CT CONTRAST
DR.MAHESH
SHETTENNAVAR
D.Y.PATIL MEDICAL COLLEGE
WHAT IS CONTRAST?
• IT IS A SUBSTANCE WHICH PERMITS BETTER
VISUALISATION OF INTERNAL BODY STRUCTURES
• All currently used computed tomography (CT) contrast agents are based on the triiodinated benzene ring.
• Whereas the iodine atom is responsible for the radiopacity of contrast media,
• the organic carrier is responsible for its other properties, such as osmolality, tonicity, hydrophilicity, and viscosity.
• The organic carrier is responsible for most of the adverse effects
• Some patients react to small amounts of contrast media, but most of the adverse effects are mediated by the large osmotic
load.
• Contrast media are classified as ionic or nonionic and as monomers or dimers.
• Contrast media are classified as ionic or nonionic and as monomers or dimers.
• Ionic contrast media dissolve in water to dissociate into an iodinated benzene ring containing an iodised carboxyl
group and a cation.
• Nonionic contrast media are water soluble (hydrophilic) but do not dissociate in solution.
• Monomers have a single triiodinated benzene ring, whereas dimers have a double benzene ring containing six
iodine atoms.
CONTRAST ENHANCEMENT PRINCIPLES
• The principle of contrast enhancement is based on photoelectric interaction of the iodine atom with x-rays. The binding energy of the inner
K shell electron of the iodine atom is called its K-edge and is equal to 33.2 keV.
• The mean energy of diagnostic radiographs is close to this value.
• When diagnostic radiographs interact with iodine atoms in the body there is increased absorption of the x-rays by the iodine atoms
compared with the surrounding soft tissues.
• The attenuation of the x-ray beam increases with the concentration of iodine in the tissue because of more K shell interactions.
• This is the fundamental basis of contrast enhancement. There is a linear relation between iodine concentration and attenuation.
• Every milligram of iodine in a millilitre of blood or cubic centimetre of tissue elevates the attenuation by 25 Hounsfield units (HU).
PHARMACOKINETICS
• All currently used iodinated contrast media have low lipid solubility. Contrast media molecules are not metabolised in the body
but are excreted by the kidney via glomerular filtration without tubular reabsorption.
• They have a half-life of 2 hours in patients with normal renal function, and 75% of the dose is excreted within 4 hours of
administration.
FACTORS AFFECTING
ENHANCEMENT
• organ-specific factors,
• patient-related factors,
• and injection-related
factors.
ORGAN-SPECIFIC
FACTORS
• The enhancement patterns of organs vary mainly because of
differences in vascular supply.
• Factors that affect enhancement include vascular anatomy,
vascular resistance, and percentage of cardiac output received.
PATIENT-RELATED
FACTORS
• Patient body weight is inversely related to hepatic enhancement,
and the total iodine dose needs to increase with increasing body
weight to achieve optimal enhancement.
INJECTION-RELATED
FACTORS
• The total amount of iodine administered per second is obtained
by multiplying the injection rate by the iodine concentration and
is known as the iodine flux.
• Increasing iodine flux by increasing the rate of injection or iodine
concentration results in higher and earlier peak of aortic
enhancement.
MODES OF ADMINISTRATION
ORAL RECTAL INTRAVENOUS
ORAL
• patients drink a predetermined volume of oral contrast agent prior to the examination.
• This may be a positive contrast agent (diluted iodinated contrast agent, ‘white’/dense) or negative contrast agent
(including water, ‘dark’/hypo dense).
• The contrast agent is in the small intestine during the examination, allowing it to be effectively identified and
distinguished from other organs and tissues.
• Oral contrast agents are particularly valuable in patients with limited intraperitoneal fat
RECTAL CONTRAST AGENT
• this may be a positive or negative contrast agent.
• One of the primary indications for administering rectal contrast agent is to demonstrate a leak, e.g. in the event of an
abnormality following recent intestinal surgery where the distal colon was sutured. The contrast agent then passes
through the intestinal lumen.
• Another example of an indication for administering rectal contrast agent is to demonstrate the presence of a fistula. In the
event of a rectovesical fistula, contrast agent will enter the urinary bladder through the fistula.
