www.amm.id
SOSIALISASI HIV-AIDS
PT ANTAREJA MAHADA MAKMUR – SITE ALAMJAYA BARA PRATAMA
SAMARINDA, 19 DESEMBER 2021
Apakah HIV dan AIDS ?
HIV
Human
Immunodeficiency
Virus
Virus yang hanya terdapat di
dalam tubuh manusia dan
menyebabkan turunnya
kekebalan tubuh  tubuh
gagal melawan infeksi
AIDS
Acquired
Immune
Deficiency
Syndrome
Kumpulan gejala (infeksi
opotunistik) yang disebabkan
oleh penurunan kekebalan
tubuh, akibat tertular infeksi
HIV dari orang lain
HIV
• menyerang sistem kekebalan tubuh (sel darah
putih- limfosit- Sel T) sehingga kekebalan tubuh
menurun
• memiliki kemampuan untuk “mengkopi-cetak”
sehingga virus bertambah banyak dalam tubuh
cairan sperma
darah
HIV terdapat di…
cairan vagina
air susu ibu
HIV dalam cairan tubuh
Semen
11,000 Cairan
Vagina
7,000
Darah
18,000
Cairan
Amnion
4,000 Saliva
1
Rerata jumlah partikel HIV dalam 1 ml cairan tubuh tsb
• Hubungan Seks yang
berisiko
 Seks Vaginal
 Seks Anal
• Darah
 Tranfusi darah
 Jarum suntik yang
tercemar
• Ibu ke bayi
 Kehamilan
 Melahirkan
 Menyusui
HIV Ditularkan Melalui…
HIV TIDAK Ditularkan…
Tanda2 HIV?
Dapatkah anda mengetahui yang mana terkena HIV?
TIDAK! ODHA tak dapat diketahui melalui tanda klinis.
HIV Dapat Dicegah…
• Berperilaku seks yang “aman”
• Kewaspadaan Standar
(pada tenaga kesehatan)
• Skrining darah donor
• Program pencegahan
penularan HIV dari ibu ke anak
==== ====== ================ ===== ========= ====
Masuk
HIV
3 bln
Masa
Jendela
5-10 tahun
Nampak sehat/
tanpa gejala
- demam
- selera makan
turun
- diare
- BB turun
drastis
Gejala AIDS
- Radang paru
- Radang sal cerna
- Kanker kulit
- Radang krn jamur
- TB
Meninggal
Sejak masuknya HIV, seseorang dapat menularkan HIV
sepanjang hidupnya
2 th
Perjalanan Penyakit
Dari Infeksi HIV Menjadi AIDS
Diagnosis HIV
1. Ditemukannya
antibodi HIV dlm
darah
• Jenis tes antibodi HIV:
• Rapid Test
• ELISA
• Western Blot
Diagnosis HIV
• Pemeriksaan
antigen HIV dlm
darah
• Jenis tes antigen:
• PCR RNA
• PCR DNA
• p24
• NAAT
Stadium 1
Asimptomatik
Stadium 2
Sakit ringan
Stadium 3
Sakit sedang
Stadium 4
Sakit berat (AIDS)
Berat
badan
Tidak ada penurunan
berat badan
Penurunan BB 5-10% Penurunan berat badan >
10%
Sindroma wasting HIV
Gejala Tidak ada gejala
atau hanya :
• Limfadenopati
Generalisata
Persisten
• Luka di sekitar bibir
(keilitis angularis)
• Ruam kulit yang gatal
(seboroik atau
prurigo)
• Herpes zoster dalam
5 tahun terakhir
• ISPA berulang,
misalnya sinusitis
atau otitis
• Ulkus mulut berulang
• Kandidiasis oral atau
vaginal
• Oral hairy leukoplakia
• Diare, Demam yang
tidak diketahui
penyebabnya, lebih dari
1 bulan
• infeksi bakterial yang
berat (pneumoni,
piomiositis, dll)
• TB Paru dalam 1 tahun
terakhir
• TB limfadenopati
• Gingivitis/Periodontitis
• Kandidiasis
esophageal
• Herpes Simpleks
ulseratif lebih dari satu
bulan.
• Limfoma
• Sarkoma kaposi
• Kanker serviks
invasive
• Retinitis CMV
• Pneumonia
pnemosistis
• TB Extraparu
• Abses otak
Toksoplasmosis
• Meningitis Kriptokokus
• Encefalopati HIV
Stadium Klinis Infeksi HIV
Stadium klinis 1
Limfadenopati Generalisata Persisten (LGP)
• Pembengkakan kronis
kelenjar getah bening
yang biasanya
berdiameter >1cm,
ditemukan paling sedikit
di 2 tempat selama 3
bulan atau lebih.
