REPRODUCCIÓ CEL·LULAR
MITOSI
10/05/10
Cicle cel·lular
• El cicle vital d’una cèl·lula depèn de la seva especialització, però totes
naixen, creixen es diferencien i finalment moren, generalment per
autòlisi a partir dels lisosomes, procés anomenat apoptosi. Els orgànuls
interns de la cèl·lula també es renoven de manera constant (mitocondris i
cloroplasts es divideixen)
• Tant per al creixement com per a la reproducció dels éssers vius, és
necessari que hi hagi divisió cel·lular, aquesta pot ser de tres tipus:
– Fissió binaria: pròpia de les cèl·lules procariotes
– Mitosi: pròpia de cèl·lules eucariotes. Una cèl·lula mare dona
lloc a cèl·lules filles amb la mateixa dotació cromosòmica
(cèl·lules somàtiques humanes, 2n)
– Meiosi: Una cèl·lula mares dona lloc a cèl·lules filles amb la
meitat de la dotació cromosòmica (cèl·lules reproductores
humanes, una cèl·lula diploide dona lloc a quatre cèl·lules
haploides)
Possibles causes de la divisió cel·lular:
• La divisió esdevé quan la cèl·lula creix augmenta el volum de manera que
disminueix la relació àrea (superfície)/volum. Factor intern
Àrea: π r2
Volum: 4/3 π r3
La superfície de la
membrana plasmàtica és insuficient per a nodrir tot el citoplasma
• A l’augmentar el citoplasma la relació nucleoplasmàtica és inferior a un
valor determinat, el nucli no pot controlar tot el citoplasma. Factor intern
• Per dependència d’ancoratge. Quan la cèl·lula entra en contacte amb una
superfície externa (matriu extracel·lular) Factor intern
• Per disponibilitat d’espai, no hi ha inhibició per contacte ni inhibició per
densitat (una ferida) Factor extern
• Per factors de creixement (auxines de vegetals) o agents mitògens. Factor
extern
Principals h! Ciclines i kinases
Un creixement descontrolat ---- Tumor Benigne
Maligne amb/sense metàstasi
• El cicle cel·lular inclou des de la formació de la cèl·lula fins a la seva divisió.
• El cicle cel·lular es divideix en dues parts: mitosi i interfase
INTERFASE
Fase activa, inclou:
• Fase G1: Síntesi d’RNAm i proteïnes. Durada variable segons el tipus cel·lular. Presència d’1
diplosoma. A partir del punt R (mamífers) o punt de no retorn, les altres fases esdevenen
segur. Abans del punt R es produeix la diferenciació cel·lular (manifestació de determinats
gens)
• Fase G0: La cèl·lula resta “adormilada” sense arribar al punt R. Sota l’efecte de determinades
hormones poden tornar a la fase G1. Les neurones i altres cèl·lules resten en aquesta fase
per sempre, no es poden dividir.
• Fase S: Duplicació DNA, síntesi de RNAm i proteïnes (histones)
• Fase G2: Inici condensació cromosomes. DNA ja duplicat. Síntesi de RNAm i proteïnes
(histones). Duplicació del diplosoma. Preparació per a la divisió
Animació cicle
Punts de control del cicle
• En els punts de control G1, G2 i M la cèl·lula ha de rebre una senyal de
continuació que la donen les proteïnes ciclines i kinases. Un exemple és el
factor promotor de ma mitosi (FPM), que és un complex cilcina-kinasa
necessari per superar el punt de control G2 i iniciar la mitosi
Feina:
Ex. 1, 2, 3 i 4 pàg 161
Ex. 5, 6, 7 i 8 pàg 163
MITOSI ASTRAL
• Compren la cariocinesi i la citocinesi. És un procés continu en el que es
generen dues cèl·lules filles amb la mateixa dotació cromosòmica que la
mare.