• Another example is to demonstrate abscesses in the pelvis minor located between the intestines.
INTRAVENOUS CONTRAST AGENT
• Firstly, the administration of intravenous (IV) contrast agent allows for effective evaluation of the arteries and
veins.
• Additionally, enhancements (blood supply, perfusion) of the abdominal organs can be evaluated. At fixed time
intervals after administration the contrast agent, mixing with the blood, will arrive at various sites in the body,
which can then be scanned.
CONTRAST-ENHANCEMENT
• The purpose of contrast-enhanced CT (CECT) is to find pathology by enhancing the contrast between a lesion
and the normal surrounding structures.
• Sometimes a lesion will be hypo-vascular compared to the normal tissue and in some cases a lesion will be hyper
vascular to the surrounding tissue in a certain phase of enhancement.
So it is important to know in which phase a CT should be performed depending on the pathology that you are
looking for.
DISTRIBUTION OF CONCENTRATION MEDIUM WITHIN
THE BODY
• After peripheral intravenous injection, contrast medium travels to the right heart, the pulmonary circulation, and the left heart before
reaching the central arterial system.
• Its circulation throughout the body is regulated by the cardiovascular system.
• Contrast medium rapidly redistributes from the vascular to the interstitial spaces of the organs.
• Because iodinated contrast media consist of relatively small molecules that are highly diffusible, the transport of contrast media is
predominantly “flow limited” and far less “diffusion limited.”
• In a flow-limited process, the delivery of contrast medium through the circulatory system to an organ is a crucial determinant of
contrast enhancement .
• Well-perfused organs such as the kidney, the spleen, and the liver show high contrast enhancement during the initial circulation
(first pass) of contrast medium to the organs.
• As contrast medium circulates in the body, it is diluted by the blood, and the bolus disperses as it moves downstream through
the circulatory system. The effect of dilution is greater in organs more distal from the injection site
TIMING OF CECT
• Timing of CT-series is important in order to grab the right moment of maximal contrast differences
between a lesion and the normal parenchyma.
• We have to adapt our protocol to the type of scanner, the speed of contrast injection and to the kind of
patient that you are examining.
If you have a single slice scanner, it will take about 20 seconds to scan the liver.
•
• For late arterial phase imaging
• 35 sec is the optimal time, so you start at about 25 seconds and end at about 45 seconds.
However if you have a 64-slice scanner, we will be able to examine the whole liver in 4 seconds. So you start scanning
at about 33 seconds, which is much later.
In arterial phase imaging the time window is narrow, since you have only limited time before the surrounding liver will
start to enhance and obscure a hyper vascular lesion.
• For Late portal venous phase imaging
• it is different. Here we don't want to be too early, because you want to load the liver with contrast and it takes time for
contrast to get from the portal vein into the liver parenchyma. Besides you have more time, because the delayed or
equilibrium phase starts at about 3-4 minutes.
So you start at 75 seconds with whatever scanner you have.
TOTAL AMOUNT OF CONTRAST
• In many protocols a standard dose is given related to the weight of the patient:
• Weight < 75kg : 100cc
• Weight 75-90kg: 120cc
• Weight > 90kg : 150cc
• In some protocols we always want to give the maximum dose of 150cc, like when you are looking for a pancreatic
carcinoma or liver metastases
INJECTION RATE
• 5cc/sec through a 18 gauge i.v. catheter
• For all indications, but especially for GI-bleeding, liver tumour characterisation, pancreatic carcinoma, pulmonary
emboli.
• Use for instance a green venflon. Test by fast injection of 10cc NaCl manually.
• 3-4cc/sec through a 20 gauge pink venflon
• If 5cc/sec is not possible or not needed because you are only interested in the late portal phase.
CT PROTOCOLS
CT ANGIOGRAM
• Study of vascular structures and is an arterial study ,therefore timing will be consistent with arterial blood flow
CT VENOGRAM
• Vascular study
• Venous study
CT PROTOCOLS
CT CHEST
• Study of the structures with in the thoracic region and 40-50 sec is usually sufficient for visualisation
CTA CHEST
• Study of pulmonary artery and its segmental branches .
