Умайн хүзүүний хорт
хавдар /Cancer colli uteri /
Анатоми:
1/11/2016 2
Гистологи:
1/11/2016 3
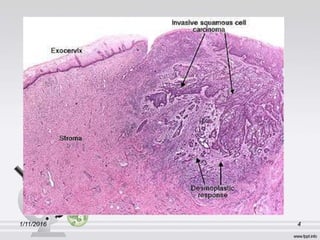
1/11/2016 4
Тодорхойлолт:
• Умайн хүзүүний үтрээн хэсгийн олон
давхраат хавтгай хучуур эд, умайн
хүзүүний сувгийн нэг эгнээ бортгон
хучуур эдэд шилждэг шилжвэр хэсэгт
хучуур эдийн ургалт үүсэхийг умайн
хүзүүний өмөн гэнэ
1/11/2016 5
• Умайн хүзүүний
хорт хавдар нь
удаан хугацаагаар
тархдаг.
• Умайн хүзүүнд
хавдар үүсэхээс
өмнө умайн
хүзүүн эд эсүүд
хэвийн бус болох
буюу өсөлт
хөгжил гажигт
орно.
• Хавдрын эс өсөж
умайг хүзүү болон
ойр орчмын
хэсгээр тархалт
илүү гүн болно.
Тархалт:
1/11/2016 7
• Дэлхий нийтэд тархсан жилд 500000 хүн
өвчилдөг түүний 75% нь хөгжиж байгаа орон
• 300000 хүн жилдээ нас бардаг мөн 75% нь
хөгжиж байгаа орон
• Хорт хавдарын 15% эзэлдэг
• Манайд жилд умайн хүзүүний өмөнгийн 400
гаруй тохиолдол шинээр бүртгэгдэж
байгаагийн 80 % гаруй нь хожуу үедээ
оношлогдож байна.
1/11/2016 8
Тархалт монголд:
1/11/2016 9
1/11/2016 10
1/11/2016 11
Нөлөөлөх хүчин зүйл:
• Нас 50-с дээш 75%, 70-с дээш 65%
• Олон хүүхэд төрүүлэх
• Бэлгийн олон хавьтагчтай байх
• Бэлгийн хавьталд хэт залуу орох
• Тамхи татах
• Жирэмслэлтээс сэргийлэх эм удаан хугацаагаар
хэрэглэх
• Дархлаа сул байх
• HPV
УХӨ-нд Вирусын нөлөө
Бүтэц
• Жижиг,бүрхүүлгүй
• НХ агуулсан 7,9кb
• Тэгш өнцөгт
• Хучуур эсэд
халдварладаг
• 100 гаруй хэв шинжтэй
 Эрт илрэх уургийг Е1,
Е2, Е4, Е5, Е6,Е7
 Хожуу үүсэх уургийг L1,
L2 гэж тэмдэглэдэг
1/11/2016 13
1/11/2016 14
1/11/2016 15
1/11/2016 16
1/11/2016 17
HPV-ын хэлбэр
1. Өндөр эрсдэлтэй HPV-16, 18, 45, 56
2. Дунд эрсдэлтэй HPV-31, 33
3. Бага эрсдэлтэй HPV-6, 11
HPV-р халдварлах нь умайн хүзүүний
хорт хавдарын ерөнхий шалтгаан
болдог.
 Эрт илрэх уургийг Е1, Е2, Е4, Е5,
Е6,Е7
 Хожуу үүсэх уургийг L1, L2 гэж
тэмдэглэдэг
 Хяналтын бүс – Long control region -
LCR
HPV (HPV-16, HPV-18, HPV-
31, HPV-33)
HPV хавдарт нөлөөлөх нь
Умайн хүзүүний сувгийн хучуур эд гэмтэж , үйл
ажиллагаа өөрчлөгдөх
Вирусын ДНХ эписом хэлбэрт шилжих
Вирусын геном эсийн геномд интеграцлагдах
1/11/2016 21
Ерөнхий шинж тэмдэг
• Усархаг ялгадас ихээр гарах
• Аарцгийн өвдөлт
• Үтрээнээс цус алдах
• Үтрээнээс өвөрмөц ялгадас гарах
• Бэлгийн харьцааны турш өвдөлт
үүсэх
• Хордлого
• Сүүлийн үед умайн хүзүүний урьдал
өвчнийг CIN1 CIN2 CIN3 гэж ангиллаж
байна.
• Хавтгай хучуур эдийн хамгийн бага
гэмтцийг CIN1, их гэмтцийг CIN2 CIN3
хэмээн нэрлэнэ.
• Өргөн утгаараа CIN1 нь хөнгөн
хэлбэрийн гажууралтай. CIN2 нь дунд
зэргийн гажууралтай. CIN3 нь хүнд
хувиралтай тус тус дүйцнэ.
