Marcin 
Paradowski 
The impact on patient care of completing a 
postgraduate degree course.
Initially I would like to present how so far my 
post graduate education has improved service 
delivery for patients.
Following my MSc in Endodontics all of my 
root canal treatments are carried out using 
microscope magnification. 
- great knowledge 
- ability to treat 
difficult cases 
- improved quality of 
clinical work 
- no referrals and 
traveling for patients 
- teaching and 
training young 
dentists
Microscope in 
Endodontics 
• Localization of root 
canals 
• Improved cleaning 
• Improved 
obturation 
• Higher survival 
rate
difficult anatomy
labial access to lower 
incisors 
4 years review
pulp stones
advanced re-rct 
post removal
Microscope enhanced 
dentistry 
• endodontics 
• prosthodontics 
• oral surgery 
• periodontics
Examinations 
- caries detection 
- perfect reading 
from perio probes 
great records for 
patients and great 
help when 
discussing 
treatment plan
Investigation and 
repair of cracked 
teeth
Oral surgery 
-atraumatic 
extractions 
- minimally 
invasive 
surgical 
extraction 
-apical surgery 
All with 
improved 
healing for the 
patient.
Microscope in Fixed, Removable 
Prosthodontics and composites 
• perfect crown 
preparations 
• excellent fit of fixed 
prosthesis 
• beautifully finished 
composite 
• The above allow the 
patient to maintain 
excellent periodontal 
health.
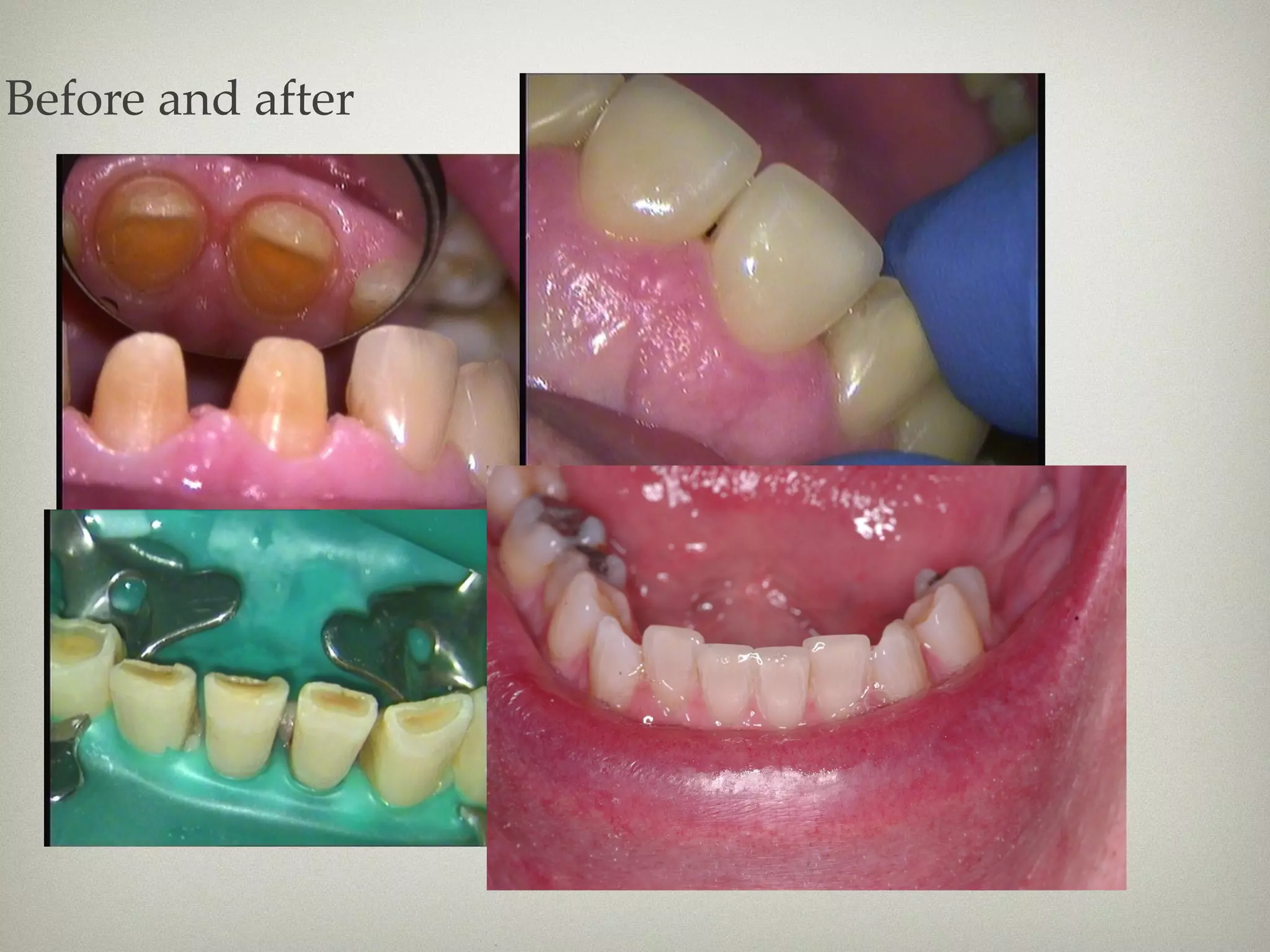
Before and after
Perfectly finished 
composite 
restorations= long 
lasting restorations.
