Resuscitation:
Update
Peter Morley
Director of Medical Governance, RMH
Director Medical Education, RMH Clinical School,
University of Melbourne
27 May 2018
2
Disclosures
• Chair, Australian Resuscitation Council
• ILCOR delegate (ANZCOR)
• Member ILCOR ALS taskforce
• Member ILCOR CEE working group
5
6
7
Summary
• 2015/2016
• “Continuous” evidence evaluation
• New since the guidelines
• What’s in the pipeline?
• Some guestimates
8
Summary
• 2015/2016
• “Continuous” evidence evaluation
• New since the guidelines
• What’s in the pipeline?
• Some guestimates
9
ILCOR Process
• world's resuscitation experts
• 250 doctors, nurses, public health professionals, scientists and
researchers
• representing 39 countries
• thousands of hours
• to answer 169 PICO (population-intervention-comparator-outcomes)-
structured clinical and education questions.
• evaluating about 150,000 medical and scientific articles
150,000 articles!
15
16
Many questions were not
asked!
17
18
Summary
• 2015/2016
• “Continuous” evidence evaluation
• New since the guidelines
• What’s in the pipeline?
• Some guestimates
19
20
21
22
23
https://twitter.com/Ilcor_org
https://www.facebook.com/ILCOResus/
Twitter Handle: ilcor.org
Published Systematic Review
for each topic
25
26
Yearly summary of CoSTRs
27
28
Treatment Recommendations
• We recommend that dispatchers provide chest compression–only
CPR instructions to callers for adults with suspected out-of-hospital
cardiac arrest (OHCA) (strong recommendation, low-quality
evidence).
• We continue to recommend that bystanders perform chest
compressions for all patients in cardiac arrest (good practice
statement).
• We suggest a CV ratio of 30:2 compared with any other CV ratio in
patients with cardiac arrest (weak recommendation, very-low-quality
evidence).
29
19.09.2018 30
Nearly 2 years from the time
we asked the question!!!
31
ILCOR topics currently being reviewed
• Initial % oxygen: Pre-term neonates (Neo)
• Initial % oxygen: Term neonates (Neo)
• Dispatcher CPR (BLS)
• Cardiac Arrest Centers (EIT)
• Hypoglycemia treatment (FA)
• BVM vs supra-glottic device (Paed)
• eCPR vs Manual CPR (ALS)
• Pre-syncope (FA)
• Control of bleeding (FA)
• Anti-arrhythmics (ALS)
32
Summary
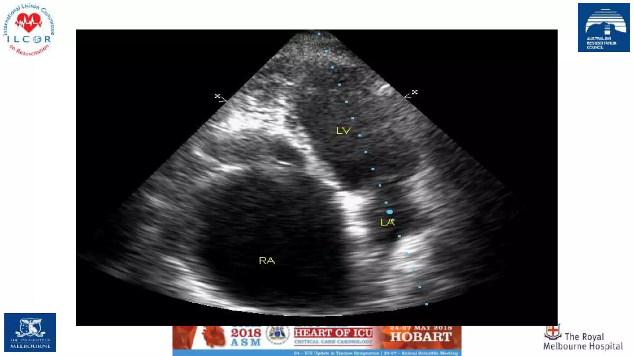
• 2015/2016
• “Continuous” evidence evaluation
• New since the guidelines
• What’s in the pipeline?
• Some guestimates
33
34
35
Good CPR
•Airway
•Breathing
•Circulation
36
Good CPR
•Airway
•Breathing
•Circulation
37
38
JAMA. 2018;319(8):779-787
On arrival of the medical team at the scene, and after verification of participants’ eligibility,
patients were enrolled in the study and randomly assigned to either initial BMV or ETI.
Patients assigned to the intervention group were to receive BMV as advanced airway
management by the medical team during CPR (ACLS). Emergency physicians supervise
airway management; they perform ETI and can intervene at any time during the airway
procedure.
In case of return of spontaneous circulation, the patient was intubated in the out-of-hospital setting.
39
JAMA. 2018;319(8):779-787
40
Hemodynamic resuscitation, optimized staffing strategies, and possible avoidance of succinylcholine
were associated with decreased risk of PICA
Good CPR
•Airway
•Breathing
•Circulation
41
42
43
44
CO-CPR vs. CPR 30:2 (adults)
For bystanders plus dispatcher-instructed CPR, one cohort study[2] of 350,439 mostly adult patients
found that significantly lesspatients receiving CO-CPR experienced favourable neurological outcomes
(RD −0.74, 95% CI: −0.85, −0.63), survived (RD −1.42,95% CI: −1.58, −1.25), and experienced ROSC
(RD −1.62, 95% CI:−1.81, −1.42) compared to CPR 30:2.
45
46
Any attempt at resuscitation
is better than no attempt
But ventilation with compressions is even better!
