TRAUMA UROLOGICO

   R1CG DELGADO
Trauma Urologico
• Tracto superior
Truma renal
Trauma ureteral
• Tracto inferior
Trauma vesical
Uretral
• Traumatismo de genitales externos
,Safir M, Mario LA, Service S, Segal MR.American Association for the Surgery of Trauma organ injury severity scale for the
kidney. J Trauma 2010;50(2):195-200.
Epidemiologia
• Trauma principal causa de muerte en personas
  <40 años

• 12% de muertes en México

• Trauma urologico 2-5%

• 10% Trauma abdominal
,Safir M, Mario LA, Service S, Segal MR.American Association for the Surgery of Trauma organ injury severity scale for the
kidney. J Trauma 2010;50(2):195-200.
TRAUMA UROLOGICO




   65%


           1%

     22%
           3%
     7%
TRAUMA RENAL
TRAUMA RENAL
• Incidencia estimada de 4,9 por 100.000
  habitantes

• > Incidencia en varones 3:1




,Safir M, Mario LA, Service S, Segal MR.American Association for the Surgery of Trauma organ injury severity scale for the
kidney. J Trauma 2010;50(2):195-200.
Trauma renal
Mecanismo de lesión
Cerrado 85-90%
• Contusion directa
• Contragolpe
• Desaceralcion

Abierto 4-5%
• Arma Blanca
• Arma de fuego 28-30% intervencion quirurgica
• 60% lesión de organos vecinos
,Safir M, Mario LA, Service S, Segal MR.American Association for the Surgery of Trauma organ injury severity scale for the
kidney. J Trauma 2010;50(2):195-200.
AAST Injury Scaling
Organ Injury Severity Scale
• Journal of Trauma, 2011
• Predicts the need for surgery
• Need for surgery ; nephrectomy rates:
  – Grade I: 0 ; 0%
  – Grade II: 15 ; 0%    Santucci et al. Validation of the
                         American Association for the
  – Grade III: 76 ; 3%   Surgery of Trauma Organ Injury
                         Severity Scale for the Kidney. J
  – Grade IV: 78 ; 9%    Trauma; 50:195-200; 2011.

  – Grade V: 93 ; 86%
Diagnostico
• EF: dolor lumbar, equimosis en flanco,
  fracturas costales

• Micro y macrohaturia (36% no presentan)

• Dipstick 97% especificidad y sensibilidad

,Safir M, Mario LA, Service S, Segal MR.American Association for the Surgery of Trauma organ injury severity scale for the
kidney. J Trauma 2010;50(2):195-200.
Gross « Hematuria »: False +
•   Alphamethyldopa
•   Ibuprofen
•   Levodopa
•   Metronidazole
•   Nitrofurantoin
•   Phenazopyridine
•   Phenolphtalein-containing laxatives
•   Rifampin
•   Beets/berries
Criterios para estudio

• Adulto con hematuria          pica
• Adulto con hematuria         pica y    lica <
  90 mmHg (choque)
• Todo < 16 os con hematuria sin importar el
  grado
• Sospechoso: trauma contuso por               n
    n sin hematuria
• Toda      n penetrante n sin hematuria
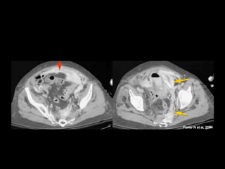
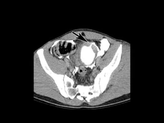
Diagnostico
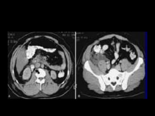
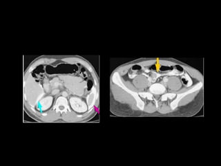
• USG S-80%, E-85%
• UROGRAFIA ENDOVENOSA S-82 Y E-85
Arteriografía S-89 Y E-91
TAC S-95 Y E-97
•
GRADO ll
GRADO lll
GRADO IV
• 90% Tratamiento conservador
TRAUMA URETERAL
Trauma ureteral
• 1-3 % Trauma Genitourinario

• 75% Iatrogénica,
• 18% Traumatismo cerrado
• 7% Trauma penetrante.

