MEDIASTINAL TUMORS
BY DR PALLAVI A CHAUDHARI
UNDER THE GUIDANCE OF
DR SHILPA MA’M
Mediastinal anatomy
• The mediastinum lies between the right and
left pleurae in and near the median sagittal
plane of the chest.
• It extends from the sternum in front to the
vertebral column behind, and contains all the
thoracic viscera excepting the lungs.
Mediastinal Anatomy
• Includes structures
bound by:
– the thoracic inlet
– diaphragm
– sternum
– vertebral bodies
– and pleura
• Has 4 compartments
-Superior
-Anterior
-Middle
-Posterior
Mediastinal Anatomy
Anterior
Compartment
includes:
• Thymus
• Extrapericardial aorta and its
branches
• The great veins
• Lymphatic tissue.
Middle Compartment is
bounded by:
• The pericardium anteriorly
• The posterior pericardial
reflection
• The diaphragm
• The thoracic inlet.
• This compartment includes
the heart, intrapericardial
great vessels, pericardium,
and trachea.
Posterior Compartment:
• Extends from the posterior pericardial
reflection to the posterior border of the vertebral
bodies and from the first rib to the diaphragm.
• Includes the
 Esophagus
 Vagus nerves
 Thoracic duct,
 Sympathetic chain, and azygous venous
system.
Mediastinal tumors
Superior mediastinum.
• Thymoma and thymic cyste.
• Malignent lymphoma.
• Thyroid lesion.
• Parathyroid lesion.
Mediastinal tumors
Anterior Mediastinum
• Thymic tumors and cysts
• Germ cell tumors
• Lymphomas
• Intrathoracic goiter and
thyroid tumors
• Parathyroid adenomas
• Connective tissue tumors
- lipomas and liposarcomas
- lymphangiomas
- hemangiomas
•Thyroid tumor or goiter
•Tracheal tumors
•Aortopulmonary paraganglioma
Paracardial
cysts
•Bronchogenic cysts
•Lymphoma
•Lymphadenopathy
Middle Mediastinum
Mediastinal tumors
Posterior Mediastinum
• Neurogenic tumors
– including Schwannomas
• Esophageal tumors
• Hiatal Hernias
• Neurenteric Cysts
• And rarely
– extramedullary hematopoiesis
– pancreatic pseudocyst
– achalasia
THYMUS
Normal anatomy of thymus
Normal Thymus
Mature thymus of childhood and
adolescence
•Lobulation and encapsulation
•Dual (epithelial/lymphoid) cell
population with variable numbers
of immature T lymphocytes
•Perivascular spaces
•Areas of “medullary” differentiation
Involuted thymus of the adult
•Spindle cell population devoid of
cytologic atypia
•Scant immature T lymphocytes
•Rosette-like epithelial structures
•Cystic and glandular structures
Normal histology of cortex of thymus
• Histologically, the darkly staining cortex contains
densely packed, small, immature lymphocytes, which
overshadow the sparse epithelial cell population .
• Large, mitotically active lymphoblasts, may be found
in the subcapsular cortex.
• These cells have a round to oval nucleus with one or
two prominent nucleoli and relatively abundant,
strongly basophilic cytoplasm.
• “tingible-body macrophages” can be seen.
Normal histology of medulla of thymus
• The medulla is paler staining, less densely
cellular than the cortex.
• Contains more mature T-cells, prominent
epithelial cells , Hassalls corpuscles, admixed
macrophages, dendritic cells , B lymphocytes
and rarely myoid cells.
• The medullary T-lymphocytes are larger, paler-
staining and have more cytoplasm than cortical
lymphocytes.
Histology of thymus
Thymic epithelial cells
Subtypes of Thymic Epithelial cells:
• Cortical: medium to large,
round or polygonal,
clear nuclei with nucleoli
• Medullary: spindle nuclei
• Hassall’s corpuscle
Thymic Lymphocytes
(Thymocytes)
 T cell phenotype
 Bone marrow derived. (or from yolk sac and fetal liver in embryonic stages)
 Types: Subcapsular , Cortical, Medullary , Mature.
Beneath the capsule a continuous layer thymic epithelial cells is present (right
arrow), which essentially forms a blood-thymic barrier around blood vessels
entering and leaving the of capsule.
Cytokeratin staining
Development of T cell
• T-cells are continually produced in the bone marrow.
• T-cells in the bone marrow are considered immature
because they are not fully developed. During this
stage, the T-cells do not have receptors on their
surfaces yet because they do not express CD4 or
CD8 glycoproteins (carbohydrate and protein
molecules located on the surface of T-cells).
Therefore, they are considered double-negative
cells (Cd4- Cd8-).
• The cells then enter the bloodstream and
travel to the thymus gland, where they
develop into mature T-cells.
• The T-cells develop receptors on their outer
surfaces. This means they express both CD4
and CD8 glycoproteins on their surfaces.
Because they express both glycoproteins,
these cells are called double-positive T-cells
(CD4+ Cd8+).
21
Thymocytes at different developmental stages are found in
distinct parts of the thymus
Maturation
Dendritic cells
• A minor cell population in lymphoid tissues,
are specialized for presentation of antigenic
peptides to T lymphocytes.
• Thymic dendritic cells are involved in the
deletion of self-reactive T lymphocytes.
• Developing T cells are negatively selected
predominantly by self antigens presented on
newly formed thymic dendritic cells.
• All dendritic cells are of bone-marrow origin.
• Types of Dendritic cells
1. Myeloid dendritic cells.
• These are most similar to the monocytes.
• The MDC are made up of two subsets.
• The more common mDC-1, which is a major
stimulator of T cells.
• The extremely rare mDC-2, which may have a
function in fighting wound infection.
2. Plasmacytoid dendritic cells
• These look like the plasma cells but have the
certain characteristic of the myeloid dendritic
cells.
• High intracellular MHC II.
• Express CD1a.
• Can produce high amounts of interferon
alpha, so known as IPC (interferon-producing
cells).
Tumours of Thymus
The thymus contains Corresponding tumour
• Epithelial elements Thymoma
• Lymphoid elements Lymphoma
• Stroma Sarcomas
•Neuroendocrine cells Neuroendocrine
tumours (carcinoids)
• Germ cells Germ cell tumours
Thymoma
Neoplasms of thymic epithelial cells ,
independently of the presence or number of
lymphocytes and without the cytological
atypia of epithelial cells.
• Most common in anterior mediastinum.
• Usually slow growing tumor.
• Yellow-gray with a fleshy lobulated appearance.
• Intraluminal hemorrhage, cystic space, calcification.
• Malignancy determined by tissue invasion > histologic type.
Gross appearance of a thymoma
•Distinct multinodularity.
•There is focal cystic change in the larger nodule
Cut surface of thymoma
•Note the sharp lobulation induced by the fibrous bands.
•The pointed ends of some of the nodules are particularly typical of this
entity.
Clinical Presentation
Local symptoms
1) Chest pain (most common)
2) Cough
3) Hoarseness of voice
4) Stridor
5) dyspnea
6) Dysphagia
7) Horner syndrome
8) SVC obstruction
Systemic symptoms
 Autoimmun disorders.
• myasthenia gravis(30%-40%)
 Endocrine disorders.
 Hematologic disorders.
 Neuromuscular syndromes.
Classification of thymoma
Traditional classification
• Based on their relative proportion of epithelial cells to lymphocytes
and on the shape of the epithelial cells.
Clinicopathological classification
• Benign
• Invasive
.
Morphofunctional Classification
1) Cortical: similar to those found in the normal cortex.
2) Medullary : predominant epithelial cells with few lymphocytes.
3) Mixed : proliferation of cortical and medullary epithelial cell types
• mixed thymoma of common type
• mixed thymoma with cortical or medullary predominance.
4) Predominantly cortical thymoma (organoid)
5) Well-differentiated thymic carcinoma
The WHO schema (1999)- headed by Juan Rosai
• 3 categories:
A : Nuclei showed a spindle or oval shape
B : Round epithelioid appearance
B1, B2 , B3 on the basis of the proportional
increase (in relation to the lymphocytes) &
emergence of atypia of the neoplastic
epithelial cells.
C : Tumor showing overt cytologic features of
malignancy.
New WHO Classification of Thymoma (2004)
•Type A
•Type AB
•Type B1
•Type B2
•Type B3
Others
•Micronodular thymoma
•Metaplastic thymoma
•Microscopic thymoma
•Sclerosing thymoma
•Lipofibroadenoma
New WHO classification of thymoma (2004)
• The most recent version
• Guided by Dr. Muller- Hermelink.
(1) Elimination of the type C thymoma from the
schema, with the latter tumors being segregated
into a separate and distinct category of thymic
carcinoma.
• Reason: All non-organotypic malignant epithelial
neoplasms other than germ cell tumours are
designated thymic carcinomas.
Type A (spindle, medullary) Thymoma
• Neoplastic thymic epithelial cells having
 Spindle/oval shape,
 Lacking nuclear atypia,
 with few or no non-neoplastic lyphocytes.
• Appearance can simulate of a meshenchymal
neoplasm, but IHC shows neoplasm of epithleial
tissue.
• Grossly : well circumscribed and encapsulated.
• C/S :Tan white and shows vague lobulation with
less distinct dissecting white fibrous bands.
Type A (spindle, medullary) Thymoma.
• Microscopically
few or no lymphocytes
Tumor cells are spindle and/or oval shaped with
bland nuclei, dispersed chromatin and
inconspicuous nucleoli.
Arranged in solid sheets without any particular
pattern or in a storiform pattern.
Rosette like formation (without central lumen)
may be present.
Type A (spindle, medullary) thymoma.
The pseudomesenchymal appearance of the tumor is striking.
Type A (spindle, medullary) thymoma.
•prominent rosette formation.
•Notice the absence of a central lumen in the rosettes.
•This tumor should not be confused with thymic carcinoid.
• Markers
Keratin
CD20
CK7
vimentin
EMA negative to focaly possitive.
