Sci Biz Tech
FINALS
Headlines
Round 1
Rules
Rules
•6 questions
•Written
•+5/0
1
This company, spun off from PAX labs in 2017, makes the iconic alternative to a certain
commodity, using ________ salts instead of _______. In December 2018, the company
agreed to sell a $13 billion stake to Altria, a move that it received harsh criticism for.
This investment resulted in the company increasing its ad dollars which led to an alarming
increase in its product’s adoption among juveniles and young adults.
This bleak scenario, one where teens are hooked onto multiple ________ hits, was
analyzed by an online publishing house and the results presented in an aptly titled report.
The first part of the headline was similar to a wildly popular British band’s single from the
60s, with the company’s name replacing a word in the song’s title.
What was this headline?
2
X is famous for his wild bets on airborne taxis and space elevators, but couldn’t
apparently make the flight to D.C., where he was called to testify on Capitol Hill
about the way state-sponsored actors had exploited a system that he helped
design during the 2016 election cycle.
Due to his increasingly hermetic avoidance from the public eye, Bloomberg
Businessweek wrote a story on X, with the cover image featuring a Y, that is
usually generated when a user clicks on a broken link that the website cannot find
any information about.
From X and Y, what was the punny headline featured on this Bloomberg
Businessweek article?
3
When X assumed the position of the top office at Y in 1933, he strongly advocated
for original research and advanced education.
X undertook radical reforms once he took over the reigns of Y and expected the
highest order of excellence, believing it to be a strong proponent of quality
research and progress. The effects of his reforms and practices are apparent to
this day, with equal emphasis placed on both applied & pure research at Y, which
has often been heralded as the bastion of scientific research in the country.
Journalist Pavan Kulkarni, in an attempt to understand the spread of X’s reforms at
Y penned an article, with its title directly borrowing from what is considered as X’s
most significant contribution to science.
What was the title given?
4
Early last month, Bernie Sanders announced his bid to run for President. As an
independent socialist candidate one of the core tenants of Sanders’ election campaign is
his fight against the monopoly status that companies currently hold in the US economy.
One of the popular points that he continually raises in campaign trail is that several giants
take advantage of loopholes in current US tax policy to avoid paying taxes. In an attempt
to curb evasive tax behavior, Sanders introduced a bill in Congress last September, which
would tax companies like X, which evade taxes by providing their employees with federal
benefits.
Appropriately titled the “Stop Bad Employers by Zeroing Out Subsidies Act”, the
legislation is aimed at X (and other such companies alike) with employees who are
notoriously paid low wages, but are provided large volumes of federal benefits in attempt
to curb taxes.
Give X and what was Sanders’ Act popularly known as?
5
This book was written by Aaron Dignan, an American businessman and writer. He
is the founder of The Ready, an organization dedicated to propelling the
workspaces to the 21st century.
The title of the book was inspired by a 1931 dystopian novel based in the World
State of London, where citizens are engineered through artificial wombs and
castes decided through intelligence and labour.
Give the title of Dignan’s book, which was inspired by the 1931 novella and the
aim of his organization.
6
The 2008 financial crisis witnessed a number of banks and corporations shutting
shop, with a few undergoing mergers albeit at the expense of layoffs across the
white collar workforce.
One such fund was XY, which was absorbed by a banking giant, whose leader is
now known as the “White Knight”, for heralding the company through the 2008
crisis.
Newspapers around the world reported on grim outcome of the merger
considering the fact that a year back XY traded at a record high of $171 but was
sold at $2 a share.
What was headline that a journalist used to convey the bleak outcome of the deal
by incorporating a part of the fund’s name?
SAFETY SLIDE
1
This company, spun off from PAX labs in 2017, makes the iconic alternative to a certain
commodity, using ________ salts instead of _______. In December 2018, the company
agreed to sell a $13 billion stake to Altria, a move that it received harsh criticism for.
This investment resulted in the company increasing its ad dollars which led to an alarming
increase in its product’s adoption among juveniles and young adults.
This bleak scenario, one where teens are hooked onto multiple ________ hits, was
analyzed by an online publishing house and the results presented in an aptly titled report.
The first part of the headline was similar to a wildly popular British band’s single from the
60s, with the company’s name replacing a word in the song’s title.
What was this headline?
ANSWER
Hey Juul, you made it bad
2
X is famous for his wild bets on airborne taxis and space elevators, but couldn’t
apparently make the flight to D.C., where he was called to testify on Capitol Hill
about the way state-sponsored actors had exploited a system that he helped
design during the 2016 election cycle.
Due to his increasingly hermetic avoidance from the public eye, Bloomberg
Businessweek wrote a story on X, with the cover image featuring a Y, that is
usually generated when a user clicks on a broken link that the website cannot find
any information about.
From X and Y, what was the punny headline featured on this Bloomberg
Businessweek article?
ANSWER
Larry Page
404 Page not found
3
When X assumed the position of the top office at Y in 1933, he strongly advocated
for original research and advanced education.
X undertook radical reforms once he took over the reigns of Y and expected the
highest order of excellence, believing it to be a strong proponent of quality
research and progress. The effects of his reforms and practices are apparent to
this day, with equal emphasis placed on both applied & pure research at Y, which
has often been heralded as the bastion of scientific research in the country.
Journalist Pavan Kulkarni, in an attempt to understand the spread of X’s reforms at
Y penned an article, with its title directly borrowing from what is considered as X’s
most significant contribution to science.
What was the title given?
ANSWER
The Raman Effect (on IISc)
4
Early last month, Bernie Sanders announced his bid to run for President. As an
independent socialist candidate one of the core tenants of Sanders’ election campaign is
his fight against the monopoly status that companies currently hold in the US economy.
One of the popular points that he continually raises in campaign trail is that several giants
take advantage of loopholes in current US tax policy to avoid paying taxes. In an attempt
to curb evasive tax behavior, Sanders introduced a bill in Congress last September, which
would tax companies like X, which evade taxes by providing their employees with federal
benefits.
