SỔ TAY
BỆNH DO NẤM CANDIDA
Đây là phiên bản đầu tiên và sẽ liên tục được cập nhật
Mọi góp ý xin đón nhận tại email:
drchubby.derma@gmail.com
Mở đầu
Bệnh do nấm Candida (candidiasis) là một loạt các bệnh nhiễm trùng
do chủng nấm Candida gây ra. Bệnh do Candida có thể cấp tính hoặc mãn
tính, khu trú hoặc toàn thân.
Nhiễm nấm Candida toàn thân có thể đe dọa tính mạng.
Có hơn 160 loài Candida trong tự nhiên. Tuy nhiên, chỉ khoảng 20 trong số
chúng gây bệnh cho người, và Candida albicans là phổ biến nhất.
Sổ tay này sẽ cung cấp một cái nhìn tổng quan về các biểu hiện khác nhau
của nhiễm nấm Candida và hướng xử trí.
01
Trong lúc chuyển dạ chào đời:
Nếu thai phụ đang có nấm âm đạo mà sinh thường thì có thể lây
cho trẻ, khi thai di chuyển qua âm đạo lúc sinh.
Trẻ sinh mổ thì hạn chế được nguy cơ lây từ mẹ.
Page 04
NGUYÊN NHÂN
Nhiễm nấm Candida da bẩm
sinh với nhiều biểu hiện khác
nhau:
(A) Phát ban dát sẩn lan tỏa
(B) Phát ban khô, bong tróc
(C) Da khô, nứt nẻ, phát ban có
vảy
(D) Xuất hiện các mảng màu
trắng vàng (mũi tên) trên dây rốn
Page 05
02
Dùng thuốc (kháng sinh, corticoid, thuốc ức chế miễn
dịch sau ghép tạng…) kéo dài:
Mặc dù các loại thuốc trên được sử dụng để điều trị bệnh cho con
người, nhưng nếu sử dụng sai cách thì có thể tăng nguy cơ nhiễm
nấm cho cơ thể.
Page 06
NGUYÊN NHÂN
03
Có bệnh lý nền hoặc suy giảm MD:
Ở một số người có hệ miễn dịch suy yếu,
nấm có thể xâm nhập và gây bệnh ở
nhiều cơ quan trong cơ thể, thậm chí
vào máu.
Viêm thực quản diện rộng do nấm Candida albicans
gây ra ở bệnh nhân AIDS.
Page 07
NGUYÊN NHÂN
04
Lây truyền do tiếp xúc (gián tiếp/trực tiếp):
Candida có thể tồn tại trên kính 3 ngày, thép không gỉ 14 ngày. Chạm vào bề mặt
bị nhiễm nấm từ người khác trong thời gian trên có thể khiến bạn cũng bị nhiễm
nấm Candida. Hoặc lây qua việc sử dụng chung vật dụng như khăn tắm, đồ lót, bàn
chải,...
Page 08
NGUYÊN NHÂN
05
Lây truyền khi quan hệ tình dục không an toàn:
QHTD với một người nhiễm Candida có thể làm tăng nguy cơ nhiễm
bệnh.
LÀM THẾ NÀO ĐỂ BIẾT
TÔI CÓ BỊ
NHIỄM CANDIDA ÂM ĐẠO
HAY KHÔNG?
Page
Page 09
Sưng hoặc đỏ vùng
âm hộ bên ngoài
Page 10
Nhiễm Candida sinh dục phổ biến hơn so với
nhiễm nấm ở các cơ quan khác trên cơ thể, và
Candida cũng là một trong những nguyên nhân
hàng đầu gây ra viêm sinh dục ở phụ nữ Việt
Nam. Bạn nên thăm khám với bác sĩ chuyên
khoa khi có các dấu hiệu sau:
- Đau rát hoặc ngứa dữ dội vùng sinh dục.
- Khí hư có màu trắng đục, kết cấu giống sữa
đông lợn cợn.
- Đặc dính, mùi hôi khó chịu.
Các dấu hiệu có thể nặng hơn xung quanh chu
kỳ kinh nguyệt hoặc sau QHTD.
Page 11
CÁCH NHẬN BIẾT
Page 12
THĂM KHÁM KHI NGHI NHIỄM
CANDIDA ÂM ĐẠO
BAO GỒM NHỮNG BƯỚC NÀO?
KHAI BỆNH BỆNH
VỚI BÁC SĨ
Page 13
Bạn cần khai báo các triệu chứng và thông tin liên quan đến tình
trạng sức khỏe của bạn cho bác sĩ, bao gồm (tránh khai lắt nhắt
mất thời gian):
Triệu chứng: nêu rõ các triệu chứng mà bạn đang gặp phải như
ngứa, đau hoặc bỏng rát vùng kín, mùi lạ hoặc màu khí hư
(xanh, vàng, trắng, vv…)
Lịch sử bệnh: Bạn có bị bệnh gì khác hay không (vd: tiểu đường,
đang điều trị ung thư, các thuốc bạn đang sử dụng, và quá trình
điều trị viêm sinh dục trước đó của bạn ra sao)
Thói quen chăm sóc vùng kín: Hãy cung cấp cho bác sĩ phương
pháp ngừa thai bạn đang dùng, thói quen các sản phẩm vệ sinh,
tần suất qhtd, và bạn hay tái phát trong những tình huống nào)
Page 14
THĂM KHÁM TRỰC TIẾP
Bác sĩ kiểm tra bên ngoài (âm hộ) và
bên trong (âm đạo) để tìm dấu hiệu
viêm nhiễm và những biểu hiện của
bệnh
Cụ thể bác sĩ sẽ dùng mỏ vịt (cỡ nhỏ và
cỡ trung), để có thể quan sát thành
âm đạo và phết dịch âm đạo (khí hư)
làm xét nghiệm.
Page 15
XÉT NGHIỆM
Bệnh nhân có thể được đề nghị
làm một số xét nghiệm như soi
tươi dịch âm đạo, nuôi cấy
nấm... nếu cần thiết.
Hình ảnh dưới kính hiển vi của một bệnh nhân bị
viêm âm đạo do C. albicans .
Vài hình ảnh
nấm Candida sinh dục
Hít sâu và thở nhẹ trước khi xem tiếp
Page 16
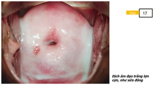
Dịch âm đạo trắng lợn
cợn, như sữa đông
Page 17
Ngoài khí hư đặc đục
lợn cợn ngứa
Hình ảnh này còn cho
thấy cổ tử cung sưng
đỏ viêm
Page 18
Người dư cân, béo phì, rối loạn nội tiết cũng là yếu tố
nguy cơ cao khiến nấm ở những vùng nếp kẽ dễ bùng
phát + khó điều trị + trị rồi cũng tái đi tái lại
Page 19
Nấm da vùng bẹn - bìu
lan rộng ra sau mông và
hậu môn (nguồn lây: vợ
viêm âm đạo - âm hộ)
Page 20
Đỏ da, ngứa, lan rộng rộng và có vảy ở vùng
sinh dục
Page 21
Nấm lâu ngày không trị + cào gãi nhiều ⇒ nấm
chàm hóa
Trường hợp này cũng có thể do sử dụng thuốc thoa
sai cách khiến da trở nên khô, đỏ, cứng sần
Page 22
ĐỘ CHÍNH XÁC CỦA CHẨN ĐOÁN
NẤM CANDIDA ÂM ĐẠO?
Page 23
Page 24
ĐỘ CHÍNH XÁC CỦA CHẨN ĐOÁN
Độ chính xác của chẩn đoán phụ
thuộc vào nhiều yếu tố.
Để có thể chẩn đoán chính xác
nhất, bác sĩ luôn cần kết hợp thăm
khám lâm sàng với các xét nghiệm
phù hợp.
Nhuộm Gram soi dưới kính hiển vi cho thấy
nấm men đang phát triển
Một nấm men mới chớm nở
(mũi tên) được lấy từ một
mụn mủ trên da bệnh nhân
Page 25
Có nhiều chủng Candida:
- C. albicans (khuẩn lạc
màu xanh lục)
- C.tropicalis (khuẩn lạc
màu tím xanh)
- C. krusei (khuẩn lạc dạng
sợi, lớn màu hồng)
- C. glabrata (khuẩn lạc
nấm men màu hồng)
Page 26
CÁCH ĐIỀU TRỊ
NẤM CANDIDA SINH DỤC?
