ГБОУ ВПО ЮУГМУ
Минздрава России
Кафедра Инфекционных болезней
Стрептококкозы.
Вшивцева А.С.,
509 гр
План:
Актуальность проблемы.
Характеристика возбудителя.
Ангина.
Скарлатина.
Рожа.
Некротизирующий фасциит.
Заключение.
К стрептококковой (группы А) инфекции относят группу антропонозных
заболеваний, вызываемых бактерией вида Streptococcus pyogenes или
стрептококком серологической группы А (СГА) преимущественно с
воздушно-капельным путем передачи возбудителя, характеризующихся
поражением верхних дыхательных путей, кожных покровов с местными
нагноительными процессами и развитием постстрептококковых
аутоиммунных (ревматизм, гломерулонефрит) и токсико-септических
осложнений (некротический фасциит, миозит, синдром стрептококкового
токсического шока (ССТШ), метатонзиллярный и перитонзиллярный
абсцессы и др.).
Стрептококковые инфекции входят в число наиболее острых проблем
здравоохранения во всех странах мира. По данным ВОЗ в мире ежегодно
возникает свыше 111 млн. случаев стрептодермии и 616 млн. случаев
стрептококковых фарингитов. Тяжелыми заболеваниями, вызванными
стрептококками группы А страдает около 18 млн. чел., из них 15,5 млн.
чел. – ревматическими заболеваниями сердца. Ежегодно регистрируется
около 2 млн. новых случаев, умирает свыше 500 тыс. человек.
Общая характеристика возбудителя стрептококковой инфекции
• Возбудитель – Streptococcus pyogenes является типовым видом рода
Streptococcus семейства Streptococcaceae. Неподвижный
неспорообразующий каталазо- и оксидазоотрицательный факультативно-
анаэробный грамположительный кокк, образующий цепочки разной
длины. Микроорганизмы растут в интервале 25-45 о С, с оптимумом при
температуре 35-37 о С.
• Стрептококки достаточно устойчивы во внешней среде, хорошо переносят
высушивание и могут сохраняться месяцами в высохших гное и мокроте.
В течение 30 мин. выдерживают нагревание до 60°С. Под действием
дезинфицирующих веществ погибают в течение 15 мин.
При выращивании на кровяном агаре S. pyogenes
и некоторые другие виды образуют колонии
