Dr. Mohit Goel
JR I
3/4/2013
AKA: Albers-Schönberg Disease = Marble Bone Disease
Osteopetrosis
• Rare hereditary disorder
• There is defective osteoclast function and overgrowth of bone: which
become thick, dense and sclerotic.
• However, their increased size does not improve their strength. Instead,
their disordered architecture, results in weak and brittle bones that
results in multiple fractures with poor healing.
There are two separate sub types of osteopetrosis:
• Infantile autosomal recessive osteopetrosis
• Benign adult autosomal dominant osteopetrosis
Autosomal recessive osteopetrosis
Infantile autosomal recessive osteopetrosis is the more
severe form that tends to present earlier. Hence, it is referred
to as "infantile" and "malignant“, compared to the autosomal
dominant osteopetrosis.
Epidemiology
The natural history of the condition means that by age 6, 70%
of the affected will die.
Most of the remainder have a very poor quality of life with
death resulting by the age of ≈ 10.
Those who survive childbirth present with :
• failure to thrive
• cranial nerve entrapment
• snuffling (nasal sinus architecture abnormalities)
• hypercalcaemia
• pancytopaenia (anaemia, leukopaenia and thrombocytopaenia)
• hepatosplenomegaly (extramedullary haemopoesis)
• intracerebral haemorrhage (thrombocytopaenia)
• lymphadenopathy
One of the commonest presentations is with ocular disturbance: failure to
establish fixation, nystagmus or strabismus.
The cause of these symptoms is compression of the cranial nerve roots
because of foraminal overgrowth.
Radiographic features
Plain film
Patients generally have a weak and dense skeleton which may have
multiple healed fractures.
Metaphyseal splaying may also be apparent.
• mandible : characteristic triangular opacity representing calcification
within the secondary condylar cartilage ossification center.
• defective dentition with incomplete enamel formation and denatal caries.
• poorly pneumatized paranasal sinuses (ethmoid sinuses least severely
affected)
• hypertelorism
• calvarium : high-attenuation inner table, a broad, low-attenuation diploic
space, and a less high-attenuation outer table
• "hair-on-end" appearance : areas of increased haematopoietic activity.
MRI
Sclerotic bone demonstrate low signal intensity on both T1- and T2-
weighted MR images;
Areas containing marrow have intermediate signal intensity.
Lateral radiograph of the skull reveals diffuse thickening of the calvarium,
most significant in the region of the occiput. The partially visualized upper
cervical vertebrae and maxilla are also dense and thickened.
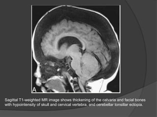
Sagittal T1-weighted MR image shows thickening of the calvaria and facial bones
with hypointensity of skull and cervical vertebra, and cerebellar tonsillar ectopia.
Severe bilateral optic canal narrowing (arrows) in a 4-yr-old patient with complete
loss of vision in the left eye and 20/80 visual acuity in the right eye.
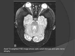
Axial T2-weighted FSE image shows optic canal stenosis and optic nerve
atrophy
Autosomal dominant osteopetrosis
The autosomal dominant type is less severe than its autosomal recessive
mate. Hence, it is also given the name "benign" or "adult" since patients
survive into adulthood.
• 50% patients are asymptomatic
• Recurrent fractures
• Mild anemia
• Rarely cranial nerve palsy
X-ray findings
• Diffuse osteosclerosis
• Cortical thickening with medullary encroachment
• Erlenmeyer flask deformity = clublike long bones due to lack of
tubulization + flaring of ends
• Bone-within-bone appearance
• "Sandwich" vertebrae = alternating sclerotic + radiolucent transverse
metaphyseal lines (phalanges, iliac bones) indicate fluctuating course of
disease
• Longitudinal metaphyseal striations
Mandible least involved.
Spine radiographs reveal the classic sandwich vertebrae of osteopetrosis (red
arrows). This is manifested as thickening and sclerosis of the vertebral endplates,
and of the bone adjacent to the endplates.
There is also marked thickening of the posterior vertebrae (yellow arrows),
especially in the vertebral arch.
Chest radiograph obtained in an infant demonstrates overall increased density of
the osseous structures due to the accumulation of immature bone.
Generalized increased density of the bones
and alternating areas of increased and
decreased density in the metaphyses (bone-
within-bone appearance).
