Protozoans
Protozoans
 Protozoans include a wide diversity of taxa that do
Protozoans include a wide diversity of taxa that do
not form a monophyletic group but all are
not form a monophyletic group but all are
unicellular eukaryotes.
unicellular eukaryotes.
 Protozoa lack a cell wall, have at least one motile
Protozoa lack a cell wall, have at least one motile
stage in their life cycle and most ingest their food.
stage in their life cycle and most ingest their food.
 Protozoan cell is much larger and more complex
Protozoan cell is much larger and more complex
than prokaryotic cell and contains a variety of
than prokaryotic cell and contains a variety of
organelles (e.g. Golgi apparatus, mitochondria,
organelles (e.g. Golgi apparatus, mitochondria,
ribosomes, etc).
ribosomes, etc).
Protozoans
Protozoans
 Eukaryotic cell was developed through endosymbiosis.
Eukaryotic cell was developed through endosymbiosis.
 In distant past aerobic bacteria appear to have been
In distant past aerobic bacteria appear to have been
engulfed by anaerobic bacteria, but not digested.
engulfed by anaerobic bacteria, but not digested.
Ultimately, the two developed a symbiotic relationship
Ultimately, the two developed a symbiotic relationship
with the engulfed aerobic bacteria becoming
with the engulfed aerobic bacteria becoming
mitochondria and eukaryotic cells developed.
mitochondria and eukaryotic cells developed.
 In a similar fashion, ancestors of chloroplasts formed
In a similar fashion, ancestors of chloroplasts formed
symbiotic union with other prokaryotes.
symbiotic union with other prokaryotes.
Protozoans
Protozoans
 Protozoans include both autotrophs and
Protozoans include both autotrophs and
heterotrophs. They include free-living and
heterotrophs. They include free-living and
parasitic forms.
parasitic forms.
 Reproduction can be asexual by fission or
Reproduction can be asexual by fission or
budding or sexual by conjugation or
budding or sexual by conjugation or
syngamy (fusion of gametes).
syngamy (fusion of gametes).
Protozoans
Protozoans
 The protozoa were once considered a
The protozoa were once considered a
single phylum, now at least 7 phyla are
single phylum, now at least 7 phyla are
recognized.
recognized.
 Were also once grouped with unicellular
Were also once grouped with unicellular
algae into the Protista, an even larger
algae into the Protista, an even larger
paraphyletic group.
paraphyletic group.
Figure 11.01
Movement in Protozoa
Movement in Protozoa
 Protozoa move mainly using cilia or
Protozoa move mainly using cilia or
flagella and by using pseudopodia
flagella and by using pseudopodia
 Cilia also used for feeding in many small
Cilia also used for feeding in many small
metazoans.
metazoans.
Cilia and flagella
Cilia and flagella
 No real morphological distinction between
No real morphological distinction between
the two structures, but cilia are usually
the two structures, but cilia are usually
shorter and more abundant and flagella
shorter and more abundant and flagella
fewer and longer.
fewer and longer.
 Each flagellum or cilium is composed of 9
Each flagellum or cilium is composed of 9
pairs of longitudinal microtubules arranged
pairs of longitudinal microtubules arranged
in a circle around a central pair.
in a circle around a central pair.
Cilia and flagella
Cilia and flagella
 The collection of tubules is referred to as
The collection of tubules is referred to as
the
the axoneme
axoneme and it is covered with a
and it is covered with a
membrane continuous with the rest of the
membrane continuous with the rest of the
organism’s cell membrane.
organism’s cell membrane.
 Axoneme anchors where it inserts into the
Axoneme anchors where it inserts into the
main body of the cell with a basal body.
main body of the cell with a basal body.
Figure 11.09a
Figure 11.09a
Protein spoke
Dynein motor
Basal body
Cilia and flagella
Cilia and flagella
 The outer microtubules are connected to
The outer microtubules are connected to
the central pair by protein spokes.
the central pair by protein spokes.
 Neighboring pairs of outer microtubules
Neighboring pairs of outer microtubules
(doublets) are connected to each other by
(doublets) are connected to each other by
an elastic protein.
an elastic protein.
Figure 11.09a
Figure 11.09a
Protein spoke
Dynein motor
Cilia and flagella
Cilia and flagella
 Cilium is powered by dynein motors on the outer
Cilium is powered by dynein motors on the outer
doublets. As these motors crawl up the adjacent
doublets. As these motors crawl up the adjacent
doublet (movement is powered by ATP) they
doublet (movement is powered by ATP) they
cause the entire axoneme to bend.
cause the entire axoneme to bend.
 The dynein motors do not cause the doublets to
The dynein motors do not cause the doublets to
slide past each other because the doublets are
slide past each other because the doublets are
attached to each other by the elastic proteins
attached to each other by the elastic proteins
and the radial spokes and have little freedom of
and the radial spokes and have little freedom of
movement up and down. Instead the walking
movement up and down. Instead the walking
motion causes the doublets to bend.
motion causes the doublets to bend.
Flagella, “intelligent design” and
Flagella, “intelligent design” and
irreducible complexity
irreducible complexity
 Oddly, the humble flagellum has been
Oddly, the humble flagellum has been
dragged into the evolution culture wars!
dragged into the evolution culture wars!
Flagella, “intelligent design” and
Flagella, “intelligent design” and
irreducible complexity
irreducible complexity
 The U.S. Supreme Court has prohibited
The U.S. Supreme Court has prohibited
the teaching of creationism in public
the teaching of creationism in public
schools as a violation of the
schools as a violation of the
“establishment of religion” clause of the
“establishment of religion” clause of the
constitution.
constitution.
 Latest attempt to insert creationism into
Latest attempt to insert creationism into
schools is the idea of “Intelligent Design.”
schools is the idea of “Intelligent Design.”
Flagella, “intelligent design” and
Flagella, “intelligent design” and
irreducible complexity
irreducible complexity
 The concept of “intelligent design” is outlined
The concept of “intelligent design” is outlined
most clearly in Michael Behe’s book “Darwin’s
most clearly in Michael Behe’s book “Darwin’s
Black Box.”
Black Box.”
 The central idea in “intelligent design” is that
The central idea in “intelligent design” is that
some structures in the body are so complex that
some structures in the body are so complex that
they could not possibly have evolved by a
they could not possibly have evolved by a
gradual process of natural selection. These
gradual process of natural selection. These
structures are said to “irreducibly complex.”
structures are said to “irreducibly complex.”
Flagella, “intelligent design” and
Flagella, “intelligent design” and
irreducible complexity
irreducible complexity
 By “irreducibly complex” Behe means that
By “irreducibly complex” Behe means that
a complex structure cannot be broken
a complex structure cannot be broken
down into components that are
down into components that are
themselves functional and that the
themselves functional and that the
structure must have come into existence in
structure must have come into existence in
its complete form.
its complete form.
Flagella, “intelligent design” and
Flagella, “intelligent design” and
irreducible complexity
irreducible complexity
 If structures are “irreducibly complex”
If structures are “irreducibly complex”
Behe claims that they cannot have
Behe claims that they cannot have
evolved.
evolved.
 Thus, their existence implies they must
Thus, their existence implies they must
have been created by a designer (i.e. God,
have been created by a designer (i.e. God,
although the designer is not explicitly
although the designer is not explicitly
referred to as such).
referred to as such).
Flagella, “intelligent design” and
Flagella, “intelligent design” and
irreducible complexity
irreducible complexity
 One of Behe’s main examples is flagella/cilia.
One of Behe’s main examples is flagella/cilia.
 Behe claims that because cilia are composed of
Behe claims that because cilia are composed of
at least half a dozen proteins, which combine to
at least half a dozen proteins, which combine to
perform one task, and that all of the proteins
perform one task, and that all of the proteins
must be present for a cilium to work and that
must be present for a cilium to work and that
cilia could not have evolved in a step-by step
cilia could not have evolved in a step-by step
process of gradual improvement.
process of gradual improvement.
Flagella, “intelligent design” and
Flagella, “intelligent design” and
irreducible complexity
irreducible complexity
 The flagellum is not, in fact, irreducibly complex.
The flagellum is not, in fact, irreducibly complex.
 For example, the flagellum in eel sperm lacks
For example, the flagellum in eel sperm lacks
several of the components found in other flagella
several of the components found in other flagella
(including the central pair of microtubules, radial
(including the central pair of microtubules, radial
spokes, and outer row of dynein motors), yet the
spokes, and outer row of dynein motors), yet the
flagellum functions well.
flagellum functions well.
Flagella, “intelligent design” and
Flagella, “intelligent design” and
irreducible complexity
irreducible complexity
 The whole “irreducible complexity”
The whole “irreducible complexity”
argument could in reality be recast as an
argument could in reality be recast as an
argument of “personal incredulity.”
argument of “personal incredulity.”
 “
“I personally cannot imagine a sequence
I personally cannot imagine a sequence
of steps by which this complex structure
of steps by which this complex structure
could have evolved. Therefore, it must
could have evolved. Therefore, it must
have been created.”
have been created.”
Movement in Protozoa:
Movement in Protozoa:
Pseudopodia
Pseudopodia
 Pseudopodia are chief means of
Pseudopodia are chief means of
locomotion of amoebas but are also
locomotion of amoebas but are also
formed by other protozoa and amoeboid
formed by other protozoa and amoeboid
cells of many invertebrates.
cells of many invertebrates.
 In amoeboid movement the organism
In amoeboid movement the organism
extends a pseudopodium in the direction it
extends a pseudopodium in the direction it
wishes to travel and then flows into it.
wishes to travel and then flows into it.
Pseudopodia
Pseudopodia
 Amoeboid movement involves endoplasm and
Amoeboid movement involves endoplasm and
ectoplasm. Endoplasm is more fluid than
ectoplasm. Endoplasm is more fluid than
ectoplasm which is gel-like.
ectoplasm which is gel-like.
 When a pseudopodium forms, an extension of
When a pseudopodium forms, an extension of
ectoplasm (the hyaline cap) appears and
ectoplasm (the hyaline cap) appears and
endoplasm flows into it and fountains to the
endoplasm flows into it and fountains to the
periphery where it becomes ectoplasm. Thus, a
periphery where it becomes ectoplasm. Thus, a
tube of ectoplasm forms that the endoplasm
tube of ectoplasm forms that the endoplasm
flows through. The pseudopodium anchors to
flows through. The pseudopodium anchors to
the substrate and the organism moves forward.
the substrate and the organism moves forward.
