LYMPHOMAS
DR.AMRUTHA OLIVIA
MD GENERAL MEDICINE [PG-I]
DEFINITION OF LYMPHOMA
• Lymphoma is cancer that begins in infection-fighting cells of
the immune system, called LYMPHOCYTES. These cells are in
the lymph nodes, spleen, thymus, bone marrow, and other
parts of the body. When you have lymphoma, lymphocytes
change and grow out of control.
• There are two main types of lymphoma:
1)Non-Hodgkin’s lymphoma [NHL] – most common
2)Hodgkin’s lymphoma [HL]
DIFFERENCE BETWEEN NHL & HL
NON HODGKIN’S LYMPHOMA HODGKIN’S LYMPHOMA
• NHL are cancers of mature B, T, and natural killer
(NK) cells that can be classified as either a mature B-
NHL [80%] or a mature T/NK-NHL [20%] depending
on whether the cancerous lymphocyte is a B, T, or
NK cell respectively.
• Most of them start in a lymph node but still 1/3rd of
them are found in the extra lymphatic tissue.
• Systemic involvement is less common
• Even in early stages in most of the cases
radiotherapy combined with chemotherapy
treatment is needed
• HL is a malignancy of mature B lymphocytes
characterized by a heterogenous cellularity
comprising of minority of specific neoplastic
cells(Hodgkin's cells & Reed-Sternberg cells) in a
characteristic background of reactive non-neoplastic
cells of various types.
• Almost always starts in a lymph node.
• Systemic involvement is more common causing
symptoms such as fever, weight loss, night sweats
and pruritis.
• ~80–85% of patients will be cured of their
lymphoma by chemotherapy with or without
radiotherapy.
B CELL T CELL
Mature (peripheral) B-cell neoplasms
• Lymphoplasmacytic lymphoma
(Waldenström’s macroglobulinemia)
• Hairy cell leukemia
• Splenic marginal zone B-cell
lymphoma
• Extra nodal marginal zone B-cell
lymphoma of MALT type
• Nodal marginal zone B-cell
lymphoma
• Follicular lymphoma
• Mantle cell lymphoma
• Diffuse large B-cell lymphoma
• High-grade B-cell lymphoma
with MYC and BCL2 and/or BCL6
rearrangements
• High-grade B-cell lymphoma NOS
• Burkitt’s lymphoma/Burkitt’s cell
leukaemia
• Primary mediastinal large B-cell
lymphoma
• Plasmablastic lymphoma
• Primary effusion lymphoma
• HHV8+ DLBCL NOS
• Intravascular large B-cell lymphoma
• ALK+ large B-cell lymphoma
Mature (peripheral) T-cell neoplasms
• T-cell granular lymphocytic leukemia
• Adult T-cell leukemia/lymphoma
(HTLV-1+)
• Extra nodal NK/T-cell lymphoma,
nasal type
• Enteropathy-associated T-cell
Lymphoma
• Hepatosplenic T-cell lymphoma
• Subcutaneous panniculitis-like T-cell
lymphoma
• Mycosis fungoides
• Sezary syndrome
• Peripheral T-cell lymphoma NOS
• Angioimmunoblastic T-cell
lymphoma
• Anaplastic large-cell lymphoma,
• ALK+
• Anaplastic large-cell lymphoma,
• ALK-
WHO CLASSIFICATION OF LYMPHOID MALIGNANCIES
HODGKINS’S LYMPHOMA
AGE :-
Bimodal age incidence
a) Young adults --> 15-35 yrs
b) Older adults --> 45-75 yrs
ETIOLOGY :-
a) EBV {infectious mononucleosis} = most common
b) Genetic factors = HLA subtypes particularly HLA-B18
c) Immune status = seems to be more frequent in
immunocompromised patients or those with autoimmune diseases,
such as rheumatoid arthritis
CLASSIFICATION OF HL
1) RYE CLASSIFICATION
HISTOLOGIC TYPE PROGNOSIS
Lymphocytic predominant Very good
Nodular sclerosing Good
Mixed cellularity Fair
Lymphocyte depleted Poor
2) WHO CLASSIFICATION
SUB TYPE RS CELL EBV+ FEATURES
CLASSICAL (>95%)  PAX 5,CD 15+,CD 30+
1) Mixed Cellularity mononuclear type 70% • m/c in India
• Seen in HIV pts