 Lesiones iatrogénicas
• 73% Ginecológicos en origen
• 14% eran de cirugía general
• 12% urológico
,Safir M, Mario LA, Service S, Segal MR.American Association for the Surgery of Trauma organ injury severity scale for the
kidney. J Trauma 2010;50(2):195-200.
10%




 15%




  75%
Diagnostico
• Sospecharla: mecanismo lesión, fiebre,
• leucocitosis, irritación local peritoneal
• Hematuria
• Reconocimiento intraoperatorio
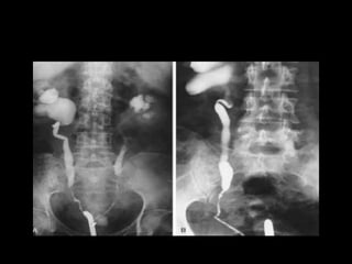
 Estudios de imagen
• Urografía excretora
• TAC
• Pielografía anterógrada o retrógrada
AAST Ureteral Injury Scaling
TRATAMIENTO
• Lesion I y ll

Colocacion de sonda de Nefrostomia

Colocacion de cateter



,Safir M, Mario LA, Service S, Segal MR.American Association for the Surgery of Trauma organ injury severity scale for the
kidney. J Trauma 2010;50(2):195-200.
TRAUMA VESICAL
Trauma vesical

• 22% Trauma urologico
• Traumatismos cerrados representan 67% y el
  86%
• 70-90% asociacion con fractura pelvica
• Trauma penetrante 14-33%
• Iatrogenos 3-4%
• H-M 3:1
• Niños aumenta frecuencia
,Safir M, Mario LA, Service S, Segal MR.American Association for the Surgery of Trauma organ injury severity scale for the
kidney. J Trauma 2010;50(2):195-200.
Tipo de lesion




,Safir M, Mario LA, Service S, Segal MR.American Association for the Surgery of Trauma organ injury severity scale for the
kidney. J Trauma 2010;50(2):195-200.
Extraperitoneal
Intraperitoneal
AAST Injury Scaling
Diagnostico
• Signos y síntomas
Incapacidad para orinar
Hematuria macroscópica
Dolor abdominal
Dolor pélvico
Abdómen agudo

,Safir M, Mario LA, Service S, Segal MR.American Association for the Surgery of Trauma organ injury severity scale for the
kidney. J Trauma 2010;50(2):195-200.
Clinical Presentation
              •Morey AF et al. Bladder rupture after blunt trauma : guidelines for
              diagnostic imaging. Journal of Trauma-Injury Infections & Critical
              Care. 51(4): 683-6, 2010 Oct.



• 98%: Gross hematuria
• 85% Pelvic




,Safir M, Mario LA, Service S, Segal MR.American Association for the Surgery of Trauma organ injury severity scale for the
kidney. J Trauma 2010;50(2):195-200.
Diagnostico
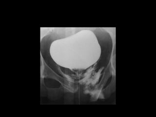
• Estudio elección: cistograma de llenado 350-
  400ml solución salina, con 4% de contraste a
  una altura de infusión de 40 cm.




,Safir M, Mario LA, Service S, Segal MR.American Association for the Surgery of Trauma organ injury severity scale for the
kidney. J Trauma 2010;50(2):195-200.
Diagnostico
• Cystography: Gold standard
• CT Cystography : New trend
• Peng et al. AJR 2011.
       – Prospective study
       – 305 patients.
       – Cystography VS. CT cystography
       – Ruptures confirmed by Surgery
       – 100% sensitive and specific
,Safir M, Mario LA, Service S, Segal MR.American Association for the Surgery of Trauma organ injury severity scale for the
kidney. J Trauma 2010;50(2):195-200.
Tratamiento
Contusion/Grado l
Uso de sonda Foley de 22-24Fr en caso de
hematuria

Extraperitoneales
Conservador en 80%

,Safir M, Mario LA, Service S, Segal MR.American Association for the Surgery of Trauma organ injury severity scale for the
kidney. J Trauma 2010;50(2):195-200.
Tratamiento
• Intraperitoneal (20% mortalidad)
• Pentrantes


                 QUIRURGICO
TRAUMA URETRAL
Generalidades

•     3-4% Lesion tracto urinario
•    H-M 3:1
•    Lesion de uretra posterior
•    Lesion de urtera anterior