47
48
Patients assigned (cluster randomised) to the group that received continuous chest compressions (intervention group)
were to receive continuous chest compressions at a rate of 100 compressions per minute, with asynchronous
positive-pressure ventilations delivered at a rate of 10 ventilations per minute.
Patients assigned to the group that received interrupted chest compressions (control group) were to receive
compressions that were interrupted for ventilations at a ratio of 30 compressions to two ventilations; ventilations
were to be given with positive pressure during a pause in compressions of less than 5 seconds in duration.
49
A total of 1129 of 12,613 patients with available data (9.0%) in the intervention group and 1072 of 11,035 with
available data (9.7%) in the control group survived until discharge (difference, −0.7 percentage points; 95%
confidence interval [CI], −1.5 to 0.1; P = 0.07);
7.0% of the patients in the intervention group and 7.7% of those in the control group survived with favorable
neurologic function at discharge (difference, −0.6 percentage points; 95% CI, −1.4 to 0.1, P = 0.09).
50
51
CPR practice from December 2013 to March 2014; 548 completed surveys
- 28% declared always or frequently adopting only continuous chest compressions without additional ventilation
- During bag-mask ventilation in intubated patients, 18% declared stopping chest compression during insufflation, and
39% applied > 10 breaths/min, which conflicts with international CPR guidelines
52
We identified one human observational study with 67 patients and ten animal studies (234 pigs and 30 dogs).
All studies carried a high risk of bias.
All studies evaluated for return of spontaneous circulation (ROSC).
Studies showed no improvement in ROSC with a ventilation rate of 10 min-1 compared to any other rate.
Good CPR
•Airway
•Breathing
•Circulation
53
54
55
56
From the multivariable logistic regression analysis of the outcomes, by comparing the TR group with the LP group,
- the AOR (95% CIs) was 1.49 (1.04–2.15) for a good CPC,
- 1.59 (1.20–2.11) for survival to discharge, and
- 10.02 (7.04–14.26) for bystander defibrillation.
57
Prospective randomised controlled crossover study,
assessing the adequacy of thoracic compressions on a
manikin modified to emulate a morbidly obese patient.
Participants recruited from critical care departments were
randomised to perform continuous compressions for
two minutes on each manikin.
Accelerometers were used to measure thoracic wall
movement.
58
59
In comparison with no intervention, neither real-time audiovisual feedback (adjusted odds ratio, 0.62; 95% CI, 0.31–
1.22; p = 0.17) nor real-time audiovisual feedback supplemented by postevent debriefing (adjusted odds ratio,
0.65; 95% CI, 0.35–1.21; p = 0.17) was associated with a statistically significant improvement in return of
spontaneous circulation or any process-focused outcome. Despite this, there was evidence of a system-wide
improvement in phase 2, leading to improvements in return of spontaneous circulation (adjusted odds ratio, 1.87; 95%
CI, 1.06–3.30; p = 0.03) and process-focused outcomes.
60
61
62
How to defibrillate?
63
64
Meta-analysis of 6 observational studies without critical risk of bias showed that bystander AED use was
associated with survival to hospital discharge (all rhythms OR: 1.73 [95%CI: 1.36, 2.18], shockable
rhythms OR: 1.66 [95%CI: 1.54, 1.79]) and favorable neurological outcome (all rhythms OR: 2.12
[95%CI: 1.36, 3.29], shockable rhythms OR: 2.37 [95%CI: 1.58, 3.57]).
However, the overall quality of evidence was low to very low.
65
66
67
During the 18-month study period, 45 patients were treated with DSD (after 6
single shocks)
Our observational study did not find any clear benefit of DSD use by EMS in the
treatment of RVF.
3 patients, who were treated with DSD following unsuccessful single shocks,
had their VF terminated.
68
Retrospective cohort analysis on the prehospital use of DD in OHCA
50 were treated with DD and 229 received standard single shock 200J defibrillations.
There was no statistically significant difference in the primary outcome of neurologically intact
survival between the DD group (6%) and the standard defibrillation group (11.4%) (p = 0.317)
(OR 0.50, 95% CI 0.15–1.72).
69
Timing of defibrillation?
70
71
72
A total amount of 207 shocks were delivered for 62 patients. When
considering the three tertiles of METCO2 (prev 60 secs) (T1:METCO2 ≤
20 mmHg; T2: 20 mmHg < METCO2 ≤ 31 mmHg and T3: METCO2 > 31
mmHg) a statistically significant difference between the % of shock success
was found (T1: 50%; T2: 63%; T3: 78%; Chi square p = 0.003; p for trend
<0.001). When the METCO2 was lower than 7 mmHg no shock was
effective and when the METCO2 was higher than 45 mmHg no shock was
ineffective. Shocks followed by ROSC were preceded by higher values
of METCO2 as compared either to ineffective shocks or effective ones
without ROSC.
