Clasificare morfologică :
1. Tesuturi musculare

striate:

a. scheletal
b. cardiac
2 . Tesut muscular neted
Clasificare histogenetică:
1.
Mezenchimal

( m. organelor
interne)

2. Epidermal (celule
mioepiteliale
3. Neural
(m. irisului)

4. Celomic

(m. cardiac)

5. Somitic

(m. scheletali)

)
Скелетная поперечно-полосатая
мышечная ткань
(microscopie in lumin ă polarizată)
Limba
Limba
L
Limba
T -sisteme
Ţesut muscular striat cardiac
Сердечная поперечно-исчерченная мышечная ткань
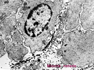
Ţesut muscular
neted

Гладкая мышечная ткань
Vezica urinară
Stomac
Vas sangvin
Vezica urinară
Miocite netede
Vas sangvin
Inervaţia muşchului neted

Tesuturi musculare