Pancreas anatomy and
physiology
Moderator : Dr Sahilu ( General and Hepatobiliary surgeon )
Dr Habtamu A. ( SR 1)
Contents
• Gross anatomy
• Vascular supply
• Pancreatic duct anatomy
• Neuroanatomy
• Physiology
• Investigation
• Summary of clinically significant points
• Retroperitoneal organ
• Weights 75 to 100 gm and is about 15 t0 20 cm long
• 4 regions
• It is an endodermally derived organ, consisting of two
morphologically distinct tissues, the exocrine and endocrine pancreas
Embryology
Head of pancreas
• The head of the pancreas is nestled in the C-loop of the duodenum
and is posterior to the transverse mesocolon.
• Just posterior to the head of the pancreas lie the vena cava, the right
renal artery and both renal veins
• The common bile duct runs in a deep groove on the posterior aspect
of the pancreatic head
Neck of pancreas
• The neck of the pancreas lies directly anterior to the portal vein.
• At the inferior border of the neck of the pancreas, the superior
mesenteric vein joins the splenic vein
• The neck of the pancreas is anterior to the vertebral body of L1 and
L2
• The neck divides the pancreas into approximately two equal halves.
Body and tail
• The body and tail of the pancreas lie just anterior to the splenic artery and
vein.
• The anterior surface of the body of the pancreas is covered by peritoneum.
• Once the gastrocolic omentum is divided, the body and tail of the pancreas
can be seen along the floor of the lesser sac, just posterior to the stomach
• The base of the transverse mesocolon attaches to the inferior margin of the
body and tail of the pancreas
• the tail is nestled in the hilum of the spleen near the splenic flexure of the
left colon
Pancreatic Duct Anatomy
• The duct of the ventral anlage becomes the duct of Wirsung, and the
duct from the dorsal anlage becomes the duct of Santorini.
• The ducts from each anlage usually fuse together in the pancreatic
head
• most of the pancreas drains through the duct of Wirsung, or main
pancreatic duct, into the common channel formed from the bile duct
and pancreatic duct.
• The length of the common channel is variable.
• In approximately 30% of patients, the duct of Santorini ends as a blind
accessory duct and does not empty into the duodenum
• main pancreatic duct is usually only 2 to 3 mm in diameter and runs
midway between the superior and inferior borders of the pancreas,
• Main pancreatic duct closer to the posterior than to the anterior
surface
• The muscle fibers around the ampulla form the sphincter of Oddi,
which controls the flow of pancreatic and biliary secretions into the
duodenum.
• Contraction and relaxation of the sphincter is regulated by complex
neural and hormonal factors.
Arterial supply
• The blood supply to the pancreas comes from multiple branches from
the celiac and superior mesenteric arteries
• The common hepatic artery gives rise to the gastroduodenal artery
• The gastroduodenal artery then travels inferiorly anterior to the neck
of the pancreas and posterior to the duodenal bulb.
• At the inferior border of the duodenum, the gastroduodenal artery
then gives rise to the right gastroepiploic artery then continues on as
the anterior superior pancreaticoduodenal artery
• superior mesenteric artery gives off inferior pancreaticoduodenal
artery .
• Variations in the arterial anatomy occur in one out of five patients.
• It is important to look for this variation on preoperative computed
tomographic (CT) scans and in the operating room
• The body and tail of the pancreas are supplied by multiple branches
of the splenic artery.
• The inferior pancreatic artery usually arises from the superior
mesenteric artery
Venous drainage
• The venous drainage of the pancreas follows a pattern similar to that
of the arterial supply (Fig. 33-5). The veins are usually superficial to
the arteries within the parenchyma of the pancreas.
• There is an anterior and posterior venous arcade within the head of
the pancreas.
• The superior veins drain directly into the portal vein just above the
neck of the pancreas.
• The posterior inferior arcade drains directly into the inferior
mesenteric vein.
• These venous tributaries must be divided during a Whipple procedure
• The anterior inferior pancreaticoduodenal vein joins the right
gastroepiploic vein and the middle colic vein.
• There also are numerous small venous branches coming from the
pancreatic parenchyma directly into the lateral and posterior aspect
of the portal vein.
• Venous return from the body and tail of the pancreas drains into the
splenic vein
Lymphatic drainage
• The profuse network of lymphatic drainage provides egress to tumor
cells arising from the pancreas.
• The pancreatic lymphatics also communicate with lymph nodes in the
transverse mesocolon and mesentery of the proximal jejunum.
Neuroanatomy
• The pancreas is innervated by the sympathetic and parasympathetic
nervous systems.
• The parasympathetic system stimulates endocrine and exocrine
secretion and the sympathetic system inhibits secretion.
• The pancreas also has a rich supply of afferent sensory fibers, which
are responsible for the intense pain
Physiology
• The exocrine pancreas accounts for about 85% of the pancreatic mass
• 10% of the gland is accounted for by extracellular matrix, and 4% by
blood vessels and the major ducts
• only 2% of the gland is comprised of endocrine tissue.