Appropriately titled the “Stop Bad Employers by Zeroing Out Subsidies Act”, the
legislation is aimed at X (and other such companies alike) with employees who are
notoriously paid low wages, but are provided large volumes of federal benefits in attempt
to curb taxes.
Give X and what was Sanders’ Act popularly known as?
ANSWER
Amazon
The BEZOS Act
5
This book was written by Aaron Dignan, an American businessman and writer. He
is the founder of The Ready, an organization dedicated to propelling the
workspaces to the 21st century.
The title of the book was inspired by a 1931 dystopian novel based in the World
State of London, where citizens are engineered through artificial wombs and
castes decided through intelligence and labour.
Give the title of Dignan’s book, which was inspired by the 1931 novella and the
aim of his organization.
ANSWER
Brave New Work
6
The 2008 financial crisis witnessed a number of banks and corporations shutting
shop, with a few undergoing mergers albeit at the expense of layoffs across the
white collar workforce.
One such fund was XY, which was absorbed by a banking giant, whose leader is
now known as the “White Knight”, for heralding the company through the 2008
crisis.
Newspapers around the world reported on grim outcome of the merger
considering the fact that a year back XY traded at a record high of $171 but was
sold at $2 a share.
What was headline that a journalist used to convey the bleak outcome of the deal
by incorporating a part of the fund’s name?
ANSWER
CW Dries
2
Rules
Rules
•9 questions
•+10/-5 pounce
•+10/0 bounce
1
The Ig Nobel Prize is a satirical award ceremony that is held at Sanders Theater, Harvard
University every year at the same time as the actual Nobel Prizes.
The Ig Nobel prize despite being something of a joke, has a complex and long standing
tradition of its own, one such tradition is the Parade of _________ which can be worked
out by removing one letter from a term given to guests at a sombre occasion and which
aptly suits the the Ig Nobel ceremony.
While we are on the subject of the Ig Nobel Prizes, in 2004, Jillian Clarke won the Ig Nobel
Prize for her extensive study on a certain food related maxim and whether it was indeed
successful in deciding if food was safe to eat and unspoilt, to which she answered,
“basically yes”.
FITB.
What did Jillian Clarke study that warranted her this honor?
SAFETY SLIDE
ANSWER
Ignitaries
5 second rule
2
For those of you who think innovation is dead in the automotive industry, here's a
description of Ford's latest innovation in testing:
To better mimic real-life usage, like getting into your car after a workout at the gym, the X
can now sweat. It's cushioning is heated to 36 degrees Celsius (to approximate the human
body’s temperature), and half a liter of water is fed through the fabric.
What apt nickname X did Ford pick for this mechanical invention, which Ford uses to test
its car seats?
SAFETY SLIDE
ANSWER
Robutt
3
Contrary to popular belief the letter ‘A’ featuring in the name of the online
scientific repository ‘B’, is not actually an ‘A’ but rather the Greek letter ‘C’, which
is pronounced as ‘ch’.
Along similar lines, the typesetting software D used for technical and scientific
documentation is often mispronounced, owing to similar confusion in the
pronunciation of the same Greek letter at the end of its name.
Give B and D.
SAFETY SLIDE
ANSWER
A – the letter X
B – ArXiv
C – Chi
D – LaTeX
4
Jit Chowdhury was a regular attendee to this year’s Consumer Electronic Show, a
6-day long event in Nevada, where OEMs and tech giants announce new
consumer products and recently, new hardware stacks as well.
While he was photographing a piece of tech, featured on one of the main
highlights of this years show, it accidentally damaged his DSLR and he tweeted at
the company working on it.
What was Jit trying to photograph at CES (blanked out on the left), that caused his
DSLR lens to flare and ultimately damaged it?
4
SAFETY SLIDE
ANSWER
LIDAR on self driving cars
5
During World War I, helicopters featured a single nut holding back the entire rotor
system from breaking off from the rest of the assembly and wreaking mayhem.
Due to this complicated and unsafe assembly, helicopters did not witness
significant airtime during the war. This nut, that held back the blades, fastening it
to the rest of the assembly was called the ‘X’ nut, as it was the only thing that kept
this system in place.
With the dawn of better analysis tools and fabrication techniques, this time
around, during World War II, the X nut was replaced by a series of 12 nuts. This
emphasized safety of the crew and the ground forces, all the while providing the
pilots with greater maneuverability in such scenarios.
What were these replacement nuts called, which is pretty apt given their
predecessor’s function and name?
SAFETY SLIDE
ANSWER
Jesus Nut
12 Apostle Nuts
6
The X Music Project is an open-source music and science project that aims to
create art where “everyone can be an artist, generating unique pieces of art”.
“Since [this] information can only come in the language of four [symbols]… it is
fairly easily conveyed in musical form. Another way of thinking about it is that
each and every one of us and all life on this planet is made of music,” says site
curator Greg Lukianoff.
Here is a list of songs that are generated using the tools made available on the
project’s site, which should help you understand what the project is all about.
List of songs on next slide.
Give X, or what The X Music Project is all about.
6
SAFETY SLIDE
ANSWER
Genetic Music Project
A,G,C,T
7
The practice of handing out Xs in schools started due to the alarming increase in
the frequency of air raids during World War 2. In case a school or college was
bombed during the raids, rescue personnel wanted a means to easily identify the
casualties.
At the time, clinical research hadn't progressed sufficiently to prove that blood
group O was universal and could be administered to anyone, hence a person’s
blood group also featured on X, a tradition that has carried over since, despite
significant progress in clinical research.
What is X?
SAFETY SLIDE
ANSWER
ID Cards
8
_ _______ is a process that is also called data dredging which is essentially the
practice of selectively choosing experimental readings so as to meet the required
margin of error and submit a thesis for publication.
While many scientists have been caught and shamed for this practice, X however
has seemed to gotten away with it scot free. According to one estimate, the
results that X has posted is only possible in a 1 in 100,000 scenario and is most
certainly a case of data dredging.
However, this knowledge regarding X is still widely unknown and X is still called
the father of his respective field.
