Precocious puberty
Dr. Mohit Goel
JRIII
23/6/14
From the radiologic pathology archives: precocious puberty: radiologic-pathologic correlation.
Chung EM, Biko DM, Schroeder JW, Cube R, Conran RM.
Precocious puberty is defined as development of secondary sex
characteristics before the age of 8 years in girls and 9 years in
boys.
Two types:
1. central (true) precocious puberty (CPP) and
2. peripheral (pseudo-) precocious puberty (PPP) (or precocious
pseudopuberty).
CPP is caused by early activation of the hypothalamic-pituitary
axis, with GnRH–stimulated gonadotropin secretion causing
gonadal maturation.
Precocious puberty
In peripheral precocious puberty , serum sex steroid levels are
elevated independent of gonadotropin secretion, and, because
gonadotropin levels are low, the gonads do not undergo
maturation.
Precocious puberty may be isosexual (involving secondary sex
characteristics that are gender matched) or heterosexual (involving
sex characteristics of the opposite gender).
CPP is always isosexual, whereas PPP may be isosexual or
heterosexual.
CPP may be idiopathic or related to a CNS lesion such as a
neoplasm, cyst, or hydrocephalus.
CPP in girls is usually idiopathic, whereas the vast majority of cases
in boys are due to an intracranial lesion.
Isosexual PPP in girls is most commonly caused by an
autonomously functioning ovarian cyst but may also be caused by
a juvenile granulosa cell tumor (GCT) of the ovary.
Heterosexual PPP in girls (virilization) is most often related to
androgen production by the adrenal glands due to a functioning
ACN or congenital adrenal hyperplasia (CAH).
In boys, PPP is usually due to sex steroid hormone secretion by a sex
cord–stromal tumor of the testis.
hCG secreting tumors such as hepatoblastoma, mediastinal
teratoma, some testicular germ cell tumors, and suprasellar
germinoma can stimulate testosterone production by Leydig cells of
the testes because human chorionic gonadotropin is biologically
similar to luteinizing hormone.
Imaging work-up depends on gender and the results of laboratory
studies.
MR imaging of the CNS is essential in boys with CPP. For boys with
PPP or unilateral testicular enlargement, testicular ultrasonography
(US) is indicated.
For girls, pelvic US serves two purposes:
• evaluation for ovarian cyst or tumor and evaluation for estrogen-
mediated ovarian and uterine maturation.
• US should also be used to screen for an adrenal mass
CNS imaging should be performed if CPP is suspected in girls
younger than 6 years of age
Central Nervous System
CPP involves activation of the hypothalamic-pituitary-gonadal axis
such that GnRH release from the hypothalamus causes
gonadotropin secretion by the pituitary gland, leading to ovulation
or spermatogenesis.
CPP may be further divided on the basis of etiology into idiopathic
or organic types.
Organic causes have been found in 13%–42% of children with CPP
and include tumors, trauma, infection, hydrocephalus, and midline
anomalies.
CNS causes:
1. Hypothalamic Hamartoma
2. Hypothalamic-Chiasmatic Astrocytoma
3. Germ Cell Tumor
4. Arachnoid Cyst
5. Other Organic Causes of CPP-
• Traumatic brain injury,
• Empty sellaCongenital,
• toxoplasmosis
Hypothalamic Hamartoma
Hypothalamic hamartoma is the lesion most commonly associated
with CPP, being implicated in up to 60% of cases.
Hypothalamic hamartomas may be either
• sessile (intrahypothalamic) or
• pedunculated (parahypothalamic).
Imaging Features.—
Sessile hypothalamic hamartomas may expand the hypothalamus.
Pedunculated hypothalamic hamartomas usually arise from the
floor of the hypothalamus and extend inferiorly.
Hypothalamic Hamartoma
Hypothalamic hamartoma is the lesion most commonly associated
with CPP, being implicated in up to 60% of cases.
Hypothalamic hamartomas may be either
• sessile (intrahypothalamic) or
• pedunculated (parahypothalamic).
Imaging Features.—
Sessile hypothalamic hamartomas may expand the hypothalamus.
Pedunculated hypothalamic hamartomas usually arise from the
floor of the hypothalamus and extend inferiorly.
They are typically isointense relative to gray matter with T1- and
T2-weighted sequences, although they may be mildly hyper- or
hypointense relative to gray matter with T2-weighted sequences
Hypothalamic-Chiasmatic Astrocytoma
Hypothalamic-chiasmatic astrocytomas represent up to 5% of all
brain tumors in children, but they occur in 15%–20% of children
with NF-1.
Imaging Features.—
• Enlargement or kinking of the affected optic nerve and chiasm
are common.
• The lesion is classically T1 isointense and T2 hyperintense with
homogeneous enhancement.
• Although cystic components may be seen, they are less common
in patients with NF-1.
