田徑運動的 運動傷害 博愛醫院 復健科 潘健理 醫師 http://www.ucsbdailynexus.com/story_images/2005-05-11/jh11ma05-track-mccuen.jpg
http://images.amazon.com/images/P/0300100833.01.LZZZZZZZ.jpg
http://www.okxy.com/images/528-1.jpg
大多數田徑選手的運動傷害 , 來自於訓練過程中的過度使用 . Most injuries are overuse injuries  that occur during training.
I  急性的運動傷害
急性的運動傷害 , 包括 肌肉拉傷 muscle strain 剝離性損傷 avulsions 壓力性骨折 stress fracture
http://www.cbc.ca/gfx/topstory/sports/boswell_mark0712.jpg
http://triangletrigger.com/images/picsportinjury.jpg
http://www.nonprofitmanagementgroup.com/hurdle.www.modernhealth.co.nz.jpg
http://www.sportsmed.buffalo.edu/info/hamstring.gif
http://natural-talents.tripod.com/sitebuildercontent/sitebuilderpictures/.pond/sprinting-100meter.jpg.w300h202.jpg
http://www7.tamu-commerce.edu/hpe/sportsmed/trivia/pics/sartorius.jpg   http://www.ucd.ie/vetanat/radiology2001/skeletalabnormalities/avulsion.jpg
縫匠肌之剝離性骨折 This is a radiograph of the anterior superior illiac spine of the pelvis of a high school sprinter. Note the bony fragment that has dissociated from the pelvis (arrow). The patient pulled the bone fragment off the pelvis at the point of the Sartorious muscle attachement. The Sartorious is attached at the point of a growth plate, called an apopoysis, which renders the bone weaker and subject to possible fracture at times of intense stress.  http://www.vh.org/adult/provider/radiology/icmrad/skeletal/Parts/Avulsion.jpg
 
http://news.bbc.co.uk/media/images/40008000/jpg/_40008698_4_1500olymp96_298.jpg
腳掌骨 ( 蹠骨 ) 之壓力性骨折 http://www.mikety.net/X-rays/Fx-mt.ANS.jpeg
http://www.people.vcu.edu/~jwayne/mjbrespic.jpg
http://casweb.cas.ou.edu/pbell/Histology/Images/Slides/Bone/16.bone.cells.100.1.jpg
http://cellbio.utmb.edu/microanatomy/bone/devbone6.jpg
http://faculty.une.edu/com/abell/histo/osteoclast.jpg
http://www.anatomy.dal.ca/Human_Histology/Lab6/32_lh6.JPG
http://mattbrennan.ca/libra.jpg
壓力性骨折 Stress Fracture 疲勞骨折 Fatigue fracture   骨質不良性骨折 Insufficiency fracture http://www.emedicine.com/radio/topic783.htm
http://www.med.umich.edu/1libr/sma/stressfx.gif
https://www.mylifepath.com/bsc/hw/images/mayo/inline/fsm6_stressfract.jpg
 
http://www.gentili.net/images/200/stressfxkneeapx1600.jpg
 
http://www.parksidemri.com/physician/casestudy/case-win03/images/case7.jpg
http://www.parksidemri.com/physician/casestudy/case-win03/fig6.html
http://www.thieme-connect.com/bilder/radu2d/200303/up004-10c
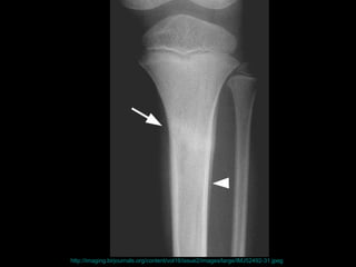
http://imaging.birjournals.org/content/vol16/issue2/images/large/IMJ52492-31.jpeg
http://kingston.optimuscrime.com/images/foot%20in%20pain.JPG
http://www.hughston.com/hha/b_13_4_6a.jpg
田徑的運動傷害多位於下肢 most injuries involve lower extremities
II  致命的運動傷害
致命的運動傷害 , 包括 猝死 嚴重脫水 熱衰竭 外傷性腦傷
http://www.aheartforsports.org/images/piechart.jpg
肥厚性心肌病變 http://maxshouse.com/Hypertrophic_%20Cardiomyopathy/Hypertrophic_Cardiomyopathy_Dia.jpg
http://www.ekgreading.com/Hypertrophic%20cardiomyopathy.jpg
 
