US Doppler hepático
       Técnica de exploración, anatomía y patología vascular




                                           DR. ERIC KIMURA HAYAMA
                                    Instituto Nacional de Cardiología Ignacio Chávez
  CT Scanner
  de México                                                       Grupo CT Scanner

Thursday, May 31, 2012
STROINTESTINAL IMAGING
     GASTROINTESTINAL IMAGING                                         161


                      Doppler US of the Liver
                       Doppler US of the Liver
                      Made Simple
                       Made Simple11

                                        Abbreviations: CHF = congestive hear
     CME FEATURE                        portosystemic shunt
E FEATURE
                                        RadioGraphics 2011;                 P
                                        1
                                         From the Department of Radiology, U
    LEARNING                            Laude award for an education exhibit a
   OBJECTIVES                           August 26; accepted August 27. For th
ARNINGTEST 4
   FOR                                  correspondence to D.A.M. (e-mail:
JECTIVES
R TEST 4 taking
    article and                         ©
                                            RSNA, 2011

le andDiscuss the basic
    I taking
     concepts and termi-
     nology for vascular
     Doppler US.
 uss the basic the
     I Recognize
                           ©
                           RSNA, 2011
pts and termi- ap-
     characteristic
y forpearances of normal
      vascular
 er US. abnormal liver
     and
     Doppler waveforms.RSNA, 2011
                     ©
ognize the May 31, 2012
  Thursday,
STROINTESTINAL IMAGING
     GASTROINTESTINAL IMAGING                                                161


                      Doppler US of the Liver
                       Doppler US of the Liver
                      Made Simple
                       Made Simple11

                                               Abbreviations: CHF = congestive hear
     CME FEATURE                               portosystemic shunt
E FEATURE
                                               RadioGraphics 2011;                 P
                                               1
                                                From the Department of Radiology, U
    LEARNING                                   Laude award for an education exhibit a
   OBJECTIVES                                  August 26; accepted August 27. For th
ARNINGTEST 4
   FOR                                         correspondence to D.A.M. (e-mail:
JECTIVES
R TEST 4 taking
    article and


le andDiscuss the basic
    I taking
     concepts and termi-
                                        ????   ©
                                                   RSNA, 2011


     nology for vascular
     Doppler US.
 uss the basic the
     I Recognize
                           ©
                           RSNA, 2011
pts and termi- ap-
     characteristic
y forpearances of normal
      vascular
 er US. abnormal liver
     and
     Doppler waveforms.RSNA, 2011
                     ©
ognize the May 31, 2012
  Thursday,
Thursday, May 31, 2012
Objetivos




Thursday, May 31, 2012
Objetivos
  1. Describir aquellos parámetros técnicos útiles en la obtención
     de un estudio diagnóstico y que pueden condicionar artificios




Thursday, May 31, 2012
Objetivos
  1. Describir aquellos parámetros técnicos útiles en la obtención
     de un estudio diagnóstico y que pueden condicionar artificios

  2. Describir las características normales de los vasos hepáticos




Thursday, May 31, 2012
Objetivos
  1. Describir aquellos parámetros técnicos útiles en la obtención
     de un estudio diagnóstico y que pueden condicionar artificios

  2. Describir las características normales de los vasos hepáticos

  3. Describir algunas patologías donde el US Doppler es de
     utilidad en su estudio




Thursday, May 31, 2012
1. TÉCNICA

          2. Anatomía y fisiología

          3. Patología




incich/grupo ct scanner              Departamento de Radiología/Unidad PET-CT

Thursday, May 31, 2012
Técnica de revisión: ventanas

     • Depende del vaso, tamaño del hígado y del paciente

         Transabdominal




   Lóbulo izquierdo
   •     Porta izquierda
   •     VSH izq




incich/grupo ct scanner                          Departamento de Radiología/Unidad PET-CT

Thursday, May 31, 2012
Técnica de revisión: ventanas

     • Depende del vaso, tamaño del hígado y del paciente

         Transabdominal          Intercostal (DLI)




                             Porta hepatis
   Lóbulo izquierdo          •   Porta principal
   •     Porta izquierda     •   Art. Hepática principal
   •     VSH izq                 y ramas der e izq
                             •   VSH der y media




incich/grupo ct scanner                                    Departamento de Radiología/Unidad PET-CT

Thursday, May 31, 2012
Técnica de revisión: ventanas

     • Depende del vaso, tamaño del hígado y del paciente

         Transabdominal          Intercostal (DLI)                    Subcostal




                                                           Lóbulo derecho (segm
                             Porta hepatis                      posteriores)
   Lóbulo izquierdo          •   Porta principal
                                                           •    VSH y su llegada a la
   •     Porta izquierda     •   Art. Hepática principal        VCI
         VSH izq                 y ramas der e izq
   •                                                       •    Bifurcación portal
                             •   VSH der y media                (“H”)




incich/grupo ct scanner                                        Departamento de Radiología/Unidad PET-CT

Thursday, May 31, 2012
Doppler: parámetros técnicos
         Doppler color y espectral




                 Doppler espectral




                    Doppler color




incich/grupo ct scanner                         Departamento de Radiología/Unidad PET-CT

Thursday, May 31, 2012
Doppler: parámetros técnicos
         Doppler color y espectral       •   Línea basal
                                        •   Escala de velocidad (PRF)
                                         •   Filtros
                                         •   Inversión de flujo

                 Doppler espectral




                    Doppler color




incich/grupo ct scanner                                  Departamento de Radiología/Unidad PET-CT

Thursday, May 31, 2012
Doppler: parámetros técnicos
         Doppler color y espectral       •   Línea basal
                                        •   Escala de velocidad (PRF)
                                         •   Filtros
                                         •   Inversión de flujo

                 Doppler espectral       •   Ganancia espectral
                                        •   Ángulo
                                         •   Tamaño y posición de la
                                             muestra

                    Doppler color




incich/grupo ct scanner                                  Departamento de Radiología/Unidad PET-CT

Thursday, May 31, 2012
Doppler: parámetros técnicos
         Doppler color y espectral       •   Línea basal
                                        •   Escala de velocidad (PRF)
                                         •   Filtros
                                         •   Inversión de flujo

                 Doppler espectral       •   Ganancia espectral
                                        •   Ángulo
                                         •   Tamaño y posición de la
                                             muestra

                    Doppler color        •   Ganancia de color
                                        •   Barra y caja de color
                                         •   Escala de velocidad de color
                                         •   Prioridad



incich/grupo ct scanner                                  Departamento de Radiología/Unidad PET-CT

Thursday, May 31, 2012
Doppler: parámetros técnicos
         Doppler color y espectral          •   Línea basal
                                           •   Escala de velocidad (PRF)
                                            •   Filtros
                                            •   Inversión de flujo

                 Doppler espectral          •   Ganancia espectral
                                           •   Ángulo
                                            •   Tamaño y posición de la
                                                muestra

                    Doppler color          •    Ganancia de color
                                          •    Barra y caja de color
                                           •    Escala de velocidad de color
                                           •    Prioridad

                      TODOS los parámetros DEBEN individualizarse
incich/grupo ct scanner                                     Departamento de Radiología/Unidad PET-CT

Thursday, May 31, 2012
Sobrerrango (aliasing)

 • Causa: PRF “muy bajo” (los
   cambios de frecuencia
   superan el límite Nyquist -2
                                  
   veces el PRF-)




Thursday, May 31, 2012
Sobrerrango (aliasing)

 • Causa: PRF “muy bajo” (los
   cambios de frecuencia
   superan el límite Nyquist -2
                                  
   veces el PRF-)




  SOLUCIÓN
  1.  PRF
  2. Mover la línea basal
  3.  ángulo Doppler
  4. Transductor <frecuencia




Thursday, May 31, 2012
Doppler espectral: PRF y línea basal




                          




        ¿Espectro pequeño?



          Solución: mover línea
          basal o  PRF


incich/grupo ct scanner                        Departamento de Radiología/Unidad PET-CT

Thursday, May 31, 2012
Doppler espectral: PRF y línea basal




                                           Mover línea basal
                          




        ¿Espectro pequeño?



          Solución: mover línea               Mover PRF
          basal o  PRF


incich/grupo ct scanner                         Departamento de Radiología/Unidad PET-CT

Thursday, May 31, 2012
Ganancias color

                    ¿Hemorragia de color?




                           

                               



                                   




incich/grupo ct scanner                     Departamento de Radiología/Unidad PET-CT

Thursday, May 31, 2012
Ganancias color

                    ¿Hemorragia de color?   Solución:  ganancia color




                           

                               



                                   




incich/grupo ct scanner                                 Departamento de Radiología/Unidad PET-CT

Thursday, May 31, 2012
Ganancias espectrales




                                id
                               ru    o



incich/grupo ct scanner                  Departamento de Radiología/Unidad PET-CT

Thursday, May 31, 2012
Tamaño y posición de la muestra




                     Mejor definición del espectro y de la ventana espectral




incich/grupo ct scanner                                             Departamento de Radiología/Unidad PET-CT

Thursday, May 31, 2012
Ventana espectral

                                                                                         Caus
                                                                                         Artifi
                                                                                           Lar
                                                                                           Hig
                                                                                         Physi
                                                                                           No
                                                                                           No
                                                                                         Patho
                                                                                           Co
                                                                                           Tur



                                                                                       vessel e
                                                                                       aorta. T
                     Figure 10. Diagrams illustrate “spectral window” andRadiología/Unidad PET-CT
incich/grupo ct scanner                                           Departamento de
                                                                                       tral wa
            spectral broadening. In the proximal aorta (top left),
 Thursday, May 31, 2012
color Doppler examination includes gray-scale US (B-
           Generalidades
       mode imaging).




     Figure 2. Spectral Doppler examination components.
     Diagram at left shows the general layout of a spectral
     Doppler image. The spectral waveform is displayed
incich/grupo ct scanner                      Departamento de Radiología/Unidad PET-CT

     on the lower half of the image, a color Doppler image
Thursday, May 31, 2012
Generalidades




                        Magnified view of a spectral waveform illustrates its features.
      Cardiac phasicity creates a phasic cycle, which is composed of phases as de-
      termined by the number of times blood flows in each direction. The baseline
      (x = 0) separates one direction from another. Moving from left to right along
      the x-axis corresponds to moving forward in time. Moving away from the
      baseline vertically along the y-axis in either direction correspondsRadiología/Unidad PET-CT
incich/grupo ct scanner                                            Departamento de
                                                                                   to increas-
Thursday, May 31, 2012
Generalidades

                                                              trate th
                                                              used to
                                                              undula
                                                              velocity
                                                              wavefo
                                                              and no
                                                              phasic
                                                              phasic
                                                              teries b
                                                              veins. N
                                                              a phas
                                                              no velo
                                                              though
                                                              The te
                                                              out ph
                                                              is no fl
incich/grupo ct scanner          Departamento de Radiología/Unidad PET-CT

Thursday, May 31, 2012
radiographics.rsna.org

    Figure 6. Phase interpretation ambiguity. Schematics illustrate how different
    interpretations of what constitutes a phase can affect waveform characteriza-
    tion and nomenclature. D.A.M. interprets a phase as a component of the
    waveform on either side of the baseline; M.M.A.Y. interprets a phase as an
    inflection.

    Figure 6. Phase interpretation ambiguity. Schematics illustrate how different
    interpretations of what constitutes a phase can affect waveform characteriza-
    tion and nomenclature. D.A.M. interprets a phase as a component of the
    waveform on either side of the baseline; M.M.A.Y. interprets a phase as an
    inflection.




    Figure 7. Directionality and phase quantification. When phase is defined as
    a component of phasic flow direction, waveforms may be described in terms
    of the number of phases. All monophasic waveforms are unidirectional; bidi-
    rectional waveforms may be either biphasic, triphasic, or tetraphasic.
incich/grupo ct scanner                                     Departamento de Radiología/Unidad PET-CT

Thursday, May 31, 2012
the PI in the portal vein (V2/V1). The most fre-                                           theless u
                           quently used index in the hepatic arteries is the                                          the RI o
                           RI, which is calculated as
                                                                                                                         1. A h
                                        (PSV − EDV)        (V1 − V2)                                                  therefor
                                 RI =                   =             ,
                                            (PSV)              V1                                                     ing than

               Table 1        where PSV = peak systolic velocitycorrelates with, the number of sounds
                                                                                      and EDV =                                2. An
                                                                                    audio Doppler US. With this interpretthe post
                              end diastolic velocity. Calculating the RI is phases (phase quantificatio
                                                                                    number of prob-
                              ably the easiest part of measuring and reporting inflection diffuse d
                   Internal carotid arteries
                                                                                    to the number of                      points con
                   Hepatic arteries
                              arterial impedance; most US vendors provide one cycle.wide var
                   Renal arteries
                                                                                    waveform during
                                                                                       Perhaps in the future, a consensusease due
                              software that automatically performs this calcula-
                   Testicular arteries                                              addressing what constitutes a phase an
                              tion. What to radiographics.rsna.org is much less clear. will be3. An
                                                    do with the result ate phase quantification                                 forthc
                   Note.—RI = resistive index.
                              This is because the normal range varies from oneto overall waveform
                                                                                    cially as it pertains                proxima
 n-                                      institution, and publishedarteries. Schematics illustrate thatarticle, D.A.
                                                     High- versus low-resistance
                                                                                   article to the in this a(arteriov
                                                                                    ture. Nonetheless,
                   Table 2 artery, high-resistance artery (left) allows less blood flow during end diastole (the
nce;                                                                                pretation of phase will be used for pha
e                             next. Furthermore,such that the
                                         trough is lower) than does significance of (right). These visual findings severe
               ization of any wave can be achieved            the a low-resistance artery an abnor-
                                                                                    cation and subsequent waveform nom   in
                                         are confirmed by calculating an RI. High-resistance arteries normally have RIs
               words usedmal result 0.7,not could be entered Therefore, it is wise to 0.7.
                   External carotid arteries is wave always clear.
                               to describe the whereas low-resistance arteries have RIs ranging from 0.55
                                         over                                                                            injury);
                   Extremity arteries (eg, external iliac is a low-resistance artery.
                                                             arteries,
               into a computer to relyhepatic artery these measurements; rather,
-                             not andThe waveform recreated.
                                          the solely on
                      axillary arteries)good to know that phase
                                                                                    Unidirectional versus Bidirectional.—
                              they should such as and supporting unidirectionaldirection of flow can also
                    Regardless, it is
                   Fasting mesenteric arteries be used asinferior
               quantification descriptors          (superior
                                                                       ,
                                                                                     data. the and
                                                                                    describe                             Flow 7)
                                                                                                                              (Fig P
                      mesenteric arteries)
ter-                      , and In general, ambiguous given arteries normally direction (whetherar
                                            can be low-resistance                   flow in only one                      There a
                   Note.—RI = in the RI of 0.55–0.7. The hepatic retrograde) can be said to have un
                              have an index.
               this differenceresistivedefinition of phase. Another                  or artery is Causes of Spectral Bro  flow (no
e-             point to keeplow-resistance vessel; however, wider normalonly be monophasic
                              a in mind is that nonphasic waves do                  flow, which can Artificial
               not actually lack phasicity; rather, they have one
                                                                                                                         lent flow
                                                                                            High- versus low-resistance arteries
                                                                                    earlier). Vessels thatLarge samplein twofl
                                                                                                               have flow PET-CT
 m-                                                                                                                            volume
  incich/grupo ct scanner
                              ranges of 0.55–0.81 have been reported to have bidirectional flow, of
               phase (ie, are monophasic) without any inflec-                                  for
                                                                                high-resistance artery (left) allows less blood
                                                                                                                         effect wh
                                                                                             Departamento de Radiología/Unidad
 ion
  Thursday, May 31, 2012                                                        trough issaid than does a low-resistance arter
                                                                                    are lower)                High gain
Parvus tardus




incich/grupo ct scanner   Diagram illustrates upstream stenosis
                                                     Departamento de Radiología/Unidad PET-CT

Thursday, May 31, 2012
1. Técnica

       2. ANATOMÍA Y FISIOLOGÍA

       3. Patología




Thursday, May 31, 2012
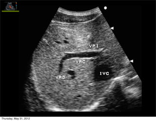
Anatomía




incich/grupo ct scanner     Departamento de Radiología/Unidad PET-CT

Thursday, May 31, 2012
Anatomía




incich/grupo ct scanner     Departamento de Radiología/Unidad PET-CT

Thursday, May 31, 2012
Anatomía (Couinaud)

                                       SEGMENTO              NOMBRE

                                           I                 Caudado

                                          II                Lateral sup

                                          III               Lateral inf

                                          IV                   Medial

                                          V                 Anterior inf

                                          VI               Posterior inf

                                          VII             Posterior sup

                                         VIII              Anterior sup




incich/grupo ct scanner                    Departamento de Radiología/Unidad PET-CT

Thursday, May 31, 2012
Couinaud

          ESTRUCTURA                LOCALIZACIÓN                       UTILIDAD

                                                                Separa segmentos
                  VSHD      Cisura intersegmentaria derecha
                                                                 anterior/posterior
                                                                  Separa lóbulos
                  VSHM           Cisura lobular principal
                                                                 derecho/izquierdo
                                                                Separa segmentos
                   VSHI     Cisura intersegmentaria izquierda
                                                                  medial/lateral




incich/grupo ct scanner                                         Departamento de Radiología/Unidad PET-CT

Thursday, May 31, 2012
Couinaud

          ESTRUCTURA                       LOCALIZACIÓN                           UTILIDAD

                                                                           Separa segmentos
                  VSHD              Cisura intersegmentaria derecha
                                                                            anterior/posterior
                                                                             Separa lóbulos
                  VSHM                  Cisura lobular principal
                                                                            derecho/izquierdo
                                                                           Separa segmentos
                   VSHI            Cisura intersegmentaria izquierda
                                                                             medial/lateral


                            ESTRUCTURA                             LOCALIZACIÓN

                          VPD (rama anterior)                      Intrasegmentaria

                          VPD (rama posterior)                     Intrasegmentaria

                      VPI (segmento horizontal)                Anterior al caudado

                    VPI (segmento ascendente)          Cisura intersegmentaria izquierda


incich/grupo ct scanner                                                    Departamento de Radiología/Unidad PET-CT

Thursday, May 31, 2012
VSH normales


     • Abordaje: variable

     • Morfología trifásica:
       • Suprabasal (1): sístole
         atrial

             • Infrabasal (2): fases de
               llenado auricular




incich/grupo ct scanner                   Departamento de Radiología/Unidad PET-CT

Thursday, May 31, 2012
Hereditary hemorrhagic telangiectasia (Osler-Weber-Rendu syndrome)
            Espectro normal vena suprahepática




           Figure 18. Diagram illustrates normal hepatic venous flow direction
           and waveform. The direction of normal flow is predominantly antegrade, PET-CT
incich/grupo ct scanner                                        Departamento de Radiología/Unidad

Thursday, May 31, 2012
Espectro normal vena suprahepática



Figure 18. Diagram illustrates normal hepatic venous flow direction
   a contracción auricular
and waveform. The direction of normal flow is predominantly antegrade,
which llenado auricular
   S corresponds to a waveform that is mostly below the baseline at spectral
Doppler US. The tricúspide , which refers to the a, S, and D inflection
   v apertura term
points,diástole
   D is commonly used to describe the shape of this waveform; according
to D.A.M., however, this term is a misnomer, and the term tetrainflectional is
more accurate, since it includes the v wave and avoids inaccurate phase quan-
tification. Normal hepatic venous waveforms may be biphasic (bottom left) or
tetraphasic (bottom right).