Page 27
Mục tiêu: nhằm giảm thiểu triệu chứng cho bệnh nhân + triệt tiêu
nấm và phòng tái phát
Việc điều trị cho bạn tình nên trao đổi với bác sĩ, vài trường hợp nếu
bạn tình không có triệu chứng lâm sàng thì không bắt buộc phải
điều trị. Nhưng nếu bệnh tái phát thường xuyên và đặc biệt là tái
phát sau QHTD thì nên điều trị cho cả bạn tình. Chính bs là người
sẽ tư vấn cho các bạn điều này.
Page 28
ĐIỀU TRỊ
Page 29
BAO LÂU THÌ CÓ THỂ QHTD LẠI?
Bệnh nhân nên kiêng qhtd khi đang có triệu chứng hoặc đang điều trị, vì
những lý do sau:
● Có thể gây đau đớn khi quan hệ, và làm nặng thêm các
triệu chứng.
● Có thể lây bệnh cho bạn tình.
● Có thể khiến bệnh lâu khỏi hơn, hoặc từ viêm âm đạo thành viêm cổ tử
cung, vv…
Việc kiêng trong thời gian bao lâu vẫn chưa được đồng thuận rõ ràng. Đôi
khi là 1-2 tuần, vài trường hợp có thể phải kiêng tới 1 tháng. Số ít cần
kiêng trên 2 tháng.
Page 30
BAO LÂU THÌ BỆNH THUYÊN GIẢM
Thông thường nếu bị NHẸ, bị LẦN ĐẦU, đáp ứng thuốc TỐT, thì bệnh nhân
sẽ giảm nhanh triệu chứng sau 5-7 ngày điều trị. Tuy nhiên vẫn cần thời
gian 7-14 ngày để khỏi hoàn toàn đợt bệnh.
Nếu trước đó điều trị sai, hoặc trên cơ địa người có nhiều yếu tố nguy cơ (ví
dụ: sử dụng corticoid, kháng sinh dài ngày, rối loạn nội tiết, thụt rửa, suy
giảm miễn dịch, vv…) thời gian điều trị 1 đợt có thể mất 1-3 tháng, vài
trường hợp lên tới 6 tháng (do Candida non-albicans hoặc viêm phức tạp).
Bệnh nhân hãy tư vấn cùng các bác sĩ để được tư vấn kỹ càng hơn, tránh
việc tự điều trị có thể khiến bệnh trở nặng và nhiều di chứng!
Page
Page 31
CÓ NÊN CHO BẠN TÌNH BIẾT
VỀ TÌNH TRẠNG
NHIỄM NẤM CANDIDA CỦA
MÌNH HAY KHÔNG?
Page 32
CÓ NÊN TÂM SỰ VỚI BẠN TÌNH?
● Mặc dù không được xếp vào bệnh lây truyền qua đường tình dục
(STDs), nhưng Candida hoàn toàn có khả năng lây nhiễm sau khi quan
hệ tình dục hoặc tiếp xúc trực tiếp qua da, hoặc gián tiếp qua vật dụng.
● Cụ thể: có khoảng 10% bạn tình nam bị nhiễm nấm ở dương vật sau
khi quan hệ tình dục với người nữ nhiễm nấm.
● Nếu chẳng may phát hiện bản thân nhiễm Candida thì hãy chia sẻ với
bạn tình để điều trị kịp thời tránh những hậu quả về sau
NHIỄM CANDIDA VÙNG KÍN
CÓ ẢNH HƯỞNG ĐẾN
VIỆC THỤ THAI KHÔNG?
Page 33
Page 34
CÓ ẢNH HƯỞNG ĐẾN VIỆC THỤ THAI KHÔNG?
Chưa có báo cáo khoa học cụ thể nào chứng minh việc nhiễm nấm Candida có
thể dẫn đến vô sinh. Tuy nhiên nó cũng sẽ ảnh hưởng ít nhiều đến việc thụ
thai:
Tình trạng sưng hoặc ngứa rát khi nhiễm nấm có thể gây khó chịu và dẫn
đến đau khi QHTD, giảm ham muốn. Bạn cũng nên hạn chế quan hệ tình
dục khi đang bị nhiễm nấm hay bất cứ loại nhiễm trùng âm đạo nào khác.
Nhiễm Candida làm mất cân bằng hệ vi sinh thường trú vùng sinh dục, gây
viêm và làm thay đổi pH, dịch kênh cổ tử cung,vv... do đó gây bất lợi cho
quá trình thụ thai.
Page 35
NGOÀI VÙNG KÍN
CÓ THỂ NHIỄM CANDIDA
Ở VÙNG KHÁC KHÔNG?
Page 36
CANDIDA VÙNG HẦU HỌNG
Cảm giác niêm mạc bị bông trắng trong miệng
Mất hoặc giảm vị giác
Đôi khi đau khi ăn và nuốt.
Mảng trắng niêm mạc miệng do nhiễm nấm Candida Bệnh nhân mang răng giả, nấm hầu họng do
Candida thường ở vòm họng
Page 37
CANDIDA THỰC QUẢN
Có thể có những dấu hiệu sau:
- Đau khi nuốt thức ăn
- Khó nuốt và cảm giác nghẹn
- Đau buồn ngực
- Đầy hơi và khó tiêu
- Nôn và ói mửa
Hình ảnh nội soi thực quản cho thấy những mảng bám
màu trắng do nấm Candida
Page 38
CANDIDA DƯƠNG VẬ.T
- Xuất hiện mảng trắng trên dương vật
- Đau, ngứa và rát vùng qu.y đầ.u: từ ít tới
nhiều
- Sưng đỏ, có thể đau hoặc nhạy cảm.
- Nổi mẩn đỏ hoặc vẩy da
- Tăng khả năng mắc các bệnh nhiễm trùng
khác.
- Có thể lan đến nếp gấp mông, mông và
bìu.
Page 39
CANDIDA VÚ
Phụ nữ cho con bú có núm vú bị
thương có thể bị nhiễm Candida và
có thể lây cho trẻ. Dấu hiệu gồm:
- Ngứa và đau vùng núm vú: dấu hiệu
phổ biến nhất
- Đỏ và sưng vùng núm vú
- Nổi mẩn và vẩy da
- Đau khi cho con bú
- Đau khi tiếp xúc với nước
- Nấm có thể xuất hiện ở nhiều
vùng da trên cơ thể, nhưng
thường bắt gặp nhất ở những vùng
nếp kẽ như: nách, bẹn, kẽ tay, kẽ
chân, nếp chân ngực...
- Chúng phát triển mạnh ở những
vùng da ấm, ẩm ướt, những vùng
thường xuyên đổ mồ hôi.
Page 40
NHIỄM NẤM CANDIDA NGOÀI DA
Bệnh nhân điều trị viêm nang lông
kéo dài
Page 41
NHIỄM NẤM CANDIDA NGOÀI DA
Page 42
NẤM CANDIDA NGOÀI DA
Triệu chứng bao gồm:
1. Ngứa và đau: dấu hiệu phổ biến nhất
2. Da bong tróc và khô
3. Nổi mẩn đỏ
4. Sưng
5. Bong vảy và bong tróc da
Bệnh được chẩn đoán dựa vào các dấu hiệu trên da, bác sĩ có thể sẽ cạo phần da,
phần móng hoặc nhổ lông ở những vùng nghi nhiễm nấm để làm xét nghiệm.
Khi Xuất hiện những triệu chứng kể trên hoặc nếu bạn lo lắng vì không biết liệu
mình có bị nấm da hay không, hãy đến gặp các bác sĩ để được chẩn đoán và điều
trị kịp thời.
Mảng đỏ da, ngứa, lan
rộng dần ở nếp gấp bụng
và bẹn.
Page 43
Vài người bị thâm nách là do…trước đó bị viêm
nách do nấm Candida
Triệu chứng viêm nách do Candida:
- Ngứa
- Đỏ
- Bong tróc
- Và có thể có mùi hôi khó chịu
- Đôi khi có thể vừa bị viêm do nấm vừa viêm do vi
khuẩn (quá xui xẻo!!!)
Page 44
Nấm kẽ chân ở người
thường đi giày bít bí,
ẩm ướt, hoặc sử dụng
chung tất (vớ)
Page 45
MỤN DO VI NẤM (FUNGAL ACNE)
Nhiều người hỏi mụn vi nấm có phải do
Candida không. Thì đây…
- Mụn do vi nấm thường do nấm (đương
nhiên), nhưng là Malassezia furfur hoặc
Pityrosporum ovale gây ra.
- Thường là mụn đỏ nhỏ li ti, NGỨA, bong
tróc da (dù không xài kem thoa
treatment), khô da
- Bị nặng hơn khi trời nóng, ẩm, đổ mồ hôi
Page 46
Cũng là mụn do vi nấm (viêm nang lông do nấm)
Hầu hết chúng ta đều nhầm với viêm nang lông
thông thường
Page 47
NẤM DA ĐẦU
Triệu chứng nấm da đầu:
● Da đầu bị ngứa, khô và bong tróc.
