CP ANGLE LESIONS
• Acoustic neuroma and meningiomas are the most frequent ,
comprising 85-90 % of the lesions .
• The other 10%–15% encompass a large variety of lesions that
radiologists will en- counter more and more frequently because of
the remarkable sensitivity and accuracy of magnetic resonance
(MR) imaging in evaluation of a CPA syndrome.
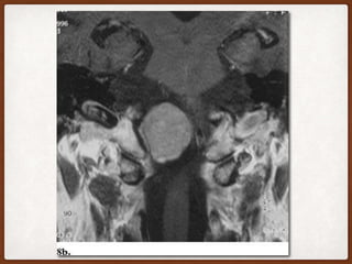
VESTIBULAR SCHWANNOMA
• Benign tumor arising from Schwann cells that wrap
vestibular branches of CNVIII in cerebellopontine angle-
internal auditory canal (CPA-IAC)
• More than 99% of all VSs show intracanalicular component
• Small lesions:Intracanalicular
• Large lesions:Intracanalicular with CPA cistern extension
• IMAGING:
• Avidly enhancing mass like icecream in a cone
• CT: widening of CPA , mildly hyperdense , non calcified masses
with strong enhancement .
• MRI: iso to hypointense on T1 , iso to heterogeneously hyper on T2
, strong enhancement , peritumoral cysts
• DIFFERENTIALS
• CPA meningioma - mostly they cap the IAC and do not extend deep
• Facial nerve schwannoma : much less common , may have a
labyrinthine segment
• Metastasis : usually bilateral
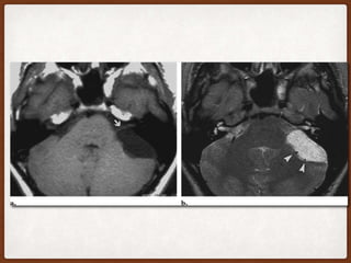
MENINGIOMA
• Second most common CP angle mass
• They extend into but do not enlarge the Porus acousticus
• Hyperostosis more common than erosion .
• CT: hyperdense with calcification
• MRI: isointense on T1 , intense enhancement ,dural tail
EPIDERMOID CYST
• Also known as primary cholesteatomas .
• Their growth is due to accumulation of keratin and cholesterol produced by
desquamation of the squamous epithelium lining the mass.
• These slow-growing tumors encase and surround nerves and arteries
rather than displacing them.
• On CT, they appear hypo or almost isoattenuating to CSF .
• Characteristic irregular lobulated margins .
• No reaction of adjacent bone structures as opposed to arachnoid cysts.
• At MR imaging, epidermoid cysts have slightly higher
signal intensity than CSF on T1- and T2- weighted images,
often with heterogeneous and marbled features .
• FLAIR is more sensitive than conventional sequences in
differentiation of epidermoid and arachnoid cysts because
it suppresses the signal of CSF.
• With this sequence, epidermoid cysts have high signal
intensity, whereas the signal of arachnoid cysts is
suppressed.
• DWI can also be used to differentiate from arachnoid cyst.
• Epidermoids show diffusion restriction .
DERMOID CYST
• Result from inclusion of ectodermal elements during neural
tube closure.
• Midline lesions that rarely invade the CPA laterally and
contain elements from all layers of the skin. Thus, fat, hair,
sebaceous glands, and sweat glands can be found in
addition to squamous epithelium.
• Typically, dermoid cysts have negative attenuation values
on CT scans and high signal intensity on T1-weighted
images due to their fatty content, may have a very
suggestive fat-fluid level, and contain calcifications .
ARACHNOID CYST
• Attenuation and signal intensity matches that of CSF.
• Smooth and rounded edges , displace neurovascular bundles
.
• Erode adjacent bone structures .
• No calcification or enhancement .
• FLAIR and DWI can be used to differentiate with epidermoid
cyst .
MISCELLANEOUS CYSTS
• Three other rare cystic lesions can be encountered in
the CPA: Neurocysticercosis, Neurenteric cysts, and
Neuroepithelial cysts
• Neurocysticercosis: Usually occur in recemose form.
Lobulated cysts with no mural nodule or enhancement
and have similiar signal to CSF . To be considered
whenever a solitary enlarged custern is seen in a
patient from endemic area .
• Main DD is arachnoid cyst .
• Neurenteric cysts are usually located in the spine, but when
intracranial most common site is CP angle .
• Signal intensity depends on contents of the cyst .
• No calcification or enhancement is usually seen .
• Neuroepithelial cysts are more common in choroid plexus and
ventricles , and are uncommon in CPA.
• Round or ovoid cystic lesions with possible septa but without
calcification or enhancement , attenuation and signal similiar to
CSF .
LIPOMA
• Homogeneous fat attenuating lesion on CT .
• High signal on T1 weighted sequences which decreases on fat
supression.
• Rarely asymptomatic and follow up is often suggested .
ANEURYSMS OF POSTERIOR FOSSA
ARTERIES
• The vertebral arteries , basilar artery and some of their branches
pass through CP angle ,where an ectasia or aneurysm can develop.
• Such lesions can cause mass effect over the neural structures and
produce neurological symptoms .
• High flow aneurysms appear as oval or round masses with no signal
on all spin echo sequences .
• When anuerysm is thrombosed high signal on T1 may be seen , but
the signal intensity is variable.