• Biasanya di oksipital,
leher bagian belakang,
aksila .
Stadium klinis 2
Dermatitis seboroik
Lesi kulit bersisik yang
timbul antara batas wajah
dan rambut, sisi hidung
atau dada. Sisik dengan
dasar kemerahan
Pruritic papular eruption (PPE)
Lesi kulit yang gatal pada
lengan dan tungkai. Sering
disertai papul kecil dan
bekas garukan. Lesi kulit ini
akan meninggalkan bercak
warna gelap dengan warna
lebih terang di tengahnya
Herpes zoster
• Biasanya menyerang di daerah
dada, tetapi dapat juga timbul di
tungkai, lengan atau wajah.
Vesikel hanya terdapat pada satu
sisi tubuh saja disertai nyeri.
Kadang nyeri menetap sesudah
lesi sembuh.
• Vesikel dapat pecah akibat
garukan dan menjadi krusta
hemoragik (mengandung darah).
• Biasanya memerlukan waktu 2-3
minggu untuk sembuh. Dapat
menimbulkan jaringan parut.
Ulserasi berulang pada mulut
Luka berulang pada
mukosa mulut gigi dan
gusi
Keilitis angularis
Luka pada sudut mulut
yang kronis disebabkan
oleh kandida.
Stadium klinis 3
Kandidiasis oral
Bercak putih pada
permukaan mukosa lidah
dan mulut, yang
disebabkan oleh kandida,
yang dapat hilang jika
dikerok. Kadang-kadang
muncul seperti bercak
kemerahan.
Oral hairy leukoplakia
• Bercak putih halus di pinggir
lidah yang terlihat sebagai
garis vertikal dan tidak dapat
dikerok disebut oral hairy
leukoplakia yang disebabkan
oleh HPV. Keadaan tersebut
berbeda dengan kandida
dan tidak perlu diberikan
obat antijamur
• Penyakit ini hanya dapat
sembuh setelah
mendapatkan ARV
24 July 2022 27
Stadium klinis 4
• HIV wasting syndrome (BB turun 10% + diare kronik
> 1 bln atau demam >1 bln yg tdk disebabkan peny lain)
• Pneumonia Pneumocystis (PCP)
• Pneumonia bakteri berat yg berulang
• Infeksi herpes simpleks kronis (orolabial, genital atau
anorektal > 1 bulan atau viseral)
• Kandidiasis esofagus (atau trakea, bronkus, paru)
• TB ekstra paru
• Sarkoma Kaposi
• Infeksi Cytomegalovirus (CMV) (retinitis atau organ lain)
• Toksoplasmosis SSP
• Ensefalopati HIV
• Kriptokokus ektra pulmoner termasuk meningitis
Stadium Klinis 4
Stadium Klinis 4 (lanjutan)
• Infeksi mikobakteri non-TB diseminata
• Progressive multifocal leukoencephalopathy
• Cryptosprodiosis kronis
• Isosporiasis kronis
• Mikosis diseminata (histoplasmosis atau
coccidioidomycosis ekstra paru)
• Septikemi berulang (a.l. Salmonella non-typhoid)
• Limfoma (serebral atau non Hodgkin sel B)
• Karsinoma serviks invasif
• Leishmaniasis diseminata atipik
• Nefropati atau kardiomiopati terkait HIV yg simtomatis
Apakah HIV-AIDS dapat disembuhkan..?
Belum…
Tapi ada ARV yang dapat menekan
jumlah virus dalam darah 
memperbaiki kuallitas hidup odha
ARV (Anti Retro Viral)
• Obat yang dapat menekan jumlah virus dalam darah
• Diberikan kepada ODHA apabila sudah memenuhi
syarat minum obat (pemeriksaan klinis dan
laboratorium)
• Diminum secara teratur, tepat waktu dan seumur
hidup
• Disediakan pemerintah GRATIS, di RS Rujukan ARV
seluruh Indonesia
STIGMA DAN DISKRIMINASI
•HIV adalah infeksi menular
•AIDS adalah penyakit yang mematikan
•Populasi kunci sudah mendapat stigma &
diskriminasi dari masyarakat
•HIV/AIDS menjadi sesuatu yang
menakutkan dan membawa aib
www.amm.id
Terima Kasih

Presentasi HIV MTS fix.pptx

  • 1.
    www.amm.id SOSIALISASI HIV-AIDS PT ANTAREJAMAHADA MAKMUR – SITE ALAMJAYA BARA PRATAMA SAMARINDA, 19 DESEMBER 2021
  • 2.