диаметром до 1-2мм с большой зоной полного
гемолиза эритроцитов (b-гемолиз). Это отличает
их от других стрептококков (например,
представителей нормальной флоры ротовой
полости), при росте которых наблюдается другой
вид гемолиза — α-гемолиз (характеризующийся
гемоглобиновой полоской просветления
зеленоватого цвета вокруг растущей колонии) или
полное отсутствие гемолиза.
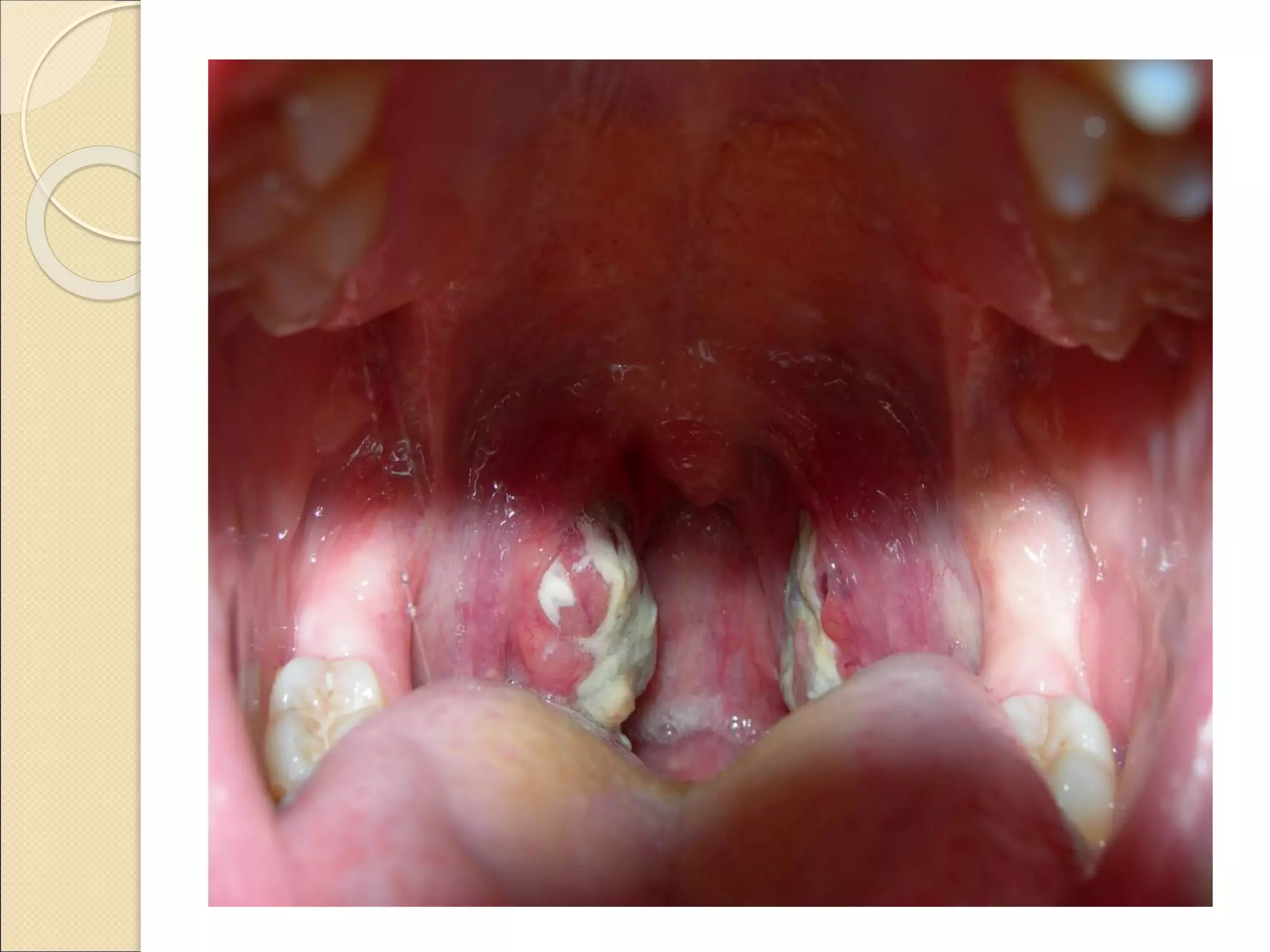
Ангина-острая инфекционная болезнь с воздушно-
капельным механизмом передачи,
характеризующаяся поражением лимфоидной
ткани ротоглотки и проявляющаяся общей
интоксикацией,болями в горле и увеличением
поднижнечелюстных лимфатических узлов.
Возбудителем стрептококковой ангины является
Streptococcus pyogenes. Среди бактерий является
самым часто встречающимся возбудителем
ангин. Также возбудителями бывают стрептококки
группы G и C.
Скарлатина - острое инфекционное
заболевание, характеризующееся
симптомами общей интоксикации,
ангиной и мелкоточечной сыпью,
локализующейся преимущественно
в месте естественных складок
гиперемированной кожи.
Скарлатина является клинической
формой стрептококковой инфекции,
связанной со скарлатинозным
токсином (токсином Дика).
Возбудителем заболевания является
бета-гемолитический стрептококк
группы А. Источниками инфекции
могут оказаться больные ангиной,
скарлатиной и другими
стрептококковыми инфекциями, а
также носители стрептококков без
явных проявлений болезни
(«здоровое» инфицирование).
 После исчезновения сыпи в
конце первой — начале
второй недели болезни
начинается шелушение. На
лице кожа шелушится в
виде нежных чешуек. На
туловище, ушных раковинах
шелушение имеет
отрубевидный характер.
Типичным для скарлатины
является пластинчатое
шелушение на кистях и
стопах. Оно проявляется
вначале в виде трещин кожи
у свободного края ногтя и
распространяется затем с
кончиков пальцев на ладонь
и подошву. Кожа на
конечностях отслаивается
пластами. В настоящее
время шелушение при
скарлатине имеет менее
выраженный характер.