● Vùng da bị nhiễm nấm xuất hiện vảy và màu
trắng hoặc đỏ.
● Rụng tóc ở vùng bị nhiễm nấm hoặc tóc trở
nên yếu và dễ gãy.
● Da đầu: sưng, đỏ và nổi mụn.
● Dấu hiệu nhiễm trùng da đầu như mủ và tóc
bị dính.
Page 48
Không phải mụn mủ nào cũng là mụn
trứng cá và viêm nang lông nào cũng
do vi khuẩn.
Đây là một trường hợp viêm do nấm
Candida gây ra ở vùng râu nam giới
(tinea barbae):
- Thường do tiếp xúc trực tiếp với
người bị nấm
- Cũng có thể từ động vật nuôi trong
nhà (chó mèo)
Page 49
NẤM MÓNG
- Triệu chứng của nấm móng bao gồm:
1. Móng đổi màu
2. Dày móng, đau sưng đỏ vùng da quanh móng
3. Móng mủn, mất móng, và dễ bong
4. Mùi hôi và ngứa
- Để điều trị nấm móng: kết hợp thuốc (uống, thoa, rửa
ngâm) kháng nấm trong thời gian dài 6-9 tháng (thậm
chí lâu hơn)
- Nếu tình trạng nấm móng nghiêm trọng, có thể cần phẫu
thuật để loại bỏ phần bị nhiễm bệnh.
- Ngoài ra: giữ cho móng tay và móng chân khô ráo,
không để ẩm ướt, tránh đi giày bí, tránh sử dụng đồ
dùng chung, hạn chế sử dụng móng giả hoặc sơn móng.
Page 50
Page 51
NẤM DA Ở
TRẺ EM
Page 52
BỆNH NẤM DA Ở TRẺ EM
Đỏ da kèm mủ và bong
tróc chảy nước ở trẻ sơ
sinh bị nấm candida tại
nếp cổ
Page 53
BỆNH NẤM DA Ở TRẺ
EM
Trẻ em có nguy cơ nhiễm Candida cao hơn so với người lớn vì hệ miễn dịch phát
triển chưa hoàn thiện. Việc nhiễm nấm quá mức có thể khiến trẻ mắc các bệnh như
viêm xoang, nấm trên da, hăm tã, tưa miệng…
Một số biểu hiện ở trẻ bị nhiễm nấm là:
Hăm tã kéo dài và thường xuyên tái phát
Da khô, ngứa, đỏ và đôi khi bị nhầm với viêm da cơ địa
Có những mảng trắng hoặc vàng ở lưỡi, phía trong miệng hoặc má
Da đầu viêm, đỏ, ngứa, bong vảy, đôi khi chảy dịch
Xuất hiện các vấn đề ở tai: viêm tai, đau tai... kéo dài và thường tái phát
Việc điều trị phụ thuộc vào loại nấm mà trẻ mắc phải, thời gian cho một liệu
trình kéo dài khoảng hai tuần trở lên và bệnh thường hay tái phát.
Page 54
Nhiễm nấm Candida miệng nghiêm trọng ở trẻ nhỏ có hệ miễn dịch kém
Page 55
Tình trạng nấm miệng này có thể
xảy ra trong quá trình bé sử dụng
kháng sinh để trị bệnh và thậm chí
có thể lây qua da mẹ nếu trẻ vẫn
còn bú sữa mẹ.
Các mảng trắng trên môi và
lưỡi (A) và trên niêm mạc hai
bên (B và C) biểu hiện của
bệnh tưa miệng ở trẻ
Page 56
NẤM CANDIDA DA ĐẦU
Nấm da đầu của một bệnh nhi 12 tuổi. Bệnh nhi này cũng bị nấm ở mũi và mí mắt.
Page 57
Hăm tã do nấm candida thường gặp ở
50% trẻ từ 4-15 tháng tuổi, biểu hiện:
● Da đỏ xung quanh vùng bé mặc
bỉm tã của bé
● Tổn thương vệ tinh: chấm đỏ li ti
bên ngoài vùng đỏ da
● Mảng trắng, vàng, ngứa
● Bong tróc, và sưng
Page 58
CANDIDA VÀ HĂM TÃ Ở TRẺ
Hăm tã do nhiễm nấm Candida bội nhiễm
NÊN ĐI KHÁM BỆNH
DO NẤM CANDIDA
Ở ĐÂU?
Page
Page 59
Page
Page 60
NÊN KHÁM BỆNH Ở ĐÂU?
Khi có bất kỳ dấu hiệu bất thường nào,
bạn nên đến một trong các địa điểm sau
để bác sĩ được thăm khám và điều trị kịp
thời:
Các bệnh viện.
Các phòng khám đa khoa uy tín.
CHI PHÍ KHÁM VÀ CHỮA
TRỊ BỆNH NẤM CANDIDA
NHƯ THẾ NÀO?
Page
Page 61
Chi phí chữa nấm Candida (nấm sinh dục, nấm da đầu, nấm kẽ, nấm móng,
nấm nội tạng, vv…) sẽ dao động từ vài trăm ngàn đến 5-6 triệu đồng tùy
thuộc vào nhiều yếu tố như: đội ngũ bác sĩ chuyên môn, cơ sở vật chất,
thành phố nay nông thôn, số lượng xét nghiệm, độ nặng của bệnh….
62
CHI PHÁM KHÁM VÀ CHỮA TRỊ
63
CHI PHÁM KHÁM VÀ CHỮA TRỊ
Trong đó, sẽ bao gồm các khoản phí sau:
Chi phí thăm khám: Trước khi thăm khám chuyên sâu, người bệnh sẽ phải kiểm tra
sức khỏe tổng quát như chỉ số như nhịp tim, huyết áp, chiều cao cân nặng….
Chi phí thăm khám bộ phận bị bệnh: Bác sĩ sẽ trực tiếp kiểm tra cơ quan bị bệnh
(ví dụ: cổ, nách, da đầu, bộ phận sinh dục), rồi sau đó lấy mẫu bệnh phẩm bao gồm:
cạo da, hoặc lấy khí hư, hoặc phết dịch mủ máu ở vị trí nghi ngờ để xét nghiệm.
Chi phí xét nghiệm: Bác sĩ sẽ đưa các mẫu bệnh phẩm đi xét nghiệm bằng các thiết
bị máy móc hiện đại. Từ đó lấy cơ sở chẩn đoán nguyên nhân gây bệnh.
Chi phí điều trị: Sau khi có kết quả xét nghiệm, bác sĩ sẽ kết hợp với triệu chứng
lâm sàng để xác định bệnh. Cuối cùng là kê đơn và đưa ra phác đồ điều trị phù hợp
với từng thể trạng bệnh của mỗi người.
64
TRỊ KHỎI NẤM CANDIDA
MẤT BAO LÂU?
Tuỳ thuộc vào tình trạng bệnh của mỗi người mà
bác sĩ của bạn sẽ đưa ra những phác đồ khác
nhau, và vì vậy thời gian điều trị khỏi bệnh hoàn
toàn có thể kéo dài từ ít nhất 7-14 ngày (trường
hợp bị lần đầu, đáp ứng thuốc tốt) hoặc đôi khi
lên đến 6-9 tháng.
65
NHIỄM CANDIDA CÓ
TÁI PHÁT KHÔNG?
66
CANDIDA CÓ TÁI PHÁT?
- Mặc dù điều trị nhiễm Candida với thuốc kháng nấm cho tỷ lệ khỏi cao,
nhưng khoảng 30-60% bệnh nhân sẽ bị tái phát sau 1-2 tháng
điều trị.
- Tình trạng nhiễm nấm có thể tái đi tái lại >= 4 lần/1 năm (chiếm
khoảng 5% bệnh nhân nhiễm Candida)
- Thậm chí có những trường hợp bị quanh năm và tái lại hàng tháng
do đặc thù nghề nghiệp (ví dụ tiếp xúc với nước nhiều, môi trường sống
ẩm thấp vệ sinh kém, sống trong gia đình đông người và lây nhiễm
chéo, vv…)
67
CÁC YẾU TỐ NGUY CƠ
NÀO KHIẾN NẤM
CANDIDA DỄ TÁI PHÁT?