  • 3.
    HIV Human Immunodeficiency Virus Virus yang hanyaterdapat di dalam tubuh manusia dan menyebabkan turunnya kekebalan tubuh  tubuh gagal melawan infeksi AIDS Acquired Immune Deficiency Syndrome Kumpulan gejala (infeksi opotunistik) yang disebabkan oleh penurunan kekebalan tubuh, akibat tertular infeksi HIV dari orang lain
  • 4.
    HIV • menyerang sistemkekebalan tubuh (sel darah putih- limfosit- Sel T) sehingga kekebalan tubuh menurun • memiliki kemampuan untuk “mengkopi-cetak” sehingga virus bertambah banyak dalam tubuh
  • 6.
    cairan sperma darah HIV terdapatdi… cairan vagina air susu ibu
  • 7.
    HIV dalam cairantubuh Semen 11,000 Cairan Vagina 7,000 Darah 18,000 Cairan Amnion 4,000 Saliva 1 Rerata jumlah partikel HIV dalam 1 ml cairan tubuh tsb
  • 8.
    • Hubungan Seksyang berisiko  Seks Vaginal  Seks Anal • Darah  Tranfusi darah  Jarum suntik yang tercemar • Ibu ke bayi  Kehamilan  Melahirkan  Menyusui HIV Ditularkan Melalui…
  • 9.
  • 10.
    Tanda2 HIV? Dapatkah andamengetahui yang mana terkena HIV? TIDAK! ODHA tak dapat diketahui melalui tanda klinis.
  • 11.
    HIV Dapat Dicegah… •Berperilaku seks yang “aman” • Kewaspadaan Standar (pada tenaga kesehatan) • Skrining darah donor • Program pencegahan penularan HIV dari ibu ke anak
  • 12.
    ==== ====== ===================== ========= ==== Masuk HIV 3 bln Masa Jendela 5-10 tahun Nampak sehat/ tanpa gejala - demam - selera makan turun - diare - BB turun drastis Gejala AIDS - Radang paru - Radang sal cerna - Kanker kulit - Radang krn jamur - TB Meninggal Sejak masuknya HIV, seseorang dapat menularkan HIV sepanjang hidupnya 2 th Perjalanan Penyakit Dari Infeksi HIV Menjadi AIDS
  • 13.
    Diagnosis HIV 1. Ditemukannya antibodiHIV dlm darah • Jenis tes antibodi HIV: • Rapid Test • ELISA • Western Blot
  • 14.
    Diagnosis HIV • Pemeriksaan antigenHIV dlm darah • Jenis tes antigen: • PCR RNA • PCR DNA • p24 • NAAT
  • 15.
    Stadium 1 Asimptomatik Stadium 2 Sakitringan Stadium 3 Sakit sedang Stadium 4 Sakit berat (AIDS) Berat badan Tidak ada penurunan berat badan Penurunan BB 5-10% Penurunan berat badan > 10% Sindroma wasting HIV Gejala Tidak ada gejala atau hanya : • Limfadenopati Generalisata Persisten • Luka di sekitar bibir (keilitis angularis) • Ruam kulit yang gatal (seboroik atau prurigo) • Herpes zoster dalam 5 tahun terakhir • ISPA berulang, misalnya sinusitis atau otitis • Ulkus mulut berulang • Kandidiasis oral atau vaginal • Oral hairy leukoplakia • Diare, Demam yang tidak diketahui penyebabnya, lebih dari 1 bulan • infeksi bakterial yang berat (pneumoni, piomiositis, dll) • TB Paru dalam 1 tahun terakhir • TB limfadenopati • Gingivitis/Periodontitis • Kandidiasis esophageal • Herpes Simpleks ulseratif lebih dari satu bulan. • Limfoma • Sarkoma kaposi • Kanker serviks invasive • Retinitis CMV • Pneumonia pnemosistis • TB Extraparu • Abses otak Toksoplasmosis • Meningitis Kriptokokus • Encefalopati HIV Stadium Klinis Infeksi HIV
  • 16.
  • 17.