Germ Cell Tumor
Germ cell tumors of the CNS arise in the pineal region, sellar-
suprasellar region, basal ganglia.
Imaging Features.—
• The imaging characteristics of germ cell tumor are highly
variable, including T1 and T2 signal heterogeneity as well as a
variable degree of contrast material enhancement of its solid
elements.
• Germinomas may diffusely enhance.
• Heterogeneity is seen in nongerminomatous germ cell tumors
and may be secondary to intratumoral hemorrhage.
• Cysts may be seen in both germinomas and nongerminomatous
germ cell tumors.
• Synchronous tumors in the pineal and suprasellar regions may occur.
• Dissemination is not uncommon in germ cell tumors, and screening of the
entire neuroaxis should be performed.
Arachnoid Cyst
Arachnoid cysts account for roughly 1% of intracranial masses, with
nearly 10% occurring in the sellar-suprasellar region.
Imaging Features.—
• Arachnoid cysts are smooth, well-circumscribed lesions that
classically follow the attenuation and signal characteristics of
cerebrospinal fluid unless complicated by hemorrhage.
• There is no associated enhancement, although there may be
associated mass effect or remodeling of the adjacent calvaria.
Adrenal Gland
The adrenal gland is made up of two distinct endocrine glands:
1. the medulla, which produces catecholamines, and
2. the cortex, which produces steroid hormones.
Cortex:
G- Aldosterone (Mineralocorticoid)
F- Cortisol (Glucocorticoid)
R- Sex steroids (Androgen)
Medulla:
Catecolamines (Norepinephrine, epinephrine, Dopamine)
The neonatal adrenal gland is large due to the presence of persistent fetal cortex,
which rapidly involutes in the first few months of life.
The normal large glands are easily visualized at
US in young infants.
A central echogenic stripe that represents
the medulla and prominent central veins
is noted.
This is surrounded by a thicker hypoechoic region with a smooth or slightly
undulating surface representing the fetal and definitive adrenal cortex.
Once involution of the fetal cortex has occurred, the normal adrenal gland is seen
only at CT or MR imaging, and each limb is no greater in width than the adjacent
diaphragmatic crus.
Adrenal Cortical Neoplasm
Although rare, pediatric adrenal tumors most commonly manifest
with signs and symptoms of virilization.
Unlike similar tumors in adults, most pediatric ACNs (85%) are
hyperfunctioning.
Overproduction of androgens may be accompanied by
hypersecretion of cortisol or aldosterone.
ACNs are rarely feminizing.
Unlike with the adult tumors, which can be readily differentiated
histologically into benign adenomas and malignant carcinomas,
histologic classification of pediatric ACNs is not predictive of
biologic behavior.
The malignant potential of a particular tumor is unknown, and the
term adrenal cortical neoplasm is preferred.
ACNs are rare in children and account for only 0.2%–0.5% of
pediatric cancers.
A bimodal age distribution - younger than 5 years of age.
The peak age at diagnosis in the adolescent group is 10–16 years
Imaging Features.—
In adults, benign and malignant ACNs are differentiated on the
basis of findings of intracytoplasmic lipid and rapid contrast
material washout, which are seen in adenomas but not in
carcinomas.
The predictive value of these findings has not been studied in
children, and imaging diagnosis is not as important in children as in
adults.
Because the vast majority of childhood ACNs are functional, the
diagnosis is known on the basis of laboratory findings.
Thus, the role of imaging in children with ACN is not diagnosis, but
rather localization of the primary tumor and any metastases and
determination of the local extent of the primary tumor for surgical
planning.
Smaller lesions are homogeneous, whereas larger lesions appear
heterogeneous due to central necrosis, hemorrhage, and
calcification.
Prominent radiating fibrous bands may create a nodular appearance
or the appearance of a characteristic stellate scar.
At US, smaller lesions are generally homogeneously hypo- or
hyperechoic.
Larger lesions may have a more heterogeneous nodular appearance
or may contain central or diffuse hypoechoic areas corresponding to
necrosis.
The mass may be surrounded by a hyperechoic, capsule-like rim.
Use of color Doppler imaging is helpful in evaluating for caval
extension of tumor
At CT, large ACNs show heterogeneous, predominantly peripheral
enhancement.
The tumor may be surrounded by a thick, capsule-like rim that
enhances. Fine or coarse calcification is seen at CT in about 30% of
cases
MR imaging demonstrates the mass as iso- to slightly hypointense
on T1WI and hyperintense on T2WI relative to the liver.
Functioning ACNs frequently show uniform signal loss at chemical
shift imaging due to intracytoplasmic lipid.
(FDG) PET/CT is sensitive for the detection of ACNs due to their
metabolic activity.
The main role of FDG PET in the evaluation of patients with ACN
is detection of distant metastases.
Differential Diagnosis.—
In the presence of an endocrinopathy, there is no differential
diagnosis.
