Case conferences
By Natnaree Tikkapanyo
Patient profile
• เด็กชายไทย อายุ 8 ปี
• ภูมิลาเนา อ.บ้านกรวด จ.บุรีรัมย์
• ประวัติได้จาก มารดา เชื่อถือได้
• รับไว้ในโรงพยาบาลครั้งที่ 1
Chief complaint
• ปวดขาซ้าย 2 สัปดาห์ ก่อนมาโรงพยาบาล
Present illness
• 1 เดือนก่อนมารพ. แม่สังเกตเห็นว่า ผู้ป่วยเดินกะเผลก ไม่ยอมเดินลง
น้าหนักที่ขาข้างซ้าย มีอาการเจ็บบริเวณต้นขาซ้ายเวลาลงน้าหนัก เดิน
ได้ ปวดพอทนได้ ไม่มีปวดกลางคืน ไม่มีอาการขาบวม แดง ร้อน ใช้
ชีวิตประจาวันได้ เล่นกับเพื่อนได้
• 2 สัปดาห์ก่อนมารพ. ปวดบริเวณต้นขามากขึ้น ปวดขึ้นมาเอง ไม่มีอะไร
มากระทบกระแทก มีปวดบริเวณเข่าซ้าย ขยับงอเหยียดเข่าได้ ไม่มีคลา
ได้ก้อน มีตื่นขึ้นมาปวดขาตอนกลางคืน นอนไม่ได้ ไม่มีไข้ ไม่มีปวดที่
อื่น กินข้าวได้ปกติ น้าหนักลด 4 กก.ใน 1 เดือน อาการปวดเป็นมากขึ้น
จึงมารพ.
Personal and past History
• ปฏิเสธแพ้ยา แพ้อาหาร
• ปฏิเสธโรคประจาตัว
• ปฏิเสธโรคในครอบครัว
• ปฏิเสธประวัติกระทบกระแทก
• พัฒนาการสมวัย แข็งแรงดีมาตลอด
Physical Examination
Vital signs: T 37oC PR 115 /min RR 22 /min
BP124/70 (P97 123/82)
GA: a Thai boy Alert, Antralgic gait
HEENT: not pale conjunctivae, no anicteric
sclera, no sunken eye ball, no dental caries,
ears
Lymph node : not palpabled
Cardiovascular : no active precordium,
normal S1 S2 no murmur
Physical Examination
Abdomen: scaphoid abdomen, no surgical
scar, normoactive bowel sounds, soft, not
Musculoskeletal : no deformity of
extremities. Mild tender at left thigh and
redness , limited ROM of Lt, knee due to
,motor grade V
Skin: no rash, no hypo/hyper pigmentation
Problem list
• Chronic Lt. thigh pain
• Significant weight loss
• Antralgic gait
Differential diagnosis
• Bone tumor
- osteosarcoma
- Ewing sarcoma
- metastasis
• Infection
- cellulitis
• - pyomyositis
- chronic osteomyelitis
• Inflammation
• AVN
Investigation
• Film both knee AP,LAT
• CBC
• ESR
• CRP
• LFT
• CXR
CBC
Management
• Admit
• Work up
• CT
• MRI
• Biopsy
Bone tumor
Bone tumor
• Classified
-Primary bone tumor
category by cytology and cellular products
-Secondary bone tumor
• Benign
Malignancy
Clinical Presentation
• Asymptomatic
• Pain **
• Swelling or lump
• History of trauma
• Neurological symptoms
• Pathological fracture
Plain X-ray
• size
• Site of the lesion
• Borders of the lesion/zone of transition
• Type of bone destruction
• Periosteal reaction
• Matrix of the lesion
• Nature and extent of soft tissue involvement
• Multiplicity
Size
• The larger lesion the more likely to be
aggressive or malignant
Site
Transverse plane
• central
• Eccentric
• Cortical
• juxtacortical
Site
Longitudinal plane
• Epiphysis
• Metaphysis
• Diaphysis
Borders of the lesion/zone of transition
• Sharp
• Narrow
• wide
Pattern of bone
destruction
• Geographic
: destructive lesion with sharply
defined border. Less aggressive,
slow growing
• Moth-eaten
: area of destruction with
ragged border. More rapid
growth
• Permeative
: illed defined lesion with
multiple worm holes. Spread
through marrow space. Implied
a aggressive malignancy
A : Geographic
B : Permeative
C : Moth eaten
Periosteal reaction
• Solid type
1. Thin solid periosteal reaction
2. Thick solid periosteal reaction
3. Codman’s triangle
• Interupted type
1. Lamellated
2. Perpendicular (sunburst or sunray)
3. Amorphous
Tumor matrix
• Osteoblastic
: Fluffy, cotton like or cloud-like densities
• Catilagenous
: comma-shaped, punctate, annular, popcorn-
like
Osteosarcoma
• Most is Intramedullary tumor
• Highly malignant tumor arising within the
bone and spreading rapidly outwards to
periosteum and surface around soft tissue.
