BASAL CELL CARCINOMA
DR.ARCHANA VAISHNAV
INTRODUCTION
BCC is slow progressing NMSC that aises from basal cells ,most deeper layer of epidermis.
SYNONYMS- Rodent ulcer
Basiloma
non melanoma skin cancer (NMSC),
‐ to distinguish them from ‘melanomas’ which have a much higher
malignant potential.
 BCC represent approximately 74% of NMSC whilst SCC are less common at 23%.
 BCC is the most common skin cancer in immunocompetent individuals where as SCC is most common skin
cancer in immunosuppressed organ transplantation recipients.
BASAL CELL CARCINOMA
EPIDEMIOLOGY
 Increases as age advances-80% of cases occur in people aged 60yrs and over.
 The life time risk of developing BCC is 28%-33%.
 Male > female.
 Risk is higher in individuals with markers of UV susceptibility.
 Markers of chronic photodamage are positively associated with BCC.
PATHOPHYSIOLOGY
RISK FACTORS
 Solar UV radiation – intermittent ,intense & infrequent sun exposer .
 Genetic predisposition
 Immunosuppression
 Phototherapy
 Photosensitizing drugs( doxycycline, FQs, triazole antifungals.)
 Ionizing radiation
 Occupational factors, Arsenic exposure
 Previous history of basal cell carcinomas
ENVIRONMENTAL FACTORS
 Both UVA and UVB radiation are mutagenic.
UVB-Radiation
Damages both DNA&RNA
UVA-Radiation
Generation of mutagenic photoadducts
Induces covalent bond formation b/w
adjacent pyrimidines
ROS by a photo oxidative stress
Interact with lipids,proteins&DNA
Generates intermediates that combine with
DNA to form adducts
Interact with lipids,proteins&DNA
GENETICS
 PTCH1 , a segment polarity gene (9q22.3) with tumour suppressor functions encodes a
transmembrane protein, Patched 1 which acts like the receptor for SHH.
‐
 Ptch 1 acts as a tumour suppressor, repressing the G protein coupled receptor smoothened (Smo).
‐ ‐
Loss of function mutations of PTCH1
‐ ‐
Reduced suppression of Smo
activation of the Gli family of transcription factors
resulting in sustained activation of target genes.
 50% of BCCs – TP53 tumour suppressor gene mutations.
SYNDROMES ASSOCIATED WITH BCC
 A. XERODERMA PIGMENTOSA - Defect in DNA repair pathway,
Clinical Features- Photosensitivity, Freckles, Multiple skin cancer at
early age.
 B. ALBINISM - AR disorder, defective melanogenesis, lightly or non
pigmented skin, silvery-white hair, reduced visual acuity, ocular
nystagmus predisposition to skin cancer.
 . ROMBO SYNDROME: C/F- Atrophoderma Vermiculata, Milia,
Hypotrichosis, Trichoepithelioma,
 BCC, And Peripheral Vasodilatation With Cyanosis.
BASAL CELL NEVUS SYNDROME/ GORLIN SYNDROME
 BCNS is an AD disorder due to an inactivating mutation in PTCH1 or rarely PTCH2.
Manifestations-
Multiple Or Early-onset Bccs
Odontogenic Keratocysts Of The Jaw
Palmoplantar Pits
Calcification Of The Falx Cerebri
Skeletal Anomalies .
 Affected individuals may develop specific neoplasms such as medulloblastomas,
meningiomas , ovarian fibromas, and cardiac fibromas.
BAZEX–DUPRÉ–CHRISTOL SYNDROME
 A rare X linked dominant genodermatosis that predisposes affected individuals to multiple BCCs.
‐
 Syndrome is characterized by hypotrichosis,
follicular atrophoderma of the cheeks,
milia cysts and
BCCs.
 BCCs usually appear after the first decade of life.
 Only females are affected.
Occupational risk factors
 Persons with outdoor occupations have a higher risk of developing skin cancer.
