Embed presentation
Download to read offline

















































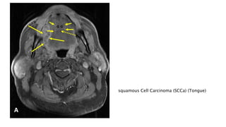
The document outlines the diagnosis of squamous cell carcinoma, detailing methods such as biopsy, imaging studies, and histopathological examination. It emphasizes the importance of tissue samples and various imaging tests to determine the cancer's size and spread. The focus is particularly on cases involving the oral cavity, including the tongue.
















































