Embed presentation
Download to read offline


























































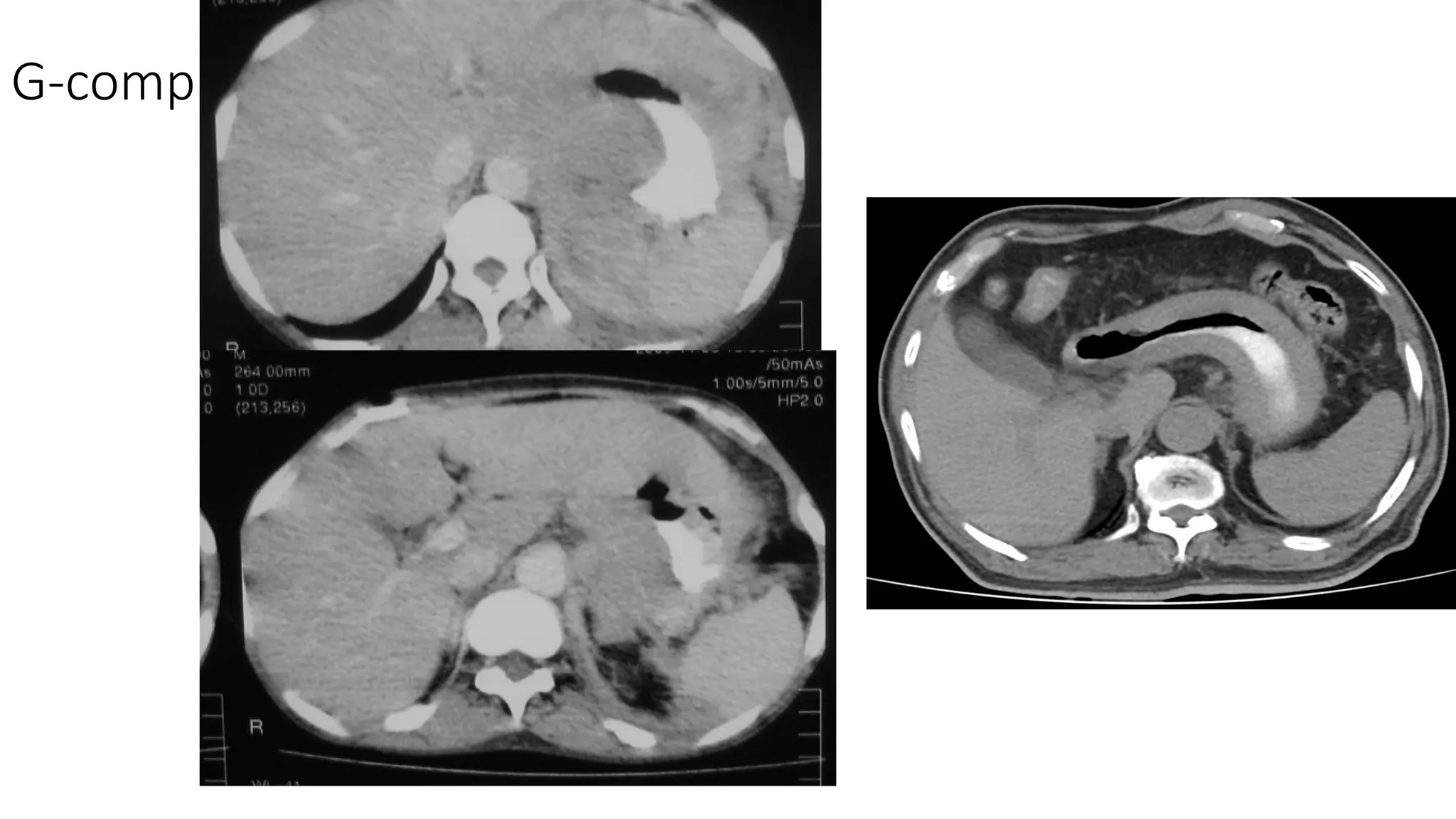