Without these symptoms, adrenal medullary tumors should be
considered first. Neuroblastoma is far more common than ACN.
The typical growth pattern of neuroblastoma is different from that of
ACN in that neuroblastoma tends to surround rather than invade
vessels, cross the midline, and extend into neural foramina.
Pheochromocytoma is another tumor of the adrenal medulla that
may occur in older children.
Medullary tumors can be distinguished from ACN on the basis of
laboratory findings of elevated catecholamine levels in the serum
and urine and focal radiopharmaceutical uptake at scanning with
metaiodobenzoguanidine.
Congenital Adrenal Hyperplasia
CAH, or adrenogenital syndrome, most often manifests in the
perinatal period with ambiguous genitalia in girls or salt wasting in
boys, but some patients may have delayed presentation with
virilization at puberty.
Patients with Beckwith-Wiedemann syndrome are at increased risk
for ACN and may also have cortical hyperplasia, with enlarged
glands with a nodular or “cerebriform” surface due to adrenal
cytomegaly involving most of the cells in the fetal cortex.
Imaging Features.—
CAH causes bilateral adrenal gland enlargement, which may be
asymmetric.
An adrenal limb thicker than 4 mm is considered enlarged even in
the neonatal period.
Adrenal gland enlargement alone is not sensitive or specific for
CAH.
A normal-sized adrenal gland does not exclude the diagnosis of
CAH, and some healthy babies have adrenal glands in the size range
typical of CAH.
Testicular adrenal rest tumors in adrenogenital syndrome are
very common in boys with CAH.
These tumors are small, generally multiple, and often bilateral.
The involved testis may be enlarged, but its contour is not
distorted. The masses are eccentric and commonly surround the
mediastinum testis.
Their appearance at US is variable and depends on size.
Smaller lesions (<2 cm) appear hypoechoic compared with the adjacent
testicle, whereas larger lesions appear hyperechoic with posterior acoustic
shadowing.
At color Doppler imaging, vessels may be seen coursing through the lesion
without being deviated by it.
Female Reproductive Organs
The normal neonatal uterus is enlarged due to the influence of maternal
hormones. The cervix is larger than the fundus, and the uterus is spade shaped.
Endometrium is readily visualized as a thin echogenic line in the uterine corpus.
After the first few months of life, the prepubertal uterus is straight and tubular in
configuration, with the cervix the same size as or slightly larger than the fundus .
With the onset of puberty, the influence of estrogen causes enlargement of
the uterine fundus more than of the cervix, the uterus assumes the pear
shape
US image obtained in another healthy prepubertal girl shows small follicles within the ovaries
Ovarian Cyst
The most common cause of PPP in girls is an autonomously functioning
follicular cyst.
Patients generally present with vaginal bleeding and breast development.
Vaginal bleeding is due to withdrawal of estrogen stimulation when the cyst
ruptures.
Imaging Features-
The finding of an ovarian cyst 9 mm or larger in a girl with precocious puberty is
strongly suggestive of PPP with autonomous ovarian estrogen secretion.
Uncomplicated follicular cysts are anechoic or hypoechoic unilocular cysts. Can
be complicated by hemorrhage.
In PPP due to autonomous follicular cyst, the contralateral ovary is within
normal size limits, but the uterus has a pubertal morphology and size due to
estrogen stimulation.
In contrast, girls with CPP often have bilateral small (<9-mm) cysts
Juvenile GCT of the Ovary
Juvenile GCT is a malignant primary ovarian neoplasm of children and young
adults that is most often characterized by clinical manifestations of steroid
hormone overproduction. The lesion is classified as a sex cord–stromal tumor.
Imaging Features.—
As an ovarian tumor, juvenile GCT is usually initially identified at US, with
demonstration of a large mixed cystic and solid mass.
US also shows uterine enlargement and pubertal morphology due to estrogen
effect
At CT, the solid component of juvenile GCT may show iso- to hyperattenuation
as well as contrast enhancement.
Hyperattenuating hemorrhage within cystic components of the mass is a
characteristic finding. Calcifications are not a feature of juvenile GCT.
At MR imaging, the solid portion of the tumor demonstrates intermediate signal
intensity with multiple hyperintense cystic spaces on T2-weighted images,
creating a spongelike appearance
Male Reproductive Organs
Sex cord–stromal tumors of the testis are active endocrine tumors that secrete
testosterone or estrogen, leading to precocious puberty in 10% of children.
This class of tumors includes Leydig cell, Sertoli cell, juvenile granulosa cell,
and undifferentiated tumors.
Leydig Cell Tumors
Patients less than 10 years of age.
Imaging Features.—At US, Leydig cell
tumors are usually homogeneous and
hypoechoic but less commonly appear
echogenic
At Doppler evaluation, Leydig cell tumors typically have prominent
circumferential blood flow with a lack of internal vascularity.
At MR imaging
- isointense on T1-weighted images and
- hypointense on T2-weighted images compared with
surrounding testicle.
