2016 WHO
CLASSIFICATION RENAL
CELL CARCINOMA
27-06-2017
Dr. Pratima M.Pattar
CONTENTS
• Introduction
• Risk factors
• Pathogenesis
• WHO classification
• Updates of 2016 classification
• New renal tumor entities
• Emerging or provisional renal tumour entities
• Grading of renal tumors
• Summary
• References
INTRODUCTION
• Malignant tumors of kidney and renal pelvis account for
nearly 4% of cancer cases and over 2% of cancer deaths in
United States.
• RCC represents over 90% of all malignancies of the kidney in
adults.
• Male : Female ratio is 2:1
• It predominates in the sixth to eighth decade of life with
median age at diagnosis around 64yrs of age.
• Highly vascular
• Renal cell carcinomas (RCCs) have been regarded as a single
entity until recently; however, studies have now proven
conclusively that they are not a single tumor but rather a
group of distinguishable entities.
• This understanding is based on histologic and cytogenetic and
molecular studies.
• During the past several decades, considerable advances have
been made in our understanding of the molecular
pathogenesis of Renal cell tumors, which has expanded from
4 subtypes in the 1997 Heidelberg classification to 12
recognized subtypes and several provisional entities in the
recent 2016 World Health Organization (WHO) Classification
of Tumours of the Urinary System and Male Genital Organs.
RISK FACTORS
• Tobacco smoking contributes to 24-30% of RCC cases
- Tobacco results in a 2-fold increased risk
• Environmental:
Cadmium, thorium-di-oxide, petroleum and phenacetin
analgesics.
• Occupational:
leather tanners, shoe workers, asbestos workers.
• Hormonal:
diethylstilbestrol,
• Obesity, HTN
• 35% - 47% patients on long term dialysis develop Acquired
polycystic kidney disease, out of which 5.8% develops Renal
cancer.
A sarcomatoid variant represents1% to 6% of renal cell carcinoma and these tumors are
associated with a significantly poorer prognosis.
BHD=Birt-Hogg-Dubé; FH=fumarate hydratase; VHL=Von Hippel-Lindau.
RCC is not one disease…
7
Clear cell
75%
Type
Incidence (%)
Associated
mutations
VHL
Papillary type 1
5%
c-Met
Papillary type 2
10%
FH
Chromophobe
5%
BHD
Oncocytoma
5%
BHD
It is made up of no. of different types of cancers with different histology, different
clinical courses and caused by different gene.
HEREDITARY RENAL CANCER
SYNDROMES
Syndrome Chromosome
Location
(Gene)
Renal
Manifestations
Other Manifestations
Von Hippel-
Lindau (VHL)
3p25
VHL
Clear cell renal
carcinoma: solid
and/or cystic,
multiple and
bilateral
28%-45%
Retinal and central nervous system
hemangioblastomas; pheochromocytomas;
pancreatic cysts and neuroendocrine tumors;
endolymphatic sac tumors
8
Syndrome Chromosome
Location (Gene)
Renal Manifestations Other Manifestations
Hereditary papillary
renal carcinoma
type1(HPRC)
7q31
MET
Papillary renal carcinoma
type 1: solid, multiple and
bilateral
None
Hereditary
leiomyomatosis and
renal cell carcinoma
(HLRCC)
1q42-43
FH
Papillary renal carcinoma
type 2, collecting duct
carcinoma: solitary,
aggressive
Uterine leiomyomas and
leiomyosarcomas;
cutaneous leiomyomas
9
Syndrome Chromosome
Location (Gene)
Renal Manifestations Other Manifestations
Birt-Hogg-Dubé
syndrome (BHD)
17p11.2
BHD
Hybrid oncocytic renal tumors,
chromophobe and clear cell renal
carcinomas, oncocytomas:
multiple, bilateral
Benign tumors of hair follicle
(fibrofolliculomas); lung
cysts, spontaneous
pneumothoraces
Constitutional
chromosome 3
translocation
3p; Not known;
VHL somatic
mutations 84% -
98%
Clear cell renal carcinoma:
multiple, bilateral
None
10
NATURAL HISTORY
• 7% diagnosed incidentally
• 45% present with localized disease, 25% with locally advanced
disease, 30% with metastatic disease
• Lymph node metastases- 9% to 27% (renal hilar, para-aortic
and paracaval)
• Renal vein – 21% & IVC 4%
• Distant metastases- lung (75%), soft tissue (36%), bone (20%),
liver (18%), skin (8%) and CNS (8%)
11
CLINICAL PRESENTATION
• Clinically occult for most of its course.
• Classic triad (occur in 5%-10% of patients)
– flank pain,
– hematuria,
– palpable abdominal mass
• Hematuria present 40% of patients
• Systemic symptoms
– Anaemia, Fatigue, Cachexia, Wt. Loss, Hypercalcemia,
Hepatic Dysfunction
• Paraneoplastic Syndrome
– Parathyroid like hormones, erythropoietin, renin,
gonadotropins, placental lactogen, prolactin, entero-
glucagon, insulin like hormones, adrenocorticotropic
hormone and prostaglandins identified in RCC pt.
12
WHO CLASSIFICATION
• In 1986, Thoenes et al proposed a new classification for renal
neoplasms based on modern histopathologic and cytologic
findings.
• In 1996, Dr. Guyla Kovacs organized a meeting of experts from
various disciplines in the field of renal cancer at the University
of Heidelberg in Germany to discuss morphologic, clinical, and
molecular aspects of renal neoplasia.
• This meeting was quickly followed by a consensus conference
sponsored by Mayo Clinic, the American Cancer Society,
Union Internationale Contre le Cancer (UICC), and the
American Joint Committee on Cancer (AJCC).
• It resulted in a new classification system for renal neoplasms
that now has also been adopted by the World Health
Organization (WHO).
• The Vancouver consensus conference of the International
Society of Urological Pathology (ISUP) provided the
foundation for much of the 2016 World Health Organization
(WHO) renal tumor classification.
• The revision of the 2004 WHO renal tumor classification was
performed after consideration of new knowledge about
pathology, epidemiology, and genetics.