Figure 11.10
Figure 11.10
Feeding in amebas
Feeding in amebas
 Feeding in amoebas involves using
Feeding in amoebas involves using
pseudpodia to surround and engulf a
pseudpodia to surround and engulf a
particle in the process of
particle in the process of phagocytosis
phagocytosis.
.
 The particle is surrounded and a food
The particle is surrounded and a food
vacuole forms into which digestive
vacuole forms into which digestive
enzymes are poured and the digested
enzymes are poured and the digested
remains are absorbed across the cell
remains are absorbed across the cell
membrane.
membrane.
Phagocytosis
Reproduction in protozoa
Reproduction in protozoa
 The commonest form of reproduction is
The commonest form of reproduction is
binary fission
binary fission in which two essentially
in which two essentially
identical individuals result.
identical individuals result.
 In some ciliates
In some ciliates budding
budding occurs in which
occurs in which
a smaller progeny cell is budded off which
a smaller progeny cell is budded off which
later grows to adult size.
later grows to adult size.
Binary fission
in various taxa
Sexual reproduction in protozoa
Sexual reproduction in protozoa
 All protozoa reproduce asexually, but sex
All protozoa reproduce asexually, but sex
is widespread in the protozoa too.
is widespread in the protozoa too.
 In ciliates such as
In ciliates such as Paramecium,
Paramecium, a type of
a type of
sexual reproduction called conjugation
sexual reproduction called conjugation
takes place in which two Paramecia join
takes place in which two Paramecia join
together and exchange genetic material
together and exchange genetic material
Figure 11.28
Diseases caused by protozoa
Diseases caused by protozoa
 Many diseases are caused by protozaon
Many diseases are caused by protozaon
parasites
parasites
 These include:
These include:
 Malaria (caused by a sporozaon)
Malaria (caused by a sporozaon)
 Giardia, Sleeping sickness (caused by
Giardia, Sleeping sickness (caused by
flagellates)
flagellates)
 Amoebic dysentry (caused by amoebae)
Amoebic dysentry (caused by amoebae)
Malaria
Malaria
 Malaria is one of the most important diseases in the
Malaria is one of the most important diseases in the
world.
world.
 About 500 million cases and an estimated 700,000 to
About 500 million cases and an estimated 700,000 to
2.7 million deaths occur worldwide each year (CDC).
2.7 million deaths occur worldwide each year (CDC).
 Malaria was well known to the Ancient Greeks and
Malaria was well known to the Ancient Greeks and
Romans. The Romans thought the disease was caused
Romans. The Romans thought the disease was caused
by bad air (in Latin
by bad air (in Latin mal-aria
mal-aria) from swamps, which they
) from swamps, which they
drained to prevent the disease.
drained to prevent the disease.
Malaria symptoms
Malaria symptoms
 The severity of an infection may range from
The severity of an infection may range from
asymptomatic (no apparent sign of illness) to the
asymptomatic (no apparent sign of illness) to the
classic symptoms of malaria (fever, chills,
classic symptoms of malaria (fever, chills,
sweating, headaches, muscle pains), to severe
sweating, headaches, muscle pains), to severe
complications (cerebral malaria, anemia, kidney
complications (cerebral malaria, anemia, kidney
failure) that can result in death.
failure) that can result in death.
 Factors such as the species of
Factors such as the species of Plasmodium
Plasmodium and
and
the victims genetic background and acquired
the victims genetic background and acquired
immunity affect the severity of symptoms.
immunity affect the severity of symptoms.
Malaria
Malaria
 Despite humans long history with malaria
Despite humans long history with malaria
its cause, a sporozoan parasite called
its cause, a sporozoan parasite called
Plasmodium,
Plasmodium, was not discovered until
was not discovered until
1889 when Charles Louis Alphonse
1889 when Charles Louis Alphonse
Laveran a French army physician
Laveran a French army physician
identified it, a discovery for which he won
identified it, a discovery for which he won
the Nobel Prize in 1907.
the Nobel Prize in 1907.
Malaria
Malaria
 In 1897 an equally important discovery,
In 1897 an equally important discovery,
the mode of transmission of malaria, was
the mode of transmission of malaria, was
made by Ronald Ross.
made by Ronald Ross.
 His identification of the
His identification of the Anopheles
Anopheles
mosquito as the transmitting agent earned
mosquito as the transmitting agent earned
him the 1902 Nobel Prize and a
him the 1902 Nobel Prize and a
knighthood in 1911.
knighthood in 1911.
Plasmodium
Plasmodium
 There are four species of
There are four species of Plasmodium
Plasmodium:
: P.
P.
falciparum, P. vivax, P.ovale
falciparum, P. vivax, P.ovale and
and P.
P.
malariae.
malariae.
 P. falciparum
P. falciparum causes severe often fatal
causes severe often fatal
malaria and is responsible for most
malaria and is responsible for most
deaths, with most victims being children.
deaths, with most victims being children.
Plasmodium
Plasmodium
 Both
Both Plasmodium vivax
Plasmodium vivax and
and P. ovale
P. ovale can go
can go
dormant, hiding out in the liver. The parasites
dormant, hiding out in the liver. The parasites
can reactivate and cause malaria months or
can reactivate and cause malaria months or
years after the initial infection.
years after the initial infection.
 P. malariae
P. malariae causes a long-lasting infection. If
causes a long-lasting infection. If
the infection is untreated it can persist
the infection is untreated it can persist
asymptomatically for the lifetime of the host.
asymptomatically for the lifetime of the host.
Life cycle of malaria
Life cycle of malaria
 Plasmodium
Plasmodium has two hosts: mosquitoes
has two hosts: mosquitoes
and humans.
and humans.
 Sexual reproduction takes place in the
Sexual reproduction takes place in the
mosquito and the parasite is transmitted to
mosquito and the parasite is transmitted to
humans when the mosquito takes a blood
humans when the mosquito takes a blood
meal.
meal.
Life cycle of malaria: humans
Life cycle of malaria: humans
 The mosquito injects
The mosquito injects Plasmodium
Plasmodium into a human in the
into a human in the
form of
form of sporozoites
sporozoites.
.
 The sporozoites first invade liver cells and asexually
The sporozoites first invade liver cells and asexually
reproduce to produce huge numbers of
reproduce to produce huge numbers of merozoites
merozoites
which spread to red blood cells where more merozoites
which spread to red blood cells where more merozoites
are produced through more asexual reproduction.
are produced through more asexual reproduction.
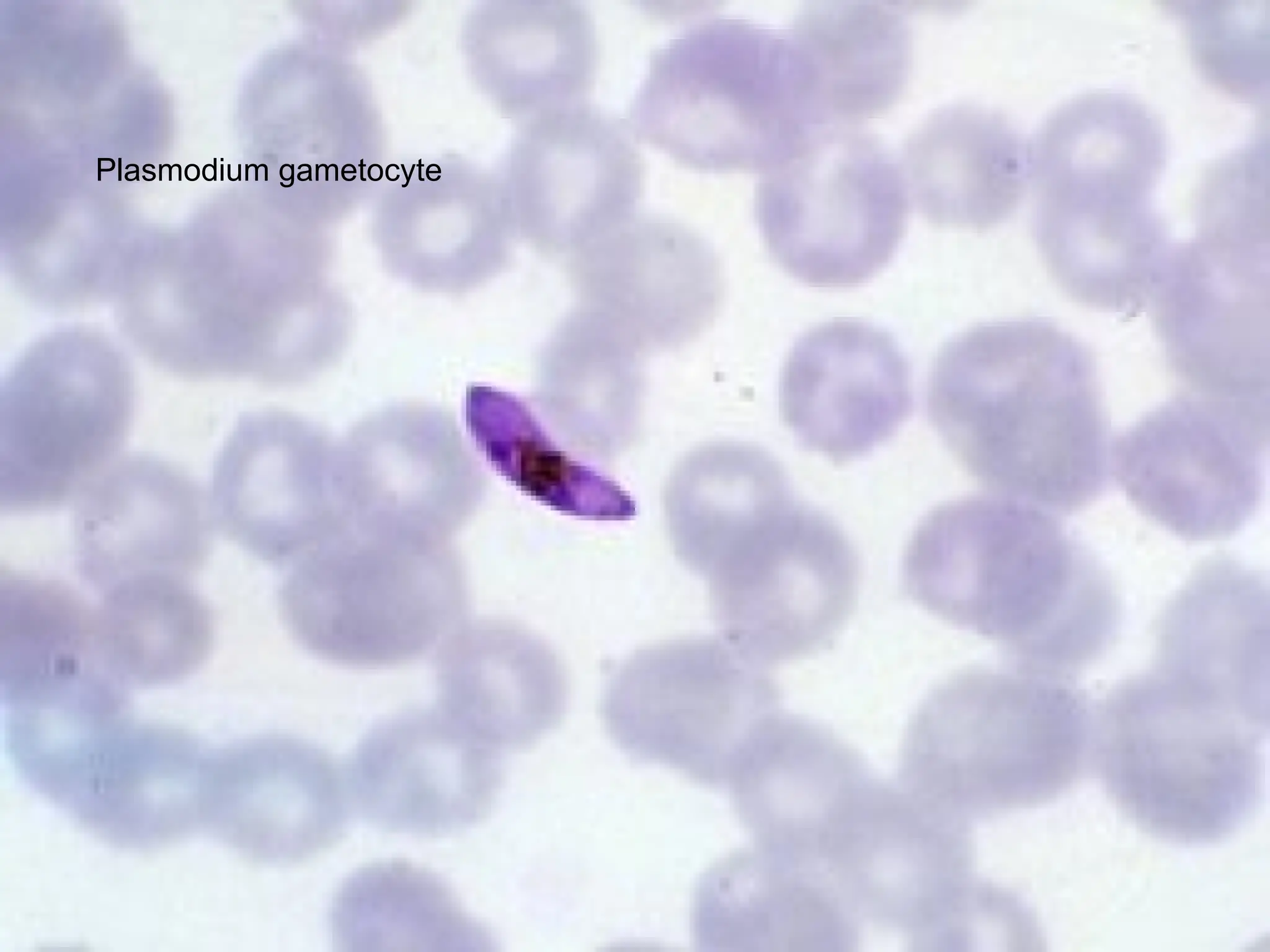
 Some parasites transform into sexually reproducing
Some parasites transform into sexually reproducing
gametocytes
gametocytes and these if ingested by a mosquito
and these if ingested by a mosquito
continue the cycle.
continue the cycle.