68
NGUY CƠ KHIẾN NẤM CANDIDA
DỄ TÁI PHÁT
Một số yếu tố có thể khiến nấm Candida dễ tái phát có thể kể đến như:
Tự ý điều trị và điều trị sai cách
Chưa điều trị dứt điểm ở lần nhiễm nấm trước
Thói quen sinh hoạt hàng ngày: thường xuyên mặc quần áo ẩm ướt, bó
sát hoặc kém thoáng khí, tình trạng căng thẳng kéo dài, sử dụng chung đồ
Thói quen quan hệ tình dục: không sử dụng biện pháp an toàn, có nhiều
bạn tình hoặc bạn tình có nhiều bạn tình, quan hệ tình dục lại quá sớm trước
khi đợt bệnh cũ dứt điểm
● Thường xuyên sử dụng kháng sinh phổ rộng, hoặc corticoid, hoặc các
thuốc gây suy giảm miễn dịch: gây mất cân bằng hệ vi sinh vật thường trú
Nồng độ nội tiết không ổn định: đặc biệt là trong quá trình mang thai, tiền
mãn kinh, sử dụng ngừa thai nội tiết, vv…
● Vi nấm đã kháng với thuốc điều trị, hoặc Candida chủng non-albican
● Ngoài ra Candida còn dễ tái phát ở những người có bệnh lý mãn tính như tiểu
đường, hoặc ở người mắc các bệnh về miễn dịch, xạ trị, ung thư, vv….
69
NGUY CƠ KHIẾN NẤM CANDIDA
DỄ TÁI PHÁT
70
CÓ THỂ LÀM GÌ TẠI NHÀ ĐỂ
HẠN CHẾ TÁI NHIỄM CANDIDA?
71
CÓ THỂ
LÀM GÌ TẠI
NHÀ ĐỂ
HẠN CHẾ
TÁI NHIỄM
CANDIDA?
● Hạn chế thức ăn ngọt và béo
● Vệ sinh răng miệng đúng cách, thường xuyên thay bàn
chải đánh răng, súc họng kháng khuẩn nếu niềng răng -
răng giả, vv….
● Mặc quần áo khô ráo, thoáng mát, thông khí tốt.
● Thường xuyên thay tất, đồ lót.
● Hạn chế sử dụng các sản phẩm có hương liệu hoặc
chất tẩy rửa mạnh để vệ sinh vùng kín.
● Sử dụng các biện pháp an toàn khi quan hệ tình
● dục. Tránh quan hệ tình dục trong thời gian nhiễm bệnh
cho tới khi khỏi hẳn.
● Bổ sung probiotics, prebiotics
72
CÓ CẦN TÁI KHÁM ĐỂ KIỂM TRA
TÌNH TRẠNG NẤM CANDIDA
HAY KHÔNG?
73
CÓ CẦN TÁI
KHÁM ĐỂ
KIỂM TRA
TÌNH TRẠNG
NẤM
CANDIDA
HAY KHÔNG?
Sau khi điều trị nấm Candida thì bạn nên đi tái khám để
đảm bảo rằng bệnh đã được điều trị khỏi. Đặc biệt đối
với những trường hợp sau:
- Các đợt bệnh trước đó tái phát trong vòng 2 tháng.
- Tái nhiễm và điều trị bằng các biện pháp cũ mà không
có hiệu quả.
- Có bệnh nền (dư cân, béo phì, tiểu đường, suy giảm
miễn dịch, dùng Corticoid kéo dài, vv…)
74
HẬU QUẢ NẾU KHÔNG
ĐIỀU TRỊ NẤM CANDIDA
75
HẬU QUẢ NẾU KHÔNG ĐIỀU TRỊ
NẤM CANDIDA
Nhiễm nấm Candida có xu hướng gây khó chịu vì ngứa dữ dội, ảnh hưởng đến chất
lượng cuộc sống và tâm lý bệnh nhân, nhưng ít (ít chứ không phải là KHÔNG) gây ra
các tổn thương vĩnh viễn.
Nếu không được điều trị thích hợp, thì tình trạng bệnh sẽ trở nên tệ hơn tuỳ thuộc
vào vị trí nhiễm Candia
76
HẬU QUẢ NẾU KHÔNG ĐIỀU TRỊ
NẤM CANDIDA
Nhiễm Candida âm đạo:
Ngoài gây ngứa ngáy, khó chịu cho người bệnh, nó có thể làm giảm ham muốn
quan hệ tình dục hoặc gây thay đổi pH, độ dày niêm mạc tử cung gây khó thụ thai
hơn.
Nhiễm Candida trên da:
Với tình trạng ngứa lâu ngày nếu không điều trị, làn da của bạn sẽ dễ bị kích ứng
dẫn đến các bệnh nhiễm trùng da khác.
77
HẬU QUẢ NẾU KHÔNG ĐIỀU TRỊ
NẤM CANDIDA
Nhiễm Candida ở miệng (tưa
miệng) Tạo ra những vết loét ở má,
môi, lưỡi... Những vết loét này có thể
ngày càng lớn và gây khó khăn cho
việc ăn uống hoặc nói chuyện, gây mùi
hôi hơi thở.
Bệnh nhân nhiễm nấm Candida niêm mạc
78
HẬU QUẢ NẾU KHÔNG ĐIỀU TRỊ
NẤM CANDIDA
Nhiễm nấm Candida toàn thân có thể gây nên nhiều hệ quả nghiêm trọng:
Gây cảm giác mệt mỏi và khó chịu vì hệ miễn dịch suy giảm.
Gây nhiễm trùng đường tiểu, đường sinh dục tái phát.
Gây các vấn đề đường tiêu hoá: táo bón, tiêu chảy, buồn nôn, chướng bụng, đầy
hơi…
Viêm xoang do nấm.
Nấm da và móng.
Nấm thâm nhập vào máu có thể di chuyển đến và làm tổn thương khớp. Thường gặp
nhất là ở khớp háng và đầu gối
HIỆN TƯỢNG NẤM
CANDIDA CHẾT ĐI
(CANDIDA DIE-OFF)
PHẢN ỨNG KHÔNG MONG MUỐN
MÀ TÔI CÓ THỂ GẶP KHI ĐIỀU
TRỊ CANDIDA LÀ GÌ?
79
80
PHẢN ỨNG KHÔNG MONG MUỐN
CÓ THỂ GẶP KHI ĐIỀU TRỊ
Việc sử dụng thuốc kháng nấm
sẽ dẫn đến sự chết đi hàng loạt của
nấm Candida trong cơ thể.
Khi vi nấm chết đi chúng sẽ tiết ra
các chất độc (khoảng 79 chất) làm
cho hệ miễn dịch của chúng ta
phải tăng cường hoạt động để
chống lại.
Điều này có thể dẫn đến các triệu chứng như:
Sốt.
Ớn lạnh.
Phát ban.
Nổi mề đay.
Đau cơ.
Cảm thấy ngứa, rát, hoặc sưng đỏ tại vùng
da bôi thuốc
Đau đầu, mệt mỏi
Ăn không ngon, đau bụng, tiêu
chảy hoặc khó tiêu
81
PHẢN ỨNG KHÔNG MONG MUỐN
CÓ THỂ GẶP KHI ĐIỀU TRỊ
Bạn có thể thực hiện một vài biện pháp tại nhà để giảm bớt các triệu chứng
trên: Uống thuốc hỗ trợ giảm triệu chứng khó chịu
Tăng cường nghỉ
ngơi. Uống nhiều
nước
Chườm lạnh và làm mát cơ thể để hạ sốt (nếu có) và giảm đau nhức cơ.
Nếu triệu chứng trầm trọng hơn và không có dấu hiệu giảm bớt, đừng vội hoảng
loạn mà từ bỏ điều trị mà hãy liên hệ với bác sĩ của bạn để được tư vấn điều chỉnh
liều lượng thuốc phù hợp
82
PHẢN ỨNG KHÔNG MONG MUỐN
CÓ THỂ GẶP KHI ĐIỀU TRỊ
Lưu ý - Cần phân biệt phản ứng dị ứng thuốc với phản ứng cơ thể khi
candida die-off.
Hãy liên hệ trung tâm y tế gần nhất nếu bạn gặp các phản ứng sau:
● Sưng mặt, cổ họng, lưỡi.
● Khó thở, thở khò khè.
● Phát ban nặng, nổi mụn nước hoặc bong tróc.
● Nôn ói.
● Mạch yếu.
● Choáng.
● Mất ý thức.
Cảm ơn bạn vì đã đọc hết cẩm nang này
Còn câu hỏi, có góp ý?
Nhắn Chubby tại fb.com/drchubbyderma (trả lời nhanh) Hoặc
email: drchubbyderma@gmail.com (check hàng tuần)

SỔ TAY NẤM CANDIDA.pptx

  • 1.
