Embed presentation
Download to read offline










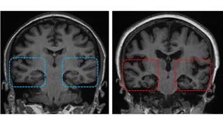
The document discusses various types of dementia, including Alzheimer's dementia characterized by medial temporal lobe atrophy, frontotemporal dementia involving degeneration of the frontal and temporal lobes, vascular dementia due to multiple infarcts, and Creutzfeldt-Jakob disease. It highlights the specific brain regions associated with Alzheimer's and frontotemporal dementia. The document is authored by Dr. Madhu Hasa Ghantasala, a 1st year resident in general medicine.