    Limfadenopati Generalisata Persisten(LGP) • Pembengkakan kronis kelenjar getah bening yang biasanya berdiameter >1cm, ditemukan paling sedikit di 2 tempat selama 3 bulan atau lebih. • Biasanya di oksipital, leher bagian belakang, aksila .
  • 18.
  • 19.
    Dermatitis seboroik Lesi kulitbersisik yang timbul antara batas wajah dan rambut, sisi hidung atau dada. Sisik dengan dasar kemerahan
  • 20.
    Pruritic papular eruption(PPE) Lesi kulit yang gatal pada lengan dan tungkai. Sering disertai papul kecil dan bekas garukan. Lesi kulit ini akan meninggalkan bercak warna gelap dengan warna lebih terang di tengahnya
  • 21.
    Herpes zoster • Biasanyamenyerang di daerah dada, tetapi dapat juga timbul di tungkai, lengan atau wajah. Vesikel hanya terdapat pada satu sisi tubuh saja disertai nyeri. Kadang nyeri menetap sesudah lesi sembuh. • Vesikel dapat pecah akibat garukan dan menjadi krusta hemoragik (mengandung darah). • Biasanya memerlukan waktu 2-3 minggu untuk sembuh. Dapat menimbulkan jaringan parut.
  • 22.
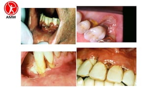
    Ulserasi berulang padamulut Luka berulang pada mukosa mulut gigi dan gusi
  • 23.
    Keilitis angularis Luka padasudut mulut yang kronis disebabkan oleh kandida.
  • 24.
  • 25.
    Kandidiasis oral Bercak putihpada permukaan mukosa lidah dan mulut, yang disebabkan oleh kandida, yang dapat hilang jika dikerok. Kadang-kadang muncul seperti bercak kemerahan.
  • 26.
    Oral hairy leukoplakia •Bercak putih halus di pinggir lidah yang terlihat sebagai garis vertikal dan tidak dapat dikerok disebut oral hairy leukoplakia yang disebabkan oleh HPV. Keadaan tersebut berbeda dengan kandida dan tidak perlu diberikan obat antijamur • Penyakit ini hanya dapat sembuh setelah mendapatkan ARV
  • 27.
  • 28.
  • 29.
    • HIV wastingsyndrome (BB turun 10% + diare kronik > 1 bln atau demam >1 bln yg tdk disebabkan peny lain) • Pneumonia Pneumocystis (PCP) • Pneumonia bakteri berat yg berulang • Infeksi herpes simpleks kronis (orolabial, genital atau anorektal > 1 bulan atau viseral) • Kandidiasis esofagus (atau trakea, bronkus, paru) • TB ekstra paru • Sarkoma Kaposi • Infeksi Cytomegalovirus (CMV) (retinitis atau organ lain) • Toksoplasmosis SSP • Ensefalopati HIV • Kriptokokus ektra pulmoner termasuk meningitis Stadium Klinis 4
  • 30.
    Stadium Klinis 4(lanjutan) • Infeksi mikobakteri non-TB diseminata • Progressive multifocal leukoencephalopathy • Cryptosprodiosis kronis • Isosporiasis kronis • Mikosis diseminata (histoplasmosis atau coccidioidomycosis ekstra paru) • Septikemi berulang (a.l. Salmonella non-typhoid) • Limfoma (serebral atau non Hodgkin sel B) • Karsinoma serviks invasif • Leishmaniasis diseminata atipik • Nefropati atau kardiomiopati terkait HIV yg simtomatis
  • 31.
    Apakah HIV-AIDS dapatdisembuhkan..? Belum… Tapi ada ARV yang dapat menekan jumlah virus dalam darah  memperbaiki kuallitas hidup odha
  • 32.
    ARV (Anti RetroViral) • Obat yang dapat menekan jumlah virus dalam darah • Diberikan kepada ODHA apabila sudah memenuhi syarat minum obat (pemeriksaan klinis dan laboratorium) • Diminum secara teratur, tepat waktu dan seumur hidup • Disediakan pemerintah GRATIS, di RS Rujukan ARV seluruh Indonesia
  • 33.
    STIGMA DAN DISKRIMINASI •HIVadalah infeksi menular •AIDS adalah penyakit yang mematikan •Populasi kunci sudah mendapat stigma & diskriminasi dari masyarakat •HIV/AIDS menjadi sesuatu yang menakutkan dan membawa aib
  • 34.