Plasmodium gametocyte
Life cycle of malaria: mosquitoes
Life cycle of malaria: mosquitoes
 Gametocytes ingested by a mosquito combine in
Gametocytes ingested by a mosquito combine in
the mosquito’s stomach to produce zygotes.
the mosquito’s stomach to produce zygotes.
 These zygotes develop into motile elongated
These zygotes develop into motile elongated
ookinites
ookinites.
.
 The ookinites invade the mosquito’s midgut wall
The ookinites invade the mosquito’s midgut wall
where they ultimately produce sporozoites,
where they ultimately produce sporozoites,
which make their way to the salivary glands
which make their way to the salivary glands
where they can be injected into a new human
where they can be injected into a new human
host.
host.
How
How Plasmodium
Plasmodium enhances
enhances
transmission rates
transmission rates
 The
The Plasmodium
Plasmodium parasite engages in a
parasite engages in a
number of manipulative behaviors to
number of manipulative behaviors to
enhance its chances of being transmitted
enhance its chances of being transmitted
between hosts.
between hosts.
 Such manipulations are a common feature
Such manipulations are a common feature
of parasite behavior, in general, as we will
of parasite behavior, in general, as we will
see throughout the semester.
see throughout the semester.
How
How Plasmodium
Plasmodium enhances
enhances
transmission rates
transmission rates
 Mosquitoes risk death when feeding and
Mosquitoes risk death when feeding and
attempt to minimize risk and maximize
attempt to minimize risk and maximize
reward when doing so.
reward when doing so.
 To obtain blood a mosquito must insert its
To obtain blood a mosquito must insert its
proboscis through the skin and then locate
proboscis through the skin and then locate
a blood vessel. The longer this takes, the
a blood vessel. The longer this takes, the
greater the risk.
greater the risk.
How
How Plasmodium
Plasmodium enhances
enhances
transmission rates
transmission rates
 As soon as the mosquito hits a blood
As soon as the mosquito hits a blood
vessel the host’s body responds by
vessel the host’s body responds by
clotting the wound.
clotting the wound.
 Platelets clump around the proboscis and
Platelets clump around the proboscis and
release chemicals which cause the
release chemicals which cause the
platelets to clot together.
platelets to clot together.
How
How Plasmodium
Plasmodium enhances
enhances
transmission rates
transmission rates
 To slow clotting and speed feeding, mosquitoes
To slow clotting and speed feeding, mosquitoes
inject anticoagulants including one called
inject anticoagulants including one called
apyrase that unglues the platelets. They also
apyrase that unglues the platelets. They also
inject other chemicals that expand the blood
inject other chemicals that expand the blood
vessels.
vessels.
 Plasmodium
Plasmodium in the host helps the mosquito feed
in the host helps the mosquito feed
by releasing chemicals that also slow clotting.
by releasing chemicals that also slow clotting.
The parasite’s help increases the chances of the
The parasite’s help increases the chances of the
mosquito feeding successfully and sucking up
mosquito feeding successfully and sucking up
the parasite.
the parasite.
How
How Plasmodium
Plasmodium enhances
enhances
transmission rates
transmission rates
 Once in the mosquito
Once in the mosquito Plasmodium
Plasmodium needs about
needs about
10 days to produce sporozoites that are ready to
10 days to produce sporozoites that are ready to
be injected into a human.
be injected into a human.
 During this time, to reduce the chances of the
During this time, to reduce the chances of the
mosquito dying,
mosquito dying, Plasmodium
Plasmodium apparently
apparently
discourages its host from eating. Although how
discourages its host from eating. Although how
the parasite does this is not clear, mosquitoes
the parasite does this is not clear, mosquitoes
containing ookinites abandon feeding attempts
containing ookinites abandon feeding attempts
sooner than parasite-free mosquitoes.
sooner than parasite-free mosquitoes.
How
How Plasmodium
Plasmodium enhances
enhances
transmission rates
transmission rates
 Once sporozoites are in the salivary
Once sporozoites are in the salivary
glands, however,
glands, however, Plasmodium
Plasmodium wants the
wants the
mosquito to bite and bite often.
mosquito to bite and bite often.
 In the salivary gland the parasite cuts off
In the salivary gland the parasite cuts off
the mosquito’s anticoagulant apyrase
the mosquito’s anticoagulant apyrase
supply. This makes it harder for the
supply. This makes it harder for the
mosquito to feed so it is hungrier and bites
mosquito to feed so it is hungrier and bites
more hosts.
more hosts.
How
How Plasmodium
Plasmodium enhances
enhances
transmission rates
transmission rates
 As a result, an infected mosquito is twice
As a result, an infected mosquito is twice
as likely to bite two people in a single night
as likely to bite two people in a single night
as an uninfected mosquito is.
as an uninfected mosquito is.
 As a result, the parasite is spread more
As a result, the parasite is spread more
widely.
widely.
Behavior of
Behavior of Plasmodium
Plasmodium in humans
in humans
 Plasmodium
Plasmodium enters the blood stream through a
enters the blood stream through a
mosquito bite.
mosquito bite.
 The parasite must avoid the host’s immune
The parasite must avoid the host’s immune
system. To do so while in the body it moves
system. To do so while in the body it moves
from one hiding place to another.
from one hiding place to another.
 The parasite moves first to the liver. Can get
The parasite moves first to the liver. Can get
there in about 30 minutes, which is usually fast
there in about 30 minutes, which is usually fast
enough to avoid triggering the immune system.
enough to avoid triggering the immune system.
Behavior of
Behavior of Plasmodium
Plasmodium in humans
in humans
 At the liver
At the liver Plasmodium
Plasmodium enters a liver cell.
enters a liver cell.
 The cell responds by grabbing
The cell responds by grabbing
Plasmodium
Plasmodium proteins and displaying the
proteins and displaying the
antigens on its cell surface in a special cup
antigens on its cell surface in a special cup
the major histocompatibility complex or
the major histocompatibility complex or
MHC.
MHC.
Behavior of
Behavior of Plasmodium
Plasmodium in humans
in humans
 The immune system recognizes the
The immune system recognizes the
Plasmodium
Plasmodium antigens and mounts an
antigens and mounts an
immune response.
immune response.
 However, in a week before the immune
However, in a week before the immune
system has mounted its full response the
system has mounted its full response the
parasite has produced about 40,000
parasite has produced about 40,000
copies of itself and these burst out of the
copies of itself and these burst out of the
liver to seek red blood cells.
liver to seek red blood cells.
Behavior of
Behavior of Plasmodium
Plasmodium in humans
in humans
 The parasites leave the liver, reenter the
The parasites leave the liver, reenter the
bloodstream, and find a red blood cell to
bloodstream, and find a red blood cell to
enter.
enter.
 Each parasite spends two days in a red
Each parasite spends two days in a red
blood cell consuming the hemoglobin and
blood cell consuming the hemoglobin and
reproducing.
reproducing.
Plasmodium in red blood cell
Red blood cells
Red blood cells
 Red blood cells (strictly red blood
Red blood cells (strictly red blood
corpuscles) are a challenging environment
corpuscles) are a challenging environment
to live in.
to live in.
 They lack a nucleus and have little
They lack a nucleus and have little
metabolic activity. As a result, they have
metabolic activity. As a result, they have
few proteins for generating energy and
few proteins for generating energy and
also lack most of a normal cell’s channels
also lack most of a normal cell’s channels
for transporting fuel in and wastes out.
for transporting fuel in and wastes out.
Red blood cells
Red blood cells
 Red blood cells are specialized to
Red blood cells are specialized to
transport oxygen, which they carry by
transport oxygen, which they carry by
binding and wrapping in hemoglobin
binding and wrapping in hemoglobin
molecules.
molecules.
 A red blood cell is pumped around the
A red blood cell is pumped around the
body by the heart and travels about 300
body by the heart and travels about 300
miles over its lifetime.
miles over its lifetime.
Red blood cells
Red blood cells
 Red blood cells are squeezed through
Red blood cells are squeezed through
slender capillaries and compressed to one
slender capillaries and compressed to one
fifth of their normal diameter before
fifth of their normal diameter before
rebounding.
rebounding.
 To survive this squeezing, red blood cells
To survive this squeezing, red blood cells
have a network of proteins under their
have a network of proteins under their
membrane that can fold like a concertina
membrane that can fold like a concertina
and allow the cell to stretch and squeeze
and allow the cell to stretch and squeeze
as needed.
as needed.
Red blood cells
Red blood cells
 Old red blood cells eventually lose their
Old red blood cells eventually lose their
elasticity and become stiff.
elasticity and become stiff.
 Those that show signs of such aging are
Those that show signs of such aging are
filtered out as they pass through the
filtered out as they pass through the
spleen and destroyed.
spleen and destroyed.
Behavior of
Behavior of Plasmodium
Plasmodium in humans
in humans
 Plasmodium
Plasmodium cannot swim but uses hooks
cannot swim but uses hooks
to move along the blood vessels.
to move along the blood vessels.
 At the parasite’s tip are sensors that
At the parasite’s tip are sensors that
respond only to young red blood cells and
respond only to young red blood cells and
clasp on to proteins on the cell’s surface.
clasp on to proteins on the cell’s surface.
Behavior of
Behavior of Plasmodium
Plasmodium in humans
in humans
 The parasite uses a set of organelles
The parasite uses a set of organelles
concentrated at its apical end to gain
concentrated at its apical end to gain
entry. A suite of proteins are produced
entry. A suite of proteins are produced
that cause the red blood cell’s membrane
that cause the red blood cell’s membrane
to open and let the parasite squeeze in.
to open and let the parasite squeeze in.
 It takes only about 15 seconds for the
It takes only about 15 seconds for the
parasite to get in.
parasite to get in.
Figure 11.30
Plasmodium Sporozoite
Behavior of
Behavior of Plasmodium
Plasmodium in humans
in humans
 Inside in the red blood cell the
Inside in the red blood cell the
Plasmodium
Plasmodium consumes the hemoglobin. It
consumes the hemoglobin. It
takes in a small amount of hemoglobin,
takes in a small amount of hemoglobin,
slices it apart with enzymes and harvests
slices it apart with enzymes and harvests
the energy released.
the energy released.
 The toxic core of the hemoglobin molecule
The toxic core of the hemoglobin molecule
is processed into an inert molecule called
is processed into an inert molecule called
hemozoin.
hemozoin.
Behavior of
Behavior of Plasmodium
Plasmodium in humans
in humans
 In order to reproduce,
In order to reproduce, Plasmodium
Plasmodium needs more
needs more
than hemoglobin.
than hemoglobin.
