Embed presentation
Download to read offline








































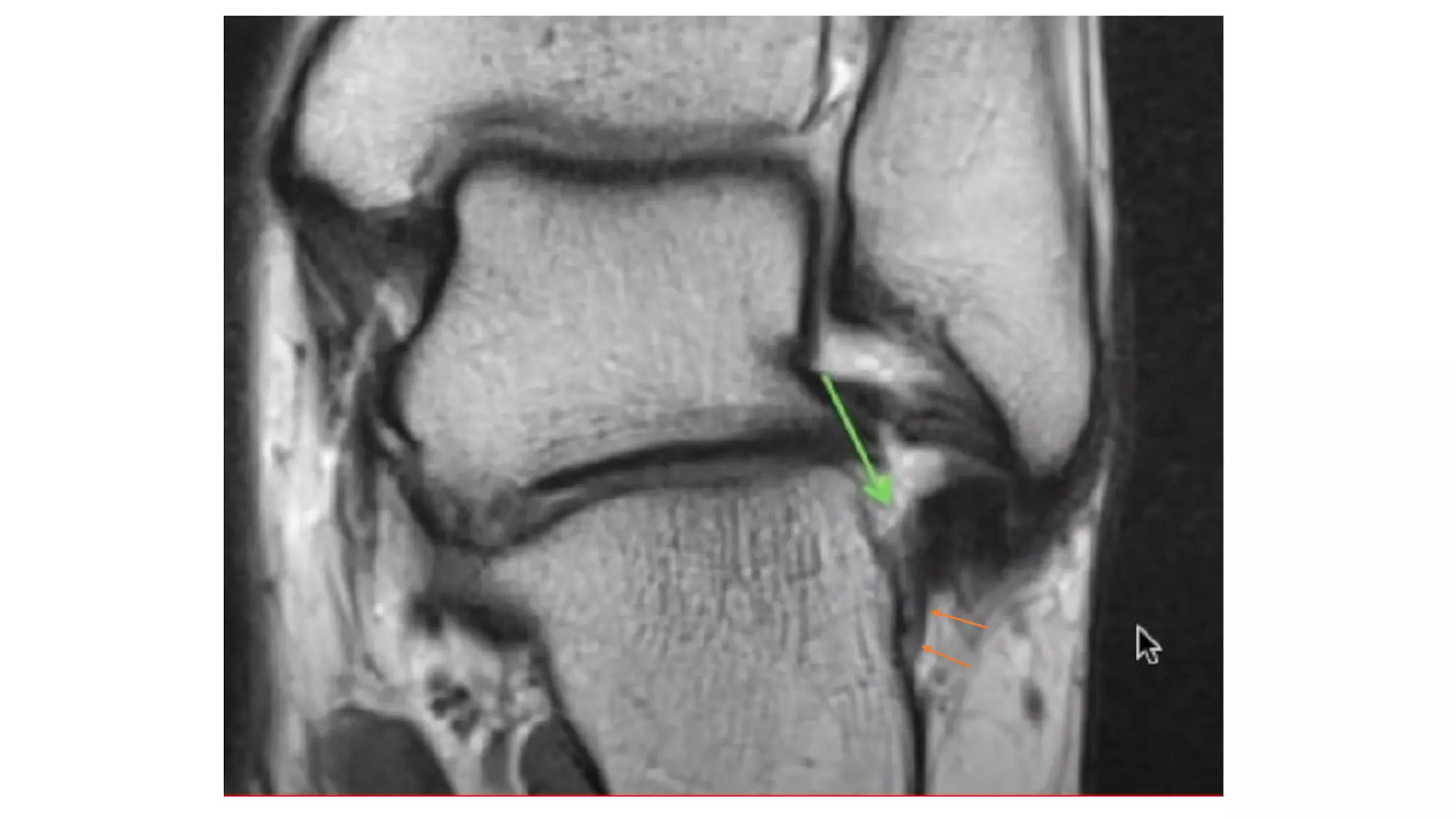
This MRI ankle report describes the anatomy of the ankle, including ligaments such as the anterior and posterior tibiofibular ligaments, syndesmosis ligaments, deltoid ligament, and calcaneofibular ligament. It outlines the tendons in the anterior, lateral, medial, and posterior compartments, including the tibialis posterior, peroneus, flexor hallucis longus, and Achilles tendons. The sinus tarsi is also noted.







