Identify X and give me an apt wordplay regarding the unethical practice that X
followed by adding 2 letters to the blank
SAFETY SLIDE
ANSWER
P Hacking
Pea Hacking
9
Although the main purpose of these creations was for retribution and created as a
vengeance weapon, it holds the distinction of being the first manmade object to
cross the Karman line ie the line separating earth and space.
Once the war was done, during operation paperclip, the creator of the weapon
quietly moved to the US and held key positions during the space race and is
considered one of the key people that helped America win the space race.
Identify the creation and its creator.
SAFETY SLIDE
ANSWER
Creation – V2 Rocket
Creator – Werner Von Braun
WTDH
3
Rules
Rules
•7 variables
•+4/0
1
A was a solid polymorph of water made by "Felix Hoenikker" for the US Marines to
crystallize a swamp and allow for an assault. However, A's namesake, a metastable
structure has indeed been discovered and has a familiar hexagon stacked like structure.
Another extremely famous structure composed of similar hexagons and more is named
after B. An honorific title given to churches in England is C. One of the more prominent C
functions as the resting ground of E, probably the greatest thinker of our generation.
Upon removal of C from B, you would end up with D, a word quite popular in a financial
context. F, unlike B chose a profession that sought to bring the ideas that folks like B
chalked up and is often credited as the greatest from India. He is credited with the
creation of G, albeit relatively lesser known a constant contributor to a Bengalurean's life.
Homophones of D's synonym and G would lead you to two words which form parts of
rather famous phrase.
What's the good phrase?
SAFETY SLIDE
SAFETY SLIDE
ANSWER
A – Ice 9
B – Buckminster
C – Minster
D – Buck
E – Hawking
F – Sir MV
G – KRS Dam
Frankly my dear, I don’t give a damn.
ACW Dries
4
1
Earlier this year, Nike announced the Nike AirMax 270, that caused some
controversy due to the unfortunate typesetting of the Nike AirMax logo featuring
on the sole of the shoe.
One of the protestors of the design asked Nike to recall “this blasphemous and
offensive shoe and all products with the design logo resembling the word ____
from worldwide sales immediately.”
Nike said in a statement the logo was a stylized representation of the Air Max
trademark. “Any other perceived meaning or representation is unintentional,”
What was the controversy about? (Pictures follow)
1
SAFETY SLIDE
ANSWER
Allah
2
The rivalry between X and Y has been dubbed by some as the “biggest club rivalry
in world football” and The Observer observed that the game “made the Old Firm
game look like a primary school kick-about”.
Their rivalry is so fierce in fact that the company Z had to change it trademark red
and white packaging, which reminded X fans of Y’s colors, to sell its products at
their home stadium.
SAFETY SLIDE
ANSWER
X – Boca Juniors
Y - Rover Plate FC
Z – Coca Cola
3
In an effort to boost slumped sales, X, announced that they would be adding a
new backroom section to their physical outlets across the US.
“The only thing we excel at is catering to the ________ fandoms,” Chief
Merchandising Officer Tim Mantel told reporters and shareholders during a recent
earnings call. “We feel that a _____ section will bring a new subset fans into our
stores”, adding to which Mantel also announced, “In extremely related news, we
are also rolling out floor to ceiling air fresheners.”
The new section will be shielded from the general public by a beaded bamboo
curtain, as well as a neon warning light. Additionally X will put all purchases in a
discreet brown paper bag decorated with Sailor Moon characters.
Give X, and what did X announce in an attempt to combat poor financial quarter?
SAFETY SLIDE
ANSWER
Barnes and Noble
Hentai
4
The adjoining picture shows the records of a planet X’s moons discovered by Y
who initially named them “Cosimo’s stars” after his patron.
This discovery is paid homage to by Project Z (two words), a tool designed to
develop code in an interactive manner, supporting a variety of languages as well
as markdown, to write down notes alongside often esoteric code.
Give X, and Project Z, a slight variation of X, indicating one of the earliest
languages supported by the community behind the Project.
SAFETY SLIDE
ANSWER
Jupiter
Jupyter
5
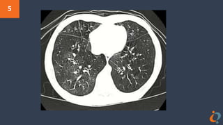
Bronchiolitis obliterans(BO) is a disease that results in obstruction of the smallest
airways of the lungs due to inflammation.Symptoms include a dry cough,
shortness of breath, wheezing and feeling tired. This disease is also called X Lung
because workers at a factory that packaged X were found to have bronchiolitis
obliterans more often than other people. It was later discovered that the chemical
that caused this condition its nickname was diacetyl which gave X its rich, buttery
scent. Most companies immediately stopped using diacetyl as a flavoring but it's
still used in many e-cigarette flavors. Cigarettes destroying lungs, what’s new?
Adjoining picture of a high resolution CT scan of lungs with BO could be a clue to
X. Give X.
5
SAFETY SLIDE
ANSWER
Popcorn Lung
6
We are at the cusp of a certain technology being introduced publicly to consumers
in regions around the world. However the recent action of a company X which
issued a software update (in the USA ) to gain a lead amongst its competitors was
met with widespread criticism. The update is going to brand the most advanced
version of the existing tech in some areas as the upcoming tech.
A competitor’s CTO said X was “duping customers into thinking they’re getting
something they’re not.”
ID company X and what did the software update do?
SAFETY SLIDE
ANSWER
AT&T adding fake 5G logo
7
Earlier this year in February, Uber introduced a new promotional to the cities of
Boston and Los Angeles. The offer was as follows:
Uber Rewards members in Los Angeles or Boston will see a code when they open
the app, on satisfying certain criteria , they can drop the code into the payment
section of the app and redeem a free ride up to $50 anytime within an hour of the
criteria being satisfied.
What was the terms of the offer that LA ended up getting? What was the punny
name of the offer, a play on another familiar offer where certain commodities are
given at discounted prices.
SAFETY SLIDE
ANSWER
Losing SuperBowl City gets free rides, Unhappy Hours
8
Shown in the next slide is a post made by a webcomic X, in a request
to save the laboratory, present in Long Island, New York where the
boldest and greatest inventions of scientist Y were located.