(2004)
(2016)
Renal cell carcinoma
1. Clear cell RCC
2. Multilocular clear cell RCC
3. Papillary RCC
4. Chromophobe RCC
5. Carcinoma of the collecting ducts
of Bellini
6. Renal medullary carcinoma
7. Xp11 translocation carcinoma
8. Carcinoma associated with
neuroblastoma
9. Mucinous tubular & spindle cell
carcinoma
10. RCC, unclassified
11. Papillary adenoma
12. Oncocytoma
Renal cell carcinoma
1. Clear cell RCC
2. Multilocular cystic renal neoplasm of low
malignant potential
3. Papillary RCC
4. Hereditary leiomyomatosis & RCC –
associated RCC
5. Chromophobe RCC
6. Collecting duct carcinoma
7. Renal medullary carcinoma
8. MiT family translocation RCC
9. Succinate dehydrogenase- deficient RCC
10. Mucinous tubular & spindle cell
carcinoma
11. Tubulocystic RCC
12. Acquired cystic disease- associated RCC
13. Clear cell papillary RCC
14. RCC, unclassified
15. Papillary adenoma
16. Oncocytoma
2004 2016
Metanephric tumors
1. Metanephric adenoma
2. Metanephric adenofibroma
3. Metanephric stromal tumor
Metanephric tumors
1. Metanephric adenoma
2. Metanephric adenofibroma
3. Metanephric stromal tumor
2004 2016
Nephroblastic tumors
1. Nephrogenic rests
2. Nephroblastoma
3. Cystic partially differentiated
nephroblastoma
Nephroblastic and cystic
tumors occuring mainly in
children
1. Nephrogenic rests
2. Nephroblastoma
3. Cystic partially differentiated
nephroblastoma
4. Paediatric cystic nephroma
2004 2016
Mesenchymal tumors
Occuring mainly in children
1. Clear cell sarcoma
2. Rhabdoid tumor
3. Congenital mesoblastic
nephroma
4. Ossifying renal tumor of
infants
Mesenchymal tumors
Occuring mainly in children
1. Clear cell sarcoma
2. Rhabdoid tumor
3. Congenital mesoblastic
nephroma
4. Ossifying renal tumor of
infants
2004 2016
Mesenchymal tumors
Occuring mainly in Adults
1. Leiomyosarcoma(including renal vein)
2. Angiosarcoma
3. Rhabdomyosarcoma
4. Osteosarcoma
5. Malignant fibrous histiocytoma
6. Haemangiopericytoma
7. Angiomyolipoma
8. Leiomyoma
9. Haemagioma
10.Lymphangioma
11.Juxtaglomerular cell tumor
12.Schwannoma
13.Solitary fibrous tumor
Mesenchymal tumors
Occuring mainly in Adults
1. Leiomyosarcoma
2. Angiosarcoma
3. Rhabdomyosarcoma
4. Osteosarcoma
5. Synovial sarcoma
6. Ewing sarcoma
7. Angiomyolipoma
8. Epithelioid angiomyolipoma
9. Leiomyoma
10. Haemangioma
11. Lymphangioma
12. Haemangioblastoma
13. Juxtaglomerular cell tumor
14. Schwannoma
15. Solitary fibrous tumor
2004 2016
Mixed mesenchymal and
epithelial tumors
1. Cystic nephroma
2. Mixed epithelial and stromal
tumor
3. Synovial sarcoma
Mixed mesenchymal and
epithelial tumors
1. Cystic nephroma
2. Mixed epithelial and stromal
tumor
2004 2016
Neuroendocrine tumors
1. Carcinoid
2. Neuroendocrine carcinoma
3. Primitive neuroectodermal
tumor
4. Neuroblastoma
5. Pheochromocytoma
Neuroendocrine tumors
1. Well-diffrentiated
neuroendocrine tumor
2. Large cell neuroendocrine
carcinoma
3. Small cell neuroendocrine
carcinoma
4. Pheochromocytoma
2004 2016
Haematopoietic and lymphoid
tumors
1. Lymphoma
2. Leukemia
3. Plasmacytoma
Germ cell tumors
1. Teratoma
2. Choriocarcinoma
Metastatic tumors
Miscellaneous tumors
1. Renal haematopoietic neoplasms
2. Germ cell tumors
Metastatic tumors
2004 2016
UPDATES OF 2016 CLASSIFICATION
• The new 2016 WHO classification refers to subtypes
that have been named on the basis of predominant
 Cytoplasmic features (eg, clear cell and chromophobe renal
cell carcinomas [RCCs]),
 Architectural features (eg, papillary RCC),
 Anatomic location of tumours (eg, collecting duct and renal
medullary carcinomas), and
 Correlation with a specific renal disease background (eg,
acquired cystic disease– associated RCCs)
 As well as molecular alterations pathognomonic for RCC
subtypes (eg, MiT family translocation carcinomas and
succinate dehydrogenase [SDH]–deficient renal carcinomas)
or
 Familial predisposition syndromes (eg, hereditary
leiomyomatosis and RCC [HLRCC] syndrome– associated RCC).
• In contrast to the 2004 WHO classification, familial forms of
RCC, which also occur in sporadic form (eg, clear cell RCC
[ccRCC] in patients with von Hippel-Lindau [VHL] syndrome or
chromophobe RCC in patients with Birt- Hogg-Dube´
syndrome) are now discussed with the corresponding
sporadic tumour types in joint chapters.
Multilocular cystic renal neoplasm of low
malignant potential
• A tumour composed entirely of numerous cysts, the septa of
which contain small groups of clear cells indistinguishable
from grade Ι clear cell carcinoma.
• Multiple publications report no recurrence or metastasis in
patients with multilocular cystic RCC. Consequently,
multilocular cystic renal neoplasm of low malignant potential
is now the WHO-recommended term for this lesion.
• Such tumours are defined as tumours composed entirely of
numerous cysts with low-grade tumour cells (WHO/ISUP
grade 1 or 2).
• The cysts are lined by a single layer of tumour cells with
abundant clear cytoplasm. The septa contain, at the
maximum, groups of clear cells but without expansile growth.
Papillary RCC
• A malignant renal parenchymal tumour with a papillary or
tubulopapillary architecture.
• PRCC is characterized by malignant epithelial cells forming
varying proportions of papillae and tubules.
• The tumour papillae contain a delicate fibrovascular core and
aggregates of foamy macrophages and cholesterol crystals
may be present.
• Occasionally the papillary cores are expanded by oedema or
hyalinized connective tissue
• Papillary RCC has traditionally been subdivided into type 1
and type 2 papillary RCCs.
• Type 1 tumours have papillae covered by small cells with
scanty cytoplasm, arranged in a single layer on the papillary
basement membrane.
• Type 2 tumour cells are often of higher nuclear grade with
eosinophilic cytoplasm and pseudostratified nuclei on
papillary cores.
• Recent molecular studies suggest that type 2 papillary RCCs
may constitute not a single well-defined entity but rather
individual subgroups with different molecular backgrounds.
• Papillary RCCs with eosinophilic (oncocytic) cytoplasm and
oncocytoma-like low-grade nuclei have been called oncocytic
papillary RCCs.
