Extreme Makeover: The Dental/Plastic Surgery Team
Beauty What is Beauty? Beauty is a result of 2 ideal components: Symmetry Harmony
SYMMETRY- the mirror image of parts or components about an axis HARMONY- a recurring theme
 
 
“ Beauty is power, a smile is its sword” – Charles Read “ Beauty is not caused, it is”  –  Emily Dickenson
How is it measured? The Golden Ratio is a mathematical ratio that seems to appear recurrently in beautiful things in nature as well as in other things that are seen as "Beautiful". The "Golden Ratio" is a mathematical ratio of  1.618:1 , and the number  1.618  is called " Phi ".
The four front teeth, from central incisor to premolar are the most significant part of the smile and they are in Golden Proportion to each other. This phenomenon has been combined in a grid which can be used to assist us in perfecting the aesthetics of the eight front teeth. The above picture shows a grid in the mouth with the front teeth clearly shown in the demarcations predicted.
Smile Design: General Criteria: Smile Line Midline Axial Inclination Buccal Corridor Specific Criteria: Incisal Embrasures Golden Proportion Symmetry Incisal Edge Position Emergence Profile Labial Contour
Smile Design Periodontal Issues: Cervical Embrasures Margin Placement and  Design  Periodontal Health Gingival Contour and Shape Materials and Finish: Choice of Materials Labial Anatomy Surface finish Shade Selection
General Concepts Smile Line Do the incisal edges follow the Curve of Spee and the Curve of Wilson? Do the incisal edges follow the curve of the lower lip while smiling?
General Concepts: Buccal Corridor Is there dark spaces while smiling between the corners of the mouth and the buccal surfaces of the upper teeth?  What is the arch form?
Specific Criteria: Symmetry: Is the cervical/incisal tooth length symmetrical from right to left? Is the interproximal contact proper in length and position? Are contralateral teeth properly arranged for size and position?
Periodontal Related Issues: Cervical Embrasures Are there black triangles present? Margin placement and Design Is the treatment a crown or veneer or something in between? Gingival contour and shape This is the biggest killer of a beautiful cosmetic result. Is the gingival architecture in harmony with the smile design?
 
Materials and Finish: Choice of materials When do I use a Veneer, all porcelain crown, or PFM with porcelain margin? Shade Selection What is the hue, chroma and value? Is incisal translucency and halo effect appropriate?
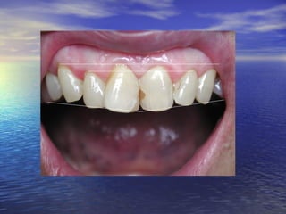
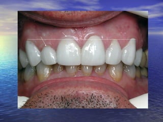
Treatment Planning It is the responsibility of the general dentist to offer the best possible treatment to the patient and hence must have the knowledge of the procedures he/she will refer out in order to confidently offer treatment to the patient. Let’s see some before pictures
 
Canine 1 st  Premolar
 
 
 
 
 
 
Thank you

Extreme Makeover

  • 1.
    Extreme Makeover: TheDental/Plastic Surgery Team
  • 2.
    Beauty What isBeauty? Beauty is a result of 2 ideal components: Symmetry Harmony
  • 3.
    SYMMETRY- the mirrorimage of parts or components about an axis HARMONY- a recurring theme
  • 4.
  • 5.
  • 6.
    “ Beauty ispower, a smile is its sword” – Charles Read “ Beauty is not caused, it is” – Emily Dickenson
  • 7.
    How is itmeasured? The Golden Ratio is a mathematical ratio that seems to appear recurrently in beautiful things in nature as well as in other things that are seen as "Beautiful". The "Golden Ratio" is a mathematical ratio of 1.618:1 , and the number 1.618 is called " Phi ".
  • 8.
    The four frontteeth, from central incisor to premolar are the most significant part of the smile and they are in Golden Proportion to each other. This phenomenon has been combined in a grid which can be used to assist us in perfecting the aesthetics of the eight front teeth. The above picture shows a grid in the mouth with the front teeth clearly shown in the demarcations predicted.
  • 9.
    Smile Design: GeneralCriteria: Smile Line Midline Axial Inclination Buccal Corridor Specific Criteria: Incisal Embrasures Golden Proportion Symmetry Incisal Edge Position Emergence Profile Labial Contour
  • 10.
    Smile Design PeriodontalIssues: Cervical Embrasures Margin Placement and Design Periodontal Health Gingival Contour and Shape Materials and Finish: Choice of Materials Labial Anatomy Surface finish Shade Selection
  • 11.
    General Concepts SmileLine Do the incisal edges follow the Curve of Spee and the Curve of Wilson? Do the incisal edges follow the curve of the lower lip while smiling?
  • 12.
    General Concepts: BuccalCorridor Is there dark spaces while smiling between the corners of the mouth and the buccal surfaces of the upper teeth? What is the arch form?
  • 13.
    Specific Criteria: Symmetry:Is the cervical/incisal tooth length symmetrical from right to left? Is the interproximal contact proper in length and position? Are contralateral teeth properly arranged for size and position?
  • 14.
    Periodontal Related Issues:Cervical Embrasures Are there black triangles present? Margin placement and Design Is the treatment a crown or veneer or something in between? Gingival contour and shape This is the biggest killer of a beautiful cosmetic result. Is the gingival architecture in harmony with the smile design?
  • 15.
  • 16.
    Materials and Finish:Choice of materials When do I use a Veneer, all porcelain crown, or PFM with porcelain margin? Shade Selection What is the hue, chroma and value? Is incisal translucency and halo effect appropriate?
  • 17.
    Treatment Planning Itis the responsibility of the general dentist to offer the best possible treatment to the patient and hence must have the knowledge of the procedures he/she will refer out in order to confidently offer treatment to the patient. Let’s see some before pictures
  • 18.
  • 19.
    Canine 1 st Premolar
  • 20.
  • 21.
  • 22.
  • 23.
  • 24.
  • 25.
  • 26.