• Timing of intravascular contrast should be between 6-10 sec for optimal arterial opacification
CT PROTOCOLS
CT SOFTTISSUENECK
• Study of structures of the neck generally including from aortic arch through circle of willis
• Timing for intravascular contrast should be between 40-50 sec
CT ABDOMEN
• Study of abdomen structures
• 50-70 sec
CT PROTOCOLS
• CT TRIPLEPHASELIVER
• Mainly performed in cases of surveillance or follow up for hepatocellular carcinoma in patients with chronic liver
disease /cirrhosis and follow up after chemoembolization of liver malignancy or who had a liver transplant
• Includes arterial
• Portal venous
• Equilibrium phases.
NON-ENHANCED CT
 STONESIN KIDNEYSURETERS
 CALCIFICATIONSIN LIVER,PANCREAS
 FATIN LIVERTUMOURS
 FATIN ADRENALADENOMAOR
MYELOLIPOMA
EARLY
ARTERIAL
PHASE
• DEMARCATION OF VESSELS
• DETECTION OF :
DISSECTION OF AORTA
ARTERIAL BLEEDING
LATE ARTERIAL PHASE
ENHANCEMENT OF
HYPER VASCULAR LESIONS ,STOMACH
BOWEL ,PANCREAS
PARENCHYMA,SPLEEN,KIDNEY OUTER
CORTEX
HEPATIC PHASE
ENHANCEMENT OF HEPATIC
PARENCHYMA
DETECTION OF HYPO VASCULAR LIVER
LESIONS:CYSTS,ABSCESS,MOST
METASTASES
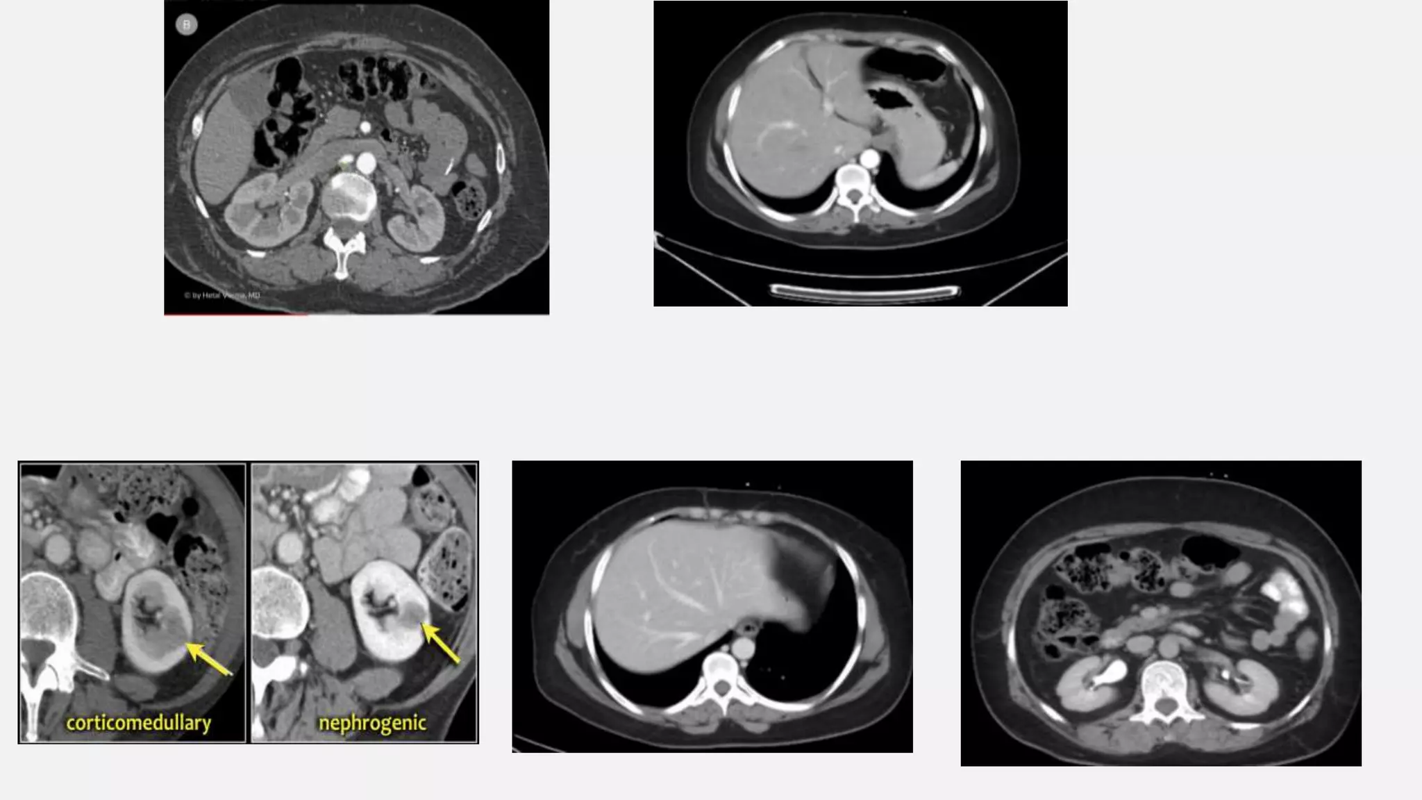
NEPHROGENIC PHASE
ENHANCEMENT OF :
ALL RENAL PARENCHYMA INCLUDING
MEDULLA
DELAYED PHASE
ENHANCEMENT OF
FIBROTIC LESIONS, STILL
ENHANCEMENT OF KIDNEY AND
URINARY COLLECTING SYSTEM
LIVER
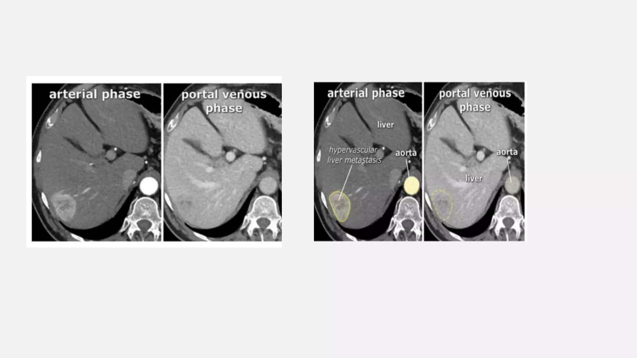
• All liver tumours however get 100% of their blood supply from the hepatic artery.
So a hyper vascular tumor will be best seen in the late arterial phase.
• A hypo-vascular liver tumor however will enhance poorly in the late arterial phase, because it is hypo-
vascular and the surrounding liver does also enhance poorly in that phase.
This tumor is best seen when the surrounding tissue enhances, i.e. in the late portal (or hepatic) phase at
75-80 sec p.i.
•
The
THANK YOU

Ct contrast

  • 1.
  • 2.
    WHAT IS CONTRAST? •IT IS A SUBSTANCE WHICH PERMITS BETTER VISUALISATION OF INTERNAL BODY STRUCTURES
