Aspergillus most commonly enters the human body
via inhalation. Most
people breathe in aspergillus spores every day, with no
ill-effect.
However, in patients with pre-existing medical conditions,
aspergillus can start to proliferate and cause disease,
primarily a lung infection. Infection is more likely if a large
number of spores are inhaled, such as on exposure to a
very dusty environment or during renovation of a
building.
On rare occasions, the fungus
may enter via the skin
(primary cutaneous aspergillos
is), particularly in patients
with thermal burns or trauma.
Occasionally, outbreaks of
primary cutaneous
aspergillosis is due to
contaminated biomedical
equipment.
There are four common clinical patterns of disease.
Acute invasive aspergillosis
Allergic aspergillosis
Aspergilloma
Chronic necrotizing pulmonary aspergillosis
Acute invasive aspergillosis
•Acute invasive aspergillus has a rapid onset and the
disease progresses quickly.
•The fungus invades and damages body tissues; most
commonly the lungs and/or sinuses, but can spread
throughout the body via the bloodstream.
•Symptoms include fever, cough, breathlessness, chest
pain, facial swelling, bleeding nose, bulging of an eye,
or neurological symptoms. Other symptoms develop if
the infection spreads beyond the lungs and sinuses.
•There is a high fatality rate.
•who have had a bone
marrow transplant or solid organ transplant
•on high doses of corticosteroids or
chemotherapy for cancers such as leukemia
•with advanced HIV infection.
Allergic aspergillosis
•Allergic aspergillosis is an allergic reaction to
the aspergillus fungus in the lungs and/or in
the sinuses.
•Lung symptoms include fever, wheezing, and
coughing. Patients may cough up blood
or mucous plugs.
•Sinus symptoms include facial pressure,
headache, blocked nose, yellow or
green discharge from the nose, and cough.
Allergic aspergillosis can affect anyone, but is more
common in people with asthma or cystic fibrosis.
Aspergilloma
•Aspergilloma is a “fungus ball” that develops in a
pre-existing lung cavity.
•It may cause no symptoms or the patient may
cough up blood (which can be profuse and life-
threatening).
•Aspergillomas can also develop in other organs.
Aspergilloma affects people with an underlying
cavity-causing lung disease, such as tuberculosis,
emphysema, or cystic fibrosis.
Chronic necrotizing pulmonary aspergillosis
•Chronic necrotizing pulmonary aspergillosis is a rare
condition that causes tissue death within the lungs.
•This form of aspergillosis slowly progresses over weeks or
months.
•Symptoms often include fever, cough, night sweats, and
weight loss.
•Chronic necrotizing pulmonary aspergillosis usually affects
people with mild immune impairment, such as underlying
lung disease, alcoholism, or who are on long-
term corticosteroid therapy.
•Around 5–10% of patients with invasive
aspergillosis develop skin lesions.
•Lesions include single or multiple red or violet
hardened plaques or papules. The lesions may be
tender or symptom-free. As the lesions
evolve, pus- or blood-filled blisters develop in the
center, which eventually
become necrotic blackened ulcers or scabs.
Lesions most commonly appear on the limbs and
head, and may affect a small or large area.
aspergillosis diagnosed
•Samples of sputum, blood, or affected tissue can
be cultured in the laboratory to grow aspergillus.
•The fungus may be visible under
a microscope in biopsies of affected tissue. Special
stains for fungus may be needed, but other fungi
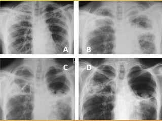
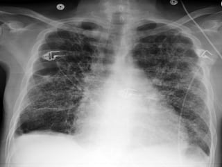
may appear nearly identical .Chest x-ray or CT scan
of the lungs can reveal haracteristic abnormalities.
•A newer antigen-based test is available to detect
evidence of invasive aspergillosis in the blood.
However, the accuracy of this test appears to be
variable.
Potassium hydroxide of
culture
Aspergillus PAS stain
Aspergillus GMS stain
aspergillosis treatment
Voriconazole is currently used as first-line
treatment for invasive aspergillosis.
•Other drugs used to treat aspergillosis
include itraconazole, amphotericin B,
caspofungin, micafungin, and posaconazole.
•Prolonged treatment is usually required.
•When possible, immunosuppressive therapy,
such as systemic corticosteroids, should be
discontinued.
•Surgical removal of the infected lung cavity may
be required in the case of an aspergilloma.
•Avoid dusty environments, construction sites,
gardening, and lawn mowing
•Wear protective face masks when near dusty
environments
•Take preventative antifungal medication if
recommended by your physician.
•Use a high-efficiency particulate air filter (HEPA) in
hospital to prevent hospital-acquired lung infection in
patients with poor immunity.
Can aspergillosis be prevented?
Aspergillus is a fungus (mold) that is found in
abundance throughout the environment in soil,
decomposing plant matter, ornamental plants,
water, household dust, and building materials.
More than 100 different species of aspergillus have
been identified, but the species most commonly
implicated in human disease are A. fumigatus, A.
flavus, and A. niger.
Aspergillosis is more frequently diagnosed
when conditions producing impaired
immunity become more prevalent. For
example, invasive aspergillosis is
estimated to occur in
5–13% of recipients of bone marrow
transplants
In 5–25% of patients who have received
heart or lung transplants
in 10–20% of patients who are receiving
intensive chemotherapy for leukemia.

