EPITHELIAL TISSUE Clarence Witty H. Mendoza,
RMT
TISSUES
 Are larger structural and
functional units of cells
having closely related
functions joined together
by intercellular
substances and/or cell-
to-cell junctions
BASIC TYPES OF TISSUES
Epithelial tissues
Connective tissues
Muscular tissues
Nervous tissues
These tissues
function in
close
association
with each
other.
CHARACTERISTICS OF EP. TISSUES
 high cellularity
 avascular
 exhibit polarity
PRINCIPAL FUNCTIONS OF EP.
TISSUES
 Covering, lining, and protecting surfaces (e.g. skin)
 Absorption (e.g. intestines)
 Secretion (e.g. epithelial cells of glands)
 Contractility (e.g. myoepithelial cells)
EMBRYONIC ORIGIN OF EPITHELIAL
TISSUES
EPITHELIUM
Ectoder
m
Endoderm
Mesoderm
BASAL LAMINA
 amorphous extracellular material
where the deepest layers of the
epithelium rests
 a mixture of glycoproteins, collagen
and proteoglycans
 secreted by the ep.
Functions:
 provides structural support to the
overlying ep.
 serves as an impermeable barrier that
allows only water & small molecules to
pass through
BASAL LAMINA
Layers:
 lamina rara externa (lamina
lucida)
 lamina densa
 lamina interna
BASEMENT MEMBRANE
GENERAL CLASSIFICATION OF EP.
TISSUES
• Covering ep. (skin)
• Lining ep. (luminal surfaces
of visceral organs)
Surface
epithelium
• Elaborate (synthesize;
produce)
• Release (secretions)
Glandular
epithelium NOTE:
Some surface
epithelium are also
secretory epithelium
SURFACE EPITHELIUM
- depends on its location
e.g.
 skin – protective
 GI tract – absorptive
 neuroepithelial cells of the taste buds – sensory cells
 olfactory cells in the nose – sensory cells
 kidney – excretion and maintenance of fluid balance
 testes – germ cells
CLASSIFICATION OF SURFACE EP.
TISSUES ACCDG TO NUMBER OF
LAYERS
Simple Ep.
Stratified Ep.
These tissues are further
classified according to
their:
shape
surface modifications
SIMPLE EPITHELIAL TISSUES
Simple Squamous
Epithelium
Simple Cuboidal
Epithelium
Simple Columnar
Epithelium
Pseudostratified Columnar
Epithelium
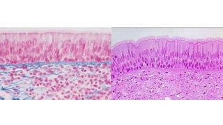
1. SIMPLE SQUAMOUS EPITHELIUM
- single layer, thin, flattened cells
Functions
Lining Lung alveoli, parietal layer of the Bowman’s
capsule (kidneys)
MESOTHELIUM - Serous cavities (pericardium,
peritoneum, pleura)
ENDOTHELIUM – lining of vessels/luminal
surface (heart, blood, lymphatic vessels)
Movement Facilitates the movement of the viscera
(mesothelium)
Active transport by pinocytosis (mesothelium
and endothelium)
Secretion Secretion of biologically active molecules
(mesothelium)
Nuclei of the simple sq.
ep.
(KIDNEYS)
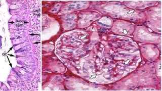
2. SIMPLE CUBOIDAL EPITHELIUM
- single layer, square, round
nucleus at center, roughly as tall
as they are wide
Functions:
 absorption
 barrier
 secretion
Ex: small ducts of exocrine glands,
surface of ovary, kidney tubules,
thyroid follicles, pancreas
pancreatic duct
mesothelium covering
an ovary
renal collecting tubule
3. SIMPLE COLUMNAR EPITHELIUM
- Single layer, tall cells, nuclei form a
single row at the basal part of the cell
Functions:
 absorption
 secretion
 lubrication
 protection
Ex. lining of fallopian tube, gallbladder,
stomach, intestine, ducts of exocrine
glands
3. SIMPLE COLUMNAR EPITHELIUM
CILIATED SIMPLE COLUMNAR
EP. – fallopian tube, uterus,
ovary
renal collecting duct
oviduct lining, with both
secretory and ciliated cells
lining of the gall
bladder
4. PSEUDOSTRATIFIED COLUMNAR
EPITHELIUM
“False stratified epithelium”
- Cells are attached to basal lamina even
though their nuclei lie at different levels.
