Femoral Neck
Fractures
BY DR/ KHALED ALSAYANI
 Hip fractures in the elderly can be life altering.
 Overall 30 day mortality is 9%, development of medical
complications increases the rate further, pneumonia alone
increases mortality to 43% and heart failure increases it to 65%49
and mortality at 1 year is 15%–20%.
Epidemiology
 > 300,000 Hip fractures annually in the US
 Accounts for 30% of all hospitalizations
 Expected to surpass 6 million annually worldwide by 2050
 Significant morbidity, mortality, expense
 $10-15 billion/year in the US
Epidemiology: Bimodal Distribution
 Elderly
 incidence doubles each decade beyond age 50
 higher in caucasians
 smokers, lower BMI, excessive caffeine
 Plain Film
 Consider traction-internal rotation view if
comminuted
 CT scan
 Displacement
 comminution
Diagnosis
 MRI
 For evaluation of occult femoral neck
fracture
 Consider MRI in an elderly patient who is
persistently unable to weight bear
 100% sensitive and specific
 May reduce cost by shortening time to
diagnosis
Diagnosis
Classification
 Garden (1961)
 Degree of displacement
 Relates to risk of vascular disruption
 Most commonly applied to geriatric/insuffiency fractures
Garden Classification
I Valgus impacted or
incomplete
II Complete
Non-displaced
III Complete
Partial displacement
IV Complete
Full displacement
Treatment Goals: Geriatric Patients
 Mobilize
 Weight bearing as tolerated
 Minimize period of bedrest
 Minimize surgical morbidity
 Safest operation
 Decrease chance of reoperation
Treatment Options
 Non-operative
Limited role
Usually high operative risk patient
Valgus impacted fracture
Elderly need to be WBAT
Mobilize early
Treatment Options
 Reduction and fixation
 Open or percutaneus
 Arthroplasty
 Hemi or total
Decision Making Variables:
Patient Factors
Young (active)
High energy
injuries
Often multi-trauma
Often High
Pauwels Angle
(shear)
Elderly
Lower energy
injury (falls)
Comorbidities
Pre-existing hip
disease
Decision Making Variables:
Fracture Characteristics
 Displacement
 Stability
Pre-operative Considerations:
Geriatric
 Surgical Timing
 Surgical urgency in relatively healthy patients
 decreased mortality, complications, length of stay
 Surgical delay up to 72 hours for medical stabilization warranted in
unhealthy patients
 2.25 increase in MORTALITY if > 4 day delay
 Most likely related to increased severity of medical problems
Treatment Issues: Geriatric Patients
 Fixation
 Lower surgical risk
 Higher risk for reoperation
 Replacement
 Higher surgical risk (EBL, etc.)
 Fewer reoperations
 Better function
Treatment Issues: Geriatric Patients
 Fixation
 Stable (valgus impacted) fractures
 Minimally displaced fractures
 Replacement
 Displaced fractures
 Unstable fractures
 Poor bone quality
Arthroplasty Issues:
Hemiarthroplasty versus THA
 Hemi
 More revisions
 6-18%
 Smaller operation
 Less blood loss
 More stable
 2-3% dislocation
 Total Hip
 Fewer revisions
 4%
 Better functional outcome
 More dislocations
 11% early
 2.5% recurrent
Arthroplasty Issues: Surgical
Approach
 Posterior
 60% higher short-term
mortality
 Higher dislocation rate
 Anterior/Anterolateral
 Fewer dislocations
ORIF or Replacement?
 Prospective, randomized study ORIF vs. cemented bipolar hemi vs.