• Age 10-25 years , male > female
• Common involves long-bone metaphyses,
especially around the knee and proximal end
of humerus
Osteosarcoma
• Pain is usually the first symptom, it is constant,
worse at night and gradually increases in
severity
• Lump
• Pathological fracture
• On examination there may be little to find
except local tenderness. In later cases there is
a palpable mass and the overlying tissues may
appear inflamed ad swollen.
Variants Usual age
at diagnosis
Common
Primary Sites
Radiographic Appearance Distinctive
Features
Clinical
Course
I. Conventional
Osteoblastic
Chondroblastic
Fibroblastic
Second and
third decade
Around knee
jointand shoulder
Variable,depending on degree of
mineralization of osteoid
Tumor osteoid present; variable
degrees of osteoblastic,
chondroblastic and fibroblastic
differentiation
Early
dissemination
to lungs
 Skeleton
II. Telangiectatic Second and
third decade
Similar to
conventional
osteosarcoma
Predominantly lytic lesionwith
littleor no sclerosis
Cystic, cavity-liketumor;
blood-filled spaces in tumor
Similar to
conventional
osteoSarcoma
III. Small cell Second and
third decade
Similar to con-
ventional
osteosarcoma
May be predominantly lytic May be confused with Ewing’s
sarcoma
Similar to
conventional
osteosarcoma;
radioresponsive
IV. Multifocal Synchronous
involvementof
multiplebones
Multiple skeletal sites showing
densely sclerotic lesions
Multiple primary tumors vs,
metastatic primary tumor
Uniformly Fatal
V. Parosteal
(juxtacortical
osteosarcoma)
Third decade
or older
Posterior aspect
of distalfemur
Arises from cortex; encircles
involved bone; pronounced
ossification
Low-grade tumor with
characteristicradiograph and
pathology
Indolent clinical
course with low
Propensity for
metastases
VI. Periosteal
(juxtacortical
chondrosarcoma)
First-seventh
decade
Tibia and femur Tumor located superficially in
cortex
Tumor limited to periphery of
cortex
Intermediate
prognosis
Osteosarcoma
• X-rays
: variable
: hazy osteolytic areas may alternate with
unusually dense osteoblastic area.
: ill-defined margin
: Sunburst and Codman’s triangle are typical
osteosarcoma
Osteosarcoma
Diagnosis
• Most : X-ray**
: exclude post-traumatic swellings, infection,
stress fracture ,and the more aggressive cystic
lesion
• Radioisotrope scan
• CT
• MRI : show the extent of the tumor
• Biopsy :
• Bone scan
• CXR
: routinely for detected lung metastasis
• CT chest : more sensitivity
• LDH , ALP rising
Treatment
• Surgery
 Amputation
 Limb salvage
• Tumor resectable and no skip lesion
: wide resection
depend on the site of tumor >> bone graft ,
custom made implant
• Radioresistent
• Chemotherapy
80% of patient only amputation was mestastsis
and death in 6-9 mo.
: Multiagent neoadjuvant Chemotherapy 8-12 mo.
