Renal System
Objectives
 CYSTIC DISEASES OF KIDNEY
 WILMS TUMOR
 RENAL CELL CARCINOMA
CYSTIC DISEASES OF KIDNEY
 Cystic diseases of the kidney are
heterogeneous and comprises of hereditary,
developmental and acquired disorders
Classification:
ADPKD ARPKD
INCIDENCE 1:400 to 1:1000 1:10000 to 1:40000
INVOLVED GENE(S) PKD 1 on chr 16
PKD 2 on chr 4
PKHD 1 on chr 6
PROTEIN DEFECTS Polycystin-1
Polycystin-2
Fibrocystin
HISTOLOGIC
APPEARANCE
Haphazardly arranged, cystic
dilation of all parts of the
involved nephron with normal
renal parenchyma
interspersed
Diffuse cystic dilation of the
collecting ducts with the
long axis of the cyst
perpendicular to the capsule
AGE AT SYMPTOM ONSET Middle-aged adulthood Infancy
COMPLICATIONS Renal failure
Rupture of berry aneurysms
In utero foetal demise
Neonatal respiratory distress
Renal failure
Liver failure
ADPKD ARPKD
PATHOGENESIS
CLINICAL FEATURES
 Asymptomatic until presence of renal
insufficiency
 Haematuria
 Flank pain
 UTI
 Renal stones
 Hypertension
 Hepatic fibrosis
POLYSYSTIC KIDNEY DISEASE
Kidney is markedly enlarged.
1. Outer surface bosselated
2. Cut surface : Multiple
cysts of varying sizes
seen throughout the
kidney parenchyma
POLYCYSTIC KIDNEY
 Cysts maybe filled with clear serous fluid or turbid
haemorrhagic fluid
 Enlarging cysts may encroach on the pelvis and
calyces to produce pressure defects
COMPLICATIONS
 Chronic Renal Failure
 Death in infancy or childhood
 Dialysis
WILMS TUMOUR
 It is also known as
nephroblastoma.
 Most common primary
renal tumor of
childhood.
.
WILMS TUMOR
Pathogenesis and genetics
 Associated with increased risk with 3 syndromes:
1.WAGR syndrome- Wilms tumour, aniridia,
genitourinary anomalies and intellectual disability. 33%
risk of development of tumour
2.Denys-Drash syndrome- Gonadal dysgenesis, early
onset nephropathy(renal failure)
3. Beckwith-Weidemann syndrome- organomegaly,
macroglossia, hemihypertrophy, omphalocele and adrenal
cytomegaly
GROSS
 Large, solitary
 Well circumscribed mass
 10% cases- bilateral
GROSS
MICROSCOPY
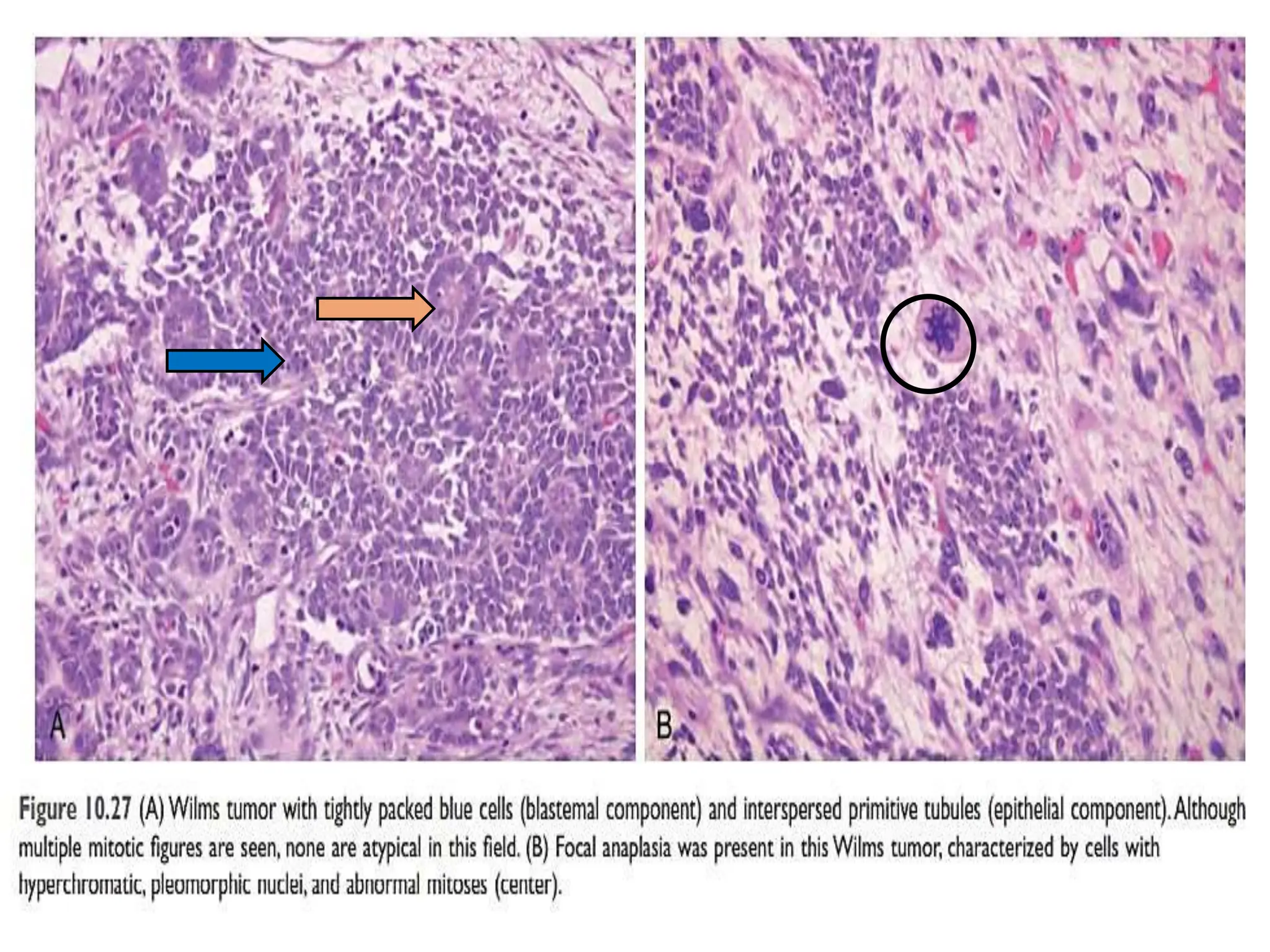
 3 components:
-Blastemal- sheets of blue cells
-Epithelial- abortive tubules or glomeruli
-Stromal- fibroblastic or myxoid in nature
 RCC account for 85% of renal cancers in adults.
 Occurs most often in older individuals, usually in
6th and 7th decades of life.
 Arises from tubular epithelium.
 May arise in any portion of kidney, more commonly in poles.
RENAL CELL CARCINOMA
Types of RCC:
1.Clear cell carcinoma (most common)
2.Papillary carcinoma
3.Chromophobe renal carcinoma
4.Collecting duct (Bellini duct) carcinoma
RENAL CELL CARCINOMA
GROSS
• From proximal tubular
epithelium
• Usually solitary unilateral
• Well-defined
• Variegated reddish- yellow
spherical masses
• Yellow- lipid accumulation in
tumor cells
• Red- hemorrhage
GROSS
 Tumor occupying the
upper pole of the kidney.
 Cut section – variegated
with yellow, brown
tumor tissue and areas of
hemorrhage.
MICROSCOPY
 Tumor tissue :Tubular
pattern with round or
polygonal cells having
clear cytoplasm and
nuclei of varying sizes.
 The cell groups are
separated by thin septa
with prominent blood
vessels.
THANK YOU

Renal system -DOAP pathology ppt class.ppt

  • 1.