73
Intra-osseous??
74
75
In an unadjusted analysis, patients in the IO group compared to IV group were less likely to survive to hospital discharge (14.9% vs22.8%, respectively, p =
0.003), or achieve sustained ROSC (43.6% vs55.5%, p < 0.001) and survive to hospital admission (38.5% vs 50.0%,p < 0.001) (Table 2). In multivariable adjusted
analyses, treatment via IO was not associated with survival to discharge (odds ratio(95% confidence interval) OR = 0.81 (0.55, 1.21), p = 0.31), but was
associated with a lower likelihood of ROSC (OR = 0.67 (0.50, 0.88),p = 0.004) and survival to hospital admission (OR = 0.68 (0.51, 0.91),p = 0.009).
76
Epinephrine?
77
78
Hospitals with high rates of delayed epinephrine administration had lower rates of overall
survival for in-hospital cardiac arrest attributable to non-shockable rhythm.
79
Use of epinephrine before arrival to the hospital for OHCA does not increase survival to discharge but does
make it more likely for those who are discharged to have poor neurologic outcome. There is a need for
additional randomized controlled trials.
80
Anti-arrhythmics during
arrest?
81
82
Overall, neither amiodarone nor lidocaine resulted in a significantly higher rate of survival or
favorable neurologic outcome than the rate with placebo among patients with out-of hospital cardiac arrest
due to initial shock-refractory ventricular fibrillation or pulseless ventricular tachycardia.
83
84
Adjusted absolute differences (95% confidence interval) in survival from nonshockable-turned-shockable
arrhythmias with amiodarone versus placebo were 2.3% (‒0.3, 4.8), P=0.08, and for lidocaine versus placebo
1.2% (‒1.1, 3.6), P=0.30. More than 50% of these survivors were functionally independent or required minimal
assistance.
Not powered to show benefits.
Circulation. 2017;136:2119–2131
85
Amiodarone and lidocaine were the only agents associated with improved survival to hospital admission in the NMA. For the
outcomes most important to patients, survival to hospital discharge and neurologically intact survival, no antiarrhythmic
was convincingly superior to any other or to placebo.
86
ILCOR website: http://www.ilcor.org/home/
87
Consensus on Science and Treatment
Recommendations page: https://costr.ilcor.org
88
89
Treatment Recommendation
https://costr.ilcor.org/document/antiarrhythmic-drugs-for-cardiac-arrest-adults
• We suggest the use of amiodarone or lidocaine in adults with shock
refractory ventricular fibrillation/pulseless ventricular tachycardia (VF/pVT)
(weak recommendation, low quality evidence).
• We suggest against the routine use of magnesium in adults with shock
refractory VF/pVT (weak recommendation, very low-quality evidence).
• For the use of bretylium, nifekalant or sotalol in adults with shock refractory
VF/pVT the confidence in effect estimates is currently too low to support an
ALS Task Force recommendation.
• For the use of prophylactic antiarrhythmic drugs immediately after ROSC in
adults with VF/pVT cardiac arrest the confidence in effect estimates is
currently too low to support an ALS Task Force recommendation.
90
92
94
96
Main utility of POCUS in CA is suggested in non-shockable rhythms (i.e., pulseless electrical activity and
asystolia), aiming at identifying reversible causes of CA, such as tamponade, pulmonary embolism,
hypovolemia and tension pneumothorax
Specific conditions that can be diagnosed/excluded
by echo
• regional or global wall motion abnormalities
• pulmonary thromboembolism
• pericardial tamponade
• pacemaker capture,
• unexpected VF
• acute valvular insufficiency (eg. papillary muscle),
• ventricular rupture,
• aortic dissection
• hypovolemia and
• tension pneumothorax.
98
Cardiac activity on initial ultrasound was associated with higher ROSC and survival to hospital admission
Some patients moved from no activity to positive activity (11.1%) and others moved from positive activity to
no activity (11.7%).
530 patients without cardiac activity, with 76 (14.3%), 38 (7.2%), 3 patients (0.6%) surviving to ROSC,
hospital admission and hospital discharge, respectively
Pericardial effusion was identified in 34 patients, with attempted pericardiocentesis in 13 patients. In
Additional patients with suspected pulmonary embolism received thrombolytics during the resuscitation,
some with documented right-sided heart strain and others with visible clots in the ventricle. Two of the 15
patients receiving thrombolytics (13.3%) survived to hospital admission, and one (6.7%) survived to hospital
discharge.
Cardiac activity on ultrasound in asystolic patients (38 of 379, 10%)
99
100
Twenty-three patients were enrolled in our study. The mean duration of pulse checks with Point-Of-Care
Ultra-Sound (POCUS) was 21.0 s (95% CI, 18–24) compared with 13.0 s (95% CI, 12–15) for those without
POCUS.