CARIOCINESI
– Profase: Comença quan les fibres de cromatina de 100 A comencen a enrotllar-se per
donar lloc a dues cromàtides unides pel centròmer (cromosoma profàsic). Degut a la
condensació desapareix el nuclèol. Els diplosomes envoltats de material pericentriolar
reben el nom de complex centriolar, a partir d’ell es formen els microtúbuls que es
disposen radialment formant les fibres de l’aster. Dels dos àster s’organitzaran els
microtúbuls, formant-se les fibres/microtúbuls polars o contínues que al créixer
provocaran la separació dels dos àsters. Les fibres polars formaran el fus mitòtic
– Prometafase: Entra aigua al nucli, que s’infla, i l’embolcall nuclear es trenca dispersant-
se el nucleoplasma. En el centròmer dels cromosomes es forma el cinetocor que es
comporta com a centre organitzador de microtúbuls. A partir dels cinetocor es formen
els microtúbuls cinetocòrics que formaran les fibres cromosòmiques que es col·loquen
perpendicularment als dos costats del cromosoma, que s’allarguen i separen els
cromosomes a l’imbrincar-se en el fus mitòtic, causant l’orientació de les cromàtides cap
a pols oposats
11/05/10
– Metafase: S’allarguen els microtúbuls cinetocòrics i els cromosomes queden al mig dels
dos complexos centriolars, en l’anomenada placa equatorial
Anafase: S’inicia la separació de les cromàtides germanes, que formaran cadascun
dels cromosomes metafàsics (una cromàtida forma un cromosoma anafàsic) . Per
evitar errors, es compten tants cromosomes com centròmers. Els microtúbuls
cinetocòrics s’escurcen i els microtúbuls polars creixen allargant el fus mitòtic i els
cromosomes anafàsics es desplacen cap als pols. Finalment arriben als pols i es
condensen, ja no són diferenciables, desapareixen els cinetocors.
– Telofase: Comença quan les dos dotacions cromosòmiques es condensen en dues masses als
pols del fus mitòtic i acaba quan queden envoltades d’embolcall nuclear dant lloc als dos
nuclis fills, gràcies a que la làmina fibrosa s’adhereix als cromosomes i l’embolcall es forma a
partir dels sàculs del RE i de restes d’embolcall nuclear de la cèl·lula mare. Finalment els
cromosomes es descondensen i comença la transcripció i la formació dels nuclèols.
Els microtúbuls polars es deixen anar del material pericentriolar, s’apropen i formen feixos a
l’altura de la interzona (antiga placa equatorial, entre els dos grups de cromosomes). En
aquesta regió s’hi acumulen moltes proteïnes formant els cilindres de substància densa,
importants en la citocinesi que esdevé alhora que la telofase.
Llegir últim paràgraf llibre pàg 166
CITOCINESI
• Divisió citoplasmàtica:
– Estrangulació: Pròpia de cèl·lules animals. Inicia al final anafase amb una
invaginació de la membrana a nivell de la placa equatorial (solc de divisió),
resultat de la formació d’un anell contràctil intern format de polímers d’actina
units per un extrem a la cara interna de la membrana plasmàtica. Els extrems
lliures es desplacen gràcies a les molècules de miosina. El citoplasma es va
estrenyent fins que la membrana del solc contacta amb el feix interzonal i el
citoplasma es divideix
– Formació d’un septe intracel·lular: En vegetals s’agrupen vesícules de l’AG en
la placa equatorial, gràcies als microtúbuls interzonals, formant-se el
fragmoplast. Les vesícules es fusionen i es forma la placa cel·lular primerenca
que creix centrífugament per addició de vesícules i divideix la cèl·lula, i es
formaran les membranes cel·lular. Resten punts d’unió entre les dues
cèl·lules, plasmodesmes. Posteriorment es formarà la làmina mitjana i la paret
cel·lular
Vídeo mitosi
Feina:
– Exercicis 9-18 pàgina 168
• Formes de reproducció. Llibre pàg 170
Deures:
– Ex. 30 a 43 pàg 182
Feina per presentar el dia 28/05/10
– Interpretació de dades ex. 50 a 53
Exàmen tema
– Divendres 28/05/10

Mitosi

  • 1.