1/11/2016 27
Умайн хүзүүний хавдар үүсэхээс
өмнө
• Бичил цөмрөлттэй өмөн
• Бичил цөмрөлттэй өмөнгийн үед хавдар
орчны тунгалгийн булчирхайд хамгийн
бага хэмжээтэй тархсан байх тул хэсэг
газар эмчилгээ хийх боломжтой. Бичил
цөмрөлттэй өмөнгийн үед илрэх
өвөрмөц шинж тэмдэг байдаггүйн
зэрэгцээ энгийн нүдээр харахад умайн
хүзүүнд өөрчлөлт ажиглагддаггүй.
• Бүрхүүл эдийн хүрээн дэх өмөнгийн
өөрчлөлт
• Бүрхүүл эдийн хүрээн дэх өмөн хөнгөн
хэлбэрийн гаж хувирлаас дунд, дундаас хүнд
хэлбэрийн гаж хувиралд шилжих замаар
зөвхөн хүнд хэлбэрийн гаж хувирлаас умайн
хүзүүний өмөн үүснэ. Бүрхүүл эдийн хүрээн
дэх өмөнгийн өөрчлөлт нь хортой хавдарт
шилжсэн эсийн шинж чанарыг бүрэн
агуулаагүй, зөвхөн хортой хавдарт шилжих
урьдчилсан өөрчлөлт бий болсон байна.
Умайн хүзүүний хорт хавдарын
үе шат
• Stage0 (carcinoma in situ)
• Stage I
• Stage II
• Stage III
• Stage IV
Stage 0
• Хавдар зөвхөн эд эсийн түвшинд
оношлогдоно. Гэхдээ умайн
хүзүүний бүрхүүл эдээс халиагүй
байна.
• Бичил цөмрөлттэй өмөн
• Бүрхүүл эдийн хүрээн дэх
өмөнгийн өөрчлөлт
Stage I
• Хавдар зөвхөн умайн хүзүүнд
ажиглагдана. Умай болон үтрээ рүү
тархаагүй байна. IA болон IB гэсэн үе
шаттай.
• IA 1 үе: Хавдрын нэвчилт гүнээрээ 3 мм-
ээс бага, өргөнөөрөө 7 мм-ээс илүүгүй
тархалттай байна.
• IA 2 үе: Хавдрын нэвчилт гүнээрээ 3-5
мм нэвчсэн, өргөнөөрөө 7 мм-ээс
илүүгүй тархалттай байна.
• IB: умайн хүзүүнд хавдарын эмнэлзүйн
өөрчлөлт илэрч болох ба хавдрын
хэмжээ нь IA-с том байх боловч умайн
хүзүүний өмөнгийн шинж тэмдэг
илрээгүй байна.
• IB1: хавдрын хэмжээ 4см-с илүүгүй
байна.
• IB2 : хавдрын хэмжээ 4см-с их байна.
Stage II
• Хавдар умайн хүзүүнээс хальсан атлаа
үтрээний 1/3 доод хэсгийг бүхэлд нь
эзлээгүй, аарцгийн хананд тулаагүй байна.
• IIA : хавдар умай орчмын зайг бүхэлд нь
эзлээгүй байна. Хавдрын хэмжээ 4см-с
илүүгүй байна.
• IIB : хавдар умай орчмын зайг хамарсан
байна. Хавдрын хэмжээ 4см-с их байна.
Stage III
• Хавдар умай орчмын зайг бүхэлд нь
хамарна.
• Хошногоор шинжлэхэд аарцгийн хана,
хавдар 2ын алдагдлын шинж илэрсэн
байна.хавдар үтрээний доод 1/3 ыг
хамарсан байна.
• IIIA , IIIB
Хавдар биеээр 3 замаар тархана:
• Эдрүү, хүрээлэн байгаа эрүүл эд эсрүү
хавдрын эс тархах.
• Тунгалгийн системээр, тунгалгийн
судсаар дамжин биеийн бусад
эрхтнүүдэд дамжих.
• Цусаар, вен капилляр судсаар хавдрын
эс дамжин биеийн бусад эрхтнүүдэд
тархана.
Stage IIIA
• Хавдар үтрээний
1/3 доод хэсгийг
хамарсан боловч
бага аарцгийн
хананд хүрээгүй
эсвэл хавдар
бага аарцгийн
хананд тархаж
бөөр усжиж
бөөрний үйл
ажиллагааны
дутагдалын шинж
илэрсэн байна.
Stage IIIB
• Хавдар бага
аарцгийн
ханыг бүхэлд
нь хамарсан
бөөр усжсан
үйл
ажиллагаагүй
болно
Stage IV
• Хавдар бага аарцгийн ханыг бүхэлд нь
хамарч, хошногоны салстанд хавдрын
тархалтын шинж тэмдэг илэрнэ.
• IVA, IVB
Stage IVA
• Бага
аарцгийн
эрхтнүүдэд
(давсаг,
шулуун
гэдэст)
хавдар
тархсан.
Stage IVB
• Алсын
эрхтэнд
үсэрхийлэл
өгсөн
байна.
Оношлогоо:
• Асуумж (эрсдэлт хүчин зүйл)
• Дотуур үзлэг
• PAP smear
• HPV DNA test
• Colposcopy
• Биопси
• MRI
• PET
Дотуур үзлэг:
• Үзлэгээр үтрээ,
умайн хүзүү,
умай, умайн
гуурсан хоолой,
өндгөвч, шулуун
гэдэс шалгана.