• Because tumors with this morphology have not yet been fully
characterized, they are not considered a distinct WHO entity.
• The Vancouver consensus conference has recommended
diagnosing such tumors as type 2 papillary RCC for the time
being.
Papillary adenomas
• Papillary adenomas were defined until 2015 as tumours
measuring ≤0.5 cm.
• The WHO 2016 classification defines papillary adenomas as
unencapsulated tumours with papillary or tubular
architecture, low WHO/ISUP grade, and a diameter ≤1.5 cm.
• The decision to increase the cut-off size was based on
available data showing that unencapsulated grade 1–2
tumours have no capacity to metastasize.
• It is emphasized, however, that a diagnosis of papillary
adenoma based on needle biopsy should be made with
extreme caution because the presence of any capsule or
grade heterogeneity may not be visualized.
• Current protocols, which define papillary adenomas as ≤0.5
cm in size, state that the presence of papillary adenoma in a
donor kidney is not a contraindication for renal
transplantation.
• The newcut-off of ≤1.5 cm could have a significant impact on
some clinical situations (eg, small renal papillary tumours
detected in transplanted kidneys).
Mixed Epithelial and Stromal Tumours
(MEST)
• It encompass a spectrum of tumours including
predominantly cystic tumours (adult cystic
nephromas) and tumours that are more solid.
• Adult cystic nephroma was previously classified,
along with paediatric cystic nephroma, as a separate
entity from MEST.
• On the basis of similar age and sex distributions and a similar
histochemical profile, adult cystic nephroma is now classified
within this spectrum of MEST, and the WHO renal tumour
subcommittee recommended using the term mixed epithelial
and stromal tumour family for both entities.
• In contrast to adult cystic nephroma, paediatric cystic
nephroma is a distinct entity with specific DICER1 mutations.
Neuroendocrine tumors
• Most carcinoids of the kidney have a poor prognosis, with
frequent occurrence of metastasis after nephrectomy.
• The renal tumour subcommittee recommended renal
carcinoids should be newly designated as well-differentiated
neuroendocrine tumours of the kidney.
• And simultaneously placed within the group of endocrine
tumours encompassing small cell neuroendocrine carcinomas,
large cell neuroendocrine carcinomas, and paragangliomas
(extrarenal pheochromocytoma).
• The term carcinoid of the kidney is obsolete.
Renal carcinoid. (A) Hematoxylin and eosin stains reveals obvious neuroendocrine
differentiation. (B) Tumor cells are immunoreactive with chromogranin.
NEW RENAL TUMOUR ENTITIES
• Over the past decade, several new tumour entities have
emerged; therefore, the WHO working group was entrusted
with the responsibility to decide whether enough molecular
clinical follow-up data and pathologic data justify the
recognition of any new distinct tumour entity within the
classification system.
• The newly recognized epithelial renal tumours in the 2016
WHO classification are HLRCC associated RCC, SDH-deficient
RCC, tubulocystic RCC, acquired cystic RCC, and clear cell
papillary RCC.
• Paediatric cystic nephroma represents a new entity
in the group of nephroblastic and cystic tumours
occurring mainly in children (as described under
‘‘Important changes’’).
1) Hereditary leiomyomatosis and renal cell
carcinoma (RCC) syndrome–associated RCC
• It is an autosomal dominant tumour syndrome.
• The average age at onset is much earlier than in sporadic
kidney cancer.
• HLRCC-associated RCCs are rare tumours occurring in the
setting of nonrenal leiomyomatosis and demonstrate
germline fumarate hydratase mutations.
• The definitive diagnosis of HLRCC relies on FH mutation
detection.
• The presence of multiple leiomyomas of the skin and the
uterus, papillary type 2 renal cancer, and early-onset uterine
leiomyosarcoma are suggestive of the diagnosis.
• The tumors have papillary architecture with abundant
eosinophilic cytoplasm, large nuclei, and very prominent
nucleoli with perinucleolar clearing.
• The prognosis of these tumors is poor.
2) MiT family translocation RCC
• TFE3 and TFEB are 2 of 4 members of the microphthalmia
transcription factor (MiT) family.
• TFE3 is located centromerically on the short arm of the X
chromosome (Xp11) and may fuse to a number of
translocation partners, most commonly PRCC on chromosome
1q21 or ASPL on chromosome 17q25, resulting in
overexpression of a functional TFE3 gene product.
Xp11 translocation–associated renal cell carcinoma (t-RCC),
Hematoxylin-eosin (H&E) images demonstrating the diverse
morphologic spectrum, including papillary architecture and cells with
voluminous clear and/or eosinophilic cytoplasm
3) Succinate dehydrogenase–deficient
renal cell carcinoma
• SDH-deficient RCC is composed of vacuolated eosinophilic or
clear cells.
• Immunohistochemistry is a useful tool for their diagnosis
because there is a loss of expression of SDHB, a marker of
dysfunction of mitochondrial complex II.
• It presents mainly in young adults, and most patients have
germline mutations in an SDH gene.
• Most tumours are solid, with a brown, sometimes red, cut
surface.
• The most distinctive feature is the presence of cytoplasmic
vacuoles. There are sometimes flocculent inclusions.
• Most SDH-deficient RCC has good prognosis.
• In cases with sarcomatoid differentiation and necrosis, the
prognosis is less favourable.
(A) Succinate dehydrogenase–deficient renal cell carcinoma
composed of vacuolated cells. (B) Immunohistochemically, there is a
loss of SDHB expression (with positivity in normal tubular cells).
4) Tubulocystic renal cell carcinoma
• Tubulocystic RCC is a dominantly cystic renal epithelial
neoplasm.
• Macroscopically, it is composed of multiple small to medium-
sized cysts and has a spongy cut surface.
• The nuclei are enlarged with WHO/ISUP grade 3 nucleoli. The
cytoplasm has abundant eosinophilic and oncocytoma like
aspects.
• Only 4 of 70 reported cases showed metastasis to bone, liver,
and lymph nodes.
5) Acquired cystic disease–associated
renal cell carcinoma
• Acquired cystic disease–associated RCC occurs in the kidneys
of end-stage renal disease and acquired cystic kidney disease.
• Histologically, these tumours show a broad spectrum with a
cribriform, microcystic, or sieve like architecture.
• They have an eosinophilic and/or clear cytoplasm and
prominent nucleoli.
• Calcium oxalate crystal deposition is common. CK7 is
typically not expressed. Most tumours have indolent
behaviour.