Type B1 Thymoma
• Lymphocyte-rich thymoma
• Lymphocytic thymoma
• organoid thymoma
• Predominantly cortical thymoma
• Resembles normal functional thymus .
• It is not differentiated from normal thymic cortex with areas
resembling thymic medulla.
• Markers
 Keratin
 CD1a
 CD99
 CD3
 CD5
Type B1 thymoma
•Medullary island(MI) showing Hassall
corpuscles.
•The abnormal localization of MI adjacent to
septa or the tumour capsule is very typical.
•Small medullary island (light), that is
devoid of Hassall corpuscles is
surrounded by a predominant, cortex-
like component rich in immature T-cells
(dark).
•This pattern has been the rationale for
labelling B1 thymoma as “organoid
thymoma”.
Type B2 (cortical) thymoma
• 18-42% of all thymomas.
• Neoplastic epithelial component appear as scattered plump
cells with vesicular nuclei & distinct nucleoli among heavy
population of lymphocytes.
• Cytoplasm is abundant .Cells are round/polygonal.
“Polygonal cell thymoma”
• Perivascular spaces are common.
• Perivascular arrangement of tumor cells show palisading
effect.
• Markers
Keratin
CD1a
CD99
CD3
CD5
Rarely CD20
Type B2 thymoma
There is an even proportion of neoplastic epithelial cells and
non-neoplastic lymphocytes.
Perivascular space in type B2 thymoma
The space is occupied by a proteinaceous fluid and lymphocytes.
Type B3 thymoma
Well-differentiated thymic Ca.
Epithelial thymoma
Squamoid thymoma
Atypical thymoma
• Not encapsulated but show a vaguely infiltrative border with
extension into mediastinal fat or adjacent organs.
• Sheet like growth of neoplastic epithelial cells.
• Epithelial cells having round/polygonal shape, no/mild atypia.
• Admixed with minor component of lymphocytes .
• Medullary islands are usually absent
Type B3 thymoma.
Predominantly composed of slightly atypical neoplastic thymic
epithelial cells.
• Markers
CD3
 CD5
 CD20
 CD1a
CD99
 calretinin
 vimentin
EMA
CK7,CD57 and bcl-2
Type AB (mixed) thymoma.
• 15-43% of all thymomas.
• Features of type A thymoma are admixed with
foci rich in lymphocytes.
• Segregation of 2 patterns can be sharp/
indistinct.
Type AB (mixed) thymoma.
The type A areas can be easily confused with hypercellular septa. This is one of
the most common thymoma subtypes.
Thymic carcinoma
• Thymic carcinoma defined as a thymic
epithelial tumor (i.e., a thymoma) exhibiting
clearcut cytologic features of malignancy.
• The diagnosis is often one of exclusion, in the
presence of a malignant epithelial tumor
located in the thymic region in the absence of
disease in the lung or any other organ.
New WHO Classification of Thymic carcinoma(2004)
(including neuroendocrine epithelial tumours of the thymus )
• Squamous cell carcinoma
• Basaloid carcinoma
• Mucoepidermoid carcinoma
• Lymphoepithelioma-like
carcinoma
• Sarcomatoid carcinoma
(carcinosarcoma)
• Clear cell carcinoma
• Adenocarcinoma
• Papillary adenocarcinoma
• Carcinoma with t(15;19)
translocation
• Well-differentiated
neuroendocrine carcinomas
(carcinoid tumours)
• Poorly differentiated
neuroendocrine carcinomas
• Undifferentiated carcinoma
• Combined thymic epithelial
tumours, including
neuroendocrine carcinomas
Keratinizing squamous type(thymic
carcinoma)
• This form is rich in atypical epithelial cells, many of
which undergo keratinization.
• The appearance is very similar to that of squamous
cell carcinoma at other sites.
• Microscopically lobular pattern of growth is
generally maintained, and the tumor lobules are
even more widely separated from each other by
fibrous bands than in the other thymoma type.
Thymic carcinoma
(keratinizing squamous type)
Low-power and high-power appearances
Nonkeratinizing undiffentiated type(thymic
carcinoma)
• Tumor cells are large, deeply acidophilic nucleoli that are
sharply outlined and perfectly round are one of the
hallmarks of this neoplasm, which is also characterized by a
‘syncytial’ appearance.
• The lymphocytes of this tumor, which can be very
numerous, have the phenotype of mature peripheral T cells
rather than the immature thymocytic phenotype seen in
ordinary thymoma.
• It becomes undiffentiated from, that of so-called
‘lymphoepithelioma’ of the tonsil and nasopharynx.
• The tumor cells are consistently immunoreactive for keratin.
Thymic carcinoma
(Nonkeratinizing undifferentiated type )
The tumor has a lymphoepithelioma-like quality.
Sarcomatoid carcinoma
• The diagnosis is by finding foci of epithelial
appearanceor evidence of epithelial
differentiation in the spindle cells
immunohistochemically or ultrastructurally .
Clear cell carcinoma
Basaloid carcinoma
Mucoepidermoid carcinoma
Differential diagnosis of thymomas types A, AB, B
and thymic carcinomas
Proposed Terminology by
Suster and Moran
 Tumors displaying most or all of the organotypical features of
thymic differentiation and absence of cytologic atypia are classified
as well-differentiated thymic epithelial neoplasms (ie, thymoma);
 Tumors that retain only some of the organotypical features of
differentiation of the thymus but that already display mild to
moderate cytologic atypia are classified as moderately
differentiated thymic epithelial neoplasms (ie, atypical thymoma);
 Tumors characterized by total absence of the organotypical features
of the thymus and showing overt cytologic evidence of malignancy
correspond to poorly differentiated thymic epithelial neoplasms
(ie, thymic carcinoma)
Prognosis
 Stage : single most important factor.
 Microscopic Type: Increasing aggressiveness .
A<AB<B1<B2<B3<C
 Presence of invasion : important prognostic factor
 Completeness of excision.: important
 Myasthenia gravis: good prognostic factor: earlier
detection, benefits of steroids.
Poor prognostic factor
• Invasion into the surrounding fat,pleura,pericardium.
• Intrathoracic or extrathoracic metastases.
• Tumor size > 10cm , age < 30 yreas.
• Tracheal or vascular compromise.
• Epithelial and mixed histologies.
• The presence of hematologic paraneoplastic
syndrome.
Points To Be Remember…….
• Thymoma is Neoplasms of thymic epithelial cells.
• Associated with Myasthenia gravis (30-45%)
• WHO Classification System Correlates with clinical
aggressiveness ,likelihood of invasion,prognosis,Risk, therapeutic
decisions .
• New WHO Scheme: type C thymoma is eliminated & segregated into
a separate and distinct category of thymic carcinoma.
• All thymic epithelial neoplasms should be regarded as malignant
neoplasms.
• Presence of invasion & Completeness of excision are important
prognostic factor.
• Thymectomy is Primary treatment.
Neuroendocrine tumors
Divided into 2 catagories
• Typical carcinoid and small cell carcinoma
• Atypical carcinoid
Carcinoid tumors
• It is a malignant neoplasm that invades locally
and metastasizes distantly.
• Thymic carcinoid usually lacks endocrine
manifestations but sometime associated with
cushing syndrome and carcinoid tumor of
other sites, such as bronchus or ileum.
• Multiple endocrine neoplasia (MEN) type 1
or2a.
• Grossly,
 Solid,
 Well circumscribed but not encapsulated
 Lacks the distinct lobulations of thymoma .
 It may be highly vascularized and frankly
hemorrhagic.
• Microscopically,
 Ribbon and festoon formation, rosette-like glands
with central lumina.
 ‘Balls’ of cells with central necrosis and calcification, marked
vascularization.
 The tumor cells have a more granular cytoplasm than those
of thymoma, the nuclear chromatin is slightly coarser, and
mitotic activity is frequent.
 Frequent lymphatic and blood vessel invasion.
Immunohistochemically
• keratin, chromogranin, synaptophysin, neuron-
specific enolase, and other general endocrine
markers.
Morphologic variants
• Spindle cell pattern
• Prominent oncocytic component
• With melanin pigment
Small cell neuroendocrine carcinoma
• It is indistinguishable from that of its pulmonary
counterpart.
• Thymic tumors have a mixture of small cell
neuroendocrine carcinoma and squamous cell
carcinoma,and sometime combining features of
carcinoid tumor and small cell carcinoma in the
same lesion.
• The tumor cells are elongated, with darkly staining
nuclei and scanty cytoplasm with extensive necrosis
Large cell neuroendocrine carcinoma
• seen exeptionaly.
Tumor like lesion
Thymic cyst
Divided into two distinct types.
• Unilocular thymic cysts
• Multilocular thymic cyst
Unilocular thymic cysts
• Developmental origin.
• Arise from remnants of the third branchial
pouch-derived thymopharyngeal duct.
• They are generally small, and located in the neck
more often than in the mediastinum.
• The wall is thin and translucent, and inflammation
is usually lacking.
• The epithelial lining is flattened, cuboidal,
columnar, or (rarely) squamous.
• Thymic tissue is present in the wall, some of it
connecting with the lining epithelium.
Multilocular thymic cyst
• Is in an acquired process of a reactive nature.
• It is always accompanied by inflammation and fibrosis.
• The lining of the individual cysts may be flat, cuboidal,
ciliated columnar, or (often) squamous, either single or
stratified .
• Some areas have highly reactive appearance,
occasionally acquiring the features of
pseudoepitheliomatous hyperplasia.
• Cholesterol granulomas are common.
• In some instances the inflammatory infiltrate is very
prominent, with formation of numerous lymphoid
follicles.
Multilocular thymic cyst
Stromal tumors
Thymolipoma
• Encapsulated benign thymic lesion that can attain a
huge size and can simulate radiographically
cardiomegaly or pulmonary sequestration.
• Microscopically, there is an admixture in various
proportions of mature adipose tissue and
unremarkable thymic tissue.
Variants
• An abundance of fibroconnective tissue
thymofibrolipomas.
• An abundance vessels thymohemangiolipoma
Thymolipoma
Thymic stromal sarcomas
• low-grade malignant mesenchymal tumors.