,Safir M, Mario LA, Service S, Segal MR.American Association for the Surgery of Trauma organ injury severity scale for the
kidney. J Trauma 2010;50(2):195-200.
AAST Injury Scaling
Fractura de uretra posterior
90% Causa de Fracturas Pelvianas

Accidentes de trafico
Caidas de grandes alturas
Lesion de uretra posterior
Fractura de Malgainge 2.8%
Fractura en alas de mariposa 3.8%
Fractura en alas de maripos + diastasis articulacion sacroiliaca 24.2%
Cuadro clinico
• Triada
Hematuria + Uretrorragia + Retención aguda
Hematoma perianal
Prostata elevada
Butterfly Hematoma
Retrograde Urethrogram
Retrograde Urethrogram:
             Interpretation
• Contrast extravasation + Contrast in bladder

                   PARTIAL Tear
• Contrast extravasation only



                   COMPLETE Tear
Partial Tear
Complete Tear
• Contusiones
Cistostomia repeticion de uretrografia
retrograda en 2 semanas
Tratamiento
• Lesiones completas

Cistostomia por 3-6 meses
Tratamiento quirurgico posterior en 100% de
pacientes

Reparacion en primer tiempo
Alto indice impotencia e incontinencia
• Tratamiento actual
Realinamineto endoscopico o diferido en 10-14
dias

Tratamiento diferido con uretroplastia posterior
Uretra posterior
• 80-85% Secundario a trauma contuso

• 20-25% Se acompaña con trauma peneano
Anterior Urethral Rupture
Signos y síntomas
                                        Anterior
•     Uretrorragia
•     Dolor perineal
•     Hematoma perineal
•     Edema del área genital ó perineal
•    Tacto rectal normal



,Safir M, Mario LA, Service S, Segal MR.American Association for the Surgery of Trauma organ injury severity scale for the
kidney. J Trauma 2010;50(2):195-200.
TRATAMIENTO
• Cistostomia por 2-4 semanas

• Tratamiento quirurgico 3-6 meses

• Uretroplastia anterior
TRAUMA GENITAL EXTERNO

      RICG DELGADO
Traumatismo Genital externo
• 4-8 % Traumatismo urologico
• H-M 3:1
• 15-40 años de edad




,Safir M, Mario LA, Service S, Segal MR.American Association for the Surgery of Trauma organ injury severity scale for the
kidney. J Trauma 2010;50(2):195-200.
Traumatismo de Pene

1 por cada 175 000 habitantes

EEUU y Europa: el acto sexual
Asia: Masturbación detumescencia
Medio Oriente: Detumescencia

Abiertos y cerrados

Cerrado 60%
,Safir M, Mario LA, Service S, Segal MR.American Association for the Surgery of Trauma organ injury severity scale for the
kidney. J Trauma 2010;50(2):195-200.
AAST




,Safir M, Mario LA, Service S, Segal MR.American Association for the Surgery of Trauma organ injury severity scale for the
kidney. J Trauma 2010;50(2):195-200.
Cerrado
• Contuso
• Atrapamiento o estrangulacion
• Fractura de pene




,Safir M, Mario LA, Service S, Segal MR.American Association for the Surgery of Trauma organ injury severity scale for the
kidney. J Trauma 2010;50(2):195-200.
Contusión
Estrangulacion
Fractura
Avulsion
Herida penetrante
Amputación
Clinica
    •    Dolor 20%
    •    Chasquido 15%
    •    Edema 30%
    •    Hematoma 40%
    •    Uretrorrgia16%
    •    Reteción urinaria 5%




,Safir M, Mario LA, Service S, Segal MR.American Association for the Surgery of Trauma organ injury severity scale for the
kidney. J Trauma 2010;50(2):195-200.
Diagnostico
•    Palpacion de hematoma
•    Incurvarcion
•    Uretrografia retrograda
•    Cavernosografia
•    USG Doppler
•    RMN

,Safir M, Mario LA, Service S, Segal MR.American Association for the Surgery of Trauma organ injury severity scale for the
kidney. J Trauma 2010;50(2):195-200.
Tratamiento
• Contusiones leves
Antibiotico, Antinflamatorios y frio local

• Contusion con hematoma
Colocacion de sonda (tipo Foley 14-16F)
Drenaje de hematoma

