Bolesti monocitne loze
dr Daliborka Savicic
Hematologija sa transfuziologijom-
teorija(59/60)
Laboratorijsko-sanitarni tehnicar
Etiologija
• Razne infekcije(virusne itd.)
• Maligne bolesti
Simptomi i znaci
• Opšti simptomi-povišena
temperatuta,malaksalost,znojenje,smanjenje
telesne mase
• Najčešći znaci su uvećanje jetre,slezine i
limfnih žlezda
Poremećaji monocita
• Promene broja monocit
• -monocitoza
• Poremćaji morfologije monocita
• makromonociti
• mikromonociti
• Poremećaj segmentovanosti jedra monocita
• virociti
• -
Dijagnoza bolesti
• Anamneza
• Fizikalni pregled
• Dopunska ispitivanja(pregled periferne krvne
slike,citološki pregled punktata koštane
srži,patohistološka ispitivanja)
Vrsta bolesti
• Benigni tok:
• -Gošeova bolest
• -Niman-Pikova bolest
• -Hand-Šiler_Hristijanova bolest
• Maligni tok:
• -Akutna monoblastna leukemija
• -Retikulosarkom
Gošeova bolest
•
Urođeni porodični poremećaj metabolizma
lipida koji se taloži u ćelijama retikuluma.
Simptomi i znaci
• Kod dece do dve godine simptomima nervnog
sisitema(ukočenost nogu i ruku,zaostajanje u
psihičkom razvoji itd.)
• Kod starijih uvećanja slezina,bolovi u
kostima,pojava neobjašnjivih
anemija,trombocitopenija,mrka pigmentacija
kože,mrkožuta trouglasta infiltracija
unutrašnjeg dela konjuktive
Laboratorijske karakteristike
• Anemija
• Leukocitopenija
• Trombocitopenija
• Gošeove ćelije(nepravilno okruglog oblika,sa
citoplazmom išaranom mrežom slabo
obojenih fibrila)
Retikulosarkom
• Maligna bolest monocita
• Bujanje retikulskih ćelija
• Početna lokalizacija u limfnim žlezdama vrata
ili medijastinuma ili u slezini
• Opšti simptomi povišena
temperatura,mršavljenje ,znojenje
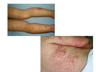
Bolesti hemostaze
• Vaskularne bolesti hemostaze(petehije)
• Bolesti trombocita(istovremeno petehije i
hematomi)
• Bolesti koagulacije krvi(pojava hematoma i
ekhimoza)
Etiologija
• Nasledni ili stečeni poremećaji građe zida
malih krvnih sudova
• Nasledni ili stečeni poremećaji broja,građe i
funkcije trombocita
• Nasledni ili stečeni poremećaji činilaca
koagulacije krvi i fibrinoliznog sistema
Simptomi i znaci
• Pojava spontanih krvarenja po koži ili
sluznicama
• Duga krvarenja posle povreda
• Hemoragijski sindrom karakteriše pojava
hematoma,ekhimoza,petehija
Dijagnoza hemostaze
• Anamneza
• Fizikalni pregled
• Dopunska ispitivanja:
• -Rumpel-Lidov test
• -vreme krvarenja
• -određivanje broja trombocita i njihove
funcije
• -vreme koagulacije,protrombinsko
vreme,fibrinolize
Pitanja
• 1.Kakva je morfologija virocita?
• 2.Kako izgleda Gošeova ćelija?
• 3.Šta je hemoragijski sindrom?
• 4.Kako se izvodi rumpel-Lidov test?
• 5.Kako se dokazuju bolesti koagulacije?

Bolesti monocitne loze

  • 1.
    Bolesti monocitne loze drDaliborka Savicic Hematologija sa transfuziologijom- teorija(59/60) Laboratorijsko-sanitarni tehnicar
  • 2.
    Etiologija • Razne infekcije(virusneitd.) • Maligne bolesti
  • 3.
    Simptomi i znaci •Opšti simptomi-povišena temperatuta,malaksalost,znojenje,smanjenje telesne mase • Najčešći znaci su uvećanje jetre,slezine i limfnih žlezda
  • 4.
    Poremećaji monocita • Promenebroja monocit • -monocitoza • Poremćaji morfologije monocita • makromonociti • mikromonociti • Poremećaj segmentovanosti jedra monocita • virociti • -
  • 5.
    Dijagnoza bolesti • Anamneza •Fizikalni pregled • Dopunska ispitivanja(pregled periferne krvne slike,citološki pregled punktata koštane srži,patohistološka ispitivanja)
  • 6.
    Vrsta bolesti • Benignitok: • -Gošeova bolest • -Niman-Pikova bolest • -Hand-Šiler_Hristijanova bolest • Maligni tok: • -Akutna monoblastna leukemija • -Retikulosarkom
  • 7.
    Gošeova bolest • Urođeni porodičniporemećaj metabolizma lipida koji se taloži u ćelijama retikuluma.
  • 8.
    Simptomi i znaci •Kod dece do dve godine simptomima nervnog sisitema(ukočenost nogu i ruku,zaostajanje u psihičkom razvoji itd.) • Kod starijih uvećanja slezina,bolovi u kostima,pojava neobjašnjivih anemija,trombocitopenija,mrka pigmentacija kože,mrkožuta trouglasta infiltracija unutrašnjeg dela konjuktive
  • 10.
    Laboratorijske karakteristike • Anemija •Leukocitopenija • Trombocitopenija • Gošeove ćelije(nepravilno okruglog oblika,sa citoplazmom išaranom mrežom slabo obojenih fibrila)
  • 11.
    Retikulosarkom • Maligna bolestmonocita • Bujanje retikulskih ćelija • Početna lokalizacija u limfnim žlezdama vrata ili medijastinuma ili u slezini • Opšti simptomi povišena temperatura,mršavljenje ,znojenje
  • 12.
    Bolesti hemostaze • Vaskularnebolesti hemostaze(petehije) • Bolesti trombocita(istovremeno petehije i hematomi) • Bolesti koagulacije krvi(pojava hematoma i ekhimoza)
  • 13.
    Etiologija • Nasledni ilistečeni poremećaji građe zida malih krvnih sudova • Nasledni ili stečeni poremećaji broja,građe i funkcije trombocita • Nasledni ili stečeni poremećaji činilaca koagulacije krvi i fibrinoliznog sistema
  • 14.
    Simptomi i znaci •Pojava spontanih krvarenja po koži ili sluznicama • Duga krvarenja posle povreda • Hemoragijski sindrom karakteriše pojava hematoma,ekhimoza,petehija
  • 17.
    Dijagnoza hemostaze • Anamneza •Fizikalni pregled • Dopunska ispitivanja: • -Rumpel-Lidov test • -vreme krvarenja • -određivanje broja trombocita i njihove funcije • -vreme koagulacije,protrombinsko vreme,fibrinolize
  • 18.
    Pitanja • 1.Kakva jemorfologija virocita? • 2.Kako izgleda Gošeova ćelija? • 3.Šta je hemoragijski sindrom? • 4.Kako se izvodi rumpel-Lidov test? • 5.Kako se dokazuju bolesti koagulacije?