These pictures are a sample of my work 
and show evidence of improved quality of 
care for my patients 
I am a great supporter of evidence based 
dentistry and I hope to increase my 
knowledge during my studying but also to 
be involved in the creation of future 
evidence to move dentistry forward.
MSc In restorative 
dentistry in rural area 
• There are about 15% more elderly people living in rural areas. 
(census2011) 
• patients have to travel long distance for specialist treatment 
• people are living longer 
• older patients retain their own teeth for longer 
• older patients are more educated and expecting more of restorative 
work , prefer to keep their own teeth over dentures 
• there is also quite a high rate of caries with older population, 
• patients present with severe tooth abrasion. 
• Also older patients are presenting with more complex medical 
histories , this can infuence treatment options and more treatment 
more complex and difficult. ref . for all above ( Int Dent J. 2007 
Dec;57(6):423-8.)
Research 
proposal 
I would like to research how work with magnification 
can improve the quality of restorations. 
I think it best would be to check micro-leakage of 
restorations done with and without magnification on 
extracted teeth.
The impact on patient care of 
completing a postgraduate 
course. 
• Increased knowledge and better patient 
care 
• improved confidence, attitudes and 
skills 
• minimized number of referrals 
• Better understanding of research and 
evidence based dentistry 
• creation of new evidence 
• opportunity to teach young dentists 
and colleagues .
Therefore, I think that there is a 
great need for highly educated 
clinicians in restorative dentistry to 
be able to treat patients with 
greater care and a wider 
knowledge of evidence based 
dentistry. Clinicians that will be 
able to train recently qualified 
dentists , pass knowledge and 
influence others. By doing this the 
impact of the MSc course is 
greater and goes a lot wider, going 
beyond treating my own patients.

msc impact presentation

  • 1.
    Marcin Paradowski Theimpact on patient care of completing a postgraduate degree course.
  • 2.
    Initially I wouldlike to present how so far my post graduate education has improved service delivery for patients.
  • 3.
    Following my MScin Endodontics all of my root canal treatments are carried out using microscope magnification. - great knowledge - ability to treat difficult cases - improved quality of clinical work - no referrals and traveling for patients - teaching and training young dentists
  • 4.
    Microscope in Endodontics • Localization of root canals • Improved cleaning • Improved obturation • Higher survival rate
  • 5.
  • 6.
    labial access tolower incisors 4 years review
  • 7.
  • 8.
  • 9.
    Microscope enhanced dentistry • endodontics • prosthodontics • oral surgery • periodontics
  • 10.
    Examinations - cariesdetection - perfect reading from perio probes great records for patients and great help when discussing treatment plan
  • 11.
    Investigation and repairof cracked teeth
  • 12.
    Oral surgery -atraumatic extractions - minimally invasive surgical extraction -apical surgery All with improved healing for the patient.
  • 13.
    Microscope in Fixed,Removable Prosthodontics and composites • perfect crown preparations • excellent fit of fixed prosthesis • beautifully finished composite • The above allow the patient to maintain excellent periodontal health.
  • 14.
  • 15.
    Perfectly finished composite restorations= long lasting restorations.
  • 16.
    These pictures area sample of my work and show evidence of improved quality of care for my patients I am a great supporter of evidence based dentistry and I hope to increase my knowledge during my studying but also to be involved in the creation of future evidence to move dentistry forward.
  • 17.
    MSc In restorative dentistry in rural area • There are about 15% more elderly people living in rural areas. (census2011) • patients have to travel long distance for specialist treatment • people are living longer • older patients retain their own teeth for longer • older patients are more educated and expecting more of restorative work , prefer to keep their own teeth over dentures • there is also quite a high rate of caries with older population, • patients present with severe tooth abrasion. • Also older patients are presenting with more complex medical histories , this can infuence treatment options and more treatment more complex and difficult. ref . for all above ( Int Dent J. 2007 Dec;57(6):423-8.)
  • 18.
    Research proposal Iwould like to research how work with magnification can improve the quality of restorations. I think it best would be to check micro-leakage of restorations done with and without magnification on extracted teeth.
  • 19.
    The impact onpatient care of completing a postgraduate course. • Increased knowledge and better patient care • improved confidence, attitudes and skills • minimized number of referrals • Better understanding of research and evidence based dentistry • creation of new evidence • opportunity to teach young dentists and colleagues .
  • 20.
    Therefore, I thinkthat there is a great need for highly educated clinicians in restorative dentistry to be able to treat patients with greater care and a wider knowledge of evidence based dentistry. Clinicians that will be able to train recently qualified dentists , pass knowledge and influence others. By doing this the impact of the MSc course is greater and goes a lot wider, going beyond treating my own patients.