    SỔ TAY BỆNH DONẤM CANDIDA
  • 2.
    Đây là phiênbản đầu tiên và sẽ liên tục được cập nhật Mọi góp ý xin đón nhận tại email: drchubby.derma@gmail.com
  • 3.
    Mở đầu Bệnh donấm Candida (candidiasis) là một loạt các bệnh nhiễm trùng do chủng nấm Candida gây ra. Bệnh do Candida có thể cấp tính hoặc mãn tính, khu trú hoặc toàn thân. Nhiễm nấm Candida toàn thân có thể đe dọa tính mạng. Có hơn 160 loài Candida trong tự nhiên. Tuy nhiên, chỉ khoảng 20 trong số chúng gây bệnh cho người, và Candida albicans là phổ biến nhất. Sổ tay này sẽ cung cấp một cái nhìn tổng quan về các biểu hiện khác nhau của nhiễm nấm Candida và hướng xử trí.
  • 4.
    01 Trong lúc chuyểndạ chào đời: Nếu thai phụ đang có nấm âm đạo mà sinh thường thì có thể lây cho trẻ, khi thai di chuyển qua âm đạo lúc sinh. Trẻ sinh mổ thì hạn chế được nguy cơ lây từ mẹ. Page 04 NGUYÊN NHÂN
  • 5.
    Nhiễm nấm Candidada bẩm sinh với nhiều biểu hiện khác nhau: (A) Phát ban dát sẩn lan tỏa (B) Phát ban khô, bong tróc (C) Da khô, nứt nẻ, phát ban có vảy (D) Xuất hiện các mảng màu trắng vàng (mũi tên) trên dây rốn Page 05
  • 6.
    02 Dùng thuốc (khángsinh, corticoid, thuốc ức chế miễn dịch sau ghép tạng…) kéo dài: Mặc dù các loại thuốc trên được sử dụng để điều trị bệnh cho con người, nhưng nếu sử dụng sai cách thì có thể tăng nguy cơ nhiễm nấm cho cơ thể. Page 06 NGUYÊN NHÂN
  • 7.
    03 Có bệnh lýnền hoặc suy giảm MD: Ở một số người có hệ miễn dịch suy yếu, nấm có thể xâm nhập và gây bệnh ở nhiều cơ quan trong cơ thể, thậm chí vào máu. Viêm thực quản diện rộng do nấm Candida albicans gây ra ở bệnh nhân AIDS. Page 07 NGUYÊN NHÂN
  • 8.
    04 Lây truyền dotiếp xúc (gián tiếp/trực tiếp): Candida có thể tồn tại trên kính 3 ngày, thép không gỉ 14 ngày. Chạm vào bề mặt bị nhiễm nấm từ người khác trong thời gian trên có thể khiến bạn cũng bị nhiễm nấm Candida. Hoặc lây qua việc sử dụng chung vật dụng như khăn tắm, đồ lót, bàn chải,... Page 08 NGUYÊN NHÂN 05 Lây truyền khi quan hệ tình dục không an toàn: QHTD với một người nhiễm Candida có thể làm tăng nguy cơ nhiễm bệnh.
  • 9.
    LÀM THẾ NÀOĐỂ BIẾT TÔI CÓ BỊ NHIỄM CANDIDA ÂM ĐẠO HAY KHÔNG? Page Page 09
  • 10.
    Sưng hoặc đỏvùng âm hộ bên ngoài Page 10
  • 11.
    Nhiễm Candida sinhdục phổ biến hơn so với nhiễm nấm ở các cơ quan khác trên cơ thể, và Candida cũng là một trong những nguyên nhân hàng đầu gây ra viêm sinh dục ở phụ nữ Việt Nam. Bạn nên thăm khám với bác sĩ chuyên khoa khi có các dấu hiệu sau: - Đau rát hoặc ngứa dữ dội vùng sinh dục. - Khí hư có màu trắng đục, kết cấu giống sữa đông lợn cợn. - Đặc dính, mùi hôi khó chịu. Các dấu hiệu có thể nặng hơn xung quanh chu kỳ kinh nguyệt hoặc sau QHTD. Page 11 CÁCH NHẬN BIẾT
  • 12.
    Page 12 THĂM KHÁMKHI NGHI NHIỄM CANDIDA ÂM ĐẠO BAO GỒM NHỮNG BƯỚC NÀO?
  • 13.
    KHAI BỆNH BỆNH VỚIBÁC SĨ Page 13 Bạn cần khai báo các triệu chứng và thông tin liên quan đến tình trạng sức khỏe của bạn cho bác sĩ, bao gồm (tránh khai lắt nhắt mất thời gian): Triệu chứng: nêu rõ các triệu chứng mà bạn đang gặp phải như ngứa, đau hoặc bỏng rát vùng kín, mùi lạ hoặc màu khí hư (xanh, vàng, trắng, vv…) Lịch sử bệnh: Bạn có bị bệnh gì khác hay không (vd: tiểu đường, đang điều trị ung thư, các thuốc bạn đang sử dụng, và quá trình điều trị viêm sinh dục trước đó của bạn ra sao) Thói quen chăm sóc vùng kín: Hãy cung cấp cho bác sĩ phương pháp ngừa thai bạn đang dùng, thói quen các sản phẩm vệ sinh, tần suất qhtd, và bạn hay tái phát trong những tình huống nào)
  • 14.
    Page 14 THĂM KHÁMTRỰC TIẾP Bác sĩ kiểm tra bên ngoài (âm hộ) và bên trong (âm đạo) để tìm dấu hiệu viêm nhiễm và những biểu hiện của bệnh Cụ thể bác sĩ sẽ dùng mỏ vịt (cỡ nhỏ và cỡ trung), để có thể quan sát thành âm đạo và phết dịch âm đạo (khí hư) làm xét nghiệm.
  • 15.
    Page 15 XÉT NGHIỆM Bệnhnhân có thể được đề nghị làm một số xét nghiệm như soi tươi dịch âm đạo, nuôi cấy nấm... nếu cần thiết. Hình ảnh dưới kính hiển vi của một bệnh nhân bị viêm âm đạo do C. albicans .
  • 16.
    Vài hình ảnh nấmCandida sinh dục Hít sâu và thở nhẹ trước khi xem tiếp Page 16
  • 17.
    Dịch âm đạotrắng lợn cợn, như sữa đông Page 17
  • 18.
    Ngoài khí hưđặc đục lợn cợn ngứa Hình ảnh này còn cho thấy cổ tử cung sưng đỏ viêm Page 18
  • 19.
    Người dư cân,béo phì, rối loạn nội tiết cũng là yếu tố nguy cơ cao khiến nấm ở những vùng nếp kẽ dễ bùng phát + khó điều trị + trị rồi cũng tái đi tái lại Page 19
  • 20.
    Nấm da vùngbẹn - bìu lan rộng ra sau mông và hậu môn (nguồn lây: vợ viêm âm đạo - âm hộ) Page 20
  • 21.
    Đỏ da, ngứa,lan rộng rộng và có vảy ở vùng sinh dục Page 21
  • 22.
    Nấm lâu ngàykhông trị + cào gãi nhiều ⇒ nấm chàm hóa Trường hợp này cũng có thể do sử dụng thuốc thoa sai cách khiến da trở nên khô, đỏ, cứng sần Page 22
  • 23.
    ĐỘ CHÍNH XÁCCỦA CHẨN ĐOÁN NẤM CANDIDA ÂM ĐẠO? Page 23
  • 24.
    Page 24 ĐỘ CHÍNHXÁC CỦA CHẨN ĐOÁN Độ chính xác của chẩn đoán phụ thuộc vào nhiều yếu tố. Để có thể chẩn đoán chính xác nhất, bác sĩ luôn cần kết hợp thăm khám lâm sàng với các xét nghiệm phù hợp. Nhuộm Gram soi dưới kính hiển vi cho thấy nấm men đang phát triển
  • 25.
    Một nấm menmới chớm nở (mũi tên) được lấy từ một mụn mủ trên da bệnh nhân Page 25
  • 26.
    Có nhiều chủngCandida: - C. albicans (khuẩn lạc màu xanh lục) - C.tropicalis (khuẩn lạc màu tím xanh) - C. krusei (khuẩn lạc dạng sợi, lớn màu hồng) - C. glabrata (khuẩn lạc nấm men màu hồng) Page 26
  • 27.
    CÁCH ĐIỀU TRỊ NẤMCANDIDA SINH DỤC? Page 27
  • 28.