THA
 ambulatory patients > 60 years of age
 37% fixation failure (AVN/nonunion)
 similar dislocation rate hemi vs. THA (3%)
 ORIF 8X more likely to require revision surgery than hemi and 5X more
likely than THA
 THA group best functional outcome
Special Problems
Stress Fractures
 Patient population:
 Females 4–10 times more common
 Amenorrhea / eating disorders common
 Femoral BMD average 10% less than control subjects
 Hormone deficiency
 Recent increase in athletic activity
 Frequency, intensity, or duration
 Distance runners most common
Nonunion
 0-5% in Non-displaced fractures
 9-35% in Displaced fractures
 Increased incidence with
 Posterior comminution
 Initial displacement
 Imperfect reduction
 Non-compressive fixation
Osteonecrosis (AVN)
 5-8% Non-displaced fractures
 20-45% Displaced fractures
 Increased incidence with
 INADEQUATE REDUCTION
 Delayed reduction
 Initial displacement
 associated hip dislocation
 Sliding hip screw / plate devices
Total hip arthroplasty (THA)
 The total hip arthroplasty (THA) is an orthopedic procedure that is
performed 280 000 times annually in the United States of America .
 THA is one of the most common surgical procedures performed in
the US and worldwide
INDICATIONS FOR THA
 severe osteoarthritis
 rheumatoid arthritis
 avascular necrosis
 traumatic arthritis
 hip fractures
 benign and malignant bone tumors
 arthritis associated with Paget’s disease
 ankylosing spondylitis
 juvenile rheumatoid arthritis.
Rehabilitation Protocol
THA postoperative concerns
 Most THA procedures require the presence of an abduction pillow or
wedge placed between the legs when the patient is in bed or in a
wheelchair.
 Patients are cautioned not to exceed 90° of flexion of the operative
hip.
 Passive or forcible movement of the hip that causes pain is
contraindicated.
 Internal rotation and adduction are contraindicated.
 The patient is encouraged to perform active ankle exercises
 No weight-bearing or standing should take place unless under the
direct supervision of the physical therapist.
Homecare instructions for THA
patients
First 6 weeks postoperatively:
Do not
 Sit in low chairs or sofas
 Cross legs
 Force operated leg to flex (bend) or rotate at the hip
 Sit down on the floor of a bath tub
 Lean forward or raise knee higher than hip
 Discard the walking assistive device until instructed to do so
 Drive until permitted
 Force hip abduction, external rotation or extension
Do
 Use help for putting on shoes and stockings
 Use compression stockings
 Exercise as instructed
 Sleep on back
 Place a pillow between knees when sitting or sleeping
 Use caution getting into and out of bed and on and off a toilet seat.
Outpatient Discharge Criteria
 Walking normally without any assistive device
 Negotiate stairs reciprocally and safely
 Getting in/out of a car without difficulty
 Donning/doffing shoes and socks without difficulty
Phase 1: Post-op Phase (Day 0-
Hospital Discharge)
Goals
 Control pain and swelling
 Protect healing tissue
 Begin to restore range of motion (ROM)
 Establish lower extremity muscle activation
 Restore independent functional mobility
 Educate the patient regarding their dislocation precautions
Precautions
 Dislocation precautions
 WBAT with crutches or walker unless otherwise ordered
 Screen for sensory/motor deficits
 Screen for DVT, symptomatic orthostatic hypotension, symptomatic low
hematocrit
Recommended Exercises
(All exercises performed within the patient’s dislocation precautions)
Range of Motion
 Heel slides
 Ankle pumps
 Supine hip internal/external rotation
Strength
 Quad sets
 Glut sets
 Hamstring sets
 Supine hip abduction/adduction
 Long arc quads (LAQ)
 Seated hip flexion
 Short arc quads (SAQ)
Functional Mobility
 Bed mobility
 Transfer training
 Gait training on level surfaces
 Stair training
 ADL’s with adaptive equipment as needed
Positioning (when in bed)
 Posterior Precautions: ensure the foot of the bed is locked in a flat position
 Use a trochanter roll to maintain hip in neutral rotation and promote knee
extension
 Never place anything under the operated knee for posterior precautions.
 Use of abduction wedge when in bed at all times unless otherwise ordered
 Use of hip chair (posterior approach) when appropriate
Guidelines
 Perform 10 repetitions of all exercises 3-5 times a day.
 Use ice after exercising for 10-20 minutes.
