Adrenal incidentalomas
Antonia Brooke
To cover……….
•
•
•
•

Epidemiology
Chances of progression
Imaging
Assessment of functionality
– Which tests
– What is subclinical Cushings, what does it matter,
how to treat

• Implications for our service
Definition
• Adrenal mass >1cm discovered incidentally
when investigating for something else
• No clinical syndrome associated or presence
of metastatic disease
Background and Incidence
• Prevalence around 4% (on CT)

– Increasingly common with age – 1% at 40, 7% at 70

• History of malignant disease then metastasis in
50% of cases (frequently bilateral)
– 2.5% adenomas are mets

• Bilateral disease differential:
–
–
–
–
–

CAH
Hyperplasia
bilateral phaeos
infiltrative diseases (mets)
rare causes
Hormonal secretion
• Hormonally active in up to 12%
– Phaeochromocytomas 5%
– Cushing’s syndrome / Sub-clinical Cushing’s 5% or
possibly more
– Primary hyperaldosteronism / Conn’s syndrome
1%
– Androgen secreting / virilising tumour <1%)

• Remaining incidentalomas were ganglioneuromas,
myelolipomas, or benign cysts
Follow up - 16 studies over 2-7yrs
%

Mean (%)

95% CI

that↑ size

14.7

8-21

unchanged

68

46-90

that ↓ size

7

-2.4-16.4

Became malignant

0.2

0-0.4

Became functional

0.9

0.5-2.2

Develop Cushings

0.3

Dvp subclinical Cushings

0.3

Dvp phaeo

0.2

Dvp Conns

0
Cawood et al EJE 2009
Imaging
• CT better at eliminating malignancy
(dedicated CT looking at Hounsfield units (HU)
and washout characteristics)
– <10HU = benign (sens 71%, spec 100%)

• MRI may characterise phaeos better
• FDG-PET good for phaeos and cancer
• FNA – consider if cancer history and >10HU on CT
after exclusion of phaeo
Imaging - size
• >4cm 90% sensitivity carcinomas
24% specificity (ie only 24% cancer)
• >6cm 25% chance of it being carcinoma
• <2cm + hypodense then unlikely to grow
• If change in size >1cm over 6 months consider
resection
• Guidelines suggest:
– NIH: 2 CTs 6M apart
– Young et al + UptoDate: 0,6,12,24m
– BES: Repeat image – increase in size of 0.8cm over
6-12M consider surgery
Risk of CT
• Abdo CT = 10mSv (adrenal less but about
same if delayed washout) = 3.3yrs background
radiation
• Lifetime absolute risk of cancer as
consequence is 0.048%
• 1 cancer related death for every 5000 scans in
those >30yrs
Practical suggestion
• Most have not had dedicated CT (ie bottom of CT
chest or CT colon)
• If <4cm do dedicated adrenal CT 6 months after
presentation
– No need to rescan if no change in size (or <0.8cm)

• If >4cm do dedicated adrenal CT when referred to
get characteristics and consider repeat or MRI in a
further 6 months if looks benign
• <2cm and no change then discharge
2- 4cm monitor clinically for longer?
Function
Biochemistry – initial screen
• 2x 24hr metanephrines or single plasma
metanephrine
• Overnight dexamethasone suppression
• Renin-aldosterone (if hypertensive or
hypokalaemic)
Phaeo: Metanephrines
Urine
• sensitivity and specificity of 91 – 98%)
• 4x normal = diagnostic
• Cost around £21 each
• False positives:

– Drugs (eg amitriptyline, phenoxybenzamine) ?doxazosin ? Mirtazepine
– Sleep apnoea

Plasma
• If one or more are positive, measure plasma metanephrines (sensitivity
around 80% - higher if inherited, good specificity)
– Cost approx £51