POCUS increased the duration of pulse checks and CPR interruption by 8.4 s (95% CI, 6.7–10.0 [p <
0.0001]).
102
Prognostication during
arrest?
103
104
105
Persistently low levels of regional oximetry (rSO2) during CPR likely portend poor
neurologic outcomes
106
Lazarus phenomenon occurred five times, with an incidence of 5.95/1000 (95% CI 2.10–14.30)
in field-terminated CPR attempts.
Time to delayed ROSC from the cessation of CPR varied from 3 to 8 min.
Three of the five patients with delayed ROSC died at the scene within 2–15 min while two died
later in hospital
When to stop in in-hospital
arrests?
107
We have learnt not to stop too soon
108
We have learnt not to stop too soon
109
Compared with patients at hospitals in the quartile with
the shortest median resuscitation attempts in non-survivors
(16 min [IQR 15–17]), those at hospitals in the quartile
with the longest attempts (25 min [25–28]) had a higher
likelihood of return of spontaneous circulation (adjusted
risk ratio 1.12, 95% CI 1.06–1.18; p<0.0001) and survival to
discharge (1.12, 1.02–1.23; 0.021).
When to stop in-hospital?
• After 20-30 minutes, and reversible causes excluded
• Unless
• Refractory VF
• given thrombolytics for suspected pulmonary embolus
• Bridge to invasive support (eg. eCPR)
110
Transport to Cardiac Arrest
centres??
Post-resuscitation care bundle?
112
113
Composite performance score based on evidence-based guidelines
Adjusted survival to discharge increased with each quartile of performance score (from lowest to
highest: 16.2%, 20.8%, 28.5%, 34.8%, P < 0.01), with similar findings for adjusted rates of good
neurologic status.
114
Incident debriefing?
115
116
In comparison with no intervention, neither real-time audiovisual feedback (adjusted odds ratio, 0.62; 95% CI, 0.31–
1.22; p = 0.17) nor real-time audiovisual feedback supplemented by postevent debriefing (adjusted odds ratio,
0.65; 95% CI, 0.35–1.21; p = 0.17) was associated with a statistically significant improvement in return of
spontaneous circulation or any process-focused outcome. Despite this, there was evidence of a system-wide
improvement in phase 2, leading to improvements in return of spontaneous circulation (adjusted odds ratio, 1.87; 95%
CI, 1.06–3.30; p = 0.03) and process-focused outcomes.
117
In initially comatose cardiac arrest survivors, improvements in functional status
occur over the first 6 months after the event.
Improving the system?
118
119
120
BMJ Open 2017;7:e016925
121
Summary
• 2015/2016
• “Continuous” evidence evaluation
• New since the guidelines
• What’s in the pipeline?
• Some guestimates
122
123
124
125
126
127
128
Randomized Controlled Trial of
Cystocele Plication Risks ("CPR
Trial"): A Pilot Study
129
130
Airway management
• Laryngeal Tube vs Laryngeal Mask Airway. Singapore
• A RCT on Supraglottic Airway Versus Endotracheal Intubation in
OHCA
• Tracheal intubation versus laryngeal tube as initial advanced airway
in OHCA (PART trial)
• Tracheal intubation versus i-gel as initial advanced airway in OHCA
(AIRWAYS-2 study)
131
132
133
134
Drugs
• Intraosseous vs Intravenous Access for Cardiac Arrest Treatment.
Singapore
• Effect of Vasopressin, Steroid, and Epinephrine Treatment in Patients
With Out-of-hospital Cardiac Arrest (Korea)
135
136
137
138
And what is our threshold to
change?
139
140
The minimum clinically important difference (MCID) is
the threshold value in outcomes observed in a trial at
which providers should choose to adopt a treatment.
141
142
Absolute: 2-4% more survival to discharge
Summary
• 2015/2016
• “Continuous” evidence evaluation
• New since the guidelines
• What’s in the pipeline?
• Some guestimates
143
144
145
146
147
148
149
150
Guestimates
During
• Feedback during CPR: improve quality of CPR
• ETCO2 during CPR: help improve CPR and timing defibrillation
• Ultrasound during CPR: help exclude reversibles
• Airways during CPR: only if expert
• Antiarrhythmics: still use, but never shown to increase long term survival
• Other drugs during CPR: adrenailine, but not increase long term survival
• Mechanical CPR: not routine, but help if staff/logistics/transport
151
152
Summary
• 2015/2016
• “Continuous” evidence evaluation
• New since the guidelines
• What’s in the pipeline?
• Some guestimates
153
154
155
156
157
Incorporating almonds, dark chocolate, and cocoa into a typical American diet without
exceeding energy needs may reduce the risk of coronary heart disease
158
peter.morley@mh.org.au
159

Resuscitation update by Professor Peter Morley

  • 1.