Inpatient Plan of Care
Day of Surgery
 Out of bed to a chair
Post Op Day 1
 PT and OT Evaluations
 Therapeutic Exercise including ROM, Strengthening, and Functional Mobility as appropriate
 ADL Training as appropriate
Post Op Day 2-Discharge
 Progression of Therapeutic Exercise and Functional Mobility
 Continued ADL Training
Phase 2: Mobility Phase (Hospital
Discharge-6 Weeks)
Goals
 Begin to restore muscle strength throughout the operated leg
 Initiate proprioceptive training
 Initiate endurance training
 Normalize all functional mobility
 Demonstrate normal gait pattern with goal to wean all assistive
devices at the end of this phase (if permitted by surgeon)
Precautions
 Dislocation precautions
 WBAT with crutches or walker, progressing to cane unless otherwise
ordered
 Monitor for proper wound healing
 Monitor for signs of infection
 Monitor for increased swelling
Recommended Exercises
 (All exercises performed within the patient’s dislocation precautions)
Range of Motion
 Continue with all phase 1 ROM exercises Stretching
 Initiate gentle hamstring, gastroc/soleus, and quadriceps stretching
Strengthening
 Continue quad sets, glut sets, hamstring sets
 Continue LAQ and seated hip flexion
 Bridging
 Standing hip flexion/ abduction/ adduction/ extension
 Progress to straight leg raises (SLR), hip abduction/ adduction/ extension against gravity towards
the end of this phase
 Progress to closed chain exercises including terminal knee extensions, mini-squats, step ups, and
mini-lunges by the end of this phase
Proprioception
 Weight shifting activities
 Single leg stance
Functional Mobility
 Gait training with appropriate device emphasizing normal gait pattern
 Stair training with appropriate device
Endurance
 Initiate stationary biking with minimal to no resistance 3-4 weeks post-op
Guidelines
 Perform 10-20 repetitions of all ROM, strengthening, and strengthening exercises
3x/day.
 Hold stretches for 30 seconds and perform 2-3 repetitions of each.
 Bike daily for 5-10 minutes if able.
Phase 3: Strengthening Phase (6-12
Weeks)
Goals
 Restore normal LE strength
 Return to baseline functional activities
Precautions
 Dislocation precautions
 Avoid high impact activities
 Avoid activities that require repeated pivoting/twisting
Recommended Exercises
 (All exercises performed within the patient’s dislocation precautions)
Range of Motion and Stretching
 Continue ROM exercises from phase 1 and 2 until ROM normalized
Strengthening
 Continue with phase 2 exercises adding and increasing resistance as tolerated
 Add resistance machines as appropriate including leg press, hamstring curl, and 4-way hip
machine
 Emphasize eccentric control of quadriceps and hip abductors with closed chain exercises
Proprioception
 Single leg stance
 Static balance on Bosu/wobble board/foam/etc
 Add gentle agility exercises (i.e. tandem walk, side stepping, backwards walking)
Endurance
 Continue biking, adding mild to moderate resistance as tolerated
 Begin walking program
Guidelines
 Perform ROM and stretching exercises once a day.
 Hold stretches for 30 seconds and perform 2-3 repetitions of each.
 Perform strengthening exercises 3-5 times a week. Do 2-3 sets of 15-
20 Reps.
Phase 4: Advanced Phase (12
Weeks and Beyond)
Goals
 Continue to improve strength to maximize functional outcomes
 Work with to create customized routine to allow return to
appropriate sports/ recreational activities
Precautions
 Dislocation precautions according to surgeon’s orders
 Avoid high impact and contact sports
 Avoid repetitive heavy lifting
Recommended Exercises
 (All exercises performed within the patient’s dislocation precautions)
ROM and Flexibility
 Continue daily ROM and stretching exercises
Strengthening
 Continue with all strengthening exercises increasing resistance and decreasing
repetitions
Proprioception
 Continue with all phase 3 exercises, increasing difficulty as tolerated.
Endurance
 Continue with walking, biking, elliptical machine programs
Functional Progression
 Activity/sport-specific training exercises
Guidelines
 Perform ROM and flexibility exercises daily.
 Perform strengthening and proprioception exercises 3-5x/ week,
performing 2-3 sets of 10-15 repetitions.