• Their microscopic appearance is variable, but
well-differentiated liposarcoma/atypical
lipomatous tumor is the predominant
component (‘thymoliposarcoma’).
• Others stromal tumors are
osteosarcoma ( arising in an ectopic
hamartomatous organ)
kaposiform hemangioendothelioma in an
infant.
Thank you
79
THYROID AND PARATHYROID LESIONS
• Mediastinal thyroid tumors are usually large
goiters that are continuous with the thyroid gland
in the neck.
• They are treated by excision, usually using a
median sternotomy.
• The most common pathologic change in
mediastinal thyroid glands is nodular hyperplasia.
• Thyroid nodular hyperplasia in the
mediastinum may occur in the form of
independent nodules ( parasitic or accessory
nodules).
• The nodular hyperplasia arise from cervical
thyroid that has been pulled down either into
the anterior prevascular compartment or the
retrotracheal compartment (‘posterior
descending goiter’) .
• Gross images: mediastinal
thyroid gland with nodular hyperplasia show
s anatomically separate nodules (AFIP)
• Microscopically: normal appearing thyroid
tissue with colloid-filled or hyperplastic
follicles; similar findings in thyroid gland.
Parathyroid tumors
• 7% of parathyroid adenomas are found in the
superior mediastinum. Others are located in
the anterior mediastinum .
• Parathyroid adenoma in the mediastinum
showing oncocytic features and a
pseudoangiomatoid growth pattern admixed
with solid areas.
Mediastinal parathyroid carcinomas
• Have also been reported, some of them being
nonfunctioning.
Parathyroid adenoma in mediastinum
GERM CELL TUMORS
• Germ cell tumors includes approximately 20%
of the mediastinal tumors and cysts.
• Primary origin from extragonadal germ cells.
• Possibility of any mediastinal germ cell tumor
representing a metastasis from a testicular or
ovarian primary lesion should always be
investigated.
• Associated with the klinefelter syndrome.
Seminoma OR Germinoma
• Seminoma of the mediastinum arises almost
always within the thymus .
• The morphologic appearance is identical to
that of its testicular counterpart at the light
microscopic, immunohistochemical, and
ultrastructural level.
• They are different in their KRAS sequence and
p53 immunostain profile.
Grossly
• solid
• homogeneous
• no necrosis.
Microscopically,
• Compact nests of large tumor cells
• Lage amount of cytoplasmic gycogen and irregular ,skein
like nucleolus, surrounded by fibrous septa which is
infiltrated by lymphocytes and plasma cells.
• Epithelioid granulomas, numerous germinal centers.
Diffential diagnosis
Thymoma
Large cell lymphoma
Seminoma
The true nature of the lesion may be obscured
by
• Granulomatous reaction,
• Reactive follicular hyperplasia,
• Epithelium-lined cystic formations of thymic
origin (‘multilocular thymic cyst’), and fibrosis.
• Seminomas are immunoreactive for placental
alkaline phosphatase (PLAP), OCT4, SALL4,
M2A, AP-2 gamma, CD117, and often CD57
(Leu7).
• The primary treatment is with radiation
therapy, and the prognosis is very good.
Mature Cystic Teratoma
• Mature cystic teratoma is the most common type
of mediastinal germ cell neoplasm.
• It usually occurs in early adult life.
• Grossly
large size and has a
distinct, sharply delineated wall that often becomes
calcified.
The cut surface is predominantly cystic and
adherence to surrounding structures is common.
• Microscopicaly
resembles that of the more common mature
cystic teratoma of ovary.
The cysts are lined by stratified squamous
epithelium and contain sebaceous glands and
hair follicles.
Other common components are neural tissue,
gastrointestinal tract, cartilage, and
respiratory structure,
islet cell elements.
Gross and microscopic picture of mature
cystic teratoma
Complications
Prominent xanthogranulomatous
inflammation if the sebaceous material within
it escapesse.
Perforation into the tracheobronchial tree .
Dense adhesions often found in this tumor
may be the result of pancreatic enzyme
secretion.
• Prognosis of mature teratoma is excellent.
Immature teratoma
• As a germ cell tumor similar to mature
teratoma but also containing immature
epithelial, mesenchymal, or neural elements
without a component of embryonal
carcinoma.
• Numbers of cases in mediastinam is too less.
Embryonal Carcinoma
• It is an invasive, highly necrotic neoplasm.
• Microscopically
 Poorly differentiated.
 The tumour cells form sheets, tubules or papillae.
 The cells are large and polygonal or columnar with large
vesicular nuclei having one or more prominent nucleoli.
 The cytoplasm is variably basophilic, eosinophilic or clear.
 There is a high mitotic rate, with atypical mitoses.
 Necrosis is particularly common in combined yolk sac
tumours.
• Immunohistochemically, there is reactivity for keratin,
PLAP, CD30, and CD57 .
Embryonal Carcinoma
Yolk sec tumors
• Endodermal sac tumor,
• It may occur admixed with other germ cell elements
or (more rarely) as a pure neoplasm.
• Yolk sac elements are more common in mediastinal
than in testicular neoplasm.
• Microscopically
Multiple communicating channels,
Penivascular mantles of cells resembling immature
glomeruli(Shiller-Duval bodies).
 Intra- and extracellular hyaline globules all arranged
in a loose reticular network .
• Mediastinal yolk sac tumors may have
prominent spindle cell features ,contain a
hepatoid component or be accompanied by
secondary multilocular cystic changes in the
adjacent non-neoplastic thymus.
• The prognosis of pure endodermal sinus
tumor is very poor.
Teratocarcinoma
• It is defined as the combination of embryonal
carcinoma and teratoma (mature and/or immature).
• It Comprises about 5% of all mediastinal germ cell
tumors.
• It grows rapidly and infiltrates widely.
• Grossly,
 areas of hemorrhage and necrosis are present.
• Microscopically,
 Areas of embryonal carcinoma alternate with
mature foci, with an abundance of foci of
intermediate differentiation.
Teratocarcinoma
Choriocarcinoma
• It occurs in the third decade of life.
• It is associated with gynecomastia and by elevated serum
levels of human chorionic gonadotropin (hCG).
• Grossly,
 large, soft, extensively hemorrhagic, and with foci of necrosis.
• Microscopically
 Dual cell population composed of cytotrophoblastic cells with
uniform, round nuclei, clear cytoplasm, and prominent
nucleoli admixed with large, multinucleated
syncytiotrophoblastic cells with bizarre nuclei, prominent
nucleoli, and abundant eosinophilic cytoplasm.
• The prognosis is extremely poor
Choriocarcinoma
MALINGNENT LYMPHOMA
• Malignant lymphoma can present as an anterior,
superior, or middle mediastinal mass, in this
order of frequency.
• The majority of malignant lymphomas presenting
as primary mediastinal neoplasms fall into one of
the four categories .
Hodgkin lymphoma
Lymphoblastic lymphoma
Large cell lymphoma
Marginal zone B-cell lymphoma
Hodgkin lymphoma
• Mediastinal Hodgkin lymphoma can involve
primarily the thymus or the lymph nodes or
both sites.
• Most patients are young adults, and more
case seen in females.
• The disease present with local pressure
symptoms (dyspnea, cough, chest pain)..
• Primary Hodgkin lymphoma always of the
classic type, nodular sclerosis subtype.
• Grossly
Sharply outlined
Surrounded by a thick capsule.
 The nodules may be multiple and residual
thymic tissue is usually identified.
 The consistency is hard, and the cut surface is
vaguely or distinctly nodular .
• cyclin E, CD79a and BOB.1, may be helpful in
the differential diagnosis of cHL and PMBCL.
Microscopicaly
The low-power appearance may resemble that
of true thymoma by the presence of cellular
nodules encircled by fibrous bands.
 Polymorphic, with lymphocytes, plasma cells,
eosinophils, histiocytes, Reed–Sternberg cells
and the their mononuclear variants, and
lacunar cells which provide the diagnosis.
Sometime associated with epithelial-lined
cysts, Hassall corpuscles, and isolated thymic
epithelial cells.
Gross and microscopic picture of Hodgkin
lymphoma
• Diffential diagnosis
Granulomatous’ thymoma
Non-Hodgkin lymphoma
Germ cell tumor
Sclerosing mediastinitis
Castleman disease.
Thymic carcinoma
• The disease can spreads subdiaphragmatically
in the absence of supraclavicular lymph node
involvement.
• The primary treatment is usually combination
chemotherapy and radiotherapy.
Lymphoblastic lymphoma
• Lymphoblastic lymphoma occurs primarily in the
thymic region.
• It is usually of immature T-cell type ( precursor T
lymphoblastic lymphoma in the WHO
classification). Some cases have been found to be
of pre-T-cell type and natural killer cell type.
• Males are more commonly affected .
• The disease is usually restricted to the
supradiaphragmatic region, with frequent
involvement of cervical, supraclavicular, and
axillary nodes.
Grossly
 Solid, soft and,nonencapsulated .
Some preservation of the thymic shape can be
appreciated in early cases.
Microscopically
Thymic parenchyma infiltrat by
lymphocytes ,lymphocytes are atypical, with a
very fine chromatin pattern, frequent nuclear
convolutions ( convoluted cell lymphoma),
 Numerous mitotic figures, and equally
numerous necrotic cells. .
Fibrosis and formation of multilocular thymic
cysts .
 Sometime scattering of eosinophils, and focal
granulomatous reaction can be seen.
• There is usually extension into the perithymic fat,
and invasion of blood vessel walls is frequent .
Diffential diagnosis
• Acute lymphoblastic leukemia
• Thymoma
Lymphoblastic lymphoma.
Large cell lymphoma
• Mediastinal large cell lymphoma can present
as a mass in the thymus with or without
lymph node involvement.
• Most patients are young adult females, and
presentation with superior vena caval
syndrome .
Grossly
Tumor has grossly invasive features
Extension into pericardium, pleura, lung, sternum,
and chest wall is common,
Consistency is firm, and there are frequent foci of
necrosis .
