1. CELLULAR ABERRATION
OVERVIEW
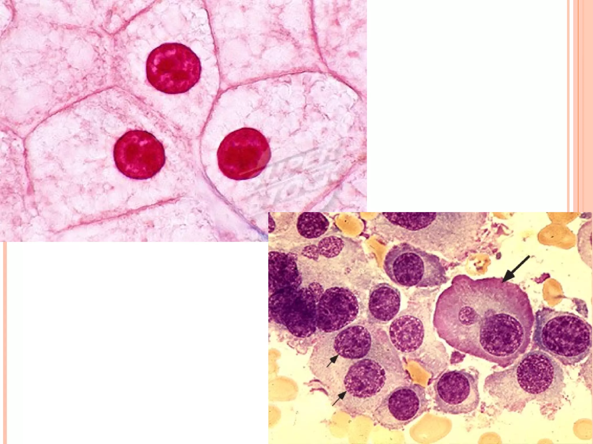
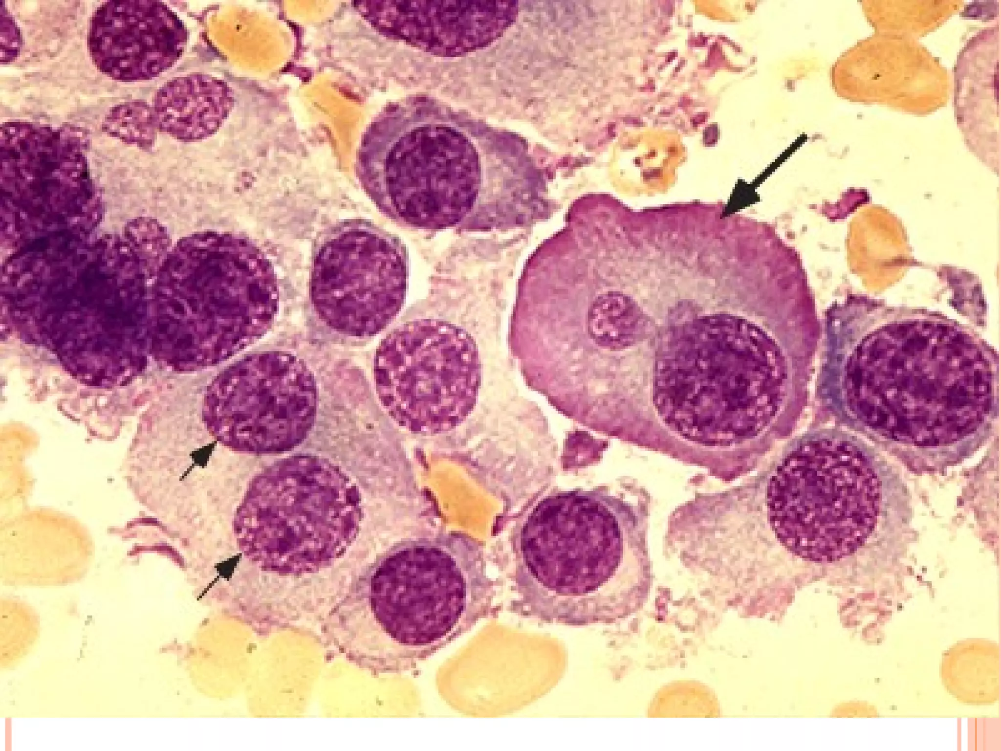
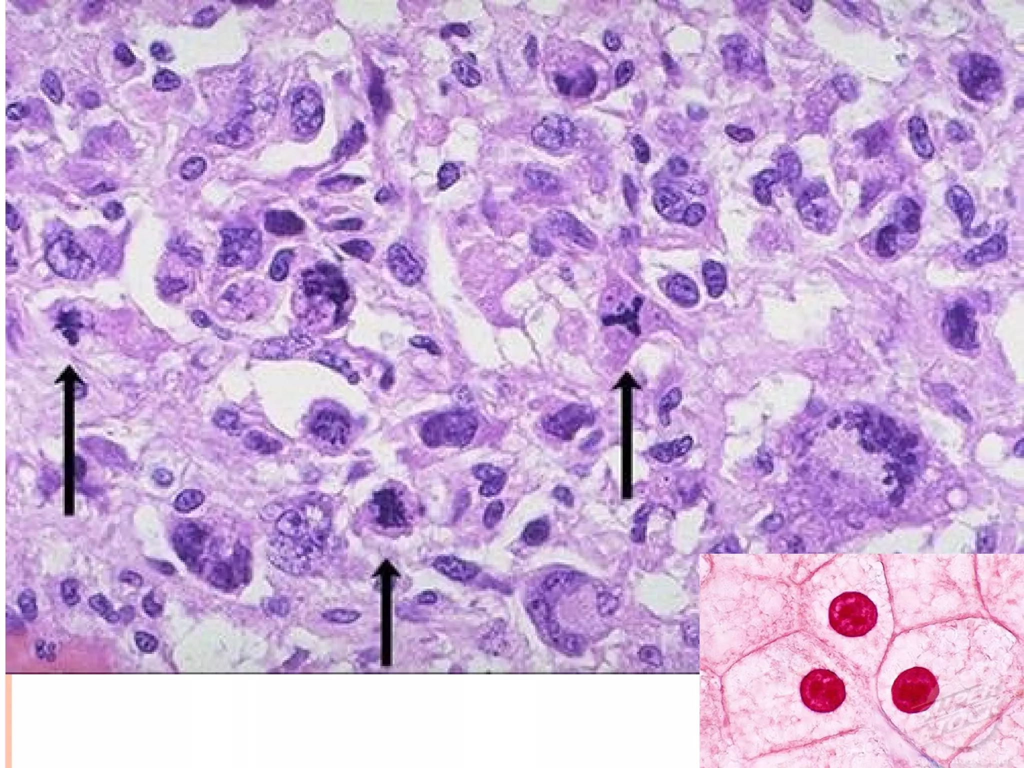
    Cell appearance (morphology)
b.   Each normal mature cell type is differentiated,
     with a distinct and recognizable appearance, size,
     and shape
c.   The size of a normal cell nucleus is usually small
     compared with the size of the rest of the cell,
     including the cytoplasm
d.   Normal cells generally have a small N:C ratio
e.   As cell matures, the nucleus:cytoplasm ratio
     decrease
Anatomy of the Generalized Cell

• Cells are not all the same
• All cells share general structures
• Cells are organized into three main
  regions
        • Nucleus
        • Cytoplasm
        • Plasma membrane

                                                       Figure 3.1a
Copyright © 2003 Pearson Education, Inc. publishing as Benjamin Cummings   Slide 3.2
The Nucleus

• Control center
  of the cell
        • Contains genetic
          material (DNA)
• Three regions
        • Nuclear
          membrane
        • Nucleolus
        • Chromatin                                                        Figure 3.1b

Copyright © 2003 Pearson Education, Inc. publishing as Benjamin Cummings                 Slide 3.3
Nuclear Membrane – double membrane or
                envelope

• Barrier of nucleus
• Consists of a double phospholipid
  membrane
• Contain nuclear pores that allow for
  exchange of material with the rest of the
  cell – selectively permeable

Copyright © 2003 Pearson Education, Inc. publishing as Benjamin Cummings   Slide 3.4
Nucleoli



• Nucleus contains one or more nucleoli
• Sites of ribosome production
        • Ribosomes then migrate to the
          cytoplasm through nuclear pores



Copyright © 2003 Pearson Education, Inc. publishing as Benjamin Cummings   Slide 3.5
Chromatin (when not dividing)



• Composed of DNA and protein
• Scattered throughout the nucleus
• Chromatin condenses to form
  chromosomes when the cell divides



Copyright © 2003 Pearson Education, Inc. publishing as Benjamin Cummings   Slide 3.6
Plasma Membrane

• Barrier for cell contents
• Double phospholipid layer (fat – water)
        • Hydrophilic heads
        • Hydrophobic tails
• Other materials in plasma membrane
        • Protein
        • Cholesterol
        • Glycoproteins
Copyright © 2003 Pearson Education, Inc. publishing as Benjamin Cummings   Slide 3.7a
Plasma Membrane




                                                                           Figure 3.2
Copyright © 2003 Pearson Education, Inc. publishing as Benjamin Cummings                Slide 3.7b
Plasma Membrane Specializations




• Microvilli
        • Finger-like
          projections that
          increase surface
          area for absorption
        • Small intestine and
          nephrons of kidney
                                                                    Figure 3.3

Copyright © 2003 Pearson Education, Inc. publishing as Benjamin Cummings         Slide 3.8a
Cytoplasm

• Material outside the nucleus and inside
  the plasma membrane
        • Cytosol
               • Fluid that suspends other elements
        • Organelles
               • Metabolic machinery of the cell
        • Inclusions
               • Non-functioning units – fat, pigments…..
Copyright © 2003 Pearson Education, Inc. publishing as Benjamin Cummings   Slide 3.9
Cytoplasmic Organelles




                                                                           Figure 3.4

Copyright © 2003 Pearson Education, Inc. publishing as Benjamin Cummings                Slide 3.10
Cytoplasmic Organelles


• Ribosomes
        • Made of protein and RNA
        • Sites of protein synthesis
        • Found at two locations
               • Free in the cytoplasm
               • Attached to rough endoplasmic reticulum


Copyright © 2003 Pearson Education, Inc. publishing as Benjamin Cummings   Slide 3.11
Cytoplasmic Organelles
• Endoplasmic reticulum (ER)
        • Fluid-filled tubules for carrying substances
        • Two types of ER
               • Rough Endoplasmic Reticulum
                       • Studded with ribosomes
                       • Site where building materials of cellular
                         membrane are formed
               • Smooth Endoplasmic Reticulum
                       • Functions in cholesterol synthesis and
                         breakdown, fat metabolism, and detoxification
                         of drugs
Copyright © 2003 Pearson Education, Inc. publishing as Benjamin Cummings   Slide 3.12
Cytoplasmic Organelles


• Golgi apparatus
        • Modifies and packages proteins




Copyright © 2003 Pearson Education, Inc. publishing as Benjamin Cummings   Slide 3.13a
Cytoplasmic Organelles




                                                                           Figure 3.5

Copyright © 2003 Pearson Education, Inc. publishing as Benjamin Cummings   Slide 3.13b
Cytoplasmic Organelles

• Lysosomes
        • Contain enzymes that digest nonusable
          materials within the cell
• Peroxisomes
        • Membranous sacs of oxidase enzymes
               • Detoxify harmful substances
               • Break down free radicals
                 (highly reactive chemicals)
        • Replicate by pinching in half
Copyright © 2003 Pearson Education, Inc. publishing as Benjamin Cummings   Slide 3.14
Cytoplasmic Organelles


• Mitochondria
        • “Powerhouses” of the cell
        • Change shape continuously
        • Carry out reactions where oxygen is used
          to break down food
        • Provides ATP for cellular energy


Copyright © 2003 Pearson Education, Inc. publishing as Benjamin Cummings   Slide 3.15
Cytoplasmic Organelles



• Cytoskeleton
        • Network of protein structures that extend
          throughout the cytoplasm
        • Provides the cell with an internal framework




Copyright © 2003 Pearson Education, Inc. publishing as Benjamin Cummings   Slide 3.16a
Cytoplasmic Organelles


• Cytoskeleton
        • Three different types
               • Microfilaments
               • Intermediate
                 filaments
               • Microtubules

                                                                      Figure 3.6

Copyright © 2003 Pearson Education, Inc. publishing as Benjamin Cummings           Slide 3.16b
Cytoplasmic Organelles



• Centrioles
        • Rod-shaped bodies made of microtubules
        • Direct formation of mitotic spindle during
          cell division




Copyright © 2003 Pearson Education, Inc. publishing as Benjamin Cummings   Slide 3.17
Cellular Projections



• Not found in all cells
• Used for movement
        • Cilia moves materials across the cell
          surface
        • Flagellum propels the cell



Copyright © 2003 Pearson Education, Inc. publishing as Benjamin Cummings   Slide 3.18
OVERVIEW
 Epithelial (glandular) tissues: breast (ductal),
  colon, liver
 Connective (mesenchymal) tissue – adipose,
  blood vessel, bone, skeletal and smooth muscle
 Hematopoietic cells – blood cells
Body Tissues
• Cells are specialized for particular functions
• Tissues
        • Groups of cells with similar structure and
          function
        • Four primary types
               • Epithelium
               • Connective tissue
               • Nervous tissue
               • Muscle
Copyright © 2003 Pearson Education, Inc. publishing as Benjamin Cummings   Slide 3.41
Epithelial Tissues
• Found in different areas
        • Body coverings
        • Body linings
        • Glandular tissue
• Functions
        • Protection
        • Absorption
        • Filtration
        • Secretion
Copyright © 2003 Pearson Education, Inc. publishing as Benjamin Cummings   Slide 3.42
Epithelium Characteristics

