CONJUNCTIVAL TUMOURS
PRESENTER – Dr AARUSHI (1st
year resident)
MODERATOR – Dr URMILA KUMARI
DHIR HOSPITAL AND POST GRADUATE
INSTITUTE OF OPHTHALMOLOGY
CONJUNCTIVAL CYST
• Thin walled , benign cystic lesions lined with
non keratinizing epithelium containing serous
fluid
• S/S : asymptomatic, cosmetic disfigurement,
reduced motility, FB sensation , dry eye d/t
unstable tear film , proptosis , BOV
• Inclusion cysts constitute 80% of all cystic
lesions of conjunctiva
• Average age : 47 yrs , M=F
• Risk factors :
• Inflammatory conditions : pterygium ,
pingecula
• chronic keratoconjunctivitis
• Trauma , surgery
• Sub tenon anesthesia
• Pathophysiology :
• Inclusion of conj epithelium into substantia propria
• May contain gas , fluid , semisolid material with membranous framework
• 1. Primary Inclusion Cysts:
• Congenital:
• Present at birth d/t excessive conjunctival invagination during embryonic
period
• Acquired:
• Develop d/t chronic inflammation where loose ep gets implanted into deeper
tissue, even with minor trauma
• 2. Secondary Inclusion Cysts:
• Trauma or surgery such as strabismus surgery
• Inflammation : pterygium , pingueculitis, chronic keratoconjunctivitis
• 3. Infective cysts :
• Seen in hydatid disease , cysticercosis
Treatment :
• Observation / intervention depends on size , patient comfort
• Definitive treatment : excision
• Others : aspiration on slit lamp 27-30G needle under TA
CATEGORY BENIGN MALIGNANT
Choristomatous
Tumors
Dermoid , dermolipoma
Epithelial tumours Papilloma , benign hyperplasia of
epithelium , acanthosis
actinic keratosis , squamous
neoplasia , CIN , SCC
TUMOURS OF CONJUNCTIVA
Melanocytic
tumors
Naevus PAM (premalignant), Melanoma
Vascular tumors Lymphangiectasia , capillary
&cavernous hemangioma,
lymphangioma
Kaposi sarcoma
Lipomatous
tumors
Herniated orbital fat , lipoma
Lymphoid tumors Benign reactive lymphoid
hyperplasia
Lymphoma
CHORISTOMATOUS TUMORS
OCULAR SURFACE SQUAMOUS NEOPLASIA
• Ranges from mild epithelial dysplastic changes (CIN) to
severe SCC
• Predisposing conditions :
• Prolonged UV radiation exposure (2-4hr/day) : damages
DNA , tumor suppressor genes
• Vit A deficiency
• HIV , HPV (6,11)
• More common , aggressive in HIV , xeroderma
pigmentosa
• Clinical features :
• Affects older , white males
• Presents as U/L vascularised gelatinous
mass
• Broad base lesion near limbus in
intrapalpebral fissure , grows outward .