- capsular high signal intensity on T2-weighted images
- show marked homogeneous enhancement
Sertoli Cell Tumors
Although most Sertoli cell tumors occur under the age of 40 years,
approximately 30% occur in children.
The most common histologic variant in children and adolescents is the large-
cell calcifying subtype, which secretes testosterone and causes PPP in young
boys.
Imaging Features.—
At US, the appearance of Sertoli cell tumor is variable.
The tumor may have the unusual appearance of an enlarged testicle with
inhomogeneous increased echogenicity.
Sertoli cell tumor may also appear as multiple
homogeneous nodules with surrounding thin
hypoechoic rims
The large-cell calcifying subtype appears as an echogenic nodule with acoustic
shadowing at gray-scale US
Conclusions
Sexual precocity has a wide range of causes involving multiple
endocrine organs, and imaging plays an important role in the evaluation
and diagnosis of children with symptoms of early sexual maturation.
CPP is usually idiopathic in girls but is most commonly related to a CNS
lesion in boys, and brain MR imaging is essential for boys.
PPP may be caused by gonadal lesions or adrenal abnormalities, which
are best initially evaluated with US.
Early diagnosis and treatment reverse the endocrine disorder with its
physical changes, preserve adult height potential, and may be
potentially life saving.
THANK YOU

Precocious puberty

  • 1.
    Precocious puberty Dr. MohitGoel JRIII 23/6/14 From the radiologic pathology archives: precocious puberty: radiologic-pathologic correlation. Chung EM, Biko DM, Schroeder JW, Cube R, Conran RM.
  • 2.
    Precocious puberty isdefined as development of secondary sex characteristics before the age of 8 years in girls and 9 years in boys. Two types: 1. central (true) precocious puberty (CPP) and 2. peripheral (pseudo-) precocious puberty (PPP) (or precocious pseudopuberty). CPP is caused by early activation of the hypothalamic-pituitary axis, with GnRH–stimulated gonadotropin secretion causing gonadal maturation. Precocious puberty
  • 3.
    In peripheral precociouspuberty , serum sex steroid levels are elevated independent of gonadotropin secretion, and, because gonadotropin levels are low, the gonads do not undergo maturation. Precocious puberty may be isosexual (involving secondary sex characteristics that are gender matched) or heterosexual (involving sex characteristics of the opposite gender). CPP is always isosexual, whereas PPP may be isosexual or heterosexual.
  • 4.
    CPP may beidiopathic or related to a CNS lesion such as a neoplasm, cyst, or hydrocephalus. CPP in girls is usually idiopathic, whereas the vast majority of cases in boys are due to an intracranial lesion. Isosexual PPP in girls is most commonly caused by an autonomously functioning ovarian cyst but may also be caused by a juvenile granulosa cell tumor (GCT) of the ovary. Heterosexual PPP in girls (virilization) is most often related to androgen production by the adrenal glands due to a functioning ACN or congenital adrenal hyperplasia (CAH).
  • 5.
    In boys, PPPis usually due to sex steroid hormone secretion by a sex cord–stromal tumor of the testis. hCG secreting tumors such as hepatoblastoma, mediastinal teratoma, some testicular germ cell tumors, and suprasellar germinoma can stimulate testosterone production by Leydig cells of the testes because human chorionic gonadotropin is biologically similar to luteinizing hormone.
  • 6.
    Imaging work-up dependson gender and the results of laboratory studies. MR imaging of the CNS is essential in boys with CPP. For boys with PPP or unilateral testicular enlargement, testicular ultrasonography (US) is indicated. For girls, pelvic US serves two purposes: • evaluation for ovarian cyst or tumor and evaluation for estrogen- mediated ovarian and uterine maturation. • US should also be used to screen for an adrenal mass CNS imaging should be performed if CPP is suspected in girls younger than 6 years of age
  • 7.
    Central Nervous System CPPinvolves activation of the hypothalamic-pituitary-gonadal axis such that GnRH release from the hypothalamus causes gonadotropin secretion by the pituitary gland, leading to ovulation or spermatogenesis. CPP may be further divided on the basis of etiology into idiopathic or organic types. Organic causes have been found in 13%–42% of children with CPP and include tumors, trauma, infection, hydrocephalus, and midline anomalies.
  • 8.
    CNS causes: 1. HypothalamicHamartoma 2. Hypothalamic-Chiasmatic Astrocytoma 3. Germ Cell Tumor 4. Arachnoid Cyst 5. Other Organic Causes of CPP- • Traumatic brain injury, • Empty sellaCongenital, • toxoplasmosis
  • 9.
    Hypothalamic Hamartoma Hypothalamic hamartomais the lesion most commonly associated with CPP, being implicated in up to 60% of cases. Hypothalamic hamartomas may be either • sessile (intrahypothalamic) or • pedunculated (parahypothalamic). Imaging Features.— Sessile hypothalamic hamartomas may expand the hypothalamus. Pedunculated hypothalamic hamartomas usually arise from the floor of the hypothalamus and extend inferiorly.