• regulates the type of digestion, its rate, and the processing and
distribution of absorbed nutrients.
• only approximately 20% of the normal pancreas is required to prevent
insufficiency
Exocrine pancreas
• patients can live without a pancreas when insulin and digestive enzyme
replacement are administered.
• The pancreas secretes approximately 500 to 800 mL per day of colourless ,
odourless , alkaline, isosmotic pancreatic juice.
• Pancreatic juice is a combination of acinar cell and duct cell secretions.
• The centroacinar and intercalated duct cells secrete the water and
electrolytes present in the pancreatic juice.
• About 40 acinar cells are arranged into a spherical unit called an
acinus.
• Centroacinar cells are located near the center of the acinus and are
responsible for fluid and electrolyte secretion.
• These cells contain the enzyme carbonic anhydrase, which is needed
for bicarbonate secretion.
• Secretin is the major stimulant for bicarbonate secretion
• CCK also stimulates bicarbonate secretion, but to a much lesser
extent than secretin.
• CCK potentiates secretin-stimulated bicarbonate secretion.
• Gastrin and acetylcholine, both stimulants of gastric acid secretion,
are also weak stimulants of pancreatic bicarbonate secretion.
• The endocrine pancreas also influences the adjacent exocrine
pancreatic secretions.
Endocrine pancreas
• There are nearly 1 million islets of Langerhans in the normal adult
pancreas
• Most islets contain 3000 to 4000 cells of five major types
Investigation
• Pancreatic function tests
• Estimation of pancreatic enzymes in body fluids
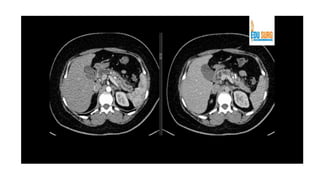
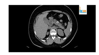
• Imaging
• Ultrasonography
• Computed tomography
• Magnetic resonance imaging
• Endoscopic retrograde cholangiopancreatography
• Endoscopic ultrasound
Summary (clinically significant )
• Plane between neck of pancreas and portal vein
• Splenic vein run in a groove on posterior side fed by multiple fragile
branches
• Window of wisnlsow connect the 2 sac in the abdomen
• Neck found at the L1 nd L2
• Gastroduodenal artery pass through duodenal bulb
• Head of pancreas and duodenum share significant vascular supply
• Islet cells have different distribution in pancreas
• Preoperative imaging is important to pick anatomic variant
References
THANK YOU

PANCREAS.pptx

  • 1.
    Pancreas anatomy and physiology Moderator: Dr Sahilu ( General and Hepatobiliary surgeon ) Dr Habtamu A. ( SR 1)
  • 2.
    Contents • Gross anatomy •Vascular supply • Pancreatic duct anatomy • Neuroanatomy • Physiology • Investigation • Summary of clinically significant points
  • 3.
    • Retroperitoneal organ •Weights 75 to 100 gm and is about 15 t0 20 cm long • 4 regions • It is an endodermally derived organ, consisting of two morphologically distinct tissues, the exocrine and endocrine pancreas
  • 4.
  • 6.
    Head of pancreas •The head of the pancreas is nestled in the C-loop of the duodenum and is posterior to the transverse mesocolon. • Just posterior to the head of the pancreas lie the vena cava, the right renal artery and both renal veins • The common bile duct runs in a deep groove on the posterior aspect of the pancreatic head
  • 10.
    Neck of pancreas •The neck of the pancreas lies directly anterior to the portal vein. • At the inferior border of the neck of the pancreas, the superior mesenteric vein joins the splenic vein • The neck of the pancreas is anterior to the vertebral body of L1 and L2 • The neck divides the pancreas into approximately two equal halves.
  • 11.
    Body and tail •The body and tail of the pancreas lie just anterior to the splenic artery and vein. • The anterior surface of the body of the pancreas is covered by peritoneum. • Once the gastrocolic omentum is divided, the body and tail of the pancreas can be seen along the floor of the lesser sac, just posterior to the stomach • The base of the transverse mesocolon attaches to the inferior margin of the body and tail of the pancreas • the tail is nestled in the hilum of the spleen near the splenic flexure of the left colon
  • 13.
    Pancreatic Duct Anatomy •The duct of the ventral anlage becomes the duct of Wirsung, and the duct from the dorsal anlage becomes the duct of Santorini. • The ducts from each anlage usually fuse together in the pancreatic head • most of the pancreas drains through the duct of Wirsung, or main pancreatic duct, into the common channel formed from the bile duct and pancreatic duct.
  • 14.
    • The lengthof the common channel is variable. • In approximately 30% of patients, the duct of Santorini ends as a blind accessory duct and does not empty into the duodenum • main pancreatic duct is usually only 2 to 3 mm in diameter and runs midway between the superior and inferior borders of the pancreas, • Main pancreatic duct closer to the posterior than to the anterior surface
  • 15.