• Remains superficial, rare invasion into
sclera
• Can be leukoplakic (pigmented in dark
skinned pts)
• Engorged conj FEEDER vessels+
• Inflammation can be present
MORPHOLOGICAL FORMS
• 1) gelatinous mass with superficial vessels : most
common
• 2) Nodular : propensity for rapid growth
• 3) Diffuse : can masquerade as membranous /
chronic Conjunctivitis (no papillary , follicular rxn )
DIAGNOSIS :
• Gold standard : histopathological examination after incisional or excisional
biopsy
Excisonal > incisional
excised lesion mounted on filter paper in the OR , allowed to dry adequately
• Confocal microscopy : reveals cellular details
• High freqency USG : extent of invasion of SCC
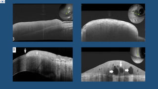
• AS - OCT :
Tx
To
Primary tumor cant be assessed
No evidence of primary tumor
Tis
T1
Carcinoma in situ
Tumor < 5mm in GD , invades thr’ conj BM without
invasion of adjacent structures
T2 Tumor > 5mm in GD , invades thr’ conj BM without
invasion of adjacent structures
T3 Tumor invades adjacent structures excluding the orbit
T4a Tumor invades orbital soft tissues , without bone invasion
T4b Tumor invades bone
T4c Tumor invades paranasal sinuses
T4d Tumor invades brain
Mo Distant mets -nt
M1 Distant mets +nt
Nx Regional LN cant be
assessed
No Regional LN mets
–nt
N1 Regional LN mets
+nt
Gx Grade cant be
assessed
G1 Well differentiated
G2 Moderately
differentiated
G3 Poorly differentiated
G4 Undifferentiated
MANAGEMENT
• Complete surgical resection : No touch
technique
• Topical chemotherapy :
• Neoadjuvant : downstaging
• Adjuvant: to prevent recurrence
• SURGERY :
• Treatment of choice as excision allows an
immediate histopathological diagnosis
• Dissection of all abnormal tissue with
wide surgical margin of 4mm
• NO TOUCH METHOD : direct
manipulation of tumor is avoided to
prevent tumor cell seeding into a new
area
• Absolute alcohol applied to entire
corneal component (devitalisation and
easy release of tumor cell )
• 2mm outside corneal component , blunt
blade is swept &epithelium is scrolled to
limbus
• Cryotherapy is applied to margin of
remaining conjunctiva by DOUBLE FREEZE
THAW technique
• Tumor bed is treated with absolute alcohol
& bipolar cautery
• If histopathology shows positive tumor
margin then further tissue resection (until
tumor margins are negative ) & corneal
epitheliectomy should be done
• Conjunctival defect is primarily closed if
less than 3 clock hrs in diameter
• Larger defects require tissue replacement :
transpositional conjunctival flaps , free conj
flaps from other eye ,Amniotic membrane
grafts
• CRYOTHERAPY :
• Used in conjunction with surgery
• Directly destroys tumor cells by coagulation effect , by
obliterating microcirculation causing ischaemic necrosis
• Intraoperative cryo is commonly used as adjunctive :
decrease recurrence rate
• A slow duration freeze with slow thaw , repeated two or
three times (freeze-thaw-freeze)
• Don’t apply cryoprobe for very long
• Can cause limbal stem cell deficiency, limbal auto
transplant may be needed
• RADIOTHERAPY :
• Strontium -90 (beta irradiation ), radium (gamma
radiation)
• TOPICAL CHEMOTHERAPY : MITOMYCIN –C
• Anti-tumor antibiotic , Inhibits DNA synthesis
• It leads to generation of alkylating agents , redox cycling
that produce active oxygen species leading to DNA
damage
• Produces cell death by apoptosis , necrosis
• QID with 1 week on and 2-3 week break = 1 cycle
• The on & off regimen prevents damage to more slowly
dividing epithelial cells & limbal stem cells , allowing
them to repair their DNA
• If not given break , may lead to : corneal epitheliopathy ,
scleral ulceration , uveitis , cataract , punctal stenosis
• IMMUNOTHERAPY :
• Interferon alpha 2b
• Immuno modulatory cytokine
(antiproliferative ,anti angiogenic,cytotoxic )
• Used for extensive , multifocal , residual
lesions , lesions involving visual axis where
surgery is not TOC , lesions unresponsive to
MMC
• Less toxic than MMC
• 1million IU/ml ED –QID for 1 month = 1
cycle (AAO)
MELANOCYTIC TUMORS
Condition Location Color Depth Margins Laterality Features
Progressio
n
Nevus Interpalp.
Fissure
Brown /
yellow
Stroma Well
defined
U/L Cysts <1%
progress to
malignant
melanoma
Racial
melanosis
Limbus,
bulbar,
palpebral
conjunctiva
Brown Epithelium Ill defined B/L Flat , no
cysts
Very rare
progression
to
malignant
melanoma
Primary
acquired
melanosis
Anywhere
but usually
bulbar conj
Brown Epithelium Ill defined U/L Flat , no
cysts
Atypia
cases
Progress to
malig.