 It sets about modifying the red blood corpuscle
It sets about modifying the red blood corpuscle
so it can obtain amino acids and make proteins.
so it can obtain amino acids and make proteins.
 The parasite builds a series of tubes that
The parasite builds a series of tubes that
connect it to the surface of the cell and uses
connect it to the surface of the cell and uses
these to bring in materials from the blood steam
these to bring in materials from the blood steam
and to pump out wastes.
and to pump out wastes.
Behavior of
Behavior of Plasmodium
Plasmodium in humans
in humans
 The parasite also produces proteins that help to
The parasite also produces proteins that help to
maintain the red blood cell’s springiness for as
maintain the red blood cell’s springiness for as
long as possible so it is not eliminated by the
long as possible so it is not eliminated by the
spleen.
spleen.
 After a few hours, however, the red blood cell
After a few hours, however, the red blood cell
has been too modified by the parasite to fool the
has been too modified by the parasite to fool the
spleen. The parasite now produces sticky
spleen. The parasite now produces sticky latch
latch
proteins
proteins that glue the cell to blood vessel walls.
that glue the cell to blood vessel walls.
Behavior of
Behavior of Plasmodium
Plasmodium in humans
in humans
 Infected cells clump up in capillaries.
Infected cells clump up in capillaries.
 After another day the contents of the cell have
After another day the contents of the cell have
been used up. The cell ruptures and 16 new
been used up. The cell ruptures and 16 new
parasites burst out to infect other red blood cells.
parasites burst out to infect other red blood cells.
 Some of these parasites transform into sexually
Some of these parasites transform into sexually
reproducing gametocytes and, as mentioned
reproducing gametocytes and, as mentioned
previously, these if ingested by a mosquito will
previously, these if ingested by a mosquito will
continue the cycle.
continue the cycle.
Behavior of
Behavior of Plasmodium
Plasmodium in humans
in humans
 While in the red blood cells
While in the red blood cells Plasmodium
Plasmodium is
is
invisible to the immune system because
invisible to the immune system because
the red blood cells have no MHC and
the red blood cells have no MHC and
cannot alert the immune system.
cannot alert the immune system.
 The latch proteins however do stimulate
The latch proteins however do stimulate
the immune system.
the immune system.
Behavior of
Behavior of Plasmodium
Plasmodium in humans
in humans
 The latch protein is made by a single
The latch protein is made by a single
gene, but
gene, but Plasmodium
Plasmodium has over 100 such
has over 100 such
genes each of which produces a unique
genes each of which produces a unique
latch.
latch.
 In each generation some of the new
In each generation some of the new
parasites switch on a new latch gene and
parasites switch on a new latch gene and
so the immune system is always playing
so the immune system is always playing
catch up.
catch up.
Effects of malaria on human
Effects of malaria on human
evolution
evolution
 The intense selection pressure imposed
The intense selection pressure imposed
by malaria has resulted in a large number
by malaria has resulted in a large number
of mutations that provide protection
of mutations that provide protection
against the parasite being selected for in
against the parasite being selected for in
humans.
humans.
 The best known is sickle cell anemia.
The best known is sickle cell anemia.
Anti-malaria mutations: Sickle cell
Anti-malaria mutations: Sickle cell
anemia
anemia
 Sickle cell anemia is a condition common
Sickle cell anemia is a condition common
in West Africans (and African Americans
in West Africans (and African Americans
of West African ancestry).
of West African ancestry).
 In sickle cell anemia red blood cells are
In sickle cell anemia red blood cells are
sickle shaped as a result of a mutation
sickle shaped as a result of a mutation
which causes hemoglobin chains to stick
which causes hemoglobin chains to stick
together.
together.
Anti-malaria mutations: Sickle cell
Anti-malaria mutations: Sickle cell
anemia
anemia
 People with the sickle cell allele are protected
People with the sickle cell allele are protected
against
against Plasmodium
Plasmodium because their hemoglobin
because their hemoglobin
under low oxygen conditions contracts into
under low oxygen conditions contracts into
needle-shaped clumps.
needle-shaped clumps.
 This contraction not only causes the sickling of
This contraction not only causes the sickling of
the cell, but harms the parasite. Parasites are
the cell, but harms the parasite. Parasites are
impaled on the clumps and the cell loses its
impaled on the clumps and the cell loses its
ability to pump potassium, which the parasite
ability to pump potassium, which the parasite
needs.
needs.
Anti-malaria mutations: Sickle cell
Anti-malaria mutations: Sickle cell
allele
allele
 People with two copies of the sickle cell
People with two copies of the sickle cell
allele usually die young, but heterozygotes
allele usually die young, but heterozygotes
are protected against malaria.
are protected against malaria.
 As a result the geographic distribution of
As a result the geographic distribution of
the allele and malaria in Africa match quite
the allele and malaria in Africa match quite
closely.
closely.
Anti-malaria mutations: (G6PD)
Anti-malaria mutations: (G6PD)
deficiency
deficiency
 Glucose-6-phosphate dehydrogenase
Glucose-6-phosphate dehydrogenase
(G6PD)
(G6PD) deficiency.
deficiency. There are hundreds
There are hundreds
of alleles known and with more than 400
of alleles known and with more than 400
million people affected G6PD deficiency is
million people affected G6PD deficiency is
the commonest enzyme deficiency known.
the commonest enzyme deficiency known.
Anti-malaria mutations:
Anti-malaria mutations:
Thalassemia
Thalassemia
 Geographic distribution suggests it
Geographic distribution suggests it
protects against malaria and
protects against malaria and
epidemiological evidence also supports
epidemiological evidence also supports
this.
this.
 People with G6PD-202A a reduced activity
People with G6PD-202A a reduced activity
variant common in Africa have a
variant common in Africa have a
significantly reduced risk of suffering
significantly reduced risk of suffering
severe malaria.
severe malaria.
Anti-malaria mutations:
Anti-malaria mutations:
Thalassemia
Thalassemia
 Thalassemia: People with thalassemia
Thalassemia: People with thalassemia
make the ingredients of hemoglobin in the
make the ingredients of hemoglobin in the
wrong amounts.
wrong amounts.
 Too many or too few
Too many or too few α
α or ß
or ß hemoglobin
hemoglobin
chains are produced and when they are
chains are produced and when they are
assembled into hemoglobin molecules
assembled into hemoglobin molecules
spare chains are left over.
spare chains are left over.
Other anti-malaria mutations:
Other anti-malaria mutations:
Thalassemia
Thalassemia
 Extra chains clump together and cause major
Extra chains clump together and cause major
problems in the cell. These clumps grab oxygen,
problems in the cell. These clumps grab oxygen,
but don’t enclose it and the oxygen often
but don’t enclose it and the oxygen often
escapes and because it is strongly charged, the
escapes and because it is strongly charged, the
oxygen damages other molecules in the cell.
oxygen damages other molecules in the cell.
 Severe thalassemia is fatal, but mild forms
Severe thalassemia is fatal, but mild forms
protect against malaria because the loose
protect against malaria because the loose
oxygen severely damages the parasite and
oxygen severely damages the parasite and
renders it unable to invade new cells.
renders it unable to invade new cells.
Anti-malaria mutations:
Anti-malaria mutations:
Ovalocytosis
Ovalocytosis
 Ovalocytosis
Ovalocytosis: Occurs in South east Asia and
: Occurs in South east Asia and
has same genetic rules and consequences as
has same genetic rules and consequences as
sickle cell anemia.
sickle cell anemia.
 People with ovalocytosis have blood cell walls
People with ovalocytosis have blood cell walls
that are so rigid they can’t slip through
that are so rigid they can’t slip through
capillaries. The rigid cell walls make it hard for
capillaries. The rigid cell walls make it hard for
the parasite to enter the cell and the cell’s
the parasite to enter the cell and the cell’s
rigidity appears to prevent the parasite pumping
rigidity appears to prevent the parasite pumping
in phosphates and sulphates it needs to survive.
in phosphates and sulphates it needs to survive.
Anti-malaria mutations:
Anti-malaria mutations:
 One major advantage of these various anti-
One major advantage of these various anti-
malarial mutations appears to be that they
malarial mutations appears to be that they
provide a natural vaccination program for
provide a natural vaccination program for
children.
children.
 By slowing the development of the parasite
By slowing the development of the parasite
these mutations give a child’s naïve immune
these mutations give a child’s naïve immune
system time to overcome
system time to overcome Plasmodium’s
Plasmodium’s
attempts to elude the immune system and mount
attempts to elude the immune system and mount
an immune response. Mild cases of malaria
an immune response. Mild cases of malaria
thus immunize children to malaria and allow
thus immunize children to malaria and allow
them to survive to adulthood.
them to survive to adulthood.
Mosquito nets save lives
Mosquito nets save lives
 www.nothingbutnets.net
www.nothingbutnets.net or
or
www.nothingbutnets.org
www.nothingbutnets.org
 $10 gets a net to a family. 100% of your
$10 gets a net to a family. 100% of your
donation goes to purchase and distribute
donation goes to purchase and distribute
nets.
nets.
Human African Trypanosomiasis
Human African Trypanosomiasis
(Sleeping sickness)
(Sleeping sickness)
 Sleeping sickness is a protozoan disease, which
Sleeping sickness is a protozoan disease, which
like malaria is spread by an insect vector, the
like malaria is spread by an insect vector, the
tsetse fly.
tsetse fly.
 The disease is endemic to sub-Saharan Africa
The disease is endemic to sub-Saharan Africa
and an estimated 300,000 people are infected
and an estimated 300,000 people are infected
annually with about 40,000 deaths.
annually with about 40,000 deaths.
 The disease organism is
The disease organism is Trypanosoma
Trypanosoma brucei
brucei.
.
Trypanosoma forms in blood smear from patient with African trypanosomiasis
http://en.wikipedia.org/wiki/File:Trypanosoma_sp._PHIL_613_lores.jpg
Sleeping Sickness
Sleeping Sickness
 Symptoms:
Symptoms:
 Begins with fever, headaches, and joint pains.
Begins with fever, headaches, and joint pains.
 Lymph nodes may swell enormously and parasite numbers
Lymph nodes may swell enormously and parasite numbers
may be incredibly high. Greatly enlarged lymph nodes in
may be incredibly high. Greatly enlarged lymph nodes in
the back of the neck are tell-tale signs of the disease.
the back of the neck are tell-tale signs of the disease.