– Disadv – need to be supine for 20mins
– Certain foods leading to high readings: nuts, fruits, potatoes,
tomatoes, beans
Other tests
• MIBG scan preoperatively if +ve
• Consider Clonidine suppression test (0.3mg orally)
plasma MN at base + after 3 hrs if doubt about
diagnosis
Drugs
• If suspicion high start alpha blocakade prior to biochemical
confirmation:
– Doxazosin 1mg titrated up (even if normotensive)
– Phenoxybenzaime 10mg bd up to 20mg qds (more
complete blockade) if
• extremely high metanephrines or
• initial BP >160/90.
• SE: postural hypotension, nasal stuffiness and erectile
problems
• Calcium channel blockers if unable to tolerate alpha or beta
blockade
• Blocked > 3 weeks prior to surgery
Diagnosis of Phaeo
• Consider genetic screening for VHL / RET/ succinate
dehydrogenase (SDH) (+ve in 25%) especially in the
young or extra adrenal disease.
• SDHB – strong association with malignancy
• 24% have germline mutation even if ‘sporadic’
• Familial syndromes less likely to be malignant (unless
SDH)
• Follow up > 5 years (long term risk of recurrence 1015%)
• If large preop tumour consider baseline scan 6M
postop
Conns – RAA ratio
• Measure if hypertensive or hypokalaemic
• exclude aldosterone antagonists for 6 weeks (and
ideally ACE and Ang II but effect prob minimal)
• b blockers suppress renin
– However normal test on treatment is reassuring
• Ideally control BP on Ca channel blockers, Doxazosin
and hydralazine
• Ensure diet is not salt restricted or load with slow na
for 3 days (120mmol/day = 3 tabs QDS)
RAA cont
• Positive = Aldosterone to renin ratio >20
– treat with spironolactone or epleronone

• Venous sampling

– If young (<40yrs), lesion >1cm with normal contralateral adrenal then
reasonable to not venous sampling
– Only do if patient would consider adrenalectomy (right adrenal vein
cannulation is difficult)
– Corrected aldosterone/cortisol ratios of > 4 to 1 = likely unilateral

• Untreated aldosterone excess can lead to
–
–
–
–

myocardial fibrosis
left ventricular hypertrophy
increased mortality from congestive heart failure
more ischemic events, and increased vascular and clotting
abnormalities
Cortisol
What is subclinical Cushings
• ACTH independent cortisol secretion not fully
restrained by pituitary feedback
• Found in up to 20% of adenomas
• To make diagnosis:
– Have to have adrenal adenoma
– Not cushingoid
– Have ACTH independent autonomous secretion
Subclinical Cushings Syndrome
For assymptomatic patients
•Overnight dexamethasone suppression test (1mg)
– enzyme inducers (eg anti epileptics) or uncontrolled
diabetes
– Pt can eat and drink normally.
– Tablet at 11pm then 9am cortisol

<50nmol/l
>140nmol/l

sens>95% spec 70-80%
sens 70% spec >95%
Evidence for harm from cortisol low grade
secretion ‘incidentalomas’
• Metabolic complications:
– hypertension
– obesity
– diabetes mellitus
– osteoporosis
What’s the evidence
• Lots of retrospective cross sectional studies
showing associated risks
• No prospective studies showing link to
mortality
• Not likely to progress to clinical Cushings
Tests to detect ACTH independent
autonomous secretion
Most surgical studies look for 2 abnormal tests but:
• UFC usually normal
• Midnight salivary cortisol usually normal
• Altered response to overnight dex
• ACTH usually low (ACTH <5pg/ml )
• Low DHEAS would support diagnosis (but often
normal and declines with age)
But…..
• Virtually impossible to recognise false positives
on dex testing
• What should be the cut off….
– NIH 138nmol/l
– Endo Soc guidelines suggest 50nmol/l for OVERT
Cushings
– Why not grey area where consideration to clinical
phenotype is considered (metabolic syndrome and
osteoporosis)?
Practical solution
• Overnight dex >138nmol/l
– 2nd test of cortisol hypersecretion (eg UFC, ACTH)
– Look for metabolic risk
– consider adrenalectomy if both positive and young or treat
metabolic risk factors (patient choice?!)

• 50 – 138nmol/l – look at metabolic risk factors
(HbA1c, DEXA, lipid profile, BP) and consider
treatment at lower threshold than Framlingham
• <50nmol/l – reassure and never repeat
How to treat?
• Treat cortisol excess
– Nocturnal metyrapone
– Surgical: adrenalectomy

• Treat metabolic complications
– Vit D / bisphos
– Metformin
– Antihypertensives

• GP: No follow up studies beyond 7 yrs so maybe role for GP to
monitor metabolic risk factors or be aware of it?
Evidence that adrenalectomy works
• Treating metabolic complications and treating
with late night metyrapone – evidence free
• Treating surgically – limited evidence
Main surgical studies
• Erbil: case controlled 28 pts
– 11SCS lead to ↓ BP post adrenalectomy↓