Melanoma
in 46%
Malignant
melanoma
Anywhere Brown or
pink
Stroma Well
defined
U/L Vascular
nodule ,
dilated
feeder
vessels
32%
develop
mets by 15
yrs
CONJUNCTIVAL NEVUS
PAM : PRIMARY ACQUIRED MELANOSIS
• Pre invasive intraepithelial lesion
• Flat brown non cystic lesion of conjunctival
epithelium
• PAM assoc with cellular atypia progress to
melanoma in 46%
• PATHOGENESIS :
• Abnormal melanocytes proliferate in basal
conjunctival epithelium of middle aged , light
skinned individuals
• Malignant transformation: nodularity ,
enlargement, increased vascularity
• MANAGEMENT :
• Excisional biopsy
• All palpebral pigmented lesions should be excised
• Lesions that show atypia : adjunctive cryotherapy , MMC
• Small PAM (1–2 clock hours): Observe with yearly follow-up unless changes like
nodularity, thickening, or vascularity occur, then excision is needed.
• Moderate-sized PAM (2–5 clock hours): Requires excision with cryotherapy to
margins.
• Large PAM (>5–6 clock hours): Suspicious areas should be excised, and a map
biopsy of all quadrants (even those appearing normal) is recommended.
• Primary Treatment: Excision with 4–5 mm tumor-free margins plus
double-freeze, slow-thaw cryotherapy to conjunctival edges is the
standard approach.
• Corneal Involvement: If pigmentation extends onto the cornea, apply
absolute alcohol for 1 minute followed by epitheliectomy.
• Topical Chemotherapy: Mitomycin C (0.02–0.04%) is used postoperatively
in cycles (1 week treatment, 1–2 week break), with punctal plugs
• Treatment Duration: Typically requires 2–3 cycles until pigmentation
resolves.
MALIGNANT MELANOMA
• Mc arises from PAM or can exist from nevus or de novo
• Median age : 62 years
• Pigmented or tan , elevated lesion on limbal /bulbar
/forniceal/palpebral conjunctiva
• Prominent feeder vessels present , Highly vascularised , bleed easily
• MC on bulbar conj / limbus
• Outcome : bulbar melanomas have better prognosis than those on
palpebral conj , fornix or caruncle
• Local recurrence , distant mets , multiple recurrences (can invade
globe/orbit)
• Intralymphatic spread increase risk of mets
• R/F for mets : large size , multicentric , epitheliod cell type ,
lymphatic invasion
MANAGEMENT
• Excisional biopsy : Excision of conj 4mm beyond clinically apparent margins
• Excision of thin lamellar scleral flap beneath tumor
• Treat remaining sclera with absolute alcohol
• Double freeze thaw Cryotherapy to conjunctival margins
• Primary closure or conj / AMG
• Topical mitomycin-C for residual disease
• Orbital exenteration- advanced disease or palliative treatment
• Poor prognostic factors :
• Melanomas arising denovo , tumors not involving limbus(extralimbal) ,
residual involvement at surgical margins
CONJUNCTIVAL LYMPHOMA
• Monoclonal proliferation of lymphocytes
(nodal,extranodal)
• Ocular adenexal lymphomas are typically of
B cell origin
• Pathological Types : Extranodal marginal
zone lymphoma ( ENMZL) , Follicular
lymphoma (FL) , Mantle cell lymphoma
(MCL) , Diffuse large B cell lymphoma
(DLBCL)
• Predisposing factors :
• Immune deficiency , autoimmune
conditions , infections (H.pylori ,
chalamydia psittaci ) , genetic mutations
• Clinical features :
• Age: 60-70 yrs , F>M
• Can be primary / secondary lymphoma
• Pink, salmon colored subconjunctival mass in substantia propria
• Location : conjunctival fornix , midbulbar , caruncle , limbus
• Symptoms : mass , irritation, ptosis , epiphora , BOV , proptosis , diplopia
• Management :
• Depends on extent of periocular & systemic involvement , general
health
• 1) Only conjunctival lymphoma (no systemic inv) : complete surgical
resection , External beam radiotherapy , rituximab
• 2) Periocular/systemic inv present : systemic rituximab , chemotherapy,
immunotherapy
• Prognosis :
• 5yr survival 97% ENMZL , 82% for FL , 55% DLBCL , 9% MCL
CONJUNCTIVAL TUMORS . TYPES , CLASSIFICATION , CLINICAL FEATURES . MANAGEMENT

CONJUNCTIVAL TUMORS . TYPES , CLASSIFICATION , CLINICAL FEATURES . MANAGEMENT

  • 1.