                                                        Normal time-correlated electrocardio-
                                           graphic (ECG) findings, central venous pressure (CVP)
                                           tracing, and hepatic venous (HV) waveform (4). The
incich/grupo ct scanner                    peak of the retrograde a wave corresponds with atrial
                                                                           Departamento de Radiología/Unidad PET-CT

Thursday, May 31, 2012                     contraction, which occurs at end diastole. The trough
Espectro normal vena suprahepática



Figure 18. Diagram illustrates normal hepatic venous flow direction
   a contracción auricular
and waveform. The direction of normal flow is predominantly antegrade,
which llenado auricular
   S corresponds to a waveform that is mostly below the baseline at spectral
Doppler US. The tricúspide , which refers to the a, S, and D inflection
   v apertura term
points,diástole
   D is commonly used to describe the shape of this waveform; according
to D.A.M., however, this term is a misnomer, and the term tetrainflectional is
more accurate, since it includes the v wave and avoids inaccurate phase quan-
tification. Normal hepatic venous waveforms may be biphasic (bottom left) or
tetraphasic (bottom right).


    Contracción auricular
      (fin de diástole)




                                                        Normal time-correlated electrocardio-
                                           graphic (ECG) findings, central venous pressure (CVP)
                                           tracing, and hepatic venous (HV) waveform (4). The
incich/grupo ct scanner                    peak of the retrograde a wave corresponds with atrial
                                                                           Departamento de Radiología/Unidad PET-CT

Thursday, May 31, 2012                     contraction, which occurs at end diastole. The trough
Espectro normal vena suprahepática



Figure 18. Diagram illustrates normal hepatic venous flow direction
   a contracción auricular
and waveform. The direction of normal flow is predominantly antegrade,
which llenado auricular
   S corresponds to a waveform that is mostly below the baseline at spectral
Doppler US. The tricúspide , which refers to the a, S, and D inflection
   v apertura term
points,diástole
   D is commonly used to describe the shape of this waveform; according
to D.A.M., however, this term is a misnomer, and the term tetrainflectional is
more accurate, since it includes the v wave and avoids inaccurate phase quan-
tification. Normal hepatic venous waveforms may be biphasic (bottom left) or
tetraphasic (bottom right).


    Contracción auricular
      (fin de diástole)


     Efecto “succión” post
     contracción auricular
     y tricúspide cerrada
                                                        Normal time-correlated electrocardio-
                                           graphic (ECG) findings, central venous pressure (CVP)
                                           tracing, and hepatic venous (HV) waveform (4). The
incich/grupo ct scanner                    peak of the retrograde a wave corresponds with atrial
                                                                           Departamento de Radiología/Unidad PET-CT

Thursday, May 31, 2012                     contraction, which occurs at end diastole. The trough
Espectro normal vena suprahepática



Figure 18. Diagram illustrates normal hepatic venous flow direction
   a contracción auricular
and waveform. The direction of normal flow is predominantly antegrade,
which llenado auricular
   S corresponds to a waveform that is mostly below the baseline at spectral
Doppler US. The tricúspide , which refers to the a, S, and D inflection
   v apertura term
points,diástole
   D is commonly used to describe the shape of this waveform; according
to D.A.M., however, this term is a misnomer, and the term tetrainflectional is
more accurate, since it includes the v wave and avoids inaccurate phase quan-
tification. Normal hepatic venous waveforms may be biphasic (bottom left) or
tetraphasic (bottom right).


    Contracción auricular
      (fin de diástole)


     Efecto “succión” post
     contracción auricular
     y tricúspide cerrada
                                                          Normal time-correlated electrocardio-
                                        graphic (ECG) findings, central venous pressure (CVP)
                                            Aumento presión intraauricular
                                 con válvula tricúspide cerrada (telesístole) (HV) waveform (4). The
                                        tracing, and hepatic venous
incich/grupo ct scanner                 peak of the retrograde a wave corresponds with atrial
                                                                                Departamento de Radiología/Unidad PET-CT

Thursday, May 31, 2012                  contraction, which occurs at end diastole. The trough
Espectro normal vena suprahepática



Figure 18. Diagram illustrates normal hepatic venous flow direction
   a contracción auricular
and waveform. The direction of normal flow is predominantly antegrade,
which llenado auricular
   S corresponds to a waveform that is mostly below the baseline at spectral
Doppler US. The tricúspide , which refers to the a, S, and D inflection
   v apertura term
points,diástole
   D is commonly used to describe the shape of this waveform; according
to D.A.M., however, this term is a misnomer, and the term tetrainflectional is
more accurate, since it includes the v wave and avoids inaccurate phase quan-
tification. Normal hepatic venous waveforms may be biphasic (bottom left) or
tetraphasic (bottom right).


    Contracción auricular
      (fin de diástole)


     Efecto “succión” post
     contracción auricular
     y tricúspide cerrada
                                                          Normal time-correlated electrocardio-
                                        graphic (ECG) findings, central venous pressure (CVP)
                                            Aumento presión intraauricular        Fase de llenado
                                 con válvula tricúspide cerrada (telesístole) (HV) waveform (4). The
                                        tracing, and hepatic venous               rápido ventricular
incich/grupo ct scanner                 peak of the retrograde a wave corresponds with atrial
                                                                                Departamento de Radiología/Unidad PET-CT

Thursday, May 31, 2012                  contraction, which occurs at end diastole. The trough
Espectro NORMAL vena suprahepática




                                                               D
                                                        v
Figure 18. Diagram illustrates normal hepatic venous flow direction
and waveform. The direction of normal flow a predominantly antegrade,
      1) Relaciones normales:                   is
                                                     S
which corresponds to a waveform that is mostly below the baseline at spectral
Doppler US. The term              , which refers to the a, S, and D inflection
points, is commonly used to describe the shape of this waveform; according
to D.A.M., however, this term is a misnomer, and the term tetrainflectional is
more accurate, since it includes the v wave and avoids inaccurate phase quan-
tification. Normal hepatic venous waveforms may be biphasic (bottom left) or
tetraphasic (bottom right).




incich/grupo ct scanner                                            Departamento de Radiología/Unidad PET-CT

Thursday, May 31, 2012
Espectro NORMAL vena suprahepática




                                                               D
                                                        v
Figure 18. Diagram illustrates normal hepatic venous flow direction
and waveform. The direction of normal flow a predominantly antegrade,
      1) Relaciones normales:                   is
           a>v         a >D                          S
which corresponds to S waveform that is mostly below the baseline at spectral
Doppler US. The term              , which refers to the a, S, and D inflection
points, is commonly used to describe the shape of this waveform; according
to D.A.M., however, this term is a misnomer, and the term tetrainflectional is
more accurate, since it includes the v wave and avoids inaccurate phase quan-
tification. Normal hepatic venous waveforms may be biphasic (bottom left) or
tetraphasic (bottom right).




incich/grupo ct scanner                                            Departamento de Radiología/Unidad PET-CT

Thursday, May 31, 2012
Espectro NORMAL vena suprahepática




                                                               D
                                                        v
Figure 18. Diagram illustrates normal hepatic venous flow direction
and waveform. The direction of normal flow a predominantly antegrade,
      1) Relaciones normales:                   is
           a>v         a >D                          S
which corresponds to S waveform that is mostly below the baseline at spectral
Doppler US. The term              , which refers to the a, S, and D inflection
points,2) commonly Valsalva:
        is Efecto de used to describe the shape of this waveform; according
to D.A.M., however, this term is a misnomer, and the term tetrainflectional is
       Pérdida de pulsatilidad
more accurate, since it includes the v wave and avoids inaccurate phase quan-
tification. Normal hepatic venous waveforms may be biphasic (bottom left) or
tetraphasic (bottom right).




incich/grupo ct scanner                                            Departamento de Radiología/Unidad PET-CT

Thursday, May 31, 2012
Espectro NORMAL vena suprahepática




                                                               D
                                                        v
Figure 18. Diagram illustrates normal hepatic venous flow direction
and waveform. The direction of normal flow a predominantly antegrade,
      1) Relaciones normales:                   is
            a>v        a >D                          S
which corresponds to S waveform that is mostly below the baseline at spectral
Doppler US. The term              , which refers to the a, S, and D inflection
points,2) commonly Valsalva:
        is Efecto de used to describe the shape of this waveform; according
to D.A.M., however, this term is a misnomer, and the term tetrainflectional is
       Pérdida de pulsatilidad
more accurate, since it includes the v wave and avoids inaccurate phase quan-
tification. Normal hepatic venous waveforms may be biphasic (bottom left) or
        3) ¿Cómo revisarla?:
tetraphasic (bottom right).
           Inspiración ligera




incich/grupo ct scanner                                            Departamento de Radiología/Unidad PET-CT

Thursday, May 31, 2012
Venas hepáticas: anomalías espectro


  176    January-February 2011                                                        radiographics.rsna.org


      • Alta pulsatilidad:
    corresponds to maximal retrograde hepatic ve-
    nous flow. In physiologic states, the peak of the
                                                           Table 6
                                                           Causes of Pulsatile Hepatic Venous Waveform
    a wave is above the baseline, and the a wave is
             • Origen: cardiaco
    wider and taller than the v wave (the other po-        Tricuspid regurgitation
                                                             Decreased or reversed S wave
    tentially retrograde wave). Even in pathologic
    states, the a wave remains wider than the v wave,        Tall a and v waves
    which represents the best way to initially orient      Right-sided CHF
    oneself on the waveform. The only time this rule         Maintained S wave/D wave relationship
    breaks down is in cases of severe tricuspid regur-       Tall a and v waves
    gitation, when the S wave becomes retrograde
    and merges with the a and v waves to form one
    large retrograde a-S-v complex.
       The S wave is the next wave encountered           grade diastolic velocity is maximal. The subse-
    on the waveform. Its initial downward-sloping        quent rising portion results from increasing right
    portion is generated by decreasing right atrial      atrial pressure generated by the increasing right
    pressure, as a result of the “sucking” effect cre-   ventricular blood volume.
    ated by the downward motion of the atrioven-            It is almost unheard of to describe flow in the
    tricular septum as it descends toward the cardiac    hepatic veins as hepatofugal, since the term is
    apex during early to midsystole. Note that the       reserved for describing the state of pathologic
    tricuspid valve remains closed. If it were open      flow in the portal veins. However, it is important
    (tricuspid regurgitation), the result would be       to remember that physiologic flow in the hepatic
    pathologic retrograde flow. The S wave corre-         veins is hepatofugal (ie, away from the liver and
    sponds to antegrade hepatic venous flow and is        toward the heart). In summary, the hepatic ve-
    the largest downward-pointing wave in the cycle.     nous waveform is normally phasic and predomi-
    The lowest point occurs in midsystole and is the     nantly antegrade.
incich/grupo ct scanner                                                                      Departamento de Radiología/Unidad PET-CT
    point at which negative pressure is minimally op-       Abnormal (pathologic) hepatic venous flow
 Thursday, May 31, 2012velocity is maximal. After
    posed and antegrade                                  may manifest in one of several basic ways.
Venas hepáticas: anomalías espectro
                                                                    OJO: NO aplica en
                                                                     casos de cirrosis
  176    January-February 2011                                                        radiographics.rsna.org


      • Alta pulsatilidad:
    corresponds to maximal retrograde hepatic ve-
    nous flow. In physiologic states, the peak of the
                                                           Table 6
                                                           Causes of Pulsatile Hepatic Venous Waveform
    a wave is above the baseline, and the a wave is
             • Origen: cardiaco
    wider and taller than the v wave (the other po-        Tricuspid regurgitation
                                                             Decreased or reversed S wave
    tentially retrograde wave). Even in pathologic
    states, the a wave remains wider than the v wave,        Tall a and v waves
    which represents the best way to initially orient      Right-sided CHF
    oneself on the waveform. The only time this rule         Maintained S wave/D wave relationship
    breaks down is in cases of severe tricuspid regur-       Tall a and v waves
    gitation, when the S wave becomes retrograde
    and merges with the a and v waves to form one
    large retrograde a-S-v complex.
       The S wave is the next wave encountered           grade diastolic velocity is maximal. The subse-
    on the waveform. Its initial downward-sloping        quent rising portion results from increasing right
    portion is generated by decreasing right atrial      atrial pressure generated by the increasing right
    pressure, as a result of the “sucking” effect cre-   ventricular blood volume.
    ated by the downward motion of the atrioven-            It is almost unheard of to describe flow in the
    tricular septum as it descends toward the cardiac    hepatic veins as hepatofugal, since the term is
    apex during early to midsystole. Note that the       reserved for describing the state of pathologic
    tricuspid valve remains closed. If it were open      flow in the portal veins. However, it is important
    (tricuspid regurgitation), the result would be       to remember that physiologic flow in the hepatic
    pathologic retrograde flow. The S wave corre-         veins is hepatofugal (ie, away from the liver and
    sponds to antegrade hepatic venous flow and is        toward the heart). In summary, the hepatic ve-
    the largest downward-pointing wave in the cycle.     nous waveform is normally phasic and predomi-
    The lowest point occurs in midsystole and is the     nantly antegrade.
incich/grupo ct scanner                                                                      Departamento de Radiología/Unidad PET-CT
    point at which negative pressure is minimally op-       Abnormal (pathologic) hepatic venous flow
 Thursday, May 31, 2012velocity is maximal. After
    posed and antegrade                                  may manifest in one of several basic ways.
Venas hepáticas: anomalías espectro
                                                                    OJO: NO aplica en
                                                                     casos de cirrosis
  176    January-February 2011                                                        radiographics.rsna.org


      • Alta pulsatilidad:
    corresponds to maximal retrograde hepatic ve-
    nous flow. In physiologic states, the peak of the
                                                           Table 6
                                                           Causes of Pulsatile Hepatic Venous Waveform
    a wave is above the baseline, and the a wave is
             • Origen: cardiaco
    wider and taller than the v wave (the other po-        Tricuspid regurgitation
                                                             Decreased or reversed S wave
    tentially retrograde wave). Even in pathologic
    states, the a wave remains wider than the v wave,        Tall a and v waves
    which represents the best way to initially orient      Right-sided CHF
    oneself on the waveform. The only time this rule         Maintained S wave/D wave relationship
    breaks down is in cases of severe tricuspid regur-       Tall a and v waves
    gitation, when the S wave becomes retrograde
    and merges with the a and v waves to form one
    large retrograde a-S-v complex.
     • Baja pulsatilidad:
       The S wave is the next wave encountered
    on the waveform. Its initial downward-sloping
                                                         grade diastolic velocity is maximal. The subse-
                                                         quent rising portion results from increasing right
    portion is generated by decreasing right atrial      atrial pressure generated by the increasing right
             • Origen: pérdida de
    pressure, as a result of the “sucking” effect cre-   ventricular blood volume.
               distensibilidad venosa (por
    ated by the downward motion of the atrioven-
    tricular septum as it descends toward the cardiac
                                                            It is almost unheard of to describe flow in the
                                                         hepatic veins as hepatofugal, since the term is
               aumento en la presión
    apex during early to midsystole. Note that the
    tricuspid valve remains closed. If it were open
                                                         reserved for describing the state of pathologic
                                                         flow in the portal veins. However, it is important
               intraparenquimatosa
    (tricuspid regurgitation), the result would be
    pathologic retrograde flow. The S wave corre-
                                                         to remember that physiologic flow in the hepatic
                                                         veins is hepatofugal (ie, away from the liver and
               hepática)
    sponds to antegrade hepatic venous flow and is
    the largest downward-pointing wave in the cycle.
                                                         toward the heart). In summary, the hepatic ve-
                                                         nous waveform is normally phasic and predomi-
    The lowest point occurs in midsystole and is the     nantly antegrade.
incich/grupo ct scanner                                                                      Departamento de Radiología/Unidad PET-CT
    point at which negative pressure is minimally op-       Abnormal (pathologic) hepatic venous flow
 Thursday, May 31, 2012velocity is maximal. After
    posed and antegrade                                  may manifest in one of several basic ways.
Venas hepáticas: anomalías espectro
                                                                          OJO: NO aplica en
                                                                           casos de cirrosis
   176   January-February 2011                                                               radiographics.rsna.org


      • Alta pulsatilidad:
    corresponds to maximal retrograde hepatic ve-
    nous flow. In physiologic states, the peak of the
                                                                  Table 6
                                                                  Causes of Pulsatile Hepatic Venous Waveform
    a wave is above the baseline, and the a wave is
             • Origen: cardiaco
    wider and taller than the v wave (the other po-               Tricuspid regurgitation
                                                                     Decreased or reversed S wave
    tentially retrograde wave). Even in pathologic
    states, the a wave remains wider than the v wave,               Tall a and v waves
    which represents the best way to initially orient             Right-sided CHF
    oneself on the waveform. The only time this rule                 Maintained S wave/D wave relationship
    breaks down is in cases of severe tricuspid regur-              Tall a and v waves
                         S wave becomes retrograde
    gitation, when the 178 January-February 2011                                                                  radiographics.rsna.org
    and merges with the a and v waves to form one
    large retrograde a-S-v complex.
                        This is because the waveform is affected not only
      • Baja pulsatilidad:
       The S wave is the next wave encountered                  grade diastolic velocity is maximal. The subse-
                        by the cardiac cycle, but also by respiratory varia-
    on the waveform. Its initial downward-sloping
                                                                                       Table 7
                                                                quent rising portion Causes of Decreased Hepatic Venous Phasicity
                        tion. It has been shown that inspiration and expi-
                                                                                        results from increasing right
    portion is generated by decreasing right atrial             atrial pressure generated by the increasing right
              • Origen: pérdida de
                        ration both affect the systolic/diastolic ratio, and
    pressure, as a result of the “sucking” effect cre-
                                                                                       Cirrhosis
                                                                ventricular blood volume. vein thrombosis (Budd-Chiari syndrome)
                        that the Valsalva maneuver can markedly reduce                 Hepatic
                distensibilidad venosa (por
    ated by the downward motion of the atrioven-                   It is almost unheard of toveno-occlusive disease
                        pulsatility, even to the point of nonphasicity (1).
    tricular septum as it descends toward the cardiac
                                                                                       Hepatic describe flow in the
                                                                hepatic veins as hepatofugal, since outflow obstruction from any cause
                                                                                       Hepatic venous the term is
                        The ideal time to acquire the spectral waveform
                aumento en la presión
    apex during early to midsystole. Note that the              reserved for describing the state of pathologic
                        is during a small (incomplete) inspiratory breath
    tricuspid valve remains closed. If it were open             flow in the portal veins. However, it is important
                        hold. Once proper technique has been confirmed,
                intraparenquimatosa
    (tricuspid regurgitation), the result would be              to remember that physiologic flow in the hepatic
                        pathologic causes of nonphasicity may be consid-
    pathologic retrograde flow. The S wave corre-                veins is hepatofugal (ie, away from the liver and
                        ered, including cirrhosis, hepatic vein thrombosis          literature indicates that approximately 25% of
                hepática)
    sponds to antegrade hepatic venous flow and is               toward the heart). In summary, the hepatic ve-
                        (Budd-Chiari syndrome), hepatic veno-occlusive
    the largest downward-pointing wave in the cycle.
                                                                                    patients with Budd-Chiari syndrome also have
                                                                nous waveform is normally phasic and predomi-
                        disease, and hepatic venous outflow obstruction              portal vein thrombosis (23).
    The lowest point occurs in midsystole and is the            nantly antegrade.
incich/grupo ct scanner from any cause (Table 7). As disease severity                   Budd-Chiari Departamento de Radiología/Unidad PET-CT
                                                                                                      syndrome is typically classified
    point at which negative pressure is minimally op-              Abnormal (pathologic) hepatic venous flow
                        progresses and the veins become more com-                   into one of three types on the basis of the loca-
 Thursday, May 31, 2012velocity is maximal. After
    posed and antegrade                                         may manifest in one of several basic ways.
Diagnóstico????




incich/grupo ct scanner            Departamento de Radiología/Unidad PET-CT

Thursday, May 31, 2012
Diagnóstico????