,Safir M, Mario LA, Service S, Segal MR.American Association for the Surgery of Trauma organ injury severity scale for the
kidney. J Trauma 2010;50(2):195-200.
Avulsion
Amputacion



 8 a 10 hrs maximo
Amputacion
Traumatismo escrotal y su
       contenido
Traumatismo escrotal y su contenido
• 15% Traumatismo Genitourinarios

• 20-25 años de edad
• Actividad laboral y deportes

• Cerrado y Penetrantes
• Cerrado 75%
,Safir M, Mario LA, Service S, Segal MR.American Association for the Surgery of Trauma organ injury severity scale for the
kidney. J Trauma 2010;50(2):195-200.
AAST ESCROTO




,Safir M, Mario LA, Service S, Segal MR.American Association for the Surgery of Trauma organ injury severity scale for the
kidney. J Trauma 2010;50(2):195-200.
AAST TESTICULO




,Safir M, Mario LA, Service S, Segal MR.American Association for the Surgery of Trauma organ injury severity scale for the
kidney. J Trauma 2010;50(2):195-200.
Escroto
•    Equimosis
•    Hematoma
•    Hematocele
•    Hidrocele
•    Ruptura de gubernaculum testis



,Safir M, Mario LA, Service S, Segal MR.American Association for the Surgery of Trauma organ injury severity scale for the
kidney. J Trauma 2010;50(2):195-200.
Contenido escrotal
Cerrado
• Contusiones
• Hematomas
• Migración
• Desgarro de albuginea
• Rotura testicular

,Safir M, Mario LA, Service S, Segal MR.American Association for the Surgery of Trauma organ injury severity scale for the
kidney. J Trauma 2010;50(2):195-200.
Contenido escrotal
Abierto
Laceracion
Perforaciones
Avulsión




,Safir M, Mario LA, Service S, Segal MR.American Association for the Surgery of Trauma organ injury severity scale for the
kidney. J Trauma 2010;50(2):195-200.
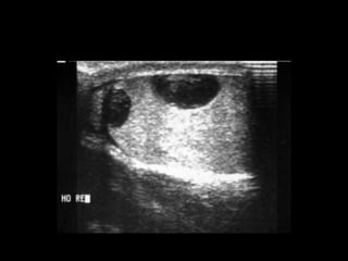
Diagnostico
• Clinica
• USG
• USG DOPPLER
Tratamiento
• Hematomas
Observación
Profilaxis antibiotica
Analgesia




,Safir M, Mario LA, Service S, Segal MR.American Association for the Surgery of Trauma organ injury severity scale for the
kidney. J Trauma 2010;50(2):195-200.
Tratamiento




,Safir M, Mario LA, Service S, Segal MR.American Association for the Surgery of Trauma organ injury severity scale for the
kidney. J Trauma 2010;50(2):195-200.