6) Clear cell papillary renal cell
carcinoma
• Clear cell papillary RCC is a renal epithelial neoplasm
composed of low-grade clear epithelial cells arranged in
tubules and papillae with a predominantly linear nuclear
alignment away from the basement membrane.
• They account for up to 5% of all resected renal tumours and
arise sporadically in end-stage renal disease and VHL
syndrome.
• Some of these tumours were previously referred to as renal
angioadenomatous tumours.
• The tumour cells have characteristic diffuse CK7 positivity and
carbonic anhydrase IX positivity in a cuplike distribution.
• CD10 is negative or only focally positive. According to current
knowledge, these tumours have indolent behaviour.
(A) Clear cell papillary renal cell carcinoma is a renal epithelial
neoplasm composed of low-grade clear epithelial cells arranged in
tubules and papillae with a predominantly linear nuclear alignment. (B)
The tumour cells have a characteristic diffuse CK7 positivity.
EMERGING OR PROVISIONAL RENAL
TUMOUR ENTITIES
• The 2013 ISUP Vancouver classification identified a category
of emerging or provisional new entities.
• Some of these emerging entities have been accepted by the
WHO, and others were kept as emerging.
• The WHO classification noted that although these entities
appear to be distinct, they are rare tumours that are not yet
fully characterized by morphology, immunohistochemistry,
and molecular studies.
• Consequently, further reports are needed to refine their
diagnostic criteria and established clinical outcomes.
• SDH-deficient RCC was regarded as an emerging entity in the
Vancouver classification but now is considered to be an
established entity.
• RCC in neuroblastoma survivors was included in the 2004
WHO classification; however, it is now recognized that some
of these tumours represent MiT family translocation RCCs,
and others are difficult to classify based on the published
pathologic details.
• Consequently, it was decided to remove this entity from the
2016WHOclassification, although it may be distinct, and to
continue to consider it as an emerging entity.
• Very few thyroid-like follicular RCCs have been described.
• Most of these tumours have indolent behaviour. Fewer than
10 RCCs associated with ALK gene rearrangements have been
reported in the literature; some are medullary based tumors.
• Recently, reports of RCC associated with prominent
angioleiomyomatous stroma have been published.
• It is unclear if the renal angiomyoadenomatous tumour
represents a variant of ccRCC or clear cell papillary RCC.
• Some tumours were sporadic, and others were associated
with tuberous sclerosis.
• A recent report identified TCEB1 gene mutations in tumours
with this morphology.
GRADING OF RENAL TUMOURS
• Since Hand & Broders introduced grading of renal cell
carcinomas in 1932, several different systems have been
proposed, with variable success.
• In addition to nuclear characteristics, cytoplasmic and
architectural features have been incorporated, leading to a
long controversy and considerable frustration for practising
surgical pathologists.
• In 1971, Skinner et aI, re directed attention to the correlation
between nuclear features and survival.
• These observations were confirmed and refined into a system
of practically applicable criteria by Fuhrman et aI.
• The Fuhrman system consists of four grades based on the
nuclear size, contour, and conspicuousness of nucleoli.
• Medeiros et aI, showed that the Fuhrman system correlated
well with survival in a large population of patients with renal
cell carcinoma and in a smaller population of patients with
stage 1 tumors.
• Survival ranged from 86% for patients with grade 1 tumors to
24% for those with grade 4 tumors.
• The Fuhrman system was the most frequently used grading
system in RCC but should not be applied for chromophobe
RCC.
• Furthermore, the Fuhrman system has not been validated for
most of the new subtypes of renal carcinoma.
• For these reasons, the four-tiered WHO/ISUP grading system
is recommended by the WHO.
• For grade 1–3 tumours, the system defines tumour grade
based on nucleolar prominence.
• Grade 4 is defined by the presence of pronounced nuclear
pleomorphism, tumour giant cells, and/or rhabdoid and/or
sarcomatoid differentiation.
• This grading system has been validated for ccRCC and
papillary RCC. It has not yet been validated for other tumour
types because of the small numbers of reported cases.
SUMMARY
• Renal cell carcinoma is almost exclusively a cancer of adults.
Approximately 28,000 new cases are diagnosed each year in
the U.S.A
• Cigarette smoking and high blood pressure are said to
increase the risk for development of the disease.
• Conditions that may be complicated by renal cell carcinoma
are VHL disease, acquired cystic disease, neuroblastoma,
HLRCC syndrome.
• World Health Organization (WHO) classification of urogenital
tumors 2016, contains significant revisions.
• Newly recognized epithelial renal tumours are hereditary
leiomyomatosis and renal cell carcinoma (RCC) syndrome–
associated RCC, succinate dehydrogenase–deficient RCC,
tubulocystic RCC, acquired cystic disease–associated RCC, and
clear cell papillary RCC.
• The WHO/International Society of Urological Pathology renal
tumour grading system was recommended, and the definition
of renal papillary adenoma was modified.
• Several other emerging/provisional RCC entities, such as
transcription elongation factor B subunit 1 (TCEB1)– mutated
RCC/ RCC with leiomyomatous stroma, RCC associated with
anaplastic lymphoma receptor tyrosine kinase (ALK) gene
rearrangement, thyroid like follicular RCC, and RCC in
neuroblastoma survivors.
REFERENCES
• Moch H, Cubilla A L., The 2016 WHO Classification of Tumours
of the Urinary System and Male Genital Organs—Part A:
Renal, Penile, and Testicular Tumours. European Urology 70(
2016 ) 93 – 105
• Udager A.M, Mehra R. Morphologic, Molecular, and
Taxonomic Evolution of Renal Cell Carcinoma A Conceptual
Perspective With Emphasis on Updates to the 2016 World
Health Organization Classification. Arch Pathol Lab Med.
2016;140:1026–1037
• Eble J.N., Sauter G., Epstein J.I., Sesterhenn I.A. (Eds.): World
Health Organization Classification of Tumours. Pathology and
Genetics of Tumours of the Urinary System and Male Genital
Organs. IARC Press: Lyon 2004
• Juan Rosai. Rosai and Ackerman’s Surgical Pathology. 10th
Edition. Vol 1
• Christopher, D.M. Fletcher. Diagnostic Histopathology of
Tumors. 2nd Edition.
Thank You

WHO CLASSIFICATION 2016 RENAL CELL CARCINOMA.pptx

  • 1.
    2016 WHO CLASSIFICATION RENAL CELLCARCINOMA 27-06-2017 Dr. Pratima M.Pattar
  • 2.
    CONTENTS • Introduction • Riskfactors • Pathogenesis • WHO classification • Updates of 2016 classification • New renal tumor entities • Emerging or provisional renal tumour entities • Grading of renal tumors • Summary • References
  • 3.
