BONE MARROW ASPIRATION
DR CHANDRASHEKHAR
Bone marrow:
Cellular elements-
• Erythroid precursors
• Myeloid precursors
• Megakaryocytes and thrombopoiesis
• Lymphocytes
• Macrophages
• Mast cells
• Plasma cells
Stromal of the marrow:
• Stromal cells
• Fat cells
• Blood vessels
• Fibroblasts
• Endothelial cells
• Iron deposits
• Osteoblast and osteoclasts.
Normal Erythropiesis:
Proerythroblast: 12-20 microns, nucleus with stippled chromatin and 1-
2 nucleoli and have basophilic cytoplasm.
Early erythroblast: 12-16 microns, nuclear chromatin condenses,
nucleoli are lost and there is light basophilic cytoplasm.
Intermediate erythroblast: 10-12 microns, nucleus is condensed,
reddish tinge in the cytoplasm.
Late erythroblast: Nucleus is densely pyknotic with well hemoglobinized
reddish cytoplasm
Dyserythropoiesis:
It is defective erythropoiesis in which abnormal red cells are produced
which are either destroyed in the marrow before their release or enter
circulation but have a shortened life span.
It includes nuclear budding, premature nuclear extrusion, internuclear
bridges, basophilic stippling of the cytoplasm, Howell jolly bodies in the
red cells, karyorrhexis, multinuclearity, megaloblastoid changes, ring
sideroblast, cytoplasmic vacuolation and PAS positivity.
Granulopoiesis:
Morphology of myeloid precursors:
Myeloblast: 12-20 microns, high N:C ratio, diffuse chromatin pattern,
nucleus is oval irregular and several nucleoli.
Promyelocytes: 15-25 microns, have abundant primary or azurophilic
granules, chromatin pattern shows some condensation, nucleoli are still
visible.
Myelocytes: 10-20 microns, have specific granules, nucleolus is not
visible, partial chromatin condensation takes place.
Metamyelocyte: 10-12 microns, having some indentation/ renin form
shape of the nucleus, nucleoli are not visible. It differ from band form in
not having any part of its nucleus with two parallel edges.
Band/juvenile neutrophils: These are smaller cells of neutrophil lineage
with ribbon shaped non-segmented nuclei.
Neutrophils, Eosinophils, Basophills:
Lymphopoiesis:
Lymphoblast: 12-20 microns, centrally placed nucleus with 1-2 nucleoli,
chromatin is coarser than that of myeloblast, thin rim of pale blue
cytoplasm.
Large lymphocyte: 10-15 microns, central/eccentric nucleus, clear pale
blue cytoplasm, no nucleoli, nuclear chromatin is less condensed as
compared to that of small lymphocytes.
Small lymphocyte: 7-9 microns, slightly larger than mature RBCs, nuclear
chromatin is densely coarse with thin rim of pale blue cytoplasm.
Large granular lymphocyte: These are large lymphocytes with abundant
cytoplasm containing few azurophilic granules. These are NK cell or
cytotoxic T cells.
Monocytopoiesis:
Monoblast: 13-15 microns, nucleus is large with fine chromatin, may
have small identation, multiple large nucleoli and basophilic cytoplasm.
Promonocyte: 12-14 microns, nucleus is oval or indented or lobulated
and is centrally placed, chromatin is open and 1-2 nucleoli and
abundant blue cytoplasm.
Monocyte: 10-12 microns, nucleus is frequently reninform and
lobulated or indented with glassy chromatin without any nucleoli,
cytoplasm is pale blue ground glass with presence of azurophilic
granules and cytoplasmic vacuoles may be present.
Thrombopoiesis:
Megakaryoblast: 10-15 microns, blue nongranular cytoplasm and single
irregular nucleus with many nucleoli.
Promegakaryocyte: 15-25 microns, lower N:C ratio with dark blue
cytoplasm and a dense nonlobulated or partly lobulated nucleus with
heavy chromatin.
Intermediate form: Intermediate form of megakaryocytes is larger than
promegakaryocyte. Lobulation of nucleus has begun and cytoplasm
contains some azurophilic granules.