    • The musclefibers around the ampulla form the sphincter of Oddi, which controls the flow of pancreatic and biliary secretions into the duodenum. • Contraction and relaxation of the sphincter is regulated by complex neural and hormonal factors.
  • 17.
  • 18.
    • The bloodsupply to the pancreas comes from multiple branches from the celiac and superior mesenteric arteries • The common hepatic artery gives rise to the gastroduodenal artery • The gastroduodenal artery then travels inferiorly anterior to the neck of the pancreas and posterior to the duodenal bulb. • At the inferior border of the duodenum, the gastroduodenal artery then gives rise to the right gastroepiploic artery then continues on as the anterior superior pancreaticoduodenal artery
  • 19.
    • superior mesentericartery gives off inferior pancreaticoduodenal artery . • Variations in the arterial anatomy occur in one out of five patients. • It is important to look for this variation on preoperative computed tomographic (CT) scans and in the operating room • The body and tail of the pancreas are supplied by multiple branches of the splenic artery. • The inferior pancreatic artery usually arises from the superior mesenteric artery
  • 22.
    Venous drainage • Thevenous drainage of the pancreas follows a pattern similar to that of the arterial supply (Fig. 33-5). The veins are usually superficial to the arteries within the parenchyma of the pancreas. • There is an anterior and posterior venous arcade within the head of the pancreas. • The superior veins drain directly into the portal vein just above the neck of the pancreas.
  • 24.
    • The posteriorinferior arcade drains directly into the inferior mesenteric vein. • These venous tributaries must be divided during a Whipple procedure • The anterior inferior pancreaticoduodenal vein joins the right gastroepiploic vein and the middle colic vein.
  • 25.
    • There alsoare numerous small venous branches coming from the pancreatic parenchyma directly into the lateral and posterior aspect of the portal vein. • Venous return from the body and tail of the pancreas drains into the splenic vein
  • 27.
  • 28.
    • The profusenetwork of lymphatic drainage provides egress to tumor cells arising from the pancreas. • The pancreatic lymphatics also communicate with lymph nodes in the transverse mesocolon and mesentery of the proximal jejunum.
  • 29.
    Neuroanatomy • The pancreasis innervated by the sympathetic and parasympathetic nervous systems. • The parasympathetic system stimulates endocrine and exocrine secretion and the sympathetic system inhibits secretion. • The pancreas also has a rich supply of afferent sensory fibers, which are responsible for the intense pain
  • 31.
    Physiology • The exocrinepancreas accounts for about 85% of the pancreatic mass • 10% of the gland is accounted for by extracellular matrix, and 4% by blood vessels and the major ducts • only 2% of the gland is comprised of endocrine tissue. • regulates the type of digestion, its rate, and the processing and distribution of absorbed nutrients. • only approximately 20% of the normal pancreas is required to prevent insufficiency
  • 32.
    Exocrine pancreas • patientscan live without a pancreas when insulin and digestive enzyme replacement are administered. • The pancreas secretes approximately 500 to 800 mL per day of colourless , odourless , alkaline, isosmotic pancreatic juice. • Pancreatic juice is a combination of acinar cell and duct cell secretions.
  • 33.
    • The centroacinarand intercalated duct cells secrete the water and electrolytes present in the pancreatic juice. • About 40 acinar cells are arranged into a spherical unit called an acinus. • Centroacinar cells are located near the center of the acinus and are responsible for fluid and electrolyte secretion. • These cells contain the enzyme carbonic anhydrase, which is needed for bicarbonate secretion.
  • 36.
    • Secretin isthe major stimulant for bicarbonate secretion • CCK also stimulates bicarbonate secretion, but to a much lesser extent than secretin. • CCK potentiates secretin-stimulated bicarbonate secretion. • Gastrin and acetylcholine, both stimulants of gastric acid secretion, are also weak stimulants of pancreatic bicarbonate secretion. • The endocrine pancreas also influences the adjacent exocrine pancreatic secretions.
  • 38.
    Endocrine pancreas • Thereare nearly 1 million islets of Langerhans in the normal adult pancreas • Most islets contain 3000 to 4000 cells of five major types
  • 40.
    Investigation • Pancreatic functiontests • Estimation of pancreatic enzymes in body fluids • Imaging • Ultrasonography • Computed tomography • Magnetic resonance imaging • Endoscopic retrograde cholangiopancreatography • Endoscopic ultrasound
  • 46.
    Summary (clinically significant) • Plane between neck of pancreas and portal vein • Splenic vein run in a groove on posterior side fed by multiple fragile branches • Window of wisnlsow connect the 2 sac in the abdomen • Neck found at the L1 nd L2 • Gastroduodenal artery pass through duodenal bulb • Head of pancreas and duodenum share significant vascular supply • Islet cells have different distribution in pancreas • Preoperative imaging is important to pick anatomic variant
  • 47.
  • 48.