Preop CMT response,if tumor necrosis is >
90%,CMT continued for 6-12 mo. If poor response,
a different chemotherapeutic regime is substituted

conference

  • 1.
  • 2.
    Patient profile • เด็กชายไทยอายุ 8 ปี • ภูมิลาเนา อ.บ้านกรวด จ.บุรีรัมย์ • ประวัติได้จาก มารดา เชื่อถือได้ • รับไว้ในโรงพยาบาลครั้งที่ 1
  • 3.
    Chief complaint • ปวดขาซ้าย2 สัปดาห์ ก่อนมาโรงพยาบาล
  • 4.
    Present illness • 1เดือนก่อนมารพ. แม่สังเกตเห็นว่า ผู้ป่วยเดินกะเผลก ไม่ยอมเดินลง น้าหนักที่ขาข้างซ้าย มีอาการเจ็บบริเวณต้นขาซ้ายเวลาลงน้าหนัก เดิน ได้ ปวดพอทนได้ ไม่มีปวดกลางคืน ไม่มีอาการขาบวม แดง ร้อน ใช้ ชีวิตประจาวันได้ เล่นกับเพื่อนได้ • 2 สัปดาห์ก่อนมารพ. ปวดบริเวณต้นขามากขึ้น ปวดขึ้นมาเอง ไม่มีอะไร มากระทบกระแทก มีปวดบริเวณเข่าซ้าย ขยับงอเหยียดเข่าได้ ไม่มีคลา ได้ก้อน มีตื่นขึ้นมาปวดขาตอนกลางคืน นอนไม่ได้ ไม่มีไข้ ไม่มีปวดที่ อื่น กินข้าวได้ปกติ น้าหนักลด 4 กก.ใน 1 เดือน อาการปวดเป็นมากขึ้น จึงมารพ.
  • 5.
    Personal and pastHistory • ปฏิเสธแพ้ยา แพ้อาหาร • ปฏิเสธโรคประจาตัว • ปฏิเสธโรคในครอบครัว • ปฏิเสธประวัติกระทบกระแทก • พัฒนาการสมวัย แข็งแรงดีมาตลอด
  • 6.
    Physical Examination Vital signs:T 37oC PR 115 /min RR 22 /min BP124/70 (P97 123/82) GA: a Thai boy Alert, Antralgic gait HEENT: not pale conjunctivae, no anicteric sclera, no sunken eye ball, no dental caries, ears Lymph node : not palpabled Cardiovascular : no active precordium, normal S1 S2 no murmur
  • 7.
    Physical Examination Abdomen: scaphoidabdomen, no surgical scar, normoactive bowel sounds, soft, not Musculoskeletal : no deformity of extremities. Mild tender at left thigh and redness , limited ROM of Lt, knee due to ,motor grade V Skin: no rash, no hypo/hyper pigmentation
  • 9.
    Problem list • ChronicLt. thigh pain • Significant weight loss • Antralgic gait
  • 10.
    Differential diagnosis • Bonetumor - osteosarcoma - Ewing sarcoma - metastasis • Infection - cellulitis • - pyomyositis - chronic osteomyelitis • Inflammation • AVN
  • 11.
    Investigation • Film bothknee AP,LAT • CBC • ESR • CRP • LFT • CXR
  • 12.
  • 18.
    Management • Admit • Workup • CT • MRI • Biopsy
  • 19.
  • 20.
    Bone tumor • Classified -Primarybone tumor category by cytology and cellular products -Secondary bone tumor • Benign Malignancy
  • 22.
    Clinical Presentation • Asymptomatic •Pain ** • Swelling or lump • History of trauma • Neurological symptoms • Pathological fracture
  • 23.
    Plain X-ray • size •Site of the lesion • Borders of the lesion/zone of transition • Type of bone destruction • Periosteal reaction • Matrix of the lesion • Nature and extent of soft tissue involvement • Multiplicity
  • 24.
    Size • The largerlesion the more likely to be aggressive or malignant
  • 25.
    Site Transverse plane • central •Eccentric • Cortical • juxtacortical
  • 26.
  • 27.