• Cells fit closely together
• Tissue layer always has one free
  surface
• The lower surface is bound by a
  basement membrane
• Avascular (have no blood supply)
• Regenerate easily if well nourished

Copyright © 2003 Pearson Education, Inc. publishing as Benjamin Cummings   Slide 3.43
Classification of Epithelium


• Number of cell layers
        • Simple – one layer
        • Stratified – more than
          one layer


                                                                           Figure 3.16a



Copyright © 2003 Pearson Education, Inc. publishing as Benjamin Cummings                  Slide 3.44a
Classification of Epithelium


• Shape of cells
        • Squamous – flattened
        • Cuboidal – cube-shaped
        • Columnar – column-like



                                                                           Figure 3.16b

Copyright © 2003 Pearson Education, Inc. publishing as Benjamin Cummings                  Slide 3.44b
Simple Epithelium

• Simple squamous
        • Single layer of flat
          cells
        • Usually forms
          membranes
           • Lines body
             cavities
               • Lines lungs and
                 capillaries                                               Figure 3.17a


Copyright © 2003 Pearson Education, Inc. publishing as Benjamin Cummings                  Slide 3.45
Simple Epithelium
• Simple cuboidal
        • Single layer of
          cube-like cells
        • Common in
          glands and their
          ducts
        • Forms walls
          of kidney tubules
        • Covers the
          ovaries                                                          Figure 3.17b


Copyright © 2003 Pearson Education, Inc. publishing as Benjamin Cummings                  Slide 3.46
Simple Epithelium

• Simple columnar
        • Single layer of tall
          cells
        • Often includes
          goblet cells, which
          produce mucus
        • Lines digestive
          tract
                                                                           Figure 3.17c


Copyright © 2003 Pearson Education, Inc. publishing as Benjamin Cummings                  Slide 3.47
Simple Epithelium
• Pseudostratified
        • Single layer, but
          some cells are
          shorter than others
        • Often looks like a
          double cell layer
        • Sometimes ciliated,
          such as in the
          respiratory tract
        • May function in
          absorption or                                                    Figure 3.17d

          secretion
Copyright © 2003 Pearson Education, Inc. publishing as Benjamin Cummings                  Slide 3.48
Stratified Epithelium
• Stratified squamous
        • Cells at the free edge
          are flattened
        • Found as a protective
          covering where
          friction is common
        • Locations
           • Skin
           • Mouth
           • Esophagus                                                     Figure 3.17e


Copyright © 2003 Pearson Education, Inc. publishing as Benjamin Cummings                  Slide 3.49
Stratified Epithelium
• Stratified cuboidal
        • Two layers of cuboidal cells
• Stratified columnar
        • Surface cells are columnar, cells
          underneath vary in size and shape
• Stratified cuboidal and columnar
        • Rare in human body
        • Found mainly in ducts of large glands
Copyright © 2003 Pearson Education, Inc. publishing as Benjamin Cummings   Slide 3.50
Stratified Epithelium

• Transitional
  epithelium
        • Shape of cells
          depends upon the
          amount of stretching
        • Lines organs of the
          urinary system
                                                                           Figure 3.17f


Copyright © 2003 Pearson Education, Inc. publishing as Benjamin Cummings                  Slide 3.51
Glandular Epithelium
• Gland – one or more cells that secretes a
  particular product
• Two major gland types
        • Endocrine gland
               • Ductless
               • Secretions are hormones
        • Exocrine gland
               • Empty through ducts to the epithelial surface
               • Include sweat and oil glands
Copyright © 2003 Pearson Education, Inc. publishing as Benjamin Cummings   Slide 3.52
Connective Tissue

• Found everywhere in the body
• Includes the most abundant and widely
  distributed tissues
• Functions
        • Binds body tissues together
        • Supports the body
        • Provides protection
Copyright © 2003 Pearson Education, Inc. publishing as Benjamin Cummings   Slide 3.53
Connective Tissue Characteristics

• Variations in blood supply
        • Some tissue types are well vascularized
        • Some have poor blood supply or are
          avascular
• Extracellular matrix
        • Non-living material that surrounds living
          cells
Copyright © 2003 Pearson Education, Inc. publishing as Benjamin Cummings   Slide 3.54
Connective Tissue Types
• Bone (osseous tissue)
        • Composed of:
               • Bone cells in lacunae
                 (cavities)
               • Hard matrix of calcium
                 salts
               • Large numbers of
                 collagen fibers
        • Used to protect and
          support the body                                                 Figure 3.18a


Copyright © 2003 Pearson Education, Inc. publishing as Benjamin Cummings                  Slide 3.56
Connective Tissue Types

• Hyaline cartilage
        • Most common
          cartilage
        • Composed of:
               • Abundant collagen
                 fibers
               • Rubbery matrix
        • Entire fetal skeleton
          is hyaline cartilage                                             Figure 3.18b


Copyright © 2003 Pearson Education, Inc. publishing as Benjamin Cummings                  Slide 3.57
Connective Tissue Types



• Elastic cartilage
        • Provides elasticity
        • Example: supports the external ear




Copyright © 2003 Pearson Education, Inc. publishing as Benjamin Cummings   Slide 3.58a
Connective Tissue Types


• Fibrocartilage
        • Highly compressible
        • Example: forms
          cushion-like discs
          between vertebrae

                                                                           Figure 3.18c


Copyright © 2003 Pearson Education, Inc. publishing as Benjamin Cummings                  Slide 3.58b
Connective Tissue Types
• Dense connective
  tissue
        • Main matrix element
          is collagen fibers
        • Cells are fibroblasts
        • Examples
               • Tendon – attach
                 muscle to bone
               • Ligaments – attach
                 bone to bone                                              Figure 3.18d


Copyright © 2003 Pearson Education, Inc. publishing as Benjamin Cummings                  Slide 3.59
Connective Tissue Types
• Areolar connective
  tissue
        • Most widely
          distributed
          connective tissue
        • Soft, pliable tissue
        • Contains all fiber
          types
        • Can soak up excess
          fluid                                                            Figure 3.18e



Copyright © 2003 Pearson Education, Inc. publishing as Benjamin Cummings                  Slide 3.60
Connective Tissue Types
• Areolar connective
  tissue
        • Most widely
          distributed
          connective tissue
        • Soft, pliable tissue
        • Contains all fiber
          types
        • Can soak up excess
          fluid                                                            Figure 3.18e



Copyright © 2003 Pearson Education, Inc. publishing as Benjamin Cummings                  Slide 3.60
Connective Tissue Types
• Reticular
  connective tissue
        • Delicate network of
          interwoven fibers
        • Forms stroma
          (internal supporting
          network) of
          lymphoid organs
           • Lymph nodes
           • Spleen
           • Bone marrow                                                   Figure 3.18g
Copyright © 2003 Pearson Education, Inc. publishing as Benjamin Cummings                  Slide 3.62
Connective Tissue Types

• Blood
        • Blood cells
          surrounded by fluid
          matrix
        • Fibers are visible
          during clotting
        • Functions as the
          transport vehicle
          for materials
                                                                           Figure 3.18h
Copyright © 2003 Pearson Education, Inc. publishing as Benjamin Cummings                  Slide 3.63
Muscle Tissue


• Function is to produce movement
• Three types
        • Skeletal muscle
        • Cardiac muscle
        • Smooth muscle



Copyright © 2003 Pearson Education, Inc. publishing as Benjamin Cummings   Slide 3.64
Muscle Tissue Types

• Skeletal muscle
        • Can be controlled
          voluntarily
        • Cells attach to
          connective tissue
        • Cells are striated
        • Cells have more than
          one nucleus
                                                                           Figure 3.19b


Copyright © 2003 Pearson Education, Inc. publishing as Benjamin Cummings                  Slide 3.65
Muscle Tissue Types
• Cardiac muscle
        • Found only in the
          heart
        • Function is to pump
          blood (involuntary)
        • Cells attached to
          other cardiac muscle
          cells at intercalated
          disks
        • Cells are striated
        • One nucleus per cell                                             Figure 3.19c


Copyright © 2003 Pearson Education, Inc. publishing as Benjamin Cummings                  Slide 3.66
Muscle Tissue Types

• Smooth muscle
        • Involuntary muscle
        • Surrounds hollow
          organs
        • Attached to other
          smooth muscle cells
        • No visible striations
        • One nucleus per cell                                             Figure 3.19a


Copyright © 2003 Pearson Education, Inc. publishing as Benjamin Cummings                  Slide 3.67
Nervous Tissue
• Neurons and
  nerve support
  cells
• Function is to
  send impulses to
  other areas of
  the body
        • Irritability
        • Conductivity                                                     Figure 3.20

Copyright © 2003 Pearson Education, Inc. publishing as Benjamin Cummings                 Slide 3.68
OVERVIEW
    Normal cell functions
b.   Gastric cells – secrete HCl
c.   Nerve cells – generate action potential and
     conduct impulses
d.   Beta cells of the pancreas
e.   Type II pneumocytes
f.   Immune system
OVERVIEW
 Immunity – the body’s specific protective
  response to a foreign agent or organism
 Immune system – part of the body’s defense
  mechanism against invasion and allows a rapid
  response to foreign substance
 Genetic and cellular responses result when the
  immune system is activated
 Tolerance – mechanism by which the immune
  system is programmed to eliminate foreign
  substances such as microbes, toxins, and cellular
  mutations but maintains the ability to accept
  self-antigens
OVERVIEW
  Immunopathology – the study of diseases that
   result from dysfunctions within the immune
   system
 Immune function is affected by a variety of
   factors
3. Central nervous system integrity
4. General physical status
5. General emotional status
6. Stress
7. Illness
8. Trauma
9. Surgery
IMMUNE SYSTEM DISORDERS
    Autoimmunity - is the failure of an organism to recognize
     its own constituent parts as ''self'', which allows an immune
     response against its own cells and tissues.
    Hypersensitivity - refers to excessive, undesirable
     (damaging, discomfort-producing and sometimes fatal) reactions
     produced by the normal immune system.
    Gammopathies - abnormal proliferation of the lymphoid
     cells producing immunoglobulins. Ex: hodgkins disease
    Immune deficiencies -  is a state in which the immune
     system's ability to fight infectious disease is compromised or
     entirely absent.
e.   Primary
f.   Secondary
ANATOMIC AND PHYSIOLOGIC
OVERVIEW
 Epitopes – antigenic determinants that are
  present on foreign materials, initiating a series of
  action in a host, including the inflammatory
  response, the lysis of microbial agents, and the
  disposal of foreign toxins
 Bone marrow (B lymphocytes originates)
 Lymphoid tissues – spleen, lymph nodes
 WBCs, antibodies
 Types of immunity
 Natural immunity – or innate immunity is
  nonspecific and is present at birth (intact skin,
  phagocytes, compliment system)
 Acquired or adaptive immunity – specific and
  develops after birth (humoral & Cellular
BASIC CONCEPTS


Components of the Immune System
 Immune cells

 Central immune structures: bone marrow and
  thymus (where immune cells are produced and
  mature)
 Peripheral immune structures: lymph nodes,
  spleen (where the immune cells interact with the
  antigen)
BASIC CONCEPTS


Components of the Immune System
 Immune cells: T and B lymphocytes
  (primary cells), macrophages (accessory
  cells) which aid in processing and
  presentation of antigens to the lymphocytes
 Cytokines: molecules that form a
  communication link between immune cells
  and other tissues and organs of the body
Lymph Nodes




                   Figure 12.3

Copyright © 2003 Pearson Education, Inc. publishing as Benjamin Cummings   Slide
Lymph Node Structure




  Figure 12.4

Copyright © 2003 Pearson Education, Inc. publishing as Benjamin Cummings   Slide
Other Lymphoid Organs

• Several other
  organs contribute
  to lymphatic
  function
        • Spleen
        • Thymus
        • Tonsils
        • Peyer’s patches
                                                                     Figure 12.5
Copyright © 2003 Pearson Education, Inc. publishing as Benjamin Cummings           Slide 12.9
The Spleen

• Located on the left side of the abdomen
• Filters blood
• Destroys worn out blood cells
• Forms blood cells in the fetus
• Acts as a blood reservoir