    Resuscitation: Update Peter Morley Director ofMedical Governance, RMH Director Medical Education, RMH Clinical School, University of Melbourne 27 May 2018
  • 2.
  • 3.
    Disclosures • Chair, AustralianResuscitation Council • ILCOR delegate (ANZCOR) • Member ILCOR ALS taskforce • Member ILCOR CEE working group
  • 5.
  • 6.
  • 7.
  • 8.
    Summary • 2015/2016 • “Continuous”evidence evaluation • New since the guidelines • What’s in the pipeline? • Some guestimates 8
  • 9.
    Summary • 2015/2016 • “Continuous”evidence evaluation • New since the guidelines • What’s in the pipeline? • Some guestimates 9
  • 11.
    ILCOR Process • world'sresuscitation experts • 250 doctors, nurses, public health professionals, scientists and researchers • representing 39 countries • thousands of hours • to answer 169 PICO (population-intervention-comparator-outcomes)- structured clinical and education questions. • evaluating about 150,000 medical and scientific articles
  • 12.
  • 15.
  • 16.
  • 17.
    Many questions werenot asked! 17
  • 18.
  • 19.
    Summary • 2015/2016 • “Continuous”evidence evaluation • New since the guidelines • What’s in the pipeline? • Some guestimates 19
  • 20.
  • 21.
  • 22.
  • 23.
  • 24.
  • 25.
  • 26.
  • 27.
  • 28.
  • 29.
    Treatment Recommendations • Werecommend that dispatchers provide chest compression–only CPR instructions to callers for adults with suspected out-of-hospital cardiac arrest (OHCA) (strong recommendation, low-quality evidence). • We continue to recommend that bystanders perform chest compressions for all patients in cardiac arrest (good practice statement). • We suggest a CV ratio of 30:2 compared with any other CV ratio in patients with cardiac arrest (weak recommendation, very-low-quality evidence). 29
  • 30.
  • 31.
    Nearly 2 yearsfrom the time we asked the question!!! 31
  • 32.
    ILCOR topics currentlybeing reviewed • Initial % oxygen: Pre-term neonates (Neo) • Initial % oxygen: Term neonates (Neo) • Dispatcher CPR (BLS) • Cardiac Arrest Centers (EIT) • Hypoglycemia treatment (FA) • BVM vs supra-glottic device (Paed) • eCPR vs Manual CPR (ALS) • Pre-syncope (FA) • Control of bleeding (FA) • Anti-arrhythmics (ALS) 32
  • 33.
    Summary • 2015/2016 • “Continuous”evidence evaluation • New since the guidelines • What’s in the pipeline? • Some guestimates 33
  • 34.
  • 35.
  • 36.
  • 37.
  • 38.
    38 JAMA. 2018;319(8):779-787 On arrivalof the medical team at the scene, and after verification of participants’ eligibility, patients were enrolled in the study and randomly assigned to either initial BMV or ETI. Patients assigned to the intervention group were to receive BMV as advanced airway management by the medical team during CPR (ACLS). Emergency physicians supervise airway management; they perform ETI and can intervene at any time during the airway procedure. In case of return of spontaneous circulation, the patient was intubated in the out-of-hospital setting.
  • 39.
  • 40.
    40 Hemodynamic resuscitation, optimizedstaffing strategies, and possible avoidance of succinylcholine were associated with decreased risk of PICA
  • 41.
  • 42.
  • 43.
  • 44.
    44 CO-CPR vs. CPR30:2 (adults) For bystanders plus dispatcher-instructed CPR, one cohort study[2] of 350,439 mostly adult patients found that significantly lesspatients receiving CO-CPR experienced favourable neurological outcomes (RD −0.74, 95% CI: −0.85, −0.63), survived (RD −1.42,95% CI: −1.58, −1.25), and experienced ROSC (RD −1.62, 95% CI:−1.81, −1.42) compared to CPR 30:2.
  • 45.
  • 46.
  • 47.
    Any attempt atresuscitation is better than no attempt But ventilation with compressions is even better! 47
  • 48.
    48 Patients assigned (clusterrandomised) to the group that received continuous chest compressions (intervention group) were to receive continuous chest compressions at a rate of 100 compressions per minute, with asynchronous positive-pressure ventilations delivered at a rate of 10 ventilations per minute. Patients assigned to the group that received interrupted chest compressions (control group) were to receive compressions that were interrupted for ventilations at a ratio of 30 compressions to two ventilations; ventilations were to be given with positive pressure during a pause in compressions of less than 5 seconds in duration.
  • 49.
