Patient 6
Patient 6
* male
* 61 years
* patient’s request:
- Improvement of the esthetics
of the teeth in the upper jaw
!
- natural looking but color
little bit brighter
* medical condition:
- thrombosis
- medication: anti-coangulant
Facial Analysis
Digital Facebow
Facial Analysis
Facial Analysis
excessive anterior
gingival display
anterior gummy
smile
extra-oral examination
* horizontal and vertical
reference lines:
!
- with in normal limits
- facial = dental midline
(1/2 mm to the right)
!
* in the anterior maxilla
extended soft-tissue display
Facial Analysis Lips in Repose
+/- 3 mm tooth structure
Facial Analysis Full Smile
Lip Dynamics WNL
Facial Analysis Full Smile
Anterior Gummy Smile
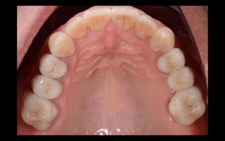
Dental Analysis
8 mm
9 mm
envelope of function??
Dental Analysis Wear
Dental Analysis
Dental Analysis Function
no tender muscles, no joint problems
FunctionDental Analysis
Dental Analysis Function
Central incisors
retroclined
intra-oral examination:
composite restoration metal ceramic crown
C
e
n
t
r
i
c
R
e
l
a
t
i
o
n
possibility to open the envelope of function
intra-oral examination/study cast:
cro = mip
radiographic examination
radiographic examination
periodontal examination
constricted envelope of function due to loss of
anatomical form of teeth / parafunction (airway
issue?)
diagnosis
anterior gummy smile due to dental alveolar
eruption af anterior teeth
recessions due to abrasion
short anterior teeth (12-22)
recessions due to abrasion
what are the patient’s financial constraints? for now
treatment limited to the upper jaw
how could we satisfy the patient’s aesthetic and
functional concerns?
should we add to the incisal edges to lengthen
the anterior teeth? If so should we open the vdo?
Is the patient willing to go through orthodontic
treatment, periodontal surgery or to manage teeth
restoratively?
how to manage the amount of wear?
primary concerns
how to create better length/width ratio’s on
the upper anterior teeth
can we restore this patient predictably with
long-term strategy?
protect remaining teeth from wear/
open envelope op function
restore a stable occlusion in centric
related occlusion with anterior
guidance
satisfy aesthetic concerns
develop long term-strategy
treatment objectives
provisional restoration phase of 3
months to check, biology, function and
aesthetics
treatment plan
replace old composites for new ones
adjust occlusion to create cro = mip
prep teeth (backwards planning) and
restore with provisional restorations
to try out aesthetics adjustments,
function and phonetics
copy provisionals to ceramic restorations
re-evaluate provisionals
night guard
maintenance program
functional/aesthetic wax-up in centric relation
functional/aesthetic wax-up in centric relation
wax-up used for a preparation guide
“minimal invasive”
provisional restorations (chair side made)
test aesthetics, function, phonetics with the provisional
restorations (chair side made)
Light Transmission
Adhesive Techniques
Try-in ceramics
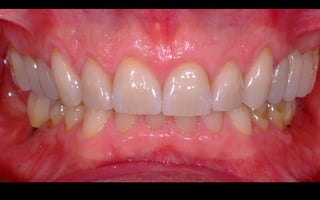
Final Result
Final Result
20 Month Result
radiographic follow up
5 Year Result
Patient 6
Patient 6
Patient 6
Patient 6
Patient 6

Patient 6