 Agricultural workers, sailors, locomotive engineers, and textile workers.
Chemical exposures
 Occupational chemical exposures which can lead to skin cancer most commonly involve
pesticides, coal tar, and polycyclic aromatic hydrocarbons.
 BCC has been reported following extensive arsenic exposure. The typical latency period
from exposure to tumor development is 20–40 years.
CLINICAL FEATURES
 BCC usually develops on sun exposed area of head & neck but can
occur any where on the body.
 The typical BCC runs a slow progressive course of peripheral
extension, which produces the thread like margin
‐ .
 Early BCCs are usually small, translucent or pearly, with raised
telangiectatic edges.
 However, the presentation may be varied and small lesions can be
lichenoid or keratotic, excoriated or ulcerated.
 More advanced lesions can present as classical rodent ulcer with
an indurated edge.
Clinical variants
 Superficial BCC
 Nodular BCC
 Pigmented BCC
 Morphoeic BCC
 Ulcerated BCC
 Fibroepithelial BCC
 Advanced and metastatic BCC
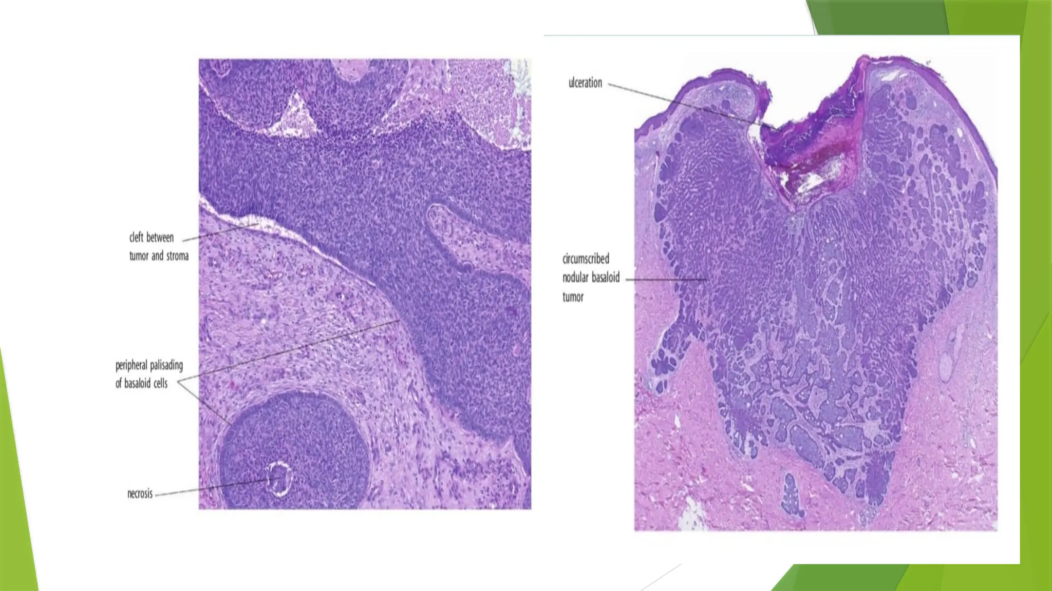
HISTOPATHOLOGY
Tumour masses are connected to epidermis and
composed of uniform cells that appear like basal
cells with elongated,dark nucleus and scant
cytoplasm.
 The cells lie side by side –palisading
arrangement.
 The cell masses are always surrounded by dermal
stroma,which may be separated by the tumour
mass by a clear space called retraction space.
HISTOPATHOLOGICAL VARIANTS
 Superficial BCC
 Nodular BCC
 Infiltrative BCC
 Micronodular BCC
 Morpheaform BCC
 Basosquamous or metatypical BCC
NODULAR BCC
 It is the commonest subtype of BCC and usually presents on head & neck.
 Red or pink translucent papule or nodule with telangiectasis .
 Nodules may have cystic centres, which add to the translucent appearance.