Copyright © 2003 Pearson Education, Inc. publishing as Benjamin Cummings   Slide
The Thymus

• Located low in the throat, overlying the
  heart
• Functions at peak levels only during
  childhood
• Produces hormones (like thymosin) to
  program lymphocytes


Copyright © 2003 Pearson Education, Inc. publishing as Benjamin Cummings   Slide
Tonsils

• Small masses of lymphoid tissue around
  the pharynx
• Trap and remove bacteria and other
  foreign materials
• Tonsillitis is caused by congestion with
  bacteria


Copyright © 2003 Pearson Education, Inc. publishing as Benjamin Cummings   Slide
Peyer’s Patches


• Found in the wall of the small intestine
• Resemble tonsils in structure
• Capture and destroy bacteria in the
  intestine



Copyright © 2003 Pearson Education, Inc. publishing as Benjamin Cummings   Slide
Mucosa-Associated Lymphatic
                 Tissue (MALT)
• Includes:
        • Peyer’s patches
        • Tonsils
        • Other small accumulations of lymphoid
          tissue
• Acts as a guard to protect respiratory
  and digestive tracts
Copyright © 2003 Pearson Education, Inc. publishing as Benjamin Cummings   Slide
Body Defenses
• The body is constantly in contact with
  bacteria, fungi, and viruses (pathogens)
• The body has two defense systems for
  foreign materials
        • Nonspecific defense system
               • Mechanisms protect against a variety of
                 invaders
               • Responds immediately to protect body
                 from foreign materials
Copyright © 2003 Pearson Education, Inc. publishing as Benjamin Cummings   Slide
Body Defenses


        • Specific defense system
               • Specific defense is required for each type
                 of invader
               • Also known as the immune system




Copyright © 2003 Pearson Education, Inc. publishing as Benjamin Cummings   Slide
Nonspecific Body Defenses

• Body surface coverings
        • Intact skin
        • Mucous membranes
• Specialized human cells
• Chemicals produced by the body


Copyright © 2003 Pearson Education, Inc. publishing as Benjamin Cummings   Slide
Surface Membrane Barriers –
               First Line of Defense

• The skin
        • Physical barrier to foreign materials
        • pH of the skin is acidic to inhibit bacterial
          growth
               • Sebum is toxic to bacteria
               • Vaginal secretions are very acidic

Copyright © 2003 Pearson Education, Inc. publishing as Benjamin Cummings   Slide
Surface Membrane Barriers –
               First Line of Defense
• Stomach mucosa
        • Secretes hydrochloric acid
        • Has protein-digesting enzymes
• Saliva and lacrimal fluid contain
  lysozyme
• Mucus traps microogranisms in
  digestive and respiratory pathways
Copyright © 2003 Pearson Education, Inc. publishing as Benjamin Cummings   Slide
Defensive Cells
• Phagocytes
  (neutrophils and
  macrophages)
        • Engulfs foreign
          material into a
          vacuole
        • Enzymes from
          lysosomes digest
          the material
Copyright © 2003 Pearson Education, Inc. publishing as Benjamin Cummings   Figure 12.6b   Slide
Macrophage attacking e-coli.
•
Defensive Cells


• Natural killer cells
        • Can lyse and kill
          cancer cells
        • Can destroy virus-
          infected cells



Copyright © 2003 Pearson Education, Inc. publishing as Benjamin Cummings   Figure 12.6b   Slide
Inflammatory Response -
                     Second Line of Defense
• Triggered when body tissues are injured
• Produces four cardinal signs
        • Redness
        • Heat
        • Swelling
        • Pain
• Results in a chain of events leading to
  protection and healing
Copyright © 2003 Pearson Education, Inc. publishing as Benjamin Cummings   Slide
Functions of the Inflammatory
                     Response


• Prevents spread of damaging agents
• Disposes of cell debris and pathogens
• Sets the stage for repair



Copyright © 2003 Pearson Education, Inc. publishing as Benjamin Cummings   Slide
Steps in the Inflammatory Response




               Figure 12.7
Copyright © 2003 Pearson Education, Inc. publishing as Benjamin Cummings   Slide
Antimicrobial Chemicals

• Complement
        • A group of at
          least 20
          plasma
          proteins
        • Activated when
          they encounter
          and attach to
          cells
          (complement
          fixation)                                                    Figure 12.8

Copyright © 2003 Pearson Education, Inc. publishing as Benjamin Cummings             Slide
Antimicrobial Chemicals
• Complement
  (continued)
        • Damage
          foreign cell
          surfaces
        • Will rupture or
          lyse the foreign
          cell membrane

                                                                       Figure 12.8

Copyright © 2003 Pearson Education, Inc. publishing as Benjamin Cummings             Slide
Antimicrobial Chemicals


• Interferon
        • Secreted proteins of virus-infected cells
        • Bind to healthy cell surfaces to inhibit viruses
          binding




Copyright © 2003 Pearson Education, Inc. publishing as Benjamin Cummings   Slide
Interferons are a family species-specific proteins synthesized by
eukaryotic cells in response to viruses and a variety of natural and
synthetic stimuli. There are several different interferons commonly
used as therapeutics, termed alpha, beta, and gamma. These peptides
are used to treat hairy cell leukemia, AIDS-related Kaposi's sarcoma,
laryngeal papillomatosis, genital warts, and chronic granulomatous
disease. Side effects include black tarry stools, blood in the urine,
confusion, and loss of balance.
Fever
• Abnormally high body temperature
• Hypothalmus heat regulation can be
  reset by pyrogens (secreted by white
  blood cells)
• High temperatures inhibit the release of
  iron and zinc from liver and spleen
  needed by bacteria
• Fever also increases the speed of tissue
  repair
Copyright © 2003 Pearson Education, Inc. publishing as Benjamin Cummings   Slide
Specific Defense: The Immune
        System – Third Line of Defense
• Antigen specific – recognizes and acts
  against particular foreign substances
• Systemic – not restricted to the initial
  infection site
• Has memory – recognizes and mounts
  a stronger attack on previously
  encountered pathogens
Copyright © 2003 Pearson Education, Inc. publishing as Benjamin Cummings   Slide
Types of Immunity

• Humoral immunity
        • Antibody-mediated immunity
        • Cells produce chemicals for defense
• Cellular immunity
        • Cell-mediated immunity
        • Cells target virus infected cells

Copyright © 2003 Pearson Education, Inc. publishing as Benjamin Cummings   Slide
Antigens (Nonself)
• Any substance capable of exciting the
  immune system and provoking an immune
  response
• Examples of common antigens
        • Foreign proteins
        • Nucleic acids
        • Large carbohydrates
        • Some lipids
        • Pollen grains
        • Microorganisms
Copyright © 2003 Pearson Education, Inc. publishing as Benjamin Cummings   Slide
Self-Antigens

• Human cells have many surface
  proteins
• Our immune cells do not attack our own
  proteins
• Our cells in another person’s body can
  trigger an immune response because
  they are foreign
        • Restricts donors for transplants
Copyright © 2003 Pearson Education, Inc. publishing as Benjamin Cummings   Slide
Allergies
• Many small molecules (called haptens
  or incomplete antigens) are not
  antigenic, but link up with our own
  proteins
• The immune system may recognize and
  respond to a protein-hapten
  combination
• The immune response is harmful rather
  than protective because it attacks our
  own cells
Copyright © 2003 Pearson Education, Inc. publishing as Benjamin Cummings   Slide
Cells of the Immune System
• Lymphocytes
        • Originate from hemocytoblasts in the red bone
          marrow
        • B lymphocytes become immunocompetent in
          the bone marrow
        • T lymphocytes become immunocompetent in
          the thymus
• Macrophages
        • Arise from monocytes
        • Become widely distributed in lymphoid organs
Copyright © 2003 Pearson Education, Inc. publishing as Benjamin Cummings   Slide
Activation of Lymphocytes




                                                                           Figure 12.9
Copyright © 2003 Pearson Education, Inc. publishing as Benjamin Cummings                 Slide
Humoral (Antibody-Mediated)
                Immune Response

• B lymphocytes with specific receptors
  bind to a specific antigen
• The binding event activates the
  lymphocyte to undergo clonal selection
• A large number of clones are produced
  (primary humoral response)

Copyright © 2003 Pearson Education, Inc. publishing as Benjamin Cummings   Slide
Humoral (Antibody Mediated)
                Immune Response

• Most B cells become plasma cells
        • Produce antibodies to destroy antigens
        • Activity lasts for four or five days
• Some B cells become long-lived memory
  cells (secondary humoral response)


Copyright © 2003 Pearson Education, Inc. publishing as Benjamin Cummings   Slide
Humoral Immune Response




                                                                           Figure 12.10
Copyright © 2003 Pearson Education, Inc. publishing as Benjamin Cummings        Slide
Active Immunity

• Your B cells
  encounter
  antigens and
  produce
  antibodies
• Active immunity
  can be naturally
  or artificially
  acquired
                                                                           Figure 12.12

Copyright © 2003 Pearson Education, Inc. publishing as Benjamin Cummings                  Slide
Passive Immunity
• Antibodies are obtained from someone
  else
        • Conferred naturally from a mother to her
          fetus
        • Conferred artificially from immune serum or
          gamma globulin
• Immunological memory does not occur
• Protection provided by “borrowed
  antibodies”
Copyright © 2003 Pearson Education, Inc. publishing as Benjamin Cummings   Slide
Antibodies (Immunoglobulins) (Igs)


• Soluble proteins secreted by B cells
  (plasma cells)
• Carried in blood plasma
• Capable of binding specifically to an
  antigen


Copyright © 2003 Pearson Education, Inc. publishing as Benjamin Cummings   Slide
Antibody Classes
• Antibodies of each class have slightly
  different roles
• Five major immunoglobulin classes –
  (Do Not Need to know!)
        • IgM – can fix complement
        • IgA – found mainly in mucus
        • IgD – important in activation of B cell
        • IgG – can cross the placental barrier
        • IgE – involved in allergies
Copyright © 2003 Pearson Education, Inc. publishing as Benjamin Cummings   Slide
Cellular (Cell-Mediated) Immune
                  Response
• Antigens must be presented by
  macrophages to an immunocompetent
  T cell (antigen presentation)
• T cells must recognize nonself and self
  (double recognition)
• After antigen binding, clones form as
  with B cells, but different classes of cells
  are produced
Copyright © 2003 Pearson Education, Inc. publishing as Benjamin Cummings   Slide
Cellular (Cell-Mediated) Immune
                  Response




       Figure 12.15


Copyright © 2003 Pearson Education, Inc. publishing as Benjamin Cummings   Slide
T Cell Clones

• Cytotoxic T cells
        • Specialize in killing infected cells
        • Insert a toxic chemical (perforin)
• Helper T cells
        • Recruit other cells to fight the invaders
        • Interact directly with B cells

Copyright © 2003 Pearson Education, Inc. publishing as Benjamin Cummings   Slide
T Cell Clones

• Suppressor T cells
        • Release chemicals to suppress the activity
          of T and B cells
        • Stop the immune response to prevent
          uncontrolled activity
• A few members of each clone are
  memory cells

Copyright © 2003 Pearson Education, Inc. publishing as Benjamin Cummings   Slide
Summary of the Immune Response




          Figure 12.16
Copyright © 2003 Pearson Education, Inc. publishing as Benjamin Cummings   Slide
Organ Transplants and Rejection
• Major types of grafts
        • Autografts – tissue transplanted from one
          site to another on the same person
        • Isografts – tissue grafts from an identical
          person (identical twin)
        • Allografts – tissue taken from an unrelated
          person
        • Xenografts – tissue taken from a different
          animal species
Copyright © 2003 Pearson Education, Inc. publishing as Benjamin Cummings   Slide
Organ Transplants and Rejection


• Autografts and isografts are ideal
  donors
• Xenografts are never successful
• Allografts are more successful with a
  closer tissue match


Copyright © 2003 Pearson Education, Inc. publishing as Benjamin Cummings   Slide
BASIC CONCEPTS

Components of the Immune System
 Major Histocompatibility Complex (MHC) –
  membrane molecules that help the immune system
  recognise the self from the non-self
 HLA – (Human Leukocyte Antigens) are human
  MHC proteins that were first detected on white
  blood cells; play a role in transplant rejection and
  are detected in immunologic tests
BASIC CONCEPTS

Major Histocompatibility Complex
 Key recognition molecules which is an essential
  feature of adaptive or specific immunity
 Able to discriminate between the body’s own
  molecules against foreign antigens
 Coded by closely linked genes in chromosome 6
BASIC CONCEPTS