PAP smear:
• Үтрээ болон
умайн хүзүүнээс
эс авч
шинжлэнэ.
Микроскопоор
эсийн хэвийн,
хэвийн бусыг
шалгана.
1/11/2016 48
1/11/2016 49
PAP test:
• 30 , 33, 36, 39, 42, 45, 48, 51, 54 , 57, 60
насанд Өрхийн эрүүл мэндийн төвдөө
очиж хамрагдана.
1/11/2016 50
3% цууны хүчил - сорил
• 3% цууны хүчил нь УХ-
ий салстыг арилгаж
бүрхүүл эдийг
тодруулах ба богино
хугацаанд эсийн уургийг
бүлэгнүүлж эс
хоорондын усыг
багасгаснаар эс
хөөнгөтөж томроно.
1/11/2016 51
3% цууны хүчил- сорил
Мөн бүрхүүл эдийн цусны судсуудыг нарийсган
эдийн цусан хангамжийг багасгаж бүрхүүл
эдийн хэвийн өнгийг өөрчилдөг
Хэвийн бус бүрхүүл эд цууны хүчлийн нөлөөнд
цагаан өнгөтэй болдог
Үр дүн 1-5’ дотор илэрнэ
Люголийн уусмалын
сорил:
• 1г иод
• 2.4г KI
• 300г нэрмэл ус
• Люголийн уусмалын нөлөөнд гликоген ихтэй
өнгөц давхаргын эсүүд иодтэй нэгдэж хар хүрэн
өнгөтэй болно
• Гликоген багатай өнгөц давхаргын эсүүд
будагдахгүй цайвар өнгөтэй ялгарч харагдана
Иодын сорил
• УХ-нд иодыг түрхэхэд умайн
хүзүүний эмгэгтэй хэсгийн өнгө нь
өөрчлөгдөхгүй
• Хэвийндээ УХ иодын өнгөнд
хувирдаг
MRI:
1/11/2016 55
1/11/2016 56
Кольпоскопи:
• 7,5 - 40 дахин өсгөж
хардаг
• Умайн хүзүүний
үтрээний хэсэг,
умайн хүзүүний
байдлыг бүхэлд нь
шинжлэх боломжтой
57
• УХ-ий судасны
өөрчлөлтийг
анхаарна. 0.9%
NaCL уусмалаар УХ-
г арчиж ногоон
өнгийн шүүлтүүр
гэрлээр харахад
цусны судас хар
өнгийн зураас
хэлбэртэй тодорч
харагдана.
58
1/11/2016 59
1/11/2016 60
1/11/2016 61
Гистологийн шинжилгээ:
• Умайн хүзүүний бичил инвазивны өмөнг
оношлоно
• Инвазивын хамгийн эрт илрэх шинж нь суурин
мембраны орчимд үүссэн том биш төвийлт-
ялгарал их
• Инвазивын гүн томрохын хирээр тунгалагийн
завсрууд хавдрын бөглөрөлийн тоо олширно.
• ХЭ-д гадны биесийн олон цөмтэй том эсүүд
илэрнэ. Эдгээр эсүүдэд залгигдсан кератин
агуулагдана.
• Инвазийн гүн нь регионарны
ТЗ-ууд дахь үсэрхийлэл ба
умайн хүзүүний өмөнгийн дахих
эрсдлийг тодорхойлно
–3мм - үсэрхийлэл ховор
–3-5 мм – үсэрхийлэл нийт
өвчтний 4-8%-д илэрдэг.
Умайн хүзүүний бичил
инвазивны өмөнг умайн
хүзүүний өмөн
1/11/2016 64
PET/ Позитрон эмиссоны
томографи/ :
1/11/2016 65
PET:
Умайн хүзүүний
хожуу үе шат
4b, зэргэлдээх
эд эрхтэн рүү
нэвчсэн.
1/11/2016 66
1/11/2016 67
1/11/2016 68
Эмчилгээний зарчим
 Мэс засал
 Туяа эмчилгээ
 Хими эмчилгээ
 Хавсарсан
Мэс заслын эмчилгээ
• Вертгейтын аргаар
умай, умайн хүзүү
орчмын өөхөн эслэг,
аарцгийн ба цавьны
гадна дотор артерийн
дагуух тунгалгийн
булчирхайг үтрээний
дээд хэсгийн хамт авах
хагалгаа
1/11/2016 70
Мэс засал:
• Total hysterectomy:
умай, умайн хүзүүг
авах. Хэрэв умай
болон умайн хүзүүг
үтрээгээр авах мэс
ажилбар Vaginal
hysterectomy.
71
Мэс засал:
• Хэрэв хэвлийг том зүсэж мэс ажилбар
хийвэл abdominal hysterectomy
• Хэрэв хэвлийг жижиг зүсэж мэс
ажилбар хийвэл laparoscopic
hysterectomy.