  • 10.
    Hypothalamic Hamartoma Hypothalamic hamartomais the lesion most commonly associated with CPP, being implicated in up to 60% of cases. Hypothalamic hamartomas may be either • sessile (intrahypothalamic) or • pedunculated (parahypothalamic). Imaging Features.— Sessile hypothalamic hamartomas may expand the hypothalamus. Pedunculated hypothalamic hamartomas usually arise from the floor of the hypothalamus and extend inferiorly.
  • 11.
    They are typicallyisointense relative to gray matter with T1- and T2-weighted sequences, although they may be mildly hyper- or hypointense relative to gray matter with T2-weighted sequences
  • 14.
    Hypothalamic-Chiasmatic Astrocytoma Hypothalamic-chiasmatic astrocytomasrepresent up to 5% of all brain tumors in children, but they occur in 15%–20% of children with NF-1. Imaging Features.— • Enlargement or kinking of the affected optic nerve and chiasm are common. • The lesion is classically T1 isointense and T2 hyperintense with homogeneous enhancement. • Although cystic components may be seen, they are less common in patients with NF-1.
  • 18.
    Germ Cell Tumor Germcell tumors of the CNS arise in the pineal region, sellar- suprasellar region, basal ganglia. Imaging Features.— • The imaging characteristics of germ cell tumor are highly variable, including T1 and T2 signal heterogeneity as well as a variable degree of contrast material enhancement of its solid elements. • Germinomas may diffusely enhance. • Heterogeneity is seen in nongerminomatous germ cell tumors and may be secondary to intratumoral hemorrhage. • Cysts may be seen in both germinomas and nongerminomatous germ cell tumors.
  • 19.
    • Synchronous tumorsin the pineal and suprasellar regions may occur. • Dissemination is not uncommon in germ cell tumors, and screening of the entire neuroaxis should be performed.
  • 22.
    Arachnoid Cyst Arachnoid cystsaccount for roughly 1% of intracranial masses, with nearly 10% occurring in the sellar-suprasellar region. Imaging Features.— • Arachnoid cysts are smooth, well-circumscribed lesions that classically follow the attenuation and signal characteristics of cerebrospinal fluid unless complicated by hemorrhage. • There is no associated enhancement, although there may be associated mass effect or remodeling of the adjacent calvaria.
  • 26.
    Adrenal Gland The adrenalgland is made up of two distinct endocrine glands: 1. the medulla, which produces catecholamines, and 2. the cortex, which produces steroid hormones. Cortex: G- Aldosterone (Mineralocorticoid) F- Cortisol (Glucocorticoid) R- Sex steroids (Androgen) Medulla: Catecolamines (Norepinephrine, epinephrine, Dopamine)
  • 27.
    The neonatal adrenalgland is large due to the presence of persistent fetal cortex, which rapidly involutes in the first few months of life. The normal large glands are easily visualized at US in young infants. A central echogenic stripe that represents the medulla and prominent central veins is noted. This is surrounded by a thicker hypoechoic region with a smooth or slightly undulating surface representing the fetal and definitive adrenal cortex. Once involution of the fetal cortex has occurred, the normal adrenal gland is seen only at CT or MR imaging, and each limb is no greater in width than the adjacent diaphragmatic crus.
  • 28.
    Adrenal Cortical Neoplasm Althoughrare, pediatric adrenal tumors most commonly manifest with signs and symptoms of virilization. Unlike similar tumors in adults, most pediatric ACNs (85%) are hyperfunctioning. Overproduction of androgens may be accompanied by hypersecretion of cortisol or aldosterone. ACNs are rarely feminizing.
  • 29.
    Unlike with theadult tumors, which can be readily differentiated histologically into benign adenomas and malignant carcinomas, histologic classification of pediatric ACNs is not predictive of biologic behavior. The malignant potential of a particular tumor is unknown, and the term adrenal cortical neoplasm is preferred. ACNs are rare in children and account for only 0.2%–0.5% of pediatric cancers. A bimodal age distribution - younger than 5 years of age. The peak age at diagnosis in the adolescent group is 10–16 years
  • 30.
    Imaging Features.— In adults,benign and malignant ACNs are differentiated on the basis of findings of intracytoplasmic lipid and rapid contrast material washout, which are seen in adenomas but not in carcinomas. The predictive value of these findings has not been studied in children, and imaging diagnosis is not as important in children as in adults. Because the vast majority of childhood ACNs are functional, the diagnosis is known on the basis of laboratory findings. Thus, the role of imaging in children with ACN is not diagnosis, but rather localization of the primary tumor and any metastases and determination of the local extent of the primary tumor for surgical planning.
  • 31.