Densely sclerotic bone with erlenmeyer flask deformity of the femurs with under-
tubulularization (lack of trabeculation) block femoral meatphyses.
Differential diagnoses
• pyknodysostosis
• melorheostosis
• heavy metal poisoning
• hypervitaminosis D
• fibrous dysplasia of skull or face
Pyknodysostosis
Patients with pyknodysostosis present with a complex of characteristic
features, including
• dwarfism
• pectus excavatum
• short fingers from acro-osteolysis
• hypoplasia of the facial bones, causing dysmorphic facial features.
Radiographically, there is generalized osteosclerosis similar to osteopetrosis,
but with preservation of the medullary canal of long bones.
Dense vertebral bodies with characteristic sparing of the transverse
processes is seen.
Radiographs of the left tibia and fibula show
hyperostosis with preservation of the medullary
cavity.
A subacute fracture is noted in the mid-diaphysis of
the tibia, a common finding in patients with
pyknodysostosis.
Because the medullary cavities are preserved,
patients with pyknodysostosis (unlike patients
with osteopetrosis) tend not to have
concurrent anemia.
On the other hand, as with osteopetrosis, the
bones are brittle and prone to recurrent
fractures.
Melorheostosis
Melorheostosis (Leri disease) is a type of mixed sclerosing bone dysplasia,
with disturbances in both endochondral and intramembranous ossification.
The disorder is sporadic and typically manifests in late childhood or early
adulthood.
Characteristic radiographic appearance consisting of cortical and medullary
hyperostosis of a single bone or multiple adjacent bones with a flowing
“dripping candle wax” appearance.
The skeletal lesions may progress throughout life, with the lower extremities
being more commonly affected than the upper extremities.
The skeletal abnormalities, as well as the extraosseous involvement, typically
have a sclerotome distribution, leading some investigators to suggest that this
may be an acquired defect related to spinal sensory nerves.
Melorheostosis in a 77-year-old man.
Anteroposterior radiographs demonstrate
the classic dripping candle wax
appearance of cortical and medullary
hyperostosis involving the lateral aspect of
the femur
THANK YOU

Osteopetrosis

  • 1.
  • 2.
    AKA: Albers-Schönberg Disease= Marble Bone Disease Osteopetrosis • Rare hereditary disorder • There is defective osteoclast function and overgrowth of bone: which become thick, dense and sclerotic. • However, their increased size does not improve their strength. Instead, their disordered architecture, results in weak and brittle bones that results in multiple fractures with poor healing. There are two separate sub types of osteopetrosis: • Infantile autosomal recessive osteopetrosis • Benign adult autosomal dominant osteopetrosis
  • 3.
    Autosomal recessive osteopetrosis Infantileautosomal recessive osteopetrosis is the more severe form that tends to present earlier. Hence, it is referred to as "infantile" and "malignant“, compared to the autosomal dominant osteopetrosis. Epidemiology The natural history of the condition means that by age 6, 70% of the affected will die. Most of the remainder have a very poor quality of life with death resulting by the age of ≈ 10.
  • 4.
    Those who survivechildbirth present with : • failure to thrive • cranial nerve entrapment • snuffling (nasal sinus architecture abnormalities) • hypercalcaemia • pancytopaenia (anaemia, leukopaenia and thrombocytopaenia) • hepatosplenomegaly (extramedullary haemopoesis) • intracerebral haemorrhage (thrombocytopaenia) • lymphadenopathy One of the commonest presentations is with ocular disturbance: failure to establish fixation, nystagmus or strabismus. The cause of these symptoms is compression of the cranial nerve roots because of foraminal overgrowth.
  • 5.
    Radiographic features Plain film Patientsgenerally have a weak and dense skeleton which may have multiple healed fractures. Metaphyseal splaying may also be apparent. • mandible : characteristic triangular opacity representing calcification within the secondary condylar cartilage ossification center. • defective dentition with incomplete enamel formation and denatal caries. • poorly pneumatized paranasal sinuses (ethmoid sinuses least severely affected) • hypertelorism
  • 6.