 If untreated the parasite may cross the blood-brain barrier,
If untreated the parasite may cross the blood-brain barrier,
which causes the characteristic symptoms the disease is
which causes the characteristic symptoms the disease is
named for. The patient becomes confused and the sleep
named for. The patient becomes confused and the sleep
cycle is disturbed with the patient alternating between
cycle is disturbed with the patient alternating between
manic periods and complete lethargy. Progressive mental
manic periods and complete lethargy. Progressive mental
deterioration is followed by coma and death.
deterioration is followed by coma and death.
Sleeping Sickness
Sleeping Sickness
 Trypanosome levels in infected patients show a
Trypanosome levels in infected patients show a
cycle of sharp peaks and valleys in parasite
cycle of sharp peaks and valleys in parasite
numbers of approximately a week in length.
numbers of approximately a week in length.
 The cycle occurs because the immune system
The cycle occurs because the immune system
recognizes the glycoprotein in the trypanosomes
recognizes the glycoprotein in the trypanosomes
coat and mounts an immune response to it,
coat and mounts an immune response to it,
which eliminates parasites with that glycoprotein.
which eliminates parasites with that glycoprotein.
Sleeping Sickness
Sleeping Sickness
 Trypanosomes, however, possess about 1,000
Trypanosomes, however, possess about 1,000
different coat-building genes and periodically a
different coat-building genes and periodically a
new one is turned on by a trypanosome that
new one is turned on by a trypanosome that
produces a different coat, which the immune
produces a different coat, which the immune
system doesn’t recognize.
system doesn’t recognize.
 Trypanosomes with this new coat reproduce
Trypanosomes with this new coat reproduce
undetected until the immune system can mount
undetected until the immune system can mount
a response to the new coat.
a response to the new coat.
Sleeping Sickness
Sleeping Sickness
 If the first generation of trypanosomes to infect a
If the first generation of trypanosomes to infect a
host turned on their coat genes at random the
host turned on their coat genes at random the
immune system could learn to recognize the
immune system could learn to recognize the
various possibilities quickly, remember them,
various possibilities quickly, remember them,
and eliminate the parasite.
and eliminate the parasite.
 Instead the coat-building genes are turned on in
Instead the coat-building genes are turned on in
pre-set sequence.
pre-set sequence. This means that the immune
This means that the immune
system every week or so is faced with a new
system every week or so is faced with a new
coat that it has not seen before.
coat that it has not seen before.
Sleeping Sickness
Sleeping Sickness
 As a result of the
As a result of the sequential
sequential coat-switching, the
coat-switching, the
immune system becomes chronically over-
immune system becomes chronically over-
stimulated and begins to attack the host’s body.
stimulated and begins to attack the host’s body.
 The overstimulation of the immune system and
The overstimulation of the immune system and
the movement of parasites into the central
the movement of parasites into the central
nervous, where they escape the immune system
nervous, where they escape the immune system
altogether, eventually kills the patient.
altogether, eventually kills the patient.

Lecture3 medical important the Protozoa.ppt

  • 1.
    Protozoans Protozoans  Protozoans includea wide diversity of taxa that do Protozoans include a wide diversity of taxa that do not form a monophyletic group but all are not form a monophyletic group but all are unicellular eukaryotes. unicellular eukaryotes.  Protozoa lack a cell wall, have at least one motile Protozoa lack a cell wall, have at least one motile stage in their life cycle and most ingest their food. stage in their life cycle and most ingest their food.  Protozoan cell is much larger and more complex Protozoan cell is much larger and more complex than prokaryotic cell and contains a variety of than prokaryotic cell and contains a variety of organelles (e.g. Golgi apparatus, mitochondria, organelles (e.g. Golgi apparatus, mitochondria, ribosomes, etc). ribosomes, etc).
  • 2.
    Protozoans Protozoans  Eukaryotic cellwas developed through endosymbiosis. Eukaryotic cell was developed through endosymbiosis.  In distant past aerobic bacteria appear to have been In distant past aerobic bacteria appear to have been engulfed by anaerobic bacteria, but not digested. engulfed by anaerobic bacteria, but not digested. Ultimately, the two developed a symbiotic relationship Ultimately, the two developed a symbiotic relationship with the engulfed aerobic bacteria becoming with the engulfed aerobic bacteria becoming mitochondria and eukaryotic cells developed. mitochondria and eukaryotic cells developed.  In a similar fashion, ancestors of chloroplasts formed In a similar fashion, ancestors of chloroplasts formed symbiotic union with other prokaryotes. symbiotic union with other prokaryotes.
  • 3.
    Protozoans Protozoans  Protozoans includeboth autotrophs and Protozoans include both autotrophs and heterotrophs. They include free-living and heterotrophs. They include free-living and parasitic forms. parasitic forms.  Reproduction can be asexual by fission or Reproduction can be asexual by fission or budding or sexual by conjugation or budding or sexual by conjugation or syngamy (fusion of gametes). syngamy (fusion of gametes).
  • 4.
    Protozoans Protozoans  The protozoawere once considered a The protozoa were once considered a single phylum, now at least 7 phyla are single phylum, now at least 7 phyla are recognized. recognized.  Were also once grouped with unicellular Were also once grouped with unicellular algae into the Protista, an even larger algae into the Protista, an even larger paraphyletic group. paraphyletic group.
  • 5.
  • 6.
    Movement in Protozoa Movementin Protozoa  Protozoa move mainly using cilia or Protozoa move mainly using cilia or flagella and by using pseudopodia flagella and by using pseudopodia  Cilia also used for feeding in many small Cilia also used for feeding in many small metazoans. metazoans.
  • 7.
    Cilia and flagella Ciliaand flagella  No real morphological distinction between No real morphological distinction between the two structures, but cilia are usually the two structures, but cilia are usually shorter and more abundant and flagella shorter and more abundant and flagella fewer and longer. fewer and longer.  Each flagellum or cilium is composed of 9 Each flagellum or cilium is composed of 9 pairs of longitudinal microtubules arranged pairs of longitudinal microtubules arranged in a circle around a central pair. in a circle around a central pair.
  • 8.
    Cilia and flagella Ciliaand flagella  The collection of tubules is referred to as The collection of tubules is referred to as the the axoneme axoneme and it is covered with a and it is covered with a membrane continuous with the rest of the membrane continuous with the rest of the organism’s cell membrane. organism’s cell membrane.  Axoneme anchors where it inserts into the Axoneme anchors where it inserts into the main body of the cell with a basal body. main body of the cell with a basal body.
  • 9.
    Figure 11.09a Figure 11.09a Proteinspoke Dynein motor Basal body
  • 11.
    Cilia and flagella Ciliaand flagella  The outer microtubules are connected to The outer microtubules are connected to the central pair by protein spokes. the central pair by protein spokes.  Neighboring pairs of outer microtubules Neighboring pairs of outer microtubules (doublets) are connected to each other by (doublets) are connected to each other by an elastic protein. an elastic protein.
  • 12.
  • 13.
    Cilia and flagella Ciliaand flagella  Cilium is powered by dynein motors on the outer Cilium is powered by dynein motors on the outer doublets. As these motors crawl up the adjacent doublets. As these motors crawl up the adjacent doublet (movement is powered by ATP) they doublet (movement is powered by ATP) they cause the entire axoneme to bend. cause the entire axoneme to bend.  The dynein motors do not cause the doublets to The dynein motors do not cause the doublets to slide past each other because the doublets are slide past each other because the doublets are attached to each other by the elastic proteins attached to each other by the elastic proteins and the radial spokes and have little freedom of and the radial spokes and have little freedom of movement up and down. Instead the walking movement up and down. Instead the walking motion causes the doublets to bend. motion causes the doublets to bend.
  • 15.
    Flagella, “intelligent design”and Flagella, “intelligent design” and irreducible complexity irreducible complexity  Oddly, the humble flagellum has been Oddly, the humble flagellum has been dragged into the evolution culture wars! dragged into the evolution culture wars!
  • 16.
    Flagella, “intelligent design”and Flagella, “intelligent design” and irreducible complexity irreducible complexity  The U.S. Supreme Court has prohibited The U.S. Supreme Court has prohibited the teaching of creationism in public the teaching of creationism in public schools as a violation of the schools as a violation of the “establishment of religion” clause of the “establishment of religion” clause of the constitution. constitution.  Latest attempt to insert creationism into Latest attempt to insert creationism into schools is the idea of “Intelligent Design.” schools is the idea of “Intelligent Design.”
  • 17.
    Flagella, “intelligent design”and Flagella, “intelligent design” and irreducible complexity irreducible complexity  The concept of “intelligent design” is outlined The concept of “intelligent design” is outlined most clearly in Michael Behe’s book “Darwin’s most clearly in Michael Behe’s book “Darwin’s Black Box.” Black Box.”  The central idea in “intelligent design” is that The central idea in “intelligent design” is that some structures in the body are so complex that some structures in the body are so complex that they could not possibly have evolved by a they could not possibly have evolved by a gradual process of natural selection. These gradual process of natural selection. These structures are said to “irreducibly complex.” structures are said to “irreducibly complex.”
  • 18.
    Flagella, “intelligent design”and Flagella, “intelligent design” and irreducible complexity irreducible complexity  By “irreducibly complex” Behe means that By “irreducibly complex” Behe means that a complex structure cannot be broken a complex structure cannot be broken down into components that are down into components that are themselves functional and that the themselves functional and that the structure must have come into existence in structure must have come into existence in its complete form. its complete form.
  • 19.
    Flagella, “intelligent design”and Flagella, “intelligent design” and irreducible complexity irreducible complexity  If structures are “irreducibly complex” If structures are “irreducibly complex” Behe claims that they cannot have Behe claims that they cannot have evolved. evolved.  Thus, their existence implies they must Thus, their existence implies they must have been created by a designer (i.e. God, have been created by a designer (i.e. God, although the designer is not explicitly although the designer is not explicitly referred to as such). referred to as such).
  • 20.
    Flagella, “intelligent design”and Flagella, “intelligent design” and irreducible complexity irreducible complexity  One of Behe’s main examples is flagella/cilia. One of Behe’s main examples is flagella/cilia.  Behe claims that because cilia are composed of Behe claims that because cilia are composed of at least half a dozen proteins, which combine to at least half a dozen proteins, which combine to perform one task, and that all of the proteins perform one task, and that all of the proteins must be present for a cilium to work and that must be present for a cilium to work and that cilia could not have evolved in a step-by step cilia could not have evolved in a step-by step process of gradual improvement. process of gradual improvement.
