neuroprotective effect with TH - Prolonged EPO therapy: maybe effective in reparative and restorative mechanisms - Promotes neurogenesis, oligodendroglial development, angiogenesis [Xiong T, Qu Y, Mu D, et al. Erythropoietin for neonatal brain injury: opportunity and challenge. Int J Dev Neurosci. 2011;29:583-591 Zhu C, Kang W, Xu F, et al. Erythropoietin improved neurologic outcomes in newborns with hypoxic–ischemic encephalopathy. Pediatrics. 2009;124:e218-e226]
  • 73.
    6) Magnesium sulphate: -Tocolytic for preterm labor, treatment for pre eclampsia - Has shown neuroprotective effect in some studies - But no reliable data to suggest antenatal MgSO4 prevents preterm brain injury [Galinsky R, Bennet L, Groenendaal F, et al. Magnesium is not consistently neuroprotective for perinatal hypoxia-ischemia in term-equivalent models in preclinical studies: a systematic review. Dev Neurosci. 2014;36:73-82. Tagin M, Shah PS, Lee KS. Magnesium for newborns with hypoxic–ischemic encephalopathy: a systematic review and meta- analysis. J Perinatol. 2013;33:663-669] 7) Calcium channel blockers: - Increased Ca influx Increase cytosolic Ca Neuronal death - Thus, CCB may be beneficial in preventing this cascade, but not yet proved [Levene MI, Gibson NA, Fenton AC, et al. The use of a calciumchannel blocker, nicardipine, for severely asphyxiated newborn infants. Dev Med Child Neurol. 1990;32:567-574]
  • 74.
    8) Stem celltherapy: - Role in neuroprotection, neurorestoration - Human cord blood, multipotent stem cells, progenitor cells, neural stem cells can be used - Anti-apoptotic, anti-inflammatory effects - Autologous, volume and RBC-reduced human cord blood has been used: safe and feasible [Liao Y, Cotten M, Tan S, et al. Rescuing the neonatal brain from hypoxic injury with autologous cord blood. Bone Marrow Transplant. 2013;48:890-900 Cotten CM, Murtha AP, Goldberg RN, et al. Feasibility of autologous cord blood cells for infants with hypoxic–ischemic encephalopathy. J Pediatr. 2014;164:973-979.e971] 9) Others: - Caspase inhibitors - Cannabinoids - IGF-1 - Osteopontin
  • 75.
  • 76.