  • 3.
    • All currentlyused computed tomography (CT) contrast agents are based on the triiodinated benzene ring. • Whereas the iodine atom is responsible for the radiopacity of contrast media, • the organic carrier is responsible for its other properties, such as osmolality, tonicity, hydrophilicity, and viscosity. • The organic carrier is responsible for most of the adverse effects • Some patients react to small amounts of contrast media, but most of the adverse effects are mediated by the large osmotic load. • Contrast media are classified as ionic or nonionic and as monomers or dimers.
  • 4.
    • Contrast mediaare classified as ionic or nonionic and as monomers or dimers. • Ionic contrast media dissolve in water to dissociate into an iodinated benzene ring containing an iodised carboxyl group and a cation. • Nonionic contrast media are water soluble (hydrophilic) but do not dissociate in solution. • Monomers have a single triiodinated benzene ring, whereas dimers have a double benzene ring containing six iodine atoms.
  • 6.
    CONTRAST ENHANCEMENT PRINCIPLES •The principle of contrast enhancement is based on photoelectric interaction of the iodine atom with x-rays. The binding energy of the inner K shell electron of the iodine atom is called its K-edge and is equal to 33.2 keV. • The mean energy of diagnostic radiographs is close to this value. • When diagnostic radiographs interact with iodine atoms in the body there is increased absorption of the x-rays by the iodine atoms compared with the surrounding soft tissues. • The attenuation of the x-ray beam increases with the concentration of iodine in the tissue because of more K shell interactions. • This is the fundamental basis of contrast enhancement. There is a linear relation between iodine concentration and attenuation. • Every milligram of iodine in a millilitre of blood or cubic centimetre of tissue elevates the attenuation by 25 Hounsfield units (HU).