  • 21.
    Flagella, “intelligent design”and Flagella, “intelligent design” and irreducible complexity irreducible complexity  The flagellum is not, in fact, irreducibly complex. The flagellum is not, in fact, irreducibly complex.  For example, the flagellum in eel sperm lacks For example, the flagellum in eel sperm lacks several of the components found in other flagella several of the components found in other flagella (including the central pair of microtubules, radial (including the central pair of microtubules, radial spokes, and outer row of dynein motors), yet the spokes, and outer row of dynein motors), yet the flagellum functions well. flagellum functions well.
  • 22.
    Flagella, “intelligent design”and Flagella, “intelligent design” and irreducible complexity irreducible complexity  The whole “irreducible complexity” The whole “irreducible complexity” argument could in reality be recast as an argument could in reality be recast as an argument of “personal incredulity.” argument of “personal incredulity.”  “ “I personally cannot imagine a sequence I personally cannot imagine a sequence of steps by which this complex structure of steps by which this complex structure could have evolved. Therefore, it must could have evolved. Therefore, it must have been created.” have been created.”
  • 23.
    Movement in Protozoa: Movementin Protozoa: Pseudopodia Pseudopodia  Pseudopodia are chief means of Pseudopodia are chief means of locomotion of amoebas but are also locomotion of amoebas but are also formed by other protozoa and amoeboid formed by other protozoa and amoeboid cells of many invertebrates. cells of many invertebrates.  In amoeboid movement the organism In amoeboid movement the organism extends a pseudopodium in the direction it extends a pseudopodium in the direction it wishes to travel and then flows into it. wishes to travel and then flows into it.
  • 24.
    Pseudopodia Pseudopodia  Amoeboid movementinvolves endoplasm and Amoeboid movement involves endoplasm and ectoplasm. Endoplasm is more fluid than ectoplasm. Endoplasm is more fluid than ectoplasm which is gel-like. ectoplasm which is gel-like.  When a pseudopodium forms, an extension of When a pseudopodium forms, an extension of ectoplasm (the hyaline cap) appears and ectoplasm (the hyaline cap) appears and endoplasm flows into it and fountains to the endoplasm flows into it and fountains to the periphery where it becomes ectoplasm. Thus, a periphery where it becomes ectoplasm. Thus, a tube of ectoplasm forms that the endoplasm tube of ectoplasm forms that the endoplasm flows through. The pseudopodium anchors to flows through. The pseudopodium anchors to the substrate and the organism moves forward. the substrate and the organism moves forward.
  • 25.
  • 26.
    Feeding in amebas Feedingin amebas  Feeding in amoebas involves using Feeding in amoebas involves using pseudpodia to surround and engulf a pseudpodia to surround and engulf a particle in the process of particle in the process of phagocytosis phagocytosis. .  The particle is surrounded and a food The particle is surrounded and a food vacuole forms into which digestive vacuole forms into which digestive enzymes are poured and the digested enzymes are poured and the digested remains are absorbed across the cell remains are absorbed across the cell membrane. membrane.
  • 27.
  • 28.
    Reproduction in protozoa Reproductionin protozoa  The commonest form of reproduction is The commonest form of reproduction is binary fission binary fission in which two essentially in which two essentially identical individuals result. identical individuals result.  In some ciliates In some ciliates budding budding occurs in which occurs in which a smaller progeny cell is budded off which a smaller progeny cell is budded off which later grows to adult size. later grows to adult size.
  • 29.
  • 30.
    Sexual reproduction inprotozoa Sexual reproduction in protozoa  All protozoa reproduce asexually, but sex All protozoa reproduce asexually, but sex is widespread in the protozoa too. is widespread in the protozoa too.  In ciliates such as In ciliates such as Paramecium, Paramecium, a type of a type of sexual reproduction called conjugation sexual reproduction called conjugation takes place in which two Paramecia join takes place in which two Paramecia join together and exchange genetic material together and exchange genetic material
  • 31.
  • 32.
    Diseases caused byprotozoa Diseases caused by protozoa  Many diseases are caused by protozaon Many diseases are caused by protozaon parasites parasites  These include: These include:  Malaria (caused by a sporozaon) Malaria (caused by a sporozaon)  Giardia, Sleeping sickness (caused by Giardia, Sleeping sickness (caused by flagellates) flagellates)  Amoebic dysentry (caused by amoebae) Amoebic dysentry (caused by amoebae)
  • 33.
    Malaria Malaria  Malaria isone of the most important diseases in the Malaria is one of the most important diseases in the world. world.  About 500 million cases and an estimated 700,000 to About 500 million cases and an estimated 700,000 to 2.7 million deaths occur worldwide each year (CDC). 2.7 million deaths occur worldwide each year (CDC).  Malaria was well known to the Ancient Greeks and Malaria was well known to the Ancient Greeks and Romans. The Romans thought the disease was caused Romans. The Romans thought the disease was caused by bad air (in Latin by bad air (in Latin mal-aria mal-aria) from swamps, which they ) from swamps, which they drained to prevent the disease. drained to prevent the disease.
  • 34.
    Malaria symptoms Malaria symptoms The severity of an infection may range from The severity of an infection may range from asymptomatic (no apparent sign of illness) to the asymptomatic (no apparent sign of illness) to the classic symptoms of malaria (fever, chills, classic symptoms of malaria (fever, chills, sweating, headaches, muscle pains), to severe sweating, headaches, muscle pains), to severe complications (cerebral malaria, anemia, kidney complications (cerebral malaria, anemia, kidney failure) that can result in death. failure) that can result in death.  Factors such as the species of Factors such as the species of Plasmodium Plasmodium and and the victims genetic background and acquired the victims genetic background and acquired immunity affect the severity of symptoms. immunity affect the severity of symptoms.
  • 35.
    Malaria Malaria  Despite humanslong history with malaria Despite humans long history with malaria its cause, a sporozoan parasite called its cause, a sporozoan parasite called Plasmodium, Plasmodium, was not discovered until was not discovered until 1889 when Charles Louis Alphonse 1889 when Charles Louis Alphonse Laveran a French army physician Laveran a French army physician identified it, a discovery for which he won identified it, a discovery for which he won the Nobel Prize in 1907. the Nobel Prize in 1907.
  • 36.
    Malaria Malaria  In 1897an equally important discovery, In 1897 an equally important discovery, the mode of transmission of malaria, was the mode of transmission of malaria, was made by Ronald Ross. made by Ronald Ross.  His identification of the His identification of the Anopheles Anopheles mosquito as the transmitting agent earned mosquito as the transmitting agent earned him the 1902 Nobel Prize and a him the 1902 Nobel Prize and a knighthood in 1911. knighthood in 1911.
  • 38.
    Plasmodium Plasmodium  There arefour species of There are four species of Plasmodium Plasmodium: : P. P. falciparum, P. vivax, P.ovale falciparum, P. vivax, P.ovale and and P. P. malariae. malariae.  P. falciparum P. falciparum causes severe often fatal causes severe often fatal malaria and is responsible for most malaria and is responsible for most deaths, with most victims being children. deaths, with most victims being children.
  • 39.
    Plasmodium Plasmodium  Both Both Plasmodiumvivax Plasmodium vivax and and P. ovale P. ovale can go can go dormant, hiding out in the liver. The parasites dormant, hiding out in the liver. The parasites can reactivate and cause malaria months or can reactivate and cause malaria months or years after the initial infection. years after the initial infection.  P. malariae P. malariae causes a long-lasting infection. If causes a long-lasting infection. If the infection is untreated it can persist the infection is untreated it can persist asymptomatically for the lifetime of the host. asymptomatically for the lifetime of the host.
  • 40.
    Life cycle ofmalaria Life cycle of malaria  Plasmodium Plasmodium has two hosts: mosquitoes has two hosts: mosquitoes and humans. and humans.  Sexual reproduction takes place in the Sexual reproduction takes place in the mosquito and the parasite is transmitted to mosquito and the parasite is transmitted to humans when the mosquito takes a blood humans when the mosquito takes a blood meal. meal.
  • 42.
    Life cycle ofmalaria: humans Life cycle of malaria: humans  The mosquito injects The mosquito injects Plasmodium Plasmodium into a human in the into a human in the form of form of sporozoites sporozoites. .  The sporozoites first invade liver cells and asexually The sporozoites first invade liver cells and asexually reproduce to produce huge numbers of reproduce to produce huge numbers of merozoites merozoites which spread to red blood cells where more merozoites which spread to red blood cells where more merozoites are produced through more asexual reproduction. are produced through more asexual reproduction.  Some parasites transform into sexually reproducing Some parasites transform into sexually reproducing gametocytes gametocytes and these if ingested by a mosquito and these if ingested by a mosquito continue the cycle. continue the cycle.
  • 43.
  • 44.
    Life cycle ofmalaria: mosquitoes Life cycle of malaria: mosquitoes  Gametocytes ingested by a mosquito combine in Gametocytes ingested by a mosquito combine in the mosquito’s stomach to produce zygotes. the mosquito’s stomach to produce zygotes.  These zygotes develop into motile elongated These zygotes develop into motile elongated ookinites ookinites. .  The ookinites invade the mosquito’s midgut wall The ookinites invade the mosquito’s midgut wall where they ultimately produce sporozoites, where they ultimately produce sporozoites, which make their way to the salivary glands which make their way to the salivary glands where they can be injected into a new human where they can be injected into a new human host. host.
  • 46.
    How How Plasmodium Plasmodium enhances enhances transmissionrates transmission rates  The The Plasmodium Plasmodium parasite engages in a parasite engages in a number of manipulative behaviors to number of manipulative behaviors to enhance its chances of being transmitted enhance its chances of being transmitted between hosts. between hosts.  Such manipulations are a common feature Such manipulations are a common feature of parasite behavior, in general, as we will of parasite behavior, in general, as we will see throughout the semester. see throughout the semester.
  • 47.
    How How Plasmodium Plasmodium enhances enhances transmissionrates transmission rates  Mosquitoes risk death when feeding and Mosquitoes risk death when feeding and attempt to minimize risk and maximize attempt to minimize risk and maximize reward when doing so. reward when doing so.  To obtain blood a mosquito must insert its To obtain blood a mosquito must insert its proboscis through the skin and then locate proboscis through the skin and then locate a blood vessel. The longer this takes, the a blood vessel. The longer this takes, the greater the risk. greater the risk.
  • 48.