HISTOLOGY
 As nests of basaloid cells in either the papillary or reticular dermis.
 The nests are separated from the stroma by a slit like retraction.
‐
 The surrounding stroma shows myxoid change, and calcification may be
seen in discrete islands of tumour or in adjacent stroma.
SUPERFICIAL BCC
 Less common and predominantly present on the trunk.
 These are bounded by a slightly raised thread like margin or a ‘whipcord’ edge which is
‐
irregular in outline.
 The epidermis covering the central zone is usually atrophic and may be scaly.
HISTOLOGY
 Proliferating atypical basaloid cells usually confined to papillary dermis.
 A band like lymphoid infiltrate may be present .
‐
PIGMENTED BCC
Sub type of nodular bcc that exhibits increased melanization.
 It appears as translucent , hyperpigmented papule.
 Clinically mistaken for nodular melanoma.
HISTOLOGY
 Large solid islands of basaloid cells with central pigmentation.
 Peripheral palisade is a prominent feature.
 Melanocytes are interspersd in b/w tumour cells and contain
numerous melanin granules.
MORPHOEIC BCC
 Also k/a sclerodermiform, because dense fibrosis of the stroma
produces a thickened plaque rather than a tumour.
 It is yellow in colour with ill defined borders.
‐
 The surface is smooth and may be slightly raised above or slightly depressed
below, the normal level.
 Ulceration is uncommon and only very superficial when it does occur.
HISTOLOGY
 One to two cells thick columns of basaloid cells enmeshed
in a dense collagenous stroma.
 Stromal fibroplasia and fibrosis of the tumour cords is commonly seen.
 Invasion of the deep dermis and subcutis is another feature of morphoeaform BCC.
ULCERATED BCC
 Start as a small macule or papule but with expansion of the thread like
‐
margins, the attenuated surface ulcerates with an indurated and raised
edge.
 Atypical ulcerated BCC also has an indurated edge and base but no
thread like margin.
‐
 The floor of the ulcer is depressed, fleshy in appearance and not very
vascular.
 If left, the tumour and its following ulcer may spread deeply and cause
great destruction,especially around the eye, nose or ear.
 Wide extension in the periorbital tissues,bones of the face, skull;
and even the meninges -‘ulcus terebrans’.
MICRONODULAR BCC
 The tumour nests are smaller than those in nodular BCC and
more widely and asymmetrically dispersed in the dermis
and/or subcutis.
 The retraction spaces are uncommon and the surrounding
stroma shows either a myxoid or collagenized morphology.
INFILTRATIVE BCC
 Typically show elongated tumour cell strands, five to eight
cells in thickness,
 present histologically as irregularly sized and shaped
nests which are poorly circumscribed.
 show invasion of the subcutis and adjacent muscular
structures.
ADVANCED AND METASTATIC BCC
 1–2%.
 Mutilation of the face or scalp, with destruction of the nose or eye and exposure of the
paranasal sinuses or the skull, dura or brain may eventually result in death .
 bloodstream metastasis - deposits in the viscera or spinal column have caused the
symptoms of the terminal illness.
 Tumour cells spread via the lymphatics to the regional lymph nodes before disseminating.
FEATURES OF METASTATIC BCC
 Large size >3cm and locally aggressive
 Recurrent
 Younger age onset
 Morpheaform MC
 Median time to metastasise is 9years
 10% survival rate.
DIFFERENTIAL DIAGNOSIS
Nodular BCC -Melanocytic naevus ,
Molluscum contagiosum
Sebaceous hyperplasia,
Warts, keratoacanthoma, SCC.
Superficial BCC - patches of eczema, psoriasis or
bowen disease
DIFFERENTIAL DIAGNOSIS
INVESTIGATIONS
 The diagnosis of BCC is primarily clinical.
 In clinically challenging cases, a biopsy is required.
 Nodular BCC- shave biopsy
 Morphoeic BCC - punch biopsy
Non invasive techniques for the diagnosis of BCC include
‐
 Dermoscopy
 High frequency ultrasound,
‐
 Optical coherence tomography and
 In vivo confocal microscopy.