                           Insuficiencia tricuspídea
                          moderada (S < D, >>> a/v)




incich/grupo ct scanner                          Departamento de Radiología/Unidad PET-CT

Thursday, May 31, 2012
Diagnóstico????



                           Insuficiencia tricuspídea
                          moderada (S < D, >>> a/v)




incich/grupo ct scanner                          Departamento de Radiología/Unidad PET-CT

Thursday, May 31, 2012
Diagnóstico????



                          Insuficiencia tricuspídea grave
                             Insuficiencia tricuspídea
                            moderada (S <onda S) a/v)
                                 (inversión D, >>>




incich/grupo ct scanner                             Departamento de Radiología/Unidad PET-CT

Thursday, May 31, 2012
“a” o “v”, como identificarlas????




                                    a   v




incich/grupo ct scanner                          Departamento de Radiología/Unidad PET-CT

Thursday, May 31, 2012
Insuficiencia cardiaca derecha sin IT grave




 Figure 21.
incich/grupo ct scanner

Thursday, May 31, 2012
                          Right-sided CHF without tricuspid re-
                                                   Departamento de Radiología/Unidad PET-CT
Insuficiencia cardiaca derecha sin IT grave



                              Insuficiencia cardiaca derecha
                          (relación S/D conservada, y >>>> a/v)




 Figure 21.
incich/grupo ct scanner

Thursday, May 31, 2012
                             Right-sided CHF without tricuspid re-
                                                        Departamento de Radiología/Unidad PET-CT
Baja pulsatilidad: aplanamiento a inversión “a”




                                              Figure 22. Decreased hepatic venous
                                              phasicity. Diagrams illustrate varying
                                              degrees of severity of decreased phasicity
                                              in the hepatic vein. Farrant and Meire (5)
                                              first described a subjective scale for quan-
                                              tifying abnormally decreased phasicity in
                                              the hepatic veins, a finding that is most
                                              commonly seen in cirrhosis. The key to
                                              understanding this scale lies in observing
                                              the position of the a wave relative to the
                                              baseline and peak negative S wave excur-
                                              sion. As the distance between the a wave
                                              and peak negative excursion decreases, pha
                                              sicity is more severely decreased.
incich/grupo ct scanner                              Departamento de Radiología/Unidad PET-CT

Thursday, May 31, 2012
Baja pulsatilidad: aplanamiento a inversión “a”
                          178 January-February 2011                                                          radiographics.rsna.org

                          This is because the waveform is affected not only
                                                                                  Table 7
                          by the cardiac cycle, but also by respiratory varia-    Causes of Decreased Hepatic Venous Phasicity
                          tion. It has been shown that inspiration and expi-
                          ration both affect the systolic/diastolic ratio, and    Cirrhosis
                          that the Valsalva maneuver can markedly reduce          Hepatic vein thrombosis (Budd-Chiari syndrome)
                          pulsatility, even to the point of nonphasicity (1).     Hepatic veno-occlusive disease
                          The ideal time to acquire the spectral waveform         Hepatic venous outflow obstruction from any cause
                          is during a small (incomplete) inspiratory breath
                          hold. Once proper technique has been confirmed,
                          pathologic causes of nonphasicity may be consid-
                          ered, including cirrhosis, hepatic vein thrombosis     literature indicates that approximately 25% of
                          (Budd-Chiari syndrome), hepatic veno-occlusive         patients with Budd-Chiari syndrome also have
                          disease, and hepatic venous outflow obstruction         portal vein thrombosis (23).
                          from any cause (Table 7). As disease severity              Budd-Chiari syndrome is typically classified
                          progresses and the veins become more com-              into one of three types on the basis of the loca-
                          pressed by fibrotic constriction or parenchymal         tion of the obstruction. Type 3, also called hepatic
                                                                                    Figure 22. Decreased hepatic venous
                          edema, they lose their ability to accommodate          veno-occlusive disease, is rare and involves dif-
                          retrograde flow. This is the one case in which             phasicity. Diagrams illustrate varying
                                                                                 fuse narrowing at the venule level. Types 1 and 2
                          our model for understanding the hepatic venous         are the mostof severity of decreased phasicity
                                                                                    degrees common and involve obstruction at
                          waveform in terms of right atrial pressure breaks      the level of the hepatic vein or vena and Meire (5)
                                                                                    in the hepatic vein. Farrant cava. The ob-
                          down. Decreased venous compliance is seen as           struction is usually secondary to bland thrombus
                                                                                    first described a subjective scale for quan-
                          a waveform with a proportional loss of phasicity.      related to a hypercoagulable state; however, the in
                                                                                    tifying abnormally decreased phasicity
                          A quick and reliable way to grade the severity         list of causes of hepatic vein occlusion is long and
                          of decreased phasicity is to visually assess the          the hepatic veins, a finding that is most
                                                                                 is traditionally divided into primary (eg, congeni-
                          waveform, focusing on how far the a wave drops         talcommonly seen in cirrhosis. The key to
                                                                                     webs) and secondary (eg, benign or malignant
                          below the baseline (Fig 22). As long as the a wave     thrombosis) causes. this scale lies in observing
                                                                                    understanding
                          remains above the baseline, there is normal pha-           Overall, hepatic the a wave relative to the
                                                                                    the position ofvein thrombosis is much less
                          sicity; once the a wave goes below the baseline,       common than portal vein thrombosis. Malignant
                                                                                    baseline and peak negative S wave excur-
                          there is at least mildly decreased phasicity, which    hepatic vein thrombosis (ie, tumor thrombus) is
                          has been observed in less than 10% of healthy
                                                                                    sion. As the distance between the a wave
                                                                                 usually the result of direct invasion from an adja-
                          patients (1). Once the peak of the a wave is at           and peak negative excursion decreases, pha
                                                                                 cent parenchymal hepatocellular carcinoma; how-
                          least halfway between the baseline and the peak        ever, anyis more severely decreased.
                                                                                    sicity other malignant vena cava thrombosis,
                          negative excursion of the waveform, there is at        such as renal cell carcinoma, adrenal cortical car-
incich/grupo ct scanner   least moderately decreased phasicity. This degree      cinoma, or Departamento de Radiología/Unidad PET-CT
                                                                                              primary inferior vena cava (IVC) leio-
Thursday, May 31, 2012    of decreased phasicity is never normal. When the       myosarcoma, may also cause Budd-Chiari syn-
Arteria hepática (AH) normal

       • Abordaje: intercostal

       • 20% flujo hepático

       • Baja resistencia (flujo
         diastólico anterógrado)

       • IR: 0.5-0.7

       • VPS: 30-60 cm/seg




incich/grupo ct scanner                         Departamento de Radiología/Unidad PET-CT

Thursday, May 31, 2012
Cómo se clasifica a la anatomía de la AH




incich/grupo ct scanner                           Departamento de Radiología/Unidad PET-CT

Thursday, May 31, 2012
Cómo se clasifica a la anatomía de la AH




incich/grupo ct scanner                           Departamento de Radiología/Unidad PET-CT

Thursday, May 31, 2012
Clasificación de Michels AH




                                                        AJR 2004;183:145
incich/grupo ct scanner                        Departamento de Radiología/Unidad PET-CT

Thursday, May 31, 2012
Arteria hepática: IR normal




incich/grupo ct scanner                        Departamento de Radiología/Unidad PET-CT

Thursday, May 31, 2012
Arteria hepática: IR alto




incich/grupo ct scanner                      Departamento de Radiología/Unidad PET-CT

Thursday, May 31, 2012
Arteria hepática: IR alto           radiographics.rsna.org


       Table 4

       Pathologic (microvascular compression or disease)
         Chronic hepatocellular disease (including cirrhosis)
         Hepatic venous congestion
           Acute congestion diffuse peripheral vasoconstriction
           Chronic congestion fibrosis with diffuse peripheral compression
              (cardiac cirrhosis)
         Transplant rejection (any stage)
         Any other disease that causes diffuse compression or narrowing of
              peripheral arterioles
       Physiologic
         Postprandial state
         Advanced patient age

incich/grupo ct scanner                                 Departamento de Radiología/Unidad PET-CT

Thursday, May 31, 2012
Diagnóstico????




  373 cm/seg                                          362 cm/seg




                                     168 cm/seg
incich/grupo ct scanner            Departamento de Radiología/Unidad PET-CT

Thursday, May 31, 2012
Diagnóstico: ????




                          T12-L1



incich/grupo ct scanner              Departamento de Radiología/Unidad PET-CT

Thursday, May 31, 2012
Diagnóstico: ????




                          T12-L1



incich/grupo ct scanner              Departamento de Radiología/Unidad PET-CT

Thursday, May 31, 2012
Inspiración   Espiración




incich/grupo ct scanner                    Departamento de Radiología/Unidad PET-CT

Thursday, May 31, 2012
incich/grupo ct scanner   Departamento de Radiología/Unidad PET-CT

Thursday, May 31, 2012
Arteria hepática




incich/grupo ct scanner             Departamento de Radiología/Unidad PET-CT

Thursday, May 31, 2012
Arteria hepática
        Advanced patient age




    Proximal arterial narrowing
      Transplant stenosis (anastomosis)
      Atherosclerotic disease (celiac or hepatic)
      Arcuate ligament syndrome (relatively less common than transplant
        stenosis or atherosclerotic disease)
    Distal (peripheral) vascular shunts (arteriovenous or arterioportal fistulas)
      Cirrhosis with portal hypertension
      Posttraumatic or iatrogenic causes
      Hereditary hemorrhagic telangiectasia (Osler-Weber-Rendu syndrome)




incich/grupo ct scanner                                     Departamento de Radiología/Unidad PET-CT

Thursday, May 31, 2012
Arteria hepática... conclusiones


          • IR alto = inespecífico

          • IR bajo = más específico (cortocircuitos o
            estenosis)




incich/grupo ct scanner                         Departamento de Radiología/Unidad PET-CT

Thursday, May 31, 2012
Vena porta


          • 70-80% flujo hepático

          • Ventanas
                  • Intercostal oblicua derecha
                  • Oblicua subxifoidea con angulación craneal


          • Intrasegmentarias (excepto porción ascendente de
            VPI, que es intersegmentaria)




incich/grupo ct scanner                                          Departamento de Radiología/Unidad PET-CT

Thursday, May 31, 2012
Porta principal


      • Unión de esplénica y
        mesentérica sup

      • Orden (post a ant)
              •     Porta-Colédoco-Arteria

      • Diámetro 11 +/- 2 mm

      • Visibles por colágena




incich/grupo ct scanner                      Departamento de Radiología/Unidad PET-CT

Thursday, May 31, 2012
Thursday, May 31, 2012
Porta izq


    • Más corta, craneal y
      anterior

    • Su unión con la porta
      común indica la porta
      hepatis

    • “H” reclinada           4       3


    • Subdivisión med/lat

                                      2
                                  1

Thursday, May 31, 2012
Porta derecha



                             • Más larga, caudal y
                               posterior

                             • División ant/post

                             • 10% VPD inferior
          8              5     accesoria

                             • “H” reclinada

          7              6


Thursday, May 31, 2012
Clasificación Nakamura

           • Variantes anatómicas 10%
           • Generalmente afectan a la VP derecha




incich/grupo ct scanner                             Departamento de Radiología/Unidad PET-CT

Thursday, May 31, 2012
Porta normal

• Abordaje: variable, en general
  intercostal
                                     LAMINAR: petal y ligeramente ondulante

• Flujo normal (petal)
   • Hacia el transductor (rojo)
     (excepto rama posterior der –
     azul -)

      • Variante: flujo helicoidal




Thursday, May 31, 2012
Porta normal

• Abordaje: variable, en general
  intercostal
                                     LAMINAR: petal y ligeramente ondulante

• Flujo normal (petal)
   • Hacia el transductor (rojo)
     (excepto rama posterior der –
     azul -)

      • Variante: flujo helicoidal




Thursday, May 31, 2012
Porta normal

• Abordaje: variable, en general
  intercostal
                                        LAMINAR: petal y ligeramente ondulante

• Flujo normal (petal)
   • Hacia el transductor (rojo)
     (excepto rama posterior der –
     azul -)

      • Variante: flujo helicoidal




                         15-40 cm/seg


Thursday, May 31, 2012
Porta común




incich/grupo ct scanner        Departamento de Radiología/Unidad PET-CT

Thursday, May 31, 2012
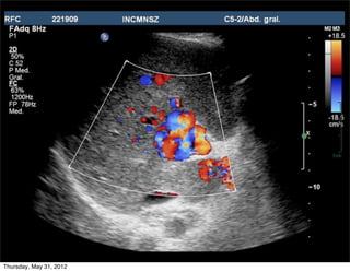
Variante normal: flujo HELICOIDAL
                          HELICOIDAL: petal/fugo (espiral)




incich/grupo ct scanner                                Departamento de Radiología/Unidad PET-CT

Thursday, May 31, 2012
Flujo helicoidal: causas

     1. Normal: 2.2% población

     2. Shunts portosistémicos patológicos (20% pacientes
        hepatópatas con HP) o quirúrgicos

     3. Invasión o desplazamiento tumoral


     4. PO inmediato TOH: 43%
             •       Desproporción diámetros de
                     la anastomosis (>50%)


     5. Post TIPS: 28%


incich/grupo ct scanner                           Departamento de Radiología/Unidad PET-CT

Thursday, May 31, 2012
Flujo helicoidal: causas

     1. Normal: 2.2% población

     2. Shunts portosistémicos patológicos (20% pacientes
        hepatópatas con HP) o quirúrgicos

     3. Invasión o desplazamiento tumoral




                                                  }
     4. PO inmediato TOH: 43%
             •       Desproporción diámetros de
                                                       Transitorio. Si persiste,
                     la anastomosis (>50%)
                                                      descartar estenosis portal
                                                         (anastomosis/stent)
     5. Post TIPS: 28%


incich/grupo ct scanner                                      Departamento de Radiología/Unidad PET-CT

Thursday, May 31, 2012
Flujo portal normal: índice pulsatilidad




incich/grupo ct scanner                          Departamento de Radiología/Unidad PET-CT

Thursday, May 31, 2012
Flujo portal normal: índice pulsatilidad


     La pulsatilidad depende de la transmisión del flujo venoso
     de forma trans-sinusoidal, en particular de la contracción
       auricular (onda a, contracción auricular, telediástole)




incich/grupo ct scanner                          Departamento de Radiología/Unidad PET-CT

Thursday, May 31, 2012
Análisis de la pulsatilidad portal: IP alta
                               180 January-February 2011




                                                                   Spectral Doppler US image shows
                                                     tile waveform with flow reversal in the right por
                                                     The waveform may be systematically characte
                                                     predominantly antegrade, pulsatile, biphasic-b
                                                     tional, and di-inflectional.


0     January-February 2011                                                      radiographics.rsna.org




     Figure 24. Normal and abnormal portal            FigureSpectralSlow portalimage shows a pulsa-
                                                              26. Doppler US venous flow. Spectra
incich/grupo ct scanner                         tile waveform with flow reversal in the right portal vein.
                                                                         Departamento de Radiología/Unidad PET-CT
     venous phasicity. Images show a spectrum         pler US image shows slow flow in the main po
    Thursday, May 31, 2012                      The waveform may be systematically characterized as
Análisis de la pulsatilidad portal: IP alta
                               180 January-February 2011




                       NORMAL                                      Spectral Doppler US image shows
                                                     tile waveform with flow reversal in the right por
                                                     The waveform may be systematically characte
                                                     predominantly antegrade, pulsatile, biphasic-b
                                                     tional, and di-inflectional.