    Smaller lesions arehomogeneous, whereas larger lesions appear heterogeneous due to central necrosis, hemorrhage, and calcification. Prominent radiating fibrous bands may create a nodular appearance or the appearance of a characteristic stellate scar.
  • 32.
    At US, smallerlesions are generally homogeneously hypo- or hyperechoic. Larger lesions may have a more heterogeneous nodular appearance or may contain central or diffuse hypoechoic areas corresponding to necrosis. The mass may be surrounded by a hyperechoic, capsule-like rim. Use of color Doppler imaging is helpful in evaluating for caval extension of tumor
  • 33.
    At CT, largeACNs show heterogeneous, predominantly peripheral enhancement. The tumor may be surrounded by a thick, capsule-like rim that enhances. Fine or coarse calcification is seen at CT in about 30% of cases
  • 34.
    MR imaging demonstratesthe mass as iso- to slightly hypointense on T1WI and hyperintense on T2WI relative to the liver. Functioning ACNs frequently show uniform signal loss at chemical shift imaging due to intracytoplasmic lipid. (FDG) PET/CT is sensitive for the detection of ACNs due to their metabolic activity. The main role of FDG PET in the evaluation of patients with ACN is detection of distant metastases.
  • 45.
    Differential Diagnosis.— In thepresence of an endocrinopathy, there is no differential diagnosis. Without these symptoms, adrenal medullary tumors should be considered first. Neuroblastoma is far more common than ACN. The typical growth pattern of neuroblastoma is different from that of ACN in that neuroblastoma tends to surround rather than invade vessels, cross the midline, and extend into neural foramina.
  • 46.
    Pheochromocytoma is anothertumor of the adrenal medulla that may occur in older children. Medullary tumors can be distinguished from ACN on the basis of laboratory findings of elevated catecholamine levels in the serum and urine and focal radiopharmaceutical uptake at scanning with metaiodobenzoguanidine.
  • 47.
    Congenital Adrenal Hyperplasia CAH,or adrenogenital syndrome, most often manifests in the perinatal period with ambiguous genitalia in girls or salt wasting in boys, but some patients may have delayed presentation with virilization at puberty. Patients with Beckwith-Wiedemann syndrome are at increased risk for ACN and may also have cortical hyperplasia, with enlarged glands with a nodular or “cerebriform” surface due to adrenal cytomegaly involving most of the cells in the fetal cortex.
  • 51.
    Imaging Features.— CAH causesbilateral adrenal gland enlargement, which may be asymmetric. An adrenal limb thicker than 4 mm is considered enlarged even in the neonatal period. Adrenal gland enlargement alone is not sensitive or specific for CAH. A normal-sized adrenal gland does not exclude the diagnosis of CAH, and some healthy babies have adrenal glands in the size range typical of CAH.
  • 54.
    Testicular adrenal resttumors in adrenogenital syndrome are very common in boys with CAH. These tumors are small, generally multiple, and often bilateral. The involved testis may be enlarged, but its contour is not distorted. The masses are eccentric and commonly surround the mediastinum testis.
  • 55.
    Their appearance atUS is variable and depends on size. Smaller lesions (<2 cm) appear hypoechoic compared with the adjacent testicle, whereas larger lesions appear hyperechoic with posterior acoustic shadowing. At color Doppler imaging, vessels may be seen coursing through the lesion without being deviated by it.
  • 56.
    Female Reproductive Organs Thenormal neonatal uterus is enlarged due to the influence of maternal hormones. The cervix is larger than the fundus, and the uterus is spade shaped. Endometrium is readily visualized as a thin echogenic line in the uterine corpus.
  • 57.
    After the firstfew months of life, the prepubertal uterus is straight and tubular in configuration, with the cervix the same size as or slightly larger than the fundus .
  • 58.
    With the onsetof puberty, the influence of estrogen causes enlargement of the uterine fundus more than of the cervix, the uterus assumes the pear shape US image obtained in another healthy prepubertal girl shows small follicles within the ovaries
  • 59.
    Ovarian Cyst The mostcommon cause of PPP in girls is an autonomously functioning follicular cyst. Patients generally present with vaginal bleeding and breast development. Vaginal bleeding is due to withdrawal of estrogen stimulation when the cyst ruptures. Imaging Features- The finding of an ovarian cyst 9 mm or larger in a girl with precocious puberty is strongly suggestive of PPP with autonomous ovarian estrogen secretion. Uncomplicated follicular cysts are anechoic or hypoechoic unilocular cysts. Can be complicated by hemorrhage. In PPP due to autonomous follicular cyst, the contralateral ovary is within normal size limits, but the uterus has a pubertal morphology and size due to estrogen stimulation. In contrast, girls with CPP often have bilateral small (<9-mm) cysts
  • 60.