In the request, the author specifically calls out someone who he
believes has made a fortune based off the works of Y. And so, he asks
Z, to make a majority contribution to save what he believes to be a
monument to science itself.
Identify X, Y and Z. X can be worked out from from the style of the
comic. Y and Z based off the context
8
SAFETY SLIDE
ANSWER
Oatmeal
Nikola Tesla
Elon Musk
9
The plains bison is the largest land mammal indigenous to America and has now
all but gone extinct due to excessive hunting up until the 20th century. One of the
last known safe havens for these bison is at Y.
Y is a state of the art campus that at one point housed the world’s largest
cyclotron and was an intellectual powerhouse during the atomic age. Y is named
after X an immigrant credited with building something called a Chicago Pile-1 that
made him eligible for honors such as a Nobel Prize, a spot on the periodic table
and a unit of measurement.
ID Y and what is the Chicago Pile-1 that got X his Nobel?
SAFETY SLIDE
ANSWER
Y – Fermi labs
Chicago Pile-1 is the first man made nuclear reactor
WTDH 2
5
Rules
Rules
•6 variables
•+4/0
1
The area comprising 26 European states that have officially abolished
passport and border control at their mutual borders is called the A
area after an agreement signed near the eponymous town in
Luxembourg. A sounds like the global technology hub B on the Pearl
River delta, home to C, the world's largest gaming company. C is
literally equal to two D s, at least to Americans. Remove the last letter
and D from a kid's channel to get E, the company which eventually
developed the more famous F. If F's logo wanted to suddenly shift
careers from marketing to sports, which sport would he most likely
choose?
SAFETY SLIDE
SAFETY SLIDE
ANSWER
A – Schengen
B – Shenzen
C – Tencent
D – Nickel
E – Odeo
F – Twitter
Basketball
Deep Dive
6
Rules
Rules
•8 questions
•+10/0
•+10/-5
•CW
1
___ _____ ____, a rhetorical way of drawing attention to the mind-
numbing array of things happening every moment of every day to
make a modern economy work. Somehow the right amount of fresh
tuna makes its way from a fishing fleet in the South Pacific to a
restaurant on the Rue de Rivoli. A neighborhood fruit vendor has
exactly what his customers want every morning—from coffee to
fresh papayas—even though those products may come from ten or
fifteen different countries. In short, a complex economy involves
billions of transactions every day, the vast majority of which happen
without any direct government involvement.
This is an excerpt from Naked Economics by Charles Wheelan. He
popularized this famous question in economics, FITB with this
rhetorical question.
SAFETY SLIDE
ANSWER
Who Feeds Paris?
2
In 2010, Dawn Brancheau, an employee of X died due to a
workplace accident that was the subject of a 2013
documentary called Blackfish.
The documentary caused X to receive widespread criticism
and as a result of the backlash, new legislation was formed by
many states.
All this lead to 50% drop in the share prices of X and it has still
not recovered from these blows. The impact was so far
reaching that a 2018 “venture” also had to undergo changes to
prevent similar public shaming.
Id X and the John Lasseter venture
SAFETY SLIDE
ANSWER
Sea World
Finding Dory
3
The fish Y is known for its large size, fearsome
appearance and ferocious behavior and
shares its name with a security, network
appliances and cloud services company.
This particular species of fish is called the XY,
because of the X shapes on its back. The
shape, commonly found in heraldry and flags,
is also the name of one of the successors to
the "Seven Sisters" which dominated the oil
industry in the early 20th century.
Give me XY
SAFETY SLIDE
ANSWER
Chevron Barracuda
4
Shown in the picture is a Hagfish used extensively in research
because it is the only known organism with a skull and no vertebrae,
RIKEN laboratory Center for Biology is one such state of the art lab
that studies the Hagfish and has produced some newsworthy results
in the field of fish reproduction.
RIKEN laboratory also made headlines in 2015, when it confirmed
the discovery of element 113. As a result, RIKEN was given the right
to name it and the world hoped to end a long standing absence.
All hopes were shattered however, when RIKEN decided to name
the element with a more local name than what was expected and
thus the wait continues.
What was the missed opportunity?
SAFETY SLIDE
ANSWER
Japanium vs Nihonium letter J funda
5
In 2015, after the referee made a
disagreeable call against X’s basketball team
which ended up costing them the game, X
commented saying “Ed Rush might have been
a great ref, but I wouldn’t hire him to manage
a Y.” This incurred X a $500,000 fine and after
the comments a local Y franchise offered X
the opportunity to be manager for a day.
Shown in the next slide is X happily accepting
the offer and serving Y’s signature dish a soft
serve Ice Cream.
ID X and Y
5
SAFETY SLIDE
ANSWER
Mark Cuban
Dairy Queen
6
Minamata disease is a disease that was discovered in the
1950s near the Minamata bay in Japan. It caused symptoms
like ataxia, muscle weakness, loss of vision and even coma
and death.It was identified that consumption of shellfish and
fish that was caught in the polluted bay was the reason for
this malady.
The disease was first noticed in cats when they ate table
scraps that caused them to convulse violently and had
extremely high body temperatures that the disease was also
called _______ ___ _____.
What was the pollutant responsible for the disease,
something that has become widely popular over the past 6
months in an entertainment context?
SAFETY SLIDE
ANSWER
Dancing Cat Fever
Mercury
7
Gabriel Weinberg founded this company in Valley Forge
Pennsylvania, he says that the idea for the company’s name came
from a popular children’s game. The company in question has now
become of increasing relevance due to the recent concerns of
privacy and data security. Now, in the name of the company are two
amphibians X and Y. Y is the amphibian shown.
A Y dinner was a famous Christmas tradition during the middle ages
and was famous up until the mid 1800s. However, after a certain
businessman mostly known to us in X form, gifted one of his
employees a turkey instead of a Y, people began to see Y as a poor
man’s delicacy and began to replace Y dinners with turkey dinners.
ID the company and the businessman who supposedly destroyed a
Christmas tradition.