0     January-February 2011                                                      radiographics.rsna.org




                       NORMAL




     Figure 24. Normal and abnormal portal            FigureSpectralSlow portalimage shows a pulsa-
                                                              26. Doppler US venous flow. Spectra
incich/grupo ct scanner                         tile waveform with flow reversal in the right portal vein.
                                                                         Departamento de Radiología/Unidad PET-CT
     venous phasicity. Images show a spectrum         pler US image shows slow flow in the main po
    Thursday, May 31, 2012                      The waveform may be systematically characterized as
Análisis de la pulsatilidad portal: IP alta
                               180 January-February 2011



                                                         Anormal: IP Doppler US image shows
                                                                           elevado
                       NORMAL                                     Spectral
                                                     tile waveform with derreversal in the right por
                                                            = Falla flow o IT
                                                     The waveform may be systematically characte
                                                     predominantly antegrade, pulsatile, biphasic-b
                                                     tional, and di-inflectional.


0     January-February 2011                                                      radiographics.rsna.org




                       NORMAL                           Anormal: IP elevado
                                                          = Falla der o IT




     Figure 24. Normal and abnormal portal            FigureSpectralSlow portalimage shows a pulsa-
                                                              26. Doppler US venous flow. Spectra
incich/grupo ct scanner                         tile waveform with flow reversal in the right portal vein.
                                                                         Departamento de Radiología/Unidad PET-CT
     venous phasicity. Images show a spectrum         pler US image shows slow flow in the main po
    Thursday, May 31, 2012                      The waveform may be systematically characterized as
blue on the color Doppler US image and is displayed
                                                                                              the
           below the baseline on the porta: waveform. Hepa-
            Análisis espectral spectral IP alta
           tofugal flow is due to severe portal hypertension from                              the
           any cause.                                                                         sati
                                                                                              scri
                                                                                              pre
               Table 8
                                                                                              por
               Causes of Pulsatile Portal Venous Waveform                                     side
                                                                                              tran
               Tricuspid regurgitation
                                                                                              arte
               Right-sided CHF
                                                                                              ver
               Cirrhosis with vascular arterioportal shunting
                                                                                              her
               Hereditary hemorrhagic telangiectasia–arteriove-                               this
                 nous fistulas                                                                    I
                                                                                              am
                                                                                              red
                                                                                              usu
                     Findings That Are Diagnostic for Portal Hy-                              tion
                     pertension
incich/grupo ct scanner
                                                                                              by
                                                          Departamento de Radiología/Unidad PET-CT

Thursday, May 31, 2012
Análisis de la pulsatilidad portal: IP normal
                                                                         Spectral Doppler US image shows a pulsa-
                                                           tile waveform with flow reversal in the right portal vein.
                                                           The waveform may be systematically characterized as
                                                           predominantly antegrade, pulsatile, biphasic-bidirec-
                                                                              Spectral Doppler US image shows
                                                           tional, and di-inflectional.flow reversal in the right por
                                                                tile waveform with
                                                              The waveform may be systematically characte
                                                              predominantly antegrade, pulsatile, biphasic-b
                                                              tional, and di-inflectional.




           Figure 24. Normal and abnormal portal           Figure 26. Slow portal venous flow. Spectral Dop-
           venous phasicity. Images show a spectrum        pler US image shows slow flow in the main portal vein.
           of increasing pulsatility (bottom to top).      Slow portal venous flow is a consequence of portal hy-
           Note that increasing pulsatility corresponds    pertension. In this case, the peak velocity is 9.0 cm/sec,
           to a decrease in the calculated PI. Although    which is well below the lower limit of normal (16–40
           normal phasicity ranges widely in the portal    cm/sec). Although portal hypertension may cause a
                                                           pulsatile-appearing waveform as venousthis case, the
                                                              Figure 26. Slow portal seen in flow. Spectra
     Figure 24. PI should and abnormal 0.5
           veins, the Normal be greater than portal
incich/grupo ct scanner and bottom). When the PI is less
           (middle                                         slow flow helps differentiate this condition from hyper-
                                                                                     Departamento de Radiología/Unidad PET-CT
     venous phasicity.the waveform may spectrum
                              Images show a be called         pler US image shows such as CHF and tricuspidpo
                                                           pulsatile high-velocity states
                                                                                           slow flow in the main
 Thursday, May 31, (top),
           than 0.5 2012
Análisis de la pulsatilidad portal: IP normal
                                                                         Spectral Doppler US image shows a pulsa-
                                                           tile waveform with flow reversal in the right portal vein.
                                                           The waveform may be systematically characterized as
                    NORMAL                                 predominantly antegrade, pulsatile, biphasic-bidirec-
                                                                              Spectral Doppler US image shows
                                                           tional, and di-inflectional.flow reversal in the right por
                                                                tile waveform with
                                                              The waveform may be systematically characte
                                                              predominantly antegrade, pulsatile, biphasic-b
                                                              tional, and di-inflectional.




                    NORMAL

           Figure 24. Normal and abnormal portal           Figure 26. Slow portal venous flow. Spectral Dop-
           venous phasicity. Images show a spectrum        pler US image shows slow flow in the main portal vein.
           of increasing pulsatility (bottom to top).      Slow portal venous flow is a consequence of portal hy-
           Note that increasing pulsatility corresponds    pertension. In this case, the peak velocity is 9.0 cm/sec,
           to a decrease in the calculated PI. Although    which is well below the lower limit of normal (16–40
           normal phasicity ranges widely in the portal    cm/sec). Although portal hypertension may cause a
                                                           pulsatile-appearing waveform as venousthis case, the
                                                              Figure 26. Slow portal seen in flow. Spectra
     Figure 24. PI should and abnormal 0.5
           veins, the Normal be greater than portal
incich/grupo ct scanner and bottom). When the PI is less
           (middle                                         slow flow helps differentiate this condition from hyper-
                                                                                     Departamento de Radiología/Unidad PET-CT
     venous phasicity.the waveform may spectrum
                              Images show a be called         pler US image shows such as CHF and tricuspidpo
                                                           pulsatile high-velocity states
                                                                                           slow flow in the main
 Thursday, May 31, (top),
           than 0.5 2012
Análisis de la pulsatilidad portal: IP normal
                                                                         Spectral Doppler US image shows a pulsa-
                                                           tile waveform with flow reversal in the right portal vein.
                                                           The waveform may be systematically characterized as
                    NORMAL                                 predominantly antegrade, pulsatile, biphasic-bidirec-
                                                                              Spectral Doppler US image shows
                                                           tional, and di-inflectional.flow reversal in the right por
                                                                tile waveform with
                                                              The waveform may be systematically characte
                                                              predominantly antegrade, pulsatile, biphasic-b
                                                              tional, and di-inflectional.
                                                                               Anormal:
                                                               IP normal PERO baja velocidad
                                                                     = hipertensión portal



                    NORMAL

           Figure 24. Normal and abnormal portal           Figure 26. Slow portal venous flow. Spectral Dop-
           venous phasicity. Images show a spectrum        pler US image shows slow flow in the main portal vein.
           of increasing pulsatility (bottom to top).      Slow portal venous flow is a consequence of portal hy-
           Note that increasing pulsatility corresponds    pertension. In this case, the peak velocity is 9.0 cm/sec,
           to a decrease in the calculated PI. Although    which is well below the lower limit of normal (16–40
           normal phasicity ranges widely in the portal    cm/sec). Although portal hypertension may cause a
                                                           pulsatile-appearing waveform as venousthis case, the
                                                              Figure 26. Slow portal seen in flow. Spectra
     Figure 24. PI should and abnormal 0.5
           veins, the Normal be greater than portal
incich/grupo ct scanner and bottom). When the PI is less
           (middle                                         slow flow helps differentiate this condition from hyper-
                                                                                     Departamento de Radiología/Unidad PET-CT
     venous phasicity.the waveform may spectrum
                              Images show a be called         pler US image shows such as CHF and tricuspidpo
                                                           pulsatile high-velocity states
                                                                                           slow flow in the main
 Thursday, May 31, (top),
           than 0.5 2012
Análisis de la pulsatilidad portal: no flujo

                                                                         Spectral Doppler US image shows
                                                       182 tile waveform with2011 reversal in the right por
                                                            January-February flow
                                                           The waveform may be systematically characte
                                                           predominantly antegrade, pulsatile, biphasic-b
                                                           tional, and di-inflectional.




                                                     Figure 28. Portal vein thrombosis (acute bland
                                                     thrombus). On a spectral Doppler US image, the
                                                     interrogation zone shows no color flow in the main
                                                     portal vein. The spectral waveform is aphasic, which
                                                     indicates absence of flow. An aphasic waveform may
                                                     be produced by either obstructive or nonobstructive
    Figure 24.            Normal and abnormal portal disease.
                                                           Figure 26. Slow portal venous flow. Spectra
incich/grupo ct scanner                                                      Departamento de Radiología/Unidad PET-CT
    venous phasicity. Images show a spectrum                pler US image shows slow flow in the main po
Thursday, May 31, 2012
Análisis de la pulsatilidad portal: no flujo

                          NORMAL                                         Spectral Doppler US image shows
                                                       182 tile waveform with2011 reversal in the right por
                                                            January-February flow
                                                           The waveform may be systematically characte
                                                           predominantly antegrade, pulsatile, biphasic-b
                                                           tional, and di-inflectional.




                          NORMAL

                                                     Figure 28. Portal vein thrombosis (acute bland
                                                     thrombus). On a spectral Doppler US image, the
                                                     interrogation zone shows no color flow in the main
                                                     portal vein. The spectral waveform is aphasic, which
                                                     indicates absence of flow. An aphasic waveform may
                                                     be produced by either obstructive or nonobstructive
    Figure 24.            Normal and abnormal portal disease.
                                                           Figure 26. Slow portal venous flow. Spectra
incich/grupo ct scanner                                                      Departamento de Radiología/Unidad PET-CT
    venous phasicity. Images show a spectrum                pler US image shows slow flow in the main po
Thursday, May 31, 2012
Análisis de la pulsatilidad portal: no flujo

                          NORMAL                                         Spectral Doppler US image shows
                                                       182 tile waveform with2011 reversal in the right por
                                                            January-February flow
                                                           The waveform may be systematically characte
                                                           predominantly antegrade, pulsatile, biphasic-b
                                                           tional, and di-inflectional.
                                                                     Anormal:
                                                              flujo lento/trombosis


                          NORMAL

                                                     Figure 28. Portal vein thrombosis (acute bland
                                                     thrombus). On a spectral Doppler US image, the
                                                     interrogation zone shows no color flow in the main
                                                     portal vein. The spectral waveform is aphasic, which
                                                     indicates absence of flow. An aphasic waveform may
                                                     be produced by either obstructive or nonobstructive
    Figure 24.            Normal and abnormal portal disease.
                                                           Figure 26. Slow portal venous flow. Spectra
incich/grupo ct scanner                                                      Departamento de Radiología/Unidad PET-CT
    venous phasicity. Images show a spectrum                pler US image shows slow flow in the main po
Thursday, May 31, 2012
1. Técnica

       2. Anatomía

       3. PATOLOGÍA




Thursday, May 31, 2012
Trombosis e hipertensión portal (HP)



                                                  • Presión >30 mm de Hg
                                                    (gradiente >10)


                                                  • Causas:  del flujo o de
                                                    resistencia




                US, TC y RM dan información sobre permeabilidad vascular y
              colaterales; PERO sólo el US Doppler aporta información sobre la
                                     dinámica del flujo


incich/grupo ct scanner                                       Departamento de Radiología/Unidad PET-CT

Thursday, May 31, 2012
Trombosis e hipertensión portal (HP)



                                                  • Presión >30 mm de Hg
                                                    (gradiente >10)


                                                  • Causas:  del flujo o de
                                                    resistencia




                US, TC y RM dan información sobre permeabilidad vascular y
              colaterales; PERO sólo el US Doppler aporta información sobre la
                                     dinámica del flujo


incich/grupo ct scanner                                       Departamento de Radiología/Unidad PET-CT

Thursday, May 31, 2012
Thursday, May 31, 2012
Thursday, May 31, 2012
Thursday, May 31, 2012
Thursday, May 31, 2012
Thursday, May 31, 2012
Thursday, May 31, 2012
Thursday, May 31, 2012
Thursday, May 31, 2012
Thursday, May 31, 2012
Thursday, May 31, 2012
Thursday, May 31, 2012
HP: circulación colateral y derivaciones


          1. Derivaciones quirúrgicas
                  1. Portocava, mesocava, espleno/gastrorrenal y TIPS

          2. Colaterales
                  a. Tributarias
                     • Coronaria (plano longitudinal, cefálica a VMS)
                     • Gástricas cortas (borde inferior LHI)
                     • VMS y VMI
                  b. Desarrolladas (derivaciones espontáneas)
                     • Vena paraumbilical
                     • Esplenorrenal
                     • Esplenorretroperitoneal

incich/grupo ct scanner                                  Departamento de Radiología/Unidad PET-CT

Thursday, May 31, 2012
Permeabilidad vena paraumbilical
      • Colateral portosistémica (caput medusae)
              • Porta izquierda  v.paraumbilical  v.pared abdominal




                 Importancia de su dx: 1. podría prevenir la aparición
                            de VE, PERO 2. riesgo EH
incich/grupo ct scanner                                  Departamento de Radiología/Unidad PET-CT

Thursday, May 31, 2012
Cortesía: Dr. Yukiyosi Kimura




Thursday, May 31, 2012
Cortesía: Dr. Yukiyosi Kimura




                           Signo de HP grave
                         (gradiente 15-28 mm
                                  Hg)




Thursday, May 31, 2012
Thursday, May 31, 2012
Cortesía: Dr. Yukiyosi Kimura




Thursday, May 31, 2012
Cortesía: Dr. Yukiyosi Kimura




Thursday, May 31, 2012
Cortesía: Dr. Yukiyosi Kimura




Thursday, May 31, 2012
Flujo hepatofugo

          • Definición: Flujo que se ALEJA del hígado


    Importante en:
    1. Diagnóstico HP
    2. Conocer permeabilidad de
       shunt portosistémico
    3. Px hepatópatas
    4. Seleccionar pacientes NO
       candidatos a
        • Quimioembolización
          intraarterial
        • Portografía arterial por
          TC
incich/grupo ct scanner                       Departamento de Radiología/Unidad PET-CT

Thursday, May 31, 2012
Flujo hepatofugo

          • Definición: Flujo que se ALEJA del hígado


    Importante en:
    1. Diagnóstico HP
    2. Conocer permeabilidad de
       shunt portosistémico
    3. Px hepatópatas
    4. Seleccionar pacientes NO
       candidatos a
        • Quimioembolización
          intraarterial
                                     SIEMPRE demostrar en la misma
        • Portografía arterial por   imagen el flujo petal de la arteria
          TC                               con el fugo portal
incich/grupo ct scanner                            Departamento de Radiología/Unidad PET-CT

Thursday, May 31, 2012
Flujo hepatofugo: fisiopatología

 •        Formación de FÍSTULAS ARTERIOPORTALES
          (FAP) por:
          1. HP (causa y consecuencia
             de FAP)
          2. Trauma o iatrogenia (bx o
             colangiografía PC)
          3. Tumores (ej. hepatoCA)
          4. Ruptura aneurisma AH
          5. Congénitas




incich/grupo ct scanner                         Departamento de Radiología/Unidad PET-CT

Thursday, May 31, 2012
Flujo hepatofugo: fisiopatología

 •        Formación de FÍSTULAS ARTERIOPORTALES
          (FAP) por:
          1. HP (causa y consecuencia
             de FAP)
          2. Trauma o iatrogenia (bx o
             colangiografía PC)
          3. Tumores (ej. hepatoCA)
          4. Ruptura aneurisma AH
          5. Congénitas




incich/grupo ct scanner                         Departamento de Radiología/Unidad PET-CT

Thursday, May 31, 2012
Flujo hepatofugo: fisiopatología

 •        Formación de FÍSTULAS ARTERIOPORTALES
          (FAP) por:
          1. HP (causa y consecuencia
             de FAP)
          2. Trauma o iatrogenia (bx o
             colangiografía PC)
          3. Tumores (ej. hepatoCA)
          4. Ruptura aneurisma AH
          5. Congénitas




incich/grupo ct scanner                         Departamento de Radiología/Unidad PET-CT

Thursday, May 31, 2012
Flujo hepatofugo en cirróticos


          • Incidencia: 1-23%

          • Causa
                  • “Aparición” de FAP normalmente presentes* por 
                    presión intrahepática ( presión intraarterial y
                    portal)


                     * Arteriosinusoidales, arteriovasales (vasa vasorum de
                     las paredes portales) y plexos peribiliares




incich/grupo ct scanner                                       Departamento de Radiología/Unidad PET-CT

Thursday, May 31, 2012
Flujo hepatofugo en HP

        •        Localización
                •         Intrahepática, por
                          1.   FAP grandes (ejemplo: postbx, etc)
                          2.   Cirrosis (FAP “microscópicas”, no visibles por US)
                          3.   Obstrucción venosa
                          4.   TIPS o permeabilidad vena paraumbilical


                •         Extrahepática (porta, VMS o esplénica), por
                          1. Obstrucción portal (trombo sanguíneo o neoplásico,
                             compresión extrínseca)
                          2. = intrahepáticas (pero más avanzadas)




              Obstrucción: presión portal  flujo a zona de < presión (shunts)

incich/grupo ct scanner                                                 Departamento de Radiología/Unidad PET-CT

Thursday, May 31, 2012
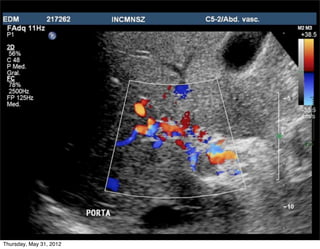
Flujo fugo extrahepático: shunts qx o espontáneos

                          Derivación esplenorrenal: flujo fugo esplénico y petal




                                                          zq
                                               v. renal i




incich/grupo ct scanner                                              Departamento de Radiología/Unidad PET-CT

Thursday, May 31, 2012
Flujo fugo intrahepático: shunts en tumores

                                          1. Erosión de arteria y vena por
                                                     el tumor, o

                                           2. Compresión extrínseca de
                                              vena hepática (tumor o
                                                 hematoma SC)




                                           Obstrucción del flujo venoso
                                            ( presión intrahepática)




                                            Comunicación arterioportal


incich/grupo ct scanner                                 Departamento de Radiología/Unidad PET-CT

Thursday, May 31, 2012
Circunstancias particulares del flujo fugo

   •         En los TIPS y en la permeabilidad vena paraumbilical
             (PVPU), el shunt arterioportal genera flujo
           1. Petal en porta principal, y
           2. Fugo intrahepático (29% pac con PVPU)



                                               Permeabilidad vena
                                                  paraumbilical