http://www.heartcenteronline.com/myheartdr/images/article/ACFA2.gif
Marfans  syndrome http://medimages.healthopedia.com/large/marfans-syndrome.jpg
http://www.hughston.com/hha/b_12_2_4a.jpg
http://www.hughston.com/hha/b_12_2_4c.jpg   http://www.io.com/~cortese/pix/marfan/hand_back.jpg
http://www.eurekah.com/dbimages/Robinson-Child.jpg
http://medgen.genetics.utah.edu/photographs/diseases/high/418b.gif
http://info.med.yale.edu/intmed/cardio/chd/e_marfan/prolapse_both.jpg
http://www.bcm.edu/findings/vol2/is3/images/aortic-dissection.jpg
http://path.upmc.edu/cases/case84/images/gross1.jpg
http://www.revilocartoons.com/sketchbook%20/Concussion%20time.jpg
http://people.uleth.ca/~ross/leth/photo/2000/karla.jpg
http://www.hecc.net/concussion.cover.jpg
http://www.emedicine.com/neuro/images/687TPA.jpg
http://www.home-water-purifiers-and-filters.com/images/dehydration.gif
http://www.mindmined.com/gallery/tyler_mcpherson/16_dehydration_hallucination.jpg
http://cache.boston.com/marathon/images/2004/tired_marathoner2.jpg
http://www.io.com/~dme/blog/archives/acl-heat-stroke.jpg
http://www.safetylca.org/images/19-botlft.gif
http://www.doc.state.ok.us/Training/heat1.jpg
http://www.azfamily.com/images/news/stories/20030709_heat-stroke.jpg
III  累積性的運動傷害
http://www.aggieathletics.com/images/headlines/full/track-generic1.jpg
短跑 sprints 100/200/400 m
http://www.berecruited.com/images/sports/track.gif
http://track.conncoll.edu/05%20images/Rosen.jpg
http://athleticscholarships.net/track%20runners.jpg
http://www.phon.ucl.ac.uk/home/nina/images/athletics.jpg
http://rrhighspeed.com/graphics/intro_birdy.gif
http://www.rjfisher.lgusd.k12.ca.us/newspaper/pop/Images/Incredibles10.jpg
http://news.bbc.co.uk/media/images/41334000/jpg/_41334967_asafa203_bodyap.jpg
http://news.bbc.co.uk/media/images/39995000/jpg/_39995272_rawlinson_getty300.jpg
跨欄賽跑 hurdles 100/400 m
http://www.greenhill.org/athletics/sports-files/coed_sports/track%20&%20field/images/track_front1.jpg
http://www.prin.edu/college/athletics/track/images/2003-2004/schedule.jpg   http://www.bu.edu/track/profilephotos/Erin_Cadden_hurdling.jpeg
http://www.hkaaa.com/hkaaa/news/image006.jpg
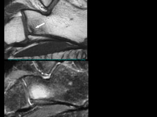
Superior corner of pubic symphysis avulsion in a 16 year old fencer
接力賽跑 relays
http://www.seattleacademy.org/mod/userpage/images/Track%20and%20Field.jpg
長距離賽跑 distance 3000/5000/10000m/marathon
http://www.mgoblue.com/images/track-w/04-05/feldkamp.jpg
http://www.mensracing.com/photos/2004/ncaaoutdoor04/highlightssat18.jpg
http://www.mensracing.com/photos/2004/olympictrials04/dayone137.jpg
http://www.marathonphysicaltherapy.com/images/titleimages/cross%20country.jpg   http://www.racewalk.com/HowTo/BrakingForceNormalStride.jpg
http://www.hypertension-consult.com/Secure/textbookarticles/images/106pic6.jpg
http://uwcme.org/site/courses/legacy/threehourtour/images/LatCalcaneus1Arrows.jpg
http://imaging.birjournals.org/content/vol15/issue4/images/large/IMJ36974-8.jpeg
 
 
the failure of the skeleton to withstand submaximal forces over time.  the failure of the skeleton to withstand submaximal forces over time.  http://www.mypacs.net/repos/mpv3_repo/viz/full/17093/854689.jpg
http://imaging.birjournals.org/content/vol15/issue4/images/large/IMJ35942-13.jpeg
 
http://www.emedicine.com/orthoped/images/20482048Dsc00913.jpg   http://www.kneeguru.co.uk/assets/images/plica03.jpg
 
跳遠 long jumps
http://archive.touchlinephoto.com:8080/picoftheweek/weeks/PicturesoftheYear2003/images/prevs/Mokoena%20airborne%20long%20jump.jpg
http://www.newzcentral.com/viewfinder/zumwalt/Artwork%20folder/jump.jpg
http://www.tribuneindia.com/2002/20021013/sp4.jpg
http://www.lakecountyparks.org/Long%20Jump.gif
 