    How How Plasmodium Plasmodium enhances enhances transmissionrates transmission rates  As soon as the mosquito hits a blood As soon as the mosquito hits a blood vessel the host’s body responds by vessel the host’s body responds by clotting the wound. clotting the wound.  Platelets clump around the proboscis and Platelets clump around the proboscis and release chemicals which cause the release chemicals which cause the platelets to clot together. platelets to clot together.
  • 49.
    How How Plasmodium Plasmodium enhances enhances transmissionrates transmission rates  To slow clotting and speed feeding, mosquitoes To slow clotting and speed feeding, mosquitoes inject anticoagulants including one called inject anticoagulants including one called apyrase that unglues the platelets. They also apyrase that unglues the platelets. They also inject other chemicals that expand the blood inject other chemicals that expand the blood vessels. vessels.  Plasmodium Plasmodium in the host helps the mosquito feed in the host helps the mosquito feed by releasing chemicals that also slow clotting. by releasing chemicals that also slow clotting. The parasite’s help increases the chances of the The parasite’s help increases the chances of the mosquito feeding successfully and sucking up mosquito feeding successfully and sucking up the parasite. the parasite.
  • 50.
    How How Plasmodium Plasmodium enhances enhances transmissionrates transmission rates  Once in the mosquito Once in the mosquito Plasmodium Plasmodium needs about needs about 10 days to produce sporozoites that are ready to 10 days to produce sporozoites that are ready to be injected into a human. be injected into a human.  During this time, to reduce the chances of the During this time, to reduce the chances of the mosquito dying, mosquito dying, Plasmodium Plasmodium apparently apparently discourages its host from eating. Although how discourages its host from eating. Although how the parasite does this is not clear, mosquitoes the parasite does this is not clear, mosquitoes containing ookinites abandon feeding attempts containing ookinites abandon feeding attempts sooner than parasite-free mosquitoes. sooner than parasite-free mosquitoes.
  • 51.
    How How Plasmodium Plasmodium enhances enhances transmissionrates transmission rates  Once sporozoites are in the salivary Once sporozoites are in the salivary glands, however, glands, however, Plasmodium Plasmodium wants the wants the mosquito to bite and bite often. mosquito to bite and bite often.  In the salivary gland the parasite cuts off In the salivary gland the parasite cuts off the mosquito’s anticoagulant apyrase the mosquito’s anticoagulant apyrase supply. This makes it harder for the supply. This makes it harder for the mosquito to feed so it is hungrier and bites mosquito to feed so it is hungrier and bites more hosts. more hosts.
  • 52.
    How How Plasmodium Plasmodium enhances enhances transmissionrates transmission rates  As a result, an infected mosquito is twice As a result, an infected mosquito is twice as likely to bite two people in a single night as likely to bite two people in a single night as an uninfected mosquito is. as an uninfected mosquito is.  As a result, the parasite is spread more As a result, the parasite is spread more widely. widely.
  • 54.
    Behavior of Behavior ofPlasmodium Plasmodium in humans in humans  Plasmodium Plasmodium enters the blood stream through a enters the blood stream through a mosquito bite. mosquito bite.  The parasite must avoid the host’s immune The parasite must avoid the host’s immune system. To do so while in the body it moves system. To do so while in the body it moves from one hiding place to another. from one hiding place to another.  The parasite moves first to the liver. Can get The parasite moves first to the liver. Can get there in about 30 minutes, which is usually fast there in about 30 minutes, which is usually fast enough to avoid triggering the immune system. enough to avoid triggering the immune system.
  • 55.
    Behavior of Behavior ofPlasmodium Plasmodium in humans in humans  At the liver At the liver Plasmodium Plasmodium enters a liver cell. enters a liver cell.  The cell responds by grabbing The cell responds by grabbing Plasmodium Plasmodium proteins and displaying the proteins and displaying the antigens on its cell surface in a special cup antigens on its cell surface in a special cup the major histocompatibility complex or the major histocompatibility complex or MHC. MHC.
  • 56.
    Behavior of Behavior ofPlasmodium Plasmodium in humans in humans  The immune system recognizes the The immune system recognizes the Plasmodium Plasmodium antigens and mounts an antigens and mounts an immune response. immune response.  However, in a week before the immune However, in a week before the immune system has mounted its full response the system has mounted its full response the parasite has produced about 40,000 parasite has produced about 40,000 copies of itself and these burst out of the copies of itself and these burst out of the liver to seek red blood cells. liver to seek red blood cells.
  • 57.
    Behavior of Behavior ofPlasmodium Plasmodium in humans in humans  The parasites leave the liver, reenter the The parasites leave the liver, reenter the bloodstream, and find a red blood cell to bloodstream, and find a red blood cell to enter. enter.  Each parasite spends two days in a red Each parasite spends two days in a red blood cell consuming the hemoglobin and blood cell consuming the hemoglobin and reproducing. reproducing.
  • 58.
  • 59.
    Red blood cells Redblood cells  Red blood cells (strictly red blood Red blood cells (strictly red blood corpuscles) are a challenging environment corpuscles) are a challenging environment to live in. to live in.  They lack a nucleus and have little They lack a nucleus and have little metabolic activity. As a result, they have metabolic activity. As a result, they have few proteins for generating energy and few proteins for generating energy and also lack most of a normal cell’s channels also lack most of a normal cell’s channels for transporting fuel in and wastes out. for transporting fuel in and wastes out.
  • 60.
    Red blood cells Redblood cells  Red blood cells are specialized to Red blood cells are specialized to transport oxygen, which they carry by transport oxygen, which they carry by binding and wrapping in hemoglobin binding and wrapping in hemoglobin molecules. molecules.  A red blood cell is pumped around the A red blood cell is pumped around the body by the heart and travels about 300 body by the heart and travels about 300 miles over its lifetime. miles over its lifetime.
  • 61.
    Red blood cells Redblood cells  Red blood cells are squeezed through Red blood cells are squeezed through slender capillaries and compressed to one slender capillaries and compressed to one fifth of their normal diameter before fifth of their normal diameter before rebounding. rebounding.  To survive this squeezing, red blood cells To survive this squeezing, red blood cells have a network of proteins under their have a network of proteins under their membrane that can fold like a concertina membrane that can fold like a concertina and allow the cell to stretch and squeeze and allow the cell to stretch and squeeze as needed. as needed.
  • 62.
    Red blood cells Redblood cells  Old red blood cells eventually lose their Old red blood cells eventually lose their elasticity and become stiff. elasticity and become stiff.  Those that show signs of such aging are Those that show signs of such aging are filtered out as they pass through the filtered out as they pass through the spleen and destroyed. spleen and destroyed.
  • 63.
    Behavior of Behavior ofPlasmodium Plasmodium in humans in humans  Plasmodium Plasmodium cannot swim but uses hooks cannot swim but uses hooks to move along the blood vessels. to move along the blood vessels.  At the parasite’s tip are sensors that At the parasite’s tip are sensors that respond only to young red blood cells and respond only to young red blood cells and clasp on to proteins on the cell’s surface. clasp on to proteins on the cell’s surface.
  • 64.
    Behavior of Behavior ofPlasmodium Plasmodium in humans in humans  The parasite uses a set of organelles The parasite uses a set of organelles concentrated at its apical end to gain concentrated at its apical end to gain entry. A suite of proteins are produced entry. A suite of proteins are produced that cause the red blood cell’s membrane that cause the red blood cell’s membrane to open and let the parasite squeeze in. to open and let the parasite squeeze in.  It takes only about 15 seconds for the It takes only about 15 seconds for the parasite to get in. parasite to get in.
  • 65.
  • 66.
    Behavior of Behavior ofPlasmodium Plasmodium in humans in humans  Inside in the red blood cell the Inside in the red blood cell the Plasmodium Plasmodium consumes the hemoglobin. It consumes the hemoglobin. It takes in a small amount of hemoglobin, takes in a small amount of hemoglobin, slices it apart with enzymes and harvests slices it apart with enzymes and harvests the energy released. the energy released.  The toxic core of the hemoglobin molecule The toxic core of the hemoglobin molecule is processed into an inert molecule called is processed into an inert molecule called hemozoin. hemozoin.
  • 67.
    Behavior of Behavior ofPlasmodium Plasmodium in humans in humans  In order to reproduce, In order to reproduce, Plasmodium Plasmodium needs more needs more than hemoglobin. than hemoglobin.  It sets about modifying the red blood corpuscle It sets about modifying the red blood corpuscle so it can obtain amino acids and make proteins. so it can obtain amino acids and make proteins.  The parasite builds a series of tubes that The parasite builds a series of tubes that connect it to the surface of the cell and uses connect it to the surface of the cell and uses these to bring in materials from the blood steam these to bring in materials from the blood steam and to pump out wastes. and to pump out wastes.
  • 68.
    Behavior of Behavior ofPlasmodium Plasmodium in humans in humans  The parasite also produces proteins that help to The parasite also produces proteins that help to maintain the red blood cell’s springiness for as maintain the red blood cell’s springiness for as long as possible so it is not eliminated by the long as possible so it is not eliminated by the spleen. spleen.  After a few hours, however, the red blood cell After a few hours, however, the red blood cell has been too modified by the parasite to fool the has been too modified by the parasite to fool the spleen. The parasite now produces sticky spleen. The parasite now produces sticky latch latch proteins proteins that glue the cell to blood vessel walls. that glue the cell to blood vessel walls.
  • 69.
    Behavior of Behavior ofPlasmodium Plasmodium in humans in humans  Infected cells clump up in capillaries. Infected cells clump up in capillaries.  After another day the contents of the cell have After another day the contents of the cell have been used up. The cell ruptures and 16 new been used up. The cell ruptures and 16 new parasites burst out to infect other red blood cells. parasites burst out to infect other red blood cells.  Some of these parasites transform into sexually Some of these parasites transform into sexually reproducing gametocytes and, as mentioned reproducing gametocytes and, as mentioned previously, these if ingested by a mosquito will previously, these if ingested by a mosquito will continue the cycle. continue the cycle.
  • 70.
    Behavior of Behavior ofPlasmodium Plasmodium in humans in humans  While in the red blood cells While in the red blood cells Plasmodium Plasmodium is is invisible to the immune system because invisible to the immune system because the red blood cells have no MHC and the red blood cells have no MHC and cannot alert the immune system. cannot alert the immune system.  The latch proteins however do stimulate The latch proteins however do stimulate the immune system. the immune system.
  • 71.