DERMOSCOPY
 white and grey brown structureless areas
‐
 blue grey globules
‐
 spoke wheel areas
‐
 concentric structures
 maple leaf like areas
Vasculature includes –
 Atypical red , arborizing, comma and
telangiectactic vessels.
MANAGEMENT
 Clinical and histological nature, size and site of tumour & patient factors determine the choice of treatment
of BCC.
AIM OF TREATMENT-
 Complete removal or destruction of the BCC.
 Achieving a good and acceptable cosmetic outcome.
MEDICAL MANAGEMENT SURGICAL MANAGEMENT
Imiquimod Excision
5FU MMS
PDT C&C
Intralesional INFA-2B Cryotherapy
HH INHIBITORS Lasers
RT
MEDICAL MANAGEMENT
IMIQUIMOD
Stimulates toll like receptor 7 and 8 expressed on dendritic cells and monocytes,
‐
Leading to increased production of cytokines and chemokines.
Promote both th1 innate and adaptive cell mediated immune responses
‐
Recognition and destruction of the tumour cells.
 use in superficial BCC, with a maximum tumour diameter of 2 cm.
 Topical 5% imiquimod cream, applied five times per week over 6 weeks is effective in clearing 69–100%
of superficial BCC and 42–76% of nodular BCC.
 S/E- Erythema, pruritus, erosion, ulceration, dyspigmentation and scabbing.
 Patients may experience flu like symptoms.
‐
5 FLUOROURACIL
‐
 5 FU used to treat superficial BCCs , not recommended for the treatment of large, nodular
and high risk BCC.
 5 FU disrupts DNA and RNA synthesis by inhibiting the enzyme
‐ Thymidylate synthetase.
 Local irritation and skin reaction resulting in erythema, swelling, desquamation and
tenderness are common post treatment.
 Requires prolonged course,twice daily for 6-12 weeks.
PHOTODYNAMIC THERAPY
 PDT involves the activation of a photosensitizing drug by visible
light to produce activated oxygen species that destroy the
cancer cells.
 Complete response rates for superficial BCCs from 85% to
93% at 3 months.
 Topical photosensitisers ALA or Methyl
aminolevulinic acid is used.
 Used for small small low risk superficial BCC.
 Treatment is repeated every 7 days.
 Cosmetic results is excellent.
INTRALESIONAL INFΑ 2B
‐
 High cure rates
 1.5 million U IL inj ,3times/week for 3 weeks.
Limitations
 High cost
 Multiple sessions.
HEDGEHOG PATHWAY INHIBITORS
 Vismodegib is an inhibitor of SMO used in the treatment of metastatic and locally advanced BCCs
 DOSE-150 mg orally daily for 9-10 month.
Adverse reactions - fatigue, weight loss and dyspnoea, muscle spasm , aspiration, back pain, corneal
abrasion, dehydration, hyponatraemia , lymphopenia , pneumonia,
SURGICAL METHODS
Surgical excision –
 complete clearance can be achieved in approximately 95% of the well defined small BCC with a 4–5 mm surgical
‐
margin ,
 recurrence rates are low
 cosmetic outcomes are good.
 may not be appropriate for recurrent, morphoeic or large BCC
Mohs micrographic surgery
 MMS offers superior histologic analysis of tumor margins while permitting maximal conservation of tissue
 It is the treatment of first choice for primary & recurrent facial BCCs.
 MMS is the treatment of choice for morpheaform, poorly delineated, incompletely removed BCCs.
Curretage and electrodessication –
 Growth is scraped of with currete with a sharp ring
shaped tip ,then tumour is desiccated(burned) with the
electrocautery.
 Leaves white round whitish scar.
Low risk non facial BCCs best treated with C&C.
 Not employed for- recurrent, illdefined, high risk BCCs.