Major Histocompatibility Complex (Two Classes):
 MHC I - differentiate viral infected and abnormal
  cells from normal cells
 MHC II - allow appropriate interactions among
  immune cells
Properties     HLA antigens             Distribution      Functions

Class I MHC    HLA-A, HLA-B,            Virtually all     Present
               HLA-C                    nucleated cells   processed
               (Human                                     antigen to
               Leucocyte Antigen                          cytotoxic CD8 T-
               - helps the immune                         cells; restrict
               system distinguish the                     cytolysis to virus-
               body's own proteins
               from proteins made by                      infected cells,
               foreign invaders such                      tumor cells and
               as viruses                                 transplanted cells
               and bacteria. )

Class II MHC   HLA-DR, HLA-DP, Immune cells,              Present
               HLA-DQ          antigen-                   processed
                               presenting cells,          antigenic
                               and macrophages            fragments to CD4
                                                          T-cells; necessary
                                                          for effective
                                                          interaction
                                                          among immune
                                                          cells
OVERVIEW
    Normal cells and functions
b.   Most normal human cells have 23 pairs of
     chromosomes
c.   All normal cells (except the sex cells and the
     mature red blood cells) have the entire human
     genome in every cell
d.   Normal cells have about 35,000 genes, and about
     50 of these genes are very active during
     embryonic life
e.   Normal cells undergo mitosis either to develop
     normal tissue during embryonic development,
     childhood, and adolescence or to replace lost or
     damaged normal tissue
THE CELL CYCLE
THE CELL CYCLE
    The Cell Cycle – consists of 4 phases:
2.   Gap 1 (G1) – the cell enlarges and synthesizes
     proteins to prepare for DNA replication
3.   Synthesis (S) phase – DNA is replicated and the
     chromosomes in the cell are duplicated
4.   Gap 2 (G) – the cell prepares itself for mitosis
5.   Mitosis (M) phase – final step, where the parent
     cell divides into two exact copies called daughter
     cells, each having identical genetic material
THE CELL CYCLE
 The cells after the M phase immediately enter
  the G1 where they begin another cell cycle again
 Or the cells divert into a resting phase called G0

 The cell cycle is controlled by cyclin-dependent
  kinases
 Some cyclins cause a “braking” action and
  prevent the cycle from proceeding
 Checkpoints in the cell cycle ensure that it
  proceeds in the correct order
THE CELL CYCLE
 A malfunction of any of these regulators of cell
  growth and division can result in the rapid
  proliferation of immature cells
 In some cases these proliferating immature cells
  are considered cancerous (malignant)
 Knowledge of the cell cycle events is used in the
  development of chemotherapeutic drugs, which
  are designed to disrupt the cancer cells during
  different stages of their cell cycle
OVERVIEW
 In embryonic life, there are early development
  genes called proto-oncogenes, and their
  activity is not needed after embryonic life
 Other genes are called tumor suppressor
  genes, which slow down cell division, repair
  DNA mistakes, and tell cells when to die
  (apoptosis, or programmed cell death)
 Tumor suppressor genes can also reduce
  expression of proto-oncogenes by negative
  feedback mechanisms
 Proto-oncogenes are not abnormal genes, and are
  part of every human’s normal cellular DNA
Normal Cell                         Reversible
        (homeostasis)                         Injury



   Stress                  Injurious                 Mild,
                           stimulus                  transient


Adaptation                    Cell Injury
               Inability
               to adapt                Severe,
                                       progressive
                              Irreversible
                                 Injury




             Necrosis            CELL            Apoptosis
                                DEATH
OVERVIEW
   Adaptations are reversible changes in the size,
    number, phenotype, metabolic activity, or
    functions of cells in response to changes in their
    environment
l   Hypertrophy – increase in the size of cells,
    resulting in an increase in the size of the organ
i   Hyperplasia – an increase in the number in an
    organ or tissue, usually resulting in increased
    mass of the organ or tissue
n   Atrophy – reduced size of an organ or tissue
    resulting from a decrease in cell size and number
OVERVIEW
a.   Metaplasia – reversible change in which one
     differentiated cell type (epithelial or
     mesenchymal) is replaced by another cell type
b.   Necrosis – cell death
c.   Apoptosis – programmed cell death
d.   Differentiation - process by which cells or
     tissues undergo a change toward a more
     specialized form or function, especially during
     embryonic development
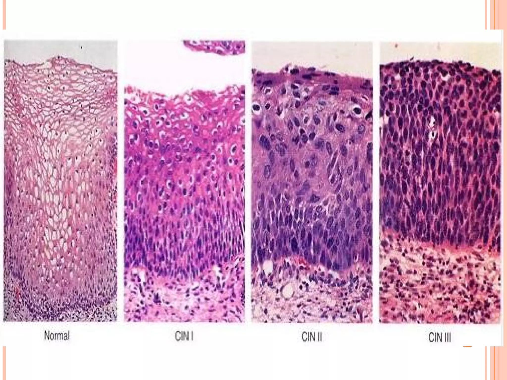
e.   Dysplasia
f.   Anaplasia
OVERVIEW
a.   Dysplasia - abnormal development or growth of
     tissues, organs, or cells
b.   Anaplasia - abnormal development or growth of
     tissues, organs, or cells
EPIDEMIOLOGY OF CANCER
 2004 – The American Cancer Society estimates
  that 1,368,030 people will be diagnosed with
  cancer in the US
 Cancer continues to be the second leading cause
  of death in the US
 62% of those diagnosed with cancer can expect to
  be alive in 5 years
 Incidence and mortality rates for cancer have
  dropped approximately 1% per year since 1991
EPIDEMIOLOGY OF CANCER
 The American Cancer Society has established the
  goal of a 25% reduction in the overall age-
  adjusted cancer incidence rate and a 50%
  reduction in the overall age-adjusted cancer
  mortality rate by 2015
 Nurses should play a pivotal role in the
  attainment of these goals through active
  involvement in cancer prevention and early
  detection activities
 Survival rate represents the percentage of
  persons alive 5 years from now after diagnosis,
  whether cured, in remission, or with evidence of
  disease
Estimated New Cases                   Estimated New Deaths
      Male              Female              Male              Female
Prostate (38%)     Breast (32%)       Lung and            Lung and
Lung and           Lung and           bronchus (31%)      bronchus (27%)
bronchus (13%)     bronchus (12%)     Prostate (10%)      Breast (15%)
Colon and rectum   Colon and rectum   Colon and rectum    Colon and rectum
(10%)              (11%)              (10%)               (10%)
Urinary bladder    Uterine corpus     Pancreas (5%)       Ovary (6%)
(7%)               (6%)               Leukemia (4%)       Pancreas (6%)
Melanoma of the    Non-Hodgkin        Esophagus (4%)      Leukemia (4%)
skin (5%)          lymphoma (4%)      Liver and           Non-Hodgkin
Non-Hodgkin        Melanoma of the    intrahepatic bile   lymphoma (3%)
lymphoma (4%)      skin (4%)          duct (3%)           Uterine corpus
Kidney and renal   Ovary (3%)         Non-Hodgkin         (3%)
pelvis (3%)        Thyroid (3%)       lymphoma (3%)       Multiple myeloma
Leukemia (3%)      Urinary bladder    Kidney and renal    (2%)
Oral cavity and    (2%)               pelvis (3%)         Brain and other
pharynx (3%)       Pancreas (2%)      All sites (100%)    nervous system
Pancreas (2%)      All sites (100%)                       (2%)
All sites (100%)                                          All sites (100%)
Estimated Incidence (2008)                 Estimated Deaths (2008)
      Male               Female                Male             Female
Melanoma of the     Melanoma of the     Lung (31%)         Brain (2%)
skin (5%)           skin (4%)           Esophagus (4%)     Lung (26%)
Oropharynx (3%)     Thyroid (4%)        Liver (4%)         Breast (15%)
Lung (15%)          Lung (14%)          Pancreas (6%)      Liver (2%)
Pancreas (3%)       Breast (26%)        Kidney (3%)        Pancreas (6%)
Kidney (4%)         Kidney (3%)         Colon and rectum   Colon and rectum
Colon and rectum    Colon and rectum    (8%)               (9%)
(10%)               (10%)               Urinary bladder    Ovary (6%)
Urinary bladder     Ovary (3%)          (3%)               Uterus (3%)
(7%)                Uterus (6%)         Prostate (10%)     Leukemia (3%)
Prostate (25%)      Leukemia (3%)       Leukemia (4%)      Non-Hodgkin
Leukemia (3%)       Non-Hodgkin         Non-Hodgkin        Lymphoma (3%)
Hon-Hodgkin         lymphoma (4%)       Lymphoma (3%)      All others (25%)
lymphoma (5%)       All others (23%)    All others (24%)
All others (20%)