- The height of some cells does not extend
to the surface
Functions:
 protection
 transport of particles trapped in mucus out of
air passages
 secretion
4. PSEUDOSTRATIFIED COLUMNAR
EPITHELIUM
Ex: lining of the membranous and spongy part of the male
urethra
Ciliated
pseudostratified ep.
(respiratory ep.)
- lining of trachea, bronchi,
nasal cavity
STRATIFIED EPITHELIAL TISSUES
Stratified Squamous
Epithelium
Stratified Cuboidal
Epithelium
Stratified Columnar
Epithelium
Transitional Epithelium
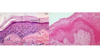
1. STRATIFIED SQUAMOUS
EPITHELIUM• “dry”; superficial layers are dead cells; no
nucleus & organelles
•Cells closer to the underlying connective
tissue are usually cuboidal or low columnar
•Impervious to water
•Ex. epidermis
Keratinized
•“wet”; kept moist by glandular secretions
•Flattened cells retain their nuclei
•Lines wet cavities
•Ex. Mouth, vagina, esophagus, urethra,
cornea
Non-
keratinized
2. STRATIFIED CUBOIDAL
EPITHELIUM
Functions:
 Protection
 Secretion
Ex. Sweat glands, salivary
glands, developing ovarian
follicles
3. STRATIFIED COLUMNAR
EPITHELIUM
- Lines large ducts of some
glands
4. TRANSITIONAL EPITHELIUM/
UROTHELIUM
- Unique to mammals
- manifest features that are between
stratified squamous and stratified
cuboidal
- designed to withstand stretching
Cuboidal
(basal cells)
Umbrella cells – domelike cells
that are protective against
hypertonic and potentially
cytotoxic effects of
urine(superficial cells)
4. TRANSITIONAL EPITHELIUM/
UROTHELIUM
Location: lining of the renal calyces, renal pelvis, urinary bladder,
ureter, and upper part of the urethra
- the form of the surface cells changes according to the degree of
distention of the bladder wall
SURFACE MODIFICATION OF
EPITHELIAL CELLS
Apical surface
microvilli
cilia
flagella
stereocila
Lateral surface
Zonula occludens
Zonula adherens
Desmosome
Gap junction
Basal surface
hemidesmosome
Basal infoldings of
the plasmalemma
1. APICAL MODIFICATION
MICROVILLI
- minute fingerlike projections that extend from the apical
surface of the cell
Striated border/ brush border
(stomach)
• Within each microvillus
are bundles of actin
filaments cross-linked to
each other and to the
surrounding plasma
membrane by other
proteins
1. APICAL MODIFICATION
CILIA (KINOCILIA)
- Elongated, highly motile,
longer and two times wider
that microvillus
- Exhibit rapid back and forth
movements coordinated to
propel a current of fluid and
suspended matter in one
direction
1. APICAL MODIFICATION
FLAGELLA
- Long cilia
- Functions to propel
the cell
- Spermatozoon (called
tail)
1. APICAL MODIFICATION
stereocila
- microvilli that are as long as cilia
- non-motile and core consists of
actin filaments
Location: vas deferens, testes, hair
cells of the inner ear
2.LATERAL SURFACE
MODIFICATION
INTERCELLULAR JUNCTIONS
Zonula occludens
Zonula adherens
Desmosomes
Gap junctions
Juxtaluminal junction
complex/
terminal bar
2. LATERAL MODIFICATIONS
INTERCELLULAR JUNCTIONS
Zonula Occludens (Tight junction/ Closing Belt)
- Most apically situated
 Zonula – indicates that junctions form bands
completely encircling each cells
 Occludens – refers to membrane fusions that
close off the space between the cells
Principal function:
Seals to prevent the
flow of materials
between the cells
(paracellular pathway)
2. LATERAL MODIFICATIONS
INTERCELLULAR JUNCTIONS
Zonula Adherens (Adhering belt/ Belt
desmosome/ Band desmosome)
- Also encircles the cell usually immediately
below the zonula occludens
- cell membrane of adjoining cells neither
adhere nor fuse; they are separated by
intercellular space filled with cadherins