  • 2.
    Cicle cel·lular • Elcicle vital d’una cèl·lula depèn de la seva especialització, però totes naixen, creixen es diferencien i finalment moren, generalment per autòlisi a partir dels lisosomes, procés anomenat apoptosi. Els orgànuls interns de la cèl·lula també es renoven de manera constant (mitocondris i cloroplasts es divideixen) • Tant per al creixement com per a la reproducció dels éssers vius, és necessari que hi hagi divisió cel·lular, aquesta pot ser de tres tipus: – Fissió binaria: pròpia de les cèl·lules procariotes – Mitosi: pròpia de cèl·lules eucariotes. Una cèl·lula mare dona lloc a cèl·lules filles amb la mateixa dotació cromosòmica (cèl·lules somàtiques humanes, 2n) – Meiosi: Una cèl·lula mares dona lloc a cèl·lules filles amb la meitat de la dotació cromosòmica (cèl·lules reproductores humanes, una cèl·lula diploide dona lloc a quatre cèl·lules haploides)
  • 3.
    Possibles causes dela divisió cel·lular: • La divisió esdevé quan la cèl·lula creix augmenta el volum de manera que disminueix la relació àrea (superfície)/volum. Factor intern Àrea: π r2 Volum: 4/3 π r3 La superfície de la membrana plasmàtica és insuficient per a nodrir tot el citoplasma • A l’augmentar el citoplasma la relació nucleoplasmàtica és inferior a un valor determinat, el nucli no pot controlar tot el citoplasma. Factor intern • Per dependència d’ancoratge. Quan la cèl·lula entra en contacte amb una superfície externa (matriu extracel·lular) Factor intern • Per disponibilitat d’espai, no hi ha inhibició per contacte ni inhibició per densitat (una ferida) Factor extern • Per factors de creixement (auxines de vegetals) o agents mitògens. Factor extern Principals h! Ciclines i kinases Un creixement descontrolat ---- Tumor Benigne Maligne amb/sense metàstasi
  • 4.
    • El ciclecel·lular inclou des de la formació de la cèl·lula fins a la seva divisió. • El cicle cel·lular es divideix en dues parts: mitosi i interfase INTERFASE Fase activa, inclou: • Fase G1: Síntesi d’RNAm i proteïnes. Durada variable segons el tipus cel·lular. Presència d’1 diplosoma. A partir del punt R (mamífers) o punt de no retorn, les altres fases esdevenen segur. Abans del punt R es produeix la diferenciació cel·lular (manifestació de determinats gens) • Fase G0: La cèl·lula resta “adormilada” sense arribar al punt R. Sota l’efecte de determinades hormones poden tornar a la fase G1. Les neurones i altres cèl·lules resten en aquesta fase per sempre, no es poden dividir. • Fase S: Duplicació DNA, síntesi de RNAm i proteïnes (histones) • Fase G2: Inici condensació cromosomes. DNA ja duplicat. Síntesi de RNAm i proteïnes (histones). Duplicació del diplosoma. Preparació per a la divisió
  • 5.
  • 6.
    Punts de controldel cicle • En els punts de control G1, G2 i M la cèl·lula ha de rebre una senyal de continuació que la donen les proteïnes ciclines i kinases. Un exemple és el factor promotor de ma mitosi (FPM), que és un complex cilcina-kinasa necessari per superar el punt de control G2 i iniciar la mitosi Feina: Ex. 1, 2, 3 i 4 pàg 161 Ex. 5, 6, 7 i 8 pàg 163
  • 7.