    Behavior of Behavior ofPlasmodium Plasmodium in humans in humans  The latch protein is made by a single The latch protein is made by a single gene, but gene, but Plasmodium Plasmodium has over 100 such has over 100 such genes each of which produces a unique genes each of which produces a unique latch. latch.  In each generation some of the new In each generation some of the new parasites switch on a new latch gene and parasites switch on a new latch gene and so the immune system is always playing so the immune system is always playing catch up. catch up.
  • 72.
    Effects of malariaon human Effects of malaria on human evolution evolution  The intense selection pressure imposed The intense selection pressure imposed by malaria has resulted in a large number by malaria has resulted in a large number of mutations that provide protection of mutations that provide protection against the parasite being selected for in against the parasite being selected for in humans. humans.  The best known is sickle cell anemia. The best known is sickle cell anemia.
  • 73.
    Anti-malaria mutations: Sicklecell Anti-malaria mutations: Sickle cell anemia anemia  Sickle cell anemia is a condition common Sickle cell anemia is a condition common in West Africans (and African Americans in West Africans (and African Americans of West African ancestry). of West African ancestry).  In sickle cell anemia red blood cells are In sickle cell anemia red blood cells are sickle shaped as a result of a mutation sickle shaped as a result of a mutation which causes hemoglobin chains to stick which causes hemoglobin chains to stick together. together.
  • 74.
    Anti-malaria mutations: Sicklecell Anti-malaria mutations: Sickle cell anemia anemia  People with the sickle cell allele are protected People with the sickle cell allele are protected against against Plasmodium Plasmodium because their hemoglobin because their hemoglobin under low oxygen conditions contracts into under low oxygen conditions contracts into needle-shaped clumps. needle-shaped clumps.  This contraction not only causes the sickling of This contraction not only causes the sickling of the cell, but harms the parasite. Parasites are the cell, but harms the parasite. Parasites are impaled on the clumps and the cell loses its impaled on the clumps and the cell loses its ability to pump potassium, which the parasite ability to pump potassium, which the parasite needs. needs.
  • 76.
    Anti-malaria mutations: Sicklecell Anti-malaria mutations: Sickle cell allele allele  People with two copies of the sickle cell People with two copies of the sickle cell allele usually die young, but heterozygotes allele usually die young, but heterozygotes are protected against malaria. are protected against malaria.  As a result the geographic distribution of As a result the geographic distribution of the allele and malaria in Africa match quite the allele and malaria in Africa match quite closely. closely.
  • 78.
    Anti-malaria mutations: (G6PD) Anti-malariamutations: (G6PD) deficiency deficiency  Glucose-6-phosphate dehydrogenase Glucose-6-phosphate dehydrogenase (G6PD) (G6PD) deficiency. deficiency. There are hundreds There are hundreds of alleles known and with more than 400 of alleles known and with more than 400 million people affected G6PD deficiency is million people affected G6PD deficiency is the commonest enzyme deficiency known. the commonest enzyme deficiency known.
  • 79.
    Anti-malaria mutations: Anti-malaria mutations: Thalassemia Thalassemia Geographic distribution suggests it Geographic distribution suggests it protects against malaria and protects against malaria and epidemiological evidence also supports epidemiological evidence also supports this. this.  People with G6PD-202A a reduced activity People with G6PD-202A a reduced activity variant common in Africa have a variant common in Africa have a significantly reduced risk of suffering significantly reduced risk of suffering severe malaria. severe malaria.
  • 82.
    Anti-malaria mutations: Anti-malaria mutations: Thalassemia Thalassemia Thalassemia: People with thalassemia Thalassemia: People with thalassemia make the ingredients of hemoglobin in the make the ingredients of hemoglobin in the wrong amounts. wrong amounts.  Too many or too few Too many or too few α α or ß or ß hemoglobin hemoglobin chains are produced and when they are chains are produced and when they are assembled into hemoglobin molecules assembled into hemoglobin molecules spare chains are left over. spare chains are left over.
  • 83.
    Other anti-malaria mutations: Otheranti-malaria mutations: Thalassemia Thalassemia  Extra chains clump together and cause major Extra chains clump together and cause major problems in the cell. These clumps grab oxygen, problems in the cell. These clumps grab oxygen, but don’t enclose it and the oxygen often but don’t enclose it and the oxygen often escapes and because it is strongly charged, the escapes and because it is strongly charged, the oxygen damages other molecules in the cell. oxygen damages other molecules in the cell.  Severe thalassemia is fatal, but mild forms Severe thalassemia is fatal, but mild forms protect against malaria because the loose protect against malaria because the loose oxygen severely damages the parasite and oxygen severely damages the parasite and renders it unable to invade new cells. renders it unable to invade new cells.
  • 84.
    Anti-malaria mutations: Anti-malaria mutations: Ovalocytosis Ovalocytosis Ovalocytosis Ovalocytosis: Occurs in South east Asia and : Occurs in South east Asia and has same genetic rules and consequences as has same genetic rules and consequences as sickle cell anemia. sickle cell anemia.  People with ovalocytosis have blood cell walls People with ovalocytosis have blood cell walls that are so rigid they can’t slip through that are so rigid they can’t slip through capillaries. The rigid cell walls make it hard for capillaries. The rigid cell walls make it hard for the parasite to enter the cell and the cell’s the parasite to enter the cell and the cell’s rigidity appears to prevent the parasite pumping rigidity appears to prevent the parasite pumping in phosphates and sulphates it needs to survive. in phosphates and sulphates it needs to survive.
  • 85.
    Anti-malaria mutations: Anti-malaria mutations: One major advantage of these various anti- One major advantage of these various anti- malarial mutations appears to be that they malarial mutations appears to be that they provide a natural vaccination program for provide a natural vaccination program for children. children.  By slowing the development of the parasite By slowing the development of the parasite these mutations give a child’s naïve immune these mutations give a child’s naïve immune system time to overcome system time to overcome Plasmodium’s Plasmodium’s attempts to elude the immune system and mount attempts to elude the immune system and mount an immune response. Mild cases of malaria an immune response. Mild cases of malaria thus immunize children to malaria and allow thus immunize children to malaria and allow them to survive to adulthood. them to survive to adulthood.
  • 86.
    Mosquito nets savelives Mosquito nets save lives  www.nothingbutnets.net www.nothingbutnets.net or or www.nothingbutnets.org www.nothingbutnets.org  $10 gets a net to a family. 100% of your $10 gets a net to a family. 100% of your donation goes to purchase and distribute donation goes to purchase and distribute nets. nets.
  • 87.
    Human African Trypanosomiasis HumanAfrican Trypanosomiasis (Sleeping sickness) (Sleeping sickness)  Sleeping sickness is a protozoan disease, which Sleeping sickness is a protozoan disease, which like malaria is spread by an insect vector, the like malaria is spread by an insect vector, the tsetse fly. tsetse fly.  The disease is endemic to sub-Saharan Africa The disease is endemic to sub-Saharan Africa and an estimated 300,000 people are infected and an estimated 300,000 people are infected annually with about 40,000 deaths. annually with about 40,000 deaths.  The disease organism is The disease organism is Trypanosoma Trypanosoma brucei brucei. .
  • 89.
    Trypanosoma forms inblood smear from patient with African trypanosomiasis http://en.wikipedia.org/wiki/File:Trypanosoma_sp._PHIL_613_lores.jpg
  • 90.
    Sleeping Sickness Sleeping Sickness Symptoms: Symptoms:  Begins with fever, headaches, and joint pains. Begins with fever, headaches, and joint pains.  Lymph nodes may swell enormously and parasite numbers Lymph nodes may swell enormously and parasite numbers may be incredibly high. Greatly enlarged lymph nodes in may be incredibly high. Greatly enlarged lymph nodes in the back of the neck are tell-tale signs of the disease. the back of the neck are tell-tale signs of the disease.  If untreated the parasite may cross the blood-brain barrier, If untreated the parasite may cross the blood-brain barrier, which causes the characteristic symptoms the disease is which causes the characteristic symptoms the disease is named for. The patient becomes confused and the sleep named for. The patient becomes confused and the sleep cycle is disturbed with the patient alternating between cycle is disturbed with the patient alternating between manic periods and complete lethargy. Progressive mental manic periods and complete lethargy. Progressive mental deterioration is followed by coma and death. deterioration is followed by coma and death.
  • 91.
    Sleeping Sickness Sleeping Sickness Trypanosome levels in infected patients show a Trypanosome levels in infected patients show a cycle of sharp peaks and valleys in parasite cycle of sharp peaks and valleys in parasite numbers of approximately a week in length. numbers of approximately a week in length.  The cycle occurs because the immune system The cycle occurs because the immune system recognizes the glycoprotein in the trypanosomes recognizes the glycoprotein in the trypanosomes coat and mounts an immune response to it, coat and mounts an immune response to it, which eliminates parasites with that glycoprotein. which eliminates parasites with that glycoprotein.
  • 92.
    Sleeping Sickness Sleeping Sickness Trypanosomes, however, possess about 1,000 Trypanosomes, however, possess about 1,000 different coat-building genes and periodically a different coat-building genes and periodically a new one is turned on by a trypanosome that new one is turned on by a trypanosome that produces a different coat, which the immune produces a different coat, which the immune system doesn’t recognize. system doesn’t recognize.  Trypanosomes with this new coat reproduce Trypanosomes with this new coat reproduce undetected until the immune system can mount undetected until the immune system can mount a response to the new coat. a response to the new coat.
  • 93.
    Sleeping Sickness Sleeping Sickness If the first generation of trypanosomes to infect a If the first generation of trypanosomes to infect a host turned on their coat genes at random the host turned on their coat genes at random the immune system could learn to recognize the immune system could learn to recognize the various possibilities quickly, remember them, various possibilities quickly, remember them, and eliminate the parasite. and eliminate the parasite.  Instead the coat-building genes are turned on in Instead the coat-building genes are turned on in pre-set sequence. pre-set sequence. This means that the immune This means that the immune system every week or so is faced with a new system every week or so is faced with a new coat that it has not seen before. coat that it has not seen before.
  • 94.
    Sleeping Sickness Sleeping Sickness As a result of the As a result of the sequential sequential coat-switching, the coat-switching, the immune system becomes chronically over- immune system becomes chronically over- stimulated and begins to attack the host’s body. stimulated and begins to attack the host’s body.  The overstimulation of the immune system and The overstimulation of the immune system and the movement of parasites into the central the movement of parasites into the central nervous, where they escape the immune system nervous, where they escape the immune system altogether, eventually kills the patient. altogether, eventually kills the patient.