1/11/2016 72
Туяа эмчилгээ
Хөндийгөөс шарах
шарлага
• Шугаман хурдасгууртай
үүсгэвэр
• Аарцгийн хөндийн бүх
хэсэгт
• Үндсэн хавдрыг устгана
• Орчны тунгалгийн
булчирхайн
үсэрхийллийг эмчилнэ
Зайнаас шарах шарлага
• 5д.хон-ийн турш
• 25 удаа хийнэ.
1/11/2016 74
1/11/2016 75
Хими эмчилгээ
• Эмийн аргаар хавдрын
эсийн ургалтыг зогсоох
мөн хавдрын эсийг
үхүүлэх арга
• Платин дээр суурилсан
/фторурацил +
цисплатин буюу зөвхөн
цисплатин/
1/11/2016 76
Цисплатин:
Фармакологийн үйлдэл:
• Хавдрын эсрэг
үйлдэлтэй хоёр суурьт
платины хам нэгдэл.
Нуклейн хүчлийн
нийлэгжилтийг удаан
хугацаагаар
дарангуйлан үхүүлэх
замаар хавдрын эсрэг
нөлөөлнө.
1/11/2016 77
Хэрэглэх заалт:
Хэрэглэх арга, тун:
• Венийн судсанд тарина.
Хими эмчилгээнд 1м2
талбайд 20 мг
ноогдохоор 5 өдрийн
турш буюу 1м2 талбайд
30 мг ноогдохоор 3
өдрийн турш эсвэл 1м2
талбайд 100-150 мг
ноогдохоор 3 долоо
хоногт 1 удаа тус тус
тооцон судсанд тарина.
1/11/2016 78
1/11/2016 79
Хөнгөвчлөх эмчилгээ
• Төгс эмчилгээ хийх боломжгүй, тархалт ихтэй
юмуу дахилт өгсөн УХӨ-ийн үед хийнэ.
• Өвдөлт намдаах, биеийн байдлыг
сайжруулахад чиглэгдсэн
• Өвдөлт намдаах эм /кодейн, петидин/
• Өвдөлт намдаах эм+нойрсуулах эм
1/11/2016 80
1/11/2016 81
Тавилан:
• Амьдрах хугацаа өвчний үе шаттай
шууд хамааралтай.
• 5 жил амьдрах хугацаа:
- I үе шатанд 88,8%
- II үе шатанд 71,0%
- III Үе шатанд 51,8%
- Бүх үе шатанд 81,9%
1/11/2016 82
Урьдчилан сэргийлэлт:
Анхдагч:
• Гэр бүлдээ үнэнч байх эхнэр нөхөртөө
• Бэлгийн нэг хавьтагчтай байх
• Бэлгийн харьцаанд хэт эрт орохгүй байх
• Тохиолдлын бэлгийн хавьтлыг тэвчих
• Бэлгэвч хэрэглэх
• Бэлгийн ариун цэврийг сахих
1/11/2016 83
• Архи тамхинаас татгалзах
• Умайн хүзүүний хавдар эрт илрүүлэх
шинжилгээнд тогтмол хамрагдах
• Вакцинжуулалт хийлгэх
Хоёрдогч:
• Суурь болон урьтал эмгэг өвчинг эрт
илрүүлж , оношлох , эмчлэх
1/11/2016 84
Өвөрмөц урьдчилан
сэргийлэлт
• Умайн хүзүүний хорт хавдрын 70%-ийг
үүсгэдэг хүний папилома вирусын
(HPV) эсрэг вакциныг гаргаж авсан
байгаа билээ. Вакциныг барууны өндөр
хөгжилтэй (АНУ, Герман) орнуудад 11-
12 насны бэлгийн харьцаанд орж
эхлээгүй охидуудад хийдэг.
1/11/2016 85
• Вакциныг гурван үе шаттайгаар хийх ба
эхний тунг хийлгэснээс хойш 3 ба 6
сарын дараа хоёр, гуравдугаар тунг
хийдэг. Вакцин хийлгэснээрээ HPV-ын
халдвараас бүрэн сэргийлэх
боломжтой.
1/11/2016 86
• Вакциныг 2006 оноос үйлдвэрлэж
эхэлсэн бөгөөд HPV-ийн вакцины 3
удаагийн тунгийн үнэ нь 360 доллар
байдаг. Манай улсад мөн орж ирээд
байгаа.
1/11/2016 87
1/11/2016 88
1/11/2016 89
Вакцины нэр-Gardasil.
1/11/2016 90
• Эмэгтэйчүүдийн эмчид хандаж умайн
хүзүүний хавдрыг эрт илрүүлэх
шинжилгээнд 2-3 жил тутамд
хамрагдсанаараа умайн хүзүүний хорт
хавдраас өөрийгөө 100% сэргийлж
чадна. 35-аас дээш насны эмэгтэйчүүд
3 жилд нэг удаа цууны хүчлийн арга
эсвэл "ПAП" наацийн шинжилгээнд
хамрагдаж байгаарай.