    CONJUNCTIVAL TUMOURS PRESENTER –Dr AARUSHI (1st year resident) MODERATOR – Dr URMILA KUMARI DHIR HOSPITAL AND POST GRADUATE INSTITUTE OF OPHTHALMOLOGY
  • 3.
    CONJUNCTIVAL CYST • Thinwalled , benign cystic lesions lined with non keratinizing epithelium containing serous fluid • S/S : asymptomatic, cosmetic disfigurement, reduced motility, FB sensation , dry eye d/t unstable tear film , proptosis , BOV • Inclusion cysts constitute 80% of all cystic lesions of conjunctiva • Average age : 47 yrs , M=F
  • 4.
    • Risk factors: • Inflammatory conditions : pterygium , pingecula • chronic keratoconjunctivitis • Trauma , surgery • Sub tenon anesthesia • Pathophysiology : • Inclusion of conj epithelium into substantia propria • May contain gas , fluid , semisolid material with membranous framework
  • 5.
    • 1. PrimaryInclusion Cysts: • Congenital: • Present at birth d/t excessive conjunctival invagination during embryonic period • Acquired: • Develop d/t chronic inflammation where loose ep gets implanted into deeper tissue, even with minor trauma • 2. Secondary Inclusion Cysts: • Trauma or surgery such as strabismus surgery • Inflammation : pterygium , pingueculitis, chronic keratoconjunctivitis • 3. Infective cysts : • Seen in hydatid disease , cysticercosis
  • 6.
    Treatment : • Observation/ intervention depends on size , patient comfort • Definitive treatment : excision • Others : aspiration on slit lamp 27-30G needle under TA
  • 7.
    CATEGORY BENIGN MALIGNANT Choristomatous Tumors Dermoid, dermolipoma Epithelial tumours Papilloma , benign hyperplasia of epithelium , acanthosis actinic keratosis , squamous neoplasia , CIN , SCC TUMOURS OF CONJUNCTIVA Melanocytic tumors Naevus PAM (premalignant), Melanoma Vascular tumors Lymphangiectasia , capillary &cavernous hemangioma, lymphangioma Kaposi sarcoma Lipomatous tumors Herniated orbital fat , lipoma Lymphoid tumors Benign reactive lymphoid hyperplasia Lymphoma
  • 8.
  • 9.
    OCULAR SURFACE SQUAMOUSNEOPLASIA • Ranges from mild epithelial dysplastic changes (CIN) to severe SCC • Predisposing conditions : • Prolonged UV radiation exposure (2-4hr/day) : damages DNA , tumor suppressor genes • Vit A deficiency • HIV , HPV (6,11) • More common , aggressive in HIV , xeroderma pigmentosa
  • 10.
    • Clinical features: • Affects older , white males • Presents as U/L vascularised gelatinous mass • Broad base lesion near limbus in intrapalpebral fissure , grows outward . • Remains superficial, rare invasion into sclera • Can be leukoplakic (pigmented in dark skinned pts) • Engorged conj FEEDER vessels+ • Inflammation can be present
  • 11.
    MORPHOLOGICAL FORMS • 1)gelatinous mass with superficial vessels : most common • 2) Nodular : propensity for rapid growth • 3) Diffuse : can masquerade as membranous / chronic Conjunctivitis (no papillary , follicular rxn )
  • 12.
    DIAGNOSIS : • Goldstandard : histopathological examination after incisional or excisional biopsy Excisonal > incisional excised lesion mounted on filter paper in the OR , allowed to dry adequately • Confocal microscopy : reveals cellular details • High freqency USG : extent of invasion of SCC
  • 13.
    • AS -OCT :
  • 14.