2) Nodular Sclerosis lacunar cells surrounded by
clear space is seen
0-5% m/c in world
3) Lymphocyte Rich classical RS cell 40%
4) Lymphocyte Depletion Pleomorphic 90% seen only in HIV pts
NON - CLASSICAL (<5%)  CD20+,PAX 5,CD 15-,CD 30-
1) Nodular lymphocyte
predominant HL
popcorn cell -VE rare
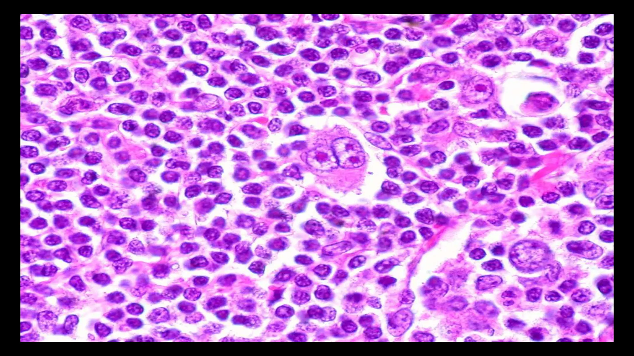
MIXED CELLULARITY
CLINICAL MANIFESTATIONS
M/C PRESENTATION :-
• Painless enlargement of one lymph node group (unifocal origin) usually of cervical lymph node.
• Consistency of lymph nodes is described as ‘Indian rubber’ consistency.
• Then it spreads in a predictable manner to the adjacent lymph node group (contiguous spread).
OTHER PRESENTATION :-
• Localized disease of the mediastinum (often young women), with cough due to mediastinal
lymphadenopathy or axillary nodes, and rarely in the abdominal, pelvic or inguinal nodes.
• Generalized disease: With hepatosplenomegaly and constitutional ‘B’ symptoms(fever, drenching night
sweats & loss of more than 10% of body weight over 6 months) is uncommon in the beginning, but may
become prominent as the disease advances.
• Rare sites: It includes Waldeyer’s ring, mesenteric, epitrochlear and popliteal nodes.
• Involvement of extra lymphatic organs: Not common and may occur in the later stages
• Classical Pel-Ebstein fever: It occurs in a cyclical pattern, characterized by several days or weeks of fever
alternating with afebrile periods. It is rarely seen.
COMMON SYMPTOMS :-
• Alcohol-induced pain at the site of lymphadenopathy.
• Pruritus is troublesome at times.
• Nephrotic syndrome: It may develop due to immune complex
deposition in the kidneys. It is associated with depressed cell-
mediated immunity and increases the risk of infections like herpes
zoster, tuberculosis, and infections with
Cryptococci/Cytomegalovirus and Candida species.
• Symptoms such as dysphagia, dyspnea, Horner’s syndrome,
hoarseness of voice, superior vena cava syndrome and inferior vena
cava obstruction may develop due to compression of various organs
by lymph node masses or infiltration of various organs may develop
with mediastinal involvement.
 This staging is important not only for predicting the prognosis but also for guiding the choice of
therapy.
INVESTIGATIONS
• PERIPHERAL BLOOD :-
a) RBC’S  Normocytic normochromic anemia is common and in advance stage, microcytic anemia
develops due to defective utilization of iron.
b) WBC’S  Total leukocyte count is usually normal, but sometimes may show neutrophil
leukocytosis. In the terminal stages, there may be leukopenia .
c) DIFFERENTIAL COUNT 
* Eosinophilia is observed in ~20% of patients.
* Lymphopenia is associated with bad prognosis.
d) PLATELETS  Thrombocytosis is seen in some patients but in terminal stages , there may be
thrombocytopenia.
• Serum alkaline phosphatase (ALP): If raised usually indicate bone marrow or liver involvement.
• Erythrocyte sedimentation rate (ESR): It may be raised
• FNAC of involved lymph node may be helpful in the diagnosis.
• Lymph node biopsy: Surgically or by percutaneous needle biopsy under radiological guidance will
establish the diagnosis.
• Liver biopsy may be useful for diagnosis in patients with hepatomegaly.
• Autologous bone marrow transplantation is successful in about 40% cases
even after the failure of chemotherapy.
 This staging is important not only for predicting the prognosis but also for guiding the choice of
therapy.