    Borders of thelesion/zone of transition • Sharp • Narrow • wide
  • 29.
    Pattern of bone destruction •Geographic : destructive lesion with sharply defined border. Less aggressive, slow growing • Moth-eaten : area of destruction with ragged border. More rapid growth • Permeative : illed defined lesion with multiple worm holes. Spread through marrow space. Implied a aggressive malignancy
  • 30.
    A : Geographic B: Permeative C : Moth eaten
  • 31.
    Periosteal reaction • Solidtype 1. Thin solid periosteal reaction 2. Thick solid periosteal reaction 3. Codman’s triangle • Interupted type 1. Lamellated 2. Perpendicular (sunburst or sunray) 3. Amorphous
  • 33.
    Tumor matrix • Osteoblastic :Fluffy, cotton like or cloud-like densities • Catilagenous : comma-shaped, punctate, annular, popcorn- like
  • 34.
    Osteosarcoma • Most isIntramedullary tumor • Highly malignant tumor arising within the bone and spreading rapidly outwards to periosteum and surface around soft tissue. • Age 10-25 years , male > female • Common involves long-bone metaphyses, especially around the knee and proximal end of humerus
  • 35.
    Osteosarcoma • Pain isusually the first symptom, it is constant, worse at night and gradually increases in severity • Lump • Pathological fracture • On examination there may be little to find except local tenderness. In later cases there is a palpable mass and the overlying tissues may appear inflamed ad swollen.
  • 36.
    Variants Usual age atdiagnosis Common Primary Sites Radiographic Appearance Distinctive Features Clinical Course I. Conventional Osteoblastic Chondroblastic Fibroblastic Second and third decade Around knee jointand shoulder Variable,depending on degree of mineralization of osteoid Tumor osteoid present; variable degrees of osteoblastic, chondroblastic and fibroblastic differentiation Early dissemination to lungs  Skeleton II. Telangiectatic Second and third decade Similar to conventional osteosarcoma Predominantly lytic lesionwith littleor no sclerosis Cystic, cavity-liketumor; blood-filled spaces in tumor Similar to conventional osteoSarcoma III. Small cell Second and third decade Similar to con- ventional osteosarcoma May be predominantly lytic May be confused with Ewing’s sarcoma Similar to conventional osteosarcoma; radioresponsive IV. Multifocal Synchronous involvementof multiplebones Multiple skeletal sites showing densely sclerotic lesions Multiple primary tumors vs, metastatic primary tumor Uniformly Fatal V. Parosteal (juxtacortical osteosarcoma) Third decade or older Posterior aspect of distalfemur Arises from cortex; encircles involved bone; pronounced ossification Low-grade tumor with characteristicradiograph and pathology Indolent clinical course with low Propensity for metastases VI. Periosteal (juxtacortical chondrosarcoma) First-seventh decade Tibia and femur Tumor located superficially in cortex Tumor limited to periphery of cortex Intermediate prognosis
  • 37.
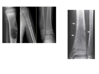
    Osteosarcoma • X-rays : variable :hazy osteolytic areas may alternate with unusually dense osteoblastic area. : ill-defined margin : Sunburst and Codman’s triangle are typical osteosarcoma
  • 38.
  • 39.
    Diagnosis • Most :X-ray** : exclude post-traumatic swellings, infection, stress fracture ,and the more aggressive cystic lesion • Radioisotrope scan • CT • MRI : show the extent of the tumor • Biopsy :
  • 41.
    • Bone scan •CXR : routinely for detected lung metastasis • CT chest : more sensitivity • LDH , ALP rising
  • 42.
    Treatment • Surgery  Amputation Limb salvage • Tumor resectable and no skip lesion : wide resection depend on the site of tumor >> bone graft , custom made implant
  • 43.
    • Radioresistent • Chemotherapy 80%of patient only amputation was mestastsis and death in 6-9 mo. : Multiagent neoadjuvant Chemotherapy 8-12 mo. Preop CMT response,if tumor necrosis is > 90%,CMT continued for 6-12 mo. If poor response, a different chemotherapeutic regime is substituted