    Tx To Primary tumor cantbe assessed No evidence of primary tumor Tis T1 Carcinoma in situ Tumor < 5mm in GD , invades thr’ conj BM without invasion of adjacent structures T2 Tumor > 5mm in GD , invades thr’ conj BM without invasion of adjacent structures T3 Tumor invades adjacent structures excluding the orbit T4a Tumor invades orbital soft tissues , without bone invasion T4b Tumor invades bone T4c Tumor invades paranasal sinuses T4d Tumor invades brain Mo Distant mets -nt M1 Distant mets +nt Nx Regional LN cant be assessed No Regional LN mets –nt N1 Regional LN mets +nt Gx Grade cant be assessed G1 Well differentiated G2 Moderately differentiated G3 Poorly differentiated G4 Undifferentiated
  • 15.
    MANAGEMENT • Complete surgicalresection : No touch technique • Topical chemotherapy : • Neoadjuvant : downstaging • Adjuvant: to prevent recurrence
  • 16.
    • SURGERY : •Treatment of choice as excision allows an immediate histopathological diagnosis • Dissection of all abnormal tissue with wide surgical margin of 4mm • NO TOUCH METHOD : direct manipulation of tumor is avoided to prevent tumor cell seeding into a new area • Absolute alcohol applied to entire corneal component (devitalisation and easy release of tumor cell ) • 2mm outside corneal component , blunt blade is swept &epithelium is scrolled to limbus
  • 17.
    • Cryotherapy isapplied to margin of remaining conjunctiva by DOUBLE FREEZE THAW technique • Tumor bed is treated with absolute alcohol & bipolar cautery • If histopathology shows positive tumor margin then further tissue resection (until tumor margins are negative ) & corneal epitheliectomy should be done • Conjunctival defect is primarily closed if less than 3 clock hrs in diameter • Larger defects require tissue replacement : transpositional conjunctival flaps , free conj flaps from other eye ,Amniotic membrane grafts
  • 18.
    • CRYOTHERAPY : •Used in conjunction with surgery • Directly destroys tumor cells by coagulation effect , by obliterating microcirculation causing ischaemic necrosis • Intraoperative cryo is commonly used as adjunctive : decrease recurrence rate • A slow duration freeze with slow thaw , repeated two or three times (freeze-thaw-freeze) • Don’t apply cryoprobe for very long • Can cause limbal stem cell deficiency, limbal auto transplant may be needed • RADIOTHERAPY : • Strontium -90 (beta irradiation ), radium (gamma radiation)
  • 19.
    • TOPICAL CHEMOTHERAPY: MITOMYCIN –C • Anti-tumor antibiotic , Inhibits DNA synthesis • It leads to generation of alkylating agents , redox cycling that produce active oxygen species leading to DNA damage • Produces cell death by apoptosis , necrosis • QID with 1 week on and 2-3 week break = 1 cycle • The on & off regimen prevents damage to more slowly dividing epithelial cells & limbal stem cells , allowing them to repair their DNA • If not given break , may lead to : corneal epitheliopathy , scleral ulceration , uveitis , cataract , punctal stenosis
  • 20.
    • IMMUNOTHERAPY : •Interferon alpha 2b • Immuno modulatory cytokine (antiproliferative ,anti angiogenic,cytotoxic ) • Used for extensive , multifocal , residual lesions , lesions involving visual axis where surgery is not TOC , lesions unresponsive to MMC • Less toxic than MMC • 1million IU/ml ED –QID for 1 month = 1 cycle (AAO)
  • 21.
  • 22.
    Condition Location ColorDepth Margins Laterality Features Progressio n Nevus Interpalp. Fissure Brown / yellow Stroma Well defined U/L Cysts <1% progress to malignant melanoma Racial melanosis Limbus, bulbar, palpebral conjunctiva Brown Epithelium Ill defined B/L Flat , no cysts Very rare progression to malignant melanoma Primary acquired melanosis Anywhere but usually bulbar conj Brown Epithelium Ill defined U/L Flat , no cysts Atypia cases Progress to malig. Melanoma in 46% Malignant melanoma Anywhere Brown or pink Stroma Well defined U/L Vascular nodule , dilated feeder vessels 32% develop mets by 15 yrs
  • 23.