    Mục tiêu: nhằmgiảm thiểu triệu chứng cho bệnh nhân + triệt tiêu nấm và phòng tái phát Việc điều trị cho bạn tình nên trao đổi với bác sĩ, vài trường hợp nếu bạn tình không có triệu chứng lâm sàng thì không bắt buộc phải điều trị. Nhưng nếu bệnh tái phát thường xuyên và đặc biệt là tái phát sau QHTD thì nên điều trị cho cả bạn tình. Chính bs là người sẽ tư vấn cho các bạn điều này. Page 28 ĐIỀU TRỊ
  • 29.
    Page 29 BAO LÂUTHÌ CÓ THỂ QHTD LẠI? Bệnh nhân nên kiêng qhtd khi đang có triệu chứng hoặc đang điều trị, vì những lý do sau: ● Có thể gây đau đớn khi quan hệ, và làm nặng thêm các triệu chứng. ● Có thể lây bệnh cho bạn tình. ● Có thể khiến bệnh lâu khỏi hơn, hoặc từ viêm âm đạo thành viêm cổ tử cung, vv… Việc kiêng trong thời gian bao lâu vẫn chưa được đồng thuận rõ ràng. Đôi khi là 1-2 tuần, vài trường hợp có thể phải kiêng tới 1 tháng. Số ít cần kiêng trên 2 tháng.
  • 30.
    Page 30 BAO LÂUTHÌ BỆNH THUYÊN GIẢM Thông thường nếu bị NHẸ, bị LẦN ĐẦU, đáp ứng thuốc TỐT, thì bệnh nhân sẽ giảm nhanh triệu chứng sau 5-7 ngày điều trị. Tuy nhiên vẫn cần thời gian 7-14 ngày để khỏi hoàn toàn đợt bệnh. Nếu trước đó điều trị sai, hoặc trên cơ địa người có nhiều yếu tố nguy cơ (ví dụ: sử dụng corticoid, kháng sinh dài ngày, rối loạn nội tiết, thụt rửa, suy giảm miễn dịch, vv…) thời gian điều trị 1 đợt có thể mất 1-3 tháng, vài trường hợp lên tới 6 tháng (do Candida non-albicans hoặc viêm phức tạp). Bệnh nhân hãy tư vấn cùng các bác sĩ để được tư vấn kỹ càng hơn, tránh việc tự điều trị có thể khiến bệnh trở nặng và nhiều di chứng!
  • 31.
    Page Page 31 CÓ NÊNCHO BẠN TÌNH BIẾT VỀ TÌNH TRẠNG NHIỄM NẤM CANDIDA CỦA MÌNH HAY KHÔNG?
  • 32.
    Page 32 CÓ NÊNTÂM SỰ VỚI BẠN TÌNH? ● Mặc dù không được xếp vào bệnh lây truyền qua đường tình dục (STDs), nhưng Candida hoàn toàn có khả năng lây nhiễm sau khi quan hệ tình dục hoặc tiếp xúc trực tiếp qua da, hoặc gián tiếp qua vật dụng. ● Cụ thể: có khoảng 10% bạn tình nam bị nhiễm nấm ở dương vật sau khi quan hệ tình dục với người nữ nhiễm nấm. ● Nếu chẳng may phát hiện bản thân nhiễm Candida thì hãy chia sẻ với bạn tình để điều trị kịp thời tránh những hậu quả về sau
  • 33.
    NHIỄM CANDIDA VÙNGKÍN CÓ ẢNH HƯỞNG ĐẾN VIỆC THỤ THAI KHÔNG? Page 33
  • 34.
    Page 34 CÓ ẢNHHƯỞNG ĐẾN VIỆC THỤ THAI KHÔNG? Chưa có báo cáo khoa học cụ thể nào chứng minh việc nhiễm nấm Candida có thể dẫn đến vô sinh. Tuy nhiên nó cũng sẽ ảnh hưởng ít nhiều đến việc thụ thai: Tình trạng sưng hoặc ngứa rát khi nhiễm nấm có thể gây khó chịu và dẫn đến đau khi QHTD, giảm ham muốn. Bạn cũng nên hạn chế quan hệ tình dục khi đang bị nhiễm nấm hay bất cứ loại nhiễm trùng âm đạo nào khác. Nhiễm Candida làm mất cân bằng hệ vi sinh thường trú vùng sinh dục, gây viêm và làm thay đổi pH, dịch kênh cổ tử cung,vv... do đó gây bất lợi cho quá trình thụ thai.
  • 35.
    Page 35 NGOÀI VÙNGKÍN CÓ THỂ NHIỄM CANDIDA Ở VÙNG KHÁC KHÔNG?
  • 36.
    Page 36 CANDIDA VÙNGHẦU HỌNG Cảm giác niêm mạc bị bông trắng trong miệng Mất hoặc giảm vị giác Đôi khi đau khi ăn và nuốt. Mảng trắng niêm mạc miệng do nhiễm nấm Candida Bệnh nhân mang răng giả, nấm hầu họng do Candida thường ở vòm họng
  • 37.
    Page 37 CANDIDA THỰCQUẢN Có thể có những dấu hiệu sau: - Đau khi nuốt thức ăn - Khó nuốt và cảm giác nghẹn - Đau buồn ngực - Đầy hơi và khó tiêu - Nôn và ói mửa Hình ảnh nội soi thực quản cho thấy những mảng bám màu trắng do nấm Candida
  • 38.
    Page 38 CANDIDA DƯƠNGVẬ.T - Xuất hiện mảng trắng trên dương vật - Đau, ngứa và rát vùng qu.y đầ.u: từ ít tới nhiều - Sưng đỏ, có thể đau hoặc nhạy cảm. - Nổi mẩn đỏ hoặc vẩy da - Tăng khả năng mắc các bệnh nhiễm trùng khác. - Có thể lan đến nếp gấp mông, mông và bìu.
  • 39.
    Page 39 CANDIDA VÚ Phụnữ cho con bú có núm vú bị thương có thể bị nhiễm Candida và có thể lây cho trẻ. Dấu hiệu gồm: - Ngứa và đau vùng núm vú: dấu hiệu phổ biến nhất - Đỏ và sưng vùng núm vú - Nổi mẩn và vẩy da - Đau khi cho con bú - Đau khi tiếp xúc với nước
  • 40.
    - Nấm cóthể xuất hiện ở nhiều vùng da trên cơ thể, nhưng thường bắt gặp nhất ở những vùng nếp kẽ như: nách, bẹn, kẽ tay, kẽ chân, nếp chân ngực... - Chúng phát triển mạnh ở những vùng da ấm, ẩm ướt, những vùng thường xuyên đổ mồ hôi. Page 40 NHIỄM NẤM CANDIDA NGOÀI DA
  • 41.
    Bệnh nhân điềutrị viêm nang lông kéo dài Page 41 NHIỄM NẤM CANDIDA NGOÀI DA
  • 42.
    Page 42 NẤM CANDIDANGOÀI DA Triệu chứng bao gồm: 1. Ngứa và đau: dấu hiệu phổ biến nhất 2. Da bong tróc và khô 3. Nổi mẩn đỏ 4. Sưng 5. Bong vảy và bong tróc da Bệnh được chẩn đoán dựa vào các dấu hiệu trên da, bác sĩ có thể sẽ cạo phần da, phần móng hoặc nhổ lông ở những vùng nghi nhiễm nấm để làm xét nghiệm. Khi Xuất hiện những triệu chứng kể trên hoặc nếu bạn lo lắng vì không biết liệu mình có bị nấm da hay không, hãy đến gặp các bác sĩ để được chẩn đoán và điều trị kịp thời.
  • 43.
    Mảng đỏ da,ngứa, lan rộng dần ở nếp gấp bụng và bẹn. Page 43
  • 44.
    Vài người bịthâm nách là do…trước đó bị viêm nách do nấm Candida Triệu chứng viêm nách do Candida: - Ngứa - Đỏ - Bong tróc - Và có thể có mùi hôi khó chịu - Đôi khi có thể vừa bị viêm do nấm vừa viêm do vi khuẩn (quá xui xẻo!!!) Page 44
  • 45.
    Nấm kẽ chânở người thường đi giày bít bí, ẩm ướt, hoặc sử dụng chung tất (vớ) Page 45
  • 46.
    MỤN DO VINẤM (FUNGAL ACNE) Nhiều người hỏi mụn vi nấm có phải do Candida không. Thì đây… - Mụn do vi nấm thường do nấm (đương nhiên), nhưng là Malassezia furfur hoặc Pityrosporum ovale gây ra. - Thường là mụn đỏ nhỏ li ti, NGỨA, bong tróc da (dù không xài kem thoa treatment), khô da - Bị nặng hơn khi trời nóng, ẩm, đổ mồ hôi Page 46
  • 47.
