TOOTH DECAY
FLASHES A WARNING LIGHT
ON OTHER MODERN DISEASES.
2 millions years ago
32 well aligned teeth
Little to no tooth decay
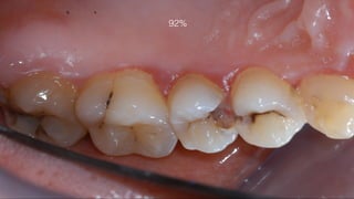
2% tooth decay 92% tooth decay
14,000 years ago
Streptococcus Mutans
200 years ago
The path to
t o d a y ’ s
p r o c e s s e d
f o o d s w a s
p a v e d w i t h
good intentions.
MODERN TIME
SIGNS OF THE HUMAN SPECIES
DETERIORATION
FIRST APPEAR IN THE MOUTH
Unlike skin, teeth don’t heal
Unlike bone, teeth don’t heal
On the right is a repaired tooth
it will need repeated repairs throughout this child’s life
MODERN DISEASES
92%
72% 72%
50 to 70%
Nutrition is the foundation of health.
Tooth decay is a warning light flashing
on your dashboard.
Your mouth is the dashboard
of your body.
DENTISTS
Percent Change in Employment projected 2016 - 2026
NOTE: all occupations includes all occupations in the US Economy
SOURCE: U.S. Bureau of Labor Statistics, Employment Projections Program
DENTISTS
HEALTH
Diagnostic &
Treatment
Professions
TOTAL: all others
19%
16%
7%
20
15
10
5
0
Heart disease is the #1 cause of death in both men and women
The End of Tooth Decay
New York Times
Public health officials
are predicting the
end of tooth decay
among children and
young adults by the
turn of the century.
December 20 1983
Fluoridated Water & Tooth Decay
%PopulationwithFluoridatedWater
0
17.5
35
52.5
70
1950 1960 1970 1980 1990 2000 2010
1983 Prediction
NumberofDecayedteethperChild
8
6
4
2
0
20
40
60
80
1950 1960 1970 1980 1990 2000 2010
MORE ADDICTIVE
THAN COCAINE
S U G A R
Dr. Viv Chander
We can replace missing teeth better than ever before
Dr. James Fondriest
We can enhance a smile better than ever before
Very natural looking upper anterior veneers
Fluoridated Water & Tooth Decay
%PopulationwithFluoridatedWater
0
20
40
60
80
1950 1960 1970 1980 1990 2000 2010
Tooth Decay Fluoride 1983 Prediction
NumberofDecayedteethperChild
8
6
4
2
0
20
40
60
80
1950 1960 1970 1980 1990 2000 2010
We never reached the 1983 predictions
TOOTH DECAY
THE NUMBER 1 CHILDHOOD DISEASE
COMMON DISEASES AMONG 5 TO 17 YEAR OLD CHILDREN
Tooth Decay
Asthma
Hay Fever
Chronic Bronchitis
5 year old boy
17 year old girl
70
52.5
35
17.5
0
TOOTH DECAY
FLASHES A WARNING LIGHT
ON OTHER MODERN DISEASES.
OBESITY
TYPE 2 DIABETES
FATTY LIVER DISEASE
What is missing here What is missing here
THE BEST
MOST OBVIOUS
MOST ACCESSIBLE
EARLY WARNING SYSTEM
TEETH
“The greatest medicine of all
is to teach people how
not to need it.”
Hippocrates
200 years ago, the average
American consumed
10 teaspoons of sugar
every 5 days.
Today, we unknowingly consume
the same amount every 7 hours.
Breakfast Cereals
Granola Bars
1 tsp sugar
3 tsp sugar
sugar in
sausage!
Incomplete labels
?% ?%
?% ?%
H E A L T H
responsibility
is a collective
Fuit juices promoted as healthy
contain more sugar than soda.
Chocolate milk sweetened
with high fructose corn syrup
High
Fructose
Corn
Syrup
NO
ADDED
SUGAR 

UNDER 2
AMERICAN HEART ASSOCIATION
WORLD HEALTH ORGANIZATION
Our wish list
Mandatory oral health assessment
before entering Kindergarten.
When tooth decay flashes a warning light,
address the issue from a whole body
perspective.
Integration of oral health education
in elementary schools.
A person with a vision
can save the world.
TEETH can save LIVES.
®

Teeth can save lives