1/11/2016 91
Ашигласан материал:
• Эмэгтэйчүүд судлалын сурах бичиг
2010 он Б.Жав
• http://www.cancer.gov/cancertopics/pdq/tr
eatment/cervical/Patient/page4/AllPages/P
rint
• http://www.ihv.org/Education-and-
Training/HIV-AIDS-Information/Cervical-
Cancer-Information-Guide.html
• Ач арвижихуйн увидас 2013 Б.Жав
• Гистологийн сурах бичиг Д.Цолмон
• Хавдар судлал 2012 Р.Сандуйжав
• http://www.ownedhealth.co.uk/uncategoriz
ed/cervical-cancer/
• www.youtube.com
• www.google.com
1/11/2016 93
Анхаарал хандуулсан та
бүхэнд баярлалаа

умайн хүзүүний хорт хавдар

  • 1.
  • 2.
  • 3.
  • 4.
  • 5.
    Тодорхойлолт: • Умайн хүзүүнийүтрээн хэсгийн олон давхраат хавтгай хучуур эд, умайн хүзүүний сувгийн нэг эгнээ бортгон хучуур эдэд шилждэг шилжвэр хэсэгт хучуур эдийн ургалт үүсэхийг умайн хүзүүний өмөн гэнэ 1/11/2016 5
  • 6.
    • Умайн хүзүүний хортхавдар нь удаан хугацаагаар тархдаг. • Умайн хүзүүнд хавдар үүсэхээс өмнө умайн хүзүүн эд эсүүд хэвийн бус болох буюу өсөлт хөгжил гажигт орно. • Хавдрын эс өсөж умайг хүзүү болон ойр орчмын хэсгээр тархалт илүү гүн болно.
  • 7.
    Тархалт: 1/11/2016 7 • Дэлхийнийтэд тархсан жилд 500000 хүн өвчилдөг түүний 75% нь хөгжиж байгаа орон • 300000 хүн жилдээ нас бардаг мөн 75% нь хөгжиж байгаа орон • Хорт хавдарын 15% эзэлдэг • Манайд жилд умайн хүзүүний өмөнгийн 400 гаруй тохиолдол шинээр бүртгэгдэж байгаагийн 80 % гаруй нь хожуу үедээ оношлогдож байна.
  • 8.
  • 9.
  • 10.
  • 11.
  • 12.
    Нөлөөлөх хүчин зүйл: •Нас 50-с дээш 75%, 70-с дээш 65% • Олон хүүхэд төрүүлэх • Бэлгийн олон хавьтагчтай байх • Бэлгийн хавьталд хэт залуу орох • Тамхи татах • Жирэмслэлтээс сэргийлэх эм удаан хугацаагаар хэрэглэх • Дархлаа сул байх • HPV
  • 13.
    УХӨ-нд Вирусын нөлөө Бүтэц •Жижиг,бүрхүүлгүй • НХ агуулсан 7,9кb • Тэгш өнцөгт • Хучуур эсэд халдварладаг • 100 гаруй хэв шинжтэй  Эрт илрэх уургийг Е1, Е2, Е4, Е5, Е6,Е7  Хожуу үүсэх уургийг L1, L2 гэж тэмдэглэдэг 1/11/2016 13
  • 14.
  • 15.
  • 16.
  • 17.
  • 18.
    HPV-ын хэлбэр 1. Өндөрэрсдэлтэй HPV-16, 18, 45, 56 2. Дунд эрсдэлтэй HPV-31, 33 3. Бага эрсдэлтэй HPV-6, 11 HPV-р халдварлах нь умайн хүзүүний хорт хавдарын ерөнхий шалтгаан болдог.
  • 19.
     Эрт илрэхуургийг Е1, Е2, Е4, Е5, Е6,Е7  Хожуу үүсэх уургийг L1, L2 гэж тэмдэглэдэг  Хяналтын бүс – Long control region - LCR HPV (HPV-16, HPV-18, HPV- 31, HPV-33)
  • 20.
    HPV хавдарт нөлөөлөхнь Умайн хүзүүний сувгийн хучуур эд гэмтэж , үйл ажиллагаа өөрчлөгдөх Вирусын ДНХ эписом хэлбэрт шилжих Вирусын геном эсийн геномд интеграцлагдах
  • 21.
  • 25.
    Ерөнхий шинж тэмдэг •Усархаг ялгадас ихээр гарах • Аарцгийн өвдөлт • Үтрээнээс цус алдах • Үтрээнээс өвөрмөц ялгадас гарах • Бэлгийн харьцааны турш өвдөлт үүсэх • Хордлого
  • 26.
    • Сүүлийн үедумайн хүзүүний урьдал өвчнийг CIN1 CIN2 CIN3 гэж ангиллаж байна. • Хавтгай хучуур эдийн хамгийн бага гэмтцийг CIN1, их гэмтцийг CIN2 CIN3 хэмээн нэрлэнэ. • Өргөн утгаараа CIN1 нь хөнгөн хэлбэрийн гажууралтай. CIN2 нь дунд зэргийн гажууралтай. CIN3 нь хүнд хувиралтай тус тус дүйцнэ.
  • 27.
  • 28.