                                               RAMA
                                              PORTAL
                                              SEGM 4




incich/grupo ct scanner                                Departamento de Radiología/Unidad PET-CT

Thursday, May 31, 2012
Conclusiones del flujo fugo


          1. En pacientes SIN shunts o TIPS, es un signo de
             HP grave y de mal pronóstico

          2. Puede ser intra y/o extrahepático

          3. Su presencia
                  •       Habla de permeabilidad de shunts quirúrgicos y TIPS
                  •       Contraindica la quimioembolización intrarterial




incich/grupo ct scanner                                     Departamento de Radiología/Unidad PET-CT

Thursday, May 31, 2012
2.  diámetro (>15 mm),               3.  +  velocidad VP, ascitis,
                                  vel normal, flujo petal en “barra” no                 bazo
                                                oscilante


          1. VP normal




         5.  + flujo fuga (1%)


                                               4.  +     diámetro y vel AH, colaterales, flujo helicoidal
                                                                     o To-and-fro




Thursday, May 31, 2012
TIPS
          • Siglas de Transjugular
            Intrahepatic Portocaval
            Shunt, dígase…


                 “Derivación transyugular
                  portocava intrahepática”


          • Indicaciones (HP)
             • Prevención secundaria
               de HTDA
             • Ascitis refractaria

          • Permeabilidad a 1 año:
            23-66%

incich/grupo ct scanner                      Departamento de Radiología/Unidad PET-CT

Thursday, May 31, 2012
TIPS

   1. Pre TIPS
   • Tamaño del hígado
   • Permeabilidad/orientación de
      VSH, VP, VMS y VE
   • Bifurcación portal intra o
      extrahepática


   2. Post TIPS                     ¿Qué es NORMAL (post-TIPS)?
   • Objetivo: evaluar eficacia y   1.   Flujo intrashunt pulsátil
       permeabilidad                2.   Velocidad intrashunt
   • 24h, y 1, 3 y 6 meses               • Al menos: 50-60 cm/s
   • Doppler: dirección y                • Ideal: 90-120 cm/s
       permeabilidad del stent      3.   Velocidad similar al principio y al
                                         final del stent
                                    4.   Flujo portal/esplénico petal
                                    5.   Velocidad pre stent VP
                                         • Ideal: 37-47 cm/s
Thursday, May 31, 2012
¿Qué es ANORMAL?
   Ausencia de flujo intra stent
   Estenosis:  ó  vel intra
    stent (>190 o < 90 cm/seg)
   Flujo no pulsatil (intra stent)
    o turbulento
    (postestenosis)
    velocidad de un punto a
    otro del stent > 100 cm/s
    vel VP (con previo) ó
    <30 cm/s
   Flujo portal/esplénico fugo

      Cortesía: Dr. Antonio Sosa/Dr. Yukiyosi Kimura

Thursday, May 31, 2012
186 January-February 2011




                       TIPS malfunction (hepatic vein stenosis).
   Spectral Doppler US image shows high-velocity flow
Thursday, May 31, 2012
186 January-February 2011




).

-
in
                        TIPS malfunction (hepatic vein stenosis).
    Spectral Doppler US image shows high-velocity flow
 Thursday, May 31, 2012
                          TIPS malfunction (cephalic stenosis). In a
Conclusiones


          1. El adecuado conocimiento y por ende manejo de
             parámetros técnicos es indispensable para la
             obtención de imágenes de calidad diagnóstica

          2. El US Doppler es un método no invasivo, de bajo
             costo y gran disponibilidad, útil en la evaluación de
             múltiples patologías vasculares hepáticas

          3. Es un método operador-dependiente




incich/grupo ct scanner                               Departamento de Radiología/Unidad PET-CT

Thursday, May 31, 2012
Bibliografía

          1.-Chen W, et al. Doppler ultrasonographic findings on hepatic arterial vasospasm early after liver
              transplantation. J Ultrasound Med 2006;25:631-638
          2.-Portal Vein Stenosis and occlusion stenting after liver transplantation. Acta Radiol
              2006;47:130-134
          3.-Karakayali H, et al. Venous complications after orthotopic liver transplantation. Transplant Proc
              2006;38:604-606
          4.-Ozochukwu LN, et al. Early postoperative hepatic sonography as a predictor of vascular and
              biliary complications in adult orthotopic liver transplant patients. Am J Roentgenol
              2005;185:1558-1570
          5.-Kaneko T, et al. Intrahepatic venous anastomosis formation of the right liver in living donnor liver
              transplantation: evaluations by Doppler ultrasonography. Surgery 2005;138:21-27
          6.-Kim HJ, et al. Hepatic artery pseudoaneurysms in adult living-donor liver transplantation: efficacy
              of CT and Doppler sonography. Am J Roentgenol 2005;184:1549-1555
          7.-Bolognesi M, et al. Acute liver rejection: accuracy and predictive values of Doppler US
              measurements. Radiology 2005;235:651-658
          8.-Kyoden Y, et al. Hepatofugal portal flow due to acute cellular rejection. Abdom Imag
              2005;30:303-305
          9.-Kruskal JB, et al. Optimizing Doppler and color flow US: application to hepatic sonography.
              RadioGraphics 2004;24:657-675
          10.-McNamara MM, Emergency Doppler evaluation of the liver and kidneys. Radiol Clin North Am
              2004;42:397-415



incich/grupo ct scanner                                                                Departamento de Radiología/Unidad PET-CT