• When thrombus is organised, enhancement is seen
MISCELLANEOUS MENINGEAL LESIONS
• Carcinomatous meningitis
• Leptomeningeal mets from lung ,breast , melanoma etc
• Pachymeningeal thickening secondary to TB.
• Neurosarcoidosis
CP angle lesions .pptx
CP angle lesions .pptx

CP angle lesions .pptx

  • 1.
  • 2.
    • Acoustic neuromaand meningiomas are the most frequent , comprising 85-90 % of the lesions . • The other 10%–15% encompass a large variety of lesions that radiologists will en- counter more and more frequently because of the remarkable sensitivity and accuracy of magnetic resonance (MR) imaging in evaluation of a CPA syndrome.
  • 4.
    VESTIBULAR SCHWANNOMA • Benigntumor arising from Schwann cells that wrap vestibular branches of CNVIII in cerebellopontine angle- internal auditory canal (CPA-IAC) • More than 99% of all VSs show intracanalicular component • Small lesions:Intracanalicular • Large lesions:Intracanalicular with CPA cistern extension
  • 5.
    • IMAGING: • Avidlyenhancing mass like icecream in a cone • CT: widening of CPA , mildly hyperdense , non calcified masses with strong enhancement . • MRI: iso to hypointense on T1 , iso to heterogeneously hyper on T2 , strong enhancement , peritumoral cysts
  • 6.
    • DIFFERENTIALS • CPAmeningioma - mostly they cap the IAC and do not extend deep • Facial nerve schwannoma : much less common , may have a labyrinthine segment • Metastasis : usually bilateral
  • 8.
    MENINGIOMA • Second mostcommon CP angle mass • They extend into but do not enlarge the Porus acousticus • Hyperostosis more common than erosion . • CT: hyperdense with calcification • MRI: isointense on T1 , intense enhancement ,dural tail
  • 9.
    EPIDERMOID CYST • Alsoknown as primary cholesteatomas . • Their growth is due to accumulation of keratin and cholesterol produced by desquamation of the squamous epithelium lining the mass. • These slow-growing tumors encase and surround nerves and arteries rather than displacing them. • On CT, they appear hypo or almost isoattenuating to CSF . • Characteristic irregular lobulated margins . • No reaction of adjacent bone structures as opposed to arachnoid cysts.
  • 10.
    • At MRimaging, epidermoid cysts have slightly higher signal intensity than CSF on T1- and T2- weighted images, often with heterogeneous and marbled features . • FLAIR is more sensitive than conventional sequences in differentiation of epidermoid and arachnoid cysts because it suppresses the signal of CSF. • With this sequence, epidermoid cysts have high signal intensity, whereas the signal of arachnoid cysts is suppressed. • DWI can also be used to differentiate from arachnoid cyst. • Epidermoids show diffusion restriction .
  • 13.
    DERMOID CYST • Resultfrom inclusion of ectodermal elements during neural tube closure. • Midline lesions that rarely invade the CPA laterally and contain elements from all layers of the skin. Thus, fat, hair, sebaceous glands, and sweat glands can be found in addition to squamous epithelium. • Typically, dermoid cysts have negative attenuation values on CT scans and high signal intensity on T1-weighted images due to their fatty content, may have a very suggestive fat-fluid level, and contain calcifications .
  • 14.
    ARACHNOID CYST • Attenuationand signal intensity matches that of CSF. • Smooth and rounded edges , displace neurovascular bundles . • Erode adjacent bone structures . • No calcification or enhancement . • FLAIR and DWI can be used to differentiate with epidermoid cyst .
  • 16.
    MISCELLANEOUS CYSTS • Threeother rare cystic lesions can be encountered in the CPA: Neurocysticercosis, Neurenteric cysts, and Neuroepithelial cysts • Neurocysticercosis: Usually occur in recemose form. Lobulated cysts with no mural nodule or enhancement and have similiar signal to CSF . To be considered whenever a solitary enlarged custern is seen in a patient from endemic area .
  • 17.
    • Main DDis arachnoid cyst . • Neurenteric cysts are usually located in the spine, but when intracranial most common site is CP angle . • Signal intensity depends on contents of the cyst . • No calcification or enhancement is usually seen . • Neuroepithelial cysts are more common in choroid plexus and ventricles , and are uncommon in CPA. • Round or ovoid cystic lesions with possible septa but without calcification or enhancement , attenuation and signal similiar to CSF .
  • 18.
    LIPOMA • Homogeneous fatattenuating lesion on CT . • High signal on T1 weighted sequences which decreases on fat supression. • Rarely asymptomatic and follow up is often suggested .
  • 20.
    ANEURYSMS OF POSTERIORFOSSA ARTERIES • The vertebral arteries , basilar artery and some of their branches pass through CP angle ,where an ectasia or aneurysm can develop. • Such lesions can cause mass effect over the neural structures and produce neurological symptoms . • High flow aneurysms appear as oval or round masses with no signal on all spin echo sequences . • When anuerysm is thrombosed high signal on T1 may be seen , but the signal intensity is variable. • When thrombus is organised, enhancement is seen
  • 23.
    MISCELLANEOUS MENINGEAL LESIONS •Carcinomatous meningitis • Leptomeningeal mets from lung ,breast , melanoma etc • Pachymeningeal thickening secondary to TB. • Neurosarcoidosis