IMPOVOL 
Reconstruction of Anatomical 
Structures from UltraSound 
Slices and 3D Print 
Prof. Franco Simini 
Universidad de la República – URUGUAY 
Bin@Sheffield, 10-12 Nov 2014
THE PROBLEM 
A SOLUTION 
THE PLOT THICKENS …. 
UNEXPECTED RESULTS 
A NEW EQUIPMENT TO OFFER
THE PROBLEM 
• Kidneys with polyquistosis are difficult 
to measure 
• Renal volume is needed for follow up 
• CT scan cannot be repeated 
How can renal volume be estimated 
non invasively?
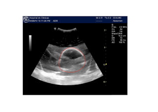
Ultra Sound Imaging 
Used routinely by nephrologists 
Non ionizing 
Repeatable 
Affordable
But US imaging is 
Usually only qualitative 
User dependant 
Volume estimated by formula 
2D image only for DICOM 
Poor documentation for ECR
NEFROVOL 
Parallel 2D images along main axis 
User to define boundaries in each 2D 
Build a mesh 
Extrapolate at the ends 
Count contained elements 
Use scale to estimate volume
Design
NEFROVOL
Tests of NEFROVOL
Report for 
ECR in 
CDA format
NEFROVOL to monitor volume 
• Not very precise 
• Repeatability tests pending 
• Only indicative volume 
• Self reference of patient 
• Graph over months or years available
Difficulty with patient 
communication 
• What if the volume is 3D printed ?
3D printer produced by: 
Start up firm of Cochabamba, Bolivia
Support from the Bolivian:
Small Enterprise to intregrate 
NEFROVOL into IMPOVOL: 
Start up firm of Montevideo, Uruguay
Design and Coordination
NEFROVOL is a project of nib in cooperation with 
Nephrology Department of Hospital de Clínicas: 
Mauro Sitrin, Esteban Arrua, D.I. Luciana Urruty, Dr. Oscar 
Noboa, Dr. Diego Tobal e Ing. Franco Simini. 
La Impresora 3D es un desarrollo de SAWERS, 
Cochabamba, en una iniciativa de cooperación de la 
Universidad Mayor San Simón de Bolivia y de la 
Universidad de la República. 
La integración y distribución son de Bullseye, Montevideo. 
Setiembre 2014.
IMPOVOL 
• It is a new idea 
• Give a PVC model of an inner organ to 
MDs for interaction with patients, not just a 
standard organ 
• Give a real reproduction of organs for 
surgery planning, instruction, strategic 
decisions, reconstruction, tc
By product 
DICOM new object type: 
CT-like set of images for US 
specifying number of cuts
What do you think of it?
Thank you !

IMPOVOL Reconstruction of Anatomical Structures from UltraSound Slices and 3D Print

  • 1.
    IMPOVOL Reconstruction ofAnatomical Structures from UltraSound Slices and 3D Print Prof. Franco Simini Universidad de la República – URUGUAY Bin@Sheffield, 10-12 Nov 2014
  • 2.
    THE PROBLEM ASOLUTION THE PLOT THICKENS …. UNEXPECTED RESULTS A NEW EQUIPMENT TO OFFER
  • 3.
    THE PROBLEM •Kidneys with polyquistosis are difficult to measure • Renal volume is needed for follow up • CT scan cannot be repeated How can renal volume be estimated non invasively?
  • 4.
    Ultra Sound Imaging Used routinely by nephrologists Non ionizing Repeatable Affordable
  • 5.
    But US imagingis Usually only qualitative User dependant Volume estimated by formula 2D image only for DICOM Poor documentation for ECR
  • 6.
    NEFROVOL Parallel 2Dimages along main axis User to define boundaries in each 2D Build a mesh Extrapolate at the ends Count contained elements Use scale to estimate volume
  • 7.
  • 8.
  • 17.
  • 23.
    Report for ECRin CDA format
  • 24.
    NEFROVOL to monitorvolume • Not very precise • Repeatability tests pending • Only indicative volume • Self reference of patient • Graph over months or years available
  • 25.
    Difficulty with patient communication • What if the volume is 3D printed ?
  • 28.
    3D printer producedby: Start up firm of Cochabamba, Bolivia
  • 29.
  • 30.
    Small Enterprise tointregrate NEFROVOL into IMPOVOL: Start up firm of Montevideo, Uruguay
  • 31.
  • 32.
    NEFROVOL is aproject of nib in cooperation with Nephrology Department of Hospital de Clínicas: Mauro Sitrin, Esteban Arrua, D.I. Luciana Urruty, Dr. Oscar Noboa, Dr. Diego Tobal e Ing. Franco Simini. La Impresora 3D es un desarrollo de SAWERS, Cochabamba, en una iniciativa de cooperación de la Universidad Mayor San Simón de Bolivia y de la Universidad de la República. La integración y distribución son de Bullseye, Montevideo. Setiembre 2014.
  • 33.
    IMPOVOL • Itis a new idea • Give a PVC model of an inner organ to MDs for interaction with patients, not just a standard organ • Give a real reproduction of organs for surgery planning, instruction, strategic decisions, reconstruction, tc
  • 34.
    By product DICOMnew object type: CT-like set of images for US specifying number of cuts
  • 35.
    What do youthink of it?
  • 37.