Характерны изменения языка. В начале заболевания он суховат,
густо обложен сероватым налетом. Со 2—3 дня начинает
очищаться с кончика и боков, становится ярко-красным с
рельефно выступающими набухшими сосочками, что придает
ему сходство с ягодой малиной («малиновый», «сосочковый»,
«скарлатинозный» язык). Этот симптом отчетливо выявляется
между 3 и 5 днями.
Рожа – острое антропонозное инфекционное
заболевание, вызываемое гемолитическими
стрептококками, характеризующееся
лихорадкой, интоксикацией, наличием местного
очага серозно-геморрагического поражения кожи
со склонностью к рецидивирующему течению.
Этиология: b-гемолитический стрептококк группы
А.
.
Некротизирующий фасциит - инфекционно-воспалительное заболевание
мягких тканей с поражением фасциальных футляров. Летальность при
этой патологии достигает 30-50%.
Исходя из этиологии выделяют 2 типа некротизирующего фасциита:
Некротизирующий фасциит типа I:
- Полимикробная инфекция, вызванная аэробными и анаэробными
бактериями.
• В одной ране выявляется до 15 возбудителей.
• В среднем на рану приходится пять различных патогенных штаммов.
- Самые распространенные микроорганизмы:
- • Стрептококки, не принадлежащие к группе А.
- • Организмы Enterobacteriaceae,Bacteriodes,Peptostreptococcus.
Некротизирующий фасциит типа II:
- Обычно мономикробная инфекция, вызванная
Streptococcus pyogenes:
 Встречается в комбинации с Staphylococcus aureus.
 Штаммы Streptococcus pyogenes могут выделять
пирогенные экзотоксины, которые действуют как
суперантигены, стимулируя выработку ФНО-а, ФНО-b, ИЛ-
1, ЙЛ-6 и ИЛ-24.
Заключение.
В настоящее время известно около 40 клинических форм
стрептококковой инфекции. Врач любой специальности
может впервые диагностировать одну из этих форм.
Своевременное обследование, постановка диагноза,
адекватное лечение и профилактика стрептококкозов помогут
нам избежать грозных осложнений, включая летальные
исходы, которые не являются редкостью при данной
инфекционной патологии.
15.02.2016. 02. Вшивцева А.С. Стрептококкозы.

15.02.2016. 02. Вшивцева А.С. Стрептококкозы.

  • 1.
    ГБОУ ВПО ЮУГМУ МинздраваРоссии Кафедра Инфекционных болезней Стрептококкозы. Вшивцева А.С., 509 гр
  • 2.
  • 3.
    К стрептококковой (группыА) инфекции относят группу антропонозных заболеваний, вызываемых бактерией вида Streptococcus pyogenes или стрептококком серологической группы А (СГА) преимущественно с воздушно-капельным путем передачи возбудителя, характеризующихся поражением верхних дыхательных путей, кожных покровов с местными нагноительными процессами и развитием постстрептококковых аутоиммунных (ревматизм, гломерулонефрит) и токсико-септических осложнений (некротический фасциит, миозит, синдром стрептококкового токсического шока (ССТШ), метатонзиллярный и перитонзиллярный абсцессы и др.). Стрептококковые инфекции входят в число наиболее острых проблем здравоохранения во всех странах мира. По данным ВОЗ в мире ежегодно возникает свыше 111 млн. случаев стрептодермии и 616 млн. случаев стрептококковых фарингитов. Тяжелыми заболеваниями, вызванными стрептококками группы А страдает около 18 млн. чел., из них 15,5 млн. чел. – ревматическими заболеваниями сердца. Ежегодно регистрируется около 2 млн. новых случаев, умирает свыше 500 тыс. человек.
  • 4.
    Общая характеристика возбудителястрептококковой инфекции • Возбудитель – Streptococcus pyogenes является типовым видом рода Streptococcus семейства Streptococcaceae. Неподвижный неспорообразующий каталазо- и оксидазоотрицательный факультативно- анаэробный грамположительный кокк, образующий цепочки разной длины. Микроорганизмы растут в интервале 25-45 о С, с оптимумом при температуре 35-37 о С. • Стрептококки достаточно устойчивы во внешней среде, хорошо переносят высушивание и могут сохраняться месяцами в высохших гное и мокроте. В течение 30 мин. выдерживают нагревание до 60°С. Под действием дезинфицирующих веществ погибают в течение 15 мин.
  • 6.