    Умайн хүзүүний хавдарүүсэхээс өмнө • Бичил цөмрөлттэй өмөн • Бичил цөмрөлттэй өмөнгийн үед хавдар орчны тунгалгийн булчирхайд хамгийн бага хэмжээтэй тархсан байх тул хэсэг газар эмчилгээ хийх боломжтой. Бичил цөмрөлттэй өмөнгийн үед илрэх өвөрмөц шинж тэмдэг байдаггүйн зэрэгцээ энгийн нүдээр харахад умайн хүзүүнд өөрчлөлт ажиглагддаггүй.
  • 29.
    • Бүрхүүл эдийнхүрээн дэх өмөнгийн өөрчлөлт • Бүрхүүл эдийн хүрээн дэх өмөн хөнгөн хэлбэрийн гаж хувирлаас дунд, дундаас хүнд хэлбэрийн гаж хувиралд шилжих замаар зөвхөн хүнд хэлбэрийн гаж хувирлаас умайн хүзүүний өмөн үүснэ. Бүрхүүл эдийн хүрээн дэх өмөнгийн өөрчлөлт нь хортой хавдарт шилжсэн эсийн шинж чанарыг бүрэн агуулаагүй, зөвхөн хортой хавдарт шилжих урьдчилсан өөрчлөлт бий болсон байна.
  • 30.
    Умайн хүзүүний хортхавдарын үе шат • Stage0 (carcinoma in situ) • Stage I • Stage II • Stage III • Stage IV
  • 31.
    Stage 0 • Хавдарзөвхөн эд эсийн түвшинд оношлогдоно. Гэхдээ умайн хүзүүний бүрхүүл эдээс халиагүй байна. • Бичил цөмрөлттэй өмөн • Бүрхүүл эдийн хүрээн дэх өмөнгийн өөрчлөлт
  • 32.
    Stage I • Хавдарзөвхөн умайн хүзүүнд ажиглагдана. Умай болон үтрээ рүү тархаагүй байна. IA болон IB гэсэн үе шаттай. • IA 1 үе: Хавдрын нэвчилт гүнээрээ 3 мм- ээс бага, өргөнөөрөө 7 мм-ээс илүүгүй тархалттай байна. • IA 2 үе: Хавдрын нэвчилт гүнээрээ 3-5 мм нэвчсэн, өргөнөөрөө 7 мм-ээс илүүгүй тархалттай байна.
  • 34.
    • IB: умайнхүзүүнд хавдарын эмнэлзүйн өөрчлөлт илэрч болох ба хавдрын хэмжээ нь IA-с том байх боловч умайн хүзүүний өмөнгийн шинж тэмдэг илрээгүй байна. • IB1: хавдрын хэмжээ 4см-с илүүгүй байна. • IB2 : хавдрын хэмжээ 4см-с их байна.
  • 36.
    Stage II • Хавдарумайн хүзүүнээс хальсан атлаа үтрээний 1/3 доод хэсгийг бүхэлд нь эзлээгүй, аарцгийн хананд тулаагүй байна. • IIA : хавдар умай орчмын зайг бүхэлд нь эзлээгүй байна. Хавдрын хэмжээ 4см-с илүүгүй байна. • IIB : хавдар умай орчмын зайг хамарсан байна. Хавдрын хэмжээ 4см-с их байна.
  • 38.
    Stage III • Хавдарумай орчмын зайг бүхэлд нь хамарна. • Хошногоор шинжлэхэд аарцгийн хана, хавдар 2ын алдагдлын шинж илэрсэн байна.хавдар үтрээний доод 1/3 ыг хамарсан байна. • IIIA , IIIB
  • 39.
    Хавдар биеээр 3замаар тархана: • Эдрүү, хүрээлэн байгаа эрүүл эд эсрүү хавдрын эс тархах. • Тунгалгийн системээр, тунгалгийн судсаар дамжин биеийн бусад эрхтнүүдэд дамжих. • Цусаар, вен капилляр судсаар хавдрын эс дамжин биеийн бусад эрхтнүүдэд тархана.
  • 40.
    Stage IIIA • Хавдарүтрээний 1/3 доод хэсгийг хамарсан боловч бага аарцгийн хананд хүрээгүй эсвэл хавдар бага аарцгийн хананд тархаж бөөр усжиж бөөрний үйл ажиллагааны дутагдалын шинж илэрсэн байна.
  • 41.
    Stage IIIB • Хавдарбага аарцгийн ханыг бүхэлд нь хамарсан бөөр усжсан үйл ажиллагаагүй болно
  • 42.
    Stage IV • Хавдарбага аарцгийн ханыг бүхэлд нь хамарч, хошногоны салстанд хавдрын тархалтын шинж тэмдэг илэрнэ. • IVA, IVB
  • 43.
  • 44.
  • 45.
    Оношлогоо: • Асуумж (эрсдэлтхүчин зүйл) • Дотуур үзлэг • PAP smear • HPV DNA test • Colposcopy • Биопси • MRI • PET
  • 46.
    Дотуур үзлэг: • Үзлэгээрүтрээ, умайн хүзүү, умай, умайн гуурсан хоолой, өндгөвч, шулуун гэдэс шалгана.
  • 47.
    PAP smear: • Үтрээболон умайн хүзүүнээс эс авч шинжлэнэ. Микроскопоор эсийн хэвийн, хэвийн бусыг шалгана.