Microscopicaly
 Wide bands of fibrosis which results in
compartmentalization of tumors cells.
Perivascular collection of mature lymphocytes and
artificial clearing of the cytoplasm of the
lymphocytes.
Large cell lymphoma
Large cell lymphoma
• Immunohistochemical reactivity for CD45
CD30,CD23,CD10,BCL6.
• Diffential diagnosis
Epithelial, germ cell, or neuroendocrine
neoplasm
Thymoma
Seminoma
Larg cell malignent lymphoma
• Tumor can recurs within the chest and spreads
to other sites, including peripheral lymph nodes
and central nervous system.
• An excellent response to radiation therapy and
chemotherapy
Marginal zone B-cell lymphoma
• Most commonly occur in female.
• It is associated with Sjögren disease or rheumatoid
arthritis,lymph node or gastric involvement.
Microscopicaliy
Tumors are predominantly composed of small
lymphocytes with a variable admixture of
monocytoid cells and plasma cells.
• Immunohistochemically -Cytokeratin , CD20 , CD3 ,
CD23 , CD43 , CD5 .
• The clinical course is usually indolent, as with
marginal zone B-cell lymphomas at other sites,
there may be transformation to a large cell
lymphoma.
Other hematolymphoid conditons are
• Composite lymphomas
• Anaplastic large cell lymphoma
• Granulocytic sarcoma
• Plasmacytoma
• Castleman disease
• Follicular dendritic cell tumor
• Extramedullary hematopoiesis
NEUROJENIC TUMORS
• Neurogenic tumors mostly occurs in the
posterior mediastinal.
• It can occurs in both adult and children.
Two main catagories
 Tumors of sympathetic nervous system
 Tumors of peripharal nerve sheeth
Tumors of sympathetic nervous system
• This occurring in patients younger than the
age of 10 .
• Radiographicaly most tumors of the
sympathetic nervous system have an
elongated tapered appearance.
Neuroblastomas
• Occurs in patient younger than 1 year.
• The main difference between the mediastinal
and retroperitoneal tumors is the greater
degree of differentiation seen in the former.
• Grossly
 large and encapsulated.
 Cut section is lobulated architecture and a soft
to fleshy consistency.
 Hemorrhage.
• Microscopically
Proliferation of small, round blue cells with
hyperchromatic nuclei, “salt and pepper” chromatin, and
indistinct cytoplasm.
• Divided into differentiating, poorly differentiated, and
undifferentiated subtypes.
• Differentiating tumors have ganglionic differentiation
of 5% to 50% of neoplastic cells
• Poorly differentiated tumors have <5% ganglionic
differentiation
• Undifferentiated tumors have no ganglionic
differentiation and lack fibrillary network of neuropil.
Ganglioneuroblastoma
Intermediate degree of differentiation and that is
related to differentiating neuroblastoma and immature
ganglioneuroma .
• Grossly
Better circumscribed than neuroblastoma .
Surrounded by a well-formed capsule.
• Some of these cases have been associated with
inappropriate secretion of antidiuretic hormone.
• Microscopically
Both mature gangliocytes and immature neuroblasts
and has intermediate malignant potential.
Ganglioneuroblastoma
Ganglioneuroma
• It occurs in older children and in adults and is
the most common of the three tumors.
• Grossly,
Well-encapsulated mass.
 The consistency is soft, and the cut surface is
yellowish gray,
It may contain cystic areas and fatty
degeneration, but fresh necrosis is generally
absent .
ganglioneuroma
Microscopically,
 Admixture of mature ganglion cells and
spindle cells, which could be a Schwann cells
or satellite cells
 The ganglion cells may have several nuclei
and are often arranged in clusters.
 Focal collections of lymphocytes.
• These tumors can be multiple and can occur
in different locations, with various degrees of
differentiation.
Ganglioneuroma
• Prognosis of tumors of the sympathetic
nervous system is directly related to the
degree of differentiation of the tumor.
• The prognosis in neuroblastoma is the least
favorable for the entire group.
• Relapses in the central nervous system have
occurred in some cases of intrathoracic
neuroblastoma.
Tumors of peripheral nerves
The three major tumors in this category are
• Shwannoma
• Neurofibroma
• Malignant peripheral nerve sheath tumor
(MPNST)
Shwannoma (neurilemoma)
Grossly.
Truly encapsulated neoplasms of the human
body and is almost always solitary .
 Larger schwannomas often contain cystic
area.
Microscopic
 Two different patterns usually can be
recognized, designated by Antoni as A and B.
 The type A areas are quite cellular, composed
of spindle cells often arranged in a palisading
fashion or in an organoid arrangement
(Verocay bodies)
shwannoma
• Some schwannomas can be very cellular,
somewhat pleomorphic, and mitotically
active, and thus be confused with sarcoma.
Neurofibroma
• Grossly
Surrounded by a complete fibrous capsule.
• Microscopically
Proliferation of all the elements of a peripheral nerve:
axons, Schwann cells, fibroblasts, and perineural cells.
Schwann cells usually represent the predominant
cellular element.
 Most have markedly elongated nuclei, with a wavy,
serpentine configuration and pointed ends .
Neurofibroma
• Neurofibroma in most other locations is a
nonencapsulated tumor, because of the large
size that it can reach at this site.
• Therefore the presence of encapsulation
cannot be used as a distinguishing feature
between the two types of benign peripheral
nerve tumor.
• Most benign peripheral nerve sheath tumors
are asymptomatic and are discovered
incidentally on chest x-ray examinations
• The prognosis for both schwannoma
(including its cellular variant) and
neurofibroma is excellent, excision being
curative .
MPNST(malignant peripheral nerve cell tumor)
• MPNST of mediastinum may arise de novo or, more
commonly, in the setting of neurofibromatosis type 1
• Microscopically
Dense cellular fascicles which alternate with myxoid
regions.
 This swirling arrangement of intermixed dense and
myxoid areas has been described as a marbleized
pattern .
 The cells may be spindle shaped with very irregular
contours. Alternatively, cells may be rounded or
fusiform in shape .
Nuclear palisading has also been shown but in less
than 10% of cases and even then, only focally.
• In malignant change, the tumor cells become
bizarre, and it may then be impossible to
recognize the malignant tumor as originating
from a preexisting neurofibroma.
• Some mediastinal MPNSTs have areas of
glandular differentiation or rhabdomyoblastic
features (so-called ‘triton tumor’).
• The prognosis is generally poor, seems to be
related to resection status, tumor size, and
tumor grade.
MPNST
Other neurogenic tumors are
• Ependymoma
• meningioma
TUMORS OF PARAGANGLIA
• Mediastinal paragangliomas, originate from
the supra-aortic or aorticopulmonary bodies
and are therefore found in the anterosuperior
portion of the mediastinum, in the area of the
aortic arch.
• Others arise from aorticosympathetic
paraganglia and are located in the
costovertebral sulcus. .
• Grossly
Sharply circumscribed polypoid masses
Firm to rubbery consistency.
 Highly vascular tumors and may have a deep red
color.
• Microscopically
 Tumor cells are readily recognized
 Individual tumor cells are polygonal to oval and are
arranged in distinctive cell balls, called Zellballen.
 These cell balls are separated by fibrovascular
stroma and surrounded by sustentacular cells.
Paragangliomas
MESENCHYMAL TUMORS
Lipoma
• lipoma is one of the most common benign
mesenchymal neoplasms of the mediastinum.
• It is very large and located just above the
diaphragm,sometime it extends into both pleural
cavities.
• Diffential diagnosis includes
thymolipoma,lipometosis,cushing disease,or steroid
therapy.
• Other benign adipose tissue tumors of the
mediastinum include lipoblastoma and
lipoblastomatosis of infancy, hibernoma, angiolipoma,
and angiomyolipoma.
Lymphangioma is another common mediastinal
neoplasm .
• Seen in the anterosuperior mediastinum of
children and in continuity with a cervical
components.
• Lymphangioma has circumscribed patter of
growth.
• Lymphangiomyoma and
lymphangiomyomatosis occur exclusively in
females.
lymphangioma
• anastomosing lymphatic spaces.
• Numerous lymphocytes and a few red blood
cells are present in the lymphatic channels.
Moderate amount of fibrous stroma is present
in the walls.
Lymphangioma
• Hemangioma in adults is usually of the
cavernous variety .
• Microscopically, it is composed of dilated
vessels lined by attenuated endothelium,
separated by fine septa. Foci of thrombosis,
calcification, and cholesterol granulomas may
be present.
• Other vascular tumors are Glomus tumors,
Hemangiopericytomas, epithelioid
hemangioendothelioma and Angiosarcoma .
Hemangioma
• Solitary fibrous tumor of the mediastinum is
the mediastinal equivalent of solitary fibrous
tumor of the pleura.
• Most originate from the mediastinal
(including thymic) stroma.
Solitary fibrous tumor
Liposarcoma predominates among the
malignant mesenchymal neoplasms
• Sometime associated with liposarcoma of
thigh or retroperitoneum as a manifestation of
multicentric disease.
• Most mediastinal liposarcomas are well-
differentiated tumors.
liposarcoma
Others rare tumors are
• Rhabdomyoma
• Leiomyoma
• Synovial sarcoma
• low grade fibromyxoid sarcoma,
• Leiomyosarcoma
• chondrosarcoma
• Rhabdomyosarcoma
• Alveolar soft part sarcoma giant cell tumor of
soft parts
• Malignant mesenchymoma, and so-called
malignant fibrous histiocytoma.
METASTATIC TUMORS
• Some tumors metastatic to the mediastinum
can mimic clinically and radiographically a
primary mediastinal neoplasm.
• Most common example are undifferentiated
carcinoma of the lung.
• Appearing as a huge mediastinal mass in the
presence of a small, radiographically
undetectable bronchial lesion.
• Direct mediastinal extension can also occur
with tumors of the
 esophagus, pleura, chest wall, vertebra, or
trachea.