    INTRODUCTION • Malignant tumorsof kidney and renal pelvis account for nearly 4% of cancer cases and over 2% of cancer deaths in United States. • RCC represents over 90% of all malignancies of the kidney in adults. • Male : Female ratio is 2:1 • It predominates in the sixth to eighth decade of life with median age at diagnosis around 64yrs of age. • Highly vascular
  • 4.
    • Renal cellcarcinomas (RCCs) have been regarded as a single entity until recently; however, studies have now proven conclusively that they are not a single tumor but rather a group of distinguishable entities. • This understanding is based on histologic and cytogenetic and molecular studies.
  • 5.
    • During thepast several decades, considerable advances have been made in our understanding of the molecular pathogenesis of Renal cell tumors, which has expanded from 4 subtypes in the 1997 Heidelberg classification to 12 recognized subtypes and several provisional entities in the recent 2016 World Health Organization (WHO) Classification of Tumours of the Urinary System and Male Genital Organs.
  • 6.
    RISK FACTORS • Tobaccosmoking contributes to 24-30% of RCC cases - Tobacco results in a 2-fold increased risk • Environmental: Cadmium, thorium-di-oxide, petroleum and phenacetin analgesics. • Occupational: leather tanners, shoe workers, asbestos workers. • Hormonal: diethylstilbestrol, • Obesity, HTN • 35% - 47% patients on long term dialysis develop Acquired polycystic kidney disease, out of which 5.8% develops Renal cancer.
  • 7.
    A sarcomatoid variantrepresents1% to 6% of renal cell carcinoma and these tumors are associated with a significantly poorer prognosis. BHD=Birt-Hogg-Dubé; FH=fumarate hydratase; VHL=Von Hippel-Lindau. RCC is not one disease… 7 Clear cell 75% Type Incidence (%) Associated mutations VHL Papillary type 1 5% c-Met Papillary type 2 10% FH Chromophobe 5% BHD Oncocytoma 5% BHD It is made up of no. of different types of cancers with different histology, different clinical courses and caused by different gene.
  • 8.
    HEREDITARY RENAL CANCER SYNDROMES SyndromeChromosome Location (Gene) Renal Manifestations Other Manifestations Von Hippel- Lindau (VHL) 3p25 VHL Clear cell renal carcinoma: solid and/or cystic, multiple and bilateral 28%-45% Retinal and central nervous system hemangioblastomas; pheochromocytomas; pancreatic cysts and neuroendocrine tumors; endolymphatic sac tumors 8
  • 9.
    Syndrome Chromosome Location (Gene) RenalManifestations Other Manifestations Hereditary papillary renal carcinoma type1(HPRC) 7q31 MET Papillary renal carcinoma type 1: solid, multiple and bilateral None Hereditary leiomyomatosis and renal cell carcinoma (HLRCC) 1q42-43 FH Papillary renal carcinoma type 2, collecting duct carcinoma: solitary, aggressive Uterine leiomyomas and leiomyosarcomas; cutaneous leiomyomas 9
  • 10.
    Syndrome Chromosome Location (Gene) RenalManifestations Other Manifestations Birt-Hogg-Dubé syndrome (BHD) 17p11.2 BHD Hybrid oncocytic renal tumors, chromophobe and clear cell renal carcinomas, oncocytomas: multiple, bilateral Benign tumors of hair follicle (fibrofolliculomas); lung cysts, spontaneous pneumothoraces Constitutional chromosome 3 translocation 3p; Not known; VHL somatic mutations 84% - 98% Clear cell renal carcinoma: multiple, bilateral None 10
  • 11.
    NATURAL HISTORY • 7%diagnosed incidentally • 45% present with localized disease, 25% with locally advanced disease, 30% with metastatic disease • Lymph node metastases- 9% to 27% (renal hilar, para-aortic and paracaval) • Renal vein – 21% & IVC 4% • Distant metastases- lung (75%), soft tissue (36%), bone (20%), liver (18%), skin (8%) and CNS (8%) 11
  • 12.
    CLINICAL PRESENTATION • Clinicallyoccult for most of its course. • Classic triad (occur in 5%-10% of patients) – flank pain, – hematuria, – palpable abdominal mass • Hematuria present 40% of patients • Systemic symptoms – Anaemia, Fatigue, Cachexia, Wt. Loss, Hypercalcemia, Hepatic Dysfunction • Paraneoplastic Syndrome – Parathyroid like hormones, erythropoietin, renin, gonadotropins, placental lactogen, prolactin, entero- glucagon, insulin like hormones, adrenocorticotropic hormone and prostaglandins identified in RCC pt. 12
  • 13.
  • 14.
    • In 1986,Thoenes et al proposed a new classification for renal neoplasms based on modern histopathologic and cytologic findings. • In 1996, Dr. Guyla Kovacs organized a meeting of experts from various disciplines in the field of renal cancer at the University of Heidelberg in Germany to discuss morphologic, clinical, and molecular aspects of renal neoplasia. • This meeting was quickly followed by a consensus conference sponsored by Mayo Clinic, the American Cancer Society, Union Internationale Contre le Cancer (UICC), and the American Joint Committee on Cancer (AJCC).
  • 15.
    • It resultedin a new classification system for renal neoplasms that now has also been adopted by the World Health Organization (WHO). • The Vancouver consensus conference of the International Society of Urological Pathology (ISUP) provided the foundation for much of the 2016 World Health Organization (WHO) renal tumor classification. • The revision of the 2004 WHO renal tumor classification was performed after consideration of new knowledge about pathology, epidemiology, and genetics.
  • 16.
  • 17.
  • 18.
    Renal cell carcinoma 1.Clear cell RCC 2. Multilocular clear cell RCC 3. Papillary RCC 4. Chromophobe RCC 5. Carcinoma of the collecting ducts of Bellini 6. Renal medullary carcinoma 7. Xp11 translocation carcinoma 8. Carcinoma associated with neuroblastoma 9. Mucinous tubular & spindle cell carcinoma 10. RCC, unclassified 11. Papillary adenoma 12. Oncocytoma Renal cell carcinoma 1. Clear cell RCC 2. Multilocular cystic renal neoplasm of low malignant potential 3. Papillary RCC 4. Hereditary leiomyomatosis & RCC – associated RCC 5. Chromophobe RCC 6. Collecting duct carcinoma 7. Renal medullary carcinoma 8. MiT family translocation RCC 9. Succinate dehydrogenase- deficient RCC 10. Mucinous tubular & spindle cell carcinoma 11. Tubulocystic RCC 12. Acquired cystic disease- associated RCC 13. Clear cell papillary RCC 14. RCC, unclassified 15. Papillary adenoma 16. Oncocytoma 2004 2016
  • 19.