(extracellular material) that provides firm
adhesion of one cell to its neighbors
2. LATERAL MODIFICATIONS
INTERCELLULAR JUNCTIONS
Desmosomes(Macula adherens/ Spot
Desmosome)
- form button-like adhesions arranged in a line
around the cell
- appear as thickening of the cell
- with intermediate filaments converging and
inserting into each half disc
Location: epidermis
Principal function:
Provides firm adhesion
among cells
2. LATERAL MODIFICATIONS
INTERCELLULAR JUNCTIONS
Gap Junctions (Nexus/ Communicating Junction)
- broad area where the plasma membranes of
adjoining ep. cells are closely apposed w/ each
other
- perforated by tiny tubes called connexons
Principal function:
permit the rapid
exchange between cells
of molecules with small
3. BASAL SURFACE MODIFICATIONS
- For better attachment or for more efficient functioning
Hemidesmosomes
- Identical to half a desmosome
- Exists in the stratum basale of the skin
Basal infoldings of the plasmalemma
- Present in cells lining segments of the renal tubule
- increase the absorptive capacity of the cell
GLANDULAR EPITHELIUM
GLANDULAR EPITHELIUM
Glandular
epithelium
Glands Secretions
ENDOCRINE GLANDS
- Ductless glands
- Arise in the embryo as
invagination of the covering
epithelium
Secretions: HORMONES
(chemical messengers)
Ex: adrenal gland, thyroid
gland, islets of Langerhans
(pancreas)
EXOCRINE GLANDS
Unicellular glands
- Exemplified by the goblet
cells
- Lines respiratory and
digestive tract
EXOCRINE GLANDS
Multicellular glands
- All other glands
 Secretory ep. sheet (e.g. ependymal – lines the choroid
plexus w/c produces CSF)
 Intraepithelial gland (e.g. penile urethra – secretory cells that
gather around a small orifice and form shallow invaginations)
 Glands with ducts – (e.g. major salivary glands, pancreas,
liver - possess “true” ducts)
CLASSIFICATION OF EXOCRINE GLANDS
BASED ON MORPHOLOGY OF DUCT
• single,
unbranched
duct
Simple
• duct with
branches
Compound
SECRETORY UNITS OF
EXOCRINE GLANDS
TUBULAR GLANDS
 Secretory tubules – blind ending tubes
ACINOUS OR ALVEOLAR GLANDS
 Acini; alveoli – globular or basket-like structures
TUBULOALVEOLAR (TUBULOACINOUS) GLAND
Further
classified
into
BRANCHED
or COILED
SIMPLE TUBULAR
Crypts of Lieberkuhn
(intestinal glands)
SIMPLE COILED TUBULAR
Sweat glands
SIMPLE BRANCHED TUBULAR
Cardiac glands
(stomach)
SIMPLE ACINAR
SIMPLE BRANCHED ACINAR
Sebaceous glands
COMPOUND BRANCHED
TUBULAR
COMPOUND ACINAR
COMPOUND TUBULO-ACINAR
Major salivary glands
(parotid,
submandibular,
sublingual)
BASED ON TYPE OF SECRETION
MUCOUS CELLS (mucus secreting)
 Mucin containing – forms mucus that lubricates the covering
epithelia
 Ex. Sublingual gland
SEROUS CELLS (serous secreting)
 enzymes
 Ex. Parotid gland, pancreas
Mixed gland – both are present; mucinous cell capped by
serous demilunes (“mucoserous”)
 Ex. submandibular gland
BASED ON MECHANISM OF
PRODUCT RELEASE
(MODE OF SECRETION)
 Merocrine (eccrine) -
exocytosis, cell remains intact
Ex. Pancreatic acinar cells, major salivary
glands
 Apocrine - secretes product
with apical portion of cell;
Ex. Sweat glands, lactating mammary
glands, ceruminous glands in the skin
 Holocrine - whole cell
disintegrates when it secretes
END.

Epithelial tissue

  • 1.
    EPITHELIAL TISSUE ClarenceWitty H. Mendoza, RMT
  • 2.
    TISSUES  Are largerstructural and functional units of cells having closely related functions joined together by intercellular substances and/or cell- to-cell junctions
  • 3.
    BASIC TYPES OFTISSUES Epithelial tissues Connective tissues Muscular tissues Nervous tissues These tissues function in close association with each other.
  • 4.