  • 24.
    PAM : PRIMARYACQUIRED MELANOSIS • Pre invasive intraepithelial lesion • Flat brown non cystic lesion of conjunctival epithelium • PAM assoc with cellular atypia progress to melanoma in 46% • PATHOGENESIS : • Abnormal melanocytes proliferate in basal conjunctival epithelium of middle aged , light skinned individuals • Malignant transformation: nodularity , enlargement, increased vascularity
  • 25.
    • MANAGEMENT : •Excisional biopsy • All palpebral pigmented lesions should be excised • Lesions that show atypia : adjunctive cryotherapy , MMC • Small PAM (1–2 clock hours): Observe with yearly follow-up unless changes like nodularity, thickening, or vascularity occur, then excision is needed. • Moderate-sized PAM (2–5 clock hours): Requires excision with cryotherapy to margins. • Large PAM (>5–6 clock hours): Suspicious areas should be excised, and a map biopsy of all quadrants (even those appearing normal) is recommended.
  • 26.
    • Primary Treatment:Excision with 4–5 mm tumor-free margins plus double-freeze, slow-thaw cryotherapy to conjunctival edges is the standard approach. • Corneal Involvement: If pigmentation extends onto the cornea, apply absolute alcohol for 1 minute followed by epitheliectomy. • Topical Chemotherapy: Mitomycin C (0.02–0.04%) is used postoperatively in cycles (1 week treatment, 1–2 week break), with punctal plugs • Treatment Duration: Typically requires 2–3 cycles until pigmentation resolves.
  • 27.
    MALIGNANT MELANOMA • Mcarises from PAM or can exist from nevus or de novo • Median age : 62 years • Pigmented or tan , elevated lesion on limbal /bulbar /forniceal/palpebral conjunctiva • Prominent feeder vessels present , Highly vascularised , bleed easily • MC on bulbar conj / limbus • Outcome : bulbar melanomas have better prognosis than those on palpebral conj , fornix or caruncle • Local recurrence , distant mets , multiple recurrences (can invade globe/orbit) • Intralymphatic spread increase risk of mets • R/F for mets : large size , multicentric , epitheliod cell type , lymphatic invasion
  • 29.
    MANAGEMENT • Excisional biopsy: Excision of conj 4mm beyond clinically apparent margins • Excision of thin lamellar scleral flap beneath tumor • Treat remaining sclera with absolute alcohol • Double freeze thaw Cryotherapy to conjunctival margins • Primary closure or conj / AMG • Topical mitomycin-C for residual disease • Orbital exenteration- advanced disease or palliative treatment • Poor prognostic factors : • Melanomas arising denovo , tumors not involving limbus(extralimbal) , residual involvement at surgical margins
  • 30.
    CONJUNCTIVAL LYMPHOMA • Monoclonalproliferation of lymphocytes (nodal,extranodal) • Ocular adenexal lymphomas are typically of B cell origin • Pathological Types : Extranodal marginal zone lymphoma ( ENMZL) , Follicular lymphoma (FL) , Mantle cell lymphoma (MCL) , Diffuse large B cell lymphoma (DLBCL) • Predisposing factors : • Immune deficiency , autoimmune conditions , infections (H.pylori , chalamydia psittaci ) , genetic mutations
  • 31.
    • Clinical features: • Age: 60-70 yrs , F>M • Can be primary / secondary lymphoma • Pink, salmon colored subconjunctival mass in substantia propria • Location : conjunctival fornix , midbulbar , caruncle , limbus • Symptoms : mass , irritation, ptosis , epiphora , BOV , proptosis , diplopia
  • 32.
    • Management : •Depends on extent of periocular & systemic involvement , general health • 1) Only conjunctival lymphoma (no systemic inv) : complete surgical resection , External beam radiotherapy , rituximab • 2) Periocular/systemic inv present : systemic rituximab , chemotherapy, immunotherapy • Prognosis : • 5yr survival 97% ENMZL , 82% for FL , 55% DLBCL , 9% MCL