Embed presentation
Download to read offline








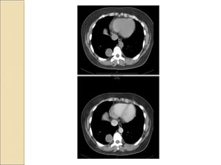
A resident in radiology presents two interesting cases: the first involves a harmatoma, and the second concerns a patient with double superior vena cava and tracheal bronchus. Both cases provide learning opportunities for radiology residents to recognize rare anatomical variations and abnormalities.