    CHARACTERISTICS OF EP.TISSUES  high cellularity  avascular  exhibit polarity
  • 5.
    PRINCIPAL FUNCTIONS OFEP. TISSUES  Covering, lining, and protecting surfaces (e.g. skin)  Absorption (e.g. intestines)  Secretion (e.g. epithelial cells of glands)  Contractility (e.g. myoepithelial cells)
  • 6.
    EMBRYONIC ORIGIN OFEPITHELIAL TISSUES EPITHELIUM Ectoder m Endoderm Mesoderm
  • 7.
    BASAL LAMINA  amorphousextracellular material where the deepest layers of the epithelium rests  a mixture of glycoproteins, collagen and proteoglycans  secreted by the ep. Functions:  provides structural support to the overlying ep.  serves as an impermeable barrier that allows only water & small molecules to pass through
  • 8.
    BASAL LAMINA Layers:  laminarara externa (lamina lucida)  lamina densa  lamina interna
  • 9.
  • 11.
    GENERAL CLASSIFICATION OFEP. TISSUES • Covering ep. (skin) • Lining ep. (luminal surfaces of visceral organs) Surface epithelium • Elaborate (synthesize; produce) • Release (secretions) Glandular epithelium NOTE: Some surface epithelium are also secretory epithelium
  • 12.
    SURFACE EPITHELIUM - dependson its location e.g.  skin – protective  GI tract – absorptive  neuroepithelial cells of the taste buds – sensory cells  olfactory cells in the nose – sensory cells  kidney – excretion and maintenance of fluid balance  testes – germ cells
  • 13.
    CLASSIFICATION OF SURFACEEP. TISSUES ACCDG TO NUMBER OF LAYERS Simple Ep. Stratified Ep. These tissues are further classified according to their: shape surface modifications
  • 14.
    SIMPLE EPITHELIAL TISSUES SimpleSquamous Epithelium Simple Cuboidal Epithelium Simple Columnar Epithelium Pseudostratified Columnar Epithelium
  • 15.
    1. SIMPLE SQUAMOUSEPITHELIUM - single layer, thin, flattened cells Functions Lining Lung alveoli, parietal layer of the Bowman’s capsule (kidneys) MESOTHELIUM - Serous cavities (pericardium, peritoneum, pleura) ENDOTHELIUM – lining of vessels/luminal surface (heart, blood, lymphatic vessels) Movement Facilitates the movement of the viscera (mesothelium) Active transport by pinocytosis (mesothelium and endothelium) Secretion Secretion of biologically active molecules (mesothelium)
  • 16.
    Nuclei of thesimple sq. ep. (KIDNEYS)
  • 17.
    2. SIMPLE CUBOIDALEPITHELIUM - single layer, square, round nucleus at center, roughly as tall as they are wide Functions:  absorption  barrier  secretion Ex: small ducts of exocrine glands, surface of ovary, kidney tubules, thyroid follicles, pancreas
  • 18.
    pancreatic duct mesothelium covering anovary renal collecting tubule
  • 19.
    3. SIMPLE COLUMNAREPITHELIUM - Single layer, tall cells, nuclei form a single row at the basal part of the cell Functions:  absorption  secretion  lubrication  protection Ex. lining of fallopian tube, gallbladder, stomach, intestine, ducts of exocrine glands
  • 20.
    3. SIMPLE COLUMNAREPITHELIUM CILIATED SIMPLE COLUMNAR EP. – fallopian tube, uterus, ovary
  • 21.
    renal collecting duct oviductlining, with both secretory and ciliated cells lining of the gall bladder
  • 22.
    4. PSEUDOSTRATIFIED COLUMNAR EPITHELIUM “Falsestratified epithelium” - Cells are attached to basal lamina even though their nuclei lie at different levels. - The height of some cells does not extend to the surface Functions:  protection  transport of particles trapped in mucus out of air passages  secretion
  • 23.
    4. PSEUDOSTRATIFIED COLUMNAR EPITHELIUM Ex:lining of the membranous and spongy part of the male urethra Ciliated pseudostratified ep. (respiratory ep.) - lining of trachea, bronchi, nasal cavity
  • 25.
    STRATIFIED EPITHELIAL TISSUES StratifiedSquamous Epithelium Stratified Cuboidal Epithelium Stratified Columnar Epithelium Transitional Epithelium
  • 26.