LATE COMPLICATIONS
Secondary malignancies :-
• Acute leukemia and solid organ cancers.
• Acute leukemia usually develops within 10 years of use of
alkylating agents in combination with radiotherapy.
• The risk is higher with MOPP as compared to ABVD.
• Solid organ cancers usually develop after 10 years of
radiotherapy.
• Cardiac failure and accelerated coronary artery disease.
• Following radiotherapy :- pulmonary fibrosis & hypothyroidism.
THANK YOU

Non- Hodgkins & Hodgkins lymphoma ppt presentation

  • 1.
  • 2.
    DEFINITION OF LYMPHOMA •Lymphoma is cancer that begins in infection-fighting cells of the immune system, called LYMPHOCYTES. These cells are in the lymph nodes, spleen, thymus, bone marrow, and other parts of the body. When you have lymphoma, lymphocytes change and grow out of control. • There are two main types of lymphoma: 1)Non-Hodgkin’s lymphoma [NHL] – most common 2)Hodgkin’s lymphoma [HL]
  • 4.
    DIFFERENCE BETWEEN NHL& HL NON HODGKIN’S LYMPHOMA HODGKIN’S LYMPHOMA • NHL are cancers of mature B, T, and natural killer (NK) cells that can be classified as either a mature B- NHL [80%] or a mature T/NK-NHL [20%] depending on whether the cancerous lymphocyte is a B, T, or NK cell respectively. • Most of them start in a lymph node but still 1/3rd of them are found in the extra lymphatic tissue. • Systemic involvement is less common • Even in early stages in most of the cases radiotherapy combined with chemotherapy treatment is needed • HL is a malignancy of mature B lymphocytes characterized by a heterogenous cellularity comprising of minority of specific neoplastic cells(Hodgkin's cells & Reed-Sternberg cells) in a characteristic background of reactive non-neoplastic cells of various types. • Almost always starts in a lymph node. • Systemic involvement is more common causing symptoms such as fever, weight loss, night sweats and pruritis. • ~80–85% of patients will be cured of their lymphoma by chemotherapy with or without radiotherapy.
  • 7.
    B CELL TCELL Mature (peripheral) B-cell neoplasms • Lymphoplasmacytic lymphoma (Waldenström’s macroglobulinemia) • Hairy cell leukemia • Splenic marginal zone B-cell lymphoma • Extra nodal marginal zone B-cell lymphoma of MALT type • Nodal marginal zone B-cell lymphoma • Follicular lymphoma • Mantle cell lymphoma • Diffuse large B-cell lymphoma • High-grade B-cell lymphoma with MYC and BCL2 and/or BCL6 rearrangements • High-grade B-cell lymphoma NOS • Burkitt’s lymphoma/Burkitt’s cell leukaemia • Primary mediastinal large B-cell lymphoma • Plasmablastic lymphoma • Primary effusion lymphoma • HHV8+ DLBCL NOS • Intravascular large B-cell lymphoma • ALK+ large B-cell lymphoma Mature (peripheral) T-cell neoplasms • T-cell granular lymphocytic leukemia • Adult T-cell leukemia/lymphoma (HTLV-1+) • Extra nodal NK/T-cell lymphoma, nasal type • Enteropathy-associated T-cell Lymphoma • Hepatosplenic T-cell lymphoma • Subcutaneous panniculitis-like T-cell lymphoma • Mycosis fungoides • Sezary syndrome • Peripheral T-cell lymphoma NOS • Angioimmunoblastic T-cell lymphoma • Anaplastic large-cell lymphoma, • ALK+ • Anaplastic large-cell lymphoma, • ALK- WHO CLASSIFICATION OF LYMPHOID MALIGNANCIES
  • 9.
    HODGKINS’S LYMPHOMA AGE :- Bimodalage incidence a) Young adults --> 15-35 yrs b) Older adults --> 45-75 yrs ETIOLOGY :- a) EBV {infectious mononucleosis} = most common b) Genetic factors = HLA subtypes particularly HLA-B18 c) Immune status = seems to be more frequent in immunocompromised patients or those with autoimmune diseases, such as rheumatoid arthritis
  • 10.
    CLASSIFICATION OF HL 1)RYE CLASSIFICATION HISTOLOGIC TYPE PROGNOSIS Lymphocytic predominant Very good Nodular sclerosing Good Mixed cellularity Fair Lymphocyte depleted Poor
  • 11.