Mature megakaryocyte: 25-120 microns, single large multilobed
nucleus with increased density as its matures. The cytoplasm varies in
colour from blue to pink and contains a variable number of
characteristics azurophilic granules at first in the perinuclear zone.
INDICATION OF BONE MARROW ASPIRATION
• Unexplained cytopenia
• Unexplained polycythemia, leucocytosis, thrombocytosis
• Evaluation of iron stores for diagnosis of IDA or to distinguish it from
anemia of chronic disease, demonstration of ringed sideroblasts in
myelodysplastic syndrome or sideroblastic anemia.
• Suspected acute leukemia
• Suspected myelodysplastic syndrome
• Suspected myeloproliferative disorder
• Suspected plasma cell dyscrasia
• Suspected chronic lymphoid leukemias
• Investigation of pyrexia of unknown origin
• Suspected storage disorder like Gaucher’s disease or Neimann disease
• Suspected infection like kala-azar, miliary tuberculosis or
histoplasmosis
• For ancillary investigation like flow cytometry, cytogenetics or
molecular analysis
• To monitor response to therapy and to assess remission or relapse
INDICATIONS OF BONE MARROW BIOPSY
• Repeated failure of aspiration (Dry tap)
• Suspected aplastic anemia
• Suspected myelofibrosis
• Suspected focal lesions like granuloma, metastatic deposit, or
infiltrate of lymphoma
• Suspected bone disorder e.g osteoporosis
• Staging of lymphoma
SITES FOR BONE MARROW ASPIRATION OR
BIOPSY
Bone marrow aspiration provides following information:
• Assessment of morphology of bone marrow cells.
• Assessment of nature of hematopoiesis (normal, dyshematopoiesis).
• Cytogenetic analysis.
• Immunophenotyping of abnormal cells in leukemias.
• Cytochemistry for typing of leukemia.
• Iron stains for assessing iron stores and sideroblasts.
• Microbial culture e.g for tuberculosis.
Bone marrow aspiration smears
Peripheral blood smear in conjunction with routine hemogram should
be examine first before assessing bone marrow smears and finding
should be interpreted in the light of clinical feature and relevant
laboratory data and detailed clinical history with features like pallor,
liver and spleen size, lymphadenopathy, history of drug intake, bone
pain, bleeding etc.
Choose the smear having bone marrow particles and cell trails of the
particles.
Romanowsky- stained smears are first examined under low power objective
(x10) to assess:
• Cellularity of marrow particles.
• Number of megakaryocytes
• Focal metastatic deposits
• Cell distribution and selection of suitable area for detailed cytologic
examination.
Megakaryocytes are found in the tail of the smear or near the marrow
particles. About 1-3 megakaryocytes are seen normally per low power field.
Cellular trails are examined under high power (x 40) and oil immersion
objective (x100) for differential count and assessing erythroid and myeloid
maturation. For differential count, at least 500 cells should be counted in
cellular trails of particles.
Examination of marrow smear consists of assessment of following
features:
• Cellularity
• Differential count
• Myeloid : Erythroid ratio
• Erythroid series: Maturation sequence, type of maturation
( normoblastic, micronormoblastic, megaloblastic), cytologic
abnormalities.
• Myeloid series: Maturation sequence, cytologic abnormalities.
• Megakaryocyte series: Number, abnormal forms.
• Lymphocyte series
• Plasma cell series
• Abnormal cells: Blasts, carcinoma cells and necrotic cells
• Parasites: Malaria parasites, microfilaria, Leishmania donovani, and
Histoplasma
• Iron content of marrow (on iron stain).
CELLULARITY:
Assessment of cellularity is based on examination of several marrow
particles. Cellularity refers to the proportion of hematopoietic cells as
compared to the fat cells in a marrow particle. Cellularity can also be
assessed by examining the density of hematopoietic cells in cellular
trails behind the marrow particles. Cellularity can be expressed either
in percentage or stating whether marrow particles are normocellular,
hypercellular, or hypocellular for age.
Infant marrow- 95-100% cellular
Children- 75-80%
Adult- 50-60%
Old age- 20-40%
Differential count in bone marrow in adults:
Myeloblasts: 0-3%
Promyelocytes: 2-5%
Neutrophil myelocytes: 8-15%
Metamyelocytes: 9-24%
Neutrophil (Including band forms): 14-26%
Erythroblasts: 15-36%
Lymphocytes: 5-20%
Plasma cells: 0-3%
M:E Ratio: 2:1 to 4:1
M:E Ratio:
It is the ratio of all granulocytes and their precursors to all erythroid
precursor cells.
• Increased M:E ratio is observed when myeloid series is hyperplastic as
in infection and myeloproliferative disorders (chronic or acute
myeloid leukemia) or when erythroid series is suppressed as in
aplastic crisis of hemolytic anemia.
• Reduced M:E ratio is observed when myeloid series is depressed and
in erythroid hyperplasia (e.g hemolytic anemia).
Erythropoiesis:
Erythroblast are examined for reaction- normoblastic, megaloblastic or
micronormoblastic.
Myelopoiesis:
Myeloid precursor are examined for hyper/hypogranulation, blast cell
number and their maturation and proportion of blast cells:
promyelocyte: myelocyte: metamyelocyte: band form including
neutrophils. Maturation arrest, if any and degenerative changes like
vacuolation in cytoplasm are noted.
Megakaryopoiesis:
Beside the number of megakaryocytes, it is essential to look for
budding of platelets, evidence of dysmegakaryopoiesis and granularity
of cytoplasm.
Maturation of this lineage from megakaryoblast, promegakaryocyte to
megakaryocyte is noted.
Lymphocytes and plasma cells:
• Lymphocytes in adult are <10%
• Lymphocytes in children vary between 10-40%
• Plasma cells in adult are <4%
Marrow should be examined for other hematopoietic cells-
macrophages, mast cells, osteoblasts and osteoclasts.
Case Presentation
42 year old male, came to OPD with complain of-
Generalized bodyache and weakness since 1week, Intermittent fever
since 3 days, fatigue and weight loss since 15 days.
On examination-
Right axillary lymphadenopathy 2x2cm, Right inguinal
lymphadenopathy 3x2cm.
Hepatomegaly (2cm below costal margin).
Splenomegaly, mediastinal mass- not palpable.
Pallor, purpura, icterus, petechiae, gum hypertrophy, sternal
tenderness- Absent
Treatment history- Insignificant.
Complete blood count:
WBC- 373 with high differential count
RBC- 2.66, HB- 6, HCT-19, MCV- 72, MCH-22, MCHC- 31.4, RDW-21
Platelet- 23
PT- 14.8, INR- 1.09
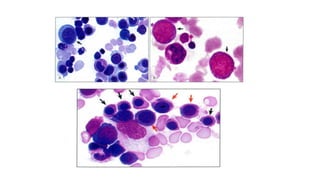
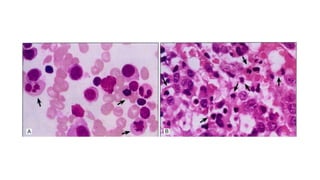
On peripheral smear:
RBC-
Mild to moderate anisopoikilocytosis, microcytic hypochromic,
elliptocytes, target cell and occasional tear drop cell seen.
WBC- Count severely increased with predominance of blast cell > 40%.
Platelet- Count severely reduced.
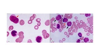
PS- 40X
PS 100X
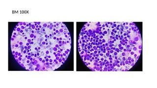
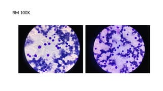
BM 40X
BM 100X
6 year old male, came to OPD with complain of-
Fever, cough cold on and off since 1 ½ month, generalized weakness
and decrease appetite since 1month, increase paleness all over the
body since 1 month, breathing difficulty and abdominal pain since
3days, swelling over right parotid region since 2days.
H/O one unit blood transfusion.
On examination-
Pallor +++, icterus +
Hepatomegaly, Splenomegaly
Purpura, petechiae, gum hypertrophy, sternal tenderness,
lymphadenopathy- Absent
Treatment history- Insignificant.
Complete blood count:
WBC- 0.33, N- 10%, L-87%, M- 2%, E-0.4%, B-0%
RBC- 1.64, HB- 4.7, HCT-14, MCV- 85, MCH-29, MCHC- 33, RDW-15
Platelet- 58
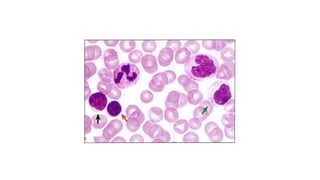
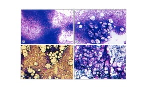
Peripheral smear:
BM 40x
BM 100X

BONE MARROW.................................pptx

  • 1.
  • 2.
    Bone marrow: Cellular elements- •Erythroid precursors • Myeloid precursors • Megakaryocytes and thrombopoiesis • Lymphocytes • Macrophages • Mast cells • Plasma cells
  • 3.
    Stromal of themarrow: • Stromal cells • Fat cells • Blood vessels • Fibroblasts • Endothelial cells • Iron deposits • Osteoblast and osteoclasts.
  • 4.
    Normal Erythropiesis: Proerythroblast: 12-20microns, nucleus with stippled chromatin and 1- 2 nucleoli and have basophilic cytoplasm. Early erythroblast: 12-16 microns, nuclear chromatin condenses, nucleoli are lost and there is light basophilic cytoplasm. Intermediate erythroblast: 10-12 microns, nucleus is condensed, reddish tinge in the cytoplasm. Late erythroblast: Nucleus is densely pyknotic with well hemoglobinized reddish cytoplasm
  • 6.
    Dyserythropoiesis: It is defectiveerythropoiesis in which abnormal red cells are produced which are either destroyed in the marrow before their release or enter circulation but have a shortened life span. It includes nuclear budding, premature nuclear extrusion, internuclear bridges, basophilic stippling of the cytoplasm, Howell jolly bodies in the red cells, karyorrhexis, multinuclearity, megaloblastoid changes, ring sideroblast, cytoplasmic vacuolation and PAS positivity.
  • 8.
    Granulopoiesis: Morphology of myeloidprecursors: Myeloblast: 12-20 microns, high N:C ratio, diffuse chromatin pattern, nucleus is oval irregular and several nucleoli. Promyelocytes: 15-25 microns, have abundant primary or azurophilic granules, chromatin pattern shows some condensation, nucleoli are still visible. Myelocytes: 10-20 microns, have specific granules, nucleolus is not visible, partial chromatin condensation takes place. Metamyelocyte: 10-12 microns, having some indentation/ renin form shape of the nucleus, nucleoli are not visible. It differ from band form in not having any part of its nucleus with two parallel edges.
  • 9.
    Band/juvenile neutrophils: Theseare smaller cells of neutrophil lineage with ribbon shaped non-segmented nuclei.
  • 11.
  • 12.
    Lymphopoiesis: Lymphoblast: 12-20 microns,centrally placed nucleus with 1-2 nucleoli, chromatin is coarser than that of myeloblast, thin rim of pale blue cytoplasm. Large lymphocyte: 10-15 microns, central/eccentric nucleus, clear pale blue cytoplasm, no nucleoli, nuclear chromatin is less condensed as compared to that of small lymphocytes. Small lymphocyte: 7-9 microns, slightly larger than mature RBCs, nuclear chromatin is densely coarse with thin rim of pale blue cytoplasm. Large granular lymphocyte: These are large lymphocytes with abundant cytoplasm containing few azurophilic granules. These are NK cell or cytotoxic T cells.
  • 14.
    Monocytopoiesis: Monoblast: 13-15 microns,nucleus is large with fine chromatin, may have small identation, multiple large nucleoli and basophilic cytoplasm. Promonocyte: 12-14 microns, nucleus is oval or indented or lobulated and is centrally placed, chromatin is open and 1-2 nucleoli and abundant blue cytoplasm. Monocyte: 10-12 microns, nucleus is frequently reninform and lobulated or indented with glassy chromatin without any nucleoli, cytoplasm is pale blue ground glass with presence of azurophilic granules and cytoplasmic vacuoles may be present.
  • 16.
    Thrombopoiesis: Megakaryoblast: 10-15 microns,blue nongranular cytoplasm and single irregular nucleus with many nucleoli. Promegakaryocyte: 15-25 microns, lower N:C ratio with dark blue cytoplasm and a dense nonlobulated or partly lobulated nucleus with heavy chromatin. Intermediate form: Intermediate form of megakaryocytes is larger than promegakaryocyte. Lobulation of nucleus has begun and cytoplasm contains some azurophilic granules. Mature megakaryocyte: 25-120 microns, single large multilobed nucleus with increased density as its matures. The cytoplasm varies in colour from blue to pink and contains a variable number of characteristics azurophilic granules at first in the perinuclear zone.
  • 18.
    INDICATION OF BONEMARROW ASPIRATION • Unexplained cytopenia • Unexplained polycythemia, leucocytosis, thrombocytosis • Evaluation of iron stores for diagnosis of IDA or to distinguish it from anemia of chronic disease, demonstration of ringed sideroblasts in myelodysplastic syndrome or sideroblastic anemia. • Suspected acute leukemia • Suspected myelodysplastic syndrome • Suspected myeloproliferative disorder • Suspected plasma cell dyscrasia
  • 19.
    • Suspected chroniclymphoid leukemias • Investigation of pyrexia of unknown origin • Suspected storage disorder like Gaucher’s disease or Neimann disease • Suspected infection like kala-azar, miliary tuberculosis or histoplasmosis • For ancillary investigation like flow cytometry, cytogenetics or molecular analysis • To monitor response to therapy and to assess remission or relapse
  • 20.
    INDICATIONS OF BONEMARROW BIOPSY • Repeated failure of aspiration (Dry tap) • Suspected aplastic anemia • Suspected myelofibrosis • Suspected focal lesions like granuloma, metastatic deposit, or infiltrate of lymphoma • Suspected bone disorder e.g osteoporosis • Staging of lymphoma
  • 21.
    SITES FOR BONEMARROW ASPIRATION OR BIOPSY
  • 23.
    Bone marrow aspirationprovides following information: • Assessment of morphology of bone marrow cells. • Assessment of nature of hematopoiesis (normal, dyshematopoiesis). • Cytogenetic analysis. • Immunophenotyping of abnormal cells in leukemias. • Cytochemistry for typing of leukemia. • Iron stains for assessing iron stores and sideroblasts. • Microbial culture e.g for tuberculosis.
  • 24.
    Bone marrow aspirationsmears Peripheral blood smear in conjunction with routine hemogram should be examine first before assessing bone marrow smears and finding should be interpreted in the light of clinical feature and relevant laboratory data and detailed clinical history with features like pallor, liver and spleen size, lymphadenopathy, history of drug intake, bone pain, bleeding etc.
  • 25.
    Choose the smearhaving bone marrow particles and cell trails of the particles.
  • 26.
    Romanowsky- stained smearsare first examined under low power objective (x10) to assess: • Cellularity of marrow particles. • Number of megakaryocytes • Focal metastatic deposits • Cell distribution and selection of suitable area for detailed cytologic examination. Megakaryocytes are found in the tail of the smear or near the marrow particles. About 1-3 megakaryocytes are seen normally per low power field. Cellular trails are examined under high power (x 40) and oil immersion objective (x100) for differential count and assessing erythroid and myeloid maturation. For differential count, at least 500 cells should be counted in cellular trails of particles.
  • 27.
    Examination of marrowsmear consists of assessment of following features: • Cellularity • Differential count • Myeloid : Erythroid ratio • Erythroid series: Maturation sequence, type of maturation ( normoblastic, micronormoblastic, megaloblastic), cytologic abnormalities. • Myeloid series: Maturation sequence, cytologic abnormalities. • Megakaryocyte series: Number, abnormal forms. • Lymphocyte series
  • 28.
    • Plasma cellseries • Abnormal cells: Blasts, carcinoma cells and necrotic cells • Parasites: Malaria parasites, microfilaria, Leishmania donovani, and Histoplasma • Iron content of marrow (on iron stain).
  • 29.
    CELLULARITY: Assessment of cellularityis based on examination of several marrow particles. Cellularity refers to the proportion of hematopoietic cells as compared to the fat cells in a marrow particle. Cellularity can also be assessed by examining the density of hematopoietic cells in cellular trails behind the marrow particles. Cellularity can be expressed either in percentage or stating whether marrow particles are normocellular, hypercellular, or hypocellular for age. Infant marrow- 95-100% cellular Children- 75-80% Adult- 50-60% Old age- 20-40%
  • 31.
    Differential count inbone marrow in adults: Myeloblasts: 0-3% Promyelocytes: 2-5% Neutrophil myelocytes: 8-15% Metamyelocytes: 9-24% Neutrophil (Including band forms): 14-26% Erythroblasts: 15-36% Lymphocytes: 5-20% Plasma cells: 0-3% M:E Ratio: 2:1 to 4:1
  • 32.
    M:E Ratio: It isthe ratio of all granulocytes and their precursors to all erythroid precursor cells. • Increased M:E ratio is observed when myeloid series is hyperplastic as in infection and myeloproliferative disorders (chronic or acute myeloid leukemia) or when erythroid series is suppressed as in aplastic crisis of hemolytic anemia. • Reduced M:E ratio is observed when myeloid series is depressed and in erythroid hyperplasia (e.g hemolytic anemia).
  • 33.
    Erythropoiesis: Erythroblast are examinedfor reaction- normoblastic, megaloblastic or micronormoblastic.
  • 34.
    Myelopoiesis: Myeloid precursor areexamined for hyper/hypogranulation, blast cell number and their maturation and proportion of blast cells: promyelocyte: myelocyte: metamyelocyte: band form including neutrophils. Maturation arrest, if any and degenerative changes like vacuolation in cytoplasm are noted.
  • 35.
    Megakaryopoiesis: Beside the numberof megakaryocytes, it is essential to look for budding of platelets, evidence of dysmegakaryopoiesis and granularity of cytoplasm. Maturation of this lineage from megakaryoblast, promegakaryocyte to megakaryocyte is noted.
  • 36.
    Lymphocytes and plasmacells: • Lymphocytes in adult are <10% • Lymphocytes in children vary between 10-40% • Plasma cells in adult are <4% Marrow should be examined for other hematopoietic cells- macrophages, mast cells, osteoblasts and osteoclasts.
  • 37.
    Case Presentation 42 yearold male, came to OPD with complain of- Generalized bodyache and weakness since 1week, Intermittent fever since 3 days, fatigue and weight loss since 15 days. On examination- Right axillary lymphadenopathy 2x2cm, Right inguinal lymphadenopathy 3x2cm. Hepatomegaly (2cm below costal margin). Splenomegaly, mediastinal mass- not palpable.
  • 38.
    Pallor, purpura, icterus,petechiae, gum hypertrophy, sternal tenderness- Absent Treatment history- Insignificant. Complete blood count: WBC- 373 with high differential count RBC- 2.66, HB- 6, HCT-19, MCV- 72, MCH-22, MCHC- 31.4, RDW-21 Platelet- 23 PT- 14.8, INR- 1.09
  • 39.
    On peripheral smear: RBC- Mildto moderate anisopoikilocytosis, microcytic hypochromic, elliptocytes, target cell and occasional tear drop cell seen. WBC- Count severely increased with predominance of blast cell > 40%. Platelet- Count severely reduced.
  • 40.
  • 41.
  • 42.
  • 43.
  • 44.
    6 year oldmale, came to OPD with complain of- Fever, cough cold on and off since 1 ½ month, generalized weakness and decrease appetite since 1month, increase paleness all over the body since 1 month, breathing difficulty and abdominal pain since 3days, swelling over right parotid region since 2days. H/O one unit blood transfusion. On examination- Pallor +++, icterus + Hepatomegaly, Splenomegaly
  • 45.
    Purpura, petechiae, gumhypertrophy, sternal tenderness, lymphadenopathy- Absent Treatment history- Insignificant. Complete blood count: WBC- 0.33, N- 10%, L-87%, M- 2%, E-0.4%, B-0% RBC- 1.64, HB- 4.7, HCT-14, MCV- 85, MCH-29, MCHC- 33, RDW-15 Platelet- 58
  • 46.
  • 47.
  • 48.