    49 A total of1129 of 12,613 patients with available data (9.0%) in the intervention group and 1072 of 11,035 with available data (9.7%) in the control group survived until discharge (difference, −0.7 percentage points; 95% confidence interval [CI], −1.5 to 0.1; P = 0.07); 7.0% of the patients in the intervention group and 7.7% of those in the control group survived with favorable neurologic function at discharge (difference, −0.6 percentage points; 95% CI, −1.4 to 0.1, P = 0.09).
  • 50.
  • 51.
    51 CPR practice fromDecember 2013 to March 2014; 548 completed surveys - 28% declared always or frequently adopting only continuous chest compressions without additional ventilation - During bag-mask ventilation in intubated patients, 18% declared stopping chest compression during insufflation, and 39% applied > 10 breaths/min, which conflicts with international CPR guidelines
  • 52.
    52 We identified onehuman observational study with 67 patients and ten animal studies (234 pigs and 30 dogs). All studies carried a high risk of bias. All studies evaluated for return of spontaneous circulation (ROSC). Studies showed no improvement in ROSC with a ventilation rate of 10 min-1 compared to any other rate.
  • 53.
  • 54.
  • 55.
  • 56.
    56 From the multivariablelogistic regression analysis of the outcomes, by comparing the TR group with the LP group, - the AOR (95% CIs) was 1.49 (1.04–2.15) for a good CPC, - 1.59 (1.20–2.11) for survival to discharge, and - 10.02 (7.04–14.26) for bystander defibrillation.
  • 57.
    57 Prospective randomised controlledcrossover study, assessing the adequacy of thoracic compressions on a manikin modified to emulate a morbidly obese patient. Participants recruited from critical care departments were randomised to perform continuous compressions for two minutes on each manikin. Accelerometers were used to measure thoracic wall movement.
  • 58.
  • 59.
    59 In comparison withno intervention, neither real-time audiovisual feedback (adjusted odds ratio, 0.62; 95% CI, 0.31– 1.22; p = 0.17) nor real-time audiovisual feedback supplemented by postevent debriefing (adjusted odds ratio, 0.65; 95% CI, 0.35–1.21; p = 0.17) was associated with a statistically significant improvement in return of spontaneous circulation or any process-focused outcome. Despite this, there was evidence of a system-wide improvement in phase 2, leading to improvements in return of spontaneous circulation (adjusted odds ratio, 1.87; 95% CI, 1.06–3.30; p = 0.03) and process-focused outcomes.
  • 60.
  • 61.
  • 62.
  • 63.
  • 64.
    64 Meta-analysis of 6observational studies without critical risk of bias showed that bystander AED use was associated with survival to hospital discharge (all rhythms OR: 1.73 [95%CI: 1.36, 2.18], shockable rhythms OR: 1.66 [95%CI: 1.54, 1.79]) and favorable neurological outcome (all rhythms OR: 2.12 [95%CI: 1.36, 3.29], shockable rhythms OR: 2.37 [95%CI: 1.58, 3.57]). However, the overall quality of evidence was low to very low.
  • 65.
  • 66.
  • 67.
    67 During the 18-monthstudy period, 45 patients were treated with DSD (after 6 single shocks) Our observational study did not find any clear benefit of DSD use by EMS in the treatment of RVF. 3 patients, who were treated with DSD following unsuccessful single shocks, had their VF terminated.
  • 68.
    68 Retrospective cohort analysison the prehospital use of DD in OHCA 50 were treated with DD and 229 received standard single shock 200J defibrillations. There was no statistically significant difference in the primary outcome of neurologically intact survival between the DD group (6%) and the standard defibrillation group (11.4%) (p = 0.317) (OR 0.50, 95% CI 0.15–1.72).
  • 69.
  • 70.
  • 71.
  • 72.
    72 A total amountof 207 shocks were delivered for 62 patients. When considering the three tertiles of METCO2 (prev 60 secs) (T1:METCO2 ≤ 20 mmHg; T2: 20 mmHg < METCO2 ≤ 31 mmHg and T3: METCO2 > 31 mmHg) a statistically significant difference between the % of shock success was found (T1: 50%; T2: 63%; T3: 78%; Chi square p = 0.003; p for trend <0.001). When the METCO2 was lower than 7 mmHg no shock was effective and when the METCO2 was higher than 45 mmHg no shock was ineffective. Shocks followed by ROSC were preceded by higher values of METCO2 as compared either to ineffective shocks or effective ones without ROSC.
  • 73.
  • 74.
  • 75.
    75 In an unadjustedanalysis, patients in the IO group compared to IV group were less likely to survive to hospital discharge (14.9% vs22.8%, respectively, p = 0.003), or achieve sustained ROSC (43.6% vs55.5%, p < 0.001) and survive to hospital admission (38.5% vs 50.0%,p < 0.001) (Table 2). In multivariable adjusted analyses, treatment via IO was not associated with survival to discharge (odds ratio(95% confidence interval) OR = 0.81 (0.55, 1.21), p = 0.31), but was associated with a lower likelihood of ROSC (OR = 0.67 (0.50, 0.88),p = 0.004) and survival to hospital admission (OR = 0.68 (0.51, 0.91),p = 0.009).