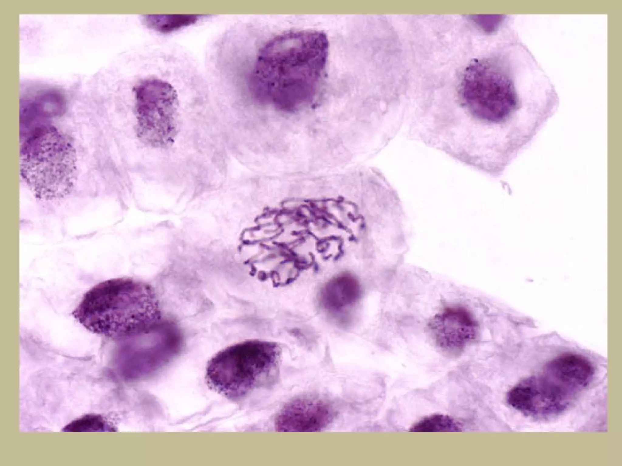
    MITOSI ASTRAL • Comprenla cariocinesi i la citocinesi. És un procés continu en el que es generen dues cèl·lules filles amb la mateixa dotació cromosòmica que la mare. CARIOCINESI – Profase: Comença quan les fibres de cromatina de 100 A comencen a enrotllar-se per donar lloc a dues cromàtides unides pel centròmer (cromosoma profàsic). Degut a la condensació desapareix el nuclèol. Els diplosomes envoltats de material pericentriolar reben el nom de complex centriolar, a partir d’ell es formen els microtúbuls que es disposen radialment formant les fibres de l’aster. Dels dos àster s’organitzaran els microtúbuls, formant-se les fibres/microtúbuls polars o contínues que al créixer provocaran la separació dels dos àsters. Les fibres polars formaran el fus mitòtic – Prometafase: Entra aigua al nucli, que s’infla, i l’embolcall nuclear es trenca dispersant- se el nucleoplasma. En el centròmer dels cromosomes es forma el cinetocor que es comporta com a centre organitzador de microtúbuls. A partir dels cinetocor es formen els microtúbuls cinetocòrics que formaran les fibres cromosòmiques que es col·loquen perpendicularment als dos costats del cromosoma, que s’allarguen i separen els cromosomes a l’imbrincar-se en el fus mitòtic, causant l’orientació de les cromàtides cap a pols oposats 11/05/10
  • 14.
    – Metafase: S’allarguenels microtúbuls cinetocòrics i els cromosomes queden al mig dels dos complexos centriolars, en l’anomenada placa equatorial
  • 17.
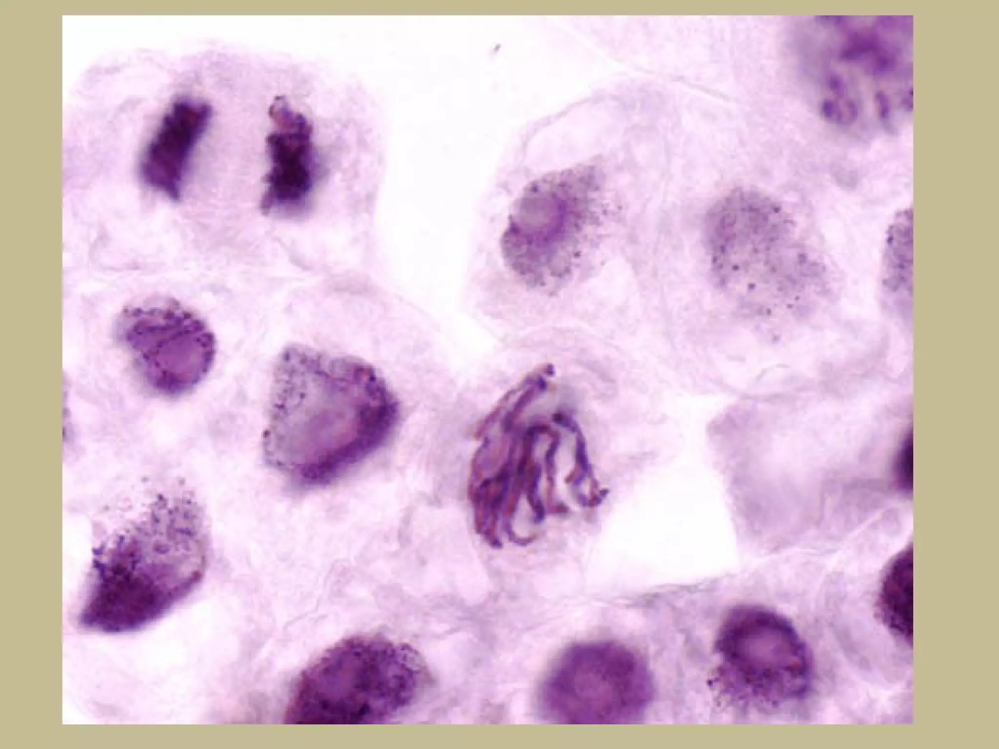
    Anafase: S’inicia laseparació de les cromàtides germanes, que formaran cadascun dels cromosomes metafàsics (una cromàtida forma un cromosoma anafàsic) . Per evitar errors, es compten tants cromosomes com centròmers. Els microtúbuls cinetocòrics s’escurcen i els microtúbuls polars creixen allargant el fus mitòtic i els cromosomes anafàsics es desplacen cap als pols. Finalment arriben als pols i es condensen, ja no són diferenciables, desapareixen els cinetocors.
  • 20.