  • 7.
    PHARMACOKINETICS • All currentlyused iodinated contrast media have low lipid solubility. Contrast media molecules are not metabolised in the body but are excreted by the kidney via glomerular filtration without tubular reabsorption. • They have a half-life of 2 hours in patients with normal renal function, and 75% of the dose is excreted within 4 hours of administration.
  • 8.
    FACTORS AFFECTING ENHANCEMENT • organ-specificfactors, • patient-related factors, • and injection-related factors.
  • 9.
    ORGAN-SPECIFIC FACTORS • The enhancementpatterns of organs vary mainly because of differences in vascular supply. • Factors that affect enhancement include vascular anatomy, vascular resistance, and percentage of cardiac output received.
  • 10.
    PATIENT-RELATED FACTORS • Patient bodyweight is inversely related to hepatic enhancement, and the total iodine dose needs to increase with increasing body weight to achieve optimal enhancement.
  • 11.
    INJECTION-RELATED FACTORS • The totalamount of iodine administered per second is obtained by multiplying the injection rate by the iodine concentration and is known as the iodine flux. • Increasing iodine flux by increasing the rate of injection or iodine concentration results in higher and earlier peak of aortic enhancement.
  • 12.
    MODES OF ADMINISTRATION ORALRECTAL INTRAVENOUS
  • 13.
    ORAL • patients drinka predetermined volume of oral contrast agent prior to the examination. • This may be a positive contrast agent (diluted iodinated contrast agent, ‘white’/dense) or negative contrast agent (including water, ‘dark’/hypo dense). • The contrast agent is in the small intestine during the examination, allowing it to be effectively identified and distinguished from other organs and tissues. • Oral contrast agents are particularly valuable in patients with limited intraperitoneal fat
  • 15.
    RECTAL CONTRAST AGENT •this may be a positive or negative contrast agent. • One of the primary indications for administering rectal contrast agent is to demonstrate a leak, e.g. in the event of an abnormality following recent intestinal surgery where the distal colon was sutured. The contrast agent then passes through the intestinal lumen. • Another example of an indication for administering rectal contrast agent is to demonstrate the presence of a fistula. In the event of a rectovesical fistula, contrast agent will enter the urinary bladder through the fistula. • Another example is to demonstrate abscesses in the pelvis minor located between the intestines.
  • 17.
    INTRAVENOUS CONTRAST AGENT •Firstly, the administration of intravenous (IV) contrast agent allows for effective evaluation of the arteries and veins. • Additionally, enhancements (blood supply, perfusion) of the abdominal organs can be evaluated. At fixed time intervals after administration the contrast agent, mixing with the blood, will arrive at various sites in the body, which can then be scanned.
  • 18.
    CONTRAST-ENHANCEMENT • The purposeof contrast-enhanced CT (CECT) is to find pathology by enhancing the contrast between a lesion and the normal surrounding structures. • Sometimes a lesion will be hypo-vascular compared to the normal tissue and in some cases a lesion will be hyper vascular to the surrounding tissue in a certain phase of enhancement. So it is important to know in which phase a CT should be performed depending on the pathology that you are looking for.
  • 19.
    DISTRIBUTION OF CONCENTRATIONMEDIUM WITHIN THE BODY • After peripheral intravenous injection, contrast medium travels to the right heart, the pulmonary circulation, and the left heart before reaching the central arterial system. • Its circulation throughout the body is regulated by the cardiovascular system. • Contrast medium rapidly redistributes from the vascular to the interstitial spaces of the organs.
  • 20.
    • Because iodinatedcontrast media consist of relatively small molecules that are highly diffusible, the transport of contrast media is predominantly “flow limited” and far less “diffusion limited.” • In a flow-limited process, the delivery of contrast medium through the circulatory system to an organ is a crucial determinant of contrast enhancement . • Well-perfused organs such as the kidney, the spleen, and the liver show high contrast enhancement during the initial circulation (first pass) of contrast medium to the organs. • As contrast medium circulates in the body, it is diluted by the blood, and the bolus disperses as it moves downstream through the circulatory system. The effect of dilution is greater in organs more distal from the injection site
  • 21.