• Tumors that can metastasize to the
mediastinum and be confused with primary
neoplasms are
carcinomas of the breast, thyroid, nasopharynx,
larynx, kidney, prostate, and ovary testicular
germ cell tumors and malignant melanoma.
Mediastinal metastasis of prostatic
adenocarcinoma

MEDIASTINAL TUMORS PATHOLOGY IMPORTANT QUES

  • 1.
    MEDIASTINAL TUMORS BY DRPALLAVI A CHAUDHARI UNDER THE GUIDANCE OF DR SHILPA MA’M
  • 2.
    Mediastinal anatomy • Themediastinum lies between the right and left pleurae in and near the median sagittal plane of the chest. • It extends from the sternum in front to the vertebral column behind, and contains all the thoracic viscera excepting the lungs.
  • 3.
    Mediastinal Anatomy • Includesstructures bound by: – the thoracic inlet – diaphragm – sternum – vertebral bodies – and pleura • Has 4 compartments -Superior -Anterior -Middle -Posterior
  • 6.
    Mediastinal Anatomy Anterior Compartment includes: • Thymus •Extrapericardial aorta and its branches • The great veins • Lymphatic tissue. Middle Compartment is bounded by: • The pericardium anteriorly • The posterior pericardial reflection • The diaphragm • The thoracic inlet. • This compartment includes the heart, intrapericardial great vessels, pericardium, and trachea.
  • 7.
    Posterior Compartment: • Extendsfrom the posterior pericardial reflection to the posterior border of the vertebral bodies and from the first rib to the diaphragm. • Includes the  Esophagus  Vagus nerves  Thoracic duct,  Sympathetic chain, and azygous venous system.
  • 8.
    Mediastinal tumors Superior mediastinum. •Thymoma and thymic cyste. • Malignent lymphoma. • Thyroid lesion. • Parathyroid lesion.
  • 9.
    Mediastinal tumors Anterior Mediastinum •Thymic tumors and cysts • Germ cell tumors • Lymphomas • Intrathoracic goiter and thyroid tumors • Parathyroid adenomas • Connective tissue tumors - lipomas and liposarcomas - lymphangiomas - hemangiomas •Thyroid tumor or goiter •Tracheal tumors •Aortopulmonary paraganglioma Paracardial cysts •Bronchogenic cysts •Lymphoma •Lymphadenopathy Middle Mediastinum
  • 10.
    Mediastinal tumors Posterior Mediastinum •Neurogenic tumors – including Schwannomas • Esophageal tumors • Hiatal Hernias • Neurenteric Cysts • And rarely – extramedullary hematopoiesis – pancreatic pseudocyst – achalasia
  • 11.
  • 12.
    Normal Thymus Mature thymusof childhood and adolescence •Lobulation and encapsulation •Dual (epithelial/lymphoid) cell population with variable numbers of immature T lymphocytes •Perivascular spaces •Areas of “medullary” differentiation Involuted thymus of the adult •Spindle cell population devoid of cytologic atypia •Scant immature T lymphocytes •Rosette-like epithelial structures •Cystic and glandular structures
  • 13.
    Normal histology ofcortex of thymus • Histologically, the darkly staining cortex contains densely packed, small, immature lymphocytes, which overshadow the sparse epithelial cell population . • Large, mitotically active lymphoblasts, may be found in the subcapsular cortex. • These cells have a round to oval nucleus with one or two prominent nucleoli and relatively abundant, strongly basophilic cytoplasm. • “tingible-body macrophages” can be seen.
  • 14.
    Normal histology ofmedulla of thymus • The medulla is paler staining, less densely cellular than the cortex. • Contains more mature T-cells, prominent epithelial cells , Hassalls corpuscles, admixed macrophages, dendritic cells , B lymphocytes and rarely myoid cells. • The medullary T-lymphocytes are larger, paler- staining and have more cytoplasm than cortical lymphocytes.
  • 15.
  • 16.
    Thymic epithelial cells Subtypesof Thymic Epithelial cells: • Cortical: medium to large, round or polygonal, clear nuclei with nucleoli • Medullary: spindle nuclei • Hassall’s corpuscle Thymic Lymphocytes (Thymocytes)  T cell phenotype  Bone marrow derived. (or from yolk sac and fetal liver in embryonic stages)  Types: Subcapsular , Cortical, Medullary , Mature.
  • 17.
    Beneath the capsulea continuous layer thymic epithelial cells is present (right arrow), which essentially forms a blood-thymic barrier around blood vessels entering and leaving the of capsule.
  • 18.
  • 19.
    Development of Tcell • T-cells are continually produced in the bone marrow. • T-cells in the bone marrow are considered immature because they are not fully developed. During this stage, the T-cells do not have receptors on their surfaces yet because they do not express CD4 or CD8 glycoproteins (carbohydrate and protein molecules located on the surface of T-cells). Therefore, they are considered double-negative cells (Cd4- Cd8-).
  • 20.
    • The cellsthen enter the bloodstream and travel to the thymus gland, where they develop into mature T-cells. • The T-cells develop receptors on their outer surfaces. This means they express both CD4 and CD8 glycoproteins on their surfaces. Because they express both glycoproteins, these cells are called double-positive T-cells (CD4+ Cd8+).
  • 21.
    21 Thymocytes at differentdevelopmental stages are found in distinct parts of the thymus Maturation
  • 22.
    Dendritic cells • Aminor cell population in lymphoid tissues, are specialized for presentation of antigenic peptides to T lymphocytes. • Thymic dendritic cells are involved in the deletion of self-reactive T lymphocytes. • Developing T cells are negatively selected predominantly by self antigens presented on newly formed thymic dendritic cells. • All dendritic cells are of bone-marrow origin.
  • 23.
    • Types ofDendritic cells 1. Myeloid dendritic cells. • These are most similar to the monocytes. • The MDC are made up of two subsets. • The more common mDC-1, which is a major stimulator of T cells. • The extremely rare mDC-2, which may have a function in fighting wound infection.
  • 24.
    2. Plasmacytoid dendriticcells • These look like the plasma cells but have the certain characteristic of the myeloid dendritic cells. • High intracellular MHC II. • Express CD1a. • Can produce high amounts of interferon alpha, so known as IPC (interferon-producing cells).
  • 25.
    Tumours of Thymus Thethymus contains Corresponding tumour • Epithelial elements Thymoma • Lymphoid elements Lymphoma • Stroma Sarcomas •Neuroendocrine cells Neuroendocrine tumours (carcinoids) • Germ cells Germ cell tumours
  • 26.
    Thymoma Neoplasms of thymicepithelial cells , independently of the presence or number of lymphocytes and without the cytological atypia of epithelial cells. • Most common in anterior mediastinum. • Usually slow growing tumor. • Yellow-gray with a fleshy lobulated appearance. • Intraluminal hemorrhage, cystic space, calcification. • Malignancy determined by tissue invasion > histologic type.
  • 27.
    Gross appearance ofa thymoma •Distinct multinodularity. •There is focal cystic change in the larger nodule
  • 28.
    Cut surface ofthymoma •Note the sharp lobulation induced by the fibrous bands. •The pointed ends of some of the nodules are particularly typical of this entity.
  • 29.
    Clinical Presentation Local symptoms 1)Chest pain (most common) 2) Cough 3) Hoarseness of voice 4) Stridor 5) dyspnea 6) Dysphagia 7) Horner syndrome 8) SVC obstruction Systemic symptoms  Autoimmun disorders. • myasthenia gravis(30%-40%)  Endocrine disorders.  Hematologic disorders.  Neuromuscular syndromes.
  • 30.
    Classification of thymoma Traditionalclassification • Based on their relative proportion of epithelial cells to lymphocytes and on the shape of the epithelial cells. Clinicopathological classification • Benign • Invasive .
  • 31.
    Morphofunctional Classification 1) Cortical:similar to those found in the normal cortex. 2) Medullary : predominant epithelial cells with few lymphocytes. 3) Mixed : proliferation of cortical and medullary epithelial cell types • mixed thymoma of common type • mixed thymoma with cortical or medullary predominance. 4) Predominantly cortical thymoma (organoid) 5) Well-differentiated thymic carcinoma
  • 32.
    The WHO schema(1999)- headed by Juan Rosai • 3 categories: A : Nuclei showed a spindle or oval shape B : Round epithelioid appearance B1, B2 , B3 on the basis of the proportional increase (in relation to the lymphocytes) & emergence of atypia of the neoplastic epithelial cells. C : Tumor showing overt cytologic features of malignancy.
  • 33.
    New WHO Classificationof Thymoma (2004) •Type A •Type AB •Type B1 •Type B2 •Type B3 Others •Micronodular thymoma •Metaplastic thymoma •Microscopic thymoma •Sclerosing thymoma •Lipofibroadenoma
  • 34.
    New WHO classificationof thymoma (2004) • The most recent version • Guided by Dr. Muller- Hermelink. (1) Elimination of the type C thymoma from the schema, with the latter tumors being segregated into a separate and distinct category of thymic carcinoma. • Reason: All non-organotypic malignant epithelial neoplasms other than germ cell tumours are designated thymic carcinomas.
  • 35.
    Type A (spindle,medullary) Thymoma • Neoplastic thymic epithelial cells having  Spindle/oval shape,  Lacking nuclear atypia,  with few or no non-neoplastic lyphocytes. • Appearance can simulate of a meshenchymal neoplasm, but IHC shows neoplasm of epithleial tissue. • Grossly : well circumscribed and encapsulated. • C/S :Tan white and shows vague lobulation with less distinct dissecting white fibrous bands.
  • 36.
    Type A (spindle,medullary) Thymoma. • Microscopically few or no lymphocytes Tumor cells are spindle and/or oval shaped with bland nuclei, dispersed chromatin and inconspicuous nucleoli. Arranged in solid sheets without any particular pattern or in a storiform pattern. Rosette like formation (without central lumen) may be present.
  • 37.
    Type A (spindle,medullary) thymoma. The pseudomesenchymal appearance of the tumor is striking.
  • 38.
    Type A (spindle,medullary) thymoma. •prominent rosette formation. •Notice the absence of a central lumen in the rosettes. •This tumor should not be confused with thymic carcinoid.