    Cũng là mụndo vi nấm (viêm nang lông do nấm) Hầu hết chúng ta đều nhầm với viêm nang lông thông thường Page 47
  • 48.
    NẤM DA ĐẦU Triệuchứng nấm da đầu: ● Da đầu bị ngứa, khô và bong tróc. ● Vùng da bị nhiễm nấm xuất hiện vảy và màu trắng hoặc đỏ. ● Rụng tóc ở vùng bị nhiễm nấm hoặc tóc trở nên yếu và dễ gãy. ● Da đầu: sưng, đỏ và nổi mụn. ● Dấu hiệu nhiễm trùng da đầu như mủ và tóc bị dính. Page 48
  • 49.
    Không phải mụnmủ nào cũng là mụn trứng cá và viêm nang lông nào cũng do vi khuẩn. Đây là một trường hợp viêm do nấm Candida gây ra ở vùng râu nam giới (tinea barbae): - Thường do tiếp xúc trực tiếp với người bị nấm - Cũng có thể từ động vật nuôi trong nhà (chó mèo) Page 49
  • 50.
    NẤM MÓNG - Triệuchứng của nấm móng bao gồm: 1. Móng đổi màu 2. Dày móng, đau sưng đỏ vùng da quanh móng 3. Móng mủn, mất móng, và dễ bong 4. Mùi hôi và ngứa - Để điều trị nấm móng: kết hợp thuốc (uống, thoa, rửa ngâm) kháng nấm trong thời gian dài 6-9 tháng (thậm chí lâu hơn) - Nếu tình trạng nấm móng nghiêm trọng, có thể cần phẫu thuật để loại bỏ phần bị nhiễm bệnh. - Ngoài ra: giữ cho móng tay và móng chân khô ráo, không để ẩm ướt, tránh đi giày bí, tránh sử dụng đồ dùng chung, hạn chế sử dụng móng giả hoặc sơn móng. Page 50
  • 51.
    Page 51 NẤM DAỞ TRẺ EM
  • 52.
    Page 52 BỆNH NẤMDA Ở TRẺ EM Đỏ da kèm mủ và bong tróc chảy nước ở trẻ sơ sinh bị nấm candida tại nếp cổ
  • 53.
    Page 53 BỆNH NẤMDA Ở TRẺ EM Trẻ em có nguy cơ nhiễm Candida cao hơn so với người lớn vì hệ miễn dịch phát triển chưa hoàn thiện. Việc nhiễm nấm quá mức có thể khiến trẻ mắc các bệnh như viêm xoang, nấm trên da, hăm tã, tưa miệng… Một số biểu hiện ở trẻ bị nhiễm nấm là: Hăm tã kéo dài và thường xuyên tái phát Da khô, ngứa, đỏ và đôi khi bị nhầm với viêm da cơ địa Có những mảng trắng hoặc vàng ở lưỡi, phía trong miệng hoặc má Da đầu viêm, đỏ, ngứa, bong vảy, đôi khi chảy dịch Xuất hiện các vấn đề ở tai: viêm tai, đau tai... kéo dài và thường tái phát Việc điều trị phụ thuộc vào loại nấm mà trẻ mắc phải, thời gian cho một liệu trình kéo dài khoảng hai tuần trở lên và bệnh thường hay tái phát.
  • 54.
    Page 54 Nhiễm nấmCandida miệng nghiêm trọng ở trẻ nhỏ có hệ miễn dịch kém
  • 55.
    Page 55 Tình trạngnấm miệng này có thể xảy ra trong quá trình bé sử dụng kháng sinh để trị bệnh và thậm chí có thể lây qua da mẹ nếu trẻ vẫn còn bú sữa mẹ. Các mảng trắng trên môi và lưỡi (A) và trên niêm mạc hai bên (B và C) biểu hiện của bệnh tưa miệng ở trẻ
  • 56.
    Page 56 NẤM CANDIDADA ĐẦU Nấm da đầu của một bệnh nhi 12 tuổi. Bệnh nhi này cũng bị nấm ở mũi và mí mắt.
  • 57.
    Page 57 Hăm tãdo nấm candida thường gặp ở 50% trẻ từ 4-15 tháng tuổi, biểu hiện: ● Da đỏ xung quanh vùng bé mặc bỉm tã của bé ● Tổn thương vệ tinh: chấm đỏ li ti bên ngoài vùng đỏ da ● Mảng trắng, vàng, ngứa ● Bong tróc, và sưng
  • 58.
    Page 58 CANDIDA VÀHĂM TÃ Ở TRẺ Hăm tã do nhiễm nấm Candida bội nhiễm
  • 59.
    NÊN ĐI KHÁMBỆNH DO NẤM CANDIDA Ở ĐÂU? Page Page 59
  • 60.
    Page Page 60 NÊN KHÁMBỆNH Ở ĐÂU? Khi có bất kỳ dấu hiệu bất thường nào, bạn nên đến một trong các địa điểm sau để bác sĩ được thăm khám và điều trị kịp thời: Các bệnh viện. Các phòng khám đa khoa uy tín.
  • 61.
    CHI PHÍ KHÁMVÀ CHỮA TRỊ BỆNH NẤM CANDIDA NHƯ THẾ NÀO? Page Page 61
  • 62.
    Chi phí chữanấm Candida (nấm sinh dục, nấm da đầu, nấm kẽ, nấm móng, nấm nội tạng, vv…) sẽ dao động từ vài trăm ngàn đến 5-6 triệu đồng tùy thuộc vào nhiều yếu tố như: đội ngũ bác sĩ chuyên môn, cơ sở vật chất, thành phố nay nông thôn, số lượng xét nghiệm, độ nặng của bệnh…. 62 CHI PHÁM KHÁM VÀ CHỮA TRỊ
  • 63.
    63 CHI PHÁM KHÁMVÀ CHỮA TRỊ Trong đó, sẽ bao gồm các khoản phí sau: Chi phí thăm khám: Trước khi thăm khám chuyên sâu, người bệnh sẽ phải kiểm tra sức khỏe tổng quát như chỉ số như nhịp tim, huyết áp, chiều cao cân nặng…. Chi phí thăm khám bộ phận bị bệnh: Bác sĩ sẽ trực tiếp kiểm tra cơ quan bị bệnh (ví dụ: cổ, nách, da đầu, bộ phận sinh dục), rồi sau đó lấy mẫu bệnh phẩm bao gồm: cạo da, hoặc lấy khí hư, hoặc phết dịch mủ máu ở vị trí nghi ngờ để xét nghiệm. Chi phí xét nghiệm: Bác sĩ sẽ đưa các mẫu bệnh phẩm đi xét nghiệm bằng các thiết bị máy móc hiện đại. Từ đó lấy cơ sở chẩn đoán nguyên nhân gây bệnh. Chi phí điều trị: Sau khi có kết quả xét nghiệm, bác sĩ sẽ kết hợp với triệu chứng lâm sàng để xác định bệnh. Cuối cùng là kê đơn và đưa ra phác đồ điều trị phù hợp với từng thể trạng bệnh của mỗi người.
  • 64.
    64 TRỊ KHỎI NẤMCANDIDA MẤT BAO LÂU? Tuỳ thuộc vào tình trạng bệnh của mỗi người mà bác sĩ của bạn sẽ đưa ra những phác đồ khác nhau, và vì vậy thời gian điều trị khỏi bệnh hoàn toàn có thể kéo dài từ ít nhất 7-14 ngày (trường hợp bị lần đầu, đáp ứng thuốc tốt) hoặc đôi khi lên đến 6-9 tháng.
  • 65.
  • 66.
    66 CANDIDA CÓ TÁIPHÁT? - Mặc dù điều trị nhiễm Candida với thuốc kháng nấm cho tỷ lệ khỏi cao, nhưng khoảng 30-60% bệnh nhân sẽ bị tái phát sau 1-2 tháng điều trị. - Tình trạng nhiễm nấm có thể tái đi tái lại >= 4 lần/1 năm (chiếm khoảng 5% bệnh nhân nhiễm Candida) - Thậm chí có những trường hợp bị quanh năm và tái lại hàng tháng do đặc thù nghề nghiệp (ví dụ tiếp xúc với nước nhiều, môi trường sống ẩm thấp vệ sinh kém, sống trong gia đình đông người và lây nhiễm chéo, vv…)
  • 67.
    67 CÁC YẾU TỐNGUY CƠ NÀO KHIẾN NẤM CANDIDA DỄ TÁI PHÁT?
  • 68.