    1. STRATIFIED SQUAMOUS EPITHELIUM•“dry”; superficial layers are dead cells; no nucleus & organelles •Cells closer to the underlying connective tissue are usually cuboidal or low columnar •Impervious to water •Ex. epidermis Keratinized •“wet”; kept moist by glandular secretions •Flattened cells retain their nuclei •Lines wet cavities •Ex. Mouth, vagina, esophagus, urethra, cornea Non- keratinized
  • 28.
    2. STRATIFIED CUBOIDAL EPITHELIUM Functions: Protection  Secretion Ex. Sweat glands, salivary glands, developing ovarian follicles
  • 29.
    3. STRATIFIED COLUMNAR EPITHELIUM -Lines large ducts of some glands
  • 30.
    4. TRANSITIONAL EPITHELIUM/ UROTHELIUM -Unique to mammals - manifest features that are between stratified squamous and stratified cuboidal - designed to withstand stretching Cuboidal (basal cells) Umbrella cells – domelike cells that are protective against hypertonic and potentially cytotoxic effects of urine(superficial cells)
  • 31.
    4. TRANSITIONAL EPITHELIUM/ UROTHELIUM Location:lining of the renal calyces, renal pelvis, urinary bladder, ureter, and upper part of the urethra - the form of the surface cells changes according to the degree of distention of the bladder wall
  • 32.
    SURFACE MODIFICATION OF EPITHELIALCELLS Apical surface microvilli cilia flagella stereocila Lateral surface Zonula occludens Zonula adherens Desmosome Gap junction Basal surface hemidesmosome Basal infoldings of the plasmalemma
  • 33.
    1. APICAL MODIFICATION MICROVILLI -minute fingerlike projections that extend from the apical surface of the cell Striated border/ brush border (stomach)
  • 34.
    • Within eachmicrovillus are bundles of actin filaments cross-linked to each other and to the surrounding plasma membrane by other proteins
  • 35.
    1. APICAL MODIFICATION CILIA(KINOCILIA) - Elongated, highly motile, longer and two times wider that microvillus - Exhibit rapid back and forth movements coordinated to propel a current of fluid and suspended matter in one direction
  • 36.
    1. APICAL MODIFICATION FLAGELLA -Long cilia - Functions to propel the cell - Spermatozoon (called tail)
  • 37.
    1. APICAL MODIFICATION stereocila -microvilli that are as long as cilia - non-motile and core consists of actin filaments Location: vas deferens, testes, hair cells of the inner ear
  • 38.
    2.LATERAL SURFACE MODIFICATION INTERCELLULAR JUNCTIONS Zonulaoccludens Zonula adherens Desmosomes Gap junctions Juxtaluminal junction complex/ terminal bar
  • 39.
    2. LATERAL MODIFICATIONS INTERCELLULARJUNCTIONS Zonula Occludens (Tight junction/ Closing Belt) - Most apically situated  Zonula – indicates that junctions form bands completely encircling each cells  Occludens – refers to membrane fusions that close off the space between the cells Principal function: Seals to prevent the flow of materials between the cells (paracellular pathway)
  • 40.
    2. LATERAL MODIFICATIONS INTERCELLULARJUNCTIONS Zonula Adherens (Adhering belt/ Belt desmosome/ Band desmosome) - Also encircles the cell usually immediately below the zonula occludens - cell membrane of adjoining cells neither adhere nor fuse; they are separated by intercellular space filled with cadherins (extracellular material) that provides firm adhesion of one cell to its neighbors
  • 41.
    2. LATERAL MODIFICATIONS INTERCELLULARJUNCTIONS Desmosomes(Macula adherens/ Spot Desmosome) - form button-like adhesions arranged in a line around the cell - appear as thickening of the cell - with intermediate filaments converging and inserting into each half disc Location: epidermis Principal function: Provides firm adhesion among cells
  • 42.
    2. LATERAL MODIFICATIONS INTERCELLULARJUNCTIONS Gap Junctions (Nexus/ Communicating Junction) - broad area where the plasma membranes of adjoining ep. cells are closely apposed w/ each other - perforated by tiny tubes called connexons Principal function: permit the rapid exchange between cells of molecules with small
  • 45.