 
三級跳遠 triple jump
http://www.med.unc.edu/chms/Pictures/SportBiomechFigure1.jpg
http://www.socc.edu/athletics/track/images/tk_view8.JPG
http://www.devalcol.edu/athletics/images/photo_trackfield_M_front.jpg   http://www.ragincajuns.com/Track/Stories/Willis1.jpg
http://news.bbc.co.uk/olmedia/1440000/images/_1441857_jones_smith300.jpg
跳高 high jump
http://www.georgefox.edu/athletics/track/photogallery/hagen.gif
http://www.chez.com/knar/images/hauteur-hemingway.jpg
http://www.physsportsmed.com/issues/1997/graphics/0897/obrien1.gif
http://www.vh.org/adult/provider/orthopaedics/sportsinjuries/images/Image5.gif
椎弓解離症 spondylolysis
 
http://rad.usuhs.mil/medpix/tachy_pics/thumb/synpic8717.jpg
 
標槍 javelin
http:// www.athletics.caltech.edu/sports/graphics/kristen_zortman_action_1.jpg   http://www.bryantbulldogs.com/images/track/mt-nessralla.jpg
http://www.whitman.edu/athletics/Flashback/1996-97/Spotlight/images/track-mw/amanda_jav2.jpg
http://www.athletics.org.au/gallery/images/photos/L_2004240074021.jpg
後三角肌筋膜症候群 myofascial pain syndrome of the posterior deltoid muscle http://www.sportsinjuryclinic.net/gallery/muscle/deltoid.jpg
撐竿跳 pole vault
http://www.dailynexus.com/story_images/2004-05-17/dhull17may04-track.jpg
http://www.uwstout.edu/athletics/mtf.jpg
http://www.javelinaathletics.com/track/2005/images/GodseyACU4.jpg
http://www.roberts.edu/Athletics/Outdoor%20Track%20and%20Field/outdoor%20track%20and%20field.jpg
http://web.mit.edu/6.933/www/Fall2000/edgerton/www/graphics/PoleVault-Edgerton.jpg
http://www.gregkucera.com/images/biel_head_in_ground.jpg
                                                                                                                                                      THE PHYSICIAN AND SPORTSMEDICINE  - VOL 30 - NO. 6 - JUNE 2002   Pole Vault Deaths Spur Safety Concerns  A  recent rash of pole vaulter
鉛球 shot-put
http://www.benedict.edu/exec_admin/athletics/track_n_field/images/bc-2004-track_n_field_at_livingstone_freeman_classic01-jimal_deas.jpg
http://www.indstate.edu/athletic/track/Gallery/Track01.jpg
http://aztecthrowers.homestead.com/Dan-Throwing.jpg
http://www.yoursportsdoc.com/media/men_tear.jpg   http://www.leadingmd.com/patientEd/assets/incomplete_tear.gif
 
鏈球 hammer
http://sports.china.com/zh_cn/2004/photo/11022045/20040826/images/11851073_2004082614155238221000.jpg
http://cimg.163.com/2004/2004/8/20/200408201856190eae4.jpg
鐵餅 discus
http://www.coolrunning.com/results/00/ma/Jun3_MIAA_photo2.jpg
http://www.nymidtownorthopedics.com/images/disc_thrower.jpg
鐵人三項 triathlon
http://www.sport-image.com/images/poser/ATHLETISME/TRIATHLON.JPG
 
IV  環境相關之運動傷害
 
 
 
 
 
V.  女性運動員之 “ Female athlete triad”
http://www.casm-acms.org/CD%20Rom%20Orders/CD%20Ord1.jpg
 
 
 
 
 
http://www.abcbodybuilding.com/Amenorrhea_files/image002.jpg
VI.  田徑運動傷害的治療
 
http://www.take-care.com/img/foot/gelheel.jpg
VII. 田徑運動傷害的預防
田徑選手的工具
http://www.runningfree.ca/IMAGES/NB_RS240YS.jpg
http://www.century-sporting.com/images/GN104-9094.jpg
http://athle.running.free.fr/images_publiees/chaussures/mizuno/pointes/saut/s104_triple_jump.jpg   TRIPLE JUMP/ POLE VAULT
http://images.amazon.com/images/P/B0000C1XVC.01-A1YS16X5YAAFUH._SCMZZZZZZZ_.jpg
田徑選手的訓練
http://www.ftmeade.army.mil/SoundOFF/archives/SO2002/Jan03/images/Jan3-highsteppers.jpg
 
http://www.sportsteacher.co.uk/lessonplans123/images/long-jump.gif
田徑選手的場地
http://www.rhodes.edu/athletics/BCLC/images/GIFs_JPEGs/track/track_complex.gif
http://www.berea.edu/buildings/seaburycenter/images/sc-indoortrack250.jpg
http://news.bbc.co.uk/olmedia/840000/images/_841548_t_pursuit150.jpg   http://www.gardenrailsystem.com/images/135-3504c_IMG.jpg
http://www.trackoutlet.com/images/products/1/lg/long_jump_triple_jump_take-off_board.jpg
http://www.sportsfieldspecialties.com/images/ssitakeoffcollege8.gif
[email_address] http://www.estatesreview.com/images/aprmay05/02-2.jpg

2