    68 NGUY CƠ KHIẾNNẤM CANDIDA DỄ TÁI PHÁT Một số yếu tố có thể khiến nấm Candida dễ tái phát có thể kể đến như: Tự ý điều trị và điều trị sai cách Chưa điều trị dứt điểm ở lần nhiễm nấm trước Thói quen sinh hoạt hàng ngày: thường xuyên mặc quần áo ẩm ướt, bó sát hoặc kém thoáng khí, tình trạng căng thẳng kéo dài, sử dụng chung đồ Thói quen quan hệ tình dục: không sử dụng biện pháp an toàn, có nhiều bạn tình hoặc bạn tình có nhiều bạn tình, quan hệ tình dục lại quá sớm trước khi đợt bệnh cũ dứt điểm
  • 69.
    ● Thường xuyênsử dụng kháng sinh phổ rộng, hoặc corticoid, hoặc các thuốc gây suy giảm miễn dịch: gây mất cân bằng hệ vi sinh vật thường trú Nồng độ nội tiết không ổn định: đặc biệt là trong quá trình mang thai, tiền mãn kinh, sử dụng ngừa thai nội tiết, vv… ● Vi nấm đã kháng với thuốc điều trị, hoặc Candida chủng non-albican ● Ngoài ra Candida còn dễ tái phát ở những người có bệnh lý mãn tính như tiểu đường, hoặc ở người mắc các bệnh về miễn dịch, xạ trị, ung thư, vv…. 69 NGUY CƠ KHIẾN NẤM CANDIDA DỄ TÁI PHÁT
  • 70.
    70 CÓ THỂ LÀMGÌ TẠI NHÀ ĐỂ HẠN CHẾ TÁI NHIỄM CANDIDA?
  • 71.
    71 CÓ THỂ LÀM GÌTẠI NHÀ ĐỂ HẠN CHẾ TÁI NHIỄM CANDIDA? ● Hạn chế thức ăn ngọt và béo ● Vệ sinh răng miệng đúng cách, thường xuyên thay bàn chải đánh răng, súc họng kháng khuẩn nếu niềng răng - răng giả, vv…. ● Mặc quần áo khô ráo, thoáng mát, thông khí tốt. ● Thường xuyên thay tất, đồ lót. ● Hạn chế sử dụng các sản phẩm có hương liệu hoặc chất tẩy rửa mạnh để vệ sinh vùng kín. ● Sử dụng các biện pháp an toàn khi quan hệ tình ● dục. Tránh quan hệ tình dục trong thời gian nhiễm bệnh cho tới khi khỏi hẳn. ● Bổ sung probiotics, prebiotics
  • 72.
    72 CÓ CẦN TÁIKHÁM ĐỂ KIỂM TRA TÌNH TRẠNG NẤM CANDIDA HAY KHÔNG?
  • 73.
    73 CÓ CẦN TÁI KHÁMĐỂ KIỂM TRA TÌNH TRẠNG NẤM CANDIDA HAY KHÔNG? Sau khi điều trị nấm Candida thì bạn nên đi tái khám để đảm bảo rằng bệnh đã được điều trị khỏi. Đặc biệt đối với những trường hợp sau: - Các đợt bệnh trước đó tái phát trong vòng 2 tháng. - Tái nhiễm và điều trị bằng các biện pháp cũ mà không có hiệu quả. - Có bệnh nền (dư cân, béo phì, tiểu đường, suy giảm miễn dịch, dùng Corticoid kéo dài, vv…)
  • 74.
    74 HẬU QUẢ NẾUKHÔNG ĐIỀU TRỊ NẤM CANDIDA
  • 75.
    75 HẬU QUẢ NẾUKHÔNG ĐIỀU TRỊ NẤM CANDIDA Nhiễm nấm Candida có xu hướng gây khó chịu vì ngứa dữ dội, ảnh hưởng đến chất lượng cuộc sống và tâm lý bệnh nhân, nhưng ít (ít chứ không phải là KHÔNG) gây ra các tổn thương vĩnh viễn. Nếu không được điều trị thích hợp, thì tình trạng bệnh sẽ trở nên tệ hơn tuỳ thuộc vào vị trí nhiễm Candia
  • 76.
    76 HẬU QUẢ NẾUKHÔNG ĐIỀU TRỊ NẤM CANDIDA Nhiễm Candida âm đạo: Ngoài gây ngứa ngáy, khó chịu cho người bệnh, nó có thể làm giảm ham muốn quan hệ tình dục hoặc gây thay đổi pH, độ dày niêm mạc tử cung gây khó thụ thai hơn. Nhiễm Candida trên da: Với tình trạng ngứa lâu ngày nếu không điều trị, làn da của bạn sẽ dễ bị kích ứng dẫn đến các bệnh nhiễm trùng da khác.
  • 77.
    77 HẬU QUẢ NẾUKHÔNG ĐIỀU TRỊ NẤM CANDIDA Nhiễm Candida ở miệng (tưa miệng) Tạo ra những vết loét ở má, môi, lưỡi... Những vết loét này có thể ngày càng lớn và gây khó khăn cho việc ăn uống hoặc nói chuyện, gây mùi hôi hơi thở. Bệnh nhân nhiễm nấm Candida niêm mạc
  • 78.
    78 HẬU QUẢ NẾUKHÔNG ĐIỀU TRỊ NẤM CANDIDA Nhiễm nấm Candida toàn thân có thể gây nên nhiều hệ quả nghiêm trọng: Gây cảm giác mệt mỏi và khó chịu vì hệ miễn dịch suy giảm. Gây nhiễm trùng đường tiểu, đường sinh dục tái phát. Gây các vấn đề đường tiêu hoá: táo bón, tiêu chảy, buồn nôn, chướng bụng, đầy hơi… Viêm xoang do nấm. Nấm da và móng. Nấm thâm nhập vào máu có thể di chuyển đến và làm tổn thương khớp. Thường gặp nhất là ở khớp háng và đầu gối
  • 79.
    HIỆN TƯỢNG NẤM CANDIDACHẾT ĐI (CANDIDA DIE-OFF) PHẢN ỨNG KHÔNG MONG MUỐN MÀ TÔI CÓ THỂ GẶP KHI ĐIỀU TRỊ CANDIDA LÀ GÌ? 79
  • 80.
    80 PHẢN ỨNG KHÔNGMONG MUỐN CÓ THỂ GẶP KHI ĐIỀU TRỊ Việc sử dụng thuốc kháng nấm sẽ dẫn đến sự chết đi hàng loạt của nấm Candida trong cơ thể. Khi vi nấm chết đi chúng sẽ tiết ra các chất độc (khoảng 79 chất) làm cho hệ miễn dịch của chúng ta phải tăng cường hoạt động để chống lại. Điều này có thể dẫn đến các triệu chứng như: Sốt. Ớn lạnh. Phát ban. Nổi mề đay. Đau cơ. Cảm thấy ngứa, rát, hoặc sưng đỏ tại vùng da bôi thuốc Đau đầu, mệt mỏi Ăn không ngon, đau bụng, tiêu chảy hoặc khó tiêu
  • 81.
    81 PHẢN ỨNG KHÔNGMONG MUỐN CÓ THỂ GẶP KHI ĐIỀU TRỊ Bạn có thể thực hiện một vài biện pháp tại nhà để giảm bớt các triệu chứng trên: Uống thuốc hỗ trợ giảm triệu chứng khó chịu Tăng cường nghỉ ngơi. Uống nhiều nước Chườm lạnh và làm mát cơ thể để hạ sốt (nếu có) và giảm đau nhức cơ. Nếu triệu chứng trầm trọng hơn và không có dấu hiệu giảm bớt, đừng vội hoảng loạn mà từ bỏ điều trị mà hãy liên hệ với bác sĩ của bạn để được tư vấn điều chỉnh liều lượng thuốc phù hợp
  • 82.
    82 PHẢN ỨNG KHÔNGMONG MUỐN CÓ THỂ GẶP KHI ĐIỀU TRỊ Lưu ý - Cần phân biệt phản ứng dị ứng thuốc với phản ứng cơ thể khi candida die-off. Hãy liên hệ trung tâm y tế gần nhất nếu bạn gặp các phản ứng sau: ● Sưng mặt, cổ họng, lưỡi. ● Khó thở, thở khò khè. ● Phát ban nặng, nổi mụn nước hoặc bong tróc. ● Nôn ói. ● Mạch yếu. ● Choáng. ● Mất ý thức.
  • 83.
    Cảm ơn bạnvì đã đọc hết cẩm nang này Còn câu hỏi, có góp ý? Nhắn Chubby tại fb.com/drchubbyderma (trả lời nhanh) Hoặc email: drchubbyderma@gmail.com (check hàng tuần)