  • 2.
    Objectives  CYSTIC DISEASESOF KIDNEY  WILMS TUMOR  RENAL CELL CARCINOMA
  • 3.
    CYSTIC DISEASES OFKIDNEY  Cystic diseases of the kidney are heterogeneous and comprises of hereditary, developmental and acquired disorders
  • 4.
  • 5.
    ADPKD ARPKD INCIDENCE 1:400to 1:1000 1:10000 to 1:40000 INVOLVED GENE(S) PKD 1 on chr 16 PKD 2 on chr 4 PKHD 1 on chr 6 PROTEIN DEFECTS Polycystin-1 Polycystin-2 Fibrocystin HISTOLOGIC APPEARANCE Haphazardly arranged, cystic dilation of all parts of the involved nephron with normal renal parenchyma interspersed Diffuse cystic dilation of the collecting ducts with the long axis of the cyst perpendicular to the capsule AGE AT SYMPTOM ONSET Middle-aged adulthood Infancy COMPLICATIONS Renal failure Rupture of berry aneurysms In utero foetal demise Neonatal respiratory distress Renal failure Liver failure
  • 6.
  • 7.
  • 8.
    CLINICAL FEATURES  Asymptomaticuntil presence of renal insufficiency  Haematuria  Flank pain  UTI  Renal stones  Hypertension  Hepatic fibrosis
  • 9.
    POLYSYSTIC KIDNEY DISEASE Kidneyis markedly enlarged. 1. Outer surface bosselated 2. Cut surface : Multiple cysts of varying sizes seen throughout the kidney parenchyma
  • 10.
    POLYCYSTIC KIDNEY  Cystsmaybe filled with clear serous fluid or turbid haemorrhagic fluid  Enlarging cysts may encroach on the pelvis and calyces to produce pressure defects
  • 11.
    COMPLICATIONS  Chronic RenalFailure  Death in infancy or childhood  Dialysis
  • 12.
  • 13.
     It isalso known as nephroblastoma.  Most common primary renal tumor of childhood. . WILMS TUMOR
  • 14.
    Pathogenesis and genetics Associated with increased risk with 3 syndromes: 1.WAGR syndrome- Wilms tumour, aniridia, genitourinary anomalies and intellectual disability. 33% risk of development of tumour 2.Denys-Drash syndrome- Gonadal dysgenesis, early onset nephropathy(renal failure) 3. Beckwith-Weidemann syndrome- organomegaly, macroglossia, hemihypertrophy, omphalocele and adrenal cytomegaly
  • 16.
    GROSS  Large, solitary Well circumscribed mass  10% cases- bilateral
  • 17.
  • 18.
    MICROSCOPY  3 components: -Blastemal-sheets of blue cells -Epithelial- abortive tubules or glomeruli -Stromal- fibroblastic or myxoid in nature
  • 20.
     RCC accountfor 85% of renal cancers in adults.  Occurs most often in older individuals, usually in 6th and 7th decades of life.  Arises from tubular epithelium.  May arise in any portion of kidney, more commonly in poles. RENAL CELL CARCINOMA
  • 21.
    Types of RCC: 1.Clearcell carcinoma (most common) 2.Papillary carcinoma 3.Chromophobe renal carcinoma 4.Collecting duct (Bellini duct) carcinoma RENAL CELL CARCINOMA
  • 22.
    GROSS • From proximaltubular epithelium • Usually solitary unilateral • Well-defined • Variegated reddish- yellow spherical masses • Yellow- lipid accumulation in tumor cells • Red- hemorrhage
  • 23.
    GROSS  Tumor occupyingthe upper pole of the kidney.  Cut section – variegated with yellow, brown tumor tissue and areas of hemorrhage.
  • 24.
    MICROSCOPY  Tumor tissue:Tubular pattern with round or polygonal cells having clear cytoplasm and nuclei of varying sizes.  The cell groups are separated by thin septa with prominent blood vessels.
  • 26.