    – Telofase: Començaquan les dos dotacions cromosòmiques es condensen en dues masses als pols del fus mitòtic i acaba quan queden envoltades d’embolcall nuclear dant lloc als dos nuclis fills, gràcies a que la làmina fibrosa s’adhereix als cromosomes i l’embolcall es forma a partir dels sàculs del RE i de restes d’embolcall nuclear de la cèl·lula mare. Finalment els cromosomes es descondensen i comença la transcripció i la formació dels nuclèols. Els microtúbuls polars es deixen anar del material pericentriolar, s’apropen i formen feixos a l’altura de la interzona (antiga placa equatorial, entre els dos grups de cromosomes). En aquesta regió s’hi acumulen moltes proteïnes formant els cilindres de substància densa, importants en la citocinesi que esdevé alhora que la telofase.
  • 22.
    Llegir últim paràgrafllibre pàg 166
  • 23.
    CITOCINESI • Divisió citoplasmàtica: –Estrangulació: Pròpia de cèl·lules animals. Inicia al final anafase amb una invaginació de la membrana a nivell de la placa equatorial (solc de divisió), resultat de la formació d’un anell contràctil intern format de polímers d’actina units per un extrem a la cara interna de la membrana plasmàtica. Els extrems lliures es desplacen gràcies a les molècules de miosina. El citoplasma es va estrenyent fins que la membrana del solc contacta amb el feix interzonal i el citoplasma es divideix – Formació d’un septe intracel·lular: En vegetals s’agrupen vesícules de l’AG en la placa equatorial, gràcies als microtúbuls interzonals, formant-se el fragmoplast. Les vesícules es fusionen i es forma la placa cel·lular primerenca que creix centrífugament per addició de vesícules i divideix la cèl·lula, i es formaran les membranes cel·lular. Resten punts d’unió entre les dues cèl·lules, plasmodesmes. Posteriorment es formarà la làmina mitjana i la paret cel·lular
  • 24.
  • 25.
    Feina: – Exercicis 9-18pàgina 168 • Formes de reproducció. Llibre pàg 170 Deures: – Ex. 30 a 43 pàg 182 Feina per presentar el dia 28/05/10 – Interpretació de dades ex. 50 a 53 Exàmen tema – Divendres 28/05/10