    При выращивании накровяном агаре S. pyogenes и некоторые другие виды образуют колонии диаметром до 1-2мм с большой зоной полного гемолиза эритроцитов (b-гемолиз). Это отличает их от других стрептококков (например, представителей нормальной флоры ротовой полости), при росте которых наблюдается другой вид гемолиза — α-гемолиз (характеризующийся гемоглобиновой полоской просветления зеленоватого цвета вокруг растущей колонии) или полное отсутствие гемолиза.
  • 7.
    Ангина-острая инфекционная болезньс воздушно- капельным механизмом передачи, характеризующаяся поражением лимфоидной ткани ротоглотки и проявляющаяся общей интоксикацией,болями в горле и увеличением поднижнечелюстных лимфатических узлов. Возбудителем стрептококковой ангины является Streptococcus pyogenes. Среди бактерий является самым часто встречающимся возбудителем ангин. Также возбудителями бывают стрептококки группы G и C.
  • 10.
    Скарлатина - остроеинфекционное заболевание, характеризующееся симптомами общей интоксикации, ангиной и мелкоточечной сыпью, локализующейся преимущественно в месте естественных складок гиперемированной кожи.
  • 11.
    Скарлатина является клинической формойстрептококковой инфекции, связанной со скарлатинозным токсином (токсином Дика). Возбудителем заболевания является бета-гемолитический стрептококк группы А. Источниками инфекции могут оказаться больные ангиной, скарлатиной и другими стрептококковыми инфекциями, а также носители стрептококков без явных проявлений болезни («здоровое» инфицирование).
  • 13.
     После исчезновениясыпи в конце первой — начале второй недели болезни начинается шелушение. На лице кожа шелушится в виде нежных чешуек. На туловище, ушных раковинах шелушение имеет отрубевидный характер. Типичным для скарлатины является пластинчатое шелушение на кистях и стопах. Оно проявляется вначале в виде трещин кожи у свободного края ногтя и распространяется затем с кончиков пальцев на ладонь и подошву. Кожа на конечностях отслаивается пластами. В настоящее время шелушение при скарлатине имеет менее выраженный характер.
  • 14.
    Характерны изменения языка.В начале заболевания он суховат, густо обложен сероватым налетом. Со 2—3 дня начинает очищаться с кончика и боков, становится ярко-красным с рельефно выступающими набухшими сосочками, что придает ему сходство с ягодой малиной («малиновый», «сосочковый», «скарлатинозный» язык). Этот симптом отчетливо выявляется между 3 и 5 днями.
  • 15.
    Рожа – остроеантропонозное инфекционное заболевание, вызываемое гемолитическими стрептококками, характеризующееся лихорадкой, интоксикацией, наличием местного очага серозно-геморрагического поражения кожи со склонностью к рецидивирующему течению. Этиология: b-гемолитический стрептококк группы А.
  • 16.
  • 18.
    Некротизирующий фасциит -инфекционно-воспалительное заболевание мягких тканей с поражением фасциальных футляров. Летальность при этой патологии достигает 30-50%. Исходя из этиологии выделяют 2 типа некротизирующего фасциита: Некротизирующий фасциит типа I: - Полимикробная инфекция, вызванная аэробными и анаэробными бактериями. • В одной ране выявляется до 15 возбудителей. • В среднем на рану приходится пять различных патогенных штаммов. - Самые распространенные микроорганизмы: - • Стрептококки, не принадлежащие к группе А. - • Организмы Enterobacteriaceae,Bacteriodes,Peptostreptococcus.
  • 19.
    Некротизирующий фасциит типаII: - Обычно мономикробная инфекция, вызванная Streptococcus pyogenes:  Встречается в комбинации с Staphylococcus aureus.  Штаммы Streptococcus pyogenes могут выделять пирогенные экзотоксины, которые действуют как суперантигены, стимулируя выработку ФНО-а, ФНО-b, ИЛ- 1, ЙЛ-6 и ИЛ-24.
  • 21.
    Заключение. В настоящее времяизвестно около 40 клинических форм стрептококковой инфекции. Врач любой специальности может впервые диагностировать одну из этих форм. Своевременное обследование, постановка диагноза, адекватное лечение и профилактика стрептококкозов помогут нам избежать грозных осложнений, включая летальные исходы, которые не являются редкостью при данной инфекционной патологии.