  • 39.
  • 40.
    Type B1 Thymoma •Lymphocyte-rich thymoma • Lymphocytic thymoma • organoid thymoma • Predominantly cortical thymoma • Resembles normal functional thymus . • It is not differentiated from normal thymic cortex with areas resembling thymic medulla. • Markers  Keratin  CD1a  CD99  CD3  CD5
  • 41.
    Type B1 thymoma •Medullaryisland(MI) showing Hassall corpuscles. •The abnormal localization of MI adjacent to septa or the tumour capsule is very typical. •Small medullary island (light), that is devoid of Hassall corpuscles is surrounded by a predominant, cortex- like component rich in immature T-cells (dark). •This pattern has been the rationale for labelling B1 thymoma as “organoid thymoma”.
  • 42.
    Type B2 (cortical)thymoma • 18-42% of all thymomas. • Neoplastic epithelial component appear as scattered plump cells with vesicular nuclei & distinct nucleoli among heavy population of lymphocytes. • Cytoplasm is abundant .Cells are round/polygonal. “Polygonal cell thymoma” • Perivascular spaces are common. • Perivascular arrangement of tumor cells show palisading effect.
  • 43.
  • 44.
    Type B2 thymoma Thereis an even proportion of neoplastic epithelial cells and non-neoplastic lymphocytes.
  • 45.
    Perivascular space intype B2 thymoma The space is occupied by a proteinaceous fluid and lymphocytes.
  • 46.
    Type B3 thymoma Well-differentiatedthymic Ca. Epithelial thymoma Squamoid thymoma Atypical thymoma • Not encapsulated but show a vaguely infiltrative border with extension into mediastinal fat or adjacent organs. • Sheet like growth of neoplastic epithelial cells. • Epithelial cells having round/polygonal shape, no/mild atypia. • Admixed with minor component of lymphocytes . • Medullary islands are usually absent
  • 47.
    Type B3 thymoma. Predominantlycomposed of slightly atypical neoplastic thymic epithelial cells.
  • 48.
    • Markers CD3  CD5 CD20  CD1a CD99  calretinin  vimentin EMA CK7,CD57 and bcl-2
  • 49.
    Type AB (mixed)thymoma. • 15-43% of all thymomas. • Features of type A thymoma are admixed with foci rich in lymphocytes. • Segregation of 2 patterns can be sharp/ indistinct.
  • 50.
    Type AB (mixed)thymoma. The type A areas can be easily confused with hypercellular septa. This is one of the most common thymoma subtypes.
  • 51.
    Thymic carcinoma • Thymiccarcinoma defined as a thymic epithelial tumor (i.e., a thymoma) exhibiting clearcut cytologic features of malignancy. • The diagnosis is often one of exclusion, in the presence of a malignant epithelial tumor located in the thymic region in the absence of disease in the lung or any other organ.
  • 52.
    New WHO Classificationof Thymic carcinoma(2004) (including neuroendocrine epithelial tumours of the thymus ) • Squamous cell carcinoma • Basaloid carcinoma • Mucoepidermoid carcinoma • Lymphoepithelioma-like carcinoma • Sarcomatoid carcinoma (carcinosarcoma) • Clear cell carcinoma • Adenocarcinoma • Papillary adenocarcinoma • Carcinoma with t(15;19) translocation • Well-differentiated neuroendocrine carcinomas (carcinoid tumours) • Poorly differentiated neuroendocrine carcinomas • Undifferentiated carcinoma • Combined thymic epithelial tumours, including neuroendocrine carcinomas
  • 53.
    Keratinizing squamous type(thymic carcinoma) •This form is rich in atypical epithelial cells, many of which undergo keratinization. • The appearance is very similar to that of squamous cell carcinoma at other sites. • Microscopically lobular pattern of growth is generally maintained, and the tumor lobules are even more widely separated from each other by fibrous bands than in the other thymoma type.
  • 54.
    Thymic carcinoma (keratinizing squamoustype) Low-power and high-power appearances
  • 55.
    Nonkeratinizing undiffentiated type(thymic carcinoma) •Tumor cells are large, deeply acidophilic nucleoli that are sharply outlined and perfectly round are one of the hallmarks of this neoplasm, which is also characterized by a ‘syncytial’ appearance. • The lymphocytes of this tumor, which can be very numerous, have the phenotype of mature peripheral T cells rather than the immature thymocytic phenotype seen in ordinary thymoma. • It becomes undiffentiated from, that of so-called ‘lymphoepithelioma’ of the tonsil and nasopharynx. • The tumor cells are consistently immunoreactive for keratin.
  • 56.
    Thymic carcinoma (Nonkeratinizing undifferentiatedtype ) The tumor has a lymphoepithelioma-like quality.
  • 57.
    Sarcomatoid carcinoma • Thediagnosis is by finding foci of epithelial appearanceor evidence of epithelial differentiation in the spindle cells immunohistochemically or ultrastructurally .
  • 58.
  • 59.
  • 60.
  • 61.
    Differential diagnosis ofthymomas types A, AB, B and thymic carcinomas
  • 62.
    Proposed Terminology by Susterand Moran  Tumors displaying most or all of the organotypical features of thymic differentiation and absence of cytologic atypia are classified as well-differentiated thymic epithelial neoplasms (ie, thymoma);  Tumors that retain only some of the organotypical features of differentiation of the thymus but that already display mild to moderate cytologic atypia are classified as moderately differentiated thymic epithelial neoplasms (ie, atypical thymoma);  Tumors characterized by total absence of the organotypical features of the thymus and showing overt cytologic evidence of malignancy correspond to poorly differentiated thymic epithelial neoplasms (ie, thymic carcinoma)
  • 63.
    Prognosis  Stage :single most important factor.  Microscopic Type: Increasing aggressiveness . A<AB<B1<B2<B3<C  Presence of invasion : important prognostic factor  Completeness of excision.: important  Myasthenia gravis: good prognostic factor: earlier detection, benefits of steroids.
  • 64.
    Poor prognostic factor •Invasion into the surrounding fat,pleura,pericardium. • Intrathoracic or extrathoracic metastases. • Tumor size > 10cm , age < 30 yreas. • Tracheal or vascular compromise. • Epithelial and mixed histologies. • The presence of hematologic paraneoplastic syndrome.
  • 65.
    Points To BeRemember……. • Thymoma is Neoplasms of thymic epithelial cells. • Associated with Myasthenia gravis (30-45%) • WHO Classification System Correlates with clinical aggressiveness ,likelihood of invasion,prognosis,Risk, therapeutic decisions . • New WHO Scheme: type C thymoma is eliminated & segregated into a separate and distinct category of thymic carcinoma. • All thymic epithelial neoplasms should be regarded as malignant neoplasms. • Presence of invasion & Completeness of excision are important prognostic factor. • Thymectomy is Primary treatment.
  • 66.
    Neuroendocrine tumors Divided into2 catagories • Typical carcinoid and small cell carcinoma • Atypical carcinoid
  • 67.
    Carcinoid tumors • Itis a malignant neoplasm that invades locally and metastasizes distantly. • Thymic carcinoid usually lacks endocrine manifestations but sometime associated with cushing syndrome and carcinoid tumor of other sites, such as bronchus or ileum. • Multiple endocrine neoplasia (MEN) type 1 or2a.
  • 68.
    • Grossly,  Solid, Well circumscribed but not encapsulated  Lacks the distinct lobulations of thymoma .  It may be highly vascularized and frankly hemorrhagic. • Microscopically,  Ribbon and festoon formation, rosette-like glands with central lumina.  ‘Balls’ of cells with central necrosis and calcification, marked vascularization.  The tumor cells have a more granular cytoplasm than those of thymoma, the nuclear chromatin is slightly coarser, and mitotic activity is frequent.  Frequent lymphatic and blood vessel invasion.
  • 70.
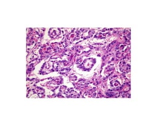
    Immunohistochemically • keratin, chromogranin,synaptophysin, neuron- specific enolase, and other general endocrine markers. Morphologic variants • Spindle cell pattern • Prominent oncocytic component • With melanin pigment
  • 71.
    Small cell neuroendocrinecarcinoma • It is indistinguishable from that of its pulmonary counterpart. • Thymic tumors have a mixture of small cell neuroendocrine carcinoma and squamous cell carcinoma,and sometime combining features of carcinoid tumor and small cell carcinoma in the same lesion. • The tumor cells are elongated, with darkly staining nuclei and scanty cytoplasm with extensive necrosis Large cell neuroendocrine carcinoma • seen exeptionaly.
  • 72.
    Tumor like lesion Thymiccyst Divided into two distinct types. • Unilocular thymic cysts • Multilocular thymic cyst
  • 73.
    Unilocular thymic cysts •Developmental origin. • Arise from remnants of the third branchial pouch-derived thymopharyngeal duct. • They are generally small, and located in the neck more often than in the mediastinum. • The wall is thin and translucent, and inflammation is usually lacking. • The epithelial lining is flattened, cuboidal, columnar, or (rarely) squamous. • Thymic tissue is present in the wall, some of it connecting with the lining epithelium.
  • 74.
    Multilocular thymic cyst •Is in an acquired process of a reactive nature. • It is always accompanied by inflammation and fibrosis. • The lining of the individual cysts may be flat, cuboidal, ciliated columnar, or (often) squamous, either single or stratified . • Some areas have highly reactive appearance, occasionally acquiring the features of pseudoepitheliomatous hyperplasia. • Cholesterol granulomas are common. • In some instances the inflammatory infiltrate is very prominent, with formation of numerous lymphoid follicles.
  • 75.
  • 76.
    Stromal tumors Thymolipoma • Encapsulatedbenign thymic lesion that can attain a huge size and can simulate radiographically cardiomegaly or pulmonary sequestration. • Microscopically, there is an admixture in various proportions of mature adipose tissue and unremarkable thymic tissue. Variants • An abundance of fibroconnective tissue thymofibrolipomas. • An abundance vessels thymohemangiolipoma
  • 77.