 Robbins Pathologic Basis of Disease 8th edition
EPIDEMIOLOGY OF CANCER
   Risk factors
2. Heredity – 5 to 10% of cancers have a hereditary component
3. Age – 76% of cases occur after age 55; hormonal changes,
    immune system changes
4. Gender
5. Poverty
6. Stress
7. Diet
8. Occupation
9. Infection
10. Tobacco use
11. Alcohol use
12. Recreational drug use
13. Obesity – increased risk of hormone-dependent cancers
14. Sun exposure
EPIDEMIOLOGY OF CANCER
  Endogenous risk factors:
2. Genetic predisposition
3. Sex
4. Age
5. Race
6. Family history
 Exogenous risk factors:
8. Alcohol
9. Diet
10.Exercise
11.Occupational exposure
12.Cigarette smoking
13.Sexual activity
EPIDEMIOLOGY OF CANCER
Risk Factors and Signs and Symptoms of Common Cancers
Cancer Site   Risk Factors                        Signs and Symptoms
Breast        Female gender                       Lump or mass
              Age >50 years                       Thickening in breast or
              Family history                      axilla
              Personal history of breast cancer   Change in size or contour
              2 or more first-degree relatives    or texture
              Known BRCA1 or BRCA2 mutation       Skin dimpling or retraction
              Biopsy history                      Peau d’orange skin
              Atypical hyperplasia                Nipple discharge,
              DCIS or LCIS                        retraction, or scaliness
              Postmenopausal obesity              Erythema
              Early menarche/late menopause       Pain or tenderness
              Late first pregnancy/nulliparous
              OCP
              Radiation to chest wall
              Alcohol
              Obesity and high fat diet
              Hormone replacement therapy
EPIDEMIOLOGY OF CANCER
Risk Factors and Signs and Symptoms of Common Cancers
Cancer Site   Risk Factors                          Signs and Symptoms
Prostate      Male gender                           Weak urinary stream and
              Age >50 years                         urinary frequency
              African American ethnicity            Difficulty in initiating
              Family history of first-degree        stream or stopping urinary
              relative (greater if first-degree     stream
              relative diagnosed before age 40)     Pain or burning on
              High-fat diet                         urination
Colorectal    Age >60 years                         Urinary retention
              Inflammatory bowel conditions         Hematuria
              Sedentary lifestyle
              Diet high in fat and low in fruits
              and vegetables
              Heavy alcohol consumption
              Family history of colorectal cancer
              especially if before the age of 40
EPIDEMIOLOGY OF CANCER
Risk Factors and Signs and Symptoms of Common Cancers
Cancer Site   Risk Factors                        Signs and Symptoms
Prostate      Male gender                         Weak urinary stream and
              Age >50 years                       urinary frequency
              African American ethnicity          Difficulty in initiating
              Family history of first-degree      stream or stopping urinary
              relative (greater if first-degree   stream
              relative diagnosed before age 40)   Pain or burning on
              High-fat diet                       urination
Colorectal    Familial genetic syndromes, e.g.,   Urinary in bowel habits
                                                  Change retention
              familial adenomatous polyposis      Hematuria
                                                  Rectal bleeding
              (FAP) and hereditary nonpolyposis   Abdominal pain
              colon cancer (HNPCC)                Decreased diameter of
                                                  stools
                                                  Anemia
                                                  Rectal pressure or pain
                                                  Weight loss
                                                  anorexia
EPIDEMIOLOGY OF CANCER
Risk Factors and Signs and Symptoms of Common Cancers
Cancer Site   Risk Factors                         Signs and Symptoms
Lung          Cigarette smoking                    Chronic cough and
              Occupational exposure to asbestos,   wheezing
              arsenic, chromium, coal products,    Persistent respiratory
              nickel refining, smelter workers,    infections
              ionizing radiation, radon            Dull chest pain
                                                   Hemoptysis
                                                   Dyspnea
                                                   Weight loss
EPIDEMIOLOGY OF CANCER
    Carcinogens
b.   Viruses
c.   Drugs and hormones – can be either genotoxic or
     promotional
d.   Chemical agents – both genotoxic and
     promotional
e.   Physical agents – for example radiation
Chemical Carcinogens and Relationship to Occupation
Chemical Agent            Action              Occupation
Polycyclic hydrocarbons   Genotoxic           Miners, coal/gas
(smoke, soot, tobacco,                        workers, chimner
smoked foods)                                 sweeps, migrant worker,
                                              workers in offices where
Benzopyrene               Genotoxic           smoking is allowed
                                              Pesticide manufacturers,
Arsenic                                       mining
Vinyl chloride            Promotional         Plastic workers
                                              Artistis
Methylaminobenzine        Genotoxic           Fabric workers
                                              Rubber and glue workers
Chemical Carcinogens and Relationship to Occupation
Chemical Agent           Action                 Occupation
Asbestos                 Promotional            Construction workers,
                                                workers in old, run-down
                                                buildings with asbestos
                                                insulation, insulation
                                                makers
Wood and leather dust    Promotional            Woodwrokers,
                                                carpenters, leather
Chemotherapy drugs       Genotoxic              toolers
                                                Drug manufacturers,
                                                pharmacists, nurses
Occupational Cancers
Agent                 Cancer                 Typical use or occurrence
Arsenic and arsenic   Lung, skin,            Byproduct of metal
compounds             hemangiosarcoma        smelting; component of
                                             alloys, electrical and
                                             semiconductor devises,
                                             medications and
                                             herbicides, fungicides,
                                             and animal dips
Asbestos              Lung, mesothelioma,    Formerly used for many
                      esophagus, stomach,    applications because of
                      large intestine        fire, heat and friction
                                             resistance, still found in
                                             existing construction as
                                             well as fire-resistant
                                             textiles, friction
                                             materials (brake linings),
                                             underlayment and
                                             roofing papers, floor tiles
Occupational Cancers
Agent                     Cancer                 Typical use or occurrence
Benzene                   Leukemia, Hodgkin      Principal component of
                          lymphoma               light oil, despite known
                                                 risk, many applications
                                                 exist in printing and
                                                 lithography, paint,
                                                 rubber, dry cleaning,
                                                 adhesives and coatings,
                                                 and detergents, formerly
                                                 widely used as solvent
                                                 and fumigant
Beryllium and beryllium   Lung                   Missile fuel and space
compounds                                        vehicles, hardener for
                                                 lightweight metal alloys,
                                                 particularly in aerospace
                                                 applications and nuclear
                                                 reactors
Occupational Cancers
Agent                 Cancer                 Typical use or occurrence
Chromium compounds    Lung                   Component of metal
                                             alloys, paints, pigments,
                                             and preservatives
Nickel compounds      Nose, lung             Nickel plating,
                                             component of ferrous
                                             alloys, ceramics, and
                                             batteries, by-product of
                                             stainless steel arc
Radon and its decay   Lung                   welding
                                             From decay of minerals
products                                     containing uranium,
                                             potentially serious hazard
                                             in quarries and
                                             underground mines
Vinyl chloride        Angiosarcoma           Refrigerant, monomer for
                                             vinyl polymers, adhesive
                                             for plastics, formerly
                                             inert aerosol propellant
                                             un pressurized containers
Occupational Cancers
Agent                 Cancer                 Typical use or occurrence
Cadmium and cadmium   Prostate               Uses include yellow
compounds                                    pigments and phosphors;
                                             found in solders; used in
                                             batteries and as alloy and
                                             in metal platings and
                                             coatings
EPIDEMIOLOGY OF CANCER
  HSV types I and II
b. Carcinoma of the lip

c. Cervical carcinoma

d. Kaposi sarcoma
 Human CMV

f. Kaposi sarcoma

g. Prostate carcinoma
EPIDEMIOLOGY OF CANCER
  EBV
a. Burkitt lymphoma
 HBV

a. Primary HCC
 Papillomavirus

f. Malignant melanoma

g. Cervical, penile, and laryngeal cancers
 HTLV

i. Adult T-cell leukemia and lymphoma

j. Kaposi sarcoma
EPIDEMIOLOGY OF CANCER
 Approximately three fourths of all cancers occur
  in people over the age of 55
 Overall cancer incidence in males has stabilized
  in recent years when compared with that in
  females
 Men have a higher lifetime probability of
  developing and dying of cancer than women, but
  men have a greater recent decline in death rates
 Children – overall, cancer is the leading cause of
  death due to disease in children between 1 and
  14 years of age
EPIDEMIOLOGY OF CANCER
Cause of Death by Age
Age (years)        Males           Females
20-39              1. Brain/CNS    1. Breast
                   2. Leukemia     2. Uterine/cervix
                   3. Lung         3. Leukemia
40-59              1. Lung         1. Breast
                   2. Colorectal   2. Lung
                   3. Pancreas     3. Colorectal
60-79              1. Lung         1. Lung
                   2. Colorectal   2. Breast
                   3. Prostate     3. Colorectal
>80                1. Lung         1. Lung
                   2. Prostate     2. Colorectal
                   3. Colorectal   3. Breast
THE ROLE OF THE NURSE
 Education
 Monitoring