CRYOTHERAPY
 Cryotherapy is treatment of superficial lesion by freezing it,usually
with liquid nitrogen .
 Suitable for BCC present in covered site like trunk ,limb as it
leaves permanent white mark.
 Two freeze–thaw cycles with a tissue temperature of −50°C are
required to destroy BCC.

 A margin of clinically normal tissue must be destroyed to eradicate
subclinical extension.
RADIATION THERAPY
 Superficial and electron beam radiotherapy or brachytherapy are effective in primary or surgically recurrent ,
high risk BCC.
‐
 RT may be used as a palliative modality in improving the quality of life in patients with advanced disease
 Given in fractionated dose of 10-16 fractions for <5cm & 15-30 divided doses for >5cm tumours
 RT advantages – effective in troublesome areas nose, ear and eyelid.
 useful in elderly patient where surgery can not be performed.
Recurrent tumours,
Disadvantage- Radiation necrosis of skin
Expensive and time consuming as many session needed.
Tumours with poorly defined clinical margins
 Incomplete clearance and recurrences after radiotherapy are higher and cosmosis is poor when compared
with surgical excision.

THANKU

BCC AND SCC (2).pptx for dermatologist use

  • 1.
  • 2.
    INTRODUCTION BCC is slowprogressing NMSC that aises from basal cells ,most deeper layer of epidermis. SYNONYMS- Rodent ulcer Basiloma non melanoma skin cancer (NMSC), ‐ to distinguish them from ‘melanomas’ which have a much higher malignant potential.  BCC represent approximately 74% of NMSC whilst SCC are less common at 23%.  BCC is the most common skin cancer in immunocompetent individuals where as SCC is most common skin cancer in immunosuppressed organ transplantation recipients.
  • 3.
    BASAL CELL CARCINOMA EPIDEMIOLOGY Increases as age advances-80% of cases occur in people aged 60yrs and over.  The life time risk of developing BCC is 28%-33%.  Male > female.  Risk is higher in individuals with markers of UV susceptibility.  Markers of chronic photodamage are positively associated with BCC.
  • 4.
    PATHOPHYSIOLOGY RISK FACTORS  SolarUV radiation – intermittent ,intense & infrequent sun exposer .  Genetic predisposition  Immunosuppression  Phototherapy  Photosensitizing drugs( doxycycline, FQs, triazole antifungals.)  Ionizing radiation  Occupational factors, Arsenic exposure  Previous history of basal cell carcinomas
  • 5.
    ENVIRONMENTAL FACTORS  BothUVA and UVB radiation are mutagenic. UVB-Radiation Damages both DNA&RNA UVA-Radiation Generation of mutagenic photoadducts Induces covalent bond formation b/w adjacent pyrimidines ROS by a photo oxidative stress Interact with lipids,proteins&DNA Generates intermediates that combine with DNA to form adducts Interact with lipids,proteins&DNA
  • 6.
    GENETICS  PTCH1 ,a segment polarity gene (9q22.3) with tumour suppressor functions encodes a transmembrane protein, Patched 1 which acts like the receptor for SHH. ‐  Ptch 1 acts as a tumour suppressor, repressing the G protein coupled receptor smoothened (Smo). ‐ ‐ Loss of function mutations of PTCH1 ‐ ‐ Reduced suppression of Smo activation of the Gli family of transcription factors resulting in sustained activation of target genes.  50% of BCCs – TP53 tumour suppressor gene mutations.
  • 8.
    SYNDROMES ASSOCIATED WITHBCC  A. XERODERMA PIGMENTOSA - Defect in DNA repair pathway, Clinical Features- Photosensitivity, Freckles, Multiple skin cancer at early age.  B. ALBINISM - AR disorder, defective melanogenesis, lightly or non pigmented skin, silvery-white hair, reduced visual acuity, ocular nystagmus predisposition to skin cancer.  . ROMBO SYNDROME: C/F- Atrophoderma Vermiculata, Milia, Hypotrichosis, Trichoepithelioma,  BCC, And Peripheral Vasodilatation With Cyanosis.