  • 78.
    Thymic stromal sarcomas •low-grade malignant mesenchymal tumors. • Their microscopic appearance is variable, but well-differentiated liposarcoma/atypical lipomatous tumor is the predominant component (‘thymoliposarcoma’). • Others stromal tumors are osteosarcoma ( arising in an ectopic hamartomatous organ) kaposiform hemangioendothelioma in an infant.
  • 79.
  • 80.
    THYROID AND PARATHYROIDLESIONS • Mediastinal thyroid tumors are usually large goiters that are continuous with the thyroid gland in the neck. • They are treated by excision, usually using a median sternotomy. • The most common pathologic change in mediastinal thyroid glands is nodular hyperplasia.
  • 81.
    • Thyroid nodularhyperplasia in the mediastinum may occur in the form of independent nodules ( parasitic or accessory nodules). • The nodular hyperplasia arise from cervical thyroid that has been pulled down either into the anterior prevascular compartment or the retrotracheal compartment (‘posterior descending goiter’) .
  • 82.
    • Gross images:mediastinal thyroid gland with nodular hyperplasia show s anatomically separate nodules (AFIP) • Microscopically: normal appearing thyroid tissue with colloid-filled or hyperplastic follicles; similar findings in thyroid gland.
  • 83.
    Parathyroid tumors • 7%of parathyroid adenomas are found in the superior mediastinum. Others are located in the anterior mediastinum . • Parathyroid adenoma in the mediastinum showing oncocytic features and a pseudoangiomatoid growth pattern admixed with solid areas. Mediastinal parathyroid carcinomas • Have also been reported, some of them being nonfunctioning.
  • 84.
  • 85.
    GERM CELL TUMORS •Germ cell tumors includes approximately 20% of the mediastinal tumors and cysts. • Primary origin from extragonadal germ cells. • Possibility of any mediastinal germ cell tumor representing a metastasis from a testicular or ovarian primary lesion should always be investigated. • Associated with the klinefelter syndrome.
  • 86.
    Seminoma OR Germinoma •Seminoma of the mediastinum arises almost always within the thymus . • The morphologic appearance is identical to that of its testicular counterpart at the light microscopic, immunohistochemical, and ultrastructural level. • They are different in their KRAS sequence and p53 immunostain profile.
  • 87.
    Grossly • solid • homogeneous •no necrosis. Microscopically, • Compact nests of large tumor cells • Lage amount of cytoplasmic gycogen and irregular ,skein like nucleolus, surrounded by fibrous septa which is infiltrated by lymphocytes and plasma cells. • Epithelioid granulomas, numerous germinal centers. Diffential diagnosis Thymoma Large cell lymphoma
  • 88.
  • 89.
    The true natureof the lesion may be obscured by • Granulomatous reaction, • Reactive follicular hyperplasia, • Epithelium-lined cystic formations of thymic origin (‘multilocular thymic cyst’), and fibrosis.
  • 90.
    • Seminomas areimmunoreactive for placental alkaline phosphatase (PLAP), OCT4, SALL4, M2A, AP-2 gamma, CD117, and often CD57 (Leu7). • The primary treatment is with radiation therapy, and the prognosis is very good.
  • 91.
    Mature Cystic Teratoma •Mature cystic teratoma is the most common type of mediastinal germ cell neoplasm. • It usually occurs in early adult life. • Grossly large size and has a distinct, sharply delineated wall that often becomes calcified. The cut surface is predominantly cystic and adherence to surrounding structures is common.
  • 92.
    • Microscopicaly resembles thatof the more common mature cystic teratoma of ovary. The cysts are lined by stratified squamous epithelium and contain sebaceous glands and hair follicles. Other common components are neural tissue, gastrointestinal tract, cartilage, and respiratory structure, islet cell elements.
  • 93.
    Gross and microscopicpicture of mature cystic teratoma
  • 94.
    Complications Prominent xanthogranulomatous inflammation ifthe sebaceous material within it escapesse. Perforation into the tracheobronchial tree . Dense adhesions often found in this tumor may be the result of pancreatic enzyme secretion. • Prognosis of mature teratoma is excellent.
  • 95.
    Immature teratoma • Asa germ cell tumor similar to mature teratoma but also containing immature epithelial, mesenchymal, or neural elements without a component of embryonal carcinoma. • Numbers of cases in mediastinam is too less.
  • 96.
    Embryonal Carcinoma • Itis an invasive, highly necrotic neoplasm. • Microscopically  Poorly differentiated.  The tumour cells form sheets, tubules or papillae.  The cells are large and polygonal or columnar with large vesicular nuclei having one or more prominent nucleoli.  The cytoplasm is variably basophilic, eosinophilic or clear.  There is a high mitotic rate, with atypical mitoses.  Necrosis is particularly common in combined yolk sac tumours. • Immunohistochemically, there is reactivity for keratin, PLAP, CD30, and CD57 .
  • 97.
  • 98.
    Yolk sec tumors •Endodermal sac tumor, • It may occur admixed with other germ cell elements or (more rarely) as a pure neoplasm. • Yolk sac elements are more common in mediastinal than in testicular neoplasm. • Microscopically Multiple communicating channels, Penivascular mantles of cells resembling immature glomeruli(Shiller-Duval bodies).  Intra- and extracellular hyaline globules all arranged in a loose reticular network .
  • 100.
    • Mediastinal yolksac tumors may have prominent spindle cell features ,contain a hepatoid component or be accompanied by secondary multilocular cystic changes in the adjacent non-neoplastic thymus. • The prognosis of pure endodermal sinus tumor is very poor.
  • 101.
    Teratocarcinoma • It isdefined as the combination of embryonal carcinoma and teratoma (mature and/or immature). • It Comprises about 5% of all mediastinal germ cell tumors. • It grows rapidly and infiltrates widely. • Grossly,  areas of hemorrhage and necrosis are present. • Microscopically,  Areas of embryonal carcinoma alternate with mature foci, with an abundance of foci of intermediate differentiation.
  • 102.
  • 103.
    Choriocarcinoma • It occursin the third decade of life. • It is associated with gynecomastia and by elevated serum levels of human chorionic gonadotropin (hCG). • Grossly,  large, soft, extensively hemorrhagic, and with foci of necrosis. • Microscopically  Dual cell population composed of cytotrophoblastic cells with uniform, round nuclei, clear cytoplasm, and prominent nucleoli admixed with large, multinucleated syncytiotrophoblastic cells with bizarre nuclei, prominent nucleoli, and abundant eosinophilic cytoplasm. • The prognosis is extremely poor
  • 104.
  • 105.
    MALINGNENT LYMPHOMA • Malignantlymphoma can present as an anterior, superior, or middle mediastinal mass, in this order of frequency. • The majority of malignant lymphomas presenting as primary mediastinal neoplasms fall into one of the four categories . Hodgkin lymphoma Lymphoblastic lymphoma Large cell lymphoma Marginal zone B-cell lymphoma
  • 106.
    Hodgkin lymphoma • MediastinalHodgkin lymphoma can involve primarily the thymus or the lymph nodes or both sites. • Most patients are young adults, and more case seen in females. • The disease present with local pressure symptoms (dyspnea, cough, chest pain)..
  • 107.
    • Primary Hodgkinlymphoma always of the classic type, nodular sclerosis subtype. • Grossly Sharply outlined Surrounded by a thick capsule.  The nodules may be multiple and residual thymic tissue is usually identified.  The consistency is hard, and the cut surface is vaguely or distinctly nodular .
  • 108.
    • cyclin E,CD79a and BOB.1, may be helpful in the differential diagnosis of cHL and PMBCL.
  • 109.
    Microscopicaly The low-power appearancemay resemble that of true thymoma by the presence of cellular nodules encircled by fibrous bands.  Polymorphic, with lymphocytes, plasma cells, eosinophils, histiocytes, Reed–Sternberg cells and the their mononuclear variants, and lacunar cells which provide the diagnosis. Sometime associated with epithelial-lined cysts, Hassall corpuscles, and isolated thymic epithelial cells.
  • 110.
    Gross and microscopicpicture of Hodgkin lymphoma
  • 111.
    • Diffential diagnosis Granulomatous’thymoma Non-Hodgkin lymphoma Germ cell tumor Sclerosing mediastinitis Castleman disease. Thymic carcinoma • The disease can spreads subdiaphragmatically in the absence of supraclavicular lymph node involvement. • The primary treatment is usually combination chemotherapy and radiotherapy.
  • 112.
    Lymphoblastic lymphoma • Lymphoblasticlymphoma occurs primarily in the thymic region. • It is usually of immature T-cell type ( precursor T lymphoblastic lymphoma in the WHO classification). Some cases have been found to be of pre-T-cell type and natural killer cell type. • Males are more commonly affected . • The disease is usually restricted to the supradiaphragmatic region, with frequent involvement of cervical, supraclavicular, and axillary nodes.
  • 113.
    Grossly  Solid, softand,nonencapsulated . Some preservation of the thymic shape can be appreciated in early cases. Microscopically Thymic parenchyma infiltrat by lymphocytes ,lymphocytes are atypical, with a very fine chromatin pattern, frequent nuclear convolutions ( convoluted cell lymphoma),  Numerous mitotic figures, and equally numerous necrotic cells. .
  • 114.
    Fibrosis and formationof multilocular thymic cysts .  Sometime scattering of eosinophils, and focal granulomatous reaction can be seen. • There is usually extension into the perithymic fat, and invasion of blood vessel walls is frequent . Diffential diagnosis • Acute lymphoblastic leukemia • Thymoma
  • 115.
  • 116.
    Large cell lymphoma •Mediastinal large cell lymphoma can present as a mass in the thymus with or without lymph node involvement. • Most patients are young adult females, and presentation with superior vena caval syndrome .
  • 117.
    Grossly Tumor has grosslyinvasive features Extension into pericardium, pleura, lung, sternum, and chest wall is common, Consistency is firm, and there are frequent foci of necrosis . Microscopicaly  Wide bands of fibrosis which results in compartmentalization of tumors cells. Perivascular collection of mature lymphocytes and artificial clearing of the cytoplasm of the lymphocytes.