    Metanephric tumors 1. Metanephricadenoma 2. Metanephric adenofibroma 3. Metanephric stromal tumor Metanephric tumors 1. Metanephric adenoma 2. Metanephric adenofibroma 3. Metanephric stromal tumor 2004 2016
  • 20.
    Nephroblastic tumors 1. Nephrogenicrests 2. Nephroblastoma 3. Cystic partially differentiated nephroblastoma Nephroblastic and cystic tumors occuring mainly in children 1. Nephrogenic rests 2. Nephroblastoma 3. Cystic partially differentiated nephroblastoma 4. Paediatric cystic nephroma 2004 2016
  • 21.
    Mesenchymal tumors Occuring mainlyin children 1. Clear cell sarcoma 2. Rhabdoid tumor 3. Congenital mesoblastic nephroma 4. Ossifying renal tumor of infants Mesenchymal tumors Occuring mainly in children 1. Clear cell sarcoma 2. Rhabdoid tumor 3. Congenital mesoblastic nephroma 4. Ossifying renal tumor of infants 2004 2016
  • 22.
    Mesenchymal tumors Occuring mainlyin Adults 1. Leiomyosarcoma(including renal vein) 2. Angiosarcoma 3. Rhabdomyosarcoma 4. Osteosarcoma 5. Malignant fibrous histiocytoma 6. Haemangiopericytoma 7. Angiomyolipoma 8. Leiomyoma 9. Haemagioma 10.Lymphangioma 11.Juxtaglomerular cell tumor 12.Schwannoma 13.Solitary fibrous tumor Mesenchymal tumors Occuring mainly in Adults 1. Leiomyosarcoma 2. Angiosarcoma 3. Rhabdomyosarcoma 4. Osteosarcoma 5. Synovial sarcoma 6. Ewing sarcoma 7. Angiomyolipoma 8. Epithelioid angiomyolipoma 9. Leiomyoma 10. Haemangioma 11. Lymphangioma 12. Haemangioblastoma 13. Juxtaglomerular cell tumor 14. Schwannoma 15. Solitary fibrous tumor 2004 2016
  • 23.
    Mixed mesenchymal and epithelialtumors 1. Cystic nephroma 2. Mixed epithelial and stromal tumor 3. Synovial sarcoma Mixed mesenchymal and epithelial tumors 1. Cystic nephroma 2. Mixed epithelial and stromal tumor 2004 2016
  • 24.
    Neuroendocrine tumors 1. Carcinoid 2.Neuroendocrine carcinoma 3. Primitive neuroectodermal tumor 4. Neuroblastoma 5. Pheochromocytoma Neuroendocrine tumors 1. Well-diffrentiated neuroendocrine tumor 2. Large cell neuroendocrine carcinoma 3. Small cell neuroendocrine carcinoma 4. Pheochromocytoma 2004 2016
  • 25.
    Haematopoietic and lymphoid tumors 1.Lymphoma 2. Leukemia 3. Plasmacytoma Germ cell tumors 1. Teratoma 2. Choriocarcinoma Metastatic tumors Miscellaneous tumors 1. Renal haematopoietic neoplasms 2. Germ cell tumors Metastatic tumors 2004 2016
  • 26.
    UPDATES OF 2016CLASSIFICATION
  • 27.
    • The new2016 WHO classification refers to subtypes that have been named on the basis of predominant  Cytoplasmic features (eg, clear cell and chromophobe renal cell carcinomas [RCCs]),  Architectural features (eg, papillary RCC),  Anatomic location of tumours (eg, collecting duct and renal medullary carcinomas), and  Correlation with a specific renal disease background (eg, acquired cystic disease– associated RCCs)
  • 28.
     As wellas molecular alterations pathognomonic for RCC subtypes (eg, MiT family translocation carcinomas and succinate dehydrogenase [SDH]–deficient renal carcinomas) or  Familial predisposition syndromes (eg, hereditary leiomyomatosis and RCC [HLRCC] syndrome– associated RCC).
  • 29.
    • In contrastto the 2004 WHO classification, familial forms of RCC, which also occur in sporadic form (eg, clear cell RCC [ccRCC] in patients with von Hippel-Lindau [VHL] syndrome or chromophobe RCC in patients with Birt- Hogg-Dube´ syndrome) are now discussed with the corresponding sporadic tumour types in joint chapters.
  • 30.
    Multilocular cystic renalneoplasm of low malignant potential • A tumour composed entirely of numerous cysts, the septa of which contain small groups of clear cells indistinguishable from grade Ι clear cell carcinoma. • Multiple publications report no recurrence or metastasis in patients with multilocular cystic RCC. Consequently, multilocular cystic renal neoplasm of low malignant potential is now the WHO-recommended term for this lesion. • Such tumours are defined as tumours composed entirely of numerous cysts with low-grade tumour cells (WHO/ISUP grade 1 or 2).
  • 31.
    • The cystsare lined by a single layer of tumour cells with abundant clear cytoplasm. The septa contain, at the maximum, groups of clear cells but without expansile growth.
  • 32.
    Papillary RCC • Amalignant renal parenchymal tumour with a papillary or tubulopapillary architecture. • PRCC is characterized by malignant epithelial cells forming varying proportions of papillae and tubules. • The tumour papillae contain a delicate fibrovascular core and aggregates of foamy macrophages and cholesterol crystals may be present. • Occasionally the papillary cores are expanded by oedema or hyalinized connective tissue
  • 33.
    • Papillary RCChas traditionally been subdivided into type 1 and type 2 papillary RCCs. • Type 1 tumours have papillae covered by small cells with scanty cytoplasm, arranged in a single layer on the papillary basement membrane. • Type 2 tumour cells are often of higher nuclear grade with eosinophilic cytoplasm and pseudostratified nuclei on papillary cores.
  • 34.
    • Recent molecularstudies suggest that type 2 papillary RCCs may constitute not a single well-defined entity but rather individual subgroups with different molecular backgrounds. • Papillary RCCs with eosinophilic (oncocytic) cytoplasm and oncocytoma-like low-grade nuclei have been called oncocytic papillary RCCs. • Because tumors with this morphology have not yet been fully characterized, they are not considered a distinct WHO entity. • The Vancouver consensus conference has recommended diagnosing such tumors as type 2 papillary RCC for the time being.
  • 36.