  • 9.
    BASAL CELL NEVUSSYNDROME/ GORLIN SYNDROME  BCNS is an AD disorder due to an inactivating mutation in PTCH1 or rarely PTCH2. Manifestations- Multiple Or Early-onset Bccs Odontogenic Keratocysts Of The Jaw Palmoplantar Pits Calcification Of The Falx Cerebri Skeletal Anomalies .  Affected individuals may develop specific neoplasms such as medulloblastomas, meningiomas , ovarian fibromas, and cardiac fibromas.
  • 11.
    BAZEX–DUPRÉ–CHRISTOL SYNDROME  Arare X linked dominant genodermatosis that predisposes affected individuals to multiple BCCs. ‐  Syndrome is characterized by hypotrichosis, follicular atrophoderma of the cheeks, milia cysts and BCCs.  BCCs usually appear after the first decade of life.  Only females are affected.
  • 12.
    Occupational risk factors Persons with outdoor occupations have a higher risk of developing skin cancer.  Agricultural workers, sailors, locomotive engineers, and textile workers. Chemical exposures  Occupational chemical exposures which can lead to skin cancer most commonly involve pesticides, coal tar, and polycyclic aromatic hydrocarbons.  BCC has been reported following extensive arsenic exposure. The typical latency period from exposure to tumor development is 20–40 years.
  • 13.
    CLINICAL FEATURES  BCCusually develops on sun exposed area of head & neck but can occur any where on the body.  The typical BCC runs a slow progressive course of peripheral extension, which produces the thread like margin ‐ .  Early BCCs are usually small, translucent or pearly, with raised telangiectatic edges.  However, the presentation may be varied and small lesions can be lichenoid or keratotic, excoriated or ulcerated.  More advanced lesions can present as classical rodent ulcer with an indurated edge.
  • 14.
    Clinical variants  SuperficialBCC  Nodular BCC  Pigmented BCC  Morphoeic BCC  Ulcerated BCC  Fibroepithelial BCC  Advanced and metastatic BCC
  • 15.
    HISTOPATHOLOGY Tumour masses areconnected to epidermis and composed of uniform cells that appear like basal cells with elongated,dark nucleus and scant cytoplasm.  The cells lie side by side –palisading arrangement.  The cell masses are always surrounded by dermal stroma,which may be separated by the tumour mass by a clear space called retraction space.
  • 17.
    HISTOPATHOLOGICAL VARIANTS  SuperficialBCC  Nodular BCC  Infiltrative BCC  Micronodular BCC  Morpheaform BCC  Basosquamous or metatypical BCC
  • 18.
    NODULAR BCC  Itis the commonest subtype of BCC and usually presents on head & neck.  Red or pink translucent papule or nodule with telangiectasis .  Nodules may have cystic centres, which add to the translucent appearance. HISTOLOGY  As nests of basaloid cells in either the papillary or reticular dermis.  The nests are separated from the stroma by a slit like retraction. ‐  The surrounding stroma shows myxoid change, and calcification may be seen in discrete islands of tumour or in adjacent stroma.
  • 19.
    SUPERFICIAL BCC  Lesscommon and predominantly present on the trunk.  These are bounded by a slightly raised thread like margin or a ‘whipcord’ edge which is ‐ irregular in outline.  The epidermis covering the central zone is usually atrophic and may be scaly. HISTOLOGY  Proliferating atypical basaloid cells usually confined to papillary dermis.  A band like lymphoid infiltrate may be present . ‐
  • 20.
    PIGMENTED BCC Sub typeof nodular bcc that exhibits increased melanization.  It appears as translucent , hyperpigmented papule.  Clinically mistaken for nodular melanoma. HISTOLOGY  Large solid islands of basaloid cells with central pigmentation.  Peripheral palisade is a prominent feature.  Melanocytes are interspersd in b/w tumour cells and contain numerous melanin granules.