Thursday, May 31, 2012

Doppler Hepático

  • 1.
    US Doppler hepático Técnica de exploración, anatomía y patología vascular DR. ERIC KIMURA HAYAMA Instituto Nacional de Cardiología Ignacio Chávez CT Scanner de México Grupo CT Scanner Thursday, May 31, 2012
  • 2.
    STROINTESTINAL IMAGING GASTROINTESTINAL IMAGING 161 Doppler US of the Liver Doppler US of the Liver Made Simple Made Simple11 Abbreviations: CHF = congestive hear CME FEATURE portosystemic shunt E FEATURE RadioGraphics 2011; P 1 From the Department of Radiology, U LEARNING Laude award for an education exhibit a OBJECTIVES August 26; accepted August 27. For th ARNINGTEST 4 FOR correspondence to D.A.M. (e-mail: JECTIVES R TEST 4 taking article and © RSNA, 2011 le andDiscuss the basic I taking concepts and termi- nology for vascular Doppler US. uss the basic the I Recognize © RSNA, 2011 pts and termi- ap- characteristic y forpearances of normal vascular er US. abnormal liver and Doppler waveforms.RSNA, 2011 © ognize the May 31, 2012 Thursday,
  • 3.
    STROINTESTINAL IMAGING GASTROINTESTINAL IMAGING 161 Doppler US of the Liver Doppler US of the Liver Made Simple Made Simple11 Abbreviations: CHF = congestive hear CME FEATURE portosystemic shunt E FEATURE RadioGraphics 2011; P 1 From the Department of Radiology, U LEARNING Laude award for an education exhibit a OBJECTIVES August 26; accepted August 27. For th ARNINGTEST 4 FOR correspondence to D.A.M. (e-mail: JECTIVES R TEST 4 taking article and le andDiscuss the basic I taking concepts and termi- ???? © RSNA, 2011 nology for vascular Doppler US. uss the basic the I Recognize © RSNA, 2011 pts and termi- ap- characteristic y forpearances of normal vascular er US. abnormal liver and Doppler waveforms.RSNA, 2011 © ognize the May 31, 2012 Thursday,
  • 4.
  • 5.
  • 6.
    Objetivos 1.Describir aquellos parámetros técnicos útiles en la obtención de un estudio diagnóstico y que pueden condicionar artificios Thursday, May 31, 2012
  • 7.
    Objetivos 1.Describir aquellos parámetros técnicos útiles en la obtención de un estudio diagnóstico y que pueden condicionar artificios 2. Describir las características normales de los vasos hepáticos Thursday, May 31, 2012
  • 8.
    Objetivos 1.Describir aquellos parámetros técnicos útiles en la obtención de un estudio diagnóstico y que pueden condicionar artificios 2. Describir las características normales de los vasos hepáticos 3. Describir algunas patologías donde el US Doppler es de utilidad en su estudio Thursday, May 31, 2012
  • 9.
    1. TÉCNICA 2. Anatomía y fisiología 3. Patología incich/grupo ct scanner Departamento de Radiología/Unidad PET-CT Thursday, May 31, 2012
  • 10.
    Técnica de revisión:ventanas • Depende del vaso, tamaño del hígado y del paciente Transabdominal Lóbulo izquierdo • Porta izquierda • VSH izq incich/grupo ct scanner Departamento de Radiología/Unidad PET-CT Thursday, May 31, 2012
  • 11.
    Técnica de revisión:ventanas • Depende del vaso, tamaño del hígado y del paciente Transabdominal Intercostal (DLI) Porta hepatis Lóbulo izquierdo • Porta principal • Porta izquierda • Art. Hepática principal • VSH izq y ramas der e izq • VSH der y media incich/grupo ct scanner Departamento de Radiología/Unidad PET-CT Thursday, May 31, 2012
  • 12.
    Técnica de revisión:ventanas • Depende del vaso, tamaño del hígado y del paciente Transabdominal Intercostal (DLI) Subcostal Lóbulo derecho (segm Porta hepatis posteriores) Lóbulo izquierdo • Porta principal • VSH y su llegada a la • Porta izquierda • Art. Hepática principal VCI VSH izq y ramas der e izq • • Bifurcación portal • VSH der y media (“H”) incich/grupo ct scanner Departamento de Radiología/Unidad PET-CT Thursday, May 31, 2012
  • 13.
    Doppler: parámetros técnicos Doppler color y espectral Doppler espectral Doppler color incich/grupo ct scanner Departamento de Radiología/Unidad PET-CT Thursday, May 31, 2012
  • 14.
    Doppler: parámetros técnicos Doppler color y espectral • Línea basal  • Escala de velocidad (PRF) • Filtros • Inversión de flujo Doppler espectral Doppler color incich/grupo ct scanner Departamento de Radiología/Unidad PET-CT Thursday, May 31, 2012
  • 15.
    Doppler: parámetros técnicos Doppler color y espectral • Línea basal  • Escala de velocidad (PRF) • Filtros • Inversión de flujo Doppler espectral • Ganancia espectral  • Ángulo • Tamaño y posición de la muestra Doppler color incich/grupo ct scanner Departamento de Radiología/Unidad PET-CT Thursday, May 31, 2012
  • 16.
    Doppler: parámetros técnicos Doppler color y espectral • Línea basal  • Escala de velocidad (PRF) • Filtros • Inversión de flujo Doppler espectral • Ganancia espectral  • Ángulo • Tamaño y posición de la muestra Doppler color • Ganancia de color  • Barra y caja de color • Escala de velocidad de color • Prioridad incich/grupo ct scanner Departamento de Radiología/Unidad PET-CT Thursday, May 31, 2012
  • 17.
    Doppler: parámetros técnicos Doppler color y espectral • Línea basal  • Escala de velocidad (PRF) • Filtros • Inversión de flujo Doppler espectral • Ganancia espectral  • Ángulo • Tamaño y posición de la muestra Doppler color • Ganancia de color  • Barra y caja de color • Escala de velocidad de color • Prioridad TODOS los parámetros DEBEN individualizarse incich/grupo ct scanner Departamento de Radiología/Unidad PET-CT Thursday, May 31, 2012
  • 18.
    Sobrerrango (aliasing) •Causa: PRF “muy bajo” (los cambios de frecuencia superan el límite Nyquist -2  veces el PRF-) Thursday, May 31, 2012
  • 19.
    Sobrerrango (aliasing) •Causa: PRF “muy bajo” (los cambios de frecuencia superan el límite Nyquist -2  veces el PRF-) SOLUCIÓN 1.  PRF 2. Mover la línea basal 3.  ángulo Doppler 4. Transductor <frecuencia Thursday, May 31, 2012
  • 20.
    Doppler espectral: PRFy línea basal  ¿Espectro pequeño? Solución: mover línea basal o  PRF incich/grupo ct scanner Departamento de Radiología/Unidad PET-CT Thursday, May 31, 2012
  • 21.
    Doppler espectral: PRFy línea basal Mover línea basal  ¿Espectro pequeño? Solución: mover línea Mover PRF basal o  PRF incich/grupo ct scanner Departamento de Radiología/Unidad PET-CT Thursday, May 31, 2012
  • 22.
    Ganancias color ¿Hemorragia de color?    incich/grupo ct scanner Departamento de Radiología/Unidad PET-CT Thursday, May 31, 2012
  • 23.
    Ganancias color ¿Hemorragia de color? Solución:  ganancia color    incich/grupo ct scanner Departamento de Radiología/Unidad PET-CT Thursday, May 31, 2012
  • 24.
    Ganancias espectrales id ru o incich/grupo ct scanner Departamento de Radiología/Unidad PET-CT Thursday, May 31, 2012
  • 25.
    Tamaño y posiciónde la muestra Mejor definición del espectro y de la ventana espectral incich/grupo ct scanner Departamento de Radiología/Unidad PET-CT Thursday, May 31, 2012
  • 26.
    Ventana espectral Caus Artifi Lar Hig Physi No No Patho Co Tur vessel e aorta. T Figure 10. Diagrams illustrate “spectral window” andRadiología/Unidad PET-CT incich/grupo ct scanner Departamento de tral wa spectral broadening. In the proximal aorta (top left), Thursday, May 31, 2012
  • 27.
    color Doppler examinationincludes gray-scale US (B- Generalidades mode imaging). Figure 2. Spectral Doppler examination components. Diagram at left shows the general layout of a spectral Doppler image. The spectral waveform is displayed incich/grupo ct scanner Departamento de Radiología/Unidad PET-CT on the lower half of the image, a color Doppler image Thursday, May 31, 2012
  • 28.
    Generalidades Magnified view of a spectral waveform illustrates its features. Cardiac phasicity creates a phasic cycle, which is composed of phases as de- termined by the number of times blood flows in each direction. The baseline (x = 0) separates one direction from another. Moving from left to right along the x-axis corresponds to moving forward in time. Moving away from the baseline vertically along the y-axis in either direction correspondsRadiología/Unidad PET-CT incich/grupo ct scanner Departamento de to increas- Thursday, May 31, 2012
  • 29.
    Generalidades trate th used to undula velocity wavefo and no phasic phasic teries b veins. N a phas no velo though The te out ph is no fl incich/grupo ct scanner Departamento de Radiología/Unidad PET-CT Thursday, May 31, 2012
  • 30.
    radiographics.rsna.org Figure 6. Phase interpretation ambiguity. Schematics illustrate how different interpretations of what constitutes a phase can affect waveform characteriza- tion and nomenclature. D.A.M. interprets a phase as a component of the waveform on either side of the baseline; M.M.A.Y. interprets a phase as an inflection. Figure 6. Phase interpretation ambiguity. Schematics illustrate how different interpretations of what constitutes a phase can affect waveform characteriza- tion and nomenclature. D.A.M. interprets a phase as a component of the waveform on either side of the baseline; M.M.A.Y. interprets a phase as an inflection. Figure 7. Directionality and phase quantification. When phase is defined as a component of phasic flow direction, waveforms may be described in terms of the number of phases. All monophasic waveforms are unidirectional; bidi- rectional waveforms may be either biphasic, triphasic, or tetraphasic. incich/grupo ct scanner Departamento de Radiología/Unidad PET-CT Thursday, May 31, 2012
  • 31.
    the PI inthe portal vein (V2/V1). The most fre- theless u quently used index in the hepatic arteries is the the RI o RI, which is calculated as 1. A h (PSV − EDV) (V1 − V2) therefor RI = = , (PSV) V1 ing than Table 1 where PSV = peak systolic velocitycorrelates with, the number of sounds and EDV = 2. An audio Doppler US. With this interpretthe post end diastolic velocity. Calculating the RI is phases (phase quantificatio number of prob- ably the easiest part of measuring and reporting inflection diffuse d Internal carotid arteries to the number of points con Hepatic arteries arterial impedance; most US vendors provide one cycle.wide var Renal arteries waveform during Perhaps in the future, a consensusease due software that automatically performs this calcula- Testicular arteries addressing what constitutes a phase an tion. What to radiographics.rsna.org is much less clear. will be3. An do with the result ate phase quantification forthc Note.—RI = resistive index. This is because the normal range varies from oneto overall waveform cially as it pertains proxima n- institution, and publishedarteries. Schematics illustrate thatarticle, D.A. High- versus low-resistance article to the in this a(arteriov ture. Nonetheless, Table 2 artery, high-resistance artery (left) allows less blood flow during end diastole (the nce; pretation of phase will be used for pha e next. Furthermore,such that the trough is lower) than does significance of (right). These visual findings severe ization of any wave can be achieved the a low-resistance artery an abnor- cation and subsequent waveform nom in are confirmed by calculating an RI. High-resistance arteries normally have RIs words usedmal result 0.7,not could be entered Therefore, it is wise to 0.7. External carotid arteries is wave always clear. to describe the whereas low-resistance arteries have RIs ranging from 0.55 over injury); Extremity arteries (eg, external iliac is a low-resistance artery. arteries, into a computer to relyhepatic artery these measurements; rather, - not andThe waveform recreated. the solely on axillary arteries)good to know that phase Unidirectional versus Bidirectional.— they should such as and supporting unidirectionaldirection of flow can also Regardless, it is Fasting mesenteric arteries be used asinferior quantification descriptors (superior , data. the and describe Flow 7) (Fig P mesenteric arteries) ter- , and In general, ambiguous given arteries normally direction (whetherar can be low-resistance flow in only one There a Note.—RI = in the RI of 0.55–0.7. The hepatic retrograde) can be said to have un have an index. this differenceresistivedefinition of phase. Another or artery is Causes of Spectral Bro flow (no e- point to keeplow-resistance vessel; however, wider normalonly be monophasic a in mind is that nonphasic waves do flow, which can Artificial not actually lack phasicity; rather, they have one lent flow High- versus low-resistance arteries earlier). Vessels thatLarge samplein twofl have flow PET-CT m- volume incich/grupo ct scanner ranges of 0.55–0.81 have been reported to have bidirectional flow, of phase (ie, are monophasic) without any inflec- for high-resistance artery (left) allows less blood effect wh Departamento de Radiología/Unidad ion Thursday, May 31, 2012 trough issaid than does a low-resistance arter are lower) High gain
  • 32.
    Parvus tardus incich/grupo ctscanner Diagram illustrates upstream stenosis Departamento de Radiología/Unidad PET-CT Thursday, May 31, 2012
  • 33.
    1. Técnica 2. ANATOMÍA Y FISIOLOGÍA 3. Patología Thursday, May 31, 2012
  • 34.
    Anatomía incich/grupo ct scanner Departamento de Radiología/Unidad PET-CT Thursday, May 31, 2012
  • 35.
    Anatomía incich/grupo ct scanner Departamento de Radiología/Unidad PET-CT Thursday, May 31, 2012
  • 36.
    Anatomía (Couinaud) SEGMENTO NOMBRE I Caudado II Lateral sup III Lateral inf IV Medial V Anterior inf VI Posterior inf VII Posterior sup VIII Anterior sup incich/grupo ct scanner Departamento de Radiología/Unidad PET-CT Thursday, May 31, 2012
  • 37.
    Couinaud ESTRUCTURA LOCALIZACIÓN UTILIDAD Separa segmentos VSHD Cisura intersegmentaria derecha anterior/posterior Separa lóbulos VSHM Cisura lobular principal derecho/izquierdo Separa segmentos VSHI Cisura intersegmentaria izquierda medial/lateral incich/grupo ct scanner Departamento de Radiología/Unidad PET-CT Thursday, May 31, 2012
  • 38.
    Couinaud ESTRUCTURA LOCALIZACIÓN UTILIDAD Separa segmentos VSHD Cisura intersegmentaria derecha anterior/posterior Separa lóbulos VSHM Cisura lobular principal derecho/izquierdo Separa segmentos VSHI Cisura intersegmentaria izquierda medial/lateral ESTRUCTURA LOCALIZACIÓN VPD (rama anterior) Intrasegmentaria VPD (rama posterior) Intrasegmentaria VPI (segmento horizontal) Anterior al caudado VPI (segmento ascendente) Cisura intersegmentaria izquierda incich/grupo ct scanner Departamento de Radiología/Unidad PET-CT Thursday, May 31, 2012
  • 39.
    VSH normales • Abordaje: variable • Morfología trifásica: • Suprabasal (1): sístole atrial • Infrabasal (2): fases de llenado auricular incich/grupo ct scanner Departamento de Radiología/Unidad PET-CT Thursday, May 31, 2012
  • 40.
    Hereditary hemorrhagic telangiectasia(Osler-Weber-Rendu syndrome) Espectro normal vena suprahepática Figure 18. Diagram illustrates normal hepatic venous flow direction and waveform. The direction of normal flow is predominantly antegrade, PET-CT incich/grupo ct scanner Departamento de Radiología/Unidad Thursday, May 31, 2012
  • 41.
    Espectro normal venasuprahepática Figure 18. Diagram illustrates normal hepatic venous flow direction a contracción auricular and waveform. The direction of normal flow is predominantly antegrade, which llenado auricular S corresponds to a waveform that is mostly below the baseline at spectral Doppler US. The tricúspide , which refers to the a, S, and D inflection v apertura term points,diástole D is commonly used to describe the shape of this waveform; according to D.A.M., however, this term is a misnomer, and the term tetrainflectional is more accurate, since it includes the v wave and avoids inaccurate phase quan- tification. Normal hepatic venous waveforms may be biphasic (bottom left) or tetraphasic (bottom right). Normal time-correlated electrocardio- graphic (ECG) findings, central venous pressure (CVP) tracing, and hepatic venous (HV) waveform (4). The incich/grupo ct scanner peak of the retrograde a wave corresponds with atrial Departamento de Radiología/Unidad PET-CT Thursday, May 31, 2012 contraction, which occurs at end diastole. The trough
  • 42.
    Espectro normal venasuprahepática Figure 18. Diagram illustrates normal hepatic venous flow direction a contracción auricular and waveform. The direction of normal flow is predominantly antegrade, which llenado auricular S corresponds to a waveform that is mostly below the baseline at spectral Doppler US. The tricúspide , which refers to the a, S, and D inflection v apertura term points,diástole D is commonly used to describe the shape of this waveform; according to D.A.M., however, this term is a misnomer, and the term tetrainflectional is more accurate, since it includes the v wave and avoids inaccurate phase quan- tification. Normal hepatic venous waveforms may be biphasic (bottom left) or tetraphasic (bottom right). Contracción auricular (fin de diástole) Normal time-correlated electrocardio- graphic (ECG) findings, central venous pressure (CVP) tracing, and hepatic venous (HV) waveform (4). The incich/grupo ct scanner peak of the retrograde a wave corresponds with atrial Departamento de Radiología/Unidad PET-CT Thursday, May 31, 2012 contraction, which occurs at end diastole. The trough
  • 43.
    Espectro normal venasuprahepática Figure 18. Diagram illustrates normal hepatic venous flow direction a contracción auricular and waveform. The direction of normal flow is predominantly antegrade, which llenado auricular S corresponds to a waveform that is mostly below the baseline at spectral Doppler US. The tricúspide , which refers to the a, S, and D inflection v apertura term points,diástole D is commonly used to describe the shape of this waveform; according to D.A.M., however, this term is a misnomer, and the term tetrainflectional is more accurate, since it includes the v wave and avoids inaccurate phase quan- tification. Normal hepatic venous waveforms may be biphasic (bottom left) or tetraphasic (bottom right). Contracción auricular (fin de diástole) Efecto “succión” post contracción auricular y tricúspide cerrada Normal time-correlated electrocardio- graphic (ECG) findings, central venous pressure (CVP) tracing, and hepatic venous (HV) waveform (4). The incich/grupo ct scanner peak of the retrograde a wave corresponds with atrial Departamento de Radiología/Unidad PET-CT Thursday, May 31, 2012 contraction, which occurs at end diastole. The trough
  • 44.
    Espectro normal venasuprahepática Figure 18. Diagram illustrates normal hepatic venous flow direction a contracción auricular and waveform. The direction of normal flow is predominantly antegrade, which llenado auricular S corresponds to a waveform that is mostly below the baseline at spectral Doppler US. The tricúspide , which refers to the a, S, and D inflection v apertura term points,diástole D is commonly used to describe the shape of this waveform; according to D.A.M., however, this term is a misnomer, and the term tetrainflectional is more accurate, since it includes the v wave and avoids inaccurate phase quan- tification. Normal hepatic venous waveforms may be biphasic (bottom left) or tetraphasic (bottom right). Contracción auricular (fin de diástole) Efecto “succión” post contracción auricular y tricúspide cerrada Normal time-correlated electrocardio- graphic (ECG) findings, central venous pressure (CVP) Aumento presión intraauricular con válvula tricúspide cerrada (telesístole) (HV) waveform (4). The tracing, and hepatic venous incich/grupo ct scanner peak of the retrograde a wave corresponds with atrial Departamento de Radiología/Unidad PET-CT Thursday, May 31, 2012 contraction, which occurs at end diastole. The trough
  • 45.
    Espectro normal venasuprahepática Figure 18. Diagram illustrates normal hepatic venous flow direction a contracción auricular and waveform. The direction of normal flow is predominantly antegrade, which llenado auricular S corresponds to a waveform that is mostly below the baseline at spectral Doppler US. The tricúspide , which refers to the a, S, and D inflection v apertura term points,diástole D is commonly used to describe the shape of this waveform; according to D.A.M., however, this term is a misnomer, and the term tetrainflectional is more accurate, since it includes the v wave and avoids inaccurate phase quan- tification. Normal hepatic venous waveforms may be biphasic (bottom left) or tetraphasic (bottom right). Contracción auricular (fin de diástole) Efecto “succión” post contracción auricular y tricúspide cerrada Normal time-correlated electrocardio- graphic (ECG) findings, central venous pressure (CVP) Aumento presión intraauricular Fase de llenado con válvula tricúspide cerrada (telesístole) (HV) waveform (4). The tracing, and hepatic venous rápido ventricular incich/grupo ct scanner peak of the retrograde a wave corresponds with atrial Departamento de Radiología/Unidad PET-CT Thursday, May 31, 2012 contraction, which occurs at end diastole. The trough
  • 46.
    Espectro NORMAL venasuprahepática D v Figure 18. Diagram illustrates normal hepatic venous flow direction and waveform. The direction of normal flow a predominantly antegrade, 1) Relaciones normales: is S which corresponds to a waveform that is mostly below the baseline at spectral Doppler US. The term , which refers to the a, S, and D inflection points, is commonly used to describe the shape of this waveform; according to D.A.M., however, this term is a misnomer, and the term tetrainflectional is more accurate, since it includes the v wave and avoids inaccurate phase quan- tification. Normal hepatic venous waveforms may be biphasic (bottom left) or tetraphasic (bottom right). incich/grupo ct scanner Departamento de Radiología/Unidad PET-CT Thursday, May 31, 2012
  • 47.
    Espectro NORMAL venasuprahepática D v Figure 18. Diagram illustrates normal hepatic venous flow direction and waveform. The direction of normal flow a predominantly antegrade, 1) Relaciones normales: is a>v a >D S which corresponds to S waveform that is mostly below the baseline at spectral Doppler US. The term , which refers to the a, S, and D inflection points, is commonly used to describe the shape of this waveform; according to D.A.M., however, this term is a misnomer, and the term tetrainflectional is more accurate, since it includes the v wave and avoids inaccurate phase quan- tification. Normal hepatic venous waveforms may be biphasic (bottom left) or tetraphasic (bottom right). incich/grupo ct scanner Departamento de Radiología/Unidad PET-CT Thursday, May 31, 2012
  • 48.