    TIMING OF CECT •Timing of CT-series is important in order to grab the right moment of maximal contrast differences between a lesion and the normal parenchyma. • We have to adapt our protocol to the type of scanner, the speed of contrast injection and to the kind of patient that you are examining. If you have a single slice scanner, it will take about 20 seconds to scan the liver. •
  • 22.
    • For latearterial phase imaging • 35 sec is the optimal time, so you start at about 25 seconds and end at about 45 seconds. However if you have a 64-slice scanner, we will be able to examine the whole liver in 4 seconds. So you start scanning at about 33 seconds, which is much later. In arterial phase imaging the time window is narrow, since you have only limited time before the surrounding liver will start to enhance and obscure a hyper vascular lesion. • For Late portal venous phase imaging • it is different. Here we don't want to be too early, because you want to load the liver with contrast and it takes time for contrast to get from the portal vein into the liver parenchyma. Besides you have more time, because the delayed or equilibrium phase starts at about 3-4 minutes. So you start at 75 seconds with whatever scanner you have.
  • 23.
    TOTAL AMOUNT OFCONTRAST • In many protocols a standard dose is given related to the weight of the patient: • Weight < 75kg : 100cc • Weight 75-90kg: 120cc • Weight > 90kg : 150cc • In some protocols we always want to give the maximum dose of 150cc, like when you are looking for a pancreatic carcinoma or liver metastases
  • 24.
    INJECTION RATE • 5cc/secthrough a 18 gauge i.v. catheter • For all indications, but especially for GI-bleeding, liver tumour characterisation, pancreatic carcinoma, pulmonary emboli. • Use for instance a green venflon. Test by fast injection of 10cc NaCl manually. • 3-4cc/sec through a 20 gauge pink venflon • If 5cc/sec is not possible or not needed because you are only interested in the late portal phase.
  • 25.
    CT PROTOCOLS CT ANGIOGRAM •Study of vascular structures and is an arterial study ,therefore timing will be consistent with arterial blood flow CT VENOGRAM • Vascular study • Venous study
  • 26.
    CT PROTOCOLS CT CHEST •Study of the structures with in the thoracic region and 40-50 sec is usually sufficient for visualisation CTA CHEST • Study of pulmonary artery and its segmental branches . • Timing of intravascular contrast should be between 6-10 sec for optimal arterial opacification
  • 27.
    CT PROTOCOLS CT SOFTTISSUENECK •Study of structures of the neck generally including from aortic arch through circle of willis • Timing for intravascular contrast should be between 40-50 sec CT ABDOMEN • Study of abdomen structures • 50-70 sec
  • 28.
    CT PROTOCOLS • CTTRIPLEPHASELIVER • Mainly performed in cases of surveillance or follow up for hepatocellular carcinoma in patients with chronic liver disease /cirrhosis and follow up after chemoembolization of liver malignancy or who had a liver transplant • Includes arterial • Portal venous • Equilibrium phases.
  • 29.
    NON-ENHANCED CT  STONESINKIDNEYSURETERS  CALCIFICATIONSIN LIVER,PANCREAS  FATIN LIVERTUMOURS  FATIN ADRENALADENOMAOR MYELOLIPOMA
  • 30.
    EARLY ARTERIAL PHASE • DEMARCATION OFVESSELS • DETECTION OF : DISSECTION OF AORTA ARTERIAL BLEEDING
  • 31.
    LATE ARTERIAL PHASE ENHANCEMENTOF HYPER VASCULAR LESIONS ,STOMACH BOWEL ,PANCREAS PARENCHYMA,SPLEEN,KIDNEY OUTER CORTEX
  • 32.
    HEPATIC PHASE ENHANCEMENT OFHEPATIC PARENCHYMA DETECTION OF HYPO VASCULAR LIVER LESIONS:CYSTS,ABSCESS,MOST METASTASES
  • 33.
    NEPHROGENIC PHASE ENHANCEMENT OF: ALL RENAL PARENCHYMA INCLUDING MEDULLA
  • 34.