    Papillary adenomas • Papillaryadenomas were defined until 2015 as tumours measuring ≤0.5 cm. • The WHO 2016 classification defines papillary adenomas as unencapsulated tumours with papillary or tubular architecture, low WHO/ISUP grade, and a diameter ≤1.5 cm. • The decision to increase the cut-off size was based on available data showing that unencapsulated grade 1–2 tumours have no capacity to metastasize.
  • 37.
    • It isemphasized, however, that a diagnosis of papillary adenoma based on needle biopsy should be made with extreme caution because the presence of any capsule or grade heterogeneity may not be visualized. • Current protocols, which define papillary adenomas as ≤0.5 cm in size, state that the presence of papillary adenoma in a donor kidney is not a contraindication for renal transplantation. • The newcut-off of ≤1.5 cm could have a significant impact on some clinical situations (eg, small renal papillary tumours detected in transplanted kidneys).
  • 39.
    Mixed Epithelial andStromal Tumours (MEST) • It encompass a spectrum of tumours including predominantly cystic tumours (adult cystic nephromas) and tumours that are more solid. • Adult cystic nephroma was previously classified, along with paediatric cystic nephroma, as a separate entity from MEST.
  • 40.
    • On thebasis of similar age and sex distributions and a similar histochemical profile, adult cystic nephroma is now classified within this spectrum of MEST, and the WHO renal tumour subcommittee recommended using the term mixed epithelial and stromal tumour family for both entities. • In contrast to adult cystic nephroma, paediatric cystic nephroma is a distinct entity with specific DICER1 mutations.
  • 42.
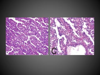
    Neuroendocrine tumors • Mostcarcinoids of the kidney have a poor prognosis, with frequent occurrence of metastasis after nephrectomy. • The renal tumour subcommittee recommended renal carcinoids should be newly designated as well-differentiated neuroendocrine tumours of the kidney. • And simultaneously placed within the group of endocrine tumours encompassing small cell neuroendocrine carcinomas, large cell neuroendocrine carcinomas, and paragangliomas (extrarenal pheochromocytoma). • The term carcinoid of the kidney is obsolete.
  • 43.
    Renal carcinoid. (A)Hematoxylin and eosin stains reveals obvious neuroendocrine differentiation. (B) Tumor cells are immunoreactive with chromogranin.
  • 44.
  • 45.
    • Over thepast decade, several new tumour entities have emerged; therefore, the WHO working group was entrusted with the responsibility to decide whether enough molecular clinical follow-up data and pathologic data justify the recognition of any new distinct tumour entity within the classification system. • The newly recognized epithelial renal tumours in the 2016 WHO classification are HLRCC associated RCC, SDH-deficient RCC, tubulocystic RCC, acquired cystic RCC, and clear cell papillary RCC.
  • 46.
    • Paediatric cysticnephroma represents a new entity in the group of nephroblastic and cystic tumours occurring mainly in children (as described under ‘‘Important changes’’).
  • 47.
    1) Hereditary leiomyomatosisand renal cell carcinoma (RCC) syndrome–associated RCC • It is an autosomal dominant tumour syndrome. • The average age at onset is much earlier than in sporadic kidney cancer. • HLRCC-associated RCCs are rare tumours occurring in the setting of nonrenal leiomyomatosis and demonstrate germline fumarate hydratase mutations. • The definitive diagnosis of HLRCC relies on FH mutation detection.
  • 48.
    • The presenceof multiple leiomyomas of the skin and the uterus, papillary type 2 renal cancer, and early-onset uterine leiomyosarcoma are suggestive of the diagnosis. • The tumors have papillary architecture with abundant eosinophilic cytoplasm, large nuclei, and very prominent nucleoli with perinucleolar clearing. • The prognosis of these tumors is poor.
  • 50.
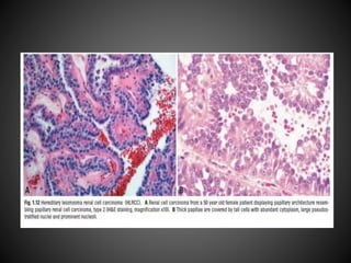
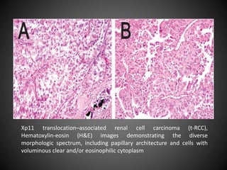
    2) MiT familytranslocation RCC • TFE3 and TFEB are 2 of 4 members of the microphthalmia transcription factor (MiT) family. • TFE3 is located centromerically on the short arm of the X chromosome (Xp11) and may fuse to a number of translocation partners, most commonly PRCC on chromosome 1q21 or ASPL on chromosome 17q25, resulting in overexpression of a functional TFE3 gene product.
  • 51.
    Xp11 translocation–associated renalcell carcinoma (t-RCC), Hematoxylin-eosin (H&E) images demonstrating the diverse morphologic spectrum, including papillary architecture and cells with voluminous clear and/or eosinophilic cytoplasm
  • 52.
    3) Succinate dehydrogenase–deficient renalcell carcinoma • SDH-deficient RCC is composed of vacuolated eosinophilic or clear cells. • Immunohistochemistry is a useful tool for their diagnosis because there is a loss of expression of SDHB, a marker of dysfunction of mitochondrial complex II. • It presents mainly in young adults, and most patients have germline mutations in an SDH gene. • Most tumours are solid, with a brown, sometimes red, cut surface.
  • 53.
    • The mostdistinctive feature is the presence of cytoplasmic vacuoles. There are sometimes flocculent inclusions. • Most SDH-deficient RCC has good prognosis. • In cases with sarcomatoid differentiation and necrosis, the prognosis is less favourable.
  • 54.
    (A) Succinate dehydrogenase–deficientrenal cell carcinoma composed of vacuolated cells. (B) Immunohistochemically, there is a loss of SDHB expression (with positivity in normal tubular cells).
  • 55.
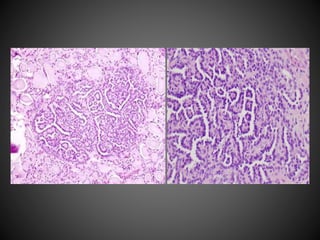
    4) Tubulocystic renalcell carcinoma • Tubulocystic RCC is a dominantly cystic renal epithelial neoplasm. • Macroscopically, it is composed of multiple small to medium- sized cysts and has a spongy cut surface. • The nuclei are enlarged with WHO/ISUP grade 3 nucleoli. The cytoplasm has abundant eosinophilic and oncocytoma like aspects. • Only 4 of 70 reported cases showed metastasis to bone, liver, and lymph nodes.
  • 56.