    2) WHO CLASSIFICATION SUBTYPE RS CELL EBV+ FEATURES CLASSICAL (>95%)  PAX 5,CD 15+,CD 30+ 1) Mixed Cellularity mononuclear type 70% • m/c in India • Seen in HIV pts 2) Nodular Sclerosis lacunar cells surrounded by clear space is seen 0-5% m/c in world 3) Lymphocyte Rich classical RS cell 40% 4) Lymphocyte Depletion Pleomorphic 90% seen only in HIV pts NON - CLASSICAL (<5%)  CD20+,PAX 5,CD 15-,CD 30- 1) Nodular lymphocyte predominant HL popcorn cell -VE rare
  • 12.
  • 15.
    CLINICAL MANIFESTATIONS M/C PRESENTATION:- • Painless enlargement of one lymph node group (unifocal origin) usually of cervical lymph node. • Consistency of lymph nodes is described as ‘Indian rubber’ consistency. • Then it spreads in a predictable manner to the adjacent lymph node group (contiguous spread). OTHER PRESENTATION :- • Localized disease of the mediastinum (often young women), with cough due to mediastinal lymphadenopathy or axillary nodes, and rarely in the abdominal, pelvic or inguinal nodes. • Generalized disease: With hepatosplenomegaly and constitutional ‘B’ symptoms(fever, drenching night sweats & loss of more than 10% of body weight over 6 months) is uncommon in the beginning, but may become prominent as the disease advances. • Rare sites: It includes Waldeyer’s ring, mesenteric, epitrochlear and popliteal nodes. • Involvement of extra lymphatic organs: Not common and may occur in the later stages • Classical Pel-Ebstein fever: It occurs in a cyclical pattern, characterized by several days or weeks of fever alternating with afebrile periods. It is rarely seen.
  • 16.
    COMMON SYMPTOMS :- •Alcohol-induced pain at the site of lymphadenopathy. • Pruritus is troublesome at times. • Nephrotic syndrome: It may develop due to immune complex deposition in the kidneys. It is associated with depressed cell- mediated immunity and increases the risk of infections like herpes zoster, tuberculosis, and infections with Cryptococci/Cytomegalovirus and Candida species. • Symptoms such as dysphagia, dyspnea, Horner’s syndrome, hoarseness of voice, superior vena cava syndrome and inferior vena cava obstruction may develop due to compression of various organs by lymph node masses or infiltration of various organs may develop with mediastinal involvement.
  • 17.
     This stagingis important not only for predicting the prognosis but also for guiding the choice of therapy.
  • 18.
    INVESTIGATIONS • PERIPHERAL BLOOD:- a) RBC’S  Normocytic normochromic anemia is common and in advance stage, microcytic anemia develops due to defective utilization of iron. b) WBC’S  Total leukocyte count is usually normal, but sometimes may show neutrophil leukocytosis. In the terminal stages, there may be leukopenia . c) DIFFERENTIAL COUNT  * Eosinophilia is observed in ~20% of patients. * Lymphopenia is associated with bad prognosis. d) PLATELETS  Thrombocytosis is seen in some patients but in terminal stages , there may be thrombocytopenia. • Serum alkaline phosphatase (ALP): If raised usually indicate bone marrow or liver involvement. • Erythrocyte sedimentation rate (ESR): It may be raised • FNAC of involved lymph node may be helpful in the diagnosis. • Lymph node biopsy: Surgically or by percutaneous needle biopsy under radiological guidance will establish the diagnosis. • Liver biopsy may be useful for diagnosis in patients with hepatomegaly.
  • 20.
    • Autologous bonemarrow transplantation is successful in about 40% cases even after the failure of chemotherapy.
  • 21.
     This stagingis important not only for predicting the prognosis but also for guiding the choice of therapy.
  • 22.
    LATE COMPLICATIONS Secondary malignancies:- • Acute leukemia and solid organ cancers. • Acute leukemia usually develops within 10 years of use of alkylating agents in combination with radiotherapy. • The risk is higher with MOPP as compared to ABVD. • Solid organ cancers usually develop after 10 years of radiotherapy. • Cardiac failure and accelerated coronary artery disease. • Following radiotherapy :- pulmonary fibrosis & hypothyroidism.
  • 23.