  • 48.
  • 49.
  • 50.
    PAP test: • 30, 33, 36, 39, 42, 45, 48, 51, 54 , 57, 60 насанд Өрхийн эрүүл мэндийн төвдөө очиж хамрагдана. 1/11/2016 50
  • 51.
    3% цууны хүчил- сорил • 3% цууны хүчил нь УХ- ий салстыг арилгаж бүрхүүл эдийг тодруулах ба богино хугацаанд эсийн уургийг бүлэгнүүлж эс хоорондын усыг багасгаснаар эс хөөнгөтөж томроно. 1/11/2016 51
  • 52.
    3% цууны хүчил-сорил Мөн бүрхүүл эдийн цусны судсуудыг нарийсган эдийн цусан хангамжийг багасгаж бүрхүүл эдийн хэвийн өнгийг өөрчилдөг Хэвийн бус бүрхүүл эд цууны хүчлийн нөлөөнд цагаан өнгөтэй болдог Үр дүн 1-5’ дотор илэрнэ
  • 53.
    Люголийн уусмалын сорил: • 1гиод • 2.4г KI • 300г нэрмэл ус • Люголийн уусмалын нөлөөнд гликоген ихтэй өнгөц давхаргын эсүүд иодтэй нэгдэж хар хүрэн өнгөтэй болно • Гликоген багатай өнгөц давхаргын эсүүд будагдахгүй цайвар өнгөтэй ялгарч харагдана
  • 54.
    Иодын сорил • УХ-ндиодыг түрхэхэд умайн хүзүүний эмгэгтэй хэсгийн өнгө нь өөрчлөгдөхгүй • Хэвийндээ УХ иодын өнгөнд хувирдаг
  • 55.
  • 56.
  • 57.
    Кольпоскопи: • 7,5 -40 дахин өсгөж хардаг • Умайн хүзүүний үтрээний хэсэг, умайн хүзүүний байдлыг бүхэлд нь шинжлэх боломжтой 57
  • 58.
    • УХ-ий судасны өөрчлөлтийг анхаарна.0.9% NaCL уусмалаар УХ- г арчиж ногоон өнгийн шүүлтүүр гэрлээр харахад цусны судас хар өнгийн зураас хэлбэртэй тодорч харагдана. 58
  • 59.
  • 60.
  • 61.
  • 62.
    Гистологийн шинжилгээ: • Умайнхүзүүний бичил инвазивны өмөнг оношлоно • Инвазивын хамгийн эрт илрэх шинж нь суурин мембраны орчимд үүссэн том биш төвийлт- ялгарал их • Инвазивын гүн томрохын хирээр тунгалагийн завсрууд хавдрын бөглөрөлийн тоо олширно. • ХЭ-д гадны биесийн олон цөмтэй том эсүүд илэрнэ. Эдгээр эсүүдэд залгигдсан кератин агуулагдана.
  • 63.
    • Инвазийн гүннь регионарны ТЗ-ууд дахь үсэрхийлэл ба умайн хүзүүний өмөнгийн дахих эрсдлийг тодорхойлно –3мм - үсэрхийлэл ховор –3-5 мм – үсэрхийлэл нийт өвчтний 4-8%-д илэрдэг. Умайн хүзүүний бичил инвазивны өмөнг умайн хүзүүний өмөн
  • 64.
  • 65.
  • 66.
    PET: Умайн хүзүүний хожуу үешат 4b, зэргэлдээх эд эрхтэн рүү нэвчсэн. 1/11/2016 66
  • 67.
  • 68.
  • 69.
    Эмчилгээний зарчим  Мэсзасал  Туяа эмчилгээ  Хими эмчилгээ  Хавсарсан
  • 70.
    Мэс заслын эмчилгээ •Вертгейтын аргаар умай, умайн хүзүү орчмын өөхөн эслэг, аарцгийн ба цавьны гадна дотор артерийн дагуух тунгалгийн булчирхайг үтрээний дээд хэсгийн хамт авах хагалгаа 1/11/2016 70
  • 71.
    Мэс засал: • Totalhysterectomy: умай, умайн хүзүүг авах. Хэрэв умай болон умайн хүзүүг үтрээгээр авах мэс ажилбар Vaginal hysterectomy. 71
  • 72.
    Мэс засал: • Хэрэвхэвлийг том зүсэж мэс ажилбар хийвэл abdominal hysterectomy • Хэрэв хэвлийг жижиг зүсэж мэс ажилбар хийвэл laparoscopic hysterectomy. 1/11/2016 72
  • 74.
    Туяа эмчилгээ Хөндийгөөс шарах шарлага •Шугаман хурдасгууртай үүсгэвэр • Аарцгийн хөндийн бүх хэсэгт • Үндсэн хавдрыг устгана • Орчны тунгалгийн булчирхайн үсэрхийллийг эмчилнэ Зайнаас шарах шарлага • 5д.хон-ийн турш • 25 удаа хийнэ. 1/11/2016 74
  • 75.
  • 76.
