Embed presentation
Download to read offline


































































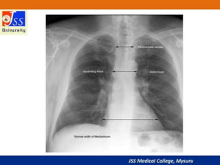
Chest X-rays are commonly used medical imaging tests that produce images of the structures and organs inside the chest such as the heart, lungs, blood vessels, and soft tissues. They can be used to diagnose conditions like pneumonia, lung cancer, and heart failure by detecting abnormalities in these structures. Chest X-rays expose patients to a very small dose of ionizing radiation but provide valuable medical information to guide diagnosis and treatment.

































