assperglosis.pdf

  • 2.
    Aspergillus most commonlyenters the human body via inhalation. Most people breathe in aspergillus spores every day, with no ill-effect. However, in patients with pre-existing medical conditions, aspergillus can start to proliferate and cause disease, primarily a lung infection. Infection is more likely if a large number of spores are inhaled, such as on exposure to a very dusty environment or during renovation of a building.
  • 3.
    On rare occasions,the fungus may enter via the skin (primary cutaneous aspergillos is), particularly in patients with thermal burns or trauma. Occasionally, outbreaks of primary cutaneous aspergillosis is due to contaminated biomedical equipment.
  • 4.
    There are fourcommon clinical patterns of disease. Acute invasive aspergillosis Allergic aspergillosis Aspergilloma Chronic necrotizing pulmonary aspergillosis
  • 5.
    Acute invasive aspergillosis •Acuteinvasive aspergillus has a rapid onset and the disease progresses quickly. •The fungus invades and damages body tissues; most commonly the lungs and/or sinuses, but can spread throughout the body via the bloodstream. •Symptoms include fever, cough, breathlessness, chest pain, facial swelling, bleeding nose, bulging of an eye, or neurological symptoms. Other symptoms develop if the infection spreads beyond the lungs and sinuses. •There is a high fatality rate.
  • 6.
    •who have hada bone marrow transplant or solid organ transplant •on high doses of corticosteroids or chemotherapy for cancers such as leukemia •with advanced HIV infection.
  • 7.
    Allergic aspergillosis •Allergic aspergillosisis an allergic reaction to the aspergillus fungus in the lungs and/or in the sinuses. •Lung symptoms include fever, wheezing, and coughing. Patients may cough up blood or mucous plugs. •Sinus symptoms include facial pressure, headache, blocked nose, yellow or green discharge from the nose, and cough. Allergic aspergillosis can affect anyone, but is more common in people with asthma or cystic fibrosis.
  • 8.
    Aspergilloma •Aspergilloma is a“fungus ball” that develops in a pre-existing lung cavity. •It may cause no symptoms or the patient may cough up blood (which can be profuse and life- threatening). •Aspergillomas can also develop in other organs. Aspergilloma affects people with an underlying cavity-causing lung disease, such as tuberculosis, emphysema, or cystic fibrosis.
  • 9.
    Chronic necrotizing pulmonaryaspergillosis •Chronic necrotizing pulmonary aspergillosis is a rare condition that causes tissue death within the lungs. •This form of aspergillosis slowly progresses over weeks or months. •Symptoms often include fever, cough, night sweats, and weight loss. •Chronic necrotizing pulmonary aspergillosis usually affects people with mild immune impairment, such as underlying lung disease, alcoholism, or who are on long- term corticosteroid therapy.
  • 10.
    •Around 5–10% ofpatients with invasive aspergillosis develop skin lesions. •Lesions include single or multiple red or violet hardened plaques or papules. The lesions may be tender or symptom-free. As the lesions evolve, pus- or blood-filled blisters develop in the center, which eventually become necrotic blackened ulcers or scabs. Lesions most commonly appear on the limbs and head, and may affect a small or large area.
  • 11.
    aspergillosis diagnosed •Samples ofsputum, blood, or affected tissue can be cultured in the laboratory to grow aspergillus. •The fungus may be visible under a microscope in biopsies of affected tissue. Special stains for fungus may be needed, but other fungi may appear nearly identical .Chest x-ray or CT scan of the lungs can reveal haracteristic abnormalities. •A newer antigen-based test is available to detect evidence of invasive aspergillosis in the blood. However, the accuracy of this test appears to be variable.
  • 18.
    Potassium hydroxide of culture AspergillusPAS stain Aspergillus GMS stain
  • 19.
    aspergillosis treatment Voriconazole iscurrently used as first-line treatment for invasive aspergillosis. •Other drugs used to treat aspergillosis include itraconazole, amphotericin B, caspofungin, micafungin, and posaconazole. •Prolonged treatment is usually required. •When possible, immunosuppressive therapy, such as systemic corticosteroids, should be discontinued. •Surgical removal of the infected lung cavity may be required in the case of an aspergilloma.
  • 20.
    •Avoid dusty environments,construction sites, gardening, and lawn mowing •Wear protective face masks when near dusty environments •Take preventative antifungal medication if recommended by your physician. •Use a high-efficiency particulate air filter (HEPA) in hospital to prevent hospital-acquired lung infection in patients with poor immunity.
  • 21.
  • 24.
    Aspergillus is afungus (mold) that is found in abundance throughout the environment in soil, decomposing plant matter, ornamental plants, water, household dust, and building materials. More than 100 different species of aspergillus have been identified, but the species most commonly implicated in human disease are A. fumigatus, A. flavus, and A. niger.
  • 25.
    Aspergillosis is morefrequently diagnosed when conditions producing impaired immunity become more prevalent. For example, invasive aspergillosis is estimated to occur in 5–13% of recipients of bone marrow transplants In 5–25% of patients who have received heart or lung transplants in 10–20% of patients who are receiving intensive chemotherapy for leukemia.