    Espectro NORMAL venasuprahepática D v Figure 18. Diagram illustrates normal hepatic venous flow direction and waveform. The direction of normal flow a predominantly antegrade, 1) Relaciones normales: is a>v a >D S which corresponds to S waveform that is mostly below the baseline at spectral Doppler US. The term , which refers to the a, S, and D inflection points,2) commonly Valsalva: is Efecto de used to describe the shape of this waveform; according to D.A.M., however, this term is a misnomer, and the term tetrainflectional is Pérdida de pulsatilidad more accurate, since it includes the v wave and avoids inaccurate phase quan- tification. Normal hepatic venous waveforms may be biphasic (bottom left) or tetraphasic (bottom right). incich/grupo ct scanner Departamento de Radiología/Unidad PET-CT Thursday, May 31, 2012
  • 49.
    Espectro NORMAL venasuprahepática D v Figure 18. Diagram illustrates normal hepatic venous flow direction and waveform. The direction of normal flow a predominantly antegrade, 1) Relaciones normales: is a>v a >D S which corresponds to S waveform that is mostly below the baseline at spectral Doppler US. The term , which refers to the a, S, and D inflection points,2) commonly Valsalva: is Efecto de used to describe the shape of this waveform; according to D.A.M., however, this term is a misnomer, and the term tetrainflectional is Pérdida de pulsatilidad more accurate, since it includes the v wave and avoids inaccurate phase quan- tification. Normal hepatic venous waveforms may be biphasic (bottom left) or 3) ¿Cómo revisarla?: tetraphasic (bottom right). Inspiración ligera incich/grupo ct scanner Departamento de Radiología/Unidad PET-CT Thursday, May 31, 2012
  • 50.
    Venas hepáticas: anomalíasespectro 176 January-February 2011 radiographics.rsna.org • Alta pulsatilidad: corresponds to maximal retrograde hepatic ve- nous flow. In physiologic states, the peak of the Table 6 Causes of Pulsatile Hepatic Venous Waveform a wave is above the baseline, and the a wave is • Origen: cardiaco wider and taller than the v wave (the other po- Tricuspid regurgitation Decreased or reversed S wave tentially retrograde wave). Even in pathologic states, the a wave remains wider than the v wave, Tall a and v waves which represents the best way to initially orient Right-sided CHF oneself on the waveform. The only time this rule Maintained S wave/D wave relationship breaks down is in cases of severe tricuspid regur- Tall a and v waves gitation, when the S wave becomes retrograde and merges with the a and v waves to form one large retrograde a-S-v complex. The S wave is the next wave encountered grade diastolic velocity is maximal. The subse- on the waveform. Its initial downward-sloping quent rising portion results from increasing right portion is generated by decreasing right atrial atrial pressure generated by the increasing right pressure, as a result of the “sucking” effect cre- ventricular blood volume. ated by the downward motion of the atrioven- It is almost unheard of to describe flow in the tricular septum as it descends toward the cardiac hepatic veins as hepatofugal, since the term is apex during early to midsystole. Note that the reserved for describing the state of pathologic tricuspid valve remains closed. If it were open flow in the portal veins. However, it is important (tricuspid regurgitation), the result would be to remember that physiologic flow in the hepatic pathologic retrograde flow. The S wave corre- veins is hepatofugal (ie, away from the liver and sponds to antegrade hepatic venous flow and is toward the heart). In summary, the hepatic ve- the largest downward-pointing wave in the cycle. nous waveform is normally phasic and predomi- The lowest point occurs in midsystole and is the nantly antegrade. incich/grupo ct scanner Departamento de Radiología/Unidad PET-CT point at which negative pressure is minimally op- Abnormal (pathologic) hepatic venous flow Thursday, May 31, 2012velocity is maximal. After posed and antegrade may manifest in one of several basic ways.
  • 51.
    Venas hepáticas: anomalíasespectro OJO: NO aplica en casos de cirrosis 176 January-February 2011 radiographics.rsna.org • Alta pulsatilidad: corresponds to maximal retrograde hepatic ve- nous flow. In physiologic states, the peak of the Table 6 Causes of Pulsatile Hepatic Venous Waveform a wave is above the baseline, and the a wave is • Origen: cardiaco wider and taller than the v wave (the other po- Tricuspid regurgitation Decreased or reversed S wave tentially retrograde wave). Even in pathologic states, the a wave remains wider than the v wave, Tall a and v waves which represents the best way to initially orient Right-sided CHF oneself on the waveform. The only time this rule Maintained S wave/D wave relationship breaks down is in cases of severe tricuspid regur- Tall a and v waves gitation, when the S wave becomes retrograde and merges with the a and v waves to form one large retrograde a-S-v complex. The S wave is the next wave encountered grade diastolic velocity is maximal. The subse- on the waveform. Its initial downward-sloping quent rising portion results from increasing right portion is generated by decreasing right atrial atrial pressure generated by the increasing right pressure, as a result of the “sucking” effect cre- ventricular blood volume. ated by the downward motion of the atrioven- It is almost unheard of to describe flow in the tricular septum as it descends toward the cardiac hepatic veins as hepatofugal, since the term is apex during early to midsystole. Note that the reserved for describing the state of pathologic tricuspid valve remains closed. If it were open flow in the portal veins. However, it is important (tricuspid regurgitation), the result would be to remember that physiologic flow in the hepatic pathologic retrograde flow. The S wave corre- veins is hepatofugal (ie, away from the liver and sponds to antegrade hepatic venous flow and is toward the heart). In summary, the hepatic ve- the largest downward-pointing wave in the cycle. nous waveform is normally phasic and predomi- The lowest point occurs in midsystole and is the nantly antegrade. incich/grupo ct scanner Departamento de Radiología/Unidad PET-CT point at which negative pressure is minimally op- Abnormal (pathologic) hepatic venous flow Thursday, May 31, 2012velocity is maximal. After posed and antegrade may manifest in one of several basic ways.
  • 52.
    Venas hepáticas: anomalíasespectro OJO: NO aplica en casos de cirrosis 176 January-February 2011 radiographics.rsna.org • Alta pulsatilidad: corresponds to maximal retrograde hepatic ve- nous flow. In physiologic states, the peak of the Table 6 Causes of Pulsatile Hepatic Venous Waveform a wave is above the baseline, and the a wave is • Origen: cardiaco wider and taller than the v wave (the other po- Tricuspid regurgitation Decreased or reversed S wave tentially retrograde wave). Even in pathologic states, the a wave remains wider than the v wave, Tall a and v waves which represents the best way to initially orient Right-sided CHF oneself on the waveform. The only time this rule Maintained S wave/D wave relationship breaks down is in cases of severe tricuspid regur- Tall a and v waves gitation, when the S wave becomes retrograde and merges with the a and v waves to form one large retrograde a-S-v complex. • Baja pulsatilidad: The S wave is the next wave encountered on the waveform. Its initial downward-sloping grade diastolic velocity is maximal. The subse- quent rising portion results from increasing right portion is generated by decreasing right atrial atrial pressure generated by the increasing right • Origen: pérdida de pressure, as a result of the “sucking” effect cre- ventricular blood volume. distensibilidad venosa (por ated by the downward motion of the atrioven- tricular septum as it descends toward the cardiac It is almost unheard of to describe flow in the hepatic veins as hepatofugal, since the term is aumento en la presión apex during early to midsystole. Note that the tricuspid valve remains closed. If it were open reserved for describing the state of pathologic flow in the portal veins. However, it is important intraparenquimatosa (tricuspid regurgitation), the result would be pathologic retrograde flow. The S wave corre- to remember that physiologic flow in the hepatic veins is hepatofugal (ie, away from the liver and hepática) sponds to antegrade hepatic venous flow and is the largest downward-pointing wave in the cycle. toward the heart). In summary, the hepatic ve- nous waveform is normally phasic and predomi- The lowest point occurs in midsystole and is the nantly antegrade. incich/grupo ct scanner Departamento de Radiología/Unidad PET-CT point at which negative pressure is minimally op- Abnormal (pathologic) hepatic venous flow Thursday, May 31, 2012velocity is maximal. After posed and antegrade may manifest in one of several basic ways.
  • 53.
    Venas hepáticas: anomalíasespectro OJO: NO aplica en casos de cirrosis 176 January-February 2011 radiographics.rsna.org • Alta pulsatilidad: corresponds to maximal retrograde hepatic ve- nous flow. In physiologic states, the peak of the Table 6 Causes of Pulsatile Hepatic Venous Waveform a wave is above the baseline, and the a wave is • Origen: cardiaco wider and taller than the v wave (the other po- Tricuspid regurgitation Decreased or reversed S wave tentially retrograde wave). Even in pathologic states, the a wave remains wider than the v wave, Tall a and v waves which represents the best way to initially orient Right-sided CHF oneself on the waveform. The only time this rule Maintained S wave/D wave relationship breaks down is in cases of severe tricuspid regur- Tall a and v waves S wave becomes retrograde gitation, when the 178 January-February 2011 radiographics.rsna.org and merges with the a and v waves to form one large retrograde a-S-v complex. This is because the waveform is affected not only • Baja pulsatilidad: The S wave is the next wave encountered grade diastolic velocity is maximal. The subse- by the cardiac cycle, but also by respiratory varia- on the waveform. Its initial downward-sloping Table 7 quent rising portion Causes of Decreased Hepatic Venous Phasicity tion. It has been shown that inspiration and expi- results from increasing right portion is generated by decreasing right atrial atrial pressure generated by the increasing right • Origen: pérdida de ration both affect the systolic/diastolic ratio, and pressure, as a result of the “sucking” effect cre- Cirrhosis ventricular blood volume. vein thrombosis (Budd-Chiari syndrome) that the Valsalva maneuver can markedly reduce Hepatic distensibilidad venosa (por ated by the downward motion of the atrioven- It is almost unheard of toveno-occlusive disease pulsatility, even to the point of nonphasicity (1). tricular septum as it descends toward the cardiac Hepatic describe flow in the hepatic veins as hepatofugal, since outflow obstruction from any cause Hepatic venous the term is The ideal time to acquire the spectral waveform aumento en la presión apex during early to midsystole. Note that the reserved for describing the state of pathologic is during a small (incomplete) inspiratory breath tricuspid valve remains closed. If it were open flow in the portal veins. However, it is important hold. Once proper technique has been confirmed, intraparenquimatosa (tricuspid regurgitation), the result would be to remember that physiologic flow in the hepatic pathologic causes of nonphasicity may be consid- pathologic retrograde flow. The S wave corre- veins is hepatofugal (ie, away from the liver and ered, including cirrhosis, hepatic vein thrombosis literature indicates that approximately 25% of hepática) sponds to antegrade hepatic venous flow and is toward the heart). In summary, the hepatic ve- (Budd-Chiari syndrome), hepatic veno-occlusive the largest downward-pointing wave in the cycle. patients with Budd-Chiari syndrome also have nous waveform is normally phasic and predomi- disease, and hepatic venous outflow obstruction portal vein thrombosis (23). The lowest point occurs in midsystole and is the nantly antegrade. incich/grupo ct scanner from any cause (Table 7). As disease severity Budd-Chiari Departamento de Radiología/Unidad PET-CT syndrome is typically classified point at which negative pressure is minimally op- Abnormal (pathologic) hepatic venous flow progresses and the veins become more com- into one of three types on the basis of the loca- Thursday, May 31, 2012velocity is maximal. After posed and antegrade may manifest in one of several basic ways.
  • 54.
    Diagnóstico???? incich/grupo ct scanner Departamento de Radiología/Unidad PET-CT Thursday, May 31, 2012
  • 55.
    Diagnóstico???? Insuficiencia tricuspídea moderada (S < D, >>> a/v) incich/grupo ct scanner Departamento de Radiología/Unidad PET-CT Thursday, May 31, 2012
  • 56.
    Diagnóstico???? Insuficiencia tricuspídea moderada (S < D, >>> a/v) incich/grupo ct scanner Departamento de Radiología/Unidad PET-CT Thursday, May 31, 2012
  • 57.
    Diagnóstico???? Insuficiencia tricuspídea grave Insuficiencia tricuspídea moderada (S <onda S) a/v) (inversión D, >>> incich/grupo ct scanner Departamento de Radiología/Unidad PET-CT Thursday, May 31, 2012
  • 58.
    “a” o “v”,como identificarlas???? a v incich/grupo ct scanner Departamento de Radiología/Unidad PET-CT Thursday, May 31, 2012
  • 59.
    Insuficiencia cardiaca derechasin IT grave Figure 21. incich/grupo ct scanner Thursday, May 31, 2012 Right-sided CHF without tricuspid re- Departamento de Radiología/Unidad PET-CT
  • 60.
    Insuficiencia cardiaca derechasin IT grave Insuficiencia cardiaca derecha (relación S/D conservada, y >>>> a/v) Figure 21. incich/grupo ct scanner Thursday, May 31, 2012 Right-sided CHF without tricuspid re- Departamento de Radiología/Unidad PET-CT
  • 61.
    Baja pulsatilidad: aplanamientoa inversión “a” Figure 22. Decreased hepatic venous phasicity. Diagrams illustrate varying degrees of severity of decreased phasicity in the hepatic vein. Farrant and Meire (5) first described a subjective scale for quan- tifying abnormally decreased phasicity in the hepatic veins, a finding that is most commonly seen in cirrhosis. The key to understanding this scale lies in observing the position of the a wave relative to the baseline and peak negative S wave excur- sion. As the distance between the a wave and peak negative excursion decreases, pha sicity is more severely decreased. incich/grupo ct scanner Departamento de Radiología/Unidad PET-CT Thursday, May 31, 2012
  • 62.
    Baja pulsatilidad: aplanamientoa inversión “a” 178 January-February 2011 radiographics.rsna.org This is because the waveform is affected not only Table 7 by the cardiac cycle, but also by respiratory varia- Causes of Decreased Hepatic Venous Phasicity tion. It has been shown that inspiration and expi- ration both affect the systolic/diastolic ratio, and Cirrhosis that the Valsalva maneuver can markedly reduce Hepatic vein thrombosis (Budd-Chiari syndrome) pulsatility, even to the point of nonphasicity (1). Hepatic veno-occlusive disease The ideal time to acquire the spectral waveform Hepatic venous outflow obstruction from any cause is during a small (incomplete) inspiratory breath hold. Once proper technique has been confirmed, pathologic causes of nonphasicity may be consid- ered, including cirrhosis, hepatic vein thrombosis literature indicates that approximately 25% of (Budd-Chiari syndrome), hepatic veno-occlusive patients with Budd-Chiari syndrome also have disease, and hepatic venous outflow obstruction portal vein thrombosis (23). from any cause (Table 7). As disease severity Budd-Chiari syndrome is typically classified progresses and the veins become more com- into one of three types on the basis of the loca- pressed by fibrotic constriction or parenchymal tion of the obstruction. Type 3, also called hepatic Figure 22. Decreased hepatic venous edema, they lose their ability to accommodate veno-occlusive disease, is rare and involves dif- retrograde flow. This is the one case in which phasicity. Diagrams illustrate varying fuse narrowing at the venule level. Types 1 and 2 our model for understanding the hepatic venous are the mostof severity of decreased phasicity degrees common and involve obstruction at waveform in terms of right atrial pressure breaks the level of the hepatic vein or vena and Meire (5) in the hepatic vein. Farrant cava. The ob- down. Decreased venous compliance is seen as struction is usually secondary to bland thrombus first described a subjective scale for quan- a waveform with a proportional loss of phasicity. related to a hypercoagulable state; however, the in tifying abnormally decreased phasicity A quick and reliable way to grade the severity list of causes of hepatic vein occlusion is long and of decreased phasicity is to visually assess the the hepatic veins, a finding that is most is traditionally divided into primary (eg, congeni- waveform, focusing on how far the a wave drops talcommonly seen in cirrhosis. The key to webs) and secondary (eg, benign or malignant below the baseline (Fig 22). As long as the a wave thrombosis) causes. this scale lies in observing understanding remains above the baseline, there is normal pha- Overall, hepatic the a wave relative to the the position ofvein thrombosis is much less sicity; once the a wave goes below the baseline, common than portal vein thrombosis. Malignant baseline and peak negative S wave excur- there is at least mildly decreased phasicity, which hepatic vein thrombosis (ie, tumor thrombus) is has been observed in less than 10% of healthy sion. As the distance between the a wave usually the result of direct invasion from an adja- patients (1). Once the peak of the a wave is at and peak negative excursion decreases, pha cent parenchymal hepatocellular carcinoma; how- least halfway between the baseline and the peak ever, anyis more severely decreased. sicity other malignant vena cava thrombosis, negative excursion of the waveform, there is at such as renal cell carcinoma, adrenal cortical car- incich/grupo ct scanner least moderately decreased phasicity. This degree cinoma, or Departamento de Radiología/Unidad PET-CT primary inferior vena cava (IVC) leio- Thursday, May 31, 2012 of decreased phasicity is never normal. When the myosarcoma, may also cause Budd-Chiari syn-
  • 63.
    Arteria hepática (AH)normal • Abordaje: intercostal • 20% flujo hepático • Baja resistencia (flujo diastólico anterógrado) • IR: 0.5-0.7 • VPS: 30-60 cm/seg incich/grupo ct scanner Departamento de Radiología/Unidad PET-CT Thursday, May 31, 2012
  • 64.
    Cómo se clasificaa la anatomía de la AH incich/grupo ct scanner Departamento de Radiología/Unidad PET-CT Thursday, May 31, 2012
  • 65.
    Cómo se clasificaa la anatomía de la AH incich/grupo ct scanner Departamento de Radiología/Unidad PET-CT Thursday, May 31, 2012
  • 66.
    Clasificación de MichelsAH AJR 2004;183:145 incich/grupo ct scanner Departamento de Radiología/Unidad PET-CT Thursday, May 31, 2012
  • 67.
    Arteria hepática: IRnormal incich/grupo ct scanner Departamento de Radiología/Unidad PET-CT Thursday, May 31, 2012
  • 68.
    Arteria hepática: IRalto incich/grupo ct scanner Departamento de Radiología/Unidad PET-CT Thursday, May 31, 2012
  • 69.
    Arteria hepática: IRalto radiographics.rsna.org Table 4 Pathologic (microvascular compression or disease) Chronic hepatocellular disease (including cirrhosis) Hepatic venous congestion Acute congestion diffuse peripheral vasoconstriction Chronic congestion fibrosis with diffuse peripheral compression (cardiac cirrhosis) Transplant rejection (any stage) Any other disease that causes diffuse compression or narrowing of peripheral arterioles Physiologic Postprandial state Advanced patient age incich/grupo ct scanner Departamento de Radiología/Unidad PET-CT Thursday, May 31, 2012
  • 70.
    Diagnóstico???? 373cm/seg 362 cm/seg 168 cm/seg incich/grupo ct scanner Departamento de Radiología/Unidad PET-CT Thursday, May 31, 2012
  • 71.
    Diagnóstico: ???? T12-L1 incich/grupo ct scanner Departamento de Radiología/Unidad PET-CT Thursday, May 31, 2012
  • 72.
    Diagnóstico: ???? T12-L1 incich/grupo ct scanner Departamento de Radiología/Unidad PET-CT Thursday, May 31, 2012
  • 73.
    Inspiración Espiración incich/grupo ct scanner Departamento de Radiología/Unidad PET-CT Thursday, May 31, 2012
  • 74.
    incich/grupo ct scanner Departamento de Radiología/Unidad PET-CT Thursday, May 31, 2012
  • 75.
    Arteria hepática incich/grupo ctscanner Departamento de Radiología/Unidad PET-CT Thursday, May 31, 2012
  • 76.
    Arteria hepática Advanced patient age Proximal arterial narrowing Transplant stenosis (anastomosis) Atherosclerotic disease (celiac or hepatic) Arcuate ligament syndrome (relatively less common than transplant stenosis or atherosclerotic disease) Distal (peripheral) vascular shunts (arteriovenous or arterioportal fistulas) Cirrhosis with portal hypertension Posttraumatic or iatrogenic causes Hereditary hemorrhagic telangiectasia (Osler-Weber-Rendu syndrome) incich/grupo ct scanner Departamento de Radiología/Unidad PET-CT Thursday, May 31, 2012
  • 77.
    Arteria hepática... conclusiones • IR alto = inespecífico • IR bajo = más específico (cortocircuitos o estenosis) incich/grupo ct scanner Departamento de Radiología/Unidad PET-CT Thursday, May 31, 2012
  • 78.
    Vena porta • 70-80% flujo hepático • Ventanas • Intercostal oblicua derecha • Oblicua subxifoidea con angulación craneal • Intrasegmentarias (excepto porción ascendente de VPI, que es intersegmentaria) incich/grupo ct scanner Departamento de Radiología/Unidad PET-CT Thursday, May 31, 2012
  • 79.
    Porta principal • Unión de esplénica y mesentérica sup • Orden (post a ant) • Porta-Colédoco-Arteria • Diámetro 11 +/- 2 mm • Visibles por colágena incich/grupo ct scanner Departamento de Radiología/Unidad PET-CT Thursday, May 31, 2012
  • 80.
  • 81.
    Porta izq • Más corta, craneal y anterior • Su unión con la porta común indica la porta hepatis • “H” reclinada 4 3 • Subdivisión med/lat 2 1 Thursday, May 31, 2012
  • 82.
    Porta derecha • Más larga, caudal y posterior • División ant/post • 10% VPD inferior 8 5 accesoria • “H” reclinada 7 6 Thursday, May 31, 2012
  • 83.
    Clasificación Nakamura • Variantes anatómicas 10% • Generalmente afectan a la VP derecha incich/grupo ct scanner Departamento de Radiología/Unidad PET-CT Thursday, May 31, 2012
  • 84.