 Documentation

 Proper referral

 Being up to date
Topic 1 Cellular Abberation

Topic 1 Cellular Abberation

  • 1.
  • 2.
    OVERVIEW  Cell appearance (morphology) b. Each normal mature cell type is differentiated, with a distinct and recognizable appearance, size, and shape c. The size of a normal cell nucleus is usually small compared with the size of the rest of the cell, including the cytoplasm d. Normal cells generally have a small N:C ratio e. As cell matures, the nucleus:cytoplasm ratio decrease
  • 4.
    Anatomy of theGeneralized Cell • Cells are not all the same • All cells share general structures • Cells are organized into three main regions • Nucleus • Cytoplasm • Plasma membrane Figure 3.1a Copyright © 2003 Pearson Education, Inc. publishing as Benjamin Cummings Slide 3.2
  • 5.
    The Nucleus • Controlcenter of the cell • Contains genetic material (DNA) • Three regions • Nuclear membrane • Nucleolus • Chromatin Figure 3.1b Copyright © 2003 Pearson Education, Inc. publishing as Benjamin Cummings Slide 3.3
  • 6.
    Nuclear Membrane –double membrane or envelope • Barrier of nucleus • Consists of a double phospholipid membrane • Contain nuclear pores that allow for exchange of material with the rest of the cell – selectively permeable Copyright © 2003 Pearson Education, Inc. publishing as Benjamin Cummings Slide 3.4
  • 7.
    Nucleoli • Nucleus containsone or more nucleoli • Sites of ribosome production • Ribosomes then migrate to the cytoplasm through nuclear pores Copyright © 2003 Pearson Education, Inc. publishing as Benjamin Cummings Slide 3.5
  • 8.
    Chromatin (when notdividing) • Composed of DNA and protein • Scattered throughout the nucleus • Chromatin condenses to form chromosomes when the cell divides Copyright © 2003 Pearson Education, Inc. publishing as Benjamin Cummings Slide 3.6
  • 9.
    Plasma Membrane • Barrierfor cell contents • Double phospholipid layer (fat – water) • Hydrophilic heads • Hydrophobic tails • Other materials in plasma membrane • Protein • Cholesterol • Glycoproteins Copyright © 2003 Pearson Education, Inc. publishing as Benjamin Cummings Slide 3.7a
  • 10.
    Plasma Membrane Figure 3.2 Copyright © 2003 Pearson Education, Inc. publishing as Benjamin Cummings Slide 3.7b
  • 11.
    Plasma Membrane Specializations •Microvilli • Finger-like projections that increase surface area for absorption • Small intestine and nephrons of kidney Figure 3.3 Copyright © 2003 Pearson Education, Inc. publishing as Benjamin Cummings Slide 3.8a
  • 12.
    Cytoplasm • Material outsidethe nucleus and inside the plasma membrane • Cytosol • Fluid that suspends other elements • Organelles • Metabolic machinery of the cell • Inclusions • Non-functioning units – fat, pigments….. Copyright © 2003 Pearson Education, Inc. publishing as Benjamin Cummings Slide 3.9
  • 13.
    Cytoplasmic Organelles Figure 3.4 Copyright © 2003 Pearson Education, Inc. publishing as Benjamin Cummings Slide 3.10
  • 14.
    Cytoplasmic Organelles • Ribosomes • Made of protein and RNA • Sites of protein synthesis • Found at two locations • Free in the cytoplasm • Attached to rough endoplasmic reticulum Copyright © 2003 Pearson Education, Inc. publishing as Benjamin Cummings Slide 3.11
  • 15.
    Cytoplasmic Organelles • Endoplasmicreticulum (ER) • Fluid-filled tubules for carrying substances • Two types of ER • Rough Endoplasmic Reticulum • Studded with ribosomes • Site where building materials of cellular membrane are formed • Smooth Endoplasmic Reticulum • Functions in cholesterol synthesis and breakdown, fat metabolism, and detoxification of drugs Copyright © 2003 Pearson Education, Inc. publishing as Benjamin Cummings Slide 3.12
  • 16.
    Cytoplasmic Organelles • Golgiapparatus • Modifies and packages proteins Copyright © 2003 Pearson Education, Inc. publishing as Benjamin Cummings Slide 3.13a
  • 17.
    Cytoplasmic Organelles Figure 3.5 Copyright © 2003 Pearson Education, Inc. publishing as Benjamin Cummings Slide 3.13b
  • 18.
    Cytoplasmic Organelles • Lysosomes • Contain enzymes that digest nonusable materials within the cell • Peroxisomes • Membranous sacs of oxidase enzymes • Detoxify harmful substances • Break down free radicals (highly reactive chemicals) • Replicate by pinching in half Copyright © 2003 Pearson Education, Inc. publishing as Benjamin Cummings Slide 3.14
  • 19.
    Cytoplasmic Organelles • Mitochondria • “Powerhouses” of the cell • Change shape continuously • Carry out reactions where oxygen is used to break down food • Provides ATP for cellular energy Copyright © 2003 Pearson Education, Inc. publishing as Benjamin Cummings Slide 3.15
  • 20.
    Cytoplasmic Organelles • Cytoskeleton • Network of protein structures that extend throughout the cytoplasm • Provides the cell with an internal framework Copyright © 2003 Pearson Education, Inc. publishing as Benjamin Cummings Slide 3.16a
  • 21.
    Cytoplasmic Organelles • Cytoskeleton • Three different types • Microfilaments • Intermediate filaments • Microtubules Figure 3.6 Copyright © 2003 Pearson Education, Inc. publishing as Benjamin Cummings Slide 3.16b
  • 22.
    Cytoplasmic Organelles • Centrioles • Rod-shaped bodies made of microtubules • Direct formation of mitotic spindle during cell division Copyright © 2003 Pearson Education, Inc. publishing as Benjamin Cummings Slide 3.17
  • 23.
    Cellular Projections • Notfound in all cells • Used for movement • Cilia moves materials across the cell surface • Flagellum propels the cell Copyright © 2003 Pearson Education, Inc. publishing as Benjamin Cummings Slide 3.18
  • 27.
    OVERVIEW  Epithelial (glandular)tissues: breast (ductal), colon, liver  Connective (mesenchymal) tissue – adipose, blood vessel, bone, skeletal and smooth muscle  Hematopoietic cells – blood cells
  • 28.
    Body Tissues • Cellsare specialized for particular functions • Tissues • Groups of cells with similar structure and function • Four primary types • Epithelium • Connective tissue • Nervous tissue • Muscle Copyright © 2003 Pearson Education, Inc. publishing as Benjamin Cummings Slide 3.41
  • 29.
    Epithelial Tissues • Foundin different areas • Body coverings • Body linings • Glandular tissue • Functions • Protection • Absorption • Filtration • Secretion Copyright © 2003 Pearson Education, Inc. publishing as Benjamin Cummings Slide 3.42
  • 30.
    Epithelium Characteristics • Cellsfit closely together • Tissue layer always has one free surface • The lower surface is bound by a basement membrane • Avascular (have no blood supply) • Regenerate easily if well nourished Copyright © 2003 Pearson Education, Inc. publishing as Benjamin Cummings Slide 3.43
  • 31.
    Classification of Epithelium •Number of cell layers • Simple – one layer • Stratified – more than one layer Figure 3.16a Copyright © 2003 Pearson Education, Inc. publishing as Benjamin Cummings Slide 3.44a
  • 32.
    Classification of Epithelium •Shape of cells • Squamous – flattened • Cuboidal – cube-shaped • Columnar – column-like Figure 3.16b Copyright © 2003 Pearson Education, Inc. publishing as Benjamin Cummings Slide 3.44b
  • 33.
    Simple Epithelium • Simplesquamous • Single layer of flat cells • Usually forms membranes • Lines body cavities • Lines lungs and capillaries Figure 3.17a Copyright © 2003 Pearson Education, Inc. publishing as Benjamin Cummings Slide 3.45
  • 34.
    Simple Epithelium • Simplecuboidal • Single layer of cube-like cells • Common in glands and their ducts • Forms walls of kidney tubules • Covers the ovaries Figure 3.17b Copyright © 2003 Pearson Education, Inc. publishing as Benjamin Cummings Slide 3.46
  • 35.
    Simple Epithelium • Simplecolumnar • Single layer of tall cells • Often includes goblet cells, which produce mucus • Lines digestive tract Figure 3.17c Copyright © 2003 Pearson Education, Inc. publishing as Benjamin Cummings Slide 3.47
  • 36.
    Simple Epithelium • Pseudostratified • Single layer, but some cells are shorter than others • Often looks like a double cell layer • Sometimes ciliated, such as in the respiratory tract • May function in absorption or Figure 3.17d secretion Copyright © 2003 Pearson Education, Inc. publishing as Benjamin Cummings Slide 3.48
  • 37.
    Stratified Epithelium • Stratifiedsquamous • Cells at the free edge are flattened • Found as a protective covering where friction is common • Locations • Skin • Mouth • Esophagus Figure 3.17e Copyright © 2003 Pearson Education, Inc. publishing as Benjamin Cummings Slide 3.49
  • 38.
    Stratified Epithelium • Stratifiedcuboidal • Two layers of cuboidal cells • Stratified columnar • Surface cells are columnar, cells underneath vary in size and shape • Stratified cuboidal and columnar • Rare in human body • Found mainly in ducts of large glands Copyright © 2003 Pearson Education, Inc. publishing as Benjamin Cummings Slide 3.50
  • 39.
    Stratified Epithelium • Transitional epithelium • Shape of cells depends upon the amount of stretching • Lines organs of the urinary system Figure 3.17f Copyright © 2003 Pearson Education, Inc. publishing as Benjamin Cummings Slide 3.51
  • 40.
    Glandular Epithelium • Gland– one or more cells that secretes a particular product • Two major gland types • Endocrine gland • Ductless • Secretions are hormones • Exocrine gland • Empty through ducts to the epithelial surface • Include sweat and oil glands Copyright © 2003 Pearson Education, Inc. publishing as Benjamin Cummings Slide 3.52
  • 41.
    Connective Tissue • Foundeverywhere in the body • Includes the most abundant and widely distributed tissues • Functions • Binds body tissues together • Supports the body • Provides protection Copyright © 2003 Pearson Education, Inc. publishing as Benjamin Cummings Slide 3.53
  • 42.
    Connective Tissue Characteristics •Variations in blood supply • Some tissue types are well vascularized • Some have poor blood supply or are avascular • Extracellular matrix • Non-living material that surrounds living cells Copyright © 2003 Pearson Education, Inc. publishing as Benjamin Cummings Slide 3.54
  • 43.
    Connective Tissue Types •Bone (osseous tissue) • Composed of: • Bone cells in lacunae (cavities) • Hard matrix of calcium salts • Large numbers of collagen fibers • Used to protect and support the body Figure 3.18a Copyright © 2003 Pearson Education, Inc. publishing as Benjamin Cummings Slide 3.56
  • 44.
    Connective Tissue Types •Hyaline cartilage • Most common cartilage • Composed of: • Abundant collagen fibers • Rubbery matrix • Entire fetal skeleton is hyaline cartilage Figure 3.18b Copyright © 2003 Pearson Education, Inc. publishing as Benjamin Cummings Slide 3.57
  • 45.
    Connective Tissue Types •Elastic cartilage • Provides elasticity • Example: supports the external ear Copyright © 2003 Pearson Education, Inc. publishing as Benjamin Cummings Slide 3.58a
  • 46.
    Connective Tissue Types •Fibrocartilage • Highly compressible • Example: forms cushion-like discs between vertebrae Figure 3.18c Copyright © 2003 Pearson Education, Inc. publishing as Benjamin Cummings Slide 3.58b
  • 47.
    Connective Tissue Types •Dense connective tissue • Main matrix element is collagen fibers • Cells are fibroblasts • Examples • Tendon – attach muscle to bone • Ligaments – attach bone to bone Figure 3.18d Copyright © 2003 Pearson Education, Inc. publishing as Benjamin Cummings Slide 3.59
  • 48.
    Connective Tissue Types •Areolar connective tissue • Most widely distributed connective tissue • Soft, pliable tissue • Contains all fiber types • Can soak up excess fluid Figure 3.18e Copyright © 2003 Pearson Education, Inc. publishing as Benjamin Cummings Slide 3.60
  • 49.
    Connective Tissue Types •Areolar connective tissue • Most widely distributed connective tissue • Soft, pliable tissue • Contains all fiber types • Can soak up excess fluid Figure 3.18e Copyright © 2003 Pearson Education, Inc. publishing as Benjamin Cummings Slide 3.60
  • 50.
    Connective Tissue Types •Reticular connective tissue • Delicate network of interwoven fibers • Forms stroma (internal supporting network) of lymphoid organs • Lymph nodes • Spleen • Bone marrow Figure 3.18g Copyright © 2003 Pearson Education, Inc. publishing as Benjamin Cummings Slide 3.62
  • 51.
    Connective Tissue Types •Blood • Blood cells surrounded by fluid matrix • Fibers are visible during clotting • Functions as the transport vehicle for materials Figure 3.18h Copyright © 2003 Pearson Education, Inc. publishing as Benjamin Cummings Slide 3.63
  • 52.
    Muscle Tissue • Functionis to produce movement • Three types • Skeletal muscle • Cardiac muscle • Smooth muscle Copyright © 2003 Pearson Education, Inc. publishing as Benjamin Cummings Slide 3.64
  • 53.
    Muscle Tissue Types •Skeletal muscle • Can be controlled voluntarily • Cells attach to connective tissue • Cells are striated • Cells have more than one nucleus Figure 3.19b Copyright © 2003 Pearson Education, Inc. publishing as Benjamin Cummings Slide 3.65
  • 54.
    Muscle Tissue Types •Cardiac muscle • Found only in the heart • Function is to pump blood (involuntary) • Cells attached to other cardiac muscle cells at intercalated disks • Cells are striated • One nucleus per cell Figure 3.19c Copyright © 2003 Pearson Education, Inc. publishing as Benjamin Cummings Slide 3.66
  • 55.
    Muscle Tissue Types •Smooth muscle • Involuntary muscle • Surrounds hollow organs • Attached to other smooth muscle cells • No visible striations • One nucleus per cell Figure 3.19a Copyright © 2003 Pearson Education, Inc. publishing as Benjamin Cummings Slide 3.67
  • 56.
    Nervous Tissue • Neuronsand nerve support cells • Function is to send impulses to other areas of the body • Irritability • Conductivity Figure 3.20 Copyright © 2003 Pearson Education, Inc. publishing as Benjamin Cummings Slide 3.68
  • 57.
    OVERVIEW  Normal cell functions b. Gastric cells – secrete HCl c. Nerve cells – generate action potential and conduct impulses d. Beta cells of the pancreas e. Type II pneumocytes f. Immune system
  • 58.
    OVERVIEW  Immunity –the body’s specific protective response to a foreign agent or organism  Immune system – part of the body’s defense mechanism against invasion and allows a rapid response to foreign substance  Genetic and cellular responses result when the immune system is activated  Tolerance – mechanism by which the immune system is programmed to eliminate foreign substances such as microbes, toxins, and cellular mutations but maintains the ability to accept self-antigens
  • 59.