    5) Acquired cysticdisease–associated renal cell carcinoma • Acquired cystic disease–associated RCC occurs in the kidneys of end-stage renal disease and acquired cystic kidney disease. • Histologically, these tumours show a broad spectrum with a cribriform, microcystic, or sieve like architecture. • They have an eosinophilic and/or clear cytoplasm and prominent nucleoli.
  • 57.
    • Calcium oxalatecrystal deposition is common. CK7 is typically not expressed. Most tumours have indolent behaviour.
  • 58.
    6) Clear cellpapillary renal cell carcinoma • Clear cell papillary RCC is a renal epithelial neoplasm composed of low-grade clear epithelial cells arranged in tubules and papillae with a predominantly linear nuclear alignment away from the basement membrane. • They account for up to 5% of all resected renal tumours and arise sporadically in end-stage renal disease and VHL syndrome. • Some of these tumours were previously referred to as renal angioadenomatous tumours.
  • 59.
    • The tumourcells have characteristic diffuse CK7 positivity and carbonic anhydrase IX positivity in a cuplike distribution. • CD10 is negative or only focally positive. According to current knowledge, these tumours have indolent behaviour.
  • 60.
    (A) Clear cellpapillary renal cell carcinoma is a renal epithelial neoplasm composed of low-grade clear epithelial cells arranged in tubules and papillae with a predominantly linear nuclear alignment. (B) The tumour cells have a characteristic diffuse CK7 positivity.
  • 61.
    EMERGING OR PROVISIONALRENAL TUMOUR ENTITIES
  • 62.
    • The 2013ISUP Vancouver classification identified a category of emerging or provisional new entities. • Some of these emerging entities have been accepted by the WHO, and others were kept as emerging. • The WHO classification noted that although these entities appear to be distinct, they are rare tumours that are not yet fully characterized by morphology, immunohistochemistry, and molecular studies. • Consequently, further reports are needed to refine their diagnostic criteria and established clinical outcomes.
  • 63.
    • SDH-deficient RCCwas regarded as an emerging entity in the Vancouver classification but now is considered to be an established entity. • RCC in neuroblastoma survivors was included in the 2004 WHO classification; however, it is now recognized that some of these tumours represent MiT family translocation RCCs, and others are difficult to classify based on the published pathologic details. • Consequently, it was decided to remove this entity from the 2016WHOclassification, although it may be distinct, and to continue to consider it as an emerging entity. • Very few thyroid-like follicular RCCs have been described.
  • 64.
    • Most ofthese tumours have indolent behaviour. Fewer than 10 RCCs associated with ALK gene rearrangements have been reported in the literature; some are medullary based tumors. • Recently, reports of RCC associated with prominent angioleiomyomatous stroma have been published. • It is unclear if the renal angiomyoadenomatous tumour represents a variant of ccRCC or clear cell papillary RCC. • Some tumours were sporadic, and others were associated with tuberous sclerosis. • A recent report identified TCEB1 gene mutations in tumours with this morphology.
  • 67.
  • 68.
    • Since Hand& Broders introduced grading of renal cell carcinomas in 1932, several different systems have been proposed, with variable success. • In addition to nuclear characteristics, cytoplasmic and architectural features have been incorporated, leading to a long controversy and considerable frustration for practising surgical pathologists. • In 1971, Skinner et aI, re directed attention to the correlation between nuclear features and survival. • These observations were confirmed and refined into a system of practically applicable criteria by Fuhrman et aI.
  • 69.
    • The Fuhrmansystem consists of four grades based on the nuclear size, contour, and conspicuousness of nucleoli.
  • 70.
    • Medeiros etaI, showed that the Fuhrman system correlated well with survival in a large population of patients with renal cell carcinoma and in a smaller population of patients with stage 1 tumors. • Survival ranged from 86% for patients with grade 1 tumors to 24% for those with grade 4 tumors.
  • 71.
    • The Fuhrmansystem was the most frequently used grading system in RCC but should not be applied for chromophobe RCC. • Furthermore, the Fuhrman system has not been validated for most of the new subtypes of renal carcinoma. • For these reasons, the four-tiered WHO/ISUP grading system is recommended by the WHO.
  • 73.
    • For grade1–3 tumours, the system defines tumour grade based on nucleolar prominence. • Grade 4 is defined by the presence of pronounced nuclear pleomorphism, tumour giant cells, and/or rhabdoid and/or sarcomatoid differentiation. • This grading system has been validated for ccRCC and papillary RCC. It has not yet been validated for other tumour types because of the small numbers of reported cases.
  • 74.
    SUMMARY • Renal cellcarcinoma is almost exclusively a cancer of adults. Approximately 28,000 new cases are diagnosed each year in the U.S.A • Cigarette smoking and high blood pressure are said to increase the risk for development of the disease. • Conditions that may be complicated by renal cell carcinoma are VHL disease, acquired cystic disease, neuroblastoma, HLRCC syndrome. • World Health Organization (WHO) classification of urogenital tumors 2016, contains significant revisions.
  • 75.
    • Newly recognizedepithelial renal tumours are hereditary leiomyomatosis and renal cell carcinoma (RCC) syndrome– associated RCC, succinate dehydrogenase–deficient RCC, tubulocystic RCC, acquired cystic disease–associated RCC, and clear cell papillary RCC. • The WHO/International Society of Urological Pathology renal tumour grading system was recommended, and the definition of renal papillary adenoma was modified.
  • 76.
    • Several otheremerging/provisional RCC entities, such as transcription elongation factor B subunit 1 (TCEB1)– mutated RCC/ RCC with leiomyomatous stroma, RCC associated with anaplastic lymphoma receptor tyrosine kinase (ALK) gene rearrangement, thyroid like follicular RCC, and RCC in neuroblastoma survivors.
  • 77.
    REFERENCES • Moch H,Cubilla A L., The 2016 WHO Classification of Tumours of the Urinary System and Male Genital Organs—Part A: Renal, Penile, and Testicular Tumours. European Urology 70( 2016 ) 93 – 105 • Udager A.M, Mehra R. Morphologic, Molecular, and Taxonomic Evolution of Renal Cell Carcinoma A Conceptual Perspective With Emphasis on Updates to the 2016 World Health Organization Classification. Arch Pathol Lab Med. 2016;140:1026–1037 • Eble J.N., Sauter G., Epstein J.I., Sesterhenn I.A. (Eds.): World Health Organization Classification of Tumours. Pathology and Genetics of Tumours of the Urinary System and Male Genital Organs. IARC Press: Lyon 2004
  • 78.
    • Juan Rosai.Rosai and Ackerman’s Surgical Pathology. 10th Edition. Vol 1 • Christopher, D.M. Fletcher. Diagnostic Histopathology of Tumors. 2nd Edition.
  • 79.