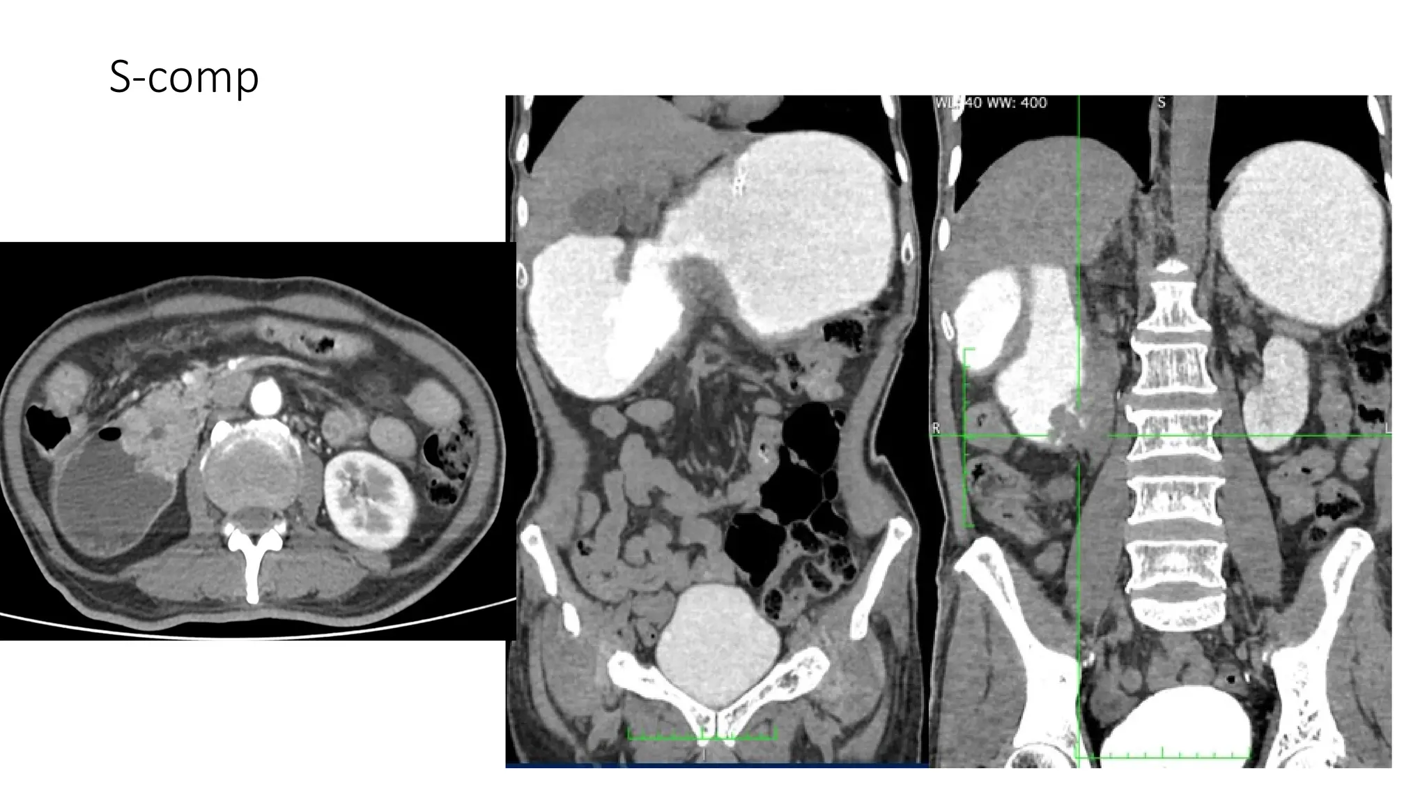
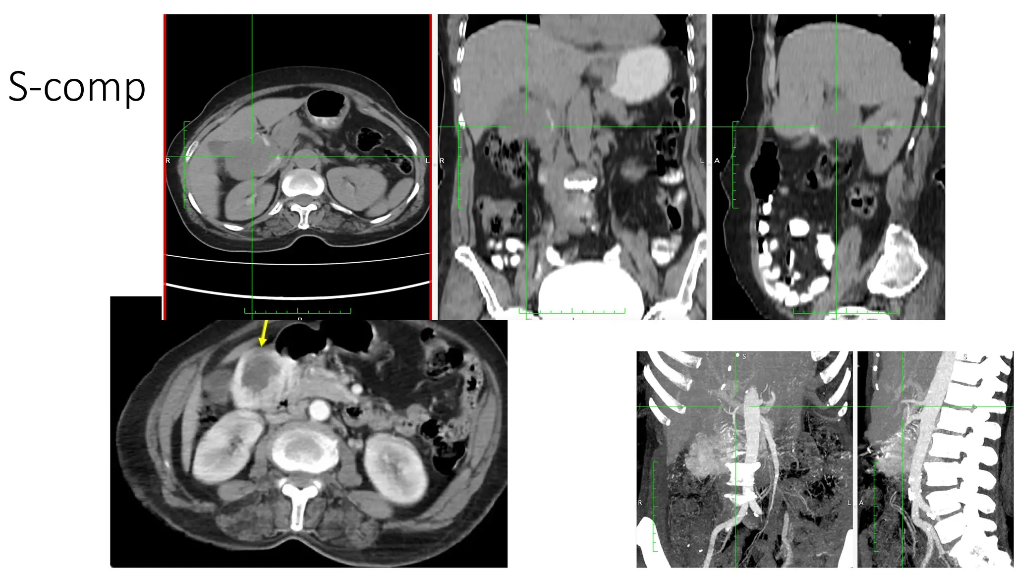
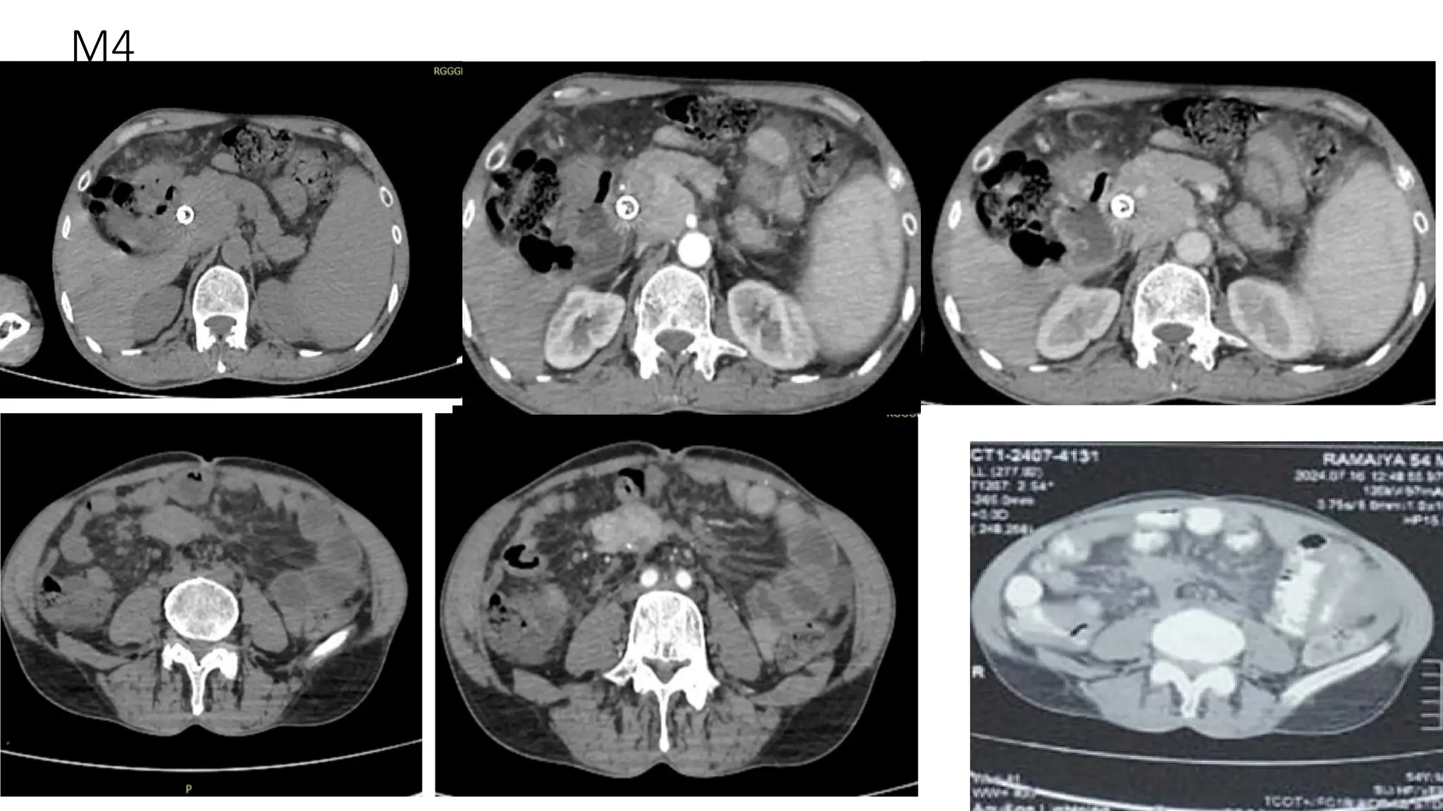
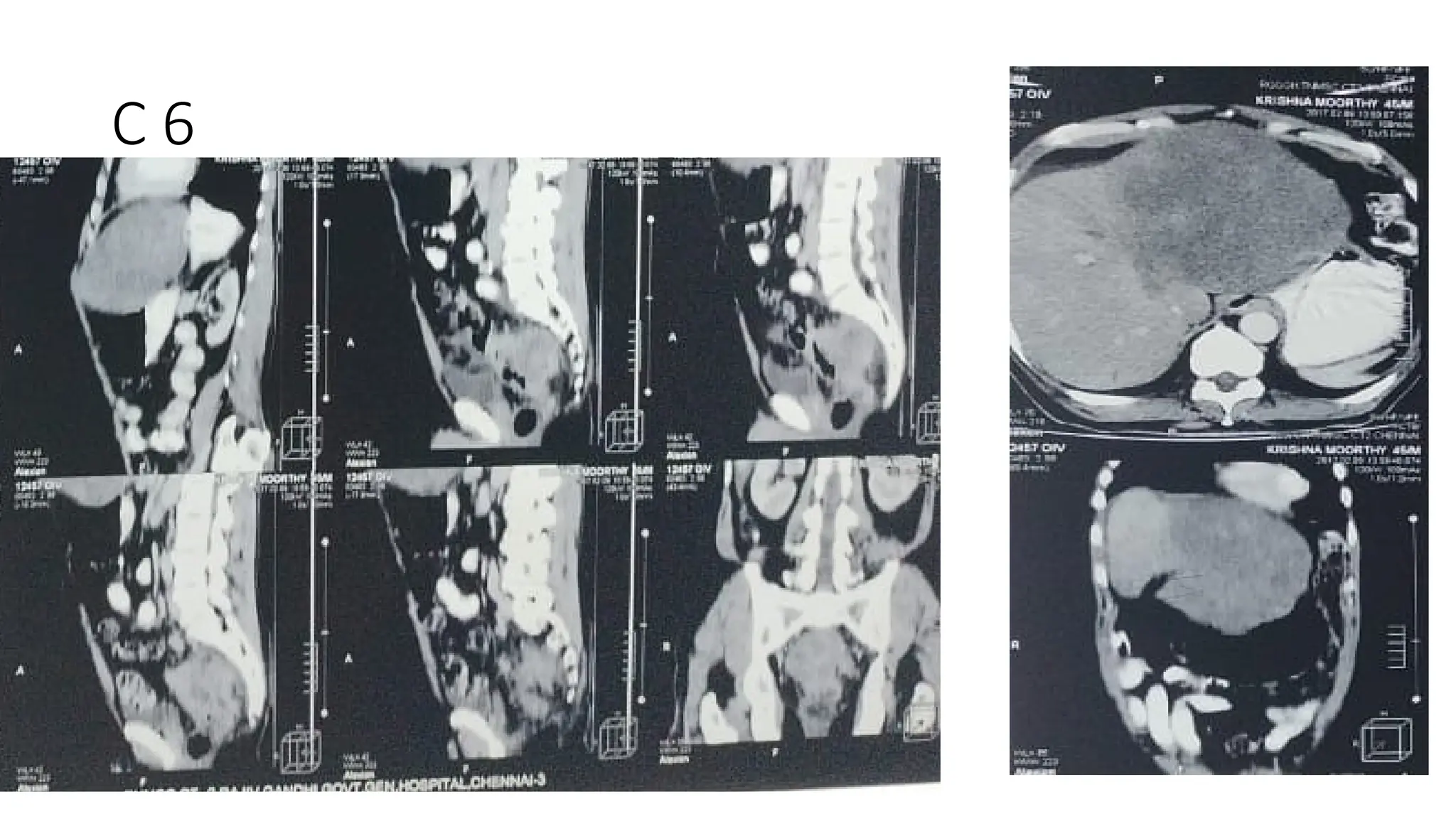