SAFETY SLIDE
ANSWER
Duck Duck Go
Ebenezer Scrooge
8
There is a popular fable concerning frogs that is generally
offered as a metaphor cautioning people to be aware of
even gradual change lest they suffer eventual undesirable
consequences. However, after conducting numerous
experiments and studies since the mid 1800s it was stated
that the fable had no scientific bearing and could not hold
any merit due to an important physiological nature of
frogs.
Incidentally enough, experiments and dissections
involving frogs are now widely criticized as it was noted by
Elizabeth Kolbert in her Pulitzer Prize winning work The
Sixth Extinction, that frogs are slowly going extinct.
What important physiological nature of frogs prevents
this popular fable from holding scientific merit?
SAFETY SLIDE
ANSWER
Cold Blooded

UTPT 2019 Sci-Biz-Tech Quiz Finals

  • 1.
  • 2.
  • 3.
  • 4.
    1 This company, spunoff from PAX labs in 2017, makes the iconic alternative to a certain commodity, using ________ salts instead of _______. In December 2018, the company agreed to sell a $13 billion stake to Altria, a move that it received harsh criticism for. This investment resulted in the company increasing its ad dollars which led to an alarming increase in its product’s adoption among juveniles and young adults. This bleak scenario, one where teens are hooked onto multiple ________ hits, was analyzed by an online publishing house and the results presented in an aptly titled report. The first part of the headline was similar to a wildly popular British band’s single from the 60s, with the company’s name replacing a word in the song’s title. What was this headline?
  • 5.
    2 X is famousfor his wild bets on airborne taxis and space elevators, but couldn’t apparently make the flight to D.C., where he was called to testify on Capitol Hill about the way state-sponsored actors had exploited a system that he helped design during the 2016 election cycle. Due to his increasingly hermetic avoidance from the public eye, Bloomberg Businessweek wrote a story on X, with the cover image featuring a Y, that is usually generated when a user clicks on a broken link that the website cannot find any information about. From X and Y, what was the punny headline featured on this Bloomberg Businessweek article?
  • 6.
    3 When X assumedthe position of the top office at Y in 1933, he strongly advocated for original research and advanced education. X undertook radical reforms once he took over the reigns of Y and expected the highest order of excellence, believing it to be a strong proponent of quality research and progress. The effects of his reforms and practices are apparent to this day, with equal emphasis placed on both applied & pure research at Y, which has often been heralded as the bastion of scientific research in the country. Journalist Pavan Kulkarni, in an attempt to understand the spread of X’s reforms at Y penned an article, with its title directly borrowing from what is considered as X’s most significant contribution to science. What was the title given?
  • 7.
    4 Early last month,Bernie Sanders announced his bid to run for President. As an independent socialist candidate one of the core tenants of Sanders’ election campaign is his fight against the monopoly status that companies currently hold in the US economy. One of the popular points that he continually raises in campaign trail is that several giants take advantage of loopholes in current US tax policy to avoid paying taxes. In an attempt to curb evasive tax behavior, Sanders introduced a bill in Congress last September, which would tax companies like X, which evade taxes by providing their employees with federal benefits. Appropriately titled the “Stop Bad Employers by Zeroing Out Subsidies Act”, the legislation is aimed at X (and other such companies alike) with employees who are notoriously paid low wages, but are provided large volumes of federal benefits in attempt to curb taxes. Give X and what was Sanders’ Act popularly known as?
  • 8.
    5 This book waswritten by Aaron Dignan, an American businessman and writer. He is the founder of The Ready, an organization dedicated to propelling the workspaces to the 21st century. The title of the book was inspired by a 1931 dystopian novel based in the World State of London, where citizens are engineered through artificial wombs and castes decided through intelligence and labour. Give the title of Dignan’s book, which was inspired by the 1931 novella and the aim of his organization.
  • 9.
    6 The 2008 financialcrisis witnessed a number of banks and corporations shutting shop, with a few undergoing mergers albeit at the expense of layoffs across the white collar workforce. One such fund was XY, which was absorbed by a banking giant, whose leader is now known as the “White Knight”, for heralding the company through the 2008 crisis. Newspapers around the world reported on grim outcome of the merger considering the fact that a year back XY traded at a record high of $171 but was sold at $2 a share. What was headline that a journalist used to convey the bleak outcome of the deal by incorporating a part of the fund’s name?
  • 10.
  • 11.
    1 This company, spunoff from PAX labs in 2017, makes the iconic alternative to a certain commodity, using ________ salts instead of _______. In December 2018, the company agreed to sell a $13 billion stake to Altria, a move that it received harsh criticism for. This investment resulted in the company increasing its ad dollars which led to an alarming increase in its product’s adoption among juveniles and young adults. This bleak scenario, one where teens are hooked onto multiple ________ hits, was analyzed by an online publishing house and the results presented in an aptly titled report. The first part of the headline was similar to a wildly popular British band’s single from the 60s, with the company’s name replacing a word in the song’s title. What was this headline?
  • 12.
  • 13.
    2 X is famousfor his wild bets on airborne taxis and space elevators, but couldn’t apparently make the flight to D.C., where he was called to testify on Capitol Hill about the way state-sponsored actors had exploited a system that he helped design during the 2016 election cycle. Due to his increasingly hermetic avoidance from the public eye, Bloomberg Businessweek wrote a story on X, with the cover image featuring a Y, that is usually generated when a user clicks on a broken link that the website cannot find any information about. From X and Y, what was the punny headline featured on this Bloomberg Businessweek article?
  • 14.
  • 15.
    3 When X assumedthe position of the top office at Y in 1933, he strongly advocated for original research and advanced education. X undertook radical reforms once he took over the reigns of Y and expected the highest order of excellence, believing it to be a strong proponent of quality research and progress. The effects of his reforms and practices are apparent to this day, with equal emphasis placed on both applied & pure research at Y, which has often been heralded as the bastion of scientific research in the country. Journalist Pavan Kulkarni, in an attempt to understand the spread of X’s reforms at Y penned an article, with its title directly borrowing from what is considered as X’s most significant contribution to science. What was the title given?