    Хими эмчилгээ • Эмийнаргаар хавдрын эсийн ургалтыг зогсоох мөн хавдрын эсийг үхүүлэх арга • Платин дээр суурилсан /фторурацил + цисплатин буюу зөвхөн цисплатин/ 1/11/2016 76
  • 77.
    Цисплатин: Фармакологийн үйлдэл: • Хавдрынэсрэг үйлдэлтэй хоёр суурьт платины хам нэгдэл. Нуклейн хүчлийн нийлэгжилтийг удаан хугацаагаар дарангуйлан үхүүлэх замаар хавдрын эсрэг нөлөөлнө. 1/11/2016 77
  • 78.
    Хэрэглэх заалт: Хэрэглэх арга,тун: • Венийн судсанд тарина. Хими эмчилгээнд 1м2 талбайд 20 мг ноогдохоор 5 өдрийн турш буюу 1м2 талбайд 30 мг ноогдохоор 3 өдрийн турш эсвэл 1м2 талбайд 100-150 мг ноогдохоор 3 долоо хоногт 1 удаа тус тус тооцон судсанд тарина. 1/11/2016 78
  • 79.
  • 80.
    Хөнгөвчлөх эмчилгээ • Төгсэмчилгээ хийх боломжгүй, тархалт ихтэй юмуу дахилт өгсөн УХӨ-ийн үед хийнэ. • Өвдөлт намдаах, биеийн байдлыг сайжруулахад чиглэгдсэн • Өвдөлт намдаах эм /кодейн, петидин/ • Өвдөлт намдаах эм+нойрсуулах эм 1/11/2016 80
  • 81.
  • 82.
    Тавилан: • Амьдрах хугацааөвчний үе шаттай шууд хамааралтай. • 5 жил амьдрах хугацаа: - I үе шатанд 88,8% - II үе шатанд 71,0% - III Үе шатанд 51,8% - Бүх үе шатанд 81,9% 1/11/2016 82
  • 83.
    Урьдчилан сэргийлэлт: Анхдагч: • Гэрбүлдээ үнэнч байх эхнэр нөхөртөө • Бэлгийн нэг хавьтагчтай байх • Бэлгийн харьцаанд хэт эрт орохгүй байх • Тохиолдлын бэлгийн хавьтлыг тэвчих • Бэлгэвч хэрэглэх • Бэлгийн ариун цэврийг сахих 1/11/2016 83
  • 84.
    • Архи тамхинаастатгалзах • Умайн хүзүүний хавдар эрт илрүүлэх шинжилгээнд тогтмол хамрагдах • Вакцинжуулалт хийлгэх Хоёрдогч: • Суурь болон урьтал эмгэг өвчинг эрт илрүүлж , оношлох , эмчлэх 1/11/2016 84
  • 85.
    Өвөрмөц урьдчилан сэргийлэлт • Умайнхүзүүний хорт хавдрын 70%-ийг үүсгэдэг хүний папилома вирусын (HPV) эсрэг вакциныг гаргаж авсан байгаа билээ. Вакциныг барууны өндөр хөгжилтэй (АНУ, Герман) орнуудад 11- 12 насны бэлгийн харьцаанд орж эхлээгүй охидуудад хийдэг. 1/11/2016 85
  • 86.
    • Вакциныг гурванүе шаттайгаар хийх ба эхний тунг хийлгэснээс хойш 3 ба 6 сарын дараа хоёр, гуравдугаар тунг хийдэг. Вакцин хийлгэснээрээ HPV-ын халдвараас бүрэн сэргийлэх боломжтой. 1/11/2016 86
  • 87.
    • Вакциныг 2006оноос үйлдвэрлэж эхэлсэн бөгөөд HPV-ийн вакцины 3 удаагийн тунгийн үнэ нь 360 доллар байдаг. Манай улсад мөн орж ирээд байгаа. 1/11/2016 87
  • 88.
  • 89.
  • 90.
  • 91.
    • Эмэгтэйчүүдийн эмчидхандаж умайн хүзүүний хавдрыг эрт илрүүлэх шинжилгээнд 2-3 жил тутамд хамрагдсанаараа умайн хүзүүний хорт хавдраас өөрийгөө 100% сэргийлж чадна. 35-аас дээш насны эмэгтэйчүүд 3 жилд нэг удаа цууны хүчлийн арга эсвэл "ПAП" наацийн шинжилгээнд хамрагдаж байгаарай. 1/11/2016 91
  • 92.
    Ашигласан материал: • Эмэгтэйчүүдсудлалын сурах бичиг 2010 он Б.Жав • http://www.cancer.gov/cancertopics/pdq/tr eatment/cervical/Patient/page4/AllPages/P rint • http://www.ihv.org/Education-and- Training/HIV-AIDS-Information/Cervical- Cancer-Information-Guide.html
  • 93.
    • Ач арвижихуйнувидас 2013 Б.Жав • Гистологийн сурах бичиг Д.Цолмон • Хавдар судлал 2012 Р.Сандуйжав • http://www.ownedhealth.co.uk/uncategoriz ed/cervical-cancer/ • www.youtube.com • www.google.com 1/11/2016 93
  • 94.