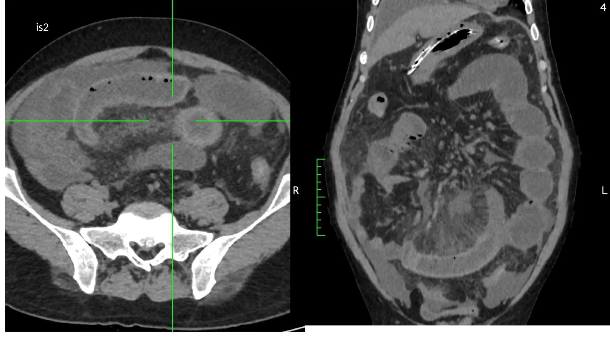
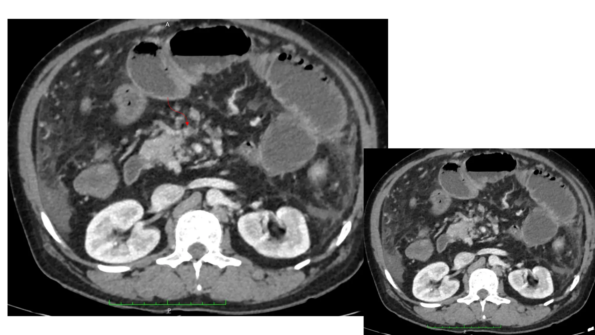
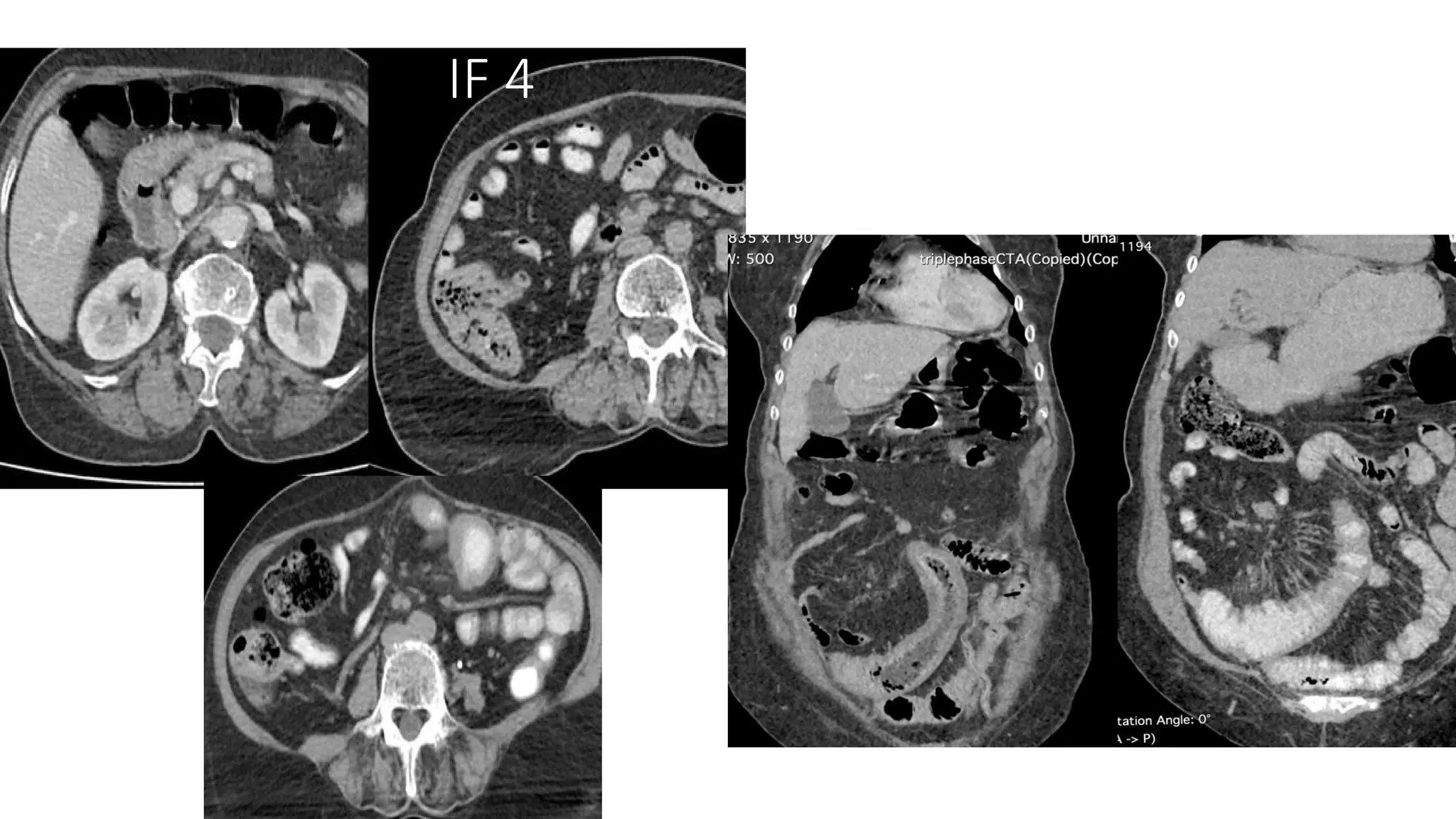
The document lists various components and classifications related to the gastro-intestinal system. It includes multiple codes and identifiers associated with different aspects of this biological system. The content appears to be a structured categorization rather than a narrative or descriptive text.

























