  • 16.
  • 17.
    4 Early last month,Bernie Sanders announced his bid to run for President. As an independent socialist candidate one of the core tenants of Sanders’ election campaign is his fight against the monopoly status that companies currently hold in the US economy. One of the popular points that he continually raises in campaign trail is that several giants take advantage of loopholes in current US tax policy to avoid paying taxes. In an attempt to curb evasive tax behavior, Sanders introduced a bill in Congress last September, which would tax companies like X, which evade taxes by providing their employees with federal benefits. Appropriately titled the “Stop Bad Employers by Zeroing Out Subsidies Act”, the legislation is aimed at X (and other such companies alike) with employees who are notoriously paid low wages, but are provided large volumes of federal benefits in attempt to curb taxes. Give X and what was Sanders’ Act popularly known as?
  • 18.
  • 19.
    5 This book waswritten by Aaron Dignan, an American businessman and writer. He is the founder of The Ready, an organization dedicated to propelling the workspaces to the 21st century. The title of the book was inspired by a 1931 dystopian novel based in the World State of London, where citizens are engineered through artificial wombs and castes decided through intelligence and labour. Give the title of Dignan’s book, which was inspired by the 1931 novella and the aim of his organization.
  • 20.
  • 21.
    6 The 2008 financialcrisis witnessed a number of banks and corporations shutting shop, with a few undergoing mergers albeit at the expense of layoffs across the white collar workforce. One such fund was XY, which was absorbed by a banking giant, whose leader is now known as the “White Knight”, for heralding the company through the 2008 crisis. Newspapers around the world reported on grim outcome of the merger considering the fact that a year back XY traded at a record high of $171 but was sold at $2 a share. What was headline that a journalist used to convey the bleak outcome of the deal by incorporating a part of the fund’s name?
  • 22.
  • 23.
  • 24.
  • 25.
    1 The Ig NobelPrize is a satirical award ceremony that is held at Sanders Theater, Harvard University every year at the same time as the actual Nobel Prizes. The Ig Nobel prize despite being something of a joke, has a complex and long standing tradition of its own, one such tradition is the Parade of _________ which can be worked out by removing one letter from a term given to guests at a sombre occasion and which aptly suits the the Ig Nobel ceremony. While we are on the subject of the Ig Nobel Prizes, in 2004, Jillian Clarke won the Ig Nobel Prize for her extensive study on a certain food related maxim and whether it was indeed successful in deciding if food was safe to eat and unspoilt, to which she answered, “basically yes”. FITB. What did Jillian Clarke study that warranted her this honor?
  • 26.
  • 27.
  • 28.
    2 For those ofyou who think innovation is dead in the automotive industry, here's a description of Ford's latest innovation in testing: To better mimic real-life usage, like getting into your car after a workout at the gym, the X can now sweat. It's cushioning is heated to 36 degrees Celsius (to approximate the human body’s temperature), and half a liter of water is fed through the fabric. What apt nickname X did Ford pick for this mechanical invention, which Ford uses to test its car seats?
  • 29.
  • 30.
  • 31.
    3 Contrary to popularbelief the letter ‘A’ featuring in the name of the online scientific repository ‘B’, is not actually an ‘A’ but rather the Greek letter ‘C’, which is pronounced as ‘ch’. Along similar lines, the typesetting software D used for technical and scientific documentation is often mispronounced, owing to similar confusion in the pronunciation of the same Greek letter at the end of its name. Give B and D.
  • 32.
  • 33.
    ANSWER A – theletter X B – ArXiv C – Chi D – LaTeX
  • 34.
    4 Jit Chowdhury wasa regular attendee to this year’s Consumer Electronic Show, a 6-day long event in Nevada, where OEMs and tech giants announce new consumer products and recently, new hardware stacks as well. While he was photographing a piece of tech, featured on one of the main highlights of this years show, it accidentally damaged his DSLR and he tweeted at the company working on it. What was Jit trying to photograph at CES (blanked out on the left), that caused his DSLR lens to flare and ultimately damaged it?
  • 35.
  • 36.
  • 37.
  • 38.
    5 During World WarI, helicopters featured a single nut holding back the entire rotor system from breaking off from the rest of the assembly and wreaking mayhem. Due to this complicated and unsafe assembly, helicopters did not witness significant airtime during the war. This nut, that held back the blades, fastening it to the rest of the assembly was called the ‘X’ nut, as it was the only thing that kept this system in place. With the dawn of better analysis tools and fabrication techniques, this time around, during World War II, the X nut was replaced by a series of 12 nuts. This emphasized safety of the crew and the ground forces, all the while providing the pilots with greater maneuverability in such scenarios. What were these replacement nuts called, which is pretty apt given their predecessor’s function and name?
  • 39.
  • 40.
  • 41.
    6 The X MusicProject is an open-source music and science project that aims to create art where “everyone can be an artist, generating unique pieces of art”. “Since [this] information can only come in the language of four [symbols]… it is fairly easily conveyed in musical form. Another way of thinking about it is that each and every one of us and all life on this planet is made of music,” says site curator Greg Lukianoff. Here is a list of songs that are generated using the tools made available on the project’s site, which should help you understand what the project is all about. List of songs on next slide. Give X, or what The X Music Project is all about.
  • 42.
  • 43.
  • 44.
  • 45.
    7 The practice ofhanding out Xs in schools started due to the alarming increase in the frequency of air raids during World War 2. In case a school or college was bombed during the raids, rescue personnel wanted a means to easily identify the casualties. At the time, clinical research hadn't progressed sufficiently to prove that blood group O was universal and could be administered to anyone, hence a person’s blood group also featured on X, a tradition that has carried over since, despite significant progress in clinical research. What is X?
  • 46.
  • 47.
  • 48.
