Embed presentation
Downloaded 88 times





























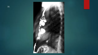
This document appears to be a medical report discussing several patients. It mentions a 35-year-old who was in a severe motor vehicle accident and an 81-year-old with a history of a non-vegetarian diet who had a perforated bowel from a chicken bone. The document provides few other details across its 25 numbered entries and was authored by Dr. Anish Choudhary for junior year 3 on May 30, 2016.



