Trauma urologico 1

  • 1.
    TRAUMA UROLOGICO R1CG DELGADO
  • 2.
    Trauma Urologico • Tractosuperior Truma renal Trauma ureteral • Tracto inferior Trauma vesical Uretral • Traumatismo de genitales externos ,Safir M, Mario LA, Service S, Segal MR.American Association for the Surgery of Trauma organ injury severity scale for the kidney. J Trauma 2010;50(2):195-200.
  • 3.
    Epidemiologia • Trauma principalcausa de muerte en personas <40 años • 12% de muertes en México • Trauma urologico 2-5% • 10% Trauma abdominal ,Safir M, Mario LA, Service S, Segal MR.American Association for the Surgery of Trauma organ injury severity scale for the kidney. J Trauma 2010;50(2):195-200.
  • 4.
    TRAUMA UROLOGICO 65% 1% 22% 3% 7%
  • 5.
  • 6.
    TRAUMA RENAL • Incidenciaestimada de 4,9 por 100.000 habitantes • > Incidencia en varones 3:1 ,Safir M, Mario LA, Service S, Segal MR.American Association for the Surgery of Trauma organ injury severity scale for the kidney. J Trauma 2010;50(2):195-200.
  • 7.
    Trauma renal Mecanismo delesión Cerrado 85-90% • Contusion directa • Contragolpe • Desaceralcion Abierto 4-5% • Arma Blanca • Arma de fuego 28-30% intervencion quirurgica • 60% lesión de organos vecinos ,Safir M, Mario LA, Service S, Segal MR.American Association for the Surgery of Trauma organ injury severity scale for the kidney. J Trauma 2010;50(2):195-200.
  • 10.
  • 11.
    Organ Injury SeverityScale • Journal of Trauma, 2011 • Predicts the need for surgery • Need for surgery ; nephrectomy rates: – Grade I: 0 ; 0% – Grade II: 15 ; 0% Santucci et al. Validation of the American Association for the – Grade III: 76 ; 3% Surgery of Trauma Organ Injury Severity Scale for the Kidney. J – Grade IV: 78 ; 9% Trauma; 50:195-200; 2011. – Grade V: 93 ; 86%
  • 12.
    Diagnostico • EF: dolorlumbar, equimosis en flanco, fracturas costales • Micro y macrohaturia (36% no presentan) • Dipstick 97% especificidad y sensibilidad ,Safir M, Mario LA, Service S, Segal MR.American Association for the Surgery of Trauma organ injury severity scale for the kidney. J Trauma 2010;50(2):195-200.
  • 13.
    Gross « Hematuria»: False + • Alphamethyldopa • Ibuprofen • Levodopa • Metronidazole • Nitrofurantoin • Phenazopyridine • Phenolphtalein-containing laxatives • Rifampin • Beets/berries
  • 14.
    Criterios para estudio •Adulto con hematuria pica • Adulto con hematuria pica y lica < 90 mmHg (choque) • Todo < 16 os con hematuria sin importar el grado • Sospechoso: trauma contuso por n n sin hematuria • Toda n penetrante n sin hematuria
  • 15.
  • 16.
  • 18.
  • 19.
    TAC S-95 YE-97 •
  • 20.
  • 21.
  • 22.
  • 25.
  • 34.
  • 35.
    Trauma ureteral • 1-3% Trauma Genitourinario • 75% Iatrogénica, • 18% Traumatismo cerrado • 7% Trauma penetrante. Lesiones iatrogénicas • 73% Ginecológicos en origen • 14% eran de cirugía general • 12% urológico ,Safir M, Mario LA, Service S, Segal MR.American Association for the Surgery of Trauma organ injury severity scale for the kidney. J Trauma 2010;50(2):195-200.
  • 36.
  • 38.
    Diagnostico • Sospecharla: mecanismolesión, fiebre, • leucocitosis, irritación local peritoneal • Hematuria • Reconocimiento intraoperatorio Estudios de imagen • Urografía excretora • TAC • Pielografía anterógrada o retrógrada
  • 42.
  • 43.
    TRATAMIENTO • Lesion Iy ll Colocacion de sonda de Nefrostomia Colocacion de cateter ,Safir M, Mario LA, Service S, Segal MR.American Association for the Surgery of Trauma organ injury severity scale for the kidney. J Trauma 2010;50(2):195-200.
  • 52.
  • 53.
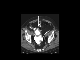
    Trauma vesical • 22%Trauma urologico • Traumatismos cerrados representan 67% y el 86% • 70-90% asociacion con fractura pelvica • Trauma penetrante 14-33% • Iatrogenos 3-4% • H-M 3:1 • Niños aumenta frecuencia ,Safir M, Mario LA, Service S, Segal MR.American Association for the Surgery of Trauma organ injury severity scale for the kidney. J Trauma 2010;50(2):195-200.