    8 _ _______ isa process that is also called data dredging which is essentially the practice of selectively choosing experimental readings so as to meet the required margin of error and submit a thesis for publication. While many scientists have been caught and shamed for this practice, X however has seemed to gotten away with it scot free. According to one estimate, the results that X has posted is only possible in a 1 in 100,000 scenario and is most certainly a case of data dredging. However, this knowledge regarding X is still widely unknown and X is still called the father of his respective field. Identify X and give me an apt wordplay regarding the unethical practice that X followed by adding 2 letters to the blank
  • 49.
  • 50.
  • 51.
    9 Although the mainpurpose of these creations was for retribution and created as a vengeance weapon, it holds the distinction of being the first manmade object to cross the Karman line ie the line separating earth and space. Once the war was done, during operation paperclip, the creator of the weapon quietly moved to the US and held key positions during the space race and is considered one of the key people that helped America win the space race. Identify the creation and its creator.
  • 52.
  • 53.
    ANSWER Creation – V2Rocket Creator – Werner Von Braun
  • 54.
  • 55.
  • 56.
    1 A was asolid polymorph of water made by "Felix Hoenikker" for the US Marines to crystallize a swamp and allow for an assault. However, A's namesake, a metastable structure has indeed been discovered and has a familiar hexagon stacked like structure. Another extremely famous structure composed of similar hexagons and more is named after B. An honorific title given to churches in England is C. One of the more prominent C functions as the resting ground of E, probably the greatest thinker of our generation. Upon removal of C from B, you would end up with D, a word quite popular in a financial context. F, unlike B chose a profession that sought to bring the ideas that folks like B chalked up and is often credited as the greatest from India. He is credited with the creation of G, albeit relatively lesser known a constant contributor to a Bengalurean's life. Homophones of D's synonym and G would lead you to two words which form parts of rather famous phrase. What's the good phrase?
  • 57.
  • 58.
  • 59.
    ANSWER A – Ice9 B – Buckminster C – Minster D – Buck E – Hawking F – Sir MV G – KRS Dam Frankly my dear, I don’t give a damn.
  • 60.
  • 61.
    1 Earlier this year,Nike announced the Nike AirMax 270, that caused some controversy due to the unfortunate typesetting of the Nike AirMax logo featuring on the sole of the shoe. One of the protestors of the design asked Nike to recall “this blasphemous and offensive shoe and all products with the design logo resembling the word ____ from worldwide sales immediately.” Nike said in a statement the logo was a stylized representation of the Air Max trademark. “Any other perceived meaning or representation is unintentional,” What was the controversy about? (Pictures follow)
  • 62.
  • 63.
  • 64.
  • 65.
    2 The rivalry betweenX and Y has been dubbed by some as the “biggest club rivalry in world football” and The Observer observed that the game “made the Old Firm game look like a primary school kick-about”. Their rivalry is so fierce in fact that the company Z had to change it trademark red and white packaging, which reminded X fans of Y’s colors, to sell its products at their home stadium.
  • 66.
  • 67.
    ANSWER X – BocaJuniors Y - Rover Plate FC Z – Coca Cola
  • 68.
    3 In an effortto boost slumped sales, X, announced that they would be adding a new backroom section to their physical outlets across the US. “The only thing we excel at is catering to the ________ fandoms,” Chief Merchandising Officer Tim Mantel told reporters and shareholders during a recent earnings call. “We feel that a _____ section will bring a new subset fans into our stores”, adding to which Mantel also announced, “In extremely related news, we are also rolling out floor to ceiling air fresheners.” The new section will be shielded from the general public by a beaded bamboo curtain, as well as a neon warning light. Additionally X will put all purchases in a discreet brown paper bag decorated with Sailor Moon characters. Give X, and what did X announce in an attempt to combat poor financial quarter?
  • 69.
  • 70.
  • 71.
    4 The adjoining pictureshows the records of a planet X’s moons discovered by Y who initially named them “Cosimo’s stars” after his patron. This discovery is paid homage to by Project Z (two words), a tool designed to develop code in an interactive manner, supporting a variety of languages as well as markdown, to write down notes alongside often esoteric code. Give X, and Project Z, a slight variation of X, indicating one of the earliest languages supported by the community behind the Project.
  • 72.
  • 73.
  • 74.
    5 Bronchiolitis obliterans(BO) isa disease that results in obstruction of the smallest airways of the lungs due to inflammation.Symptoms include a dry cough, shortness of breath, wheezing and feeling tired. This disease is also called X Lung because workers at a factory that packaged X were found to have bronchiolitis obliterans more often than other people. It was later discovered that the chemical that caused this condition its nickname was diacetyl which gave X its rich, buttery scent. Most companies immediately stopped using diacetyl as a flavoring but it's still used in many e-cigarette flavors. Cigarettes destroying lungs, what’s new? Adjoining picture of a high resolution CT scan of lungs with BO could be a clue to X. Give X.
  • 75.
  • 76.
  • 77.
  • 78.
    6 We are atthe cusp of a certain technology being introduced publicly to consumers in regions around the world. However the recent action of a company X which issued a software update (in the USA ) to gain a lead amongst its competitors was met with widespread criticism. The update is going to brand the most advanced version of the existing tech in some areas as the upcoming tech. A competitor’s CTO said X was “duping customers into thinking they’re getting something they’re not.” ID company X and what did the software update do?
  • 79.
  • 80.
  • 81.
    7 Earlier this yearin February, Uber introduced a new promotional to the cities of Boston and Los Angeles. The offer was as follows: Uber Rewards members in Los Angeles or Boston will see a code when they open the app, on satisfying certain criteria , they can drop the code into the payment section of the app and redeem a free ride up to $50 anytime within an hour of the criteria being satisfied. What was the terms of the offer that LA ended up getting? What was the punny name of the offer, a play on another familiar offer where certain commodities are given at discounted prices.
  • 82.
  • 83.
    ANSWER Losing SuperBowl Citygets free rides, Unhappy Hours
  • 84.
    8 Shown in thenext slide is a post made by a webcomic X, in a request to save the laboratory, present in Long Island, New York where the boldest and greatest inventions of scientist Y were located. In the request, the author specifically calls out someone who he believes has made a fortune based off the works of Y. And so, he asks Z, to make a majority contribution to save what he believes to be a monument to science itself. Identify X, Y and Z. X can be worked out from from the style of the comic. Y and Z based off the context
  • 85.