    DELAYED PHASE ENHANCEMENT OF FIBROTICLESIONS, STILL ENHANCEMENT OF KIDNEY AND URINARY COLLECTING SYSTEM
  • 36.
    LIVER • All livertumours however get 100% of their blood supply from the hepatic artery. So a hyper vascular tumor will be best seen in the late arterial phase. • A hypo-vascular liver tumor however will enhance poorly in the late arterial phase, because it is hypo- vascular and the surrounding liver does also enhance poorly in that phase. This tumor is best seen when the surrounding tissue enhances, i.e. in the late portal (or hepatic) phase at 75-80 sec p.i. • The
  • 44.

Editor's Notes

  • #9 A multitude of factors determine the enhancement of a particular organ or tissue after contrast media administration.
  • #11 a healthy patient, the only significant factor that determines the amount of iodine required to achieve desired enhancement is body weight.
  • #15 The CT-image shows nice enhancement of the normal bowel wall (yellow arrows) and no enhancement of the infarcted bowel (red arrows). This would not be visible if positive oral contrast was given.
  • #17 Rectal contrast agent, administered through a rectal cannula. Note: the dense bladder content was caused by intravenous contrast agent which has now been excreted.
  • #26 18-22 45-120
  • #31 15-20 sec p.i. or immediately after bolustracking This is the phase when the contrast is still in the arteries and has not enhanced the organs and other soft tissues.
  • #32 35-40 sec p.i. . Sometimes also called "arterial phase" or "early venous portal phase", because some enhancement of the portal vein can be seen. All structures that get their bloodsupply from the arteries will show optimal enhancement.
  • #33 70-80 sec p.i. or 50-60 sec after bolustracking. Although hepatic phase is the most accurate term, most people use the term "late portal phase". In this phase the liver parenchyma enhances through bloodsupply by the portal vein and you should see already some enhancement of the hepatic veins.
  • #34 - 100 sec p.i. or 80 sec after bolustracking. This is when all of the renal parenchyma including the medulla enhances. Only in this phase you will be able to detect small renal cell carcinomas.
  • #35  6-10 minutes p.i. or 6-10 minutes after bolustracking. Sometimes called "wash out phase" or "equilibrium phase". There is wash out of contrast in all abdominal structures except for fibrotic tissue, because fibrotic tissue has a poor late wash out and will become relatively dense compared to normal tissue. This is comparable to late enhancement of infarcted scar tissue in cardiac MRI.
  • #37 The conspicuity of a liver lesion depends on the attenuation difference between the lesion and the normal liver. On a non enhanced CT-scan (NECT) liver tumors are not visible, because the inherent contrast between tumor tissue and the surrounding liver parenchyma is too low. When we give i.v. contrast, it is important to understand, that there is a dual blood supply to the liver. Normal parenchyma is supplied for 80% by the portal vein and only for 20% by the hepatic artery, so the normal parenchyma will enhance maximally in the hepatic phase at 70-80 sec p.i. and only a little bit in the late arterial phase at 35-40 sec p.i..
  • #38 In the late arterial phase at 35 sec hypervascular lesions like HCC, FNH, adenoma and hemangioma wil enhance optimally, while the normal parenchyma shows only minimal enhancement. Hypovascular lesions like metastases, cysts and abscesses will not enhance and are best seen in the hepatic phase at 70 sec p.i. Fibrotic lesions like cholangiocarcinoma and fibrotic metastases hold the contrast much longer than normal parenchyma. They are best seen in the delayed phase at 600 sec p.i. This late enhancement is comparable to what is seen in cardiac infarcts in MRI of the heart.
  • #39 Liver cirrhosis with ascites. Two hypervascular enhancing liver lesions in the arterial phase. Both lesions reveal washout in the portal venous & equilibrium/delayed phases (= hypodense as compared to other liver parenchyma), consistent with HCC.
  • #40 Hypervascular liver metastasis in a patient with a history of renal cell carcinoma. Note it is difficult to see the metastasis in the portal venous phase.
  • #42 Inhomogeneous enhancement of the spleen in the arterial phase.
  • #43 Scanned in the portal venous phase. Splenic laceration from blunt abdominal trauma