  • 76.
  • 77.
  • 78.
    78 Hospitals with highrates of delayed epinephrine administration had lower rates of overall survival for in-hospital cardiac arrest attributable to non-shockable rhythm.
  • 79.
    79 Use of epinephrinebefore arrival to the hospital for OHCA does not increase survival to discharge but does make it more likely for those who are discharged to have poor neurologic outcome. There is a need for additional randomized controlled trials.
  • 80.
  • 81.
  • 82.
    82 Overall, neither amiodaronenor lidocaine resulted in a significantly higher rate of survival or favorable neurologic outcome than the rate with placebo among patients with out-of hospital cardiac arrest due to initial shock-refractory ventricular fibrillation or pulseless ventricular tachycardia.
  • 83.
  • 84.
    84 Adjusted absolute differences(95% confidence interval) in survival from nonshockable-turned-shockable arrhythmias with amiodarone versus placebo were 2.3% (‒0.3, 4.8), P=0.08, and for lidocaine versus placebo 1.2% (‒1.1, 3.6), P=0.30. More than 50% of these survivors were functionally independent or required minimal assistance. Not powered to show benefits. Circulation. 2017;136:2119–2131
  • 85.
    85 Amiodarone and lidocainewere the only agents associated with improved survival to hospital admission in the NMA. For the outcomes most important to patients, survival to hospital discharge and neurologically intact survival, no antiarrhythmic was convincingly superior to any other or to placebo.
  • 86.
  • 87.
  • 88.
    Consensus on Scienceand Treatment Recommendations page: https://costr.ilcor.org 88
  • 89.
  • 90.
    Treatment Recommendation https://costr.ilcor.org/document/antiarrhythmic-drugs-for-cardiac-arrest-adults • Wesuggest the use of amiodarone or lidocaine in adults with shock refractory ventricular fibrillation/pulseless ventricular tachycardia (VF/pVT) (weak recommendation, low quality evidence). • We suggest against the routine use of magnesium in adults with shock refractory VF/pVT (weak recommendation, very low-quality evidence). • For the use of bretylium, nifekalant or sotalol in adults with shock refractory VF/pVT the confidence in effect estimates is currently too low to support an ALS Task Force recommendation. • For the use of prophylactic antiarrhythmic drugs immediately after ROSC in adults with VF/pVT cardiac arrest the confidence in effect estimates is currently too low to support an ALS Task Force recommendation. 90
  • 92.
  • 94.
  • 96.
    96 Main utility ofPOCUS in CA is suggested in non-shockable rhythms (i.e., pulseless electrical activity and asystolia), aiming at identifying reversible causes of CA, such as tamponade, pulmonary embolism, hypovolemia and tension pneumothorax
  • 97.
    Specific conditions thatcan be diagnosed/excluded by echo • regional or global wall motion abnormalities • pulmonary thromboembolism • pericardial tamponade • pacemaker capture, • unexpected VF • acute valvular insufficiency (eg. papillary muscle), • ventricular rupture, • aortic dissection • hypovolemia and • tension pneumothorax.
  • 98.
    98 Cardiac activity oninitial ultrasound was associated with higher ROSC and survival to hospital admission Some patients moved from no activity to positive activity (11.1%) and others moved from positive activity to no activity (11.7%). 530 patients without cardiac activity, with 76 (14.3%), 38 (7.2%), 3 patients (0.6%) surviving to ROSC, hospital admission and hospital discharge, respectively Pericardial effusion was identified in 34 patients, with attempted pericardiocentesis in 13 patients. In Additional patients with suspected pulmonary embolism received thrombolytics during the resuscitation, some with documented right-sided heart strain and others with visible clots in the ventricle. Two of the 15 patients receiving thrombolytics (13.3%) survived to hospital admission, and one (6.7%) survived to hospital discharge. Cardiac activity on ultrasound in asystolic patients (38 of 379, 10%)
  • 99.
  • 100.
    100 Twenty-three patients wereenrolled in our study. The mean duration of pulse checks with Point-Of-Care Ultra-Sound (POCUS) was 21.0 s (95% CI, 18–24) compared with 13.0 s (95% CI, 12–15) for those without POCUS. POCUS increased the duration of pulse checks and CPR interruption by 8.4 s (95% CI, 6.7–10.0 [p < 0.0001]).
  • 102.
  • 103.
  • 104.
  • 105.
    105 Persistently low levelsof regional oximetry (rSO2) during CPR likely portend poor neurologic outcomes
  • 106.