    Porta normal • Abordaje:variable, en general intercostal LAMINAR: petal y ligeramente ondulante • Flujo normal (petal) • Hacia el transductor (rojo) (excepto rama posterior der – azul -) • Variante: flujo helicoidal Thursday, May 31, 2012
  • 85.
    Porta normal • Abordaje:variable, en general intercostal LAMINAR: petal y ligeramente ondulante • Flujo normal (petal) • Hacia el transductor (rojo) (excepto rama posterior der – azul -) • Variante: flujo helicoidal Thursday, May 31, 2012
  • 86.
    Porta normal • Abordaje:variable, en general intercostal LAMINAR: petal y ligeramente ondulante • Flujo normal (petal) • Hacia el transductor (rojo) (excepto rama posterior der – azul -) • Variante: flujo helicoidal 15-40 cm/seg Thursday, May 31, 2012
  • 87.
    Porta común incich/grupo ctscanner Departamento de Radiología/Unidad PET-CT Thursday, May 31, 2012
  • 88.
    Variante normal: flujoHELICOIDAL HELICOIDAL: petal/fugo (espiral) incich/grupo ct scanner Departamento de Radiología/Unidad PET-CT Thursday, May 31, 2012
  • 89.
    Flujo helicoidal: causas 1. Normal: 2.2% población 2. Shunts portosistémicos patológicos (20% pacientes hepatópatas con HP) o quirúrgicos 3. Invasión o desplazamiento tumoral 4. PO inmediato TOH: 43% • Desproporción diámetros de la anastomosis (>50%) 5. Post TIPS: 28% incich/grupo ct scanner Departamento de Radiología/Unidad PET-CT Thursday, May 31, 2012
  • 90.
    Flujo helicoidal: causas 1. Normal: 2.2% población 2. Shunts portosistémicos patológicos (20% pacientes hepatópatas con HP) o quirúrgicos 3. Invasión o desplazamiento tumoral } 4. PO inmediato TOH: 43% • Desproporción diámetros de Transitorio. Si persiste, la anastomosis (>50%) descartar estenosis portal (anastomosis/stent) 5. Post TIPS: 28% incich/grupo ct scanner Departamento de Radiología/Unidad PET-CT Thursday, May 31, 2012
  • 91.
    Flujo portal normal:índice pulsatilidad incich/grupo ct scanner Departamento de Radiología/Unidad PET-CT Thursday, May 31, 2012
  • 92.
    Flujo portal normal:índice pulsatilidad La pulsatilidad depende de la transmisión del flujo venoso de forma trans-sinusoidal, en particular de la contracción auricular (onda a, contracción auricular, telediástole) incich/grupo ct scanner Departamento de Radiología/Unidad PET-CT Thursday, May 31, 2012
  • 93.
    Análisis de lapulsatilidad portal: IP alta 180 January-February 2011 Spectral Doppler US image shows tile waveform with flow reversal in the right por The waveform may be systematically characte predominantly antegrade, pulsatile, biphasic-b tional, and di-inflectional. 0 January-February 2011 radiographics.rsna.org Figure 24. Normal and abnormal portal FigureSpectralSlow portalimage shows a pulsa- 26. Doppler US venous flow. Spectra incich/grupo ct scanner tile waveform with flow reversal in the right portal vein. Departamento de Radiología/Unidad PET-CT venous phasicity. Images show a spectrum pler US image shows slow flow in the main po Thursday, May 31, 2012 The waveform may be systematically characterized as
  • 94.
    Análisis de lapulsatilidad portal: IP alta 180 January-February 2011 NORMAL Spectral Doppler US image shows tile waveform with flow reversal in the right por The waveform may be systematically characte predominantly antegrade, pulsatile, biphasic-b tional, and di-inflectional. 0 January-February 2011 radiographics.rsna.org NORMAL Figure 24. Normal and abnormal portal FigureSpectralSlow portalimage shows a pulsa- 26. Doppler US venous flow. Spectra incich/grupo ct scanner tile waveform with flow reversal in the right portal vein. Departamento de Radiología/Unidad PET-CT venous phasicity. Images show a spectrum pler US image shows slow flow in the main po Thursday, May 31, 2012 The waveform may be systematically characterized as
  • 95.
    Análisis de lapulsatilidad portal: IP alta 180 January-February 2011 Anormal: IP Doppler US image shows elevado NORMAL Spectral tile waveform with derreversal in the right por = Falla flow o IT The waveform may be systematically characte predominantly antegrade, pulsatile, biphasic-b tional, and di-inflectional. 0 January-February 2011 radiographics.rsna.org NORMAL Anormal: IP elevado = Falla der o IT Figure 24. Normal and abnormal portal FigureSpectralSlow portalimage shows a pulsa- 26. Doppler US venous flow. Spectra incich/grupo ct scanner tile waveform with flow reversal in the right portal vein. Departamento de Radiología/Unidad PET-CT venous phasicity. Images show a spectrum pler US image shows slow flow in the main po Thursday, May 31, 2012 The waveform may be systematically characterized as
  • 96.
    blue on thecolor Doppler US image and is displayed the below the baseline on the porta: waveform. Hepa- Análisis espectral spectral IP alta tofugal flow is due to severe portal hypertension from the any cause. sati scri pre Table 8 por Causes of Pulsatile Portal Venous Waveform side tran Tricuspid regurgitation arte Right-sided CHF ver Cirrhosis with vascular arterioportal shunting her Hereditary hemorrhagic telangiectasia–arteriove- this nous fistulas I am red usu Findings That Are Diagnostic for Portal Hy- tion pertension incich/grupo ct scanner by Departamento de Radiología/Unidad PET-CT Thursday, May 31, 2012
  • 97.
    Análisis de lapulsatilidad portal: IP normal Spectral Doppler US image shows a pulsa- tile waveform with flow reversal in the right portal vein. The waveform may be systematically characterized as predominantly antegrade, pulsatile, biphasic-bidirec- Spectral Doppler US image shows tional, and di-inflectional.flow reversal in the right por tile waveform with The waveform may be systematically characte predominantly antegrade, pulsatile, biphasic-b tional, and di-inflectional. Figure 24. Normal and abnormal portal Figure 26. Slow portal venous flow. Spectral Dop- venous phasicity. Images show a spectrum pler US image shows slow flow in the main portal vein. of increasing pulsatility (bottom to top). Slow portal venous flow is a consequence of portal hy- Note that increasing pulsatility corresponds pertension. In this case, the peak velocity is 9.0 cm/sec, to a decrease in the calculated PI. Although which is well below the lower limit of normal (16–40 normal phasicity ranges widely in the portal cm/sec). Although portal hypertension may cause a pulsatile-appearing waveform as venousthis case, the Figure 26. Slow portal seen in flow. Spectra Figure 24. PI should and abnormal 0.5 veins, the Normal be greater than portal incich/grupo ct scanner and bottom). When the PI is less (middle slow flow helps differentiate this condition from hyper- Departamento de Radiología/Unidad PET-CT venous phasicity.the waveform may spectrum Images show a be called pler US image shows such as CHF and tricuspidpo pulsatile high-velocity states slow flow in the main Thursday, May 31, (top), than 0.5 2012
  • 98.
    Análisis de lapulsatilidad portal: IP normal Spectral Doppler US image shows a pulsa- tile waveform with flow reversal in the right portal vein. The waveform may be systematically characterized as NORMAL predominantly antegrade, pulsatile, biphasic-bidirec- Spectral Doppler US image shows tional, and di-inflectional.flow reversal in the right por tile waveform with The waveform may be systematically characte predominantly antegrade, pulsatile, biphasic-b tional, and di-inflectional. NORMAL Figure 24. Normal and abnormal portal Figure 26. Slow portal venous flow. Spectral Dop- venous phasicity. Images show a spectrum pler US image shows slow flow in the main portal vein. of increasing pulsatility (bottom to top). Slow portal venous flow is a consequence of portal hy- Note that increasing pulsatility corresponds pertension. In this case, the peak velocity is 9.0 cm/sec, to a decrease in the calculated PI. Although which is well below the lower limit of normal (16–40 normal phasicity ranges widely in the portal cm/sec). Although portal hypertension may cause a pulsatile-appearing waveform as venousthis case, the Figure 26. Slow portal seen in flow. Spectra Figure 24. PI should and abnormal 0.5 veins, the Normal be greater than portal incich/grupo ct scanner and bottom). When the PI is less (middle slow flow helps differentiate this condition from hyper- Departamento de Radiología/Unidad PET-CT venous phasicity.the waveform may spectrum Images show a be called pler US image shows such as CHF and tricuspidpo pulsatile high-velocity states slow flow in the main Thursday, May 31, (top), than 0.5 2012
  • 99.
    Análisis de lapulsatilidad portal: IP normal Spectral Doppler US image shows a pulsa- tile waveform with flow reversal in the right portal vein. The waveform may be systematically characterized as NORMAL predominantly antegrade, pulsatile, biphasic-bidirec- Spectral Doppler US image shows tional, and di-inflectional.flow reversal in the right por tile waveform with The waveform may be systematically characte predominantly antegrade, pulsatile, biphasic-b tional, and di-inflectional. Anormal: IP normal PERO baja velocidad = hipertensión portal NORMAL Figure 24. Normal and abnormal portal Figure 26. Slow portal venous flow. Spectral Dop- venous phasicity. Images show a spectrum pler US image shows slow flow in the main portal vein. of increasing pulsatility (bottom to top). Slow portal venous flow is a consequence of portal hy- Note that increasing pulsatility corresponds pertension. In this case, the peak velocity is 9.0 cm/sec, to a decrease in the calculated PI. Although which is well below the lower limit of normal (16–40 normal phasicity ranges widely in the portal cm/sec). Although portal hypertension may cause a pulsatile-appearing waveform as venousthis case, the Figure 26. Slow portal seen in flow. Spectra Figure 24. PI should and abnormal 0.5 veins, the Normal be greater than portal incich/grupo ct scanner and bottom). When the PI is less (middle slow flow helps differentiate this condition from hyper- Departamento de Radiología/Unidad PET-CT venous phasicity.the waveform may spectrum Images show a be called pler US image shows such as CHF and tricuspidpo pulsatile high-velocity states slow flow in the main Thursday, May 31, (top), than 0.5 2012
  • 100.
    Análisis de lapulsatilidad portal: no flujo Spectral Doppler US image shows 182 tile waveform with2011 reversal in the right por January-February flow The waveform may be systematically characte predominantly antegrade, pulsatile, biphasic-b tional, and di-inflectional. Figure 28. Portal vein thrombosis (acute bland thrombus). On a spectral Doppler US image, the interrogation zone shows no color flow in the main portal vein. The spectral waveform is aphasic, which indicates absence of flow. An aphasic waveform may be produced by either obstructive or nonobstructive Figure 24. Normal and abnormal portal disease. Figure 26. Slow portal venous flow. Spectra incich/grupo ct scanner Departamento de Radiología/Unidad PET-CT venous phasicity. Images show a spectrum pler US image shows slow flow in the main po Thursday, May 31, 2012
  • 101.
    Análisis de lapulsatilidad portal: no flujo NORMAL Spectral Doppler US image shows 182 tile waveform with2011 reversal in the right por January-February flow The waveform may be systematically characte predominantly antegrade, pulsatile, biphasic-b tional, and di-inflectional. NORMAL Figure 28. Portal vein thrombosis (acute bland thrombus). On a spectral Doppler US image, the interrogation zone shows no color flow in the main portal vein. The spectral waveform is aphasic, which indicates absence of flow. An aphasic waveform may be produced by either obstructive or nonobstructive Figure 24. Normal and abnormal portal disease. Figure 26. Slow portal venous flow. Spectra incich/grupo ct scanner Departamento de Radiología/Unidad PET-CT venous phasicity. Images show a spectrum pler US image shows slow flow in the main po Thursday, May 31, 2012
  • 102.
    Análisis de lapulsatilidad portal: no flujo NORMAL Spectral Doppler US image shows 182 tile waveform with2011 reversal in the right por January-February flow The waveform may be systematically characte predominantly antegrade, pulsatile, biphasic-b tional, and di-inflectional. Anormal: flujo lento/trombosis NORMAL Figure 28. Portal vein thrombosis (acute bland thrombus). On a spectral Doppler US image, the interrogation zone shows no color flow in the main portal vein. The spectral waveform is aphasic, which indicates absence of flow. An aphasic waveform may be produced by either obstructive or nonobstructive Figure 24. Normal and abnormal portal disease. Figure 26. Slow portal venous flow. Spectra incich/grupo ct scanner Departamento de Radiología/Unidad PET-CT venous phasicity. Images show a spectrum pler US image shows slow flow in the main po Thursday, May 31, 2012
  • 103.
    1. Técnica 2. Anatomía 3. PATOLOGÍA Thursday, May 31, 2012
  • 104.
    Trombosis e hipertensiónportal (HP) • Presión >30 mm de Hg (gradiente >10) • Causas:  del flujo o de resistencia US, TC y RM dan información sobre permeabilidad vascular y colaterales; PERO sólo el US Doppler aporta información sobre la dinámica del flujo incich/grupo ct scanner Departamento de Radiología/Unidad PET-CT Thursday, May 31, 2012
  • 105.
    Trombosis e hipertensiónportal (HP) • Presión >30 mm de Hg (gradiente >10) • Causas:  del flujo o de resistencia US, TC y RM dan información sobre permeabilidad vascular y colaterales; PERO sólo el US Doppler aporta información sobre la dinámica del flujo incich/grupo ct scanner Departamento de Radiología/Unidad PET-CT Thursday, May 31, 2012
  • 106.
  • 107.
  • 108.
  • 109.
  • 110.
  • 111.
  • 112.
  • 113.
  • 114.
  • 115.
  • 116.
  • 117.
    HP: circulación colateraly derivaciones 1. Derivaciones quirúrgicas 1. Portocava, mesocava, espleno/gastrorrenal y TIPS 2. Colaterales a. Tributarias • Coronaria (plano longitudinal, cefálica a VMS) • Gástricas cortas (borde inferior LHI) • VMS y VMI b. Desarrolladas (derivaciones espontáneas) • Vena paraumbilical • Esplenorrenal • Esplenorretroperitoneal incich/grupo ct scanner Departamento de Radiología/Unidad PET-CT Thursday, May 31, 2012
  • 118.
    Permeabilidad vena paraumbilical • Colateral portosistémica (caput medusae) • Porta izquierda  v.paraumbilical  v.pared abdominal Importancia de su dx: 1. podría prevenir la aparición de VE, PERO 2. riesgo EH incich/grupo ct scanner Departamento de Radiología/Unidad PET-CT Thursday, May 31, 2012
  • 119.
    Cortesía: Dr. YukiyosiKimura Thursday, May 31, 2012
  • 120.
    Cortesía: Dr. YukiyosiKimura Signo de HP grave (gradiente 15-28 mm Hg) Thursday, May 31, 2012
  • 121.
  • 122.
    Cortesía: Dr. YukiyosiKimura Thursday, May 31, 2012
  • 123.
    Cortesía: Dr. YukiyosiKimura Thursday, May 31, 2012
  • 124.
    Cortesía: Dr. YukiyosiKimura Thursday, May 31, 2012
  • 125.
    Flujo hepatofugo • Definición: Flujo que se ALEJA del hígado Importante en: 1. Diagnóstico HP 2. Conocer permeabilidad de shunt portosistémico 3. Px hepatópatas 4. Seleccionar pacientes NO candidatos a • Quimioembolización intraarterial • Portografía arterial por TC incich/grupo ct scanner Departamento de Radiología/Unidad PET-CT Thursday, May 31, 2012
  • 126.
    Flujo hepatofugo • Definición: Flujo que se ALEJA del hígado Importante en: 1. Diagnóstico HP 2. Conocer permeabilidad de shunt portosistémico 3. Px hepatópatas 4. Seleccionar pacientes NO candidatos a • Quimioembolización intraarterial SIEMPRE demostrar en la misma • Portografía arterial por imagen el flujo petal de la arteria TC con el fugo portal incich/grupo ct scanner Departamento de Radiología/Unidad PET-CT Thursday, May 31, 2012
  • 127.
    Flujo hepatofugo: fisiopatología • Formación de FÍSTULAS ARTERIOPORTALES (FAP) por: 1. HP (causa y consecuencia de FAP) 2. Trauma o iatrogenia (bx o colangiografía PC) 3. Tumores (ej. hepatoCA) 4. Ruptura aneurisma AH 5. Congénitas incich/grupo ct scanner Departamento de Radiología/Unidad PET-CT Thursday, May 31, 2012
  • 128.
    Flujo hepatofugo: fisiopatología • Formación de FÍSTULAS ARTERIOPORTALES (FAP) por: 1. HP (causa y consecuencia de FAP) 2. Trauma o iatrogenia (bx o colangiografía PC) 3. Tumores (ej. hepatoCA) 4. Ruptura aneurisma AH 5. Congénitas incich/grupo ct scanner Departamento de Radiología/Unidad PET-CT Thursday, May 31, 2012
  • 129.
    Flujo hepatofugo: fisiopatología • Formación de FÍSTULAS ARTERIOPORTALES (FAP) por: 1. HP (causa y consecuencia de FAP) 2. Trauma o iatrogenia (bx o colangiografía PC) 3. Tumores (ej. hepatoCA) 4. Ruptura aneurisma AH 5. Congénitas incich/grupo ct scanner Departamento de Radiología/Unidad PET-CT Thursday, May 31, 2012
  • 130.
    Flujo hepatofugo encirróticos • Incidencia: 1-23% • Causa • “Aparición” de FAP normalmente presentes* por  presión intrahepática ( presión intraarterial y portal) * Arteriosinusoidales, arteriovasales (vasa vasorum de las paredes portales) y plexos peribiliares incich/grupo ct scanner Departamento de Radiología/Unidad PET-CT Thursday, May 31, 2012
  • 131.
    Flujo hepatofugo enHP • Localización • Intrahepática, por 1. FAP grandes (ejemplo: postbx, etc) 2. Cirrosis (FAP “microscópicas”, no visibles por US) 3. Obstrucción venosa 4. TIPS o permeabilidad vena paraumbilical • Extrahepática (porta, VMS o esplénica), por 1. Obstrucción portal (trombo sanguíneo o neoplásico, compresión extrínseca) 2. = intrahepáticas (pero más avanzadas) Obstrucción: presión portal  flujo a zona de < presión (shunts) incich/grupo ct scanner Departamento de Radiología/Unidad PET-CT Thursday, May 31, 2012
  • 132.
    Flujo fugo extrahepático:shunts qx o espontáneos Derivación esplenorrenal: flujo fugo esplénico y petal zq v. renal i incich/grupo ct scanner Departamento de Radiología/Unidad PET-CT Thursday, May 31, 2012
  • 133.
    Flujo fugo intrahepático:shunts en tumores 1. Erosión de arteria y vena por el tumor, o 2. Compresión extrínseca de vena hepática (tumor o hematoma SC) Obstrucción del flujo venoso ( presión intrahepática) Comunicación arterioportal incich/grupo ct scanner Departamento de Radiología/Unidad PET-CT Thursday, May 31, 2012
  • 134.
    Circunstancias particulares delflujo fugo • En los TIPS y en la permeabilidad vena paraumbilical (PVPU), el shunt arterioportal genera flujo 1. Petal en porta principal, y 2. Fugo intrahepático (29% pac con PVPU) Permeabilidad vena paraumbilical RAMA PORTAL SEGM 4 incich/grupo ct scanner Departamento de Radiología/Unidad PET-CT Thursday, May 31, 2012
  • 135.
    Conclusiones del flujofugo 1. En pacientes SIN shunts o TIPS, es un signo de HP grave y de mal pronóstico 2. Puede ser intra y/o extrahepático 3. Su presencia • Habla de permeabilidad de shunts quirúrgicos y TIPS • Contraindica la quimioembolización intrarterial incich/grupo ct scanner Departamento de Radiología/Unidad PET-CT Thursday, May 31, 2012
  • 136.
    2.  diámetro(>15 mm), 3.  +  velocidad VP, ascitis, vel normal, flujo petal en “barra” no  bazo oscilante 1. VP normal 5.  + flujo fuga (1%) 4.  +  diámetro y vel AH, colaterales, flujo helicoidal o To-and-fro Thursday, May 31, 2012
  • 137.
    TIPS • Siglas de Transjugular Intrahepatic Portocaval Shunt, dígase… “Derivación transyugular portocava intrahepática” • Indicaciones (HP) • Prevención secundaria de HTDA • Ascitis refractaria • Permeabilidad a 1 año: 23-66% incich/grupo ct scanner Departamento de Radiología/Unidad PET-CT Thursday, May 31, 2012
  • 138.
    TIPS 1. Pre TIPS • Tamaño del hígado • Permeabilidad/orientación de VSH, VP, VMS y VE • Bifurcación portal intra o extrahepática 2. Post TIPS ¿Qué es NORMAL (post-TIPS)? • Objetivo: evaluar eficacia y 1. Flujo intrashunt pulsátil permeabilidad 2. Velocidad intrashunt • 24h, y 1, 3 y 6 meses • Al menos: 50-60 cm/s • Doppler: dirección y • Ideal: 90-120 cm/s permeabilidad del stent 3. Velocidad similar al principio y al final del stent 4. Flujo portal/esplénico petal 5. Velocidad pre stent VP • Ideal: 37-47 cm/s Thursday, May 31, 2012
  • 139.
    ¿Qué es ANORMAL?  Ausencia de flujo intra stent  Estenosis:  ó  vel intra stent (>190 o < 90 cm/seg)  Flujo no pulsatil (intra stent) o turbulento (postestenosis)   velocidad de un punto a otro del stent > 100 cm/s   vel VP (con previo) ó <30 cm/s  Flujo portal/esplénico fugo Cortesía: Dr. Antonio Sosa/Dr. Yukiyosi Kimura Thursday, May 31, 2012
  • 140.
    186 January-February 2011 TIPS malfunction (hepatic vein stenosis). Spectral Doppler US image shows high-velocity flow Thursday, May 31, 2012
  • 141.
    186 January-February 2011 ). - in TIPS malfunction (hepatic vein stenosis). Spectral Doppler US image shows high-velocity flow Thursday, May 31, 2012 TIPS malfunction (cephalic stenosis). In a
  • 142.
    Conclusiones 1. El adecuado conocimiento y por ende manejo de parámetros técnicos es indispensable para la obtención de imágenes de calidad diagnóstica 2. El US Doppler es un método no invasivo, de bajo costo y gran disponibilidad, útil en la evaluación de múltiples patologías vasculares hepáticas 3. Es un método operador-dependiente incich/grupo ct scanner Departamento de Radiología/Unidad PET-CT Thursday, May 31, 2012
  • 143.
    Bibliografía 1.-Chen W, et al. Doppler ultrasonographic findings on hepatic arterial vasospasm early after liver transplantation. J Ultrasound Med 2006;25:631-638 2.-Portal Vein Stenosis and occlusion stenting after liver transplantation. Acta Radiol 2006;47:130-134 3.-Karakayali H, et al. Venous complications after orthotopic liver transplantation. Transplant Proc 2006;38:604-606 4.-Ozochukwu LN, et al. Early postoperative hepatic sonography as a predictor of vascular and biliary complications in adult orthotopic liver transplant patients. Am J Roentgenol 2005;185:1558-1570 5.-Kaneko T, et al. Intrahepatic venous anastomosis formation of the right liver in living donnor liver transplantation: evaluations by Doppler ultrasonography. Surgery 2005;138:21-27 6.-Kim HJ, et al. Hepatic artery pseudoaneurysms in adult living-donor liver transplantation: efficacy of CT and Doppler sonography. Am J Roentgenol 2005;184:1549-1555 7.-Bolognesi M, et al. Acute liver rejection: accuracy and predictive values of Doppler US measurements. Radiology 2005;235:651-658 8.-Kyoden Y, et al. Hepatofugal portal flow due to acute cellular rejection. Abdom Imag 2005;30:303-305 9.-Kruskal JB, et al. Optimizing Doppler and color flow US: application to hepatic sonography. RadioGraphics 2004;24:657-675 10.-McNamara MM, Emergency Doppler evaluation of the liver and kidneys. Radiol Clin North Am 2004;42:397-415 incich/grupo ct scanner Departamento de Radiología/Unidad PET-CT Thursday, May 31, 2012