  • 54.
    Tipo de lesion ,SafirM, Mario LA, Service S, Segal MR.American Association for the Surgery of Trauma organ injury severity scale for the kidney. J Trauma 2010;50(2):195-200.
  • 55.
  • 57.
  • 59.
  • 60.
    Diagnostico • Signos ysíntomas Incapacidad para orinar Hematuria macroscópica Dolor abdominal Dolor pélvico Abdómen agudo ,Safir M, Mario LA, Service S, Segal MR.American Association for the Surgery of Trauma organ injury severity scale for the kidney. J Trauma 2010;50(2):195-200.
  • 61.
    Clinical Presentation •Morey AF et al. Bladder rupture after blunt trauma : guidelines for diagnostic imaging. Journal of Trauma-Injury Infections & Critical Care. 51(4): 683-6, 2010 Oct. • 98%: Gross hematuria • 85% Pelvic ,Safir M, Mario LA, Service S, Segal MR.American Association for the Surgery of Trauma organ injury severity scale for the kidney. J Trauma 2010;50(2):195-200.
  • 62.
    Diagnostico • Estudio elección:cistograma de llenado 350- 400ml solución salina, con 4% de contraste a una altura de infusión de 40 cm. ,Safir M, Mario LA, Service S, Segal MR.American Association for the Surgery of Trauma organ injury severity scale for the kidney. J Trauma 2010;50(2):195-200.
  • 65.
    Diagnostico • Cystography: Goldstandard • CT Cystography : New trend • Peng et al. AJR 2011. – Prospective study – 305 patients. – Cystography VS. CT cystography – Ruptures confirmed by Surgery – 100% sensitive and specific ,Safir M, Mario LA, Service S, Segal MR.American Association for the Surgery of Trauma organ injury severity scale for the kidney. J Trauma 2010;50(2):195-200.
  • 69.
    Tratamiento Contusion/Grado l Uso desonda Foley de 22-24Fr en caso de hematuria Extraperitoneales Conservador en 80% ,Safir M, Mario LA, Service S, Segal MR.American Association for the Surgery of Trauma organ injury severity scale for the kidney. J Trauma 2010;50(2):195-200.
  • 70.
    Tratamiento • Intraperitoneal (20%mortalidad) • Pentrantes QUIRURGICO
  • 74.
  • 75.
    Generalidades • 3-4% Lesion tracto urinario • H-M 3:1 • Lesion de uretra posterior • Lesion de urtera anterior ,Safir M, Mario LA, Service S, Segal MR.American Association for the Surgery of Trauma organ injury severity scale for the kidney. J Trauma 2010;50(2):195-200.
  • 76.
  • 77.
    Fractura de uretraposterior 90% Causa de Fracturas Pelvianas Accidentes de trafico Caidas de grandes alturas
  • 80.
    Lesion de uretraposterior Fractura de Malgainge 2.8%
  • 81.
    Fractura en alasde mariposa 3.8%
  • 82.
    Fractura en alasde maripos + diastasis articulacion sacroiliaca 24.2%
  • 83.
    Cuadro clinico • Triada Hematuria+ Uretrorragia + Retención aguda Hematoma perianal Prostata elevada
  • 84.
  • 85.
  • 87.
    Retrograde Urethrogram: Interpretation • Contrast extravasation + Contrast in bladder PARTIAL Tear • Contrast extravasation only COMPLETE Tear
  • 88.
  • 89.
  • 90.
    • Contusiones Cistostomia repeticionde uretrografia retrograda en 2 semanas
  • 91.
    Tratamiento • Lesiones completas Cistostomiapor 3-6 meses Tratamiento quirurgico posterior en 100% de pacientes Reparacion en primer tiempo Alto indice impotencia e incontinencia
  • 93.
    • Tratamiento actual Realinaminetoendoscopico o diferido en 10-14 dias Tratamiento diferido con uretroplastia posterior
  • 95.
    Uretra posterior • 80-85%Secundario a trauma contuso • 20-25% Se acompaña con trauma peneano
  • 96.
  • 98.
    Signos y síntomas Anterior • Uretrorragia • Dolor perineal • Hematoma perineal • Edema del área genital ó perineal • Tacto rectal normal ,Safir M, Mario LA, Service S, Segal MR.American Association for the Surgery of Trauma organ injury severity scale for the kidney. J Trauma 2010;50(2):195-200.
  • 99.
    TRATAMIENTO • Cistostomia por2-4 semanas • Tratamiento quirurgico 3-6 meses • Uretroplastia anterior
  • 100.
  • 101.