    • calvarium :high-attenuation inner table, a broad, low-attenuation diploic space, and a less high-attenuation outer table • "hair-on-end" appearance : areas of increased haematopoietic activity. MRI Sclerotic bone demonstrate low signal intensity on both T1- and T2- weighted MR images; Areas containing marrow have intermediate signal intensity.
  • 7.
    Lateral radiograph ofthe skull reveals diffuse thickening of the calvarium, most significant in the region of the occiput. The partially visualized upper cervical vertebrae and maxilla are also dense and thickened.
  • 8.
    Sagittal T1-weighted MRimage shows thickening of the calvaria and facial bones with hypointensity of skull and cervical vertebra, and cerebellar tonsillar ectopia.
  • 9.
    Severe bilateral opticcanal narrowing (arrows) in a 4-yr-old patient with complete loss of vision in the left eye and 20/80 visual acuity in the right eye.
  • 10.
    Axial T2-weighted FSEimage shows optic canal stenosis and optic nerve atrophy
  • 11.
    Autosomal dominant osteopetrosis Theautosomal dominant type is less severe than its autosomal recessive mate. Hence, it is also given the name "benign" or "adult" since patients survive into adulthood. • 50% patients are asymptomatic • Recurrent fractures • Mild anemia • Rarely cranial nerve palsy X-ray findings • Diffuse osteosclerosis • Cortical thickening with medullary encroachment • Erlenmeyer flask deformity = clublike long bones due to lack of tubulization + flaring of ends
  • 12.
    • Bone-within-bone appearance •"Sandwich" vertebrae = alternating sclerotic + radiolucent transverse metaphyseal lines (phalanges, iliac bones) indicate fluctuating course of disease • Longitudinal metaphyseal striations Mandible least involved.
  • 13.
    Spine radiographs revealthe classic sandwich vertebrae of osteopetrosis (red arrows). This is manifested as thickening and sclerosis of the vertebral endplates, and of the bone adjacent to the endplates. There is also marked thickening of the posterior vertebrae (yellow arrows), especially in the vertebral arch.
  • 14.
    Chest radiograph obtainedin an infant demonstrates overall increased density of the osseous structures due to the accumulation of immature bone.
  • 15.
    Generalized increased densityof the bones and alternating areas of increased and decreased density in the metaphyses (bone- within-bone appearance).
  • 16.
    Densely sclerotic bonewith erlenmeyer flask deformity of the femurs with under- tubulularization (lack of trabeculation) block femoral meatphyses.
  • 17.
    Differential diagnoses • pyknodysostosis •melorheostosis • heavy metal poisoning • hypervitaminosis D • fibrous dysplasia of skull or face
  • 18.
    Pyknodysostosis Patients with pyknodysostosispresent with a complex of characteristic features, including • dwarfism • pectus excavatum • short fingers from acro-osteolysis • hypoplasia of the facial bones, causing dysmorphic facial features. Radiographically, there is generalized osteosclerosis similar to osteopetrosis, but with preservation of the medullary canal of long bones. Dense vertebral bodies with characteristic sparing of the transverse processes is seen.
  • 19.
    Radiographs of theleft tibia and fibula show hyperostosis with preservation of the medullary cavity. A subacute fracture is noted in the mid-diaphysis of the tibia, a common finding in patients with pyknodysostosis. Because the medullary cavities are preserved, patients with pyknodysostosis (unlike patients with osteopetrosis) tend not to have concurrent anemia. On the other hand, as with osteopetrosis, the bones are brittle and prone to recurrent fractures.
  • 22.
    Melorheostosis Melorheostosis (Leri disease)is a type of mixed sclerosing bone dysplasia, with disturbances in both endochondral and intramembranous ossification. The disorder is sporadic and typically manifests in late childhood or early adulthood. Characteristic radiographic appearance consisting of cortical and medullary hyperostosis of a single bone or multiple adjacent bones with a flowing “dripping candle wax” appearance. The skeletal lesions may progress throughout life, with the lower extremities being more commonly affected than the upper extremities. The skeletal abnormalities, as well as the extraosseous involvement, typically have a sclerotome distribution, leading some investigators to suggest that this may be an acquired defect related to spinal sensory nerves.
  • 23.
    Melorheostosis in a77-year-old man. Anteroposterior radiographs demonstrate the classic dripping candle wax appearance of cortical and medullary hyperostosis involving the lateral aspect of the femur
  • 24.