    3. BASAL SURFACEMODIFICATIONS - For better attachment or for more efficient functioning Hemidesmosomes - Identical to half a desmosome - Exists in the stratum basale of the skin Basal infoldings of the plasmalemma - Present in cells lining segments of the renal tubule - increase the absorptive capacity of the cell
  • 46.
  • 47.
  • 48.
    ENDOCRINE GLANDS - Ductlessglands - Arise in the embryo as invagination of the covering epithelium Secretions: HORMONES (chemical messengers) Ex: adrenal gland, thyroid gland, islets of Langerhans (pancreas)
  • 49.
    EXOCRINE GLANDS Unicellular glands -Exemplified by the goblet cells - Lines respiratory and digestive tract
  • 50.
    EXOCRINE GLANDS Multicellular glands -All other glands  Secretory ep. sheet (e.g. ependymal – lines the choroid plexus w/c produces CSF)  Intraepithelial gland (e.g. penile urethra – secretory cells that gather around a small orifice and form shallow invaginations)  Glands with ducts – (e.g. major salivary glands, pancreas, liver - possess “true” ducts)
  • 51.
    CLASSIFICATION OF EXOCRINEGLANDS BASED ON MORPHOLOGY OF DUCT • single, unbranched duct Simple • duct with branches Compound
  • 52.
    SECRETORY UNITS OF EXOCRINEGLANDS TUBULAR GLANDS  Secretory tubules – blind ending tubes ACINOUS OR ALVEOLAR GLANDS  Acini; alveoli – globular or basket-like structures TUBULOALVEOLAR (TUBULOACINOUS) GLAND Further classified into BRANCHED or COILED
  • 53.
    SIMPLE TUBULAR Crypts ofLieberkuhn (intestinal glands)
  • 54.
  • 55.
  • 56.
  • 57.
  • 58.
  • 59.
  • 60.
    COMPOUND TUBULO-ACINAR Major salivaryglands (parotid, submandibular, sublingual)
  • 61.
    BASED ON TYPEOF SECRETION MUCOUS CELLS (mucus secreting)  Mucin containing – forms mucus that lubricates the covering epithelia  Ex. Sublingual gland SEROUS CELLS (serous secreting)  enzymes  Ex. Parotid gland, pancreas Mixed gland – both are present; mucinous cell capped by serous demilunes (“mucoserous”)  Ex. submandibular gland
  • 62.
    BASED ON MECHANISMOF PRODUCT RELEASE (MODE OF SECRETION)  Merocrine (eccrine) - exocytosis, cell remains intact Ex. Pancreatic acinar cells, major salivary glands  Apocrine - secretes product with apical portion of cell; Ex. Sweat glands, lactating mammary glands, ceruminous glands in the skin  Holocrine - whole cell disintegrates when it secretes
  • 63.

Editor's Notes

  • #5 High cellularity – closely packed tog w/ minimal intervening intercellular substance Avascular – no blood vessels Exhibit polarity
  • #7 Ectoderm – lining the external surfaces (e.g. skin, appendages, cornea, mouth, anus) Endoderm – innermost layer (e.g. digestive system – liver, pancreas, gallbladder, respiratory tract, urinary bladder, urethra) Mesoderm- (e.g. heart, blood vessels, lymphatic vessels, serous cavities)
  • #8 Lamina lucida – electron lucent layer; made up of glycoproteins (laminin) and proteoglycans Lamina densa – electron dense layer; made up of collagen IV and proteoglycans Lamina interna – morphologically similar to rara externa but thinner; collagen IV, fibronectin, thrombospondin, proteoglycans
  • #9 Lamina lucida – electron lucent layer; made up of glycoproteins (laminin) and proteoglycans Lamina densa – electron dense layer; made up of collagen IV and proteoglycans Lamina interna – morphologically similar to rara externa but thinner; collagen IV, fibronectin, thrombospondin, proteoglycans
  • #10 Lamina fibroreticularis
  • #27 Keratinized - As they accumulate keratin in process the cells become irregular in shape and flatten and move closer to the surface and lack nuclei
  • #62 Mucinous secretions- light colored cytoplasm; nucleus pushed to the basal part of epithelial cells (“slimy”). Has large acini Ex. sublingual gland Serous - darker colored cytoplasm because of granules; pyramidal shaped cells lining serous gland (“watery”). Smaller acini Ex. parotid gland, pancreas