  • 86.
  • 87.
  • 88.
    9 The plains bisonis the largest land mammal indigenous to America and has now all but gone extinct due to excessive hunting up until the 20th century. One of the last known safe havens for these bison is at Y. Y is a state of the art campus that at one point housed the world’s largest cyclotron and was an intellectual powerhouse during the atomic age. Y is named after X an immigrant credited with building something called a Chicago Pile-1 that made him eligible for honors such as a Nobel Prize, a spot on the periodic table and a unit of measurement. ID Y and what is the Chicago Pile-1 that got X his Nobel?
  • 89.
  • 90.
    ANSWER Y – Fermilabs Chicago Pile-1 is the first man made nuclear reactor
  • 91.
  • 92.
  • 93.
    1 The area comprising26 European states that have officially abolished passport and border control at their mutual borders is called the A area after an agreement signed near the eponymous town in Luxembourg. A sounds like the global technology hub B on the Pearl River delta, home to C, the world's largest gaming company. C is literally equal to two D s, at least to Americans. Remove the last letter and D from a kid's channel to get E, the company which eventually developed the more famous F. If F's logo wanted to suddenly shift careers from marketing to sports, which sport would he most likely choose?
  • 94.
  • 95.
  • 96.
    ANSWER A – Schengen B– Shenzen C – Tencent D – Nickel E – Odeo F – Twitter Basketball
  • 97.
  • 98.
  • 99.
    1 ___ _____ ____,a rhetorical way of drawing attention to the mind- numbing array of things happening every moment of every day to make a modern economy work. Somehow the right amount of fresh tuna makes its way from a fishing fleet in the South Pacific to a restaurant on the Rue de Rivoli. A neighborhood fruit vendor has exactly what his customers want every morning—from coffee to fresh papayas—even though those products may come from ten or fifteen different countries. In short, a complex economy involves billions of transactions every day, the vast majority of which happen without any direct government involvement. This is an excerpt from Naked Economics by Charles Wheelan. He popularized this famous question in economics, FITB with this rhetorical question.
  • 100.
  • 101.
  • 102.
    2 In 2010, DawnBrancheau, an employee of X died due to a workplace accident that was the subject of a 2013 documentary called Blackfish. The documentary caused X to receive widespread criticism and as a result of the backlash, new legislation was formed by many states. All this lead to 50% drop in the share prices of X and it has still not recovered from these blows. The impact was so far reaching that a 2018 “venture” also had to undergo changes to prevent similar public shaming. Id X and the John Lasseter venture
  • 103.
  • 104.
  • 105.
    3 The fish Yis known for its large size, fearsome appearance and ferocious behavior and shares its name with a security, network appliances and cloud services company. This particular species of fish is called the XY, because of the X shapes on its back. The shape, commonly found in heraldry and flags, is also the name of one of the successors to the "Seven Sisters" which dominated the oil industry in the early 20th century. Give me XY
  • 106.
  • 107.
  • 108.
    4 Shown in thepicture is a Hagfish used extensively in research because it is the only known organism with a skull and no vertebrae, RIKEN laboratory Center for Biology is one such state of the art lab that studies the Hagfish and has produced some newsworthy results in the field of fish reproduction. RIKEN laboratory also made headlines in 2015, when it confirmed the discovery of element 113. As a result, RIKEN was given the right to name it and the world hoped to end a long standing absence. All hopes were shattered however, when RIKEN decided to name the element with a more local name than what was expected and thus the wait continues. What was the missed opportunity?
  • 109.
  • 110.
  • 111.
    5 In 2015, afterthe referee made a disagreeable call against X’s basketball team which ended up costing them the game, X commented saying “Ed Rush might have been a great ref, but I wouldn’t hire him to manage a Y.” This incurred X a $500,000 fine and after the comments a local Y franchise offered X the opportunity to be manager for a day. Shown in the next slide is X happily accepting the offer and serving Y’s signature dish a soft serve Ice Cream. ID X and Y
  • 112.
  • 113.
  • 114.
  • 115.
    6 Minamata disease isa disease that was discovered in the 1950s near the Minamata bay in Japan. It caused symptoms like ataxia, muscle weakness, loss of vision and even coma and death.It was identified that consumption of shellfish and fish that was caught in the polluted bay was the reason for this malady. The disease was first noticed in cats when they ate table scraps that caused them to convulse violently and had extremely high body temperatures that the disease was also called _______ ___ _____. What was the pollutant responsible for the disease, something that has become widely popular over the past 6 months in an entertainment context?
  • 116.
  • 117.
  • 118.
    7 Gabriel Weinberg foundedthis company in Valley Forge Pennsylvania, he says that the idea for the company’s name came from a popular children’s game. The company in question has now become of increasing relevance due to the recent concerns of privacy and data security. Now, in the name of the company are two amphibians X and Y. Y is the amphibian shown. A Y dinner was a famous Christmas tradition during the middle ages and was famous up until the mid 1800s. However, after a certain businessman mostly known to us in X form, gifted one of his employees a turkey instead of a Y, people began to see Y as a poor man’s delicacy and began to replace Y dinners with turkey dinners. ID the company and the businessman who supposedly destroyed a Christmas tradition.
  • 119.
  • 120.
  • 121.
    8 There is apopular fable concerning frogs that is generally offered as a metaphor cautioning people to be aware of even gradual change lest they suffer eventual undesirable consequences. However, after conducting numerous experiments and studies since the mid 1800s it was stated that the fable had no scientific bearing and could not hold any merit due to an important physiological nature of frogs. Incidentally enough, experiments and dissections involving frogs are now widely criticized as it was noted by Elizabeth Kolbert in her Pulitzer Prize winning work The Sixth Extinction, that frogs are slowly going extinct. What important physiological nature of frogs prevents this popular fable from holding scientific merit?
  • 122.
  • 123.