  • 118.
  • 119.
  • 120.
    • Immunohistochemical reactivityfor CD45 CD30,CD23,CD10,BCL6. • Diffential diagnosis Epithelial, germ cell, or neuroendocrine neoplasm Thymoma Seminoma Larg cell malignent lymphoma • Tumor can recurs within the chest and spreads to other sites, including peripheral lymph nodes and central nervous system. • An excellent response to radiation therapy and chemotherapy
  • 121.
    Marginal zone B-celllymphoma • Most commonly occur in female. • It is associated with Sjögren disease or rheumatoid arthritis,lymph node or gastric involvement. Microscopicaliy Tumors are predominantly composed of small lymphocytes with a variable admixture of monocytoid cells and plasma cells. • Immunohistochemically -Cytokeratin , CD20 , CD3 , CD23 , CD43 , CD5 .
  • 122.
    • The clinicalcourse is usually indolent, as with marginal zone B-cell lymphomas at other sites, there may be transformation to a large cell lymphoma.
  • 123.
    Other hematolymphoid conditonsare • Composite lymphomas • Anaplastic large cell lymphoma • Granulocytic sarcoma • Plasmacytoma • Castleman disease • Follicular dendritic cell tumor • Extramedullary hematopoiesis
  • 124.
    NEUROJENIC TUMORS • Neurogenictumors mostly occurs in the posterior mediastinal. • It can occurs in both adult and children. Two main catagories  Tumors of sympathetic nervous system  Tumors of peripharal nerve sheeth
  • 125.
    Tumors of sympatheticnervous system • This occurring in patients younger than the age of 10 . • Radiographicaly most tumors of the sympathetic nervous system have an elongated tapered appearance.
  • 126.
    Neuroblastomas • Occurs inpatient younger than 1 year. • The main difference between the mediastinal and retroperitoneal tumors is the greater degree of differentiation seen in the former. • Grossly  large and encapsulated.  Cut section is lobulated architecture and a soft to fleshy consistency.  Hemorrhage.
  • 127.
    • Microscopically Proliferation ofsmall, round blue cells with hyperchromatic nuclei, “salt and pepper” chromatin, and indistinct cytoplasm. • Divided into differentiating, poorly differentiated, and undifferentiated subtypes. • Differentiating tumors have ganglionic differentiation of 5% to 50% of neoplastic cells • Poorly differentiated tumors have <5% ganglionic differentiation • Undifferentiated tumors have no ganglionic differentiation and lack fibrillary network of neuropil.
  • 129.
    Ganglioneuroblastoma Intermediate degree ofdifferentiation and that is related to differentiating neuroblastoma and immature ganglioneuroma . • Grossly Better circumscribed than neuroblastoma . Surrounded by a well-formed capsule. • Some of these cases have been associated with inappropriate secretion of antidiuretic hormone. • Microscopically Both mature gangliocytes and immature neuroblasts and has intermediate malignant potential.
  • 130.
  • 131.
    Ganglioneuroma • It occursin older children and in adults and is the most common of the three tumors. • Grossly, Well-encapsulated mass.  The consistency is soft, and the cut surface is yellowish gray, It may contain cystic areas and fatty degeneration, but fresh necrosis is generally absent .
  • 132.
  • 133.
    Microscopically,  Admixture ofmature ganglion cells and spindle cells, which could be a Schwann cells or satellite cells  The ganglion cells may have several nuclei and are often arranged in clusters.  Focal collections of lymphocytes. • These tumors can be multiple and can occur in different locations, with various degrees of differentiation.
  • 134.
  • 135.
    • Prognosis oftumors of the sympathetic nervous system is directly related to the degree of differentiation of the tumor. • The prognosis in neuroblastoma is the least favorable for the entire group. • Relapses in the central nervous system have occurred in some cases of intrathoracic neuroblastoma.
  • 136.
    Tumors of peripheralnerves The three major tumors in this category are • Shwannoma • Neurofibroma • Malignant peripheral nerve sheath tumor (MPNST)
  • 137.
    Shwannoma (neurilemoma) Grossly. Truly encapsulatedneoplasms of the human body and is almost always solitary .  Larger schwannomas often contain cystic area. Microscopic  Two different patterns usually can be recognized, designated by Antoni as A and B.  The type A areas are quite cellular, composed of spindle cells often arranged in a palisading fashion or in an organoid arrangement (Verocay bodies)
  • 138.
  • 139.
    • Some schwannomascan be very cellular, somewhat pleomorphic, and mitotically active, and thus be confused with sarcoma.
  • 140.
    Neurofibroma • Grossly Surrounded bya complete fibrous capsule. • Microscopically Proliferation of all the elements of a peripheral nerve: axons, Schwann cells, fibroblasts, and perineural cells. Schwann cells usually represent the predominant cellular element.  Most have markedly elongated nuclei, with a wavy, serpentine configuration and pointed ends .
  • 141.
  • 142.
    • Neurofibroma inmost other locations is a nonencapsulated tumor, because of the large size that it can reach at this site. • Therefore the presence of encapsulation cannot be used as a distinguishing feature between the two types of benign peripheral nerve tumor.
  • 143.
    • Most benignperipheral nerve sheath tumors are asymptomatic and are discovered incidentally on chest x-ray examinations • The prognosis for both schwannoma (including its cellular variant) and neurofibroma is excellent, excision being curative .
  • 144.
    MPNST(malignant peripheral nervecell tumor) • MPNST of mediastinum may arise de novo or, more commonly, in the setting of neurofibromatosis type 1 • Microscopically Dense cellular fascicles which alternate with myxoid regions.  This swirling arrangement of intermixed dense and myxoid areas has been described as a marbleized pattern .  The cells may be spindle shaped with very irregular contours. Alternatively, cells may be rounded or fusiform in shape . Nuclear palisading has also been shown but in less than 10% of cases and even then, only focally.
  • 145.
    • In malignantchange, the tumor cells become bizarre, and it may then be impossible to recognize the malignant tumor as originating from a preexisting neurofibroma. • Some mediastinal MPNSTs have areas of glandular differentiation or rhabdomyoblastic features (so-called ‘triton tumor’). • The prognosis is generally poor, seems to be related to resection status, tumor size, and tumor grade.
  • 146.
  • 147.
    Other neurogenic tumorsare • Ependymoma • meningioma
  • 148.
    TUMORS OF PARAGANGLIA •Mediastinal paragangliomas, originate from the supra-aortic or aorticopulmonary bodies and are therefore found in the anterosuperior portion of the mediastinum, in the area of the aortic arch. • Others arise from aorticosympathetic paraganglia and are located in the costovertebral sulcus. .
  • 149.
    • Grossly Sharply circumscribedpolypoid masses Firm to rubbery consistency.  Highly vascular tumors and may have a deep red color. • Microscopically  Tumor cells are readily recognized  Individual tumor cells are polygonal to oval and are arranged in distinctive cell balls, called Zellballen.  These cell balls are separated by fibrovascular stroma and surrounded by sustentacular cells.
  • 150.
  • 151.
    MESENCHYMAL TUMORS Lipoma • lipomais one of the most common benign mesenchymal neoplasms of the mediastinum. • It is very large and located just above the diaphragm,sometime it extends into both pleural cavities. • Diffential diagnosis includes thymolipoma,lipometosis,cushing disease,or steroid therapy. • Other benign adipose tissue tumors of the mediastinum include lipoblastoma and lipoblastomatosis of infancy, hibernoma, angiolipoma, and angiomyolipoma.
  • 152.
    Lymphangioma is anothercommon mediastinal neoplasm . • Seen in the anterosuperior mediastinum of children and in continuity with a cervical components. • Lymphangioma has circumscribed patter of growth. • Lymphangiomyoma and lymphangiomyomatosis occur exclusively in females.
  • 153.
  • 154.
    • anastomosing lymphaticspaces. • Numerous lymphocytes and a few red blood cells are present in the lymphatic channels. Moderate amount of fibrous stroma is present in the walls.
  • 155.
  • 156.
    • Hemangioma inadults is usually of the cavernous variety . • Microscopically, it is composed of dilated vessels lined by attenuated endothelium, separated by fine septa. Foci of thrombosis, calcification, and cholesterol granulomas may be present. • Other vascular tumors are Glomus tumors, Hemangiopericytomas, epithelioid hemangioendothelioma and Angiosarcoma .
  • 157.
  • 158.
    • Solitary fibroustumor of the mediastinum is the mediastinal equivalent of solitary fibrous tumor of the pleura. • Most originate from the mediastinal (including thymic) stroma.
  • 159.
  • 160.
    Liposarcoma predominates amongthe malignant mesenchymal neoplasms • Sometime associated with liposarcoma of thigh or retroperitoneum as a manifestation of multicentric disease. • Most mediastinal liposarcomas are well- differentiated tumors.
  • 161.
  • 162.
    Others rare tumorsare • Rhabdomyoma • Leiomyoma • Synovial sarcoma • low grade fibromyxoid sarcoma, • Leiomyosarcoma • chondrosarcoma • Rhabdomyosarcoma • Alveolar soft part sarcoma giant cell tumor of soft parts • Malignant mesenchymoma, and so-called malignant fibrous histiocytoma.
  • 163.
    METASTATIC TUMORS • Sometumors metastatic to the mediastinum can mimic clinically and radiographically a primary mediastinal neoplasm. • Most common example are undifferentiated carcinoma of the lung. • Appearing as a huge mediastinal mass in the presence of a small, radiographically undetectable bronchial lesion.
  • 164.
    • Direct mediastinalextension can also occur with tumors of the  esophagus, pleura, chest wall, vertebra, or trachea. • Tumors that can metastasize to the mediastinum and be confused with primary neoplasms are carcinomas of the breast, thyroid, nasopharynx, larynx, kidney, prostate, and ovary testicular germ cell tumors and malignant melanoma.
  • 165.
    Mediastinal metastasis ofprostatic adenocarcinoma