    106 Lazarus phenomenon occurredfive times, with an incidence of 5.95/1000 (95% CI 2.10–14.30) in field-terminated CPR attempts. Time to delayed ROSC from the cessation of CPR varied from 3 to 8 min. Three of the five patients with delayed ROSC died at the scene within 2–15 min while two died later in hospital
  • 107.
    When to stopin in-hospital arrests? 107
  • 108.
    We have learntnot to stop too soon 108
  • 109.
    We have learntnot to stop too soon 109 Compared with patients at hospitals in the quartile with the shortest median resuscitation attempts in non-survivors (16 min [IQR 15–17]), those at hospitals in the quartile with the longest attempts (25 min [25–28]) had a higher likelihood of return of spontaneous circulation (adjusted risk ratio 1.12, 95% CI 1.06–1.18; p<0.0001) and survival to discharge (1.12, 1.02–1.23; 0.021).
  • 110.
    When to stopin-hospital? • After 20-30 minutes, and reversible causes excluded • Unless • Refractory VF • given thrombolytics for suspected pulmonary embolus • Bridge to invasive support (eg. eCPR) 110
  • 112.
    Transport to CardiacArrest centres?? Post-resuscitation care bundle? 112
  • 113.
    113 Composite performance scorebased on evidence-based guidelines Adjusted survival to discharge increased with each quartile of performance score (from lowest to highest: 16.2%, 20.8%, 28.5%, 34.8%, P < 0.01), with similar findings for adjusted rates of good neurologic status.
  • 114.
  • 115.
  • 116.
    116 In comparison withno intervention, neither real-time audiovisual feedback (adjusted odds ratio, 0.62; 95% CI, 0.31– 1.22; p = 0.17) nor real-time audiovisual feedback supplemented by postevent debriefing (adjusted odds ratio, 0.65; 95% CI, 0.35–1.21; p = 0.17) was associated with a statistically significant improvement in return of spontaneous circulation or any process-focused outcome. Despite this, there was evidence of a system-wide improvement in phase 2, leading to improvements in return of spontaneous circulation (adjusted odds ratio, 1.87; 95% CI, 1.06–3.30; p = 0.03) and process-focused outcomes.
  • 117.
    117 In initially comatosecardiac arrest survivors, improvements in functional status occur over the first 6 months after the event.
  • 118.
  • 119.
  • 120.
  • 121.
  • 122.
    Summary • 2015/2016 • “Continuous”evidence evaluation • New since the guidelines • What’s in the pipeline? • Some guestimates 122
  • 123.
  • 124.
  • 125.
  • 126.
  • 127.
  • 128.
  • 129.
    Randomized Controlled Trialof Cystocele Plication Risks ("CPR Trial"): A Pilot Study 129
  • 130.
  • 131.
    Airway management • LaryngealTube vs Laryngeal Mask Airway. Singapore • A RCT on Supraglottic Airway Versus Endotracheal Intubation in OHCA • Tracheal intubation versus laryngeal tube as initial advanced airway in OHCA (PART trial) • Tracheal intubation versus i-gel as initial advanced airway in OHCA (AIRWAYS-2 study) 131
  • 132.
  • 133.
  • 134.
  • 135.
    Drugs • Intraosseous vsIntravenous Access for Cardiac Arrest Treatment. Singapore • Effect of Vasopressin, Steroid, and Epinephrine Treatment in Patients With Out-of-hospital Cardiac Arrest (Korea) 135
  • 136.
  • 137.
  • 138.
  • 139.
    And what isour threshold to change? 139
  • 140.
    140 The minimum clinicallyimportant difference (MCID) is the threshold value in outcomes observed in a trial at which providers should choose to adopt a treatment.
  • 141.
  • 142.
    142 Absolute: 2-4% moresurvival to discharge
  • 143.
    Summary • 2015/2016 • “Continuous”evidence evaluation • New since the guidelines • What’s in the pipeline? • Some guestimates 143
  • 144.
  • 145.
  • 146.
  • 147.
  • 148.
  • 149.
  • 150.
  • 151.
    Guestimates During • Feedback duringCPR: improve quality of CPR • ETCO2 during CPR: help improve CPR and timing defibrillation • Ultrasound during CPR: help exclude reversibles • Airways during CPR: only if expert • Antiarrhythmics: still use, but never shown to increase long term survival • Other drugs during CPR: adrenailine, but not increase long term survival • Mechanical CPR: not routine, but help if staff/logistics/transport 151
  • 152.
  • 153.
    Summary • 2015/2016 • “Continuous”evidence evaluation • New since the guidelines • What’s in the pipeline? • Some guestimates 153
  • 154.
  • 155.
  • 156.
  • 157.
    157 Incorporating almonds, darkchocolate, and cocoa into a typical American diet without exceeding energy needs may reduce the risk of coronary heart disease
  • 158.
  • 159.