 Continue endurance program 30-45 minutes 3x/ week.

4- THR.pdf

  • 1.
  • 2.
     Hip fracturesin the elderly can be life altering.  Overall 30 day mortality is 9%, development of medical complications increases the rate further, pneumonia alone increases mortality to 43% and heart failure increases it to 65%49 and mortality at 1 year is 15%–20%.
  • 3.
    Epidemiology  > 300,000Hip fractures annually in the US  Accounts for 30% of all hospitalizations  Expected to surpass 6 million annually worldwide by 2050  Significant morbidity, mortality, expense  $10-15 billion/year in the US
  • 4.
    Epidemiology: Bimodal Distribution Elderly  incidence doubles each decade beyond age 50  higher in caucasians  smokers, lower BMI, excessive caffeine
  • 5.
     Plain Film Consider traction-internal rotation view if comminuted  CT scan  Displacement  comminution Diagnosis
  • 6.
     MRI  Forevaluation of occult femoral neck fracture  Consider MRI in an elderly patient who is persistently unable to weight bear  100% sensitive and specific  May reduce cost by shortening time to diagnosis Diagnosis
  • 7.
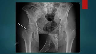
    Classification  Garden (1961) Degree of displacement  Relates to risk of vascular disruption  Most commonly applied to geriatric/insuffiency fractures
  • 8.
    Garden Classification I Valgusimpacted or incomplete II Complete Non-displaced III Complete Partial displacement IV Complete Full displacement
  • 9.
    Treatment Goals: GeriatricPatients  Mobilize  Weight bearing as tolerated  Minimize period of bedrest  Minimize surgical morbidity  Safest operation  Decrease chance of reoperation
  • 10.
    Treatment Options  Non-operative Limitedrole Usually high operative risk patient Valgus impacted fracture Elderly need to be WBAT Mobilize early
  • 11.
    Treatment Options  Reductionand fixation  Open or percutaneus  Arthroplasty  Hemi or total
  • 12.
    Decision Making Variables: PatientFactors Young (active) High energy injuries Often multi-trauma Often High Pauwels Angle (shear) Elderly Lower energy injury (falls) Comorbidities Pre-existing hip disease
  • 13.
    Decision Making Variables: FractureCharacteristics  Displacement  Stability
  • 14.
    Pre-operative Considerations: Geriatric  SurgicalTiming  Surgical urgency in relatively healthy patients  decreased mortality, complications, length of stay  Surgical delay up to 72 hours for medical stabilization warranted in unhealthy patients  2.25 increase in MORTALITY if > 4 day delay  Most likely related to increased severity of medical problems
  • 15.
    Treatment Issues: GeriatricPatients  Fixation  Lower surgical risk  Higher risk for reoperation  Replacement  Higher surgical risk (EBL, etc.)  Fewer reoperations  Better function
  • 16.
    Treatment Issues: GeriatricPatients  Fixation  Stable (valgus impacted) fractures  Minimally displaced fractures  Replacement  Displaced fractures  Unstable fractures  Poor bone quality
  • 17.
    Arthroplasty Issues: Hemiarthroplasty versusTHA  Hemi  More revisions  6-18%  Smaller operation  Less blood loss  More stable  2-3% dislocation  Total Hip  Fewer revisions  4%  Better functional outcome  More dislocations  11% early  2.5% recurrent
  • 18.
    Arthroplasty Issues: Surgical Approach Posterior  60% higher short-term mortality  Higher dislocation rate  Anterior/Anterolateral  Fewer dislocations
  • 19.
    ORIF or Replacement? Prospective, randomized study ORIF vs. cemented bipolar hemi vs. THA  ambulatory patients > 60 years of age  37% fixation failure (AVN/nonunion)  similar dislocation rate hemi vs. THA (3%)  ORIF 8X more likely to require revision surgery than hemi and 5X more likely than THA  THA group best functional outcome
  • 20.
    Special Problems Stress Fractures Patient population:  Females 4–10 times more common  Amenorrhea / eating disorders common  Femoral BMD average 10% less than control subjects  Hormone deficiency  Recent increase in athletic activity  Frequency, intensity, or duration  Distance runners most common
  • 21.