    Traumatismo Genital externo •4-8 % Traumatismo urologico • H-M 3:1 • 15-40 años de edad ,Safir M, Mario LA, Service S, Segal MR.American Association for the Surgery of Trauma organ injury severity scale for the kidney. J Trauma 2010;50(2):195-200.
  • 102.
    Traumatismo de Pene 1por cada 175 000 habitantes EEUU y Europa: el acto sexual Asia: Masturbación detumescencia Medio Oriente: Detumescencia Abiertos y cerrados Cerrado 60% ,Safir M, Mario LA, Service S, Segal MR.American Association for the Surgery of Trauma organ injury severity scale for the kidney. J Trauma 2010;50(2):195-200.
  • 103.
    AAST ,Safir M, MarioLA, Service S, Segal MR.American Association for the Surgery of Trauma organ injury severity scale for the kidney. J Trauma 2010;50(2):195-200.
  • 104.
    Cerrado • Contuso • Atrapamientoo estrangulacion • Fractura de pene ,Safir M, Mario LA, Service S, Segal MR.American Association for the Surgery of Trauma organ injury severity scale for the kidney. J Trauma 2010;50(2):195-200.
  • 105.
  • 106.
  • 108.
  • 111.
  • 112.
  • 113.
  • 114.
    Clinica • Dolor 20% • Chasquido 15% • Edema 30% • Hematoma 40% • Uretrorrgia16% • Reteción urinaria 5% ,Safir M, Mario LA, Service S, Segal MR.American Association for the Surgery of Trauma organ injury severity scale for the kidney. J Trauma 2010;50(2):195-200.
  • 115.
    Diagnostico • Palpacion de hematoma • Incurvarcion • Uretrografia retrograda • Cavernosografia • USG Doppler • RMN ,Safir M, Mario LA, Service S, Segal MR.American Association for the Surgery of Trauma organ injury severity scale for the kidney. J Trauma 2010;50(2):195-200.
  • 122.
    Tratamiento • Contusiones leves Antibiotico,Antinflamatorios y frio local • Contusion con hematoma Colocacion de sonda (tipo Foley 14-16F) Drenaje de hematoma ,Safir M, Mario LA, Service S, Segal MR.American Association for the Surgery of Trauma organ injury severity scale for the kidney. J Trauma 2010;50(2):195-200.
  • 131.
  • 132.
    Amputacion 8 a10 hrs maximo
  • 133.
  • 140.
  • 141.
    Traumatismo escrotal ysu contenido • 15% Traumatismo Genitourinarios • 20-25 años de edad • Actividad laboral y deportes • Cerrado y Penetrantes • Cerrado 75% ,Safir M, Mario LA, Service S, Segal MR.American Association for the Surgery of Trauma organ injury severity scale for the kidney. J Trauma 2010;50(2):195-200.
  • 142.
    AAST ESCROTO ,Safir M,Mario LA, Service S, Segal MR.American Association for the Surgery of Trauma organ injury severity scale for the kidney. J Trauma 2010;50(2):195-200.
  • 143.
    AAST TESTICULO ,Safir M,Mario LA, Service S, Segal MR.American Association for the Surgery of Trauma organ injury severity scale for the kidney. J Trauma 2010;50(2):195-200.
  • 144.
    Escroto • Equimosis • Hematoma • Hematocele • Hidrocele • Ruptura de gubernaculum testis ,Safir M, Mario LA, Service S, Segal MR.American Association for the Surgery of Trauma organ injury severity scale for the kidney. J Trauma 2010;50(2):195-200.
  • 148.
    Contenido escrotal Cerrado • Contusiones •Hematomas • Migración • Desgarro de albuginea • Rotura testicular ,Safir M, Mario LA, Service S, Segal MR.American Association for the Surgery of Trauma organ injury severity scale for the kidney. J Trauma 2010;50(2):195-200.
  • 149.
    Contenido escrotal Abierto Laceracion Perforaciones Avulsión ,Safir M,Mario LA, Service S, Segal MR.American Association for the Surgery of Trauma organ injury severity scale for the kidney. J Trauma 2010;50(2):195-200.
  • 155.
  • 158.
    Tratamiento • Hematomas Observación Profilaxis antibiotica Analgesia ,SafirM, Mario LA, Service S, Segal MR.American Association for the Surgery of Trauma organ injury severity scale for the kidney. J Trauma 2010;50(2):195-200.
  • 159.
    Tratamiento ,Safir M, MarioLA, Service S, Segal MR.American Association for the Surgery of Trauma organ injury severity scale for the kidney. J Trauma 2010;50(2):195-200.