    OVERVIEW  Immunopathology– the study of diseases that result from dysfunctions within the immune system  Immune function is affected by a variety of factors 3. Central nervous system integrity 4. General physical status 5. General emotional status 6. Stress 7. Illness 8. Trauma 9. Surgery
  • 60.
    IMMUNE SYSTEM DISORDERS  Autoimmunity - is the failure of an organism to recognize its own constituent parts as ''self'', which allows an immune response against its own cells and tissues.  Hypersensitivity - refers to excessive, undesirable (damaging, discomfort-producing and sometimes fatal) reactions produced by the normal immune system.  Gammopathies - abnormal proliferation of the lymphoid cells producing immunoglobulins. Ex: hodgkins disease  Immune deficiencies -  is a state in which the immune system's ability to fight infectious disease is compromised or entirely absent. e. Primary f. Secondary
  • 61.
    ANATOMIC AND PHYSIOLOGIC OVERVIEW Epitopes – antigenic determinants that are present on foreign materials, initiating a series of action in a host, including the inflammatory response, the lysis of microbial agents, and the disposal of foreign toxins  Bone marrow (B lymphocytes originates)  Lymphoid tissues – spleen, lymph nodes  WBCs, antibodies  Types of immunity  Natural immunity – or innate immunity is nonspecific and is present at birth (intact skin, phagocytes, compliment system)  Acquired or adaptive immunity – specific and develops after birth (humoral & Cellular
  • 62.
    BASIC CONCEPTS Components ofthe Immune System  Immune cells  Central immune structures: bone marrow and thymus (where immune cells are produced and mature)  Peripheral immune structures: lymph nodes, spleen (where the immune cells interact with the antigen)
  • 63.
    BASIC CONCEPTS Components ofthe Immune System  Immune cells: T and B lymphocytes (primary cells), macrophages (accessory cells) which aid in processing and presentation of antigens to the lymphocytes  Cytokines: molecules that form a communication link between immune cells and other tissues and organs of the body
  • 64.
    Lymph Nodes Figure 12.3 Copyright © 2003 Pearson Education, Inc. publishing as Benjamin Cummings Slide
  • 65.
    Lymph Node Structure Figure 12.4 Copyright © 2003 Pearson Education, Inc. publishing as Benjamin Cummings Slide
  • 66.
    Other Lymphoid Organs •Several other organs contribute to lymphatic function • Spleen • Thymus • Tonsils • Peyer’s patches Figure 12.5 Copyright © 2003 Pearson Education, Inc. publishing as Benjamin Cummings Slide 12.9
  • 67.
    The Spleen • Locatedon the left side of the abdomen • Filters blood • Destroys worn out blood cells • Forms blood cells in the fetus • Acts as a blood reservoir Copyright © 2003 Pearson Education, Inc. publishing as Benjamin Cummings Slide
  • 68.
    The Thymus • Locatedlow in the throat, overlying the heart • Functions at peak levels only during childhood • Produces hormones (like thymosin) to program lymphocytes Copyright © 2003 Pearson Education, Inc. publishing as Benjamin Cummings Slide
  • 69.
    Tonsils • Small massesof lymphoid tissue around the pharynx • Trap and remove bacteria and other foreign materials • Tonsillitis is caused by congestion with bacteria Copyright © 2003 Pearson Education, Inc. publishing as Benjamin Cummings Slide
  • 71.
    Peyer’s Patches • Foundin the wall of the small intestine • Resemble tonsils in structure • Capture and destroy bacteria in the intestine Copyright © 2003 Pearson Education, Inc. publishing as Benjamin Cummings Slide
  • 72.
    Mucosa-Associated Lymphatic Tissue (MALT) • Includes: • Peyer’s patches • Tonsils • Other small accumulations of lymphoid tissue • Acts as a guard to protect respiratory and digestive tracts Copyright © 2003 Pearson Education, Inc. publishing as Benjamin Cummings Slide
  • 73.
    Body Defenses • Thebody is constantly in contact with bacteria, fungi, and viruses (pathogens) • The body has two defense systems for foreign materials • Nonspecific defense system • Mechanisms protect against a variety of invaders • Responds immediately to protect body from foreign materials Copyright © 2003 Pearson Education, Inc. publishing as Benjamin Cummings Slide
  • 74.
    Body Defenses • Specific defense system • Specific defense is required for each type of invader • Also known as the immune system Copyright © 2003 Pearson Education, Inc. publishing as Benjamin Cummings Slide
  • 75.
    Nonspecific Body Defenses •Body surface coverings • Intact skin • Mucous membranes • Specialized human cells • Chemicals produced by the body Copyright © 2003 Pearson Education, Inc. publishing as Benjamin Cummings Slide
  • 76.
    Surface Membrane Barriers– First Line of Defense • The skin • Physical barrier to foreign materials • pH of the skin is acidic to inhibit bacterial growth • Sebum is toxic to bacteria • Vaginal secretions are very acidic Copyright © 2003 Pearson Education, Inc. publishing as Benjamin Cummings Slide
  • 77.
    Surface Membrane Barriers– First Line of Defense • Stomach mucosa • Secretes hydrochloric acid • Has protein-digesting enzymes • Saliva and lacrimal fluid contain lysozyme • Mucus traps microogranisms in digestive and respiratory pathways Copyright © 2003 Pearson Education, Inc. publishing as Benjamin Cummings Slide
  • 78.
    Defensive Cells • Phagocytes (neutrophils and macrophages) • Engulfs foreign material into a vacuole • Enzymes from lysosomes digest the material Copyright © 2003 Pearson Education, Inc. publishing as Benjamin Cummings Figure 12.6b Slide
  • 79.
  • 80.
    Defensive Cells • Naturalkiller cells • Can lyse and kill cancer cells • Can destroy virus- infected cells Copyright © 2003 Pearson Education, Inc. publishing as Benjamin Cummings Figure 12.6b Slide
  • 82.
    Inflammatory Response - Second Line of Defense • Triggered when body tissues are injured • Produces four cardinal signs • Redness • Heat • Swelling • Pain • Results in a chain of events leading to protection and healing Copyright © 2003 Pearson Education, Inc. publishing as Benjamin Cummings Slide
  • 83.
    Functions of theInflammatory Response • Prevents spread of damaging agents • Disposes of cell debris and pathogens • Sets the stage for repair Copyright © 2003 Pearson Education, Inc. publishing as Benjamin Cummings Slide
  • 84.
    Steps in theInflammatory Response Figure 12.7 Copyright © 2003 Pearson Education, Inc. publishing as Benjamin Cummings Slide
  • 85.
    Antimicrobial Chemicals • Complement • A group of at least 20 plasma proteins • Activated when they encounter and attach to cells (complement fixation) Figure 12.8 Copyright © 2003 Pearson Education, Inc. publishing as Benjamin Cummings Slide
  • 86.
    Antimicrobial Chemicals • Complement (continued) • Damage foreign cell surfaces • Will rupture or lyse the foreign cell membrane Figure 12.8 Copyright © 2003 Pearson Education, Inc. publishing as Benjamin Cummings Slide
  • 88.
    Antimicrobial Chemicals • Interferon • Secreted proteins of virus-infected cells • Bind to healthy cell surfaces to inhibit viruses binding Copyright © 2003 Pearson Education, Inc. publishing as Benjamin Cummings Slide
  • 89.
    Interferons are afamily species-specific proteins synthesized by eukaryotic cells in response to viruses and a variety of natural and synthetic stimuli. There are several different interferons commonly used as therapeutics, termed alpha, beta, and gamma. These peptides are used to treat hairy cell leukemia, AIDS-related Kaposi's sarcoma, laryngeal papillomatosis, genital warts, and chronic granulomatous disease. Side effects include black tarry stools, blood in the urine, confusion, and loss of balance.
  • 90.
    Fever • Abnormally highbody temperature • Hypothalmus heat regulation can be reset by pyrogens (secreted by white blood cells) • High temperatures inhibit the release of iron and zinc from liver and spleen needed by bacteria • Fever also increases the speed of tissue repair Copyright © 2003 Pearson Education, Inc. publishing as Benjamin Cummings Slide
  • 91.
    Specific Defense: TheImmune System – Third Line of Defense • Antigen specific – recognizes and acts against particular foreign substances • Systemic – not restricted to the initial infection site • Has memory – recognizes and mounts a stronger attack on previously encountered pathogens Copyright © 2003 Pearson Education, Inc. publishing as Benjamin Cummings Slide
  • 92.
    Types of Immunity •Humoral immunity • Antibody-mediated immunity • Cells produce chemicals for defense • Cellular immunity • Cell-mediated immunity • Cells target virus infected cells Copyright © 2003 Pearson Education, Inc. publishing as Benjamin Cummings Slide
  • 93.
    Antigens (Nonself) • Anysubstance capable of exciting the immune system and provoking an immune response • Examples of common antigens • Foreign proteins • Nucleic acids • Large carbohydrates • Some lipids • Pollen grains • Microorganisms Copyright © 2003 Pearson Education, Inc. publishing as Benjamin Cummings Slide
  • 94.
    Self-Antigens • Human cellshave many surface proteins • Our immune cells do not attack our own proteins • Our cells in another person’s body can trigger an immune response because they are foreign • Restricts donors for transplants Copyright © 2003 Pearson Education, Inc. publishing as Benjamin Cummings Slide
  • 95.
    Allergies • Many smallmolecules (called haptens or incomplete antigens) are not antigenic, but link up with our own proteins • The immune system may recognize and respond to a protein-hapten combination • The immune response is harmful rather than protective because it attacks our own cells Copyright © 2003 Pearson Education, Inc. publishing as Benjamin Cummings Slide
  • 98.
    Cells of theImmune System • Lymphocytes • Originate from hemocytoblasts in the red bone marrow • B lymphocytes become immunocompetent in the bone marrow • T lymphocytes become immunocompetent in the thymus • Macrophages • Arise from monocytes • Become widely distributed in lymphoid organs Copyright © 2003 Pearson Education, Inc. publishing as Benjamin Cummings Slide
  • 99.
    Activation of Lymphocytes Figure 12.9 Copyright © 2003 Pearson Education, Inc. publishing as Benjamin Cummings Slide
  • 100.
    Humoral (Antibody-Mediated) Immune Response • B lymphocytes with specific receptors bind to a specific antigen • The binding event activates the lymphocyte to undergo clonal selection • A large number of clones are produced (primary humoral response) Copyright © 2003 Pearson Education, Inc. publishing as Benjamin Cummings Slide
  • 101.
    Humoral (Antibody Mediated) Immune Response • Most B cells become plasma cells • Produce antibodies to destroy antigens • Activity lasts for four or five days • Some B cells become long-lived memory cells (secondary humoral response) Copyright © 2003 Pearson Education, Inc. publishing as Benjamin Cummings Slide
  • 102.
    Humoral Immune Response Figure 12.10 Copyright © 2003 Pearson Education, Inc. publishing as Benjamin Cummings Slide
  • 103.
    Active Immunity • YourB cells encounter antigens and produce antibodies • Active immunity can be naturally or artificially acquired Figure 12.12 Copyright © 2003 Pearson Education, Inc. publishing as Benjamin Cummings Slide
  • 104.
    Passive Immunity • Antibodiesare obtained from someone else • Conferred naturally from a mother to her fetus • Conferred artificially from immune serum or gamma globulin • Immunological memory does not occur • Protection provided by “borrowed antibodies” Copyright © 2003 Pearson Education, Inc. publishing as Benjamin Cummings Slide
  • 105.
    Antibodies (Immunoglobulins) (Igs) •Soluble proteins secreted by B cells (plasma cells) • Carried in blood plasma • Capable of binding specifically to an antigen Copyright © 2003 Pearson Education, Inc. publishing as Benjamin Cummings Slide
  • 106.
    Antibody Classes • Antibodiesof each class have slightly different roles • Five major immunoglobulin classes – (Do Not Need to know!) • IgM – can fix complement • IgA – found mainly in mucus • IgD – important in activation of B cell • IgG – can cross the placental barrier • IgE – involved in allergies Copyright © 2003 Pearson Education, Inc. publishing as Benjamin Cummings Slide
  • 107.
    Cellular (Cell-Mediated) Immune Response • Antigens must be presented by macrophages to an immunocompetent T cell (antigen presentation) • T cells must recognize nonself and self (double recognition) • After antigen binding, clones form as with B cells, but different classes of cells are produced Copyright © 2003 Pearson Education, Inc. publishing as Benjamin Cummings Slide
  • 108.
    Cellular (Cell-Mediated) Immune Response Figure 12.15 Copyright © 2003 Pearson Education, Inc. publishing as Benjamin Cummings Slide
  • 109.
    T Cell Clones •Cytotoxic T cells • Specialize in killing infected cells • Insert a toxic chemical (perforin) • Helper T cells • Recruit other cells to fight the invaders • Interact directly with B cells Copyright © 2003 Pearson Education, Inc. publishing as Benjamin Cummings Slide
  • 111.
    T Cell Clones •Suppressor T cells • Release chemicals to suppress the activity of T and B cells • Stop the immune response to prevent uncontrolled activity • A few members of each clone are memory cells Copyright © 2003 Pearson Education, Inc. publishing as Benjamin Cummings Slide
  • 112.
    Summary of theImmune Response Figure 12.16 Copyright © 2003 Pearson Education, Inc. publishing as Benjamin Cummings Slide
  • 113.
    Organ Transplants andRejection • Major types of grafts • Autografts – tissue transplanted from one site to another on the same person • Isografts – tissue grafts from an identical person (identical twin) • Allografts – tissue taken from an unrelated person • Xenografts – tissue taken from a different animal species Copyright © 2003 Pearson Education, Inc. publishing as Benjamin Cummings Slide
  • 114.
    Organ Transplants andRejection • Autografts and isografts are ideal donors • Xenografts are never successful • Allografts are more successful with a closer tissue match Copyright © 2003 Pearson Education, Inc. publishing as Benjamin Cummings Slide
  • 115.
    BASIC CONCEPTS Components ofthe Immune System  Major Histocompatibility Complex (MHC) – membrane molecules that help the immune system recognise the self from the non-self  HLA – (Human Leukocyte Antigens) are human MHC proteins that were first detected on white blood cells; play a role in transplant rejection and are detected in immunologic tests
  • 116.