• Tsuiki 20pts SCS (followed 15-69M)
– 10 adrenalectomy: 8/10 improved
– 10 conservative: 5/10 worsened

• Toniati: prospective 45pts SCS (mean FU 8Y)
– 23 adrenalectomy: 2/3 N or improved BP and DM
– 22 conservative: some worsening
More surgical studies
• Sereg: retrospective uncontrolled followed 9
yrs
– 47/125 NON functioning had adrenalectomy
– 78 treated conservatively
– No benefit

• Chiodini 108pts followed 18-48M
– SCS recommend surgery + some pts without had
– Surgery – reduced BP
Issues to discuss
•
•
•
•

Where are they all?
Can we do a nurse protocol?
What are the most appropriate tests?
How long should they be followed for and
how?
• What constitutes a positive test and how
should they be treated?
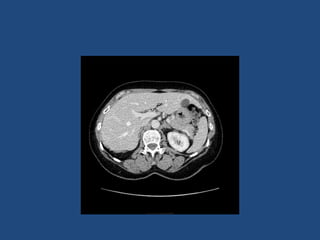
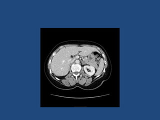
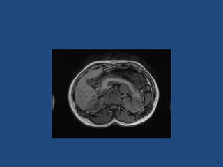
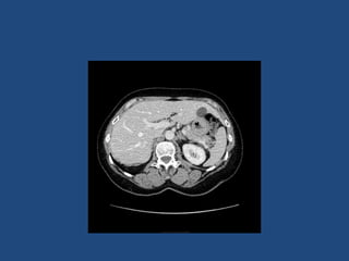
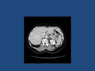
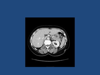
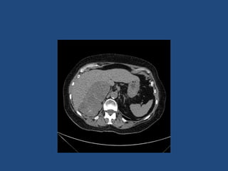
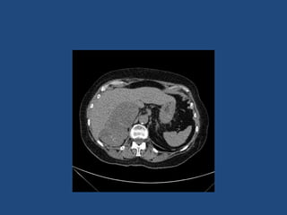
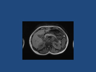
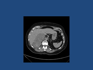
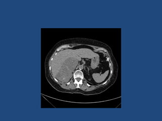
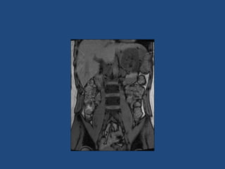
Adrenal imaging
Adrenocortical cancers
•
•
•
•

Incidence 0.5 to 2 per million
Bimodal: childhood and 4th to 5th decade
1.5 F : 1 M
60% are secretory
– High DHEAS suggestive (suppressed in adenomas)
– Check estradiol in males (more likely malignant)
– Allows tumour markers and predict post op
course
• Can be seen in syndromes: CAH, MEN, familial
polyposis
• Sporadic mutations in tumor suppressor gene
(TP53) seen in 1/3 adrenocortical ca
• Prognosis: <15% at 5 years if locally advanced
disease:
–
–
–
–

Stage 1: 60%
Stage 2: 58%
Stage 3: 24%
Stage 4: 0%
Imaging
•
•
•
•

>6cm high suspicion of malignancy
3-6cm repeat imaging in 3-6M
Delayed washout on contrast is suggestive
most are often inhomogeneous, irregular
margins
• Look for invasion of IVC
• Always do CAP and consider bone scan and
pet if in doubt
• Don’t ever biopsy (tumour spill)
Surgery
• Open adrenalectomy (ESMO clinical practice
guidelines suggests >10 adrenalectomies a year,
Dutch studies show improved survival if part of
cancer network)
• Laparoscopic can be considered if <8cm and not
obviously invasive
• Margin free resection only way to long term survival
(hence take kidney, IVC, liver as necessary)
• Consider resection of primary (even if
metastatic) as improved survival and
endocrinology
• Even seemingly complete resection initially:
50% chance of recurrence
• Surgery for recurrent disease good idea if
prolonged disease free interval, particularly if
chance of ‘complete’ resection
HIstology
• Histology: Challenging as no marker to suggest
malignancy
• Weiss score (>3): mitotis, atypical mitoses,
necrosis, venous invasion, capsular invasion,
sinusal invasion, nuclear atypia, diffuse
architecture and clear cell. Score >3 = suggests
malignancy
• Ki67: measure of proliferative activitiy useful
• Disease stage and margins most useful
predictor
Radiotherapy
• Consider to tumour bed if incomplete
resection
Post op treatment - Mitotane
• Evidence: case control study: 47 pts on Mitotane
(italy) compared to 130 italian / german pts not
offered – improved survival
• Who?
– Potential residual disease
– Ki67>10%
• Therapeutic mitotane considerably better outcome
than non therapeutic
• How long – minimum 2 years
Side effects
• Endocrine
• All patients should receive concomitant
glucocorticoids (as adrenolytic) and higher dose
(increased metabolic clearance).
• Mitotane increases CBG so measuring cortisol
unreliable
• May need thyroxine and testosterone
• Gastrointestinal
– Nausea and vomiting
– Diarrhoea
• Neurological
– Tremor
Chemotherapy – FIRM-ACT NEJM 2012
• FIRM-ACT trial (median survival 12-15M)
• Etoposide, Doxorubicin, Cisplatin (and
Mitotane) – response rate 23%
• Streptozotocin (Mitotane) – RR 9%
• No chemotherapy
• No increase in survival but , but better
response rates and progression free survival