    Nonunion  0-5% inNon-displaced fractures  9-35% in Displaced fractures  Increased incidence with  Posterior comminution  Initial displacement  Imperfect reduction  Non-compressive fixation
  • 22.
    Osteonecrosis (AVN)  5-8%Non-displaced fractures  20-45% Displaced fractures  Increased incidence with  INADEQUATE REDUCTION  Delayed reduction  Initial displacement  associated hip dislocation  Sliding hip screw / plate devices
  • 24.
    Total hip arthroplasty(THA)  The total hip arthroplasty (THA) is an orthopedic procedure that is performed 280 000 times annually in the United States of America .  THA is one of the most common surgical procedures performed in the US and worldwide
  • 25.
    INDICATIONS FOR THA severe osteoarthritis  rheumatoid arthritis  avascular necrosis  traumatic arthritis  hip fractures  benign and malignant bone tumors  arthritis associated with Paget’s disease  ankylosing spondylitis  juvenile rheumatoid arthritis.
  • 26.
    Rehabilitation Protocol THA postoperativeconcerns  Most THA procedures require the presence of an abduction pillow or wedge placed between the legs when the patient is in bed or in a wheelchair.  Patients are cautioned not to exceed 90° of flexion of the operative hip.  Passive or forcible movement of the hip that causes pain is contraindicated.  Internal rotation and adduction are contraindicated.  The patient is encouraged to perform active ankle exercises  No weight-bearing or standing should take place unless under the direct supervision of the physical therapist.
  • 27.
    Homecare instructions forTHA patients First 6 weeks postoperatively: Do not  Sit in low chairs or sofas  Cross legs  Force operated leg to flex (bend) or rotate at the hip  Sit down on the floor of a bath tub  Lean forward or raise knee higher than hip  Discard the walking assistive device until instructed to do so  Drive until permitted  Force hip abduction, external rotation or extension
  • 28.
    Do  Use helpfor putting on shoes and stockings  Use compression stockings  Exercise as instructed  Sleep on back  Place a pillow between knees when sitting or sleeping  Use caution getting into and out of bed and on and off a toilet seat.
  • 29.
    Outpatient Discharge Criteria Walking normally without any assistive device  Negotiate stairs reciprocally and safely  Getting in/out of a car without difficulty  Donning/doffing shoes and socks without difficulty
  • 30.
    Phase 1: Post-opPhase (Day 0- Hospital Discharge) Goals  Control pain and swelling  Protect healing tissue  Begin to restore range of motion (ROM)  Establish lower extremity muscle activation  Restore independent functional mobility  Educate the patient regarding their dislocation precautions Precautions  Dislocation precautions  WBAT with crutches or walker unless otherwise ordered  Screen for sensory/motor deficits  Screen for DVT, symptomatic orthostatic hypotension, symptomatic low hematocrit
  • 31.
    Recommended Exercises (All exercisesperformed within the patient’s dislocation precautions) Range of Motion  Heel slides  Ankle pumps  Supine hip internal/external rotation Strength  Quad sets  Glut sets  Hamstring sets  Supine hip abduction/adduction  Long arc quads (LAQ)  Seated hip flexion  Short arc quads (SAQ)
  • 32.
    Functional Mobility  Bedmobility  Transfer training  Gait training on level surfaces  Stair training  ADL’s with adaptive equipment as needed Positioning (when in bed)  Posterior Precautions: ensure the foot of the bed is locked in a flat position  Use a trochanter roll to maintain hip in neutral rotation and promote knee extension  Never place anything under the operated knee for posterior precautions.  Use of abduction wedge when in bed at all times unless otherwise ordered  Use of hip chair (posterior approach) when appropriate
  • 33.
    Guidelines  Perform 10repetitions of all exercises 3-5 times a day.  Use ice after exercising for 10-20 minutes. Inpatient Plan of Care Day of Surgery  Out of bed to a chair Post Op Day 1  PT and OT Evaluations  Therapeutic Exercise including ROM, Strengthening, and Functional Mobility as appropriate  ADL Training as appropriate Post Op Day 2-Discharge  Progression of Therapeutic Exercise and Functional Mobility  Continued ADL Training
  • 34.