    BASIC CONCEPTS Major HistocompatibilityComplex  Key recognition molecules which is an essential feature of adaptive or specific immunity  Able to discriminate between the body’s own molecules against foreign antigens  Coded by closely linked genes in chromosome 6
  • 117.
    BASIC CONCEPTS Major HistocompatibilityComplex (Two Classes):  MHC I - differentiate viral infected and abnormal cells from normal cells  MHC II - allow appropriate interactions among immune cells
  • 119.
    Properties HLA antigens Distribution Functions Class I MHC HLA-A, HLA-B, Virtually all Present HLA-C nucleated cells processed (Human antigen to Leucocyte Antigen cytotoxic CD8 T- - helps the immune cells; restrict system distinguish the cytolysis to virus- body's own proteins from proteins made by infected cells, foreign invaders such tumor cells and as viruses transplanted cells and bacteria. ) Class II MHC HLA-DR, HLA-DP, Immune cells, Present HLA-DQ antigen- processed presenting cells, antigenic and macrophages fragments to CD4 T-cells; necessary for effective interaction among immune cells
  • 121.
    OVERVIEW  Normal cells and functions b. Most normal human cells have 23 pairs of chromosomes c. All normal cells (except the sex cells and the mature red blood cells) have the entire human genome in every cell d. Normal cells have about 35,000 genes, and about 50 of these genes are very active during embryonic life e. Normal cells undergo mitosis either to develop normal tissue during embryonic development, childhood, and adolescence or to replace lost or damaged normal tissue
  • 122.
  • 123.
    THE CELL CYCLE  The Cell Cycle – consists of 4 phases: 2. Gap 1 (G1) – the cell enlarges and synthesizes proteins to prepare for DNA replication 3. Synthesis (S) phase – DNA is replicated and the chromosomes in the cell are duplicated 4. Gap 2 (G) – the cell prepares itself for mitosis 5. Mitosis (M) phase – final step, where the parent cell divides into two exact copies called daughter cells, each having identical genetic material
  • 124.
    THE CELL CYCLE The cells after the M phase immediately enter the G1 where they begin another cell cycle again  Or the cells divert into a resting phase called G0  The cell cycle is controlled by cyclin-dependent kinases  Some cyclins cause a “braking” action and prevent the cycle from proceeding  Checkpoints in the cell cycle ensure that it proceeds in the correct order
  • 125.
    THE CELL CYCLE A malfunction of any of these regulators of cell growth and division can result in the rapid proliferation of immature cells  In some cases these proliferating immature cells are considered cancerous (malignant)  Knowledge of the cell cycle events is used in the development of chemotherapeutic drugs, which are designed to disrupt the cancer cells during different stages of their cell cycle
  • 126.
    OVERVIEW  In embryoniclife, there are early development genes called proto-oncogenes, and their activity is not needed after embryonic life  Other genes are called tumor suppressor genes, which slow down cell division, repair DNA mistakes, and tell cells when to die (apoptosis, or programmed cell death)  Tumor suppressor genes can also reduce expression of proto-oncogenes by negative feedback mechanisms  Proto-oncogenes are not abnormal genes, and are part of every human’s normal cellular DNA
  • 127.
    Normal Cell Reversible (homeostasis) Injury Stress Injurious Mild, stimulus transient Adaptation Cell Injury Inability to adapt Severe, progressive Irreversible Injury Necrosis CELL Apoptosis DEATH
  • 128.
    OVERVIEW  Adaptations are reversible changes in the size, number, phenotype, metabolic activity, or functions of cells in response to changes in their environment l Hypertrophy – increase in the size of cells, resulting in an increase in the size of the organ i Hyperplasia – an increase in the number in an organ or tissue, usually resulting in increased mass of the organ or tissue n Atrophy – reduced size of an organ or tissue resulting from a decrease in cell size and number
  • 129.
    OVERVIEW a. Metaplasia – reversible change in which one differentiated cell type (epithelial or mesenchymal) is replaced by another cell type b. Necrosis – cell death c. Apoptosis – programmed cell death d. Differentiation - process by which cells or tissues undergo a change toward a more specialized form or function, especially during embryonic development e. Dysplasia f. Anaplasia
  • 130.
    OVERVIEW a. Dysplasia - abnormal development or growth of tissues, organs, or cells b. Anaplasia - abnormal development or growth of tissues, organs, or cells
  • 138.
    EPIDEMIOLOGY OF CANCER 2004 – The American Cancer Society estimates that 1,368,030 people will be diagnosed with cancer in the US  Cancer continues to be the second leading cause of death in the US  62% of those diagnosed with cancer can expect to be alive in 5 years  Incidence and mortality rates for cancer have dropped approximately 1% per year since 1991
  • 139.
    EPIDEMIOLOGY OF CANCER The American Cancer Society has established the goal of a 25% reduction in the overall age- adjusted cancer incidence rate and a 50% reduction in the overall age-adjusted cancer mortality rate by 2015  Nurses should play a pivotal role in the attainment of these goals through active involvement in cancer prevention and early detection activities  Survival rate represents the percentage of persons alive 5 years from now after diagnosis, whether cured, in remission, or with evidence of disease
  • 140.
    Estimated New Cases Estimated New Deaths Male Female Male Female Prostate (38%) Breast (32%) Lung and Lung and Lung and Lung and bronchus (31%) bronchus (27%) bronchus (13%) bronchus (12%) Prostate (10%) Breast (15%) Colon and rectum Colon and rectum Colon and rectum Colon and rectum (10%) (11%) (10%) (10%) Urinary bladder Uterine corpus Pancreas (5%) Ovary (6%) (7%) (6%) Leukemia (4%) Pancreas (6%) Melanoma of the Non-Hodgkin Esophagus (4%) Leukemia (4%) skin (5%) lymphoma (4%) Liver and Non-Hodgkin Non-Hodgkin Melanoma of the intrahepatic bile lymphoma (3%) lymphoma (4%) skin (4%) duct (3%) Uterine corpus Kidney and renal Ovary (3%) Non-Hodgkin (3%) pelvis (3%) Thyroid (3%) lymphoma (3%) Multiple myeloma Leukemia (3%) Urinary bladder Kidney and renal (2%) Oral cavity and (2%) pelvis (3%) Brain and other pharynx (3%) Pancreas (2%) All sites (100%) nervous system Pancreas (2%) All sites (100%) (2%) All sites (100%) All sites (100%)
  • 141.
    Estimated Incidence (2008) Estimated Deaths (2008) Male Female Male Female Melanoma of the Melanoma of the Lung (31%) Brain (2%) skin (5%) skin (4%) Esophagus (4%) Lung (26%) Oropharynx (3%) Thyroid (4%) Liver (4%) Breast (15%) Lung (15%) Lung (14%) Pancreas (6%) Liver (2%) Pancreas (3%) Breast (26%) Kidney (3%) Pancreas (6%) Kidney (4%) Kidney (3%) Colon and rectum Colon and rectum Colon and rectum Colon and rectum (8%) (9%) (10%) (10%) Urinary bladder Ovary (6%) Urinary bladder Ovary (3%) (3%) Uterus (3%) (7%) Uterus (6%) Prostate (10%) Leukemia (3%) Prostate (25%) Leukemia (3%) Leukemia (4%) Non-Hodgkin Leukemia (3%) Non-Hodgkin Non-Hodgkin Lymphoma (3%) Hon-Hodgkin lymphoma (4%) Lymphoma (3%) All others (25%) lymphoma (5%) All others (23%) All others (24%) All others (20%) Robbins Pathologic Basis of Disease 8th edition
  • 142.
    EPIDEMIOLOGY OF CANCER  Risk factors 2. Heredity – 5 to 10% of cancers have a hereditary component 3. Age – 76% of cases occur after age 55; hormonal changes, immune system changes 4. Gender 5. Poverty 6. Stress 7. Diet 8. Occupation 9. Infection 10. Tobacco use 11. Alcohol use 12. Recreational drug use 13. Obesity – increased risk of hormone-dependent cancers 14. Sun exposure
  • 143.
    EPIDEMIOLOGY OF CANCER  Endogenous risk factors: 2. Genetic predisposition 3. Sex 4. Age 5. Race 6. Family history  Exogenous risk factors: 8. Alcohol 9. Diet 10.Exercise 11.Occupational exposure 12.Cigarette smoking 13.Sexual activity
  • 144.
    EPIDEMIOLOGY OF CANCER RiskFactors and Signs and Symptoms of Common Cancers Cancer Site Risk Factors Signs and Symptoms Breast Female gender Lump or mass Age >50 years Thickening in breast or Family history axilla Personal history of breast cancer Change in size or contour 2 or more first-degree relatives or texture Known BRCA1 or BRCA2 mutation Skin dimpling or retraction Biopsy history Peau d’orange skin Atypical hyperplasia Nipple discharge, DCIS or LCIS retraction, or scaliness Postmenopausal obesity Erythema Early menarche/late menopause Pain or tenderness Late first pregnancy/nulliparous OCP Radiation to chest wall Alcohol Obesity and high fat diet Hormone replacement therapy
  • 145.
    EPIDEMIOLOGY OF CANCER RiskFactors and Signs and Symptoms of Common Cancers Cancer Site Risk Factors Signs and Symptoms Prostate Male gender Weak urinary stream and Age >50 years urinary frequency African American ethnicity Difficulty in initiating Family history of first-degree stream or stopping urinary relative (greater if first-degree stream relative diagnosed before age 40) Pain or burning on High-fat diet urination Colorectal Age >60 years Urinary retention Inflammatory bowel conditions Hematuria Sedentary lifestyle Diet high in fat and low in fruits and vegetables Heavy alcohol consumption Family history of colorectal cancer especially if before the age of 40
  • 146.
    EPIDEMIOLOGY OF CANCER RiskFactors and Signs and Symptoms of Common Cancers Cancer Site Risk Factors Signs and Symptoms Prostate Male gender Weak urinary stream and Age >50 years urinary frequency African American ethnicity Difficulty in initiating Family history of first-degree stream or stopping urinary relative (greater if first-degree stream relative diagnosed before age 40) Pain or burning on High-fat diet urination Colorectal Familial genetic syndromes, e.g., Urinary in bowel habits Change retention familial adenomatous polyposis Hematuria Rectal bleeding (FAP) and hereditary nonpolyposis Abdominal pain colon cancer (HNPCC) Decreased diameter of stools Anemia Rectal pressure or pain Weight loss anorexia
  • 147.
    EPIDEMIOLOGY OF CANCER RiskFactors and Signs and Symptoms of Common Cancers Cancer Site Risk Factors Signs and Symptoms Lung Cigarette smoking Chronic cough and Occupational exposure to asbestos, wheezing arsenic, chromium, coal products, Persistent respiratory nickel refining, smelter workers, infections ionizing radiation, radon Dull chest pain Hemoptysis Dyspnea Weight loss
  • 148.
    EPIDEMIOLOGY OF CANCER  Carcinogens b. Viruses c. Drugs and hormones – can be either genotoxic or promotional d. Chemical agents – both genotoxic and promotional e. Physical agents – for example radiation
  • 149.
    Chemical Carcinogens andRelationship to Occupation Chemical Agent Action Occupation Polycyclic hydrocarbons Genotoxic Miners, coal/gas (smoke, soot, tobacco, workers, chimner smoked foods) sweeps, migrant worker, workers in offices where Benzopyrene Genotoxic smoking is allowed Pesticide manufacturers, Arsenic mining Vinyl chloride Promotional Plastic workers Artistis Methylaminobenzine Genotoxic Fabric workers Rubber and glue workers
  • 150.
    Chemical Carcinogens andRelationship to Occupation Chemical Agent Action Occupation Asbestos Promotional Construction workers, workers in old, run-down buildings with asbestos insulation, insulation makers Wood and leather dust Promotional Woodwrokers, carpenters, leather Chemotherapy drugs Genotoxic toolers Drug manufacturers, pharmacists, nurses
  • 151.
    Occupational Cancers Agent Cancer Typical use or occurrence Arsenic and arsenic Lung, skin, Byproduct of metal compounds hemangiosarcoma smelting; component of alloys, electrical and semiconductor devises, medications and herbicides, fungicides, and animal dips Asbestos Lung, mesothelioma, Formerly used for many esophagus, stomach, applications because of large intestine fire, heat and friction resistance, still found in existing construction as well as fire-resistant textiles, friction materials (brake linings), underlayment and roofing papers, floor tiles
  • 152.
    Occupational Cancers Agent Cancer Typical use or occurrence Benzene Leukemia, Hodgkin Principal component of lymphoma light oil, despite known risk, many applications exist in printing and lithography, paint, rubber, dry cleaning, adhesives and coatings, and detergents, formerly widely used as solvent and fumigant Beryllium and beryllium Lung Missile fuel and space compounds vehicles, hardener for lightweight metal alloys, particularly in aerospace applications and nuclear reactors
  • 153.
    Occupational Cancers Agent Cancer Typical use or occurrence Chromium compounds Lung Component of metal alloys, paints, pigments, and preservatives Nickel compounds Nose, lung Nickel plating, component of ferrous alloys, ceramics, and batteries, by-product of stainless steel arc Radon and its decay Lung welding From decay of minerals products containing uranium, potentially serious hazard in quarries and underground mines Vinyl chloride Angiosarcoma Refrigerant, monomer for vinyl polymers, adhesive for plastics, formerly inert aerosol propellant un pressurized containers
  • 154.
    Occupational Cancers Agent Cancer Typical use or occurrence Cadmium and cadmium Prostate Uses include yellow compounds pigments and phosphors; found in solders; used in batteries and as alloy and in metal platings and coatings
  • 155.
    EPIDEMIOLOGY OF CANCER  HSV types I and II b. Carcinoma of the lip c. Cervical carcinoma d. Kaposi sarcoma  Human CMV f. Kaposi sarcoma g. Prostate carcinoma
  • 156.
    EPIDEMIOLOGY OF CANCER  EBV a. Burkitt lymphoma  HBV a. Primary HCC  Papillomavirus f. Malignant melanoma g. Cervical, penile, and laryngeal cancers  HTLV i. Adult T-cell leukemia and lymphoma j. Kaposi sarcoma
  • 157.
    EPIDEMIOLOGY OF CANCER Approximately three fourths of all cancers occur in people over the age of 55  Overall cancer incidence in males has stabilized in recent years when compared with that in females  Men have a higher lifetime probability of developing and dying of cancer than women, but men have a greater recent decline in death rates  Children – overall, cancer is the leading cause of death due to disease in children between 1 and 14 years of age
  • 158.
    EPIDEMIOLOGY OF CANCER Causeof Death by Age Age (years) Males Females 20-39 1. Brain/CNS 1. Breast 2. Leukemia 2. Uterine/cervix 3. Lung 3. Leukemia 40-59 1. Lung 1. Breast 2. Colorectal 2. Lung 3. Pancreas 3. Colorectal 60-79 1. Lung 1. Lung 2. Colorectal 2. Breast 3. Prostate 3. Colorectal >80 1. Lung 1. Lung 2. Prostate 2. Colorectal 3. Colorectal 3. Breast
  • 159.
    THE ROLE OFTHE NURSE  Education  Monitoring  Documentation  Proper referral  Being up to date