Adrenal Incidentalomas

  • 1.
  • 2.
    To cover………. • • • • Epidemiology Chances ofprogression Imaging Assessment of functionality – Which tests – What is subclinical Cushings, what does it matter, how to treat • Implications for our service
  • 3.
    Definition • Adrenal mass>1cm discovered incidentally when investigating for something else • No clinical syndrome associated or presence of metastatic disease
  • 4.
    Background and Incidence •Prevalence around 4% (on CT) – Increasingly common with age – 1% at 40, 7% at 70 • History of malignant disease then metastasis in 50% of cases (frequently bilateral) – 2.5% adenomas are mets • Bilateral disease differential: – – – – – CAH Hyperplasia bilateral phaeos infiltrative diseases (mets) rare causes
  • 5.
    Hormonal secretion • Hormonallyactive in up to 12% – Phaeochromocytomas 5% – Cushing’s syndrome / Sub-clinical Cushing’s 5% or possibly more – Primary hyperaldosteronism / Conn’s syndrome 1% – Androgen secreting / virilising tumour <1%) • Remaining incidentalomas were ganglioneuromas, myelolipomas, or benign cysts
  • 6.
    Follow up -16 studies over 2-7yrs % Mean (%) 95% CI that↑ size 14.7 8-21 unchanged 68 46-90 that ↓ size 7 -2.4-16.4 Became malignant 0.2 0-0.4 Became functional 0.9 0.5-2.2 Develop Cushings 0.3 Dvp subclinical Cushings 0.3 Dvp phaeo 0.2 Dvp Conns 0 Cawood et al EJE 2009
  • 7.
    Imaging • CT betterat eliminating malignancy (dedicated CT looking at Hounsfield units (HU) and washout characteristics) – <10HU = benign (sens 71%, spec 100%) • MRI may characterise phaeos better • FDG-PET good for phaeos and cancer • FNA – consider if cancer history and >10HU on CT after exclusion of phaeo
  • 8.
    Imaging - size •>4cm 90% sensitivity carcinomas 24% specificity (ie only 24% cancer) • >6cm 25% chance of it being carcinoma • <2cm + hypodense then unlikely to grow • If change in size >1cm over 6 months consider resection • Guidelines suggest: – NIH: 2 CTs 6M apart – Young et al + UptoDate: 0,6,12,24m – BES: Repeat image – increase in size of 0.8cm over 6-12M consider surgery
  • 9.
    Risk of CT •Abdo CT = 10mSv (adrenal less but about same if delayed washout) = 3.3yrs background radiation • Lifetime absolute risk of cancer as consequence is 0.048% • 1 cancer related death for every 5000 scans in those >30yrs
  • 10.
    Practical suggestion • Mosthave not had dedicated CT (ie bottom of CT chest or CT colon) • If <4cm do dedicated adrenal CT 6 months after presentation – No need to rescan if no change in size (or <0.8cm) • If >4cm do dedicated adrenal CT when referred to get characteristics and consider repeat or MRI in a further 6 months if looks benign • <2cm and no change then discharge 2- 4cm monitor clinically for longer?
  • 11.
  • 12.
    Biochemistry – initialscreen • 2x 24hr metanephrines or single plasma metanephrine • Overnight dexamethasone suppression • Renin-aldosterone (if hypertensive or hypokalaemic)
  • 13.
    Phaeo: Metanephrines Urine • sensitivityand specificity of 91 – 98%) • 4x normal = diagnostic • Cost around £21 each • False positives: – Drugs (eg amitriptyline, phenoxybenzamine) ?doxazosin ? Mirtazepine – Sleep apnoea Plasma • If one or more are positive, measure plasma metanephrines (sensitivity around 80% - higher if inherited, good specificity) – Cost approx £51 – Disadv – need to be supine for 20mins – Certain foods leading to high readings: nuts, fruits, potatoes, tomatoes, beans
  • 14.
    Other tests • MIBGscan preoperatively if +ve • Consider Clonidine suppression test (0.3mg orally) plasma MN at base + after 3 hrs if doubt about diagnosis
  • 15.
    Drugs • If suspicionhigh start alpha blocakade prior to biochemical confirmation: – Doxazosin 1mg titrated up (even if normotensive) – Phenoxybenzaime 10mg bd up to 20mg qds (more complete blockade) if • extremely high metanephrines or • initial BP >160/90. • SE: postural hypotension, nasal stuffiness and erectile problems • Calcium channel blockers if unable to tolerate alpha or beta blockade • Blocked > 3 weeks prior to surgery