    Juvenile GCT ofthe Ovary Juvenile GCT is a malignant primary ovarian neoplasm of children and young adults that is most often characterized by clinical manifestations of steroid hormone overproduction. The lesion is classified as a sex cord–stromal tumor. Imaging Features.— As an ovarian tumor, juvenile GCT is usually initially identified at US, with demonstration of a large mixed cystic and solid mass.
  • 61.
    US also showsuterine enlargement and pubertal morphology due to estrogen effect
  • 62.
    At CT, thesolid component of juvenile GCT may show iso- to hyperattenuation as well as contrast enhancement. Hyperattenuating hemorrhage within cystic components of the mass is a characteristic finding. Calcifications are not a feature of juvenile GCT.
  • 63.
    At MR imaging,the solid portion of the tumor demonstrates intermediate signal intensity with multiple hyperintense cystic spaces on T2-weighted images, creating a spongelike appearance
  • 65.
    Male Reproductive Organs Sexcord–stromal tumors of the testis are active endocrine tumors that secrete testosterone or estrogen, leading to precocious puberty in 10% of children. This class of tumors includes Leydig cell, Sertoli cell, juvenile granulosa cell, and undifferentiated tumors. Leydig Cell Tumors Patients less than 10 years of age. Imaging Features.—At US, Leydig cell tumors are usually homogeneous and hypoechoic but less commonly appear echogenic
  • 66.
    At Doppler evaluation,Leydig cell tumors typically have prominent circumferential blood flow with a lack of internal vascularity. At MR imaging - isointense on T1-weighted images and - hypointense on T2-weighted images compared with surrounding testicle. - capsular high signal intensity on T2-weighted images - show marked homogeneous enhancement
  • 67.
    Sertoli Cell Tumors Althoughmost Sertoli cell tumors occur under the age of 40 years, approximately 30% occur in children. The most common histologic variant in children and adolescents is the large- cell calcifying subtype, which secretes testosterone and causes PPP in young boys. Imaging Features.— At US, the appearance of Sertoli cell tumor is variable. The tumor may have the unusual appearance of an enlarged testicle with inhomogeneous increased echogenicity. Sertoli cell tumor may also appear as multiple homogeneous nodules with surrounding thin hypoechoic rims
  • 68.
    The large-cell calcifyingsubtype appears as an echogenic nodule with acoustic shadowing at gray-scale US
  • 69.
    Conclusions Sexual precocity hasa wide range of causes involving multiple endocrine organs, and imaging plays an important role in the evaluation and diagnosis of children with symptoms of early sexual maturation. CPP is usually idiopathic in girls but is most commonly related to a CNS lesion in boys, and brain MR imaging is essential for boys. PPP may be caused by gonadal lesions or adrenal abnormalities, which are best initially evaluated with US. Early diagnosis and treatment reverse the endocrine disorder with its physical changes, preserve adult height potential, and may be potentially life saving.
  • 70.

Editor's Notes

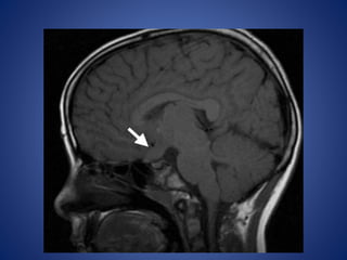
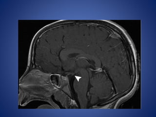
  • #12 Pedunculated hypothalamic hamartoma in a 7-year-old girl with thelarche. (a) Sagittal T1WI shows a small, homogeneous, well-delineated round mass (arrowhead) that is isointense relative to gray matter and projects from the hypothalamus.
  • #13 the mass (arrowhead) demonstrates no enhancement.
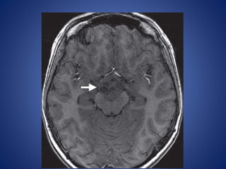
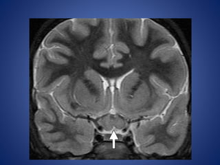
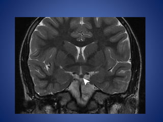
  • #14 coronal T2-weighted MR image, the mass (arrowhead) is isointense relative to gray matter
  • #16 Optic pathway astrocytoma in an 8-year-old child with NF-1. (a) Coronal T2WI shows enlargement of the optic chiasm (arrow), which is hyperintense relative to white matter.
  • #17 Sagittal T1WI shows the isointense enlarged optic chiasm (arrow).
  • #18 Hypothalamic glioma in a 6-year-old child with NF-1 and increased linear growth. (a) Coronal short inversion time inversion-recovery and (b) FLAIR images reveal T2 hyperintensity and enlargement of the left aspect of the hypothalamus (arrow).
