Embed presentation
Downloaded 11 times











































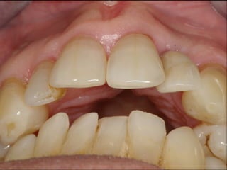
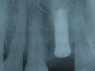
This document discusses several dental implant cases where porcelain crowns were used to restore teeth. It describes the process for each case, including placing implants, attaching provisional crowns, modifying the crowns, adding porcelain, and delivering the final restoration. Photos show before and after images for each case, which include replacing premolar teeth, bridges, and full upper dental arches.









































