By
Noha Madbouly Taha
Assistant Lecturer at Parasitology department – Faculty of Medicine – Cairo
University
Blueprint
3 Adult Helminth
2 Eggs Helminth
2 Anterior end or segment or section
1 larval stage Helminth
2 Adult Arthropod
1 Egg
2 Larva or pupa or Posterior spiracle
2 Protozoa
3 Boxes or Jars
2 Photos
Exam trial 1
1- Identify.
2- Mention how man got infected
1
1- Identify.
2- Mention the causative parasite
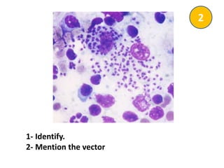
2
1- Identify.
2- Mention 2 characteristic morphlogical features
3
1- Identify.
2- Mention the habitat
4
1- Identify.
2- Mention 2 medical importance
5
1- Identify.
2- Mention the infective stage
6
1- Identify.
2- Mention 2 characteristic
morphlogical features
7
1- Identify.
2- Mention 2 characteristic morphlogical features
8
1- Identify.
2- What is the defenitive host
9
1- Identify.
2- Mention 2 medical importance
10
1- Identify.
2- Mention 2 characteristic
morphlogical features
11
1- Identify.
2- Mention the medical importance
12
1- Identify.
2- Mention 2 characteristic morphlogical features
13
1- Identify.
2- Mention how man got infected
14
1- Identify.
2- Mention 2 characteristic morphlogical
features
15
1- Identify.
2- Mention 2 characteristic morphlogical features
16
1- Identify.
2- Mention 2 characteristic morphlogical features
17
1- Identify.
2- Mention 2 characteristic morphlogical features
18
1- Identify.
2- Mention the vector
19
1- Identify.
2- Mention the diagnostic stage
20
Answers
1-Adult Echinococcus granulosus
Ingestion of eggs with contaminated food or drink or from
fur of infected dogs while playing with them
2-Wet cutaneous leishmaniasis
Leishmania major
3-Adult male culex mosquito
Non spotted wing – Plumose antenna
4-Egg of Ascaris lumbricoides
Free in the small intestine
5-Larva of Aedes
Body formed of head thorax and segmented abdomen –
short broad siphon
6-Polymorphic trypanosomes in blood
Short stumpy metacyclic trypanosomes
7-Eggs of Enterobius vermicularis
Plano-convex- Translucent in colour
Answers
8-Multiple Hydatid cysts in lung
Multiple small rounded cysts- whitish in colour- consolidated
lung
9-Buccal capsule of Ancylostoma duodenale
Man
10-Adult Hard tick
Terminal capitulum – Festooned posterior margin
11-Adult male Trichuris trichiura
Whiplike- coiled posterior end
12-Adult wohlfahrtia
Semi-specific myiasis
13-Egg of Louse
Oval- crown shaped operculum
14- Encysted larva of Trichinella spiralis in muscles
Ingestion of encysted larva in improperly cooked pork
Answers
15-Furcocercus cercaria of Schistosoma
Oval body- Forked tail
16-Posterior spiracles of Sarcophaginae
Straigh respiratory slits – Opened peritreme
17-Entamoeba histolytica cyst
Rounded – 2-4 nuclei
18-Bulinus truncatus snail
Left sided opening – Blunt apex
19-Onchocerca nodule
Adult simulium
20-Adult Fasciola hepatica
Eggs in stool
Exam trial 2
1- Identify.
2- What is the infective
stage
1
1- Identify.
2- Mention the vector
2
1- Identify.
2- Mention 2 characteristic morphlogical features
3
1- Identify.
2- Mention 2 characteristic morphlogical
features
4
1- Identify.
2- Mention 2 characteristic
morphlogical features
5
1- Identify.
2- Mention the causative parasite
6
1- Identify.
2- Mention 2 characteristic morphlogical features
7
1- Identify.
2- What is the infective stage
8
1- Identify.
2- What is the diagnostic stage
9
1- Identify.
2- Mention the definitive host
10
1- Identify.
2- Mention 2 medical importance
11
1- Identify.
2- Mention the habitat
12
1- Identify.
2- Mention 2 characteristic morphlogical features
13
1- Identify.
2- Mention the medical importance
14
1- Identify.
2- Mention 2 characteristic morphlogical features
15
1- Identify.
2- Mention 2 characteristic
morphlogical features
16
1- Identify.
2- Mention 2 medical importance
17
1- Identify.
2- Mention the pathogenic stage
18
1- Identify.
2- Mention how man got infected
19
1- Identify.
2- Mention how man got infected
20
Answers
1-Adult male and female Schistosoma in copula
Furcocercus cercaria
2-Leishmania amastigotes in macrophages
Adult female Sandfly (Phlebotomus old world and
Lutzomyia new world)
3-Adult Sarcophaga
Larger than Musca with 3 pairs of legs- Chess board
abdomen
4-Egg of Fasciola
Oval- yellowish brown in colour
5-Adult male Ancylostoma duodenale
Creamy white – Copulatory bursa at posterior end
6-Romana’s sign (Chaga’s disease)
Trypanosoma cruzi
Answers
7-Egg of Anopheles
Slipper shaped- Air cells
8-Gravid segment of Taenia saginata
Cysticercus bovis in cattle meat
9-Anterior end of Adult female Enterobius vermicularis
Eggs and Adults in stool or peri-anal swab
10-Hydatid sand
Dogs and Canines
11-Adult male Anopheles mosquito
Adult Female transmits Human malaria and Viral
Encephalitis
12-Adult Hymenolepis nana
Small intestine
13-Adult Phthirus pubis
Thorax and abdomen compressed together – 3 pairs of
well developed legs ending in tibial process and claw
Answers
14-Lymnaea cailliaudi snail
Intermediate host of Fasciola gigantica
15-Larva of Culex
Body formed of head thorax and segmented abdomen-
Long narrow siphon
16-Egg of Schistosoma haematobium
Translucent in colour – Terminal spine
17-Posterior spiracles of Musca domestica
Accidental myiasis – Adult mechanical indirect transmission
of bacteria viruses cysts of protozoa and eggs of helminths
18-Cyst of Giardia lamblia
Trophozoite
Answers
19-Multiple Adult Ascaris lumbricoides worms
Ingestion of embryonated eggs containing 2nd stage
rhabditiform larva with contaminated hands fruits and
vegetables
20- Dracunculus medinensis worm
Drinking contaminated water containing infective cyclops
containing infective larva
Good luck
Wish you All the best with
All Love

Exam_trial.pptx