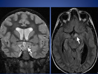
  • #20 Suprasellar germinoma in an 8-year-old girl. (a) Coronal T2WI reveals a heterogeneous mass with hyperintense cystic spaces in the suprasellar region (arrow)
  • #21 (b) Axial T1-weighted image reveals an isointense mass with hypointense cystic areas (arrow) splaying the cerebral peduncles
  • #22 enhancement of the solid components of the mass (arrow)
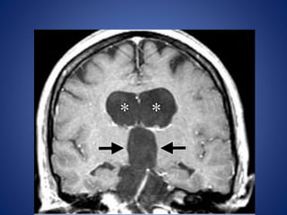
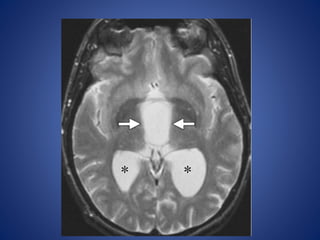
  • #24 Suprasellar arachnoid cyst. (a) Midline sagittal T1WI shows a cyst (arrows) that is isointense relative to cerebrospinal fluid.
  • #25 (b) Axial T2WI, the cyst (arrows) is homogeneous and isointense relative to cerebrospinal fluid. The lateral ventricles (*) are dilated due to obstruction by the cyst.
  • #26 the cyst (arrows) demonstrates no enhancement
  • #36 Fetal subtype ACN in a 2-week-old male neonate. (a) Transverse US image reveals a well-circumscribed hypoechoic mass (arrow) with an irregular hyperechoic central focus corresponding to yellow necrosis.
  • #37 Post-contrast: well-circumscribed mass (arrow) with an irregular, hypoattenuating central focus of necrosis.
  • #38 ACN in an 18-month-old boy with isosexual precocious puberty and Cushing syndrome. Postcontrast: shows the tumor with an enhancing rim (arrowheads).
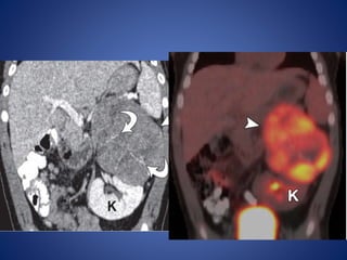
  • #39 Coronal reformatted CT image shows the left adrenal mass (arrowhead) with enhancing bands in a radiating or stellate arrangement (arrows). Coronal fused positron emission tomographic (PET)/CT image shows increased metabolism in the tumor (arrowhead)
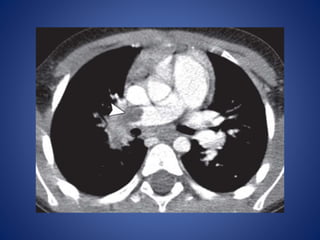
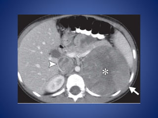
  • #40 Adrenal cortical carcinoma in a 5-year-old girl. Post-contrast: large left retroperitoneal mass (arrow) with central necrosis (*). Tumor thrombus (arrowhead) is seen in the inferior vena cava
  • #41 Axial chest CT image demonstrates a pulmonary embolus (arrowhead) in the right pulmonary artery.
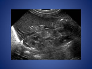
  • #42 ACN in a 23-month-old girl with virilization. (a) Longitudinal US image shows a large, lobulated adrenal mass (arrows) above the kidney
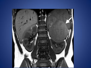
  • #43 Coronal T1-weighted MR image reveals a slightly heterogeneous mass (arrow) that is predominantly hypointense relative to the liver.
  • #44 T2-weighted MR image, the mass (arrow) is hyperintense relative to the liver.
  • #45 mass demonstrates rim enhancement
  • #48 Beckwith-Wiedemann syndrome- macroglossia, otic dysplasia, omphalocoele, localised gigantism / macrosomia, hemihypertrophy, cardiac anomalies, pancreatic islet cell hyperplasia, organomegalies, nephromegaly, hepatosplenomegaly
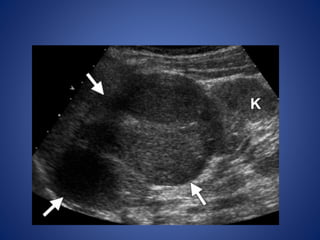
  • #49 Adrenocytomegaly in a 3-month-old female infant with Beckwith-Wiedemann syndrome and hemihypertrophy US image shows an enlarged right adrenal gland (arrows) with an undulating surface and cysts.
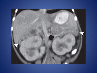
  • #50 Coronal reformatted CT image shows bilateral enlargement of the adrenal glands (arrowheads) with cysts in the right adrenal gland.
  • #51 Prenatal MR image shows an enlarged right adrenal gland with cysts (arrowhead) above the right kidney
  • #53 US image of the right kidney in a healthy neonate shows a normal Y-shaped adrenal gland with central linear echogenicity (arrowhead
  • #54 US image obtained in a female neonate with CAH reveals an enlarged right adrenal gland with a coiled cerebriform appearance
  • #65 mild enhancement of the solid mass
  • #66 US image shows a small, well-circumscribed mass (arrowheads) with mixed echogenicity and some posterior acoustic shadowing