Patient 6
Patient 6 
* male 
* 61 years 
* medical condition: 
- thrombosis 
- medication: anti-coangulant 
* patient’s request: 
- Improvement of the esthetics 
of the teeth in the upper jaw 
! 
- natural looking but color 
little bit brighter
Facial Analysis 
Digital Facebow
Facial Analysis
Facial Analysis 
excessive anterior 
gingival display 
anterior gummy 
smile
extra-oral examination 
* horizontal and vertical 
reference lines: 
! 
- with in normal limits 
- facial = dental midline 
(1/2 mm to the right) 
! 
* in the anterior maxilla 
extended soft-tissue display
Facial Analysis Lips in Repose 
+/- 3 mm tooth structure
Facial Analysis Full Smile 
Lip Dynamics WNL
Facial Analysis Full Smile 
Anterior Gummy Smile
Dental Analysis 
8 mm 
9 mm 
envelope of function??
Dental Analysis Wear
Dental Analysis
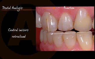
Dental Analysis Function 
no tender muscles, no joint problems
Dental Analysis Function
Dental Analysis Function 
Central incisors 
retroclined
composite restoration metal ceramic crown 
intra-oral examination:
C 
e 
n 
t 
r 
i 
c 
R 
e 
l 
a 
t 
i 
o 
n 
intra-oral examination/study cast: 
cro = mip 
possibility to open the envelope of function
radiographic examination
radiographic examination
periodontal examination
anterior gummy smile due to dental alveolar 
eruption af anterior teeth 
short anterior teeth (12-22) 
constricted envelope of function due to loss of 
anatomical form of teeth / parafunction (airway 
issue?) 
recessions due to abrasion 
recessions due to abrasion 
diagnosis
what are the patient’s financial constraints? for now 
treatment limited to the upper jaw 
how could we satisfy the patient’s aesthetic and 
functional concerns? 
how to create better length/width ratio’s on 
the upper anterior teeth 
should we add to the incisal edges to lengthen 
the anterior teeth? If so should we open the vdo? 
Is the patient willing to go through orthodontic 
treatment, periodontal surgery or to manage teeth 
restoratively? 
how to manage the amount of wear? 
can we restore this patient predictably with 
long-term strategy? 
primary concerns
protect remaining teeth from wear/ 
open envelope op function 
restore a stable occlusion in centric 
related occlusion with anterior 
guidance 
provisional restoration phase of 3 
months to check, biology, function and 
aesthetics 
satisfy aesthetic concerns 
develop long term-strategy 
treatment objectives
replace old composites for new ones 
adjust occlusion to create cro = mip 
prep teeth (backwards planning) and 
restore with provisional restorations 
to try out aesthetics adjustments, 
function and phonetics 
re-evaluate provisionals 
copy provisionals to ceramic restorations 
night guard 
maintenance program 
treatment plan
functional/aesthetic wax-up in centric relation
functional/aesthetic wax-up in centric relation
wax-up used for a preparation guide
“minimal invasive”
provisional restorations (chair side made)
test aesthetics, function, phonetics with the provisional 
restorations (chair side made)
Light Transmission
Adhesive Techniques
Try-in ceramics
Final Result
Final Result
20 Month Result
radiographic follow up
5 Year Result
6 eaed
6 eaed
6 eaed
6 eaed
6 eaed

6 eaed