  • 16.
    Diagnosis of Phaeo •Consider genetic screening for VHL / RET/ succinate dehydrogenase (SDH) (+ve in 25%) especially in the young or extra adrenal disease. • SDHB – strong association with malignancy • 24% have germline mutation even if ‘sporadic’ • Familial syndromes less likely to be malignant (unless SDH) • Follow up > 5 years (long term risk of recurrence 1015%) • If large preop tumour consider baseline scan 6M postop
  • 17.
    Conns – RAAratio • Measure if hypertensive or hypokalaemic • exclude aldosterone antagonists for 6 weeks (and ideally ACE and Ang II but effect prob minimal) • b blockers suppress renin – However normal test on treatment is reassuring • Ideally control BP on Ca channel blockers, Doxazosin and hydralazine • Ensure diet is not salt restricted or load with slow na for 3 days (120mmol/day = 3 tabs QDS)
  • 18.
    RAA cont • Positive= Aldosterone to renin ratio >20 – treat with spironolactone or epleronone • Venous sampling – If young (<40yrs), lesion >1cm with normal contralateral adrenal then reasonable to not venous sampling – Only do if patient would consider adrenalectomy (right adrenal vein cannulation is difficult) – Corrected aldosterone/cortisol ratios of > 4 to 1 = likely unilateral • Untreated aldosterone excess can lead to – – – – myocardial fibrosis left ventricular hypertrophy increased mortality from congestive heart failure more ischemic events, and increased vascular and clotting abnormalities
  • 19.
  • 20.
    What is subclinicalCushings • ACTH independent cortisol secretion not fully restrained by pituitary feedback • Found in up to 20% of adenomas • To make diagnosis: – Have to have adrenal adenoma – Not cushingoid – Have ACTH independent autonomous secretion
  • 21.
    Subclinical Cushings Syndrome Forassymptomatic patients •Overnight dexamethasone suppression test (1mg) – enzyme inducers (eg anti epileptics) or uncontrolled diabetes – Pt can eat and drink normally. – Tablet at 11pm then 9am cortisol <50nmol/l >140nmol/l sens>95% spec 70-80% sens 70% spec >95%
  • 22.
    Evidence for harmfrom cortisol low grade secretion ‘incidentalomas’ • Metabolic complications: – hypertension – obesity – diabetes mellitus – osteoporosis
  • 23.
    What’s the evidence •Lots of retrospective cross sectional studies showing associated risks • No prospective studies showing link to mortality • Not likely to progress to clinical Cushings
  • 24.
    Tests to detectACTH independent autonomous secretion Most surgical studies look for 2 abnormal tests but: • UFC usually normal • Midnight salivary cortisol usually normal • Altered response to overnight dex • ACTH usually low (ACTH <5pg/ml ) • Low DHEAS would support diagnosis (but often normal and declines with age)
  • 25.
    But….. • Virtually impossibleto recognise false positives on dex testing • What should be the cut off…. – NIH 138nmol/l – Endo Soc guidelines suggest 50nmol/l for OVERT Cushings – Why not grey area where consideration to clinical phenotype is considered (metabolic syndrome and osteoporosis)?
  • 26.
    Practical solution • Overnightdex >138nmol/l – 2nd test of cortisol hypersecretion (eg UFC, ACTH) – Look for metabolic risk – consider adrenalectomy if both positive and young or treat metabolic risk factors (patient choice?!) • 50 – 138nmol/l – look at metabolic risk factors (HbA1c, DEXA, lipid profile, BP) and consider treatment at lower threshold than Framlingham • <50nmol/l – reassure and never repeat
  • 27.
    How to treat? •Treat cortisol excess – Nocturnal metyrapone – Surgical: adrenalectomy • Treat metabolic complications – Vit D / bisphos – Metformin – Antihypertensives • GP: No follow up studies beyond 7 yrs so maybe role for GP to monitor metabolic risk factors or be aware of it?
  • 28.
    Evidence that adrenalectomyworks • Treating metabolic complications and treating with late night metyrapone – evidence free • Treating surgically – limited evidence
  • 29.
    Main surgical studies •Erbil: case controlled 28 pts – 11SCS lead to ↓ BP post adrenalectomy↓ • Tsuiki 20pts SCS (followed 15-69M) – 10 adrenalectomy: 8/10 improved – 10 conservative: 5/10 worsened • Toniati: prospective 45pts SCS (mean FU 8Y) – 23 adrenalectomy: 2/3 N or improved BP and DM – 22 conservative: some worsening
  • 30.
    More surgical studies •Sereg: retrospective uncontrolled followed 9 yrs – 47/125 NON functioning had adrenalectomy – 78 treated conservatively – No benefit • Chiodini 108pts followed 18-48M – SCS recommend surgery + some pts without had – Surgery – reduced BP
  • 31.
    Issues to discuss • • • • Whereare they all? Can we do a nurse protocol? What are the most appropriate tests? How long should they be followed for and how? • What constitutes a positive test and how should they be treated?
  • 32.
  • 60.
    Adrenocortical cancers • • • • Incidence 0.5to 2 per million Bimodal: childhood and 4th to 5th decade 1.5 F : 1 M 60% are secretory – High DHEAS suggestive (suppressed in adenomas) – Check estradiol in males (more likely malignant) – Allows tumour markers and predict post op course
  • 61.
    • Can beseen in syndromes: CAH, MEN, familial polyposis • Sporadic mutations in tumor suppressor gene (TP53) seen in 1/3 adrenocortical ca • Prognosis: <15% at 5 years if locally advanced disease: – – – – Stage 1: 60% Stage 2: 58% Stage 3: 24% Stage 4: 0%
  • 62.
    Imaging • • • • >6cm high suspicionof malignancy 3-6cm repeat imaging in 3-6M Delayed washout on contrast is suggestive most are often inhomogeneous, irregular margins • Look for invasion of IVC • Always do CAP and consider bone scan and pet if in doubt • Don’t ever biopsy (tumour spill)
  • 63.
    Surgery • Open adrenalectomy(ESMO clinical practice guidelines suggests >10 adrenalectomies a year, Dutch studies show improved survival if part of cancer network) • Laparoscopic can be considered if <8cm and not obviously invasive • Margin free resection only way to long term survival (hence take kidney, IVC, liver as necessary)
  • 64.
    • Consider resectionof primary (even if metastatic) as improved survival and endocrinology • Even seemingly complete resection initially: 50% chance of recurrence • Surgery for recurrent disease good idea if prolonged disease free interval, particularly if chance of ‘complete’ resection
  • 65.
    HIstology • Histology: Challengingas no marker to suggest malignancy • Weiss score (>3): mitotis, atypical mitoses, necrosis, venous invasion, capsular invasion, sinusal invasion, nuclear atypia, diffuse architecture and clear cell. Score >3 = suggests malignancy • Ki67: measure of proliferative activitiy useful • Disease stage and margins most useful predictor
  • 66.
    Radiotherapy • Consider totumour bed if incomplete resection
  • 67.
    Post op treatment- Mitotane • Evidence: case control study: 47 pts on Mitotane (italy) compared to 130 italian / german pts not offered – improved survival • Who? – Potential residual disease – Ki67>10% • Therapeutic mitotane considerably better outcome than non therapeutic • How long – minimum 2 years
  • 68.
    Side effects • Endocrine •All patients should receive concomitant glucocorticoids (as adrenolytic) and higher dose (increased metabolic clearance). • Mitotane increases CBG so measuring cortisol unreliable • May need thyroxine and testosterone
  • 69.
    • Gastrointestinal – Nauseaand vomiting – Diarrhoea • Neurological – Tremor
  • 70.
    Chemotherapy – FIRM-ACTNEJM 2012 • FIRM-ACT trial (median survival 12-15M) • Etoposide, Doxorubicin, Cisplatin (and Mitotane) – response rate 23% • Streptozotocin (Mitotane) – RR 9% • No chemotherapy • No increase in survival but , but better response rates and progression free survival

Editor's Notes

  • #5 mean 1.9%, median 1.4%, compared to mean 4.4–4.7%, (Table 2)). Similarly, when compared with earlier inclusive reviews, these selected studies find the prevalence of metastasis is less than half (mean 0.7%, median 0.2%, compared to mean 2.3%), the prevalence of phaeochromocytoma is two thirds (mean 3.1% compared to 5.2%), the prevalence of aldosteronoma is half (mean 0.6% compared to 1.1%), while the prevalence of subclinical Cushing’s syndrome is similar (mean 6.4%, median 6.0%, compared to mean 6.6%).
  • #7 Evidence that normal secretion may become abnormal over years. Barzon L, Fallo F, Sonino N, Boscaro M. Development of overt Cushing&apos;s syndrome in patients with adrenal incidentaloma. Eur J Endocrinol 2002;146:61-66 
Libe R, Dall&apos;Asta C, Barbetta L, Baccarelli A, Beck-Peccoz P, Ambrosi B. Long-term follow-up study of patients with adrenal incidentalomas. Eur J Endocrinol 2002;147:489-494 1.     Libe R, Dall&apos;Asta C, Barbetta L, Baccarelli A, Beck-Peccoz P, Ambrosi B. Long-term follow-up study of patients with adrenal incidentalomas. Eur J Endocrinol 2002;147:489-494 
CrossRef | Web of Science | Medline 2.     48 Bulow B, Jansson S, Juhlin C, et al. Adrenal incidentaloma -- follow-up results from a Swedish prospective study. Eur J Endocrinol 2006;154:419-423 
CrossRef | Web of Science | Medline 3.     49 Barzon L, Scaroni C, Sonino N, Fallo F, Paoletta A, Boscaro M. Risk factors and long-term follow-up of adrenal incidentalomas. J Clin Endocrinol Metab 1999;84:520-526
  • #9 Size indicating malignant potential Angeli A, Osella G, Ali A, Terzolo M. Adrenal incidentaloma: an overview of clinical and epidemiological data from the National Italian Study Group. Horm Res 1997;47:279-283
  • #14 Clinically silent phaeos can be lethal Sutton MG, Sheps SG, Lie JT. Prevalence of clinically unsuspected pheochromocytoma: review of a 50-year autopsy series. Mayo Clin Proc Biopsying phaeos 1.     Casola G, Nicolet V, vanSonnenberg E, et al. Unsuspected pheochromocytoma: risk of blood-pressure alterations during percutaneous adrenal biopsy. Radiology 1986;159:733-735 
Web of Science | Medline 2.     47 McCorkell SJ, Niles NL. Fine-needle aspiration of catecholamine-producing adrenal masses: a possibly fatal mistake. AJR Am J Roentgenol De Jong et al JCEM 2009 FDG – PET better for looking at metastatic phaeo (Particularly good in SDHB mutations – which metastasis more than SDHD) Lit review : Jafri and Maher 2011 Malignant more likely to have a mutation
  • #18 Don’t need to discontinue all medication to assess COnns Gallay, B.J., Ahmad, S., Xu, L., Toivola, B. &amp; Davidson, R.C. (2001) Screening for primary aldosteronism without discontinuing hypertensive medications: plasma aldosterone-renin ratio. American Journal of Kidney Diseases, 37, 699–705. 20 Schwartz, G.L. &amp; Turner, S.T. (2005) Screening for primary aldosteronism in essential hypertension: diagnostic accuracy of the ratio of plasma aldosterone concentration to plasma renin activity. Clinical Chemistry, 51, 386–394. Mulatero, P., Rabbia, F., Milan, A., Paglieri, C., Morello, F., Chiandussi, L. &amp; Veglio, F. (2002) Drug effects on aldosterone/ plasma renin activity ratio in primary aldosteronism. Hypertension, 40, 897–902. 42 Nishizaka, M.K., Pratt-Ubunama, M., Zaman, M.A., Cofield, S. &amp; Calhoun, D.A. (2005) Validity of plasma aldosterone-to-renin activity ratio in African American and white subjects with resistant hypertension. American Journal of Hypertension, 18, 805–812. 43 Giacchetti, G., Ronconi, V., Lucarelli, G., Boscaro, M. &amp; Mantero, F. (2006) Analysis of screening and confirmatory tests in the diagnosis of primary aldosteronism: need for a standardized protocol. Journal of Hypertension, 24, 737–745. Seifarth, C., Trenkel, S., Schobel, H., Hahn, E.G. &amp; Hensen, J. (2002) Influence of antihypertensive medication on aldosterone and renin concentration in the differential diagnosis of essential hypertension and primary aldosteronism. Clinical Endocrinology, 57, 457–465.
  • #23 Surgery in adrenals: Erbil Y, Ademoglu E, Ozbey N, et al. Evaluation of the cardiovascular risk in patients with subclinical Cushing syndrome before and after surgery. World J Surg 2006;30:1665-1671  Chiodini I, Tauchmanova L, Torlontano M, et al. Bone involvement in eugonadal male patients with adrenal incidentaloma and subclinical hypercortisolism. J Clin Endocrinol Metab 2002;87:5491-5494  Rossi R, Tauchmanova L, Luciano A, et al. Subclinical Cushing&apos;s syndrome in patients with adrenal incidentaloma: clinical and biochemical features. J Clin Endocrinol Metab 2000;85:1440-1448  Terzolo M, Pia A, Ali A, et al. Adrenal incidentaloma: a new cause of the metabolic syndrome? J Clin Endocrinol Metab 2002;87:998-1003  Tauchmanova L, Rossi R, Biondi B, et al. Patients with subclinical Cushing&apos;s syndrome due to adrenal adenoma have increased cardiovascular risk. J Clin Endocrinol Metab 2002;87:4872-4878 
  • #26 JCEM 2010: 95:2618-2620 (Paul Stewart)Chiodini review JCEM 2011Elamin et al JCEM 2008: 93:1553 - 1562
  • #27 1. Howlett TA, Drury PL, Perry L, Doniach I Rees LH, Besser GM. Diagnosis and management of ACTH dependent Cushing’s syndrome: comparison of the features seen in ectopic and pituitary ACTH production. Clin Endocrinol 1986; 24:699-713. 2. Liddle GW. Tests of pituitary-adrenal suppressibility in the diagnosis of Cushing’s syndrome. J Clin Endocrinol Metab 1960;20:1539-156O. Cut off of 138nmol/l for o/n dex suppression 1.     Nugent CA, Nichols T, Tyler FH. Diagnosis of Cushing&apos;s syndrome: single dose dexamethasone suppression test. Arch Intern Med 1965;116:172-176 
Tsagarakis S, Vassiliadi D, Thalassinos N. Endogenous subclinical hypercortisolism: diagnostic uncertainties and clinical implications. J Endocrinol Invest 2006;29:471-482
  • #29 Erbil Y, Ademoglu E, Ozbey N, et al. Evaluation of the cardiovascular risk in patients with subclinical Cushing syndrome before and after surgery. World J Surg 2006;30:1665-1671 
Rossi R, Tauchmanova L, Luciano A, et al. Subclinical Cushing&apos;s syndrome in patients with adrenal incidentaloma: clinical and biochemical features. J Clin Endocrinol Metab 2000;85:1440-1448 
Emral R, Uysal AR, Asik M, et al. Prevalence of subclinical Cushing&apos;s syndrome in 70 patients with adrenal incidentaloma: clinical, biochemical and surgical outcomes. Endocr J 2003;50:399-408
  • #32 References ·     American Association of Clinical Endocrinologists and American Association of Endocrine Surgeons Medical Guidelines for the Management of Adrenal Incidentalomas 2009 ·     Young WF. The incidentally discovered adrenal mass NEJM 2007 ·     Nieman L. Adrenal incidentalomas JCEM 2010: 95(9):4106 ·     Zieger et Al. Medical and Surgical Evaluation and treatment of adrenal incidentalomas . JCEM (2011): 96(7):2004-2015 ·     Chiodini I. Diagnosis and treatment of subclinical hypercortisolism. JCEM 2011: 96(5): 1223-1236