    Phase 2: MobilityPhase (Hospital Discharge-6 Weeks) Goals  Begin to restore muscle strength throughout the operated leg  Initiate proprioceptive training  Initiate endurance training  Normalize all functional mobility  Demonstrate normal gait pattern with goal to wean all assistive devices at the end of this phase (if permitted by surgeon)
  • 35.
    Precautions  Dislocation precautions WBAT with crutches or walker, progressing to cane unless otherwise ordered  Monitor for proper wound healing  Monitor for signs of infection  Monitor for increased swelling
  • 36.
    Recommended Exercises  (Allexercises performed within the patient’s dislocation precautions) Range of Motion  Continue with all phase 1 ROM exercises Stretching  Initiate gentle hamstring, gastroc/soleus, and quadriceps stretching Strengthening  Continue quad sets, glut sets, hamstring sets  Continue LAQ and seated hip flexion  Bridging  Standing hip flexion/ abduction/ adduction/ extension  Progress to straight leg raises (SLR), hip abduction/ adduction/ extension against gravity towards the end of this phase  Progress to closed chain exercises including terminal knee extensions, mini-squats, step ups, and mini-lunges by the end of this phase
  • 37.
    Proprioception  Weight shiftingactivities  Single leg stance Functional Mobility  Gait training with appropriate device emphasizing normal gait pattern  Stair training with appropriate device Endurance  Initiate stationary biking with minimal to no resistance 3-4 weeks post-op Guidelines  Perform 10-20 repetitions of all ROM, strengthening, and strengthening exercises 3x/day.  Hold stretches for 30 seconds and perform 2-3 repetitions of each.  Bike daily for 5-10 minutes if able.
  • 38.
    Phase 3: StrengtheningPhase (6-12 Weeks) Goals  Restore normal LE strength  Return to baseline functional activities Precautions  Dislocation precautions  Avoid high impact activities  Avoid activities that require repeated pivoting/twisting
  • 39.
    Recommended Exercises  (Allexercises performed within the patient’s dislocation precautions) Range of Motion and Stretching  Continue ROM exercises from phase 1 and 2 until ROM normalized Strengthening  Continue with phase 2 exercises adding and increasing resistance as tolerated  Add resistance machines as appropriate including leg press, hamstring curl, and 4-way hip machine  Emphasize eccentric control of quadriceps and hip abductors with closed chain exercises Proprioception  Single leg stance  Static balance on Bosu/wobble board/foam/etc  Add gentle agility exercises (i.e. tandem walk, side stepping, backwards walking)
  • 40.
    Endurance  Continue biking,adding mild to moderate resistance as tolerated  Begin walking program Guidelines  Perform ROM and stretching exercises once a day.  Hold stretches for 30 seconds and perform 2-3 repetitions of each.  Perform strengthening exercises 3-5 times a week. Do 2-3 sets of 15- 20 Reps.
  • 41.
    Phase 4: AdvancedPhase (12 Weeks and Beyond) Goals  Continue to improve strength to maximize functional outcomes  Work with to create customized routine to allow return to appropriate sports/ recreational activities Precautions  Dislocation precautions according to surgeon’s orders  Avoid high impact and contact sports  Avoid repetitive heavy lifting
  • 42.
    Recommended Exercises  (Allexercises performed within the patient’s dislocation precautions) ROM and Flexibility  Continue daily ROM and stretching exercises Strengthening  Continue with all strengthening exercises increasing resistance and decreasing repetitions Proprioception  Continue with all phase 3 exercises, increasing difficulty as tolerated. Endurance  Continue with walking, biking, elliptical machine programs Functional Progression  Activity/sport-specific training exercises
  • 43.
    Guidelines  Perform ROMand flexibility exercises daily.  Perform strengthening and proprioception exercises 3-5x/ week, performing 2-3 sets of 10-15 repetitions.  Continue endurance program 30-45 minutes 3x/ week.