  • 21.
    MORPHOEIC BCC  Alsok/a sclerodermiform, because dense fibrosis of the stroma produces a thickened plaque rather than a tumour.  It is yellow in colour with ill defined borders. ‐  The surface is smooth and may be slightly raised above or slightly depressed below, the normal level.  Ulceration is uncommon and only very superficial when it does occur. HISTOLOGY  One to two cells thick columns of basaloid cells enmeshed in a dense collagenous stroma.  Stromal fibroplasia and fibrosis of the tumour cords is commonly seen.  Invasion of the deep dermis and subcutis is another feature of morphoeaform BCC.
  • 22.
    ULCERATED BCC  Startas a small macule or papule but with expansion of the thread like ‐ margins, the attenuated surface ulcerates with an indurated and raised edge.  Atypical ulcerated BCC also has an indurated edge and base but no thread like margin. ‐  The floor of the ulcer is depressed, fleshy in appearance and not very vascular.  If left, the tumour and its following ulcer may spread deeply and cause great destruction,especially around the eye, nose or ear.  Wide extension in the periorbital tissues,bones of the face, skull; and even the meninges -‘ulcus terebrans’.
  • 23.
    MICRONODULAR BCC  Thetumour nests are smaller than those in nodular BCC and more widely and asymmetrically dispersed in the dermis and/or subcutis.  The retraction spaces are uncommon and the surrounding stroma shows either a myxoid or collagenized morphology.
  • 24.
    INFILTRATIVE BCC  Typicallyshow elongated tumour cell strands, five to eight cells in thickness,  present histologically as irregularly sized and shaped nests which are poorly circumscribed.  show invasion of the subcutis and adjacent muscular structures.
  • 25.
    ADVANCED AND METASTATICBCC  1–2%.  Mutilation of the face or scalp, with destruction of the nose or eye and exposure of the paranasal sinuses or the skull, dura or brain may eventually result in death .  bloodstream metastasis - deposits in the viscera or spinal column have caused the symptoms of the terminal illness.  Tumour cells spread via the lymphatics to the regional lymph nodes before disseminating.
  • 26.
    FEATURES OF METASTATICBCC  Large size >3cm and locally aggressive  Recurrent  Younger age onset  Morpheaform MC  Median time to metastasise is 9years  10% survival rate.
  • 27.
    DIFFERENTIAL DIAGNOSIS Nodular BCC-Melanocytic naevus , Molluscum contagiosum Sebaceous hyperplasia, Warts, keratoacanthoma, SCC. Superficial BCC - patches of eczema, psoriasis or bowen disease
  • 28.
  • 29.
    INVESTIGATIONS  The diagnosisof BCC is primarily clinical.  In clinically challenging cases, a biopsy is required.  Nodular BCC- shave biopsy  Morphoeic BCC - punch biopsy Non invasive techniques for the diagnosis of BCC include ‐  Dermoscopy  High frequency ultrasound, ‐  Optical coherence tomography and  In vivo confocal microscopy.
  • 30.
    DERMOSCOPY  white andgrey brown structureless areas ‐  blue grey globules ‐  spoke wheel areas ‐  concentric structures  maple leaf like areas Vasculature includes –  Atypical red , arborizing, comma and telangiectactic vessels.
  • 34.
    MANAGEMENT  Clinical andhistological nature, size and site of tumour & patient factors determine the choice of treatment of BCC. AIM OF TREATMENT-  Complete removal or destruction of the BCC.  Achieving a good and acceptable cosmetic outcome. MEDICAL MANAGEMENT SURGICAL MANAGEMENT Imiquimod Excision 5FU MMS PDT C&C Intralesional INFA-2B Cryotherapy HH INHIBITORS Lasers RT
  • 35.
    MEDICAL MANAGEMENT IMIQUIMOD Stimulates tolllike receptor 7 and 8 expressed on dendritic cells and monocytes, ‐ Leading to increased production of cytokines and chemokines. Promote both th1 innate and adaptive cell mediated immune responses ‐ Recognition and destruction of the tumour cells.  use in superficial BCC, with a maximum tumour diameter of 2 cm.  Topical 5% imiquimod cream, applied five times per week over 6 weeks is effective in clearing 69–100% of superficial BCC and 42–76% of nodular BCC.  S/E- Erythema, pruritus, erosion, ulceration, dyspigmentation and scabbing.  Patients may experience flu like symptoms. ‐
  • 36.
    5 FLUOROURACIL ‐  5FU used to treat superficial BCCs , not recommended for the treatment of large, nodular and high risk BCC.  5 FU disrupts DNA and RNA synthesis by inhibiting the enzyme ‐ Thymidylate synthetase.  Local irritation and skin reaction resulting in erythema, swelling, desquamation and tenderness are common post treatment.  Requires prolonged course,twice daily for 6-12 weeks.
  • 37.
    PHOTODYNAMIC THERAPY  PDTinvolves the activation of a photosensitizing drug by visible light to produce activated oxygen species that destroy the cancer cells.  Complete response rates for superficial BCCs from 85% to 93% at 3 months.  Topical photosensitisers ALA or Methyl aminolevulinic acid is used.  Used for small small low risk superficial BCC.  Treatment is repeated every 7 days.  Cosmetic results is excellent.
  • 38.
    INTRALESIONAL INFΑ 2B ‐ High cure rates  1.5 million U IL inj ,3times/week for 3 weeks. Limitations  High cost  Multiple sessions. HEDGEHOG PATHWAY INHIBITORS  Vismodegib is an inhibitor of SMO used in the treatment of metastatic and locally advanced BCCs  DOSE-150 mg orally daily for 9-10 month. Adverse reactions - fatigue, weight loss and dyspnoea, muscle spasm , aspiration, back pain, corneal abrasion, dehydration, hyponatraemia , lymphopenia , pneumonia,
  • 39.
    SURGICAL METHODS Surgical excision–  complete clearance can be achieved in approximately 95% of the well defined small BCC with a 4–5 mm surgical ‐ margin ,  recurrence rates are low  cosmetic outcomes are good.  may not be appropriate for recurrent, morphoeic or large BCC Mohs micrographic surgery  MMS offers superior histologic analysis of tumor margins while permitting maximal conservation of tissue  It is the treatment of first choice for primary & recurrent facial BCCs.  MMS is the treatment of choice for morpheaform, poorly delineated, incompletely removed BCCs.
  • 41.
    Curretage and electrodessication–  Growth is scraped of with currete with a sharp ring shaped tip ,then tumour is desiccated(burned) with the electrocautery.  Leaves white round whitish scar. Low risk non facial BCCs best treated with C&C.  Not employed for- recurrent, illdefined, high risk BCCs.
  • 42.
    CRYOTHERAPY  Cryotherapy istreatment of superficial lesion by freezing it,usually with liquid nitrogen .  Suitable for BCC present in covered site like trunk ,limb as it leaves permanent white mark.  Two freeze–thaw cycles with a tissue temperature of −50°C are required to destroy BCC.   A margin of clinically normal tissue must be destroyed to eradicate subclinical extension.
  • 43.
    RADIATION THERAPY  Superficialand electron beam radiotherapy or brachytherapy are effective in primary or surgically recurrent , high risk BCC. ‐  RT may be used as a palliative modality in improving the quality of life in patients with advanced disease  Given in fractionated dose of 10-16 fractions for <5cm & 15-30 divided doses for >5cm tumours  RT advantages – effective in troublesome areas nose, ear and eyelid.  useful in elderly patient where surgery can not be performed. Recurrent tumours, Disadvantage- Radiation necrosis of skin Expensive and time consuming as many session needed. Tumours with poorly defined clinical margins  Incomplete clearance and recurrences after